Временные методические рекомендации. Профилактика, диагностика и лечение новой коронавирусной инфекции (COVID-19). Версия 7 (03.06.2020)

(утв. Минздравом РФ)
Редакция от 03.06.2020 — Действует с 03.06.2020

Данный документ не поддерживается в сервисе Норматив.


УТВЕРЖДАЮ
Заместитель Министра здравоохранения
Российской Федерации
Е.Г. КАМКИН

ВРЕМЕННЫЕ МЕТОДИЧЕСКИЕ РЕКОМЕНДАЦИИ ПРОФИЛАКТИКА, ДИАГНОСТИКА И ЛЕЧЕНИЕ НОВОЙ КОРОНАВИРУСНОЙ ИНФЕКЦИИ (COVID-19) ВЕРСИЯ 7 (03.06.2020)

ВВЕДЕНИЕ

В конце 2019 года в Китайской Народной Республике (КНР) произошла вспышка новой коронавирусной инфекции с эпицентром в городе Ухань (провинция Хубэй). Всемирная организация здравоохранения (ВОЗ) 11 февраля 2020 г. присвоила официальное название инфекции, вызванной новым коронавирусом, - COVID-19 ("Coronavirus disease 2019"). Международный комитет по таксономии вирусов 11 февраля 2020 г. присвоил официальное название возбудителю инфекции - SARS-CoV-2.

Появление COVID-19 поставило перед специалистами здравоохранения задачи, связанные с быстрой диагностикой и оказанием медицинской помощи больным. В настоящее время сведения об эпидемиологии, клинических особенностях, профилактике и лечении этого заболевания ограничены. Известно, что наиболее распространенным клиническим проявлением нового варианта коронавирусной инфекции является двусторонняя пневмония, у 3 - 4% пациентов зарегистрировано развитие острого респираторного дистресс-синдрома (ОРДС).

Рекомендации, представленные в документе, в значительной степени базируются на материалах по диагностике, профилактике и лечению COVID-19, опубликованных специалистами ВОЗ, китайского, американского и европейского центров по контролю за заболеваемостью, анализе отечественных и зарубежных научных публикаций, нормативно-правовых документах Минздрава России и Роспотребнадзора.

Методические рекомендации предназначены для руководителей медицинских организаций и их структурных подразделений, врачей-терапевтов, врачей общей практики, врачей-инфекционистов, врачей-педиатров, врачей-акушеров-гинекологов, врачей-реаниматологов отделений интенсивной терапии инфекционных стационаров, врачей скорой медицинской помощи, а также иных специалистов, работающих в сфере организации оказания медицинской помощи пациентам с COVID-19.

1. ЭТИОЛОГИЯ, ПАТОГЕНЕЗ И ПАТОМОРФОЛОГИЯ

Коронавирусы (Coronaviridae) - это большое семейство РНК-содержащих вирусов, способных инфицировать как животных (их естественных хозяев), так и человека. По результатам серологического и филогенетического анализа коронавирусы разделяются на четыре рода: Alphacoronavirus, Betacoronavirus, Gammacoronavirus и Deltacoronavirus. У людей коронавирусы могут вызвать целый ряд заболеваний - от легких форм острой респираторной инфекции до тяжелого острого респираторного синдрома (ТОРС). В настоящее время известно о циркуляции среди населения четырех коронавирусов (HCoV-229E, -OC43, -NL63 и -HKU1), которые круглогодично присутствуют в структуре ОРВИ и, как правило, вызывают поражение верхних дыхательных путей легкой и средней степени тяжести.

До 2002 г. коронавирусы рассматривались в качестве агентов, вызывающих нетяжелые заболевания верхних дыхательных путей (с крайне редкими летальными исходами). В период с 2002 по 2004 гг. коронавирус SARS-CoV из рода Betacoronavirus (резервуар - летучие мыши, промежуточные хозяева - верблюды) впервые стал причиной развития эпидемии так называемой атипичной пневмонии - тяжелого острого респираторного синдрома (ТОРС или SARS) и подтвержденной причиной смерти 774 человек в 37 странах мира. С 2004 г. новых случаев атипичной пневмонии, вызванной SARS-CoV, не зарегистрировано. Очередная эпидемия, вызванная коронавирусом MERS-CoV (резервуар - одногорбые верблюды), также из рода Betacoronavirus - ближневосточный коронавирусный синдром, началась в 2012 г. на Аравийском полуострове (82% случаев в Саудовской Аравии). До 2020 г. зарегистрировано 866 летальных исходов от MERS. В настоящий момент MERS-CoV продолжает циркулировать и вызывать новые случаи заболевания.

SARS-CoV-2 представляет собой одноцепочечный РНК-содержащий вирус, относящийся к семейству Coronaviridae, роду Betacoronavirus. Учитывая высокую патогенность вирусов SARS-CoV, SARS-CoV-2 и MERS-CoV отнесены ко II группе патогенности. Генетическая последовательность SARS-CoV-2 сходна с последовательностью SARS-CoV по меньшей мере на 79%.

Входные ворота возбудителя - эпителий верхних дыхательных путей и эпителиоциты желудка и кишечника. Начальным этапом заражения является проникновение SARS-CoV-2 в клетки-мишени, имеющие рецепторы ангиотензинпревращающего фермента II типа (АПФ2). В соответствии с современными представлениями этот рецептор экспрессирован на поверхности различных клеток органов дыхания, пищевода, кишечника, сердца, надпочечников, мочевого пузыря, головного мозга (гипоталамуса) и гипофиза, а также эндотелия и макрофагов. Нуклеокапсидный белок вируса был обнаружен в цитоплазме эпителиальных клеток слюнных желез, желудка, двенадцатиперстной и прямой кишки, мочевыводящих путей, а также в слезной жидкости. Однако основной и быстро достижимой мишенью SARS-CoV-2 являются альвеолярные клетки II типа (AT2) легких, что определяет развитие диффузного альвеолярного повреждения. Полагают, что при COVID-19 может развиваться катаральный гастроэнтероколит, так как вирус поражает клетки эпителия желудка, тонкой и толстой кишки, имеющие рецепторы АПФ2. Однако его морфологические особенности практически неизвестны. Есть данные о возможности специфического поражения сосудов (эндотелия), миокарда и почек. Изменения иммунокомпетентных органов изучены недостаточно. Высказываются предположения о возможном значении при тяжелом поражении легких и других органов цитокинового шторма (см. также главу 5.2) и, как следствие, повреждении микроциркуляторного русла с нарушениями в системе свертывания крови. В ряде работ на основании теоретических предпосылок постулируется ведущая патогенетическая роль аутоиммунных механизмов. Также обсуждается роль CD147 в инвазии клеток SARS-CoV-2.

Установлено, что диссеминация SARS-CoV-2 из системного кровотока или через пластинку решетчатой кости может привести к поражению головного мозга. Изменение обоняния (аносмия) у больных на ранней стадии заболевания может свидетельствовать как о поражении ЦНС вирусом, проникающим через обонятельный нерв, так и об отеке слизистой оболочки носоглотки или вирусном поражении клеток слизистой оболочки носа.

При патологоанатомическом исследовании специфические макроскопические признаки COVID-19 не установлены, хотя морфологическая картина может рассматриваться как характерная. В наблюдениях, в которых резко преобладают признаки тяжелой дыхательной недостаточности, наблюдается картина острого респираторного дистресс-синдрома ("шокового легкого" или диффузного альвеолярного повреждения): резкое полнокровие и диффузное уплотнение легких, практически неотличимое от наблюдавшегося при "свином" гриппе A/H1N 1pdm (в 2009 г. и последующие годы), кроме большей выраженности геморрагического синдрома. Легкие увеличены в объеме и массе, тестоватой или плотной консистенции, маловоздушные или безвоздушные; лакового вида с поверхности, темно-красного (вишневого) цвета, при надавливании с поверхностей разрезов стекает темно-красная жидкость, с трудом выдавливаемая из ткани. Кроме разной величины кровоизлияний встречаются геморрагические инфаркты, обтурирующие тромбы, преимущественно в ветвях легочных вен. Значимых поражений трахеи при этом не наблюдается, выявляемый серозно-гнойный экссудат и гиперемия слизистой оболочки у интубированных пациентов связаны с нозокомиальной инфекцией. В случаях, когда COVID-19 присоединялся к другой тяжелой патологии, закономерно отмечается сочетание изменений, характерных для разных заболеваний.

Характер морфологических изменений при легком течении COVID-19 неизвестен. Исходя из анализа клинической симптоматики, можно предполагать тропность вируса к эпителию гортани, мерцательному эпителию дыхательных путей на всем протяжении, альвеолоцитам I и II типов. Судя по всему, вирусные поражения у таких пациентов не приводят к развитию выраженного экссудативного воспаления и соответственно катаральных явлений.

С большой долей вероятности можно предполагать, что выраженный подъем температуры у многих пациентов обусловлен синдромом системной воспалительной реакции (цитокиновым штормом) с тяжелой альтерацией ткани легких в виде диффузного альвеолярного повреждения, в котором ведущую роль играют CD4+T-лимфоциты и различные цитокины. Персистирующий воспалительный статус у пациентов с тяжелой и критической степенью тяжести COVID-19 действует как важный триггер для каскада коагуляции, в частности ИЛ-6, может активировать систему свертывания и подавлять фибринолитическую систему.

При микроскопическом исследовании обращают внимание интраальвеолярный отек с примесью в отечной жидкости эритроцитов, макрофагов, слущенных альвеоцитов, единичных нейтрофилов, лимфоцитов и плазмоцитов; интраальвеолярные гиалиновые мембраны, распространяющиеся иногда до внутренней поверхности бронхиол; десквамация альвеолярного (в виде отдельных клеток и их пластов) и бронхиолярного эпителия; появление крупных, неправильной формы альвеоцитов II типа, с увеличенными ядрами с грубозернистым хроматином и отчетливыми ядрышками (в некоторых из них вокруг ядра видно гало, а в цитоплазме - округлые базофильные и эозинофильные включения, характерные для вирусного повреждения клеток); пролиферация альвеолоцитов II типа, образование единичных симпластов десквамированных альвеолоцитов 1 и 2 типа. Характерна слабо выраженная периваскулярная и перибронхиальная лимфоидная инфильтрация, а также инфильтрация межальвеолярных перегородок и стенок мелких сосудов, представленная различными популяциями лимфоцитов. Преобладают CD3+T-лимфоциты, среди них - супрессоры (CD2+, CD5+, CD8+). B-лимфоциты (CD20+, C80+) сравнительно немногочисленны, натуральные киллеры (CD57+) практически отсутствуют. Вирус SARS-CoV-2 выявляется при иммуногистохимическом, ПЦР, ультраструктурном исследованиях в реснитчатых клетках бронхов, эпителии бронхиол, в альвеолоцитах и макрофагах, а также в эндотелии сосудов.

В патогенезе COVID-19, без сомнения, важнейшую роль играет поражение микроциркуляторного русла, генез которых требует дальнейшего изучения, но наиболее вероятным представляется прямое вирусное повреждение. Для COVID-19 характерны выраженное полнокровие капилляров межальвеолярных перегородок, а также ветвей легочных артерий и вен, со сладжами эритроцитов, свежими фибриновыми и организующимися тромбами; внутрибронхиальные, внутрибронхиолярные и интраальвеолярные кровоизлияния, являющиеся субстратом для кровохарканья, а также периваскулярные кровоизлияния. Выраженный альвеолярно-геморрагический синдром характерен для большинства наблюдений, вплоть до формирования, фактически, геморрагических инфарктов (хотя и истинные геморрагические инфаркты не редки). Тромбы сосудов легких важно отличать от тромбоэмболов, так как тромбоэмболия легочной артерии (ТЭЛА) также характерна для COVID-19. Тромбоз легочных артерий иногда прогрессирует до правых отделов сердца, описан тромбоз артерий разных органов с развитием их инфарктов (миокарда, головного мозга, кишечника, почек, селезенки). Это отличает изменения в легких при COVID-19 от ранее наблюдавшихся при гриппе A/H1N 1. Несмотря на выраженный геморрагический синдром, значительных отложений гемосидерина не наблюдается. Описанные поражения легких являются причиной смерти без присоединения бактериальной или микотической суперинфекции.

В части наблюдений выявлены изменения и в других органах, которые можно предположительно связать с генерализацией коронавирусной инфекции: в лимфатических узлах, кишечнике, мягкой мозговой оболочке, сердце, поджелудочной железе, почках, селезенке. Отмечены тяжелые поражения микроциркуляторного русла с развитием синдрома диссеминированного внутрисосудистого свертывания (ДВС), которые оказались наиболее выраженными в легких и почках. Описаны типичные для COVID-19 кожные проявления - от геморрагического синдрома до высыпаний различного вида, патогенез которых не ясен.

Таким образом, как и при других коронавирусных инфекциях, а также гриппе A/H1N 1, основным морфологическим субстратом COVID-19 является диффузное альвеолярное повреждение. Термин вирусной (интерстициальной) пневмонии, широко используемый в клинике, по сути своей отражает именно его развитие. В свою очередь, тяжелое диффузное альвеолярное повреждение является синонимом клинического понятия "острый респираторный дисстресс-синдром" (ОРДС).

Многие аспекты патогенеза и патоморфологии коронавирусной инфекции нуждаются в дальнейшем комплексном изучении с использованием современных методов.

2. ЭПИДЕМИОЛОГИЧЕСКАЯ ХАРАКТЕРИСТИКА

С декабря 2019 г. по март 2020 г. наиболее широкое распространение SARS-CoV-2 получил на территории КНР, в которой подтвержденные случаи заболевания были зарегистрированы во всех административных образованиях. Наибольшее количество заболевших выявлено в Юго-Восточной части КНР с эпицентром в провинции Хубэй (84% от общего числа случаев в КНР).

С конца января 2020 г. во многих странах мира стали регистрироваться случаи COVID-19, преимущественно связанные с поездками в КНР. В конце февраля 2020 г. резко осложнилась эпидемиологическая обстановка по COVID-19 в Южной Корее, Иране и Италии, что в последующем привело к значительному росту числа случаев заболевания в других странах мира, связанных с поездками в эти страны. ВОЗ объявила 11 марта 2020 г. о начале пандемии COVID-19.

Основным источником инфекции является больной человек, в том числе находящийся в инкубационном периоде заболевания.

Передача инфекции осуществляется воздушно-капельным, воздушно-пылевым и контактным путями. Ведущим путем передачи SARS-CoV-2 является воздушно-капельный, который реализуется при кашле, чихании и разговоре на близком (менее 2 метров) расстоянии. Контактный путь передачи реализуется во время рукопожатий и других видах непосредственного контакта с инфицированным человеком, а также через пищевые продукты, поверхности и предметы, контаминированные вирусом. Известно, что при комнатной температуре SARS-CoV-2 способен сохранять жизнеспособность на различных объектах окружающей среды в течение 3 суток.

По имеющимся научным данным возможен фекально-оральный механизм передачи вируса. РНК SARS-CoV-2 обнаруживалась при исследовании образцов фекалий больных.

Установлена роль COVID-19 как инфекции, связанной с оказанием медицинской помощи. Существует высокий риск формирования эпидемических очагов COVID-19 в медицинских организациях в случае нарушения санитарно-противоэпидемического режима. Также существует риск возникновения эпидемических очагов в коллективах организаций (в том числе закрытого типа) при несоблюдении мер профилактики инфекции.

Новая коронавирусная инфекция, вызванная SARS-CoV-2, включена в перечень заболеваний, представляющих опасность для окружающих (постановление Правительства Российской Федерации от 31 января 2020 г. N 66).

Стандартное определение случая заболевания COVID-19

Подозрительный на COVID-19 случай

Клинические проявления острой респираторной инфекции (температура (t) тела выше 37,5 °C и один или более из следующих признаков: кашель - сухой или со скудной мокротой, одышка, ощущение заложенности в грудной клетке, насыщение крови кислородом по данным пульсоксиметрии (SpO2) 95%, боль в горле, заложенность носа или умеренная ринорея, нарушение или потеря обоняния (гипосмия или аносмия), потеря вкуса (дисгевзия), конъюнктивит, слабость, мышечные боли, головная боль, рвота, диарея, кожная сыпь) при отсутствии других известных причин, которые объясняют клиническую картину вне зависимости от эпидемиологического анамнеза.

Вероятный (клинически подтвержденный) случай COVID-19

1. Клинические проявления острой респираторной инфекции (t тела > 37,5 °C и один или более признаков: кашель, сухой или со скудной мокротой, одышка, ощущение заложенности в грудной клетке, SpO2 95%, боль в горле, заложенность носа или умеренная ринорея, нарушение или потеря обоняния (гипосмия или аносмия), потеря вкуса (дисгевзия), конъюнктивит, слабость, мышечные боли, головная боль, рвота, диарея, кожная сыпь) при наличии хотя бы одного из эпидемиологических признаков:

- Возвращение из зарубежной поездки за 14 дней до появления симптомов;

- Наличие тесных контактов за последние 14 дней с лицом, находящимся под наблюдением по COVID-19, который в последующем заболел;

- Наличие тесных контактов за последние 14 дней с лицом, у которого лабораторно подтвержден диагноз COVID-19;

- Наличие профессиональных контактов с лицами, у которых выявлен подозрительный или подтвержденный случай заболевания COVID-19.

2. Наличие клинических проявлений, указанных в п. 1, в сочетании с характерными изменениями в легких по данным компьютерной томографии (КТ) (см. Приложение 1 настоящих рекомендаций) вне зависимости от результатов однократного лабораторного исследования на наличие РНК SARS-CoV-2 и эпидемиологического анамнеза.

3. Наличие клинических проявлений (указаны в п. 1), в сочетании с характерными изменениями в легких по данным лучевых исследований (указаны в п. 2) при невозможности проведения лабораторного исследования на наличие РНК SARS-CoV-2.

Подтвержденный случай COVID-19

Положительный результат лабораторного исследования на наличие РНК SARS-CoV-2 с применением методов амплификации нуклеиновых кислот вне зависимости от клинических проявлений.

3. КЛИНИЧЕСКИЕ ОСОБЕННОСТИ

Инкубационный период составляет от 2 до 14 суток, в среднем 5 - 7 суток.

Для COVID-19 характерно наличие клинических симптомов острой респираторной вирусной инфекции:

- Повышение t тела (> 90%);

- Кашель (сухой или с небольшим количеством мокроты) в 80% случаев;

- Одышка (30%);

- Утомляемость (40%);

- Ощущение заложенности в грудной клетке (> 20%).

Также могут отмечаться боль в горле, насморк, снижение обоняния и вкуса, признаки конъюнктивита.

Наиболее тяжелая одышка развивается к 6 - 8-му дню от момента инфицирования. Также установлено, что среди первых симптомов могут быть миалгия (11%), спутанность сознания (9%), головные боли (8%), кровохарканье (2 - 3%), диарея (3%), тошнота, рвота, сердцебиение. Данные симптомы в дебюте инфекции могут наблюдаться и при отсутствии повышения температуры тела.

Клинические варианты и проявления COVID-19

- Острая респираторная вирусная инфекция (поражение только верхних отделов дыхательных путей);

- Пневмония без дыхательной недостаточности;

- ОРДС (пневмония с ОДН);

- Сепсис, септический (инфекционно-токсический) шок;

- Тромбозы и тромбоэмболии.

Гипоксемия (SpO2 < 88%) развивается более чем у 30% пациентов.

Классификация COVID-19 по степени тяжести

Легкое течение

- T тела < 38 °C, кашель, слабость, боли в горле

- Отсутствие критериев среднетяжелого и тяжелого течения

Среднетяжелое течение

- T тела > 38 °C

- ЧДД > 22/мин

- Одышка при физических нагрузках

- Изменения при КТ (рентгенографии), типичные для вирусного поражения (объем поражения минимальный или средний; КТ 1 - 2)

- SpO2 < 95%

- СРБ сыворотки крови > 10 мг/л

Тяжелое течение

- ЧДД > 30/мин

- SpO2 <= 93%

- PaO2/FiO2 <= 300 мм рт. ст.

- Снижение уровня сознания, ажитация

- Нестабильная гемодинамика (систолическое АД менее 90 мм рт. ст. или диастолическое АД менее 60 мм рт. ст., диурез менее 20 мл/час)

- Изменения в легких при КТ (рентгенографии), типичные для вирусного поражения (объем поражения значительный или субтотальный; КТ 3 - 4)

- Лактат артериальной крови > 2 ммоль/л

- qSOFA > 2 балла

Крайне тяжелое течение

- ОДН с необходимостью респираторной поддержки (инвазивная вентиляции легких)

- Септический шок

- Полиорганная недостаточность

- Изменения в легких при КТ (рентгенографии), типичные для вирусного поражения критической степени (объем поражения значительный или субтотальный; КТ 4) или картина ОРДС.

В среднем у 50% инфицированных заболевание протекает бессимптомно. У 80% пациентов с наличием клинических симптомов заболевание протекает в легкой форме ОРВИ. Двадцать процентов подтвержденных случаев заболевания, зарегистрированных в КНР, были классифицированы органами здравоохранения КНР как тяжелые (15% тяжелых больных, 5% в критическом состоянии). Средний возраст пациентов в КНР составил 51 год, наиболее тяжелые формы развивались у пациентов пожилого возраста (60 и более лет), среди заболевших пациентов часто отмечаются такие сопутствующие заболевания, как сахарный диабет (в 20%), артериальная гипертензия (в 15%), другие сердечно-сосудистые заболевания (15%).

Кожные сыпи при COVID-19

В настоящее время имеется ряд клинических исследований, описывающих кожные сыпи при COVID-19 в связи с чем основной задачей клиницистов является дифференциальная диагностика поражений кожи при COVID-19 от других инфекционных экзантем, а также целого ряда дерматозов.

Анализ накапливающихся в литературе описаний клинических наблюдений кожных сыпей у больных COVID-19 инфекцией, а также собственный опыт продолжающегося динамического наблюдения наших соотечественников, страдающих этим вирусным заболеванием, позволяет прийти к выводу, о том, что, поражения кожи могут быть первыми признаками начала коронавирусной инфекции. Кроме того, многообразие наблюдаемых дерматозов и кожных сыпей можно разделить на семь групп в зависимости от их этиологии и механизмов развития:

1 группа - Ангииты кожи. Как правило, ангииты кожи имеют инфекционно-аллергический генез и возникают на фоне инфекционных процессов различной, в том числе вирусной, этиологии. Классическим примером может служить острая узловатая эритема на фоне обычной ОРВИ. При коронавирусной инфекции происходит поражение стенок мелких сосудов дермы циркулирующими иммунными комплексами в виде депозитов с вирусными антигенами. К особым формам, ассоциированным с COVID-19 инфекцией, можно отнести акроваскулиты. Акральная приуроченность сыпи, возможно, обусловлена сопутствующей заболеванию гипоксии.

2 группа - Папуло-сквамозные сыпи и розовый лишай. Представляют собой характерные инфекционно-аллергические поражения кожи, так же часто ассоциированные с COVID-19 инфекцией. Клинической особенностью розового лишая при коронавирусной инфекции является отсутствие "материнской бляшки" (самого крупного элемента, возникающего первым при классическом течении дерматоза).

3 группа - Кореподобные сыпи и инфекционные эритемы. При COVID-19 инфекции эти сыпи напоминают по своим клиническим характеристикам высыпания, возникающие при кори или других вирусных инфекций и, тем самым, указывают на патогенетическую близость к классическим вирусным экзантемам.

4 группа - Папуло-везикулезные высыпания (по типу милиарии или эккринной потницы). Возникают на фоне субфебрилитета с многодневным повышенным потоотделением у пациентов. В отличие от классической милиарии высыпания при COVID-19 инфекции характеризуются обширностью поражений кожных покровов.

5 группа - Токсидермии. Напрямую не связаны с коронавирусной инфекцией и являются следствием индивидуальной непереносимости пациентами определенных лекарственных препаратов. По сравнению с антибактериальными и комбинированными противовирусными препаратами гидроксихлорохин реже вызывает аллергические реакции со стороны кожи при лечении коронавирусной инфекции.

6 группа - Крапивница. В зависимости от своего происхождения заболевание может иметь двоякий характер. С одной стороны, уртикарные высыпания могут быть предвестником начала инфекции COVID-19 или возникают вместе с ее первыми симптомами. С другой стороны, крапивница нередко развивается вследствие лекарственной непереносимости и в таком случае является клинической формой токсидермии. Акральное расположение волдырей на фоне инфекции COVID-19 так же можно отнести к специфическим особенностям уртикарного поражения кожи при этом вирусном заболевании.

7 группа - Артифициальные поражения (трофические изменения тканей лица). Являются следствием вынужденного длительного пребывания больных в прон-позиции с целью улучшения дыхательной функции.

Особенности клинических проявлений у пациентов пожилого и старческого возраста

У пациентов старческого возраста может наблюдаться атипичная картина заболевания без лихорадки, кашля, одышки. Симптомы COVID-19 могут быть легкими и не соответствовать тяжести заболевания и серьезности прогноза.

Атипичные симптомы COVID-19 у пациентов пожилого и старческого возраста включают делирий, падения, функциональное снижение, конъюнктивит. Могут наблюдаться бред, тахикардия или снижение артериального давления.

Для скрининга делирия рекомендуется использование краткой шкалы оценки спутанности сознания (таблица 1).

Таблица 1

Краткая шкала оценки спутанности сознания

ЭТАП 1
Острота и волнообразность изменений психического статуса:
Имеются ли изменения психического статуса относительно исходного уровня?
ИЛИ
Отмечались ли волнообразные изменения психического статуса в течение последних 24 часов?
Оба вопроса "НЕТ" ->
ДЕЛИРИЯ НЕТ
На 1 вопрос "ДА" ->
этап 2
ЭТАП 2
Нарушение внимания:
Сжимайте мою руку каждый раз, когда я скажу букву "А"
Прочитайте следующую последовательность букв
"Л А М П А А Л А Д Д И Н А"
ОШИБКИ: Не сжимает на букву А и сжимает на другие буквы
0 - 2 ошибки ->
ДЕЛИРИЯ НЕТ
>= 2 ошибок ->
этап 3
ЭТАП 3
Изменения уровня сознания Уровень сознания на текущий момент (Richmond Agitation-Sedation Scale)
RASS не 0 ->
ДЕЛИРИЙ ЕСТЬ
RASS = 0 -> этап 4
ЭТАП 4
Дезорганизованное мышление:
1. Камень будет держаться на воде?
2. Рыба живет в море?
3. Один килограмм весит больше двух?
4. Молотком можно забить гвоздь?
Команда: "Покажите столько пальцев" (покажите 2 пальца) "Теперь сделайте то же другой рукой"
(не демонстрируйте) ИЛИ "Добавьте еще один палец"
(если пациент не может двигать обеими руками)
>= 2 ошибок ->
ДЕЛИРИЙ ЕСТЬ
0 - 1 ошибка ->
ДЕЛИРИЯ НЕТ
Заключение: ДЕЛИРИЙ делирия нет 

Ричмондская шкала ажитации (The Richmond Agitation-Sedation Scale, RASS)

+4 ВОИНСТВЕННЫЙ: воинственен, агрессивен, опасен для окружающих (срочно сообщить врачу об этих явлениях)

+3 ОЧЕНЬ ВОЗБУЖДЕН: агрессивен, пытается вырвать трубки, капельницу или катетер (сообщить врачу)

+2 ВОЗБУЖДЕН: частые бесцельные движения, сопротивление процедурам

+1 НЕСПОКОЕН: тревожен, неагрессивные движения

0 СПОКОЕН И ВНИМАТЕЛЕН

-1 СОНЛИВ: невнимателен, сонлив, но реагирует всегда на голос

-2 ЛЕГКАЯ СЕДАЦИЯ: просыпается на короткое время на голос

-3 СРЕДНЯЯ СЕДАЦИЯ: движение или открытие

4. ДИАГНОСТИКА КОРОНАВИРУСНОЙ ИНФЕКЦИИ

4.1. АЛГОРИТМ ОБСЛЕДОВАНИЯ ПАЦИЕНТА С ПОДОЗРЕНИЕМ НА COVID-19

При наличии факторов, свидетельствующих о случае, подозрительном на коронавирусную инфекцию, вызванную SARS-CoV-2, пациентам вне зависимости от вида оказания медицинской помощи проводится комплекс клинического обследования для определения степени тяжести состояния, включающий сбор анамнеза, физикальное обследование, исследование диагностического материала с применением методов амплификации нуклеиновых кислот, пульсоксиметрию.

По результатам проведенного комплекса клинического обследования решается вопрос о виде оказания медицинской помощи и объеме дополнительного обследования. Диагноз устанавливается на основании клинического обследования, данных эпидемиологического анамнеза и результатов лабораторных исследований.

1. Подробная оценка всех жалоб, анамнеза заболевания, эпидемиологического анамнеза.

При сборе эпидемиологического анамнеза устанавливается наличие зарубежных поездок за 14 дней до первых симптомов, а также наличие тесных контактов за последние 14 дней с лицами, подозрительными на инфицирование SARS-CoV-2, или лицами, у которых диагноз COVID-19 подтвержден лабораторно.

2. Физикальное обследование с установлением степени тяжести состояния пациента, обязательно включающее:

- Оценку видимых слизистых оболочек верхних дыхательных путей, - аускультацию и перкуссию легких,

- Пальпацию лимфатических узлов,

- Исследование органов брюшной полости с определением размеров печени и селезенки,

- Термометрию,

- оценку уровня сознания,

- Измерение частоты сердечных сокращений, артериального давления, частоты дыхательных движений.

- Пульсоксиметрию с измерением SpO2 для выявления дыхательной недостаточности и оценки выраженности гипоксемии.

1. Лабораторная диагностика этиологическая

- Выявление РНК SARS-CoV-2 с применением методов амплификации нуклеиновых кислот (информация представлена в разделе 4.2). Инструкция по проведению этиологической лабораторной диагностики коронавирусной инфекции представлена в Приложении 3.

- Выявление иммуноглобулинов класса M и класса G к SARS-CoV-2.

2. Лабораторная диагностика общая (дополнительная)

Объем, сроки и кратность лабораторных исследований зависят от степени тяжести заболевания. Легкое течение заболевания с наблюдением пациента в амбулаторных условиях не требует дополнительных лабораторных исследований. В случае госпитализации по поводу среднетяжелого, тяжелого и крайне тяжелого течения необходимо выполнить следующие исследования:

Общий (клинический) анализ крови с определением уровня эритроцитов, гемоглобина, гематокрита, лейкоцитов, тромбоцитов, лейкоцитарной формулы.

Биохимический анализ крови (мочевина, креатинин, электролиты, глюкоза, аланинаминотрансфераза, аспартатаминотрансфераза, билирубин, альбумин, лактат, лактатдегидрогеназа, тропонин, ферритин, прокальцитонин, мозговой натрий-уретический пептид - NT-proBNP/BNP). Биохимический анализ крови не дает какой-либо специфической информации, но обнаруживаемые отклонения могут указывать на наличие органной дисфункции, декомпенсацию сопутствующих заболеваний и развитие осложнений, имеют определенное прогностическое значение, оказывают влияние на выбор лекарственных средств и/или режим их дозирования.

C-реактивный белок (СРБ) является основным лабораторным маркером активности процесса в легких. Его повышение коррелирует с объемом поражения легочной ткани и является основанием для начала противовоспалительной терапии.

Прокальцитонин при коронавирусной инфекции с поражением респираторных отделов легких находится в пределах референсных значений. Повышение прокальцитонина свидетельствует о присоединении бактериальной инфекции и коррелирует с тяжестью течения, распространенностью воспалительной инфильтрации и прогнозом при бактериальных осложнениях.

Коагулограмма в объеме: активированное частичное тромбопластиновое время (АЧТВ), протромбиновое время (протромбиновое отношение и % протромбина по Квику), фибриноген, D-димер (количественным методом).

Прогностические лабораторные маркеры

Лимфопения и тромбоцитопения. У большинства пациентов с COVID-19 наблюдается нормальное число лейкоцитов, у одной трети обнаруживается лейкопения; лимфопения присутствует у 83,2% пациентов. Тромбоцитопения носит умеренный характер, но более отчетлива среди группы с тяжелым течением и умерших от COVID-19.

Возрастание D-димера в 3 - 4 раза более возрастной нормы и удлинение протромбинового времени, особенно при тяжелом течении (снижение % протромбина), увеличение фибриногена имеет клиническое значение. Необходимо учитывать возрастные особенности; D-димер повышается после 50 лет в связи с накоплением хронических заболеваний. Расчет возрастного уровня верхней границы референтного интервала может быть выполнен по формуле: возраст x 0,01 мкг/мл (при измерении в единицах FEU). Также с осторожностью нужно подходить к исследованию D-димера у беременных. Для беременности, даже физиологически протекающей, характерно повышение D-димера с существенным разбросом значений в этой группе. Вне инфекции SARS-CoV-2 D-димер не является определяющим в тактике и при назначении низкомолекулярных гепаринов. Клиническое значение его повышения при COVID-19 у беременных окончательно не определено.

Наличие органной дисфункции, декомпенсации сопутствующих заболеваний и развитие осложнений, выявленные биохимическим анализом крови, имеют прогностическое значение и оказывают влияние на выбор лекарственных средств и/или режим их дозирования. Возможно повышение активности аминотрансфераз и креатинкиназы, концентрации тропонина, креатинина или мочевины;

Уровень СРБ коррелирует с тяжестью течения, распространенностью воспалительной инфильтрации и прогнозом при пневмонии. Концентрация СРБ увеличивалась у большинства пациентов, одновременно с увеличением интерлейкина-6 (ИЛ-6) и СОЭ в разной степени. ИЛ-6, ИЛ-10 и возрастают во время болезни и снижаются при выздоровлении. Пациенты, нуждающиеся в госпитализации, имеют значительно более высокие уровни ИЛ-6, ИЛ-10 и и сниженное количество CD4 и CD8 T-клеток. Уровень ИЛ-6, ИЛ-10 и фактора некроза обратно коррелирует с количеством CD4 и CD8, ассоциированных с лимфопенией. Отмечено увеличение острофазового белка ферритина при неблагоприятном течении заболевания.

Лабораторными признаками "цитокинового шторма" и ОРДС могут быть: внезапное нарастание клинических проявлений через 1 - 2 недели от момента начала заболевания, сохраняющаяся или вновь появившаяся фебрильная лихорадка, выраженная лимфопения в общем анализе крови, снижение количества T- и B-лимфоцитов, значительное повышение уровня D-димера (> 1500) или его быстрое нарастание и/или высокие уровни интерлейкина-6 (> 40 пг/мл) и/или повышение уровня C-реактивного белка более 75 мг/л, интерстициальное поражение легких. При развитии ОРДС каждые 48 - 72 часа до стойкого получения отрицательных уровней необходимо определять: ИЛ-6, D-димер, ферритин, фибриноген, C-реактивный белок, триглицериды, ЛДГ.

В диагностике и прогнозе течения сепсиса имеет значение уровень прокальцитонина: < 0.5 мкг/л - низкий риск бактериальной коинфекции и неблагоприятного исхода; > 0.5 мкг/л - пациенты с высоким риском, вероятна бактериальная коинфекция. Анализ на прокальцитонин при поступлении является дополнительной информацией для ранней оценки риска и исключения бактериальной коинфекции у пациентов с COVID-19.

Развитие сердечно-сосудистых осложнений при COVID-2019 также сопровождается лимфопенией, тромбоцитопенией, повышением СРБ, МВ фракции креатинкиназы, высокочувствительного тропонина и мозгового натрий-уретического пептида (NT pro-BNP). Для выявления пациентов группы риска необходимо рассмотреть регулярный контроль тропонина (ежедневно в ОРИТ, через день - у стационарных пациентов), контроль NT-proBNP как маркера миокардиального стресса: у пациента с нарастающей одышкой и NT-proBNP >= 2000 пг/мл отмечен наивысший риск и приоритет для очного осмотра и госпитализации в ОРИТ; при 400 <= NT-proBNP < 2000 пг/мл пациенты рассматривается как больной с промежуточным риском.

Необходимый объем лабораторного и инструментального обследования в зависимости от клинических проявлений заболевания представлен в Приложении 2-1. Лабораторный мониторинг пациентов с COVID-19 или с подозрением на COVID-19 в зависимости от тяжести состояния представлен в Приложении 2-2.

1. Инструментальная диагностика общая

Пульсоксиметрия с измерением SpO2 для выявления дыхательной недостаточности и оценки выраженности гипоксемии является простым и надежным скрининговым методом, позволяющим выявлять пациентов с гипоксемией, нуждающихся в респираторной поддержке, и оценивать ее эффективность. Пациентам с признаками острой дыхательной недостаточности (ОДН) (SpO2 менее 90%) рекомендуется исследование газов артериальной крови с определением PaO2, PaCO2, pH, бикарбонатов, лактата.

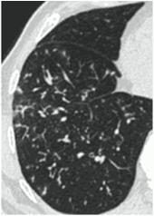
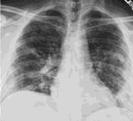
Методы лучевой диагностики применяют для выявления COVID-19 пневмоний, их осложнений, дифференциальной диагностики с другими заболеваниями легких, а также для определения степени выраженности и динамики изменений, оценки эффективности проводимой терапии.

Лучевые методы также необходимы для выявления и оценки характера патологических изменений в других анатомических областях и как средства контроля для инвазивных (интервенционных) медицинских вмешательств.

К методам лучевой диагностики патологии ОГК пациентов с предполагаемой/установленной COVID-19 пневмонией относят:

- Обзорную рентгенографию легких (РГ),

- Компьютерную томографию легких (КТ),

- Ультразвуковое исследование легких и плевральных полостей (УЗИ).

Стандартная РГ имеет низкую чувствительность в выявлении начальных изменений в первые дни заболевания и не может применяться для ранней диагностики. Информативность РГ повышается с увеличением длительности течения пневмонии. Рентгенография с использованием передвижных (палатных) аппаратов является основным методом лучевой диагностики патологии ОГК в отделениях реанимации и интенсивной терапии (ОРИТ). Применение передвижного (палатного) аппарата оправдано и для проведения обычных РГ исследований в рентгеновском кабинете. В стационарных условиях относительным преимуществом РГ в сравнении с КТ являются большая пропускная способность. Метод позволяет уверенно выявлять тяжелые формы пневмоний и отек легких различной природы, которые требуют госпитализации, в том числе направления в ОРИТ.

КТ имеет высокую чувствительность в выявлении изменений в легких, характерных для COVID-19. Применение КТ целесообразно для первичной оценки состояния ОГК у пациентов с тяжелыми прогрессирующими формами заболевания, а также для дифференциальной диагностики выявленных изменений и оценки динамики процесса. КТ позволяет выявить характерные изменения в легких у пациентов с COVID-19 еще до появления положительных лабораторных тестов на инфекцию с помощью методов амплификации нуклеиновых кислот. В то же время, КТ выявляет изменения легких у значительного числа пациентов с бессимптомной и легкой формами заболевания, которым не требуется госпитализация. Результаты КТ в этих случаях не влияют на тактику лечения и прогноз заболевания при наличии лабораторного подтверждения COVID-19. Поэтому массовое применение КТ для скрининга асимптомных и легких форм болезни не рекомендуется.

Ограничениями КТ в сравнении с РГ являются меньшая доступность технологии в отдельных медицинских организациях, городах и регионах; недоступность исследования для части пациентов, находящихся на искусственной вентиляции легких (ИВЛ); высокая потребность в КТ-исследованиях для диагностики других заболеваний.

Вместе с тем, комплексная оценка анамнестических, клинических и рентгенологических данных позволяет определить клинически подтвержденный случай COVID-19, маршрутизировать пациента и начать противовирусную терапию.

В связи с этим КТ может быть исследованием "первой линии" в тех медицинских организациях/территориях, в которых имеется достаточное количество аппаратов и кадровое обеспечение для выполнения требуемого объема исследований без ущерба для своевременной диагностики других болезней (онкологических, неврологических и т.д.) у наиболее нуждающихся в этом исследовании пациентов.

УЗИ легких у пациентов с предполагаемой/известной COVID-19 пневмонией является дополнительным методом визуализации, который не заменяет и не исключает проведение РГ и КТ. При соблюдении правильной методики, выборе правильных показаний и наличии подготовленного врачебного персонала это исследование отличается высокой чувствительностью в выявлении интерстициальных изменений и консолидаций в легочной ткани, но только при субплевральном их расположении. Данные УЗИ не позволяют однозначно определить причину возникновения и/или действительную распространенность изменений в легочной ткани.

Следует учитывать, что УЗИ не является стандартной процедурой в диагностике пневмоний, оно не включено в клинические рекомендации и стандарты оказания медицинской помощи по диагностике и лечению внебольничной пневмонии. В связи с этим результативность исследований в значительной степени зависит от имеющегося опыта и квалификации врача, проводящего исследование.

Рекомендации

1. Рекомендовано выбирать методы визуализации при известной/предполагаемой COVID-19 инфекции дифференцированно, в соответствии с имеющимися оборудованием и кадровыми ресурсами медицинской организации, а также структурой и количеством обследуемых пациентов.

2. Не рекомендовано применение методов лучевой диагностики при отсутствии симптомов респираторной инфекции у пациентов с положительными результатами лабораторных исследований на РНК SARS-CoV-2, а также при наличии эпидемиологических данных, указывающих на возможность инфицирования.

Комментарий. В доступных на данный период времени клинических рекомендациях указано, что применение РГ, КТ и УЗИ для скрининга (выявления патологии при отсутствии клинических симптомов) внебольничных пневмоний в целом и при COVID-19 в частности нецелесообразно.

3. Применение лучевых методов у пациентов с симптомами ОРВИ легкой степени тяжести и стабильном состоянии пациента, возможно только по конкретным клиническим показаниям, в том числе, при наличии факторов риска, при условии достаточных технических и организационных возможностей. Методом выбора в этом случае является КТ легких по стандартному протоколу без внутривенного контрастирования или РГ при ограниченной доступности КТ. Использование УЗИ в этих случаях нецелесообразно.

4. Все выявляемые при лучевых исследованиях признаки, включая КТ-симптомы, не являются специфичными для какого-либо вида инфекции и не позволяют установить этиологический диагноз. Вне клинической (эпидемической) ситуации они не позволяют отнести выявленные изменения к COVID-19 пневмонии и дифференцировать их с другими пневмониями и невоспалительными заболеваниями. Данные лучевого исследования не заменяют результаты обследования на РНК SARS-CoV-2. Отсутствие изменений при КТ не исключают наличие COVID-19 и возможность развития пневмонии после проведения исследования.

5. Рекомендовано проведение лучевого исследования пациентам при среднетяжелом, тяжелом и крайне тяжелом течении респираторной инфекции с целью медицинской сортировки, оценки характера изменений в грудной полости и определения прогноза заболевания:

- выполнение КТ легких без внутривенного контрастирования в стационарных условиях или в амбулаторных - при показаниях к госпитализации;

- выполнение РГ легких в двух проекциях, если проведение КТ в данной медицинской организации/клинической ситуации невозможно.

6. Внутривенное контрастирование при КТ у пациентов с известной/предполагаемой вирусной (COVID-19) пневмонией проводится при подозрении на заболевания и патологические состояния, диагностика которых невозможна без использования контрастных средств (ТЭЛА, онкологические заболевания др.). Внезапный рост концентрации Д-димера в анализах крови и клиническое подозрение на ТЭЛА являются важными критериями для выполнения КТ-ангиопульмонографии при условии, что ее положительный результат может оказать влияние на лечение и ведение пациента.

7. Решение о внутривенном контрастировании принимает врач-рентгенолог совместно с врачом, направляющим пациента на КТ. Введение контрастного средства выполняется в соответствии с общими правилами проведения рентгеноконтрастных исследований.

8. Рекомендовано проведение лучевого исследования пациентам с тяжелым и крайне тяжелым течением респираторной инфекции, требующим лечения в условиях отделения реанимации и интенсивной терапии:

- оптимально: выполнение экстренного КТ исследования легких по стандартному протоколу без внутривенного контрастирования, если возможна транспортировка пациента в кабинет КТ до отделения реанимации и интенсивной терапии;

- оптимально: выполнение экстренной РГ легких в отделении реанимации/интенсивной терапии с использованием передвижного (палатного) аппарата;

- возможно: выполнение УЗИ легких и плевральных полостей по клиническим показаниям в дополнении к РГ или КТ.

Комментарии.

1. Применение УЗИ легких как дополнительного исследования возможно только при наличии технических возможностей и подготовленного персонала, имеющего опыт проведения исследований легких. Данные УЗИ дополняют, но не заменяют РГ и КТ легких. Подробная информация о применении УЗИ легких при COVID-19 пневмонии размещена на сайте http://www.rasudm.org и в Приложении 1.

2. Применение МРТ легких для диагностики пневмоний, вызванных COVID-19, не рекомендуется для практического здравоохранения. Этот метод может применяться в исключительных случаях для оценки состояния легких при недоступности КТ (поломка единственного прибора) и неопределенных результатах РГ, а также при наличии врачей, обладающих опытом выполнения и интерпретации подобных исследований. Применение МРТ для исследований других органов и систем (головной мозг, позвоночник и т.д.) у больных COVID-19 осуществляется по жизненно важным показаниям, в специально выделенных для этой цели кабинетах с соблюдением всех методов защиты персонала отделений лучевой диагностики. Возможно также разделение времени работы МРТ, когда выделяется смены (временные интервалы) для раздельного обследования инфицированных и неинфицированных пациентов. Для такого режима работы, требуется тщательная дезинфекция кабинета перед началом обследования неинфицированных пациентов согласно установленным правилам.

9. Оценка динамики течения выявленной пневмонии COVID-19 проводится по клиническим показаниям с применением следующих методов визуализации:

- оптимально: выполнение КТ исследования легких по стандартному протоколу без внутривенного контрастирования;

- возможно: РГ в двух проекциях в рентгеновском кабинете;

- возможно: выполнение УЗИ легких (как дополнительное исследование) при невозможности оценки динамики с помощью КТ и РГ при условии наличия (1) первоначальной информации об истинном объеме и причине поражения легких и (2) подготовленного врачебного персонала.

Комментарии. Кратность повторения КТ, РГ или УЗИ зависит от клинических показаний, диктующих необходимость оценки динамики. Рекомендуемая кратность повторения для КТ и РГ - не реже, чем один раз в 7 дней.

Объективная оценка динамики возможна только при сопоставлении данных одного вида исследования, например, КТ или РГ. Сравнение визуальной картины пневмонии при использовании различных методов визуализации затруднено и, как правило, субъективно. Возможно использование УЗИ легких, но только при условии наличия (1) первоначальной информации об истинном объеме и причине поражения легких и (2) подготовленного врачебного персонала.

10. Оценка динамики пневмонии COVID-19 в отделениях реанимации и интенсивной терапии проводится по клиническим показаниям:

- оптимально: выполнение КТ исследования легких при возможности транспортировки пациентов в кабинет КТ или с помощью мобильного КТ-аппарата;

- оптимально: выполнение РГ легких при возможности транспортировки пациентов в рентгеновский кабинет;

- возможно: выполнение РГ с помощью передвижного (палатного) рентгеновского аппарата;

- возможно: выполнение УЗИ легких (как дополнительное исследование) при невозможности оценки динамики с помощью КТ и РГ при условии наличия (1) первоначальной информации об истинном объеме и причине поражения легких и (2) подготовленного врачебного персонала.

Комментарии: следует учитывать ограниченную информативность РГ в отделении реанимации и интенсивной терапии с использованием передвижного (палатного) рентгеновского аппарата, в том числе из-за обычной практики исследования в одной прямой проекции. Выполнение УЗИ легких и плевральных полостей может быть дополнительным исследованием при невозможности проведения КТ, которое выполняется по клиническим показаниям, и при наличии персонала, имеющего опыт проведения и интерпретации таких исследований.

11. Рекомендовано использовать специальные меры по ограничению доз облучения при обследовании беременных, новорожденных и детей младшего возраста при возможности развития у них COVID-19 пневмонии.

Комментарии. Обследование беременных женщин с известной/предполагаемой COVID-19 пневмонией осуществляется с использованием стандартных методик РГ, КТ. Необходимо использовать предустановленные программы по ограничению доз облучения, нужна защита радиочувствительных органов и плода (области живота и таза) с применением стандартных защитных средств (фартуки, воротники), имеющихся в кабинетах. При невозможности и отказе от проведения КТ и РГ применяется УЗИ легких при наличии подготовленного врачебного персонала.

Обследование новорожденных и детей младшего возраста с известной/предполагаемой COVID-19 пневмонией по возможности начинается с применения УЗИ легких, плевральных полостей и средостения, при наличии клинических показаний продолжается с использованием РГ и/или КТ органов грудной полости.

12. При наличии клинических показаний все указанные методы лучевой диагностики могут применяться для оценки состояния других анатомических областей и отдельных органов с целью выявление патологических изменений и оценки их динамики.

13. При всех лучевых исследованиях должны быть обеспечены эпидемическая безопасность и защита персонала и пациентов согласно временным рекомендациям МЗ РФ для работы медучреждений в условиях эпидемии COVID-19.

Комментарии. Основными компонентами защиты персонала являются зонирование кабинетов лучевой диагностики, ограничение контактов между потоками потенциально инфицированных и неинфицированных пациентов, ограничение контактов персонала отделения/кабинетов лучевой диагностики, сменная работа персонала, обязательное применение средств индивидуальной защиты.

Уборка и дезинфекция помещений кабинетов РГ, КТ и УЗИ, стерилизация оборудования и мебели кабинетов выполняются согласно настоящим временным методическим рекомендациям МЗ РФ

14. Работа кабинетов/отделений лучевой диагностики организуется в круглосуточном режиме (смены по 6, 12 или 24 часа в сутки в зависимости от штатного расписания и загрузки конкретного лечебного учреждения). Рекомендуется создание в медицинских организациях системы дистанционного описания изображений дежурными врачами-рентгенологами.

15. Рекомендации по формированию описаний и оценке изменений в легких и органах грудной полости при имеющейся/подозреваемой COVID-19 пневмонии представлены в Приложении 1.

Электрокардиография (ЭКГ) в стандартных отведениях рекомендуется всем пациентам. Данное исследование не содержит какой-либо специфической информации, однако в настоящее время известно, что вирусная инфекция и пневмония увеличивают риск развития нарушений ритма и острого коронарного синдрома, своевременное выявление которых значимо влияет на прогноз. Кроме того, определенные изменения на ЭКГ (например, удлинение интервала QT) требуют внимания при оценке кардиотоксичности ряда антибактериальных препаратов (респираторные фторхинолоны, макролиды), противомалярийных препаратов, применяемых в настоящее время в качестве этиотропных препаратов для лечения COVID-19.

Решение о необходимости госпитализации пациента принимается врачом на основании комплекса клинико-эпидемиологических данных с учетом тяжести состояния пациента (среднетяжелое/тяжелое течение заболевания) и требований, предусмотренных приказом Минздрава России от 19.03.2020 N 198н "О временном порядке организации работы медицинских организаций в целях реализации мер по профилактике и снижению рисков распространения новой коронавирусной инфекции COVID-19".

4.2. ЛАБОРАТОРНАЯ ДИАГНОСТИКА COVID-19

Основное значение для этиологической лабораторной диагностики COVID-19 имеет выявление РНК SARS-CoV-2 с помощью методов амплификации нуклеиновых кислот. Перечень зарегистрированных в Российской Федерации диагностических наборов реагентов для выявления РНК SARS-CoV-2 представлен в Приложении 4.

Лабораторное обследование на наличие РНК SARS-CoV-2 рекомендуется проводить всем лицам с признаками острой респираторной инфекции (ОРИ).

В обязательном порядке лабораторное обследование на COVID-19 с применением методов амплификации нуклеиновых кислот проводится следующим категориям лиц <1>:

<1> Постановление Главного государственного санитарного врача РФ от 30 марта 2020 г. N 9 "О дополнительных мерах по недопущению распространения COVID-2019".

Постановление Главного государственного санитарного врача РФ от 22 мая 2020 г. N 15 "Об утверждении санитарно-эпидемиологических правил СП 3.1.3597-20 "Профилактика новой коронавирусной инфекции (COVID-19)".

- прибывшие на территорию Российской Федерации с наличием симптомов инфекционного заболевания (или при появлении симптомов в течение периода медицинского наблюдения);

- контактировавшие с больным COVID-19, при появлении симптомов, не исключающих COVID-19, в ходе медицинского наблюдения и при отсутствии клинических проявлений на 8 - 10 календарный день медицинского наблюдения со дня контакта с больным COVID-19;

- с диагнозом "внебольничная пневмония";

- работники медицинских организаций, имеющих риск инфицирования при профессиональной деятельности,

- до появления иммуноглобулинов G - 1 раз в неделю;

- при появлении симптомов, не исключающих COVID-19, - немедленно;

- находящиеся в интернатах, детских домах, детских лагерях, пансионатах для пожилых и других стационарных организациях социального обслуживания, учреждениях уголовно-исполнительной системы при появлении респираторных симптомов;

- в возрасте старше 65-ти лет, обратившихся за медицинской помощью с респираторными симптомами;

- работники стационарных организаций социального обслуживания населения, учреждений уголовно-исполнительной системы при вахтовом методе работы до начала работы в организации с целью предупреждения заноса COVID-19.

- дети из организованных коллективов при возникновении 3-х и более случаев заболеваний, не исключающих COVID-19 (обследуются как при вспышечной заболеваемости).

При обращении в медицинские организации лабораторному обследованию на наличие РНК SARS-CoV-2 подлежат пациенты без признаков ОРИ при наличии следующих данных эпидемиологического анамнеза:

- возвращение из зарубежной поездки за 14 дней до обращения;

- наличие тесных контактов за последние 14 дней с лицами, находящимися под наблюдением по инфекции, вызванной SARS-CoV-2, которые в последующем заболели;

- наличие тесных контактов за последние 14 дней с лицами, у которых лабораторно подтвержден диагноз COVID-19;

- наличие профессиональных контактов с биоматериалом от пациентов с COVID-19 и лиц с подозрением на данное заболевание (врачи, специалисты с высшим профессиональным (немедицинским) образованием, средний и младший медицинский персонал).

- рождение от матери, у которой за 14 дней до родов был выявлен подозрительный или подтвержденный случай COVID-19.

Основным видом биоматериала для лабораторного исследования на наличие РНК SARS-CoV-2 является материал, полученный при заборе мазка из носоглотки (из двух носовых ходов) и ротоглотки. Мазки со слизистой оболочки носоглотки и ротоглотки собираются в одну пробирку для большей концентрации вируса.

При признаках заболевания нижних дыхательных путей дополнительно исследуются мокрота (при наличии) или промывные воды бронхов, полученные при фибробронхоскопии (бронхоальвеолярный лаваж), (эндо)трахеальный, назофарингеальный аспират. У интубированных пациентов (у пациентов, находящихся на ИВЛ) с целью выявления SARS-CoV-2 рекомендуется получение и исследование аспирата содержимого трахеи.

В качестве дополнительного материала для исследования могут использоваться биопсийный или аутопсийный материал легких, цельная кровь, сыворотка, фекалии.

Выявление иммуноглобулинов имеет вспомогательное значение не столько для диагностики текущей инфекции, сколько для оценки иммунного ответа на перенесенную или текущую инфекцию. Основное клиническое значение пока предполагается для иммуноглобулинов M и G. Иммуноглобулины класса M (IgM) начинают формироваться примерно с 7 суток от начала заражения, достигают пика через неделю, а впоследствии концентрация их постепенно падает в течение 2-х недель. Одновременно примерно с 3-й недели или немного раньше определяются иммуноглобулины класса G (IgG) к SARS-CoV-2, которые предположительно будут иметь значение в оценке устойчивости, напряженности и эффективности приобретенного иммунитета. В настоящее время продолжают разрабатываться и тестироваться новые лабораторные методики, основанные на иммунохроматографии, иммунохемилюминисценции и иммуноферментном анализе. Перечень зарегистрированных в Российской Федерации диагностических наборов реагентов для выявления иммуноглобулинов к SARS-CoV-2 представлен в Приложениях 5-1 и 5-2. Результаты обнаружения IgG к SARS-CoV-2 будут иметь значение для установления факта перенесенной ранее инфекции, выявления медицинских работников и лиц из других групп населения с высоким иммунитетом, а также для отбора потенциальных доноров иммунокомпетентной плазмы.

В качестве материала для проведения лабораторных исследований на наличие IgM и IgG к SARS-CoV-2 используется кровь или другие виды биоматериала в соответствии с инструкцией применяемого набора реагентов.

Лабораторное обследование на наличие IgG к SARS-CoV-2 с помощью зарегистрированных наборов реагентов рекомендуется проводить всем медработникам, которым не проводилось такое исследование ранее, или если был получен отрицательный результат.

Рекомендуется проводить тестирование всех пациентов, поступающих в медицинские организации для оказания плановой медицинской помощи, на наличие IgM и IgG к SARS-CoV-2 с помощью зарегистрированных экспресс-тестов.

Все образцы, полученные для этиологического лабораторного исследования, следует считать потенциально инфицированными, и при работе с ними должны учитываться требования СП 1.3.3118-13 "Безопасность работы с микроорганизмами I - II групп патогенности (опасности)". Медицинские работники, которые собирают или транспортируют клинические образцы в лабораторию, должны быть обучены практике безопасного обращения с биоматериалом, строго соблюдать меры предосторожности и использовать средства индивидуальной защиты (СИЗ).

Транспортировка образцов осуществляется с соблюдением требований СП 1.2.036-95 "Порядок учета, хранения, передачи и транспортирования микроорганизмов I - IV групп патогенности". На сопровождающем формуляре необходимо указать наименование подозреваемой ОРИ, предварительно уведомив лабораторию о том, какой образец транспортируется. Транспортировка возможна на льду.

Лабораторная диагностика COVID-2019 в субъектах Российской Федерации проводится в лабораториях Центров гигиены и эпидемиологии Роспотребнадзора, в лабораториях медицинских организаций (клинико-диагностических, бактериологических, молекулярно-генетических (ПЦР-лаборатории)) и лабораториях других организаций, имеющих санитарно-эпидемиологическое заключение на работу с возбудителями III - IV группы патогенности с использованием методов диагностики, не предполагающих накопление возбудителя, соответствующие условия работы и обученный персонал. Срок выполнения исследования на выявление РНК SARS-CoV-2 методом амплификации нуклеиновых кислот в лабораториях медицинских организаций не должен превышать 48 часов с момента получения биологического материала. Лаборатории должны выдавать заключения по результатам исследований немедленно по получении результатов исследования.

Образцы с положительным или сомнительным результатом пересылаются в определенные Роспотребнадзором лаборатории на базе центров гигиены и эпидемиологии Роспотребнадзора в субъектах Российской Федерации, или на базах научно-исследовательских организаций Роспотребнадзора и Минздрава России. Срок выдачи результатов лабораторных исследований в медицинские организации, направившие пробы биологического материала, не должен превышать 48 часов с момента их получения.

Лаборатории должны выдавать заключения по результатам исследований немедленно по их получению. Образцы с положительным или сомнительным результатом пересылаются в определенные Роспотребнадзором лаборатории на базе центров гигиены и эпидемиологии Роспотребнадзора в субъектах Российской Федерации, или на базах научно-исследовательских организаций Роспотребнадзора и Минздрава России.

Медицинские организации, в соответствии с действующим санитарным законодательством, направляют экстренное извещение (список, заверенный медицинской организацией) в территориальные органы Роспотребнадзора. Учет больных COVID-19 и внесение в отчетные формы Роспотребнадзора проводится территориальными органами Роспотребнадзора только по полученным экстренным извещениям (спискам, заверенным медицинской организацией).

Медицинские организации, выявившие случай заболевания COVID-19 (в т.ч. подозрительный), вносят информацию о нем в информационный ресурс в соответствии с постановлением Правительства РФ от 31 марта 2020 г. N 373.

Для проведения дифференциальной диагностики у всех заболевших проводят исследования с применением методов амплификации нуклеиновых кислот на возбудители респираторных инфекций: вирусы гриппа типа A и B, респираторно-синцитиальный вирус, вирусы парагриппа, риновирусы, аденовирусы, человеческие метапневмовирусы, MERS-CoV. Рекомендуется проведение микробиологической диагностики (культуральное исследование) и/или ПЦР-диагностики на Streptococcus pneumoniae, Haemophilus influenzae type B, Legionella pneumophila, а также иных возбудителей бактериальных респираторных инфекций нижних дыхательных путей. Для экспресс-диагностики могут использоваться экспресс-тесты для выявления пневмококковой и легионеллезной антигенурии.

4.3. ДИФФЕРЕНЦИАЛЬНАЯ ДИАГНОСТИКА COVID-19

Необходимо дифференцировать новую коронавирусную инфекцию с гриппом, острыми вирусными инфекциями, вызываемыми вирусами из группы ОРВИ (риновирус, аденовирус, РС-вирус, человеческие метапневмовирусы, MERS-CoV, парагрипп), вирусными гастроэнтеритами, бактериальными возбудителями респираторных инфекций.

Длительность инкубационного периода COVID-19 может колебаться от 2 до 14 дней, однако в среднем составляет 5 - 7 дней, тогда как длительность инкубационного периода гриппа и ОРВИ, как правило, не превышает 3 дней. При гриппе заболевание начинается резко, при COVID-19 и ОРВИ, как правило, постепенно. Как при COVID-19, так и при гриппе может отмечаться высокая лихорадка, кашель, слабость. При течении ОРВИ высокая лихорадка, слабость встречаются редко. При этом при гриппе и ОРВИ одышка и затрудненное дыхание отмечаются значительно реже, чем при COVID-19.

При вирусных гастроэнтеритах ведущим будет поражение желудочно-кишечного тракта (ЖКТ), симптомы поражения дыхательных путей, как правило, выражены минимально.

В целом при проведении дифференциальной диагностики необходимо учитывать данные эпидемиологического анамнеза, клинические симптомы и их динамику. Во всех подозрительных случаях показано обследование на SARS-COV-2 и возбудителей других респираторных инфекций.

В Российской Федерации на фоне спада заболеваемости сезонными ОРИ любой случай респираторного заболевания вне зависимости от эпидемиологического анамнеза следует рассматривать как подозрительный на COVID-19.

5. ЛЕЧЕНИЕ КОРОНАВИРУСНОЙ ИНФЕКЦИИ

Основным подходом к терапии COVID-19 должно быть упреждающее назначение лечения до развития полного симптомокомплекса жизнеугрожающих состояний, а именно пневмонии, ОРДС, сепсиса.

Лечение COVID-19 в соответствии с протоколами настоящих рекомендаций проводится в подтвержденных и вероятных случаях заболевания.

В рамках оказания медицинской помощи необходим мониторинг состояния пациента для выявления признаков ухудшения его клинического состояния. Пациенты, инфицированные SARS-CoV-2, должны получать поддерживающую патогенетическую и симптоматическую терапию.

Лечение сопутствующих заболеваний и осложнений осуществляется в соответствии с клиническими рекомендациями, стандартами медицинской помощи по данным заболеваниям.

5.1. ЭТИОТРОПНОЕ ЛЕЧЕНИЕ

В настоящее время можно выделить несколько этиотропных препаратов, которые могут быть использованы при лечении COVID-19. К ним относятся фавипиравир, гидроксихлорохин, хлорохин, мефлохин, лопинавир + ритонавир, азитромицин (в сочетании с гидроксилорохином), препараты интерферонов, а также ремдесивир, умифеновир.

Однако имеющиеся на сегодня сведения о результатах терапии всеми препаратами не позволяют сделать однозначный вывод об их эффективности или неэффективности, в связи с чем их применение допустимо по решению врачебной комиссии в установленном порядке, в случае если потенциальная польза для пациента превысит риск их применения.

Препарат фавипиравир разрабатывался как ингибитор РНК-зависимой РНК полимеразы вируса гриппа. В ряде исследований было продемонстрировано, что фавипиравир эффективно ингибирует SARSCoV-2 в культуре клеток. В январе 2020 г. в Китае было проведено открытое нерандомизированное исследование фавипиравира при лечении инфекции COVID-19 в сравнению с комбинацией лопинавир + ритонавир В группе фавипиравира медиана времени до элиминации вируса составила 4 дня и была значительно меньше, чем в группе сравнения (11 дней). При этом к десятому дню элиминация вируса была зарегистрирована у 80% пациентов, получавших фавипиравир. Улучшение по данным КТ грудной клетки через 14 дней после окончания исследуемой терапии зафиксировано у 91,4% пациентов в группе фавипиравира и только у 62,2% пациентов в группе контроля. Нежелательные реакции в группе фавипиравира наблюдались в 5 раз реже, чем в группе сравнения. В настоящее время в Китае и Японии продолжаются исследования для подбора оптимального дозового режима у пациентов с COVID-19.

В апреле 2020 г. в Российской Федерации начато клинического исследования, эффективности и безопасности препарата Фавипиравир у пациентов с COVID-19 с участием 330 пациентов со среднетяжелым течением инфекции (пневмония без дыхательной недостаточности). В настоящее время получены промежуточные результаты исследования, показавшие эффективность препарата - элиминация вируса к 10 дню лечения была достигнута более чем у 85% пациентов. Препарат зарегистрирован в Российской Федерации на следующих условиях:

- применение только в стационаре под наблюдением медицинского персонала;

- предупреждение в инструкции по медицинскому применению о неполноте клинических данных при регистрации препарата;

- препарат противопоказан для назначения у детей и беременных;

- представление данных фармаконадзора с установленной периодичностью;

- обязательность посерийного выборочного контроля качества лекарственных средств в соответствии с законодательством Российской Федерации;

- завершение клинического исследования в полном объеме с целью получения дополнительных статистически значимых данных по безопасности и клинической эффективности лекарственного препарата.

Режимы дозирования фавипиравира приведены в Приложении 7

Среди препаратов, представляющихся перспективными для лечения COVID-19, следует отметить группу противомалярийных средств: гидроксихлорохин и мефлохин. Эти препараты используются для терапии малярии и некоторых других протозойных инфекций. Кроме того, в связи с противовоспалительным и иммуносупрессивным эффектом, гидроксихлорохин нашел свое применение в лечении пациентов с системными заболеваниями соединительной ткани, такими как ревматоидный артрит и красная волчанка. Механизм действия противомалярийных препаратов против некоторых вирусных инфекций изучен не до конца, в опубликованных данных отмечаются несколько вариантов их воздействия на COVID-19, которые препятствуют проникновению вируса в клетку и его репликации. В небольших клинических исследованиях было показано, что комбинация азитромицина с гидроксихлорохином усиливает противовирусный эффект последнего.

В конце мая 2020 г. появилась работа, основанная на данных анализа мультинационального регистра, в который были включены 96032 пациентов с лабораторно подтвержденной инфекцией и с тяжелым течением COVID-19. По результатам этого исследования применение гидроксихлорохина ассоциировано с повышением риска внутригоспитальной смертности. Также была выявлена ассоциация применения гидроксихлорохина, в том числе в комбинации с макролидом, с развитием желудочковых аритмий во время госпитализации. Основываясь на полученных данных, 26 мая 2020 г. ВОЗ озвучила решение приостановить клинические испытания гидроксихлорохина в рамках программы "Solidarity" для дополнительной оценки его безопасности.

На сегодня следует отметить, что значительный массив опубликованных результатов зарубежных исследований, а также отечественный опыт, все же указывают на обоснованность применения гидроксихлорохина при его назначении в определенных группах пациентов с COVID-19 в низких дозах, в меньшей степени ассоциированных с нарушениями сердечного ритма.

Перед назначением противомалярийных препаратов и во время приема этих препаратов следует уделить особое внимание результату ЭКГ, в частности, величине QT. Противомалярийные препараты обладают кардиотоксичностью, и их прием может сопровождаться развитием, например, синдрома удлиненного QT. В условиях стационара при наличии возможности мониторинга интервала QT допустимо использование гидроксихлорохина в дозе 800 мг/сут в 1-й день, далее 400 мг/сут (см. Приложение 7). При амбулаторном ведении пациента или при отсутствии возможности контроля QT доза должна быть снижена вдвое (400 мг/сут в 1-й день, далее 200 мг/сут).

Вопросы о назначении противомалярийных препаратов в случае измененной ЭКГ и о дальнейшей терапии в случае возникших при лечении изменений ЭКГ решаются строго индивидуально, в тесном взаимодействии с кардиологами.

Для контроля кардиотоксичности противомалярийных препаратов необходимо проведение инструментального и клинического мониторинга, в том числе интервала QT, у следующих групп пациентов с повышенным риском:

- Мужчин старше 55 лет;

- Женщин старше 65 лет;

Лиц любого возраста, имеющие в анамнезе сердечно-сосудистые заболевания.

ЭКГ назначается перед началом лечения, контроль осуществляется 1 раз в 5 дней. Продолжительность интервала QT (корригированного) оценивается по формуле Bazett, она не должна превышать 480 мс. При достижении порогового значения по рекомендации врача-кардиолога индивидуально назначаются бета-адреноблокаторы (бисопролол, карведилол, небиволол, метопролол).

При появлении жалоб на аритмию, ощущения сердцебиения, боли и дискомфорта в области сердца, эпизодов слабости и головокружения, синкопальных состояний назначается внеочередное ЭКГ.

Для пациентов, не включенных в группы повышенного риска кардиотоксичности, проводится клинический мониторинг. При появлении жалоб назначается ЭКГ.

Комбинированный препарат лопинавир + ритонавир является ингибитором протеазы ВИЧ. В ранее проведенных исследованиях было показано, что он также способен подавлять активность протеазы коронавируса. Предполагаемый на основе компьютерных моделирований противовирусный механизм действия в отношении нового коронавируса связан с воздействием на основную протеазу SARS-CoV-2 (эндопептидаза C30, неструктурный протеин Nsp5). Данный препарат нашел свое применение в лечении инфекции MERS-CoV, и сегодня может быть использован для терапии инфекции, вызываемой новым коронавирусом SARS-CoV-2. Проведенное рандомизированное контролируемое исследование продемонстрировало, что монотерапия лопинавиром + ритонавиром заболевания, вызванного SARS-CoV-2, не сокращала сроки госпитализации и не демонстрировала большую эффективность, чем стандартная симптоматическая терапия. В связи с этим применение препарата в качестве монотерапии может быть рекомендовано только при наличии противопоказаний к назначению гидроксихлорохина, хлорохина, мефлохина.

Интерферон бета-1b () обладает антипролиферативной, противовирусной и иммуномодулирующей активностью. В текущих клинических исследованиях инфекции MERS-CoV используется в комбинации с лопинавир + ритонавир. Проведенные ранее in vitro исследования показали, что он проявляет максимальную активность в сравнении с другими вариантами интерферонов (, и ). За счет способности стимулировать синтез противовоспалительных цитокинов препараты могут оказывать положительный патогенетический эффект.

Рекомбинантный интерферон альфа 2b для интраназального введения обладает иммуномодулирующим, противовоспалительным и противовирусным действием. Механизм действия основан на предотвращении репликации вирусов, попадающих в организм через дыхательные пути.

Этиотропное лечение COVID-19, особенно у больных с сопутствующей патологией, требует внимания к возможным лекарственным взаимодействиям. Лекарственные препараты, которые запрещено или не желательно принимать с этиотропной терапией COVID-19, указаны в Приложении 6.1 и 6.2.

Принимая во внимание сходство клинической картины легких форм COVID-19 с клинической картиной сезонных ОРВИ, до подтверждения этиологического диагноза в схемы терапии следует включать препараты, рекомендуемые для лечения сезонных ОРВИ, такие как интраназальные формы , препараты индукторов ИФН, а также противовирусные препараты с широким спектром активности, такие как умифеновир.

Перечень возможных к назначению лекарственных препаратов для этиотропной терапии COVID-19 у взрослых приведен в Приложении 7. Рекомендованные схемы лечения в зависимости от тяжести заболевания приведены в Приложении 10. Учитывая отсутствие объективных доказательств эффективности применения вышеуказанных препаратов при COVID-19, назначение лечения должно обязательно сопровождаться получением добровольного информированного согласия пациента (или его законного представителя).

Согласно рекомендациям ВОЗ, возможно назначение препаратов с предполагаемой этиотропной эффективностью "off-label" (то есть применение с медицинской целью не соответствует инструкции по медицинскому применению), при этом их назначение должно соответствовать этическим нормам, рекомендованным ВОЗ, и осуществляться на основании Федерального закона от 21 ноября 2011 г. N 323-ФЗ "Об основах охраны здоровья граждан в Российской Федерации", Федерального закона от 12 апреля 2010 г. N 61-ФЗ "Об обращении лекарственных средств", Национального стандарта Российской Федерации ГОСТ Р ИСО 14155-2014 "Надлежащая клиническая практика", приказа Министерства здравоохранения Российской Федерации от 1 апреля 2016 г. N 200н "Об утверждении правил надлежащей клинической практики" (зарегистрирован Министерством юстиции Российской Федерации 23 августа 2016 г., регистрационный N 43357), Хельсинкской декларации Всемирной медицинской ассоциации (ВМА) об этических принципах проведения исследований с участием человека в качестве субъекта, декларированных на 64-й Генеральной ассамблее ВМА, Форталеза, Бразилия, 2013 г.

Вышеуказанная практика оценки целесообразности применения лекарственных препаратов вне показаний, указанных в инструкции по медицинскому применению, является общепризнанной в мире. В текущих условиях распространения новой коронавирусной инфекции и ограниченности доказательной базы по лечению COVID-19, использование препаратов в режиме "off-label" для оказания медицинской помощи пациентам с COVID-19 базируется на международных рекомендациях, а также согласованных экспертных мнениях, основанных на оценке степени пользы и риска при использовании терапии в режиме "off-label"

Клиническое использование плазмы антиковидной, патоген-редуцированной

Согласно рекомендациям ВОЗ, применение плазмы от доноров-реконвалесцентов (в значении: лица с подтвержденным случаем COVID-19 в стадии выздоровления) с целью лечения заболеваний, характеризующихся эпидемическими вспышками и отсутствием специфического лечения, основано на концепции пассивной иммунизации. По опубликованным данным, в КНР и других странах применялась плазма, полученная от доноров-реконвалесцентов COVID-19 (далее - антиковидная плазма), что нашло отражение в национальных руководствах по лечению COVID-19.

Заготовка <1>, хранение, транспортировка и клиническое использование антиковидной плазмы осуществляется в соответствии с требованиями, установленными постановлением Правительства Российской Федерации от 22 июня 2019 г. N 797 "Об утверждении Правил заготовки, хранения, транспортировки и клинического использования донорской крови и ее компонентов и о признании утратившими силу некоторых актов Правительства Российской Федерации", приказом Министерства здравоохранения Российской Федерации от 02.04.2013 N 183н "Об утверждении правил клинического использования донорской крови и (или) ее компонентов".

<1> Осуществляется в Субъектах обращения донорской крови и (или) ее компонентов, имеющих лицензию на медицинскую деятельность с указанием заготовки и хранения донорской крови и (или) ее компонентов в качестве составляющих частей лицензируемого вида деятельности.

Порядок медицинского обследования доноров (приказ Министерства здравоохранения Российской Федерации от 14.09.2001 N 364 "Об утверждении Порядка медицинского обследования донора крови и ее компонентов" (с изменениями и дополнениями)) и осуществление донации при заготовке антиковидной плазмы помимо установленных обязательных требований имеют ряд особенностей, которые должны быть учтены с целью обеспечения безопасности донора и реципиента, а именно:

- Возраст 18 - 55 лет;

- Масса тела более 50 кг;

- Не ранее чем через 14 дней после исчезновения клинических симптомов и двукратном отрицательном результате лабораторного исследования на наличие РНК SARS-CoV-2 в орофарингеальном мазке, взятом с интервалом не менее 24 ч;

- Вируснейтрализующая активность плазмы в разведении 1:160, в случае отсутствия доноров с оптимальной вируснейтрализующей активностью плазмы, допускается осуществлять заготовку от доноров с вируснейтрализующей активностью плазмы 1:80 <1>. Вируснейтрализующая активность плазмы определяется в тесте с использованием пермиссивной культуры клеток <2>, или с помощью набора реагентов для определения содержания антител к антигенам SARS-CoV-2, для которого экспериментально установлена достаточная <3> корреляция между результатами определения содержания антител в плазме с вируснейтрализующей активностью, определенной в тесте с использованием пермиссивной культуры клеток <2>; возможно сохранять контрольный образец плазмы донора для проведения исследований ее вируснейтрализующей способности в более поздние сроки;

<1> Recommendations for Investigational COVID-19 Convalescent Plasma. FDA.2020.

<2> Вируснейтрализующая активность сывороток и плазм проводится с использованием пермиссивной культуры клеток (например, Vero) по ингибирующей активности в отношении 100 бляшкообразующих единиц вируса SARS-CoV-2.

<3> На основании рекомендаций Экспертной группы по реконволесцентной плазме при рабочей группе по разработке временных рекомендаций.

- Концентрация общего белка крови не менее 65 г/л.

- При незначительных изменениях, выявленных в ходе лабораторного обследования донора, решение о допуске к донации принимается врачом-трансфузиологом по согласованию с заведующим отделением.

Интервал между донациями должен составлять не менее 14 дней.

Показания к клиническому использованию антиковидной плазмы

1. Оптимально в период от 3 до 7 дней с момента появления клинических симптомов заболевания у пациентов:

- в тяжелом состоянии, с положительным результатом лабораторного исследования на РНК SARS-CoV-2;

- средней степени тяжести с проявлениями ОРДС.

2. В случае длительности заболевания более 21 дня при неэффективности проводимого лечения и положительном результате лабораторного исследования на РНК SARS-CoV-2.

В случае необходимости при наличии показаний у пациента возможно проведение повторных трансфузий антиковидной плазмы.

Противопоказания к клиническому использованию антиковидной плазмы

- Аллергические реакции на белки плазмы или цитрат натрия в анамнезе;

- Пациентам с аутоиммунными заболеваниями или селективным дефицитом IgA в анамнезе необходима тщательная оценка возможных побочных эффектов.

Заготовка антиковидной плазмы

- Осуществляется методом плазмафереза и (или) методом центрифугирования из единицы крови;

- Объем донации определяется врачом-трансфузиологом и составляет 200 - 600 мл с обязательной инактивацией патогенов заготовленной плазмы.

Заготовленный компонент крови маркируется "Плазма антиковидная, патогенредуцированная".

Суммарный объем трансфузии составляет 5 - 10 мл антиковидной плазмы/кг веса пациента, в среднем 400 - 600 мл. Антиковидная плазма также может быть использована для плазмозамещения при выполнении плазмафереза.

Данные о донорах и реципиентах, а также информация о показаниях, противопоказаниях к переливанию, проведенном лечении, его результатах и нежелательных явлениях регистрируются в информационном ресурса учета пациентов с COVID-19 в целях всестороннего анализа безопасности и эффективности клинического использования антиковидной плазмы.

Этиотропное лечение беременных, рожениц и родильниц

Подробная информация о диагностике, профилактике и лечении беременных, рожениц и родильниц и новорожденных детей представлена в методических рекомендациях Минздрава России "Организация оказания медицинской помощи беременным, роженицам, родильницам и новорожденным при новой коронавирусной инфекции COVID-19".

Этиотропное лечение COVID-19 женщин в период беременности и кормления грудью в настоящее время не разработано. Рекомбинантный , противомалярийные препараты противопоказаны к применению во время беременности. Однако в качестве этиотропной терапии возможно назначение противовирусных препаратов с учетом их эффективности против COVID-19 по жизненным показаниям. В остальных случаях следует учитывать их безопасность при беременности и в период грудного вскармливания.

Лечение должно быть начато как можно раньше, что в большей степени обеспечивает выздоровление. Противовирусные препараты беременным с тяжелым или прогрессирующим течением заболевания необходимо назначать и в более поздние сроки от начала заболевания.

При назначении противовирусных препаратов кормящим женщинам решение вопроса о продолжении грудного вскармливания зависит от тяжести состояния матери.

5.2. ПАТОГЕНЕТИЧЕСКОЕ ЛЕЧЕНИЕ

В патогенезе ОРДС вследствие COVID-19 основную роль играет избыточный ответ иммунной системы со стремительно развивающимся тяжелым жизнеугрожающим синдромом высвобождения цитокинов (цитокиновый шторм). Синдром высвобождения цитокинов создает угрозу возникновения и прогрессирования ОРДС, причем интервал времени между первым и вторым событием может составлять менее 1 суток. Чрезвычайно важно диагностировать цитокиновый шторм на ранних стадиях его развития.

Тяжелые формы COVID-19 с признаками цитокинового шторма сходны с течением первичного и вторичного гемофагоцитарного лимфогистиоцитоза (гемофагоцитарного синдрома, ГФС). Первичный и вторичный ГФС характеризуются массированной, неконтролируемой, часто фатальной активацией иммунной системы, высвобождением цитокинов (цитокиновым штормом), развитием гипервоспалительной реакции и полиорганной недостаточности.

При тяжелом течении COVID-19 развивается вариант вирусиндуцированного вторичного ГФС, ключевые звенья патогенеза которого также включают нарушение механизмов клеточной цитотоксичности, избыточную активацию цитотоксических лимфоцитов и макрофагов с массированным высвобождением провоспалительных цитокинов (, ИЛ-1, ИЛ-2, ИЛ-6, ИЛ-8, ИЛ-10, гранулоцитарный колониестимулирующий фактор, моноцитарный хемоаттрактивный протеин 1), и маркеров воспаления (СРБ, сывороточный ферритин), инфильтрацию внутренних органов и тканей активированными T-лимфоцитами и макрофагами, что приводит к гипервоспалительной реакции.

Цитокиновый шторм, как правило, приводит к развитию ОРДС почти у половины пациентов с COVID-19, полиорганной недостаточности и может быть причиной гибели пациента.

Клинически цитокиновый шторм может проявляться стойкой фебрильной лихорадкой, рефрактерной к антимикробной терапии, ОРДС, спленомегалией, отечным, геморрагическим синдромами, гепатомегалией, желтухой, симптомами поражения центральной нервной системы (возбудимость, судороги, менингеальные знаки, угнетение сознания), неспецифической кожной сыпью.

Ранними лабораторными признаками цитокинового шторма являются повышение уровня ферритина сыворотки крови > 600 нг/мл или сочетание двух из ниже следующих показателей: снижение числа тромбоцитов крови <= 180 * /л, лейкоцитов <= 3,0 * /л, лимфопения или быстрое снижение числа тромбоцитов и/или лейкоцитов (в течение суток) более чем в два раз на фоне сохраняющейся высокой воспалительной активности, повышение активности АСТ, триглицеридов сыворотки > 156 мг/дл; снижения фибриногена крови <= 360 мг/дл.

В настоящее время клинические исследования эффективности и безопасности таргетных препаратов и глюкокортикоидов (ГК) при цитокиновом шторме/вторичном COVID-19-ассоциированном ГФС, только проводятся.

ГК блокируют синтез широкого спектра "провоспалительных" медиаторов, увеличение концентрации которых в рамках "цитокинового шторма" ассоциируется с неблагоприятным прогнозом при COVID-19 и риском развития ОРДС и сепсиса.

Для лечения цитокинового шторма при COVID-19 применяются блокаторы ИЛ-6 - препараты тоцилизумаб и сарилумаб (моноклональные антитела к ИЛ-6 рецептору), возможно также применение ингибиторов .

Показаниями для назначения ингибиторов рецепторов ИЛ-6 или являются сочетание данных КТ ОГК (значительный объем поражения легочной паренхимы - более 50% (КТ 3 - 4) с 2-мя и более признаками):

- снижение SpO2;

- СРБ > 60 мг/л или рост уровня СРБ в 3 раза на 8 - 14 дни заболевания;

- лихорадка > 38 °C в течение 5 дней;

- число лейкоцитов < 3,0 * /л;

- абсолютное число лимфоцитов < 1 *

- уровень ферритина крови > 500 нг/мл;

- уровень ИЛ-6 > 40 пк/мл.

При средней и среднетяжелой формах пневмонии с целью подавления гипервоспаления и предотвращения развития серьезных поражений легких и других органов, обусловленных COVID-19, можно рассматривать назначение ингибиторов янус-киназ - препаратов барицитиниб и тофацитиниб, а также ингибитора ИЛ-6 олокизумаба - в качестве дополнительной терапии. Однако их эффективность пока недостаточно изучена.

Показаниями для назначения ингибиторов JAK-киназ (тофацитиниб и барицитиниб) и игибитора ИЛ-6 (олокизумаб) терапии являются сочетание данных КТ ОГК (КТ 2 - 3 с 2-мя и более признаками):

- снижение SpO2;

- СРБ > 30 мг/л

- лихорадка > 38 °C в течение 3 дней;

- число лейкоцитов < 3,0 * /л;

- абсолютное число лимфоцитов < 1,0 *

У пациентов с COVID-19 на ранних стадиях ГФС целесообразно назначение комбинации таргетной терапии человеческими моноклональными антителами к рецептору ИЛ-6 (тоцилизумабом или сарилумабом), до развития тяжелого поражения легких, с целью подавления цитокинового шторма и предотвращения развития полиорганной недостаточности.

Для быстрого купирования активности цитокинового шторма тоцилизумаб назначается в дозе 4 - 8 мг/кг внутривенно (доза препарата рассчитывается на долженствующую массу тела) в сочетании с ГК. Для внутривенного введения целесообразно назначить метилпреднизолон (МП) в дозе 0.5 - 1 мг/кг/с - введение внутривенно каждые 12 часов, или дексаметазон в дозе 20 мг/сутки внутривенно за 1 или 2 введения, в течение 2 - 3 суток с постепенным снижением дозы на 20 - 25% на введение каждые 1 - 2 суток. В дальнейшем необходимость применения поддерживающей дозы метилпреднизолона в дозе 8 - 12 мг/сут и длительность терапии зависит от клинической ситуации. Применение глюкокортикоидов должно быть в сочетании с антикоагулянтной терапией низкомолекулярными гепаринами.

При наличии признаков надпочечниковой недостаточности внутривенно вводится гидрокортизон в дозе 50 - 100 мг, с последующим медленным внутривенным введением препарата в течение 1 часа в дозе 200 мг в сутки.

Повторное введение тоцилизумаба возможно при сохранении фебрильной лихорадки более 12 часов после первой инфузии отсутствие снижения уровня сывороточного СРБ при исключении инфекционных осложнений.

Потенциальной терапевтической технологией лечения COVID-19 - индуцированного цитокинового шторма может быть ингибиция .

Для блокирования цитокинового шторма возможно применение моноклонального антитела к - канакинумаба в дозе 4 - 8 мг/кг/внутривенно, который показал высокую эффективность при лечении системного ювенильного идиопатического артрита с гемофагоцитарным синдромом и аутовоспалительных синдромов, в основе механизма развития которых лежит цитокиновый шторм.

Противопоказания для назначения генно-инженерных биологических препаратов:

- Сепсис, подтвержденный патогенами, отличными от COVID-19

- Гиперчувствительность к любому компоненту препарата;

- Вирусный гепатит B;

- Сопутствующие заболевания, связанные, согласно клиническому решению, с неблагоприятным прогнозом;

- Иммуносупрессивная терапия при трансплантации органов;

- Нейтропения < 0,5 * /л;

- Повышение активности АСТ или АЛТ более чем в 5 норм;

- Тромбоцитопения < 50 * /л.

При беременности применение ГИБП нежелательно.

На фоне терапии блокаторами ИЛ-6 следует помнить о возникновении серьезных нежелательных явлений

- Инфекционные заболевания: бактериальная пневмония, флегмона, инфекции, вызванные Herpes zoster, и др.

- Повышение активности печеночных трансаминаз.

- Сыпь, зуд, крапивница.

- Повышение артериального давления.

- Лейкопения, нейтропения, тромбоцитопения

- Повышение показателей липидного обмена (общего холестерина, триглицеридов, ЛПВП, ЛПНП).

При внутривенном введении тоцилизумаба должен быть предусмотрен комплекс необходимых мероприятий для лечения возможной анафилактической реакции.

На фоне применения генно-инженерных биологических препаратов в условиях острой вирусной инфекции повышается риск развития бактериальной, в том числе оппортунистической (грибковой) инфекции.

Препараты для упреждающей противовоспалительной терапии представлены в Приложении 8.

Следствием тяжелого жизнеугрожающего синдрома высвобождения цитокинов может стать развитие нарушений свертывания крови. В начальных стадиях заболевания характерно развитие гиперкоагуляции без признаков потребления и ДВС-синдрома. ДВС-синдром развивается, как правило, на поздних стадиях заболевания. Он встречается лишь у 0,6% выживших больных и в 71,4% у умерших больных. Развитие гиперкоагуляции сопряжено с риском развития тромботических осложнений. Частота тромботических осложнений колеблется по данным разных наблюдений от 8 до 27%, клинически они проявляются ТЭЛА, тромбозами глубоких вен (ТГВ), ишемическим инсультом, острым коронарным синдромом. У больных с ОРДС, вызванным COVID-19, ТЭЛА встречалась в 3 раза чаще, чем при ОРДС другой этиологии. Факторами риска развития тромботических осложнений являются старший возраст, длительное пребывание больного в ОРИТ. Венозные тромбоэмболические осложнения часто трудно обнаружить у больных, которым проводится ИВЛ, клиническая симптоматика у них может быть не выражена. Для диагностики ТЭЛА необходимо выполнение КТ с внутривенным контрастированием, для диагностики ТГВ - проведение УЗИ сосудов нижних конечностей.

При госпитализации пациентов с подозрением на COVID-19 или подтвержденным COVID-19 рекомендуется тесты для скрининга нарушений гемостаза: определение в крови уровня D-димера, протромбинового времени, фибриногена и развернутого анализа крови, включающего количество тромбоцитов.

Профилактику ТГВ нижних конечностей/ТЭЛА стоит рассматривать для больных COVID-19, которые в условиях карантина лечатся дома и имеют высокий риск венозных тромбоэмболических осложнений, низкий риск кровотечений и не получают антикоагулянтного лечения по другим показаниям. Это относится прежде всего к больным с сильно ограниченной подвижностью, ТГВ/ТЭЛА в анамнезе, активным злокачественным новообразованием, особенно при наличии дополнительных факторов риска ТГВ.

Назначение низкомолекулярных гепаринов (НМГ), как минимум, в профилактических дозах показано ВСЕМ госпитализированным пациентам и должно продолжаться как минимум до выписки. Нет доказанных преимуществ какого-либо одного НМГ по сравнению с другими. При недоступности НМГ или противопоказаниях к ним возможно использование нефракционированного гепарина (НФГ). Увеличение дозы гепарина до промежуточной или лечебной может быть рассмотрено у больных с высоким и крайне высоким уровнем D-димера, при наличии дополнительных факторов риска венозных тромбоэмболических осложнений, а также при тяжелых проявлениях COVID-19, лечении в блоке ОРИТ. Дозы препаратов гепарина представлены в Приложении 9.

Продленная профилактика у больных с COVID-19 после выписки (предпочтительно с помощью НМГ) может быть рассмотрена при сохраняющемся повышенном риске венозных тромбоэмболических осложнений и низком риске кровотечений в случаях, когда не требуются лечебные дозы антикоагулянта по другим показаниям.

Противопоказания для использования профилактических доз НМГ/НФГ - продолжающееся кровотечение, уровень тромбоцитов в крови ниже 25 * /л, выраженная почечная недостаточность (для НМГ). Повышенное протромбиновое время и АЧТВ не относятся к противопоказаниям к назначению НМГ/НФГ.

При тромботических осложнениях следует использовать лечебные дозы НМГ/НФГ. Применение лечебных доз НМГ/НФГ может рассматриваться у больных с клиническим подозрением на тромботические осложнения, когда нет возможности верифицировать диагноз. Список возможных к назначению антикоагулянтов представлен в Приложении 9.

У пациентов с иммунной тромбоцитопенией, вызванной гепарином, для профилактики и лечения венозных тромбоэмболических осложнений рекомендуется использовать фондапаринукс натрия. Фондапаринукс натрия, в отличие препаратов НМГ/НФГ, лишен потенциально благоприятных плейотропных эффектов, однако, с другой стороны, он не вызывает гепарин-индуцированную тромбоцитопению.

НМГ, фондапаринукс натрия не рекомендуется использовать у пациентов с выраженной почечной недостаточностью или быстро меняющейся функцией почек.

При COVID-19 нет данных о применении прямых пероральных антикоагулянтов. Пациентам, получающим пероральные антикоагулянты по другим показаниям, при не тяжелых проявлениях COVID-19, их прием можно продолжить. При неприемлемых лекарственных взаимодействиях с препаратами для лечения COVID-19 (прием лопиновира/ритонавира), а также при тяжелой форме COVID-19 рекомендуется переход на лечебные дозы гепарина (предпочтительно НМГ).

Кратность определения D-димера, протромбинового времени, фибриногена и количества тромбоцитов зависит от тяжести COVID-19 инфекции, важна динамика как в сторону повышения, так и понижения показателей. У госпитализированных больных при легком варианте течения 1 раз в 4 - 5 дней, при средней тяжести 1 раз в два дня, при тяжелом - ежедневно. Внеочередной анализ вышеперечисленных показателей берется при усугублении тяжести по COVID-19.

Для диагностики ДВС-синдрома рекомендуется использовать критерии Международного общества тромбоза и гемостаза (таблица 2). Диагноз ДВС-синдрома устанавливается при наличии >= 5 баллов по этим критериям.

Таблица 2

Критерии явного ДВС Международного общества тромбоза и гемостаза

ПоказательБаллЗначения показателя
Количество тромбоцитов (на /л)2< 50
1>= 50, < 100
Продукты деградации фибрина/D-димер3Сильно повышен
 2Умеренно повышен
Протромбиновое время2>= 6 сек
1>= 3 сек, < 6 сек
Фибриноген (мг/мл)1< 100

У пациентов с коагулопатией потребления при отсутствии кровотечений следует поддерживать количество тромбоцитов выше 20 * /л, плазменную концентрацию фибриногена - выше 2,0 г/л. У пациентов с кровотечениями следует поддерживать количество тромбоцитов выше 50 * /л, плазменную концентрацию фибриногена - выше 2,0 г/л, протромбиновое отношение < 1,5.

У больных в критическом состоянии, а также при использовании методов экстракорпоральной поддержки кровообращения, при отсутствии возможности мониторировать состояние системы гемостаза традиционными методами допустимо использовать глобальные тесты (тромбоэластография) при наличии опыта их применения и интерпретации.

Основными критериями эффективности упреждающей противовоспалительной терапии являются динамика клинического ответа: снижение уровня лихорадки, улучшение самочувствия, появление аппетита, уменьшение одышки, повышение SpO2. При этом эффект от блокаторов ИЛ-6 наступает в течение 12 ч (чаще используются 1 - 2 инъекции), лечения ГКС - от 12 до 72 ч (курс 2 - 3 суток), терапии антикоагулянтами - от 120 ч (курс от 5 дней). Если эффект от упреждающей противовоспалительной терапии не получен, то необходимо предполагать другие причины ухудшения состояния (прогрессирование пневмонии, сепсис и др.).

При лечении COVID-19 необходимо обеспечивать достаточное поступление жидкости в организм. Восполнение суточной потребности в жидкости должно обеспечиваться преимущественно за счет пероральной регидратации. Суточная потребность в жидкости должна рассчитываться с учетом лихорадки, одышки, потерь жидкости при диарее, рвоте (в случае наличия у пациента таких симптомов). С целью профилактики отека легких пациентам следует ограничить объем вводимой жидкости, соблюдать нулевой или отрицательный гидробаланс. При выраженной интоксикации, а также при дискомфорте в животе, тошноте и/или рвоте показаны энтеросорбенты (диоксид кремния коллоидный, полиметилсилоксанаполигидрат и другие).

Пациентам в тяжелом состоянии (в ОРИТ) при наличии показаний проводится инфузионная терапия. Следует с осторожностью подходить к инфузионной терапии, поскольку избыточные трансфузии жидкостей могут ухудшить насыщение крови кислородом, особенно в условиях ограниченных возможностей искусственной вентиляции легких, а также спровоцировать или усугубить проявления ОРДС. Объем инфузионной терапии должен составлять 10 - 15 мл/кг/сут.

При проведении инфузионной терапии важное значение имеет скорость введения жидкости: чем меньше скорость введения жидкости, тем безопаснее для пациента.

В условиях проведения инфузионной терапии врач оценивает суточный диурез, динамику артериального давления, изменения аускультативной картины в легких, гематокрита (не ниже 0.35/л). При снижении объема диуреза, повышении артериального давления, увеличения количества хрипов в легких, снижении гематокрита объем парентерально вводимой жидкости должен быть уменьшен.

Для снижения объема инфузионной терапии поддержание нутритивного статуса пациента при необходимости нужно проводить методом зондового питания с использованием стандартных и полуэлементарных смесей для энтерального питания. Питание должно быть частым и дробным для исключения переполнения желудка и уменьшения экскурсии легких.

С целью улучшения отхождения мокроты при продуктивном кашле назначают мукоактивные препараты (ацетилцистеин, амброксол, карбоцистеин). Бронхолитическая ингаляционная терапия с использованием сальбутамола, фенотерола, с применением комбинированных средств (ипратропия бромид + фенотерол) целесообразна при наличии бронхообструктивного синдрома.

Патогенетическое лечение у беременных, рожениц и родильниц

Жаропонижающим препаратом первого выбора является парацетамол, который назначается по 500 - 1000 мг до 4 раз в день (не более 4 г в сутки).

5.3. СИМПТОМАТИЧЕСКОЕ ЛЕЧЕНИЕ

Симптоматическое лечение включает:

- Купирование лихорадки (жаропонижающие препараты, например, парацетамол);

- Комплексную терапию ринита и/или ринофарингита (увлажняющие/элиминационные препараты, назальные деконгестанты);

- Комплексную терапию бронхита (мукоактивные, бронхолитические и прочие средства).

Жаропонижающие назначают при t тела > 38,0 - 38,5 °C. При плохой переносимости лихорадочного синдрома, головных болях, повышении артериального давления и выраженной тахикардии (особенно при наличии ишемических изменений или нарушениях ритма) жаропонижающие препараты используют и при более низких цифрах. Наиболее безопасным препаратом является парацетамол.

Для местного лечения ринита, фарингита, при заложенности и/или выделениях из носа начинают с солевых средств для местного применения на основе морской воды (изотонических, а при заложенности - гипертонических). В случае их неэффективности показаны назальные деконгенстанты. При неэффективности или выраженных симптомах могут быть использованы различные растворы с антисептическим действием.

Симптоматическое лечение у беременных, рожениц и родильниц

Во время беременности (II и III триместры), в послеродовом и постабортном периоде возможно применение муколитических средств с помощью mesh-небулайзера (амброксол 2 - 3 мл с изотоническим раствором 2 мл 3 раза в день) и бронходилататоров (ипратропия бромид + фенотерол по 20 капель в 2 - 4 мл изотонического раствора 2 раза в день). Во время беременности (I, II и III триместры), в послеродовом и постабортном периоде в качестве бронходилататора также может применяться сальбутамол с помощью mesh-небулайзера (2,5 - 5 мг 2 раза в день).

Необходимым компонентом комплексной терапии является адекватная респираторная поддержка. Показатели сатурации кислорода должны определяться у всех беременных с клиникой острого респираторного заболевания и/или с пневмонией.

Показаниями для перевода в ОРИТ при коронавирусной инфекции являются быстропрогрессирующая ОДН (ЧД > 25 в 1 мин, SpO2 < 92%, а также другая органная недостаточность (2 и более балла по шкале SOFA).

Особенности ведения пациентов пожилого и старческого возраста

У пациентов пожилого и старческого возраста делирий может быть первой манифестацией заболевания или развиться по мере его прогрессирования. Госпитализация пациента, помещение в блок интенсивной терапии и на ИВЛ повышают риск развития делирия. Развитие делирия, особенно гиперактивной формы, может представлять собой дополнительные трудности лечения пациентов.

Рекомендации:

1. Рекомендуется регулярный скрининг делирия с использованием рекомендованных инструментов у всех пациентов пожилого и старческого возраста, госпитализированных в связи с коронавирусной инфекцией.

2. Рекомендуется проводить профилактику делирия у всех пациентов пожилого и старческого возраста, госпитализированных в связи с коронавирусной инфекцией, путем коррекции его триггеров. Профилактические меры включают: регулярную ориентацию пациента в его личности, во времени и пространстве, профилактику запоров, лечение боли, лечение бактериальной пневмонии (высоковероятна ее присоединение у пациентов с коронавирусной инфекции), адекватную оксигенотерапию, профилактику задержки мочи, а также пересмотр сопутствующей терапии для минимизации назначения препаратов, повышающих риск делирия

3. При появлении поведенческих нарушений рекомендуется необходимо прежде всего оценить и провести коррекцию триггеров развития делирия (см. выше). При неэффективности этих мер и/или необходимости более быстрого контроля ситуации для снижения риска для пациента или окружающих может потребоваться более ранний, чем обычно переход к фармакологическому лечению.

4. При назначении быстро действующих транквилизаторов необходимо мониторировать развитие нежелательных эффектов, состояние жизненных функций (ЧДД, SpO2, АД, ЧСС), уровень гидратации и сознания, по крайней мере, каждый час до тех пор, пока не будет убежденности в их стабильности. Следует помнить о том, что бенздиазепины угнетают дыхание, а также не превышать максимальные дозы препаратов галоперидола (2 мг/сутки независимо от пути введения), рисперидона (1 мг/сутки в несколько приемов), лоразепама (2 мг/сутки независимо от пути введения).

У пациентов пожилого и старческого коронавирусная инфекция повышает риск развития недостаточности питания. Повышение этого риска связано как с клиническими симптомами заболевания (снижение обоняния и вкуса, снижение аппетита, диарея, лихорадка, слабость), так и с социальными факторами (самоизоляция), которые в ряде случаев потенциируют предсуществующие риски. Пациенты старческого возраста с полиморбидностью a priori в большей степени подвержены риску недостаточности питания и ассоциированной с ней саркопении, именно у этой группы прогноз при коронавирусной инфекции наиболее неблагоприятен. ИВЛ, особенно пролонгированная, является хорошо документированной причиной недостаточности питания с потерей мышечной массы и функции, что в свою очередь ассоциировано в дальнейшем со снижением качества жизни и утратой автономности после выписки из стационара. Адекватная оценка пищевого статуса, профилактика и коррекция недостаточности питания эффективно снижают риск осложнений и улучшают клинические исходы.

Рекомендуется:

1. У всех пациентов пожилого и старческого возраста, госпитализированным с коронавирусной инфекцией, проводить скрининг риска недостаточности питания с использованием валидированных инструментов.

2. Для пациентов, которые по результатам скрининга относятся к категориям "риск недостаточности питания" или "недостаточность питания", необходимо проводить коррекцию недостаточности питания с использованием продуктов перорального энтерального питания (ПЭП).

3. Рекомендуется рассчитывать энергетическую ценность рациона пациента пожилого и старческого возраста, ориентируясь на уровень 30 ккал на кг массы тела в сутки, суточный уровень потребления белка должен составлять не менее 1,0 - 1,2 г на кг массы тела в сутки (при тяжелом течении заболевания и диагностированной недостаточностью питания - до 2,0 г/кг массы тела в сутки)

4. Рекомендуется назначать препараты ПЭП, которые обеспечивают поступление в организм энергии не менее 400 ккал/сут и белка не менее 30 г/сут. При отсутствии противопоказаний для обеспечения оптимального функционирования желудочно-кишечного тракта предпочтительны продукты ПЭП, содержащие пищевые волокна.

5. В случаях, когда пероральное питание невозможно, рекомендуется без промедлений начинать зондовое энтеральное питание (ЗЭП).

6. При выписке из стационара пациентам с недостаточностью питания или риском ее развития рекомендуется применять пероральное энтеральное питание с целью оптимизации уровня потребления пищи и массы тела, а также с целью уменьшения риска снижения функциональных возможностей. Рекомендуется назначать ПЭП на срок не менее одного месяца и оценивать эффективность и ожидаемую пользу ПЭП один раз в месяц.

5.4. АНТИБАКТЕРИАЛЬНАЯ ТЕРАПИЯ ПРИ ОСЛОЖНЕННЫХ ФОРМАХ ИНФЕКЦИИ

Антибактериальная терапия назначается при наличии убедительных признаков присоединения бактериальной инфекции (повышение прокальцитонина более 0,5 нг/мл, лейкоцитоз > 10 x /л, появление гнойной мокроты).

Выбор антибиотиков и способ их введения осуществляется на основании тяжести состояния пациента, анализе факторов риска встречи с резистентными микроорганизмами (наличие сопутствующих заболеваний, предшествующий прием антибиотиков и др.), результатов микробиологической диагностики.

Пациентам в тяжелом состоянии (в ОРИТ) рекомендована комбинированная терапия: защищенные аминопенициллины (амоксициллин/клавуланат, амоксициллин/сульбактам), цефалоспорины третьего поколения (цефтриаксон, цефотаксим цефтаролина фосамил,) в/в комбинации с азитромицином или кларитромицином в/в. Альтернативой является применение цефалоспоринов третьего поколения (цефтриаксон, цефтотаксим) в/в комбинации с респираторным фторхинолоном (левофлоксацин, моксифлоксацин) в/в. При совместном использовании фторхинолонов с препаратами группы 4-аминохинолонов (хлорохин, гидроксихлорохин, мефлохин) следует учитывать риск потенциирования кардиотоксического эффекта.

По данным предыдущих эпидемий гриппа (2009 - 2010 гг.) и вспышек коронавирусной инфекции (2004 г., 2012 г.) было показано увеличение частоты обнаружения инфицирования золотистым стафилококка, в том числе метициллинрезистентные штаммы Staphylococcus aureus. Учитывая этот факт, отдельным категориям пациентов (недавно перенесенные оперативные вмешательства, госпитализации или пребывание в доме престарелых, наличие постоянного внутривенного катетера, диализ) целесообразно эмпирическое назначение препаратов, обладающих антистафилококковой активностью (цефтаролина фосамил, линезолид, ванкомицин) в комбинации с азитромицином в/в или кларитромицином в/в, или респираторным фторхинолоном в/в.

Пациентам с факторами риска инфицирования P. aeruginosa (длительная терапия системными ГКС, муковисцидоз, вторичные бронхоэктазы, недавний прием системных антибиотиков) рекомендованы - комбинация антибиотика с антисинегнойной активностью (пиперациллин/тазобактам, меропенем, имипенем/циластатин, дорипенем) с ципрофлоксацином или левофлоксацином; альтернатива - комбинация препарата с антисинегнойной активностью с аминогликозидами II - III поколения и макролидами, либо респираторным фторхинолоном.

В случае клинической неэффективности, развития нозокомиальных осложнений, выбор режима антимикробной терапии осуществлять на основании выявления факторов риска резистентных возбудителей, анализа предшествующей терапии, результатов микробиологической диагностики (пиперациллин/тазобактам, цефепим/сульбактам, меропенем, дорипенем, имипенем/циластатин, цефтолозан/тазобактам, цефтазидим/авибактам, тигециклин, азтреонам, амикацин и др.).

Особенности антибактериальной терапии у беременных, рожениц и родильниц

Начать лечение эмпирическими антибиотиками после постановки диагноза пневмонии в течение 4-х часов, при тяжелой пневмонии - в течение часа.

Пациенткам с тяжелым течением заболевания антибактериальные препараты вводятся внутривенно.

При вторичной вирусно-бактериальной пневмонии (наиболее вероятные возбудители - Streptococcus pneumoniae, Staphylococcus aureus и Haemophilus influenza) предпочтительнее использовать следующие схемы антибиотикотерапии:

- Цефалоспорин III поколения +/- макролид;

- Защищенный аминопенициллин +/- макролид;

При третичной бактериальной пневмонии (наиболее вероятные возбудители - метициллинрезистентные штаммы Staphylococcus aureus, Haemophilus influenza) обосновано назначение следующих препаратов (в различных комбинациях):

- Цефалоспорин IV поколения +/- макролид;

- Карбапенемы;

- Ванкомицин;

- Линезолид.

К антибактериальным лекарственным средствам противопоказанным при беременности, относятся тетрациклины, фторхинолоны, сульфаниламиды.

Контроль кардиотоксичности при применении препаратов, применяемых в лечении COVID-19 (хлорохина, гидроксихлорохина, макролидов, фторхинолонов), представлен в Приложении 11.

5.5. АКУШЕРСКАЯ ТАКТИКА ПРИ COVID-19

Акушерская тактика определяется несколькими аспектами: тяжестью состояния пациентки, состоянием плода, сроком гестации. При средней степени тяжести и тяжелом течении заболевания до 12-й недели гестации в связи с высоким риском перинатальных осложнений, связанных как с воздействием вирусной инфекции, так и эмбриотоксичным действием лекарственных препаратов, возможно прерывание беременности после излечения инфекционного процесса. При отказе пациентки от прерывания беременности необходима биопсия ворсин хориона или плаценты до 12 - 14-й недель или амниоцентез с 16 недель гестации для выявления хромосомных аномалий плода, которые проводятся по желанию женщины.

Прерывание беременности и родоразрешение в разгар заболевания сопряжено с увеличением показателя материнской летальности и большим числом осложнений: утяжеление основного заболевания и вызванных им осложнений, развитие и прогрессирование дыхательной недостаточности, возникновение акушерских кровотечений, интранатальная гибель плода, послеродовые гнойно-септические осложнения. Однако при невозможности устранения гипоксии на фоне ИВЛ или при прогрессировании дыхательной недостаточности, развитии альвеолярного отека легких, а также при рефрактерном септическом шоке по жизненным показаниям в интересах матери и плода показано экстренное абдоминальное родоразрешение (кесарево сечение) с проведением всех необходимых мероприятий по профилактике коагулопатического и гипотонического акушерского кровотечения.

В сроке беременности до 20 недель экстренное кесарево сечение можно не проводить, так как беременная матка в этом сроке не влияет на сердечный выброс. В сроке беременности 20 - 23 недели экстренное кесарево сечение проводится для сохранения жизни матери, но не плода, а в сроке более 24 недель - для спасения жизни матери и плода.

В случае развития спонтанной родовой деятельности в разгар заболевания (пневмонии) роды предпочтительно вести через естественные родовые пути под мониторным контролем состояния матери и плода.

Предпочтительным методом обезболивания является регионарная аналгезия при отсутствии противопоказаний. Противовирусная, антибактериальная, детоксикационная терапия, респираторная поддержка проводятся по показаниям.

Во втором периоде для профилактики развития дыхательной и сердечно-сосудистой недостаточности следует ослабить потуги. С целью ускорения процесса родоразрешения необходимо при дистрессе плода, слабости родовой деятельности и/или ухудшении состояния женщины возможно применение вакуум-экстракции или акушерских щипцов.

Кесарево сечение выполняется по стандартным акушерским показаниям. Однако при невозможности устранения гипоксии на фоне ИВЛ или при прогрессировании дыхательной недостаточности, развитии альвеолярного отека легких, а также при рефрактерном септическом шоке по жизненным показаниям в интересах матери и плода показано экстренное абдоминальное родоразрешение (кесарево сечение) с проведением всех необходимых мероприятий по профилактике коагулопатического и гипотонического акушерского кровотечения. При тяжелой форме течения коронавирусной инфекции предпочтительным доступом является нижнесрединная лапаротомия.

Анестезиологическое обеспечение операции кесарева сечения при тяжелом течении заболевания: в отсутствие признаков выраженной полиорганной недостаточности (до 2 баллов по шкале SOFA) возможно применение регионарных методов обезболивания на фоне респираторной поддержки, при выраженной полиорганной недостаточности - тотальной внутривенной анестезии с ИВЛ.

Всем пациенткам, независимо от срока беременности, показана профилактика кровотечения.

Во всех случаях вопрос о времени и методе родоразрешения решается индивидуально.

Клиническими критериями выписки из стационара беременных и родильниц являются:

- Нормальная t тела в течение 3-х дней;

- Отсутствие симптомов поражения респираторного тракта;

- Восстановление нарушенных лабораторных показателей;

- Отсутствие акушерских осложнений (беременности, послеродового периода).

Прогноз для матери и плода зависит от триместра гестации, в котором возникло заболевание, наличия преморбидного фона (курение, ожирение, фоновые заболевания органов дыхательной системы и ЛОР-органов, сахарный диабет, ВИЧ-инфекция), степени тяжести инфекционного процесса, наличия осложнений и своевременности начала противовирусной терапии.

Тактика ведения новорожденных в условиях пандемии COVID-19

Маршрутизация новорожденных высокого риска по развитию COVID-19 основывается на выделении групп риска в зависимости от инфицирования матери.

Потенциально инфицированным SARS-CoV-2 считается ребенок:

- Рожденный от матери, у которой выявлен подтвержденный случай COVID-19 за 14 дней до родов;

- Рожденный от матери с подозрением на инфицирование SARS-CoV-2, в том числе находившейся на самоизоляции (из группы подлежащих карантину по контакту с инфицированным SARS-CoV-2);

- Новорожденный до 28 дней постнатального периода в случаях его контакта с инфицированными/потенциально инфицированными SARS-CoV-2 (включая членов семьи, опекунов, медицинский персонал и посетителей).

Инфицированным новорожденный считается при положительном результате исследования биоматериала на РНК SARS-CoV-2 методом амплификации нуклеиновых кислот, вне зависимости от наличия или отсутствия клинической картины.

Ведение потенциально инфицированных COVID-19 новорожденных в родильном зале

Подробная информация о диагностике, профилактике и лечении новорожденных детей представлена в методических рекомендациях Минздрава России "Организация оказания медицинской помощи беременным, роженицам, родильницам и новорожденным при новой коронавирусной инфекции COVID-19".

Для присутствия на родах и перемещения ребенка должна быть заранее выделенная врачебно-сестринская бригада для новорожденного, которая приглашается в родильный зал не ранее начала потужного периода или начала анестезии при кесаревом сечении, ожидает рождения ребенка на расстоянии не менее 2-х метров от роженицы. Использование СИЗ обязательно.

Число людей, оказывающих помощь в помещении, должно быть минимизировано, чтобы уменьшить контакт с больным.

Не рекомендовано отсроченное пережатие пуповины; не рекомендован контакт мать - ребенок; ребенок к груди не прикладывается для предотвращения постнатального инфицирования, максимально быстро выносится из родильного зала.

В зависимости от клинического состояния женщины возможно поддержание лактации для последующего грудного вскармливания ребенка после выздоровления матери.

Первичная и реанимационная помощь новорожденному оказывается в свободном родильном зале или в специально выделенном помещении с учетом минимизации применения технологий, способствующих образованию внешнего инфицированного аэрозоля (санация трахеи, вентиляция мешком Амбу, неинвазивное введение сурфактанта и другие).

Предметы диагностики и лечения (стетоскоп, термометр и др.) и средства ухода должны быть индивидуального использования для каждого ребенка, после его перевода должны быть обработаны в соответствии с правилами.

Врачи, медсестры и другой персонал, контактирующий с ребенком, должны находиться в СИЗ.

После рождения ребенок должен быть выведен из помещений, предназначенных для беременных, рожениц и родильниц с COVID-19 и изолирован в специально выделенном отделении (обычно отделение детской больницы). Транспортировка производится в транспортном кувезе, персонал использует СИЗ. Специально выделенный медицинский автотранспорт подлежит дезинфекции по правилам работы с особо опасными инфекциями.

У новорожденного ребенка берутся мазки из носа и ротоглотки на COVID-19 сразу после перемещения из родильного зала или сразу после установления постнатального контакта с COVID-19-позитивными людьми из его окружения. Далее исследование на РНК SARS-CoV-2 повторяется через 2 - 3 суток. Если оба результата исследования отрицательные, то ребенок считается неинфицированным SARS-CoV-2. Если ребенок по эпидемиологическим показаниям должен находиться на карантине, то контрольные исследования биологического материала из носа, ротоглотки, а также стула проводятся на 10 - 12-е сутки карантина с целью принятия решения о возможности его прекращения к 14 суткам. Если один из результатов исследования на РНК SARS-CoV-2 положительный, то ребенок считается инфицированным данным вирусом и дальнейшие контрольные исследования проводятся в соответствии с рекомендациями по ведению пациентов с COVID-19.

Вакцинация и неонатальный скрининг откладываются до установления SARS-CoV-2-отрицательного статуса.

При необходимости медицинская помощь новорожденному оказывается в соответствии с клиническими рекомендациями.

5.6. ОСНОВНЫЕ ПРИНЦИПЫ ТЕРАПИИ НЕОТЛОЖНЫХ СОСТОЯНИЙ

5.6.1. Показания к переводу в ОРИТ

Согласно Приказу N 459н Минздрава РФ от 18 мая 2020 года, пациенты, находящиеся в крайне тяжелом состоянии, госпитализируются в структурное подразделение медицинской организации для лечения COVID-19 на койки для пациентов, находящихся в крайне тяжелом состоянии, требующих проведения инвазивной искусственной вентиляции легких, исходя из наличия двух из следующих критериев:

а) нарушение сознания;

б) SpO2 < 92% (на фоне кислородотерапии);

в) ЧДД > 35 мин-1.

5.6.2. Мониторинг состояния пациента в отделении реанимации

У пациентов с COVID-19, находящихся в ОРИТ, рекомендуется рутинно мониторировать насыщение гемоглобина кислородом с помощью пульсоксиметра (SpO2), ЭКГ с подсчетом ЧСС, неинвазивное измерение АД и температуру тела. При проведении ИВЛ дополнительно рекомендуется мониторировать газовый состав и кислотно-основное состояние артериальной и венозной крови, содержание кислорода во вдыхаемой смеси (FiO2), содержание углекислого газа в конце выдоха (EtCO2) и давление в дыхательных путях. Если определение PaO2 недоступно, рекомендуется использовать показатель SpO2/FiO2: если его максимально достижимое значение ниже или равно 315, то это свидетельствует об ОРДС (в том числе у пациентов без ИВЛ).

У пациентов с шоком на фоне COVID-19 следует при наличии соответствующих технических возможностей комплексно мониторировать гемодинамику согласно рекомендациям Европейского общества медицины критических состояний (ESICM). Для оценки ответа на волемическую нагрузку рекомендуется по возможности использовать не статические показатели преднагрузки (ЦВД, ДЗЛА, ИГКДО и др.), а динамические параметры - изменчивость ударного объема (SVV) и пульсового давления (PPV), температуру кожи, время наполнения капилляров и/или уровень лактата. Надо помнить, что SVV и PPV применимы только у пациентов на ИВЛ без попыток самостоятельного дыхания!

При множественной органной дисфункции на фоне COVID-19 рекомендуется мониторировать суточный и кумулятивный гидробаланс, избегая гипергидратации, а тяжесть полиорганной недостаточности количественно оценивать по шкале SOFA (таблица 3).

Таблица 3

Шкала оценки органной дисфункции SOFA

ФункцияПоказательБаллы
01234
ЦНСОценка по ШКГ, баллы1513 - 1410 - 126 - 9< 6
ОксигенацияPaO2/FiO2, мм рт. ст.>= 400< 400< 300< 200 <*>< 100 <*>
ГемодинамикаСреднее АД, мм рт. ст. или дозы катехоламинов, мкг/кг в мин>= 70< 70Доф < 5 или Доб (любая доза)Доф 5,1 - 15 или Эпи (Нор) <= 0,1Доф > 15 или Эпи (Нор) > 0,1
ГемостазТромбоциты, x /мкл>= 150< 150< 100< 50< 20
ПеченьБилирубин, мкмоль/л< 2020 - 3233 - 101102 - 204> 204
ПочкиКреатинин, моль/л< 100110 - 170171 - 299300 - 440> 440
Диурез, мл/сут   <5 00< 200

<*> На фоне респираторной поддержки; обозначения: Доф - дофамин, Доб - добутамин, Эпи - эпинефрин (адреналин), Нор - норэпинефрин (норадреналин).

5.6.3. Интенсивная терапия острой дыхательной недостаточности

ОДН является одним из наиболее частых осложнений COVID-19. У пациентов с тяжелым и крайне тяжелым течением (10 - 15%) после 5-го дня болезни сохраняется лихорадка, появляются симптомы дыхательной недостаточности, прогрессируют инфильтративные изменения в легких (вирусная пневмония), ОРДС. Даже при легком течении COVID-19 у большинства пациентов при КТ легких видны инфильтративные изменения. Так, SARS-CoV-2 обнаруживался в носоглоточных смывах у 59% пациентов, а инфильтративные изменения на КТ легких - у 88% пациентов с вероятным COVID-19.

Особенности вирусной пневмонии и ОРДС при COVID-19

ОРДС при COVID-19 диагностируют в среднем на 8-е сутки от начала болезни, при поступлении в ОРИТ частота ОРДС около 60%, индекс PaO2/FiO2-136 (103 - 234) мм рт. ст.

При ОРДС вследствие COVID-19 описаны два варианта поражений легких:

- Малорекрутабельные легкие (вирусная пневмония, часто более ранняя стадия): нормальный или немного сниженный комплайенс, на КТ только участки матового стекла, расположенные субплеврально и вдоль междолевых щелей, низкая рекрутабельность легких. Показан пошаговый подход.

- Рекрутабельные легкие (собственно ОРДС, 20 - 30% от всех ОРДС): низкий комплайенс, коллапс и ателектазирование альвеол, "влажные легкие" в сочетании с различной рекрутабельностью. Показана инвазивная ИВЛ в прон-позиции, PEEP 10 - 20 см вод. ст. в зависимости от рекрутабельности и индекса массы тела.

При ОДН у пациентов с COVID-19 высока частота гиперкапнии, сохраняющейся даже на фоне инвазивной ИВЛ из-за нарушений вентиляционно-перфузионных соотношений: роста альвеолярного мертвого пространства (микротромбоз легочных капилляров, тромбоэмболия легочной артерии) и/или увеличения шунта (венозного примешивания), что ведет к большой (выше 5 мм рт. ст.) разнице напряжений CO2 в артериальной крови и в конце выдоха.

Алгоритм оказания помощи при ОДН

Поражения легких при COVID-19 отличается выраженной артериальной гипоксемией, не соответствующей снижению комплайенса. В отличие от типичного ОРДС, у этих пациентов, как правило, нет других причин для интубации трахеи - нарушения сознания, мышечной слабости (дисфункция диафрагмы при полинейромиопатии критических состояний), нестабильной гемодинамики, интраабдоминальной гипертензии, низкой податливости грудной стенки, нарушений биомеханики дыхания, ведущих к повышенной работе дыхания. Вследствие этого у значимой части таких пациентов компенсация гипоксемии и ОДН достигается неинвазивными методами - оксигенотерапией и неинвазивной ИВЛ даже при снижении индекса PaO2/FiO2 до 100 мм рт. ст., а у некоторых - и ниже.

Рекомендован пошаговый подход в респираторной терапии (схема 1):

1 шаг - при SpO2 < 92% начать обычную O2-терапию (через лицевую маску или назальные канюли, лучше маска с расходным мешком) потоком до 15 л/мин до SpO2 96 - 98%; у пациентов с сопутствующими заболеваниями - ХОБЛ, хронической сердечной недостаточностью - вместо шага 1 следует сразу переходить к шагу 2.

2 шаг - при неэффективности шага 1 - прон-позиция не менее 12 - 16 ч в сутки с высокопоточной оксигенацией (ВПО, рекомендуется надеть на пациента защитную маску!) потоком 30 - 60 л/мин или неинвазивной ИВЛ (НИВЛ: Pressure Support, S, S/T, BIPAP) в режиме CPAP 7 - 10 см вод. ст. (см. клинические рекомендации ФАР "Применение неинвазивной вентиляции легких");

3 шаг - при сохранении гипоксемии (SpO2 < 92%), признаках повышенной работы дыхания (участие вспомогательной мускулатуры, частое глубокое дыхание), усталости пациента, нарушении сознания, нестабильной динамике, появлении "провалов" давления на 2 и более см вод. ст. ниже уровня CPAP на фоне шага 2 показана интубация трахеи и инвазивная ИВЛ в сочетании с прон-позицией (схема 1). Важно, что изолированное увеличение ЧД до 30 - 35 в мин при отсутствии вышеописанных признаков не является показанием для интубации трахеи. При неэффективности шага 2 у пациентов с COVID-19 не рекомендуется задерживать интубацию трахеи и начало ИВЛ, так как отсрочка интубации трахеи ухудшает прогноз! Важно помнить, что дыхательная недостаточность может прогрессировать чрезвычайно быстро.

Применение НИВЛ рекомендовано только при следующих условиях: сохранность сознания, стабильная гемодинамика, возможности сотрудничать с персоналом, отсутствие клаустрофобии (при применении шлемов) и сохранение механизма откашливания мокроты.

Неинвазивная респираторная поддержка не рекомендуется при:

- Отсутствии самостоятельного дыхания (апноэ);

- Нестабильной гемодинамике (гипотензия, ишемия или инфаркт миокарда, жизнеугрожающая аритмия, неконтролируемая артериальная гипертензия);

- Невозможности обеспечить защиту дыхательных путей (нарушение кашля и глотания) и высокий риск аспирации;

- Избыточной бронхиальной секреции;

- Признаках нарушения сознания (возбуждение или угнетение сознания), неспособность пациента к сотрудничеству;

- Травме или ожоге лица, анатомических дефектах, препятствующих установке маски;

- Неспособности пациента убрать маску с лица в случае рвоты;

- Активном кровотечении из ЖКТ;

- Обструкции верхних дыхательных путей;

- Дискомфорте от маски.

Терапия гелий-кислородными газовыми смесями

В настоящее время изучается эффективность подогреваемой кислородно-гелиевой смеси гелиокс (70% гелий/30% кислород) в комплексной интенсивной терапии больных на начальных стадиях гипоксемии при COVID-19 для улучшения аэрации участков легких с нарушенной бронхиальной проходимостью.

Терапия гелий-кислородными газовыми смесями проводится с помощью специальных аппаратов, обеспечивающих эффективную и безопасную ингаляцию термической гелий-кислородной смесью, позволяющих изменять процентное соотношение гелия и кислорода, а также температуры в любой момент времени в течение одной процедуры. Аппарат позволяет создавать однородную гелий-кислородную смесь, многократно изменять и мониторировать процентное содержание гелия и кислорода, температуру ингалируемой газовой смеси во время одной процедуры с целью определения наиболее эффективного режима для каждого пациента, обеспечивать во время процедуры соответствие фактического состава гелия, кислорода и температуры заданным параметрам, мониторировать во время процедуры необходимые параметры (дыхательный объем, частоту дыхания, сатурацию, формировать равномерный ламинарный поток газовой смеси, подавать необходимые фармпрепараты через небулайзер встроенный в дыхательный контур.

Следует отметить, что ограничивает такую терапию невозможность создания FiO2 выше 30%, так как терапия гелием эффективна только при концентрациях, превышающих 70%.

Показания для интубации трахеи (достаточно одного критерия)

- Гипоксемия (SpO2 < 92%), несмотря на высокопоточную оксигенотерапию или НИВЛ в положении лежа на животе с FiO2 100%;

- Усталость пациента на фоне ВПО или НИВЛ в прон-позиции с FiO2 100%;

- Нарастание видимых экскурсий грудной клетки и/или участие вспомогательных дыхательных мышц, несмотря на ВПО или НИВЛ в положении лежа на животе с FiO2 100%;

- Угнетение сознания или возбуждение;

- Остановка дыхания;

- Нестабильная гемодинамика.

Прон-позиция и положение лежа на боку у неинтубированных пациентов

У пациентов с COVID-19 формируются ателектазы в дорсальных отделках легких, в связи с чем самостоятельная прон-позиция (положение лежа на животе) высокоэффективна и у неинтубированных пациентов, которые получают кислородотерапию или НИВЛ. Прон-позиция проводится не реже двух раз в сутки (оптимально общее время на животе 12 - 16 ч в сутки). Раннее применение прон-позиции в сочетании с кислородотерапией или с НИВЛ помогает избежать интубации у многих пациентов.

Основные механизмы действия прон-позиции

- Расправление гравитационно-зависимых ателектазов;

- Улучшение вентиляционно-перфузионных соотношений;

- Улучшение дренажа секрета дыхательных путей;

- На фоне CPAP вентиляция распределяется более равномерно.

Противопоказания к самостоятельной прон-позиции

- Нарушение сознания (угнетение или ажитация);

- Гипотензия;

- Недавняя операция на брюшной или грудной полостях;

- Выраженное ожирение;

- Массивное кровотечение;

- Повреждения спинного мозга;

- Нарушения ритма, могущие потребовать дефибрилляции и/или массажа сердца.

У пациентов с выраженным ожирением вместо прон-позиции предпочтительнее использовать положение лежа на боку со сменой стороны несколько раз в сутки.

Инвазивная ИВЛ

ИВЛ направлена не только на обеспечение адекватного газообмена, стабилизацию коллабированных альвеол, но и минимизацию потенциального индуцированного пациентом или ятрогенного повреждения легких. Стратегия применения ИВЛ при COVID-19 основана на временных клинических рекомендациях ФАР "Диагностика и интенсивная терапия острого респираторного дистресс-синдрома", 2020.

Целевые показатели при ИВЛ, ассоциированные с улучшением исхода при ОРДС:

- PaO2 90 - 105 мм рт. ст или SpO2 95 - 98%;

- PaCO2 30 - 50 мм рт. ст. или EtCO2 капнограммы 27 - 45 мм рт. ст.

При ИВЛ у пациентов с COVID-19 рекомендован дыхательный объем 6 - 8 мл/кг идеальной массы тела. Применение ДО 9 мл/кг ИМТ и более ведет к росту осложнений и летальности. При гиперкапнии возможно увеличение дыхательного объема до 10 мл/кг ИМТ.

Проведение "безопасной" ИВЛ возможно в режимах как с управляемым давлением (PC), так и с управляемым объемом (VC). При этом в последних желательно использовать нисходящую форму инспираторного потока, обеспечивающую лучшее распределение газа в легких и меньшее давление в дыхательных путях. Убедительных данных о преимуществе какого-либо из вспомогательных режимов респираторной поддержки пока нет. От применения управляемых режимов респираторной поддержки следует стремиться как можно быстрее перейти к режимам вспомогательной вентиляции.

У пациентов с PaO2/FiO2 выше 200 мм рт. ст. при появлении самостоятельных инспираторных попыток после интубации трахеи и реверсии миоплегии рекомендовано, при технической возможности и отсутствии патологических ритмов дыхания, перейти на полностью вспомогательный режим вентиляции (в большинстве аппаратов - PSV) для улучшения распределения газа, профилактики ателектазирования и атрофии диафрагмы.

У пациентов с COVID-19 при проведении ИВЛ рекомендовано использовать PEEP в зависимости от рекрутабельности альвеол и риска образования ателектазов:

- При малорекрутабельных легких: очаговые повреждения альвеол или очаги консолидации на КТ, давление плато < 30 см вод. ст., статическая податливость респираторной системы 40 мл/см вод. ст. и выше - PEEP 10 - 12 см вод. ст;

- При рекрутабельных легких (собственно ОРДС): сливные повреждения альвеол по типу матового стекла и консолидации, дорсальные ателектазы, картина "мокрой губки" на КТ, давление плато > 30 см вод. ст., статическая податливость < 40 мл/см вод. ст. - PEEP 12 - 20 см вод. ст. в зависимости от рекрутабельности альвеол и индекса массы тела. Чем выше рекрутабельность альвеол и ИМТ, тем выше PEEP.

Для оценки рекрутабельности рекомендовано оценивать разницу между давлением плато и PEEP ("движущее давление") или статический комплайнс: уменьшение величины "движущего давления" в ответ на увеличение PEEP свидетельствует об рекрутировании коллабированных альвеол, а увеличение его - о перераздувании уже открытых альвеол.

Методология применения PEEP подробно описана в Клинических рекомендациях ФАР "Диагностика и интенсивная терапия острого респираторного дистресс-синдрома".

Рутинное применение рекрутирования альвеол не рекомендовано при COVID-19 из-за невысокой рекрутабельности и высокого риска острого легочного сердца.

У пациентов с ОРДС вследствие COVID-19 при проведении ИВЛ рекомендовано использовать неинвертированное соотношение вдоха к выдоху для более равномерного распределения газа в легких и снижения отрицательного влияния ИВЛ на постнагрузку правого желудочка; рутинное применение инверсного соотношения вдоха к выдоху (более 1 к 1,2) не рекомендовано, при этом необходимо избегать неполного выдоха (экспираторный поток перед началом вдоха аппарата должен достигать нуля). Следует регулировать ЧД для достижения нормокапнии, но не более 30 в мин. Для вдоха достаточно времени 0,8 - 1,2 с.

Вентиляция в положении лежа на животе (прон-позиции) и в положении на боку

При ИВЛ у пациентов с COVID-19 рекомендовано положение лежа на животе в течение не менее 16 ч в сутки для улучшения оксигенации и возможного снижения летальности. Пациента следует положить на живот, предварительно подложив валики под грудную клетку и таз, а также подушку для лица (желательно использовать специальные подушки для прон-позиции) с таким расчетом, чтобы живот не оказывал избыточного давления на диафрагму, а также не создавалось условий для развития пролежней лица.

При выраженном ожирении вместо прон-позиции при проведении ИВЛ предпочтительно положение лежа на боку со сменой стороны несколько раз в сутки.

Осложнения при вентиляции в положении лежа на животе

- Перегибы и дислокации интубационных трубок и венозных катетеров;

- Трудность выполнения сердечно-легочной реанимации;

- Развитие невритов периферических нервов верхних конечностей;

Повреждение носа и глаз - лицевой и периорбитальный отек развивается почти в 100% случаев; кератоконьюктивит, требующий лечения, развивается у 20% пациентов;

В прон-позиции затруднены санация полости рта и трахеи, обработка глаз, лица.

Критерий прекращения прон-позиции: увеличение PaO2/FiO2 > 200 мм рт. ст. при PEEP < 10 см вод. ст., сохраняющееся в течение >= 4 ч после последнего сеанса прон-позиции.

Медикаментозная седация и миоплегия при ИВЛ

При проведении ИВЛ пациентам с индексом PaO2/FiO2 > 200 мм рт. ст. используют "легкий" уровень седации (-1...-2 балла по Ричмондской шкале ажитации и седации RASS): такая стратегия уменьшает длительность респираторной поддержки и улучшает исход. Желательно также избегать применения для седации бензодиазепинов.

У пациентов с PaO2/FiO2 < 120 мм рт. ст. на фоне PEEP > 5 см вод. ст. рекомендовано использовать нейромышечную блокаду, но только в первые 48 ч после интубации, что может приводить к уменьшению вентилятор-ассоциированного повреждения легких и снижению летальности. Рутинно применять миорелаксанты для синхронизации с аппаратом не следует.

Сроки трахеостомии

Рекомендована ранняя трахеостомия (в первые трое суток после интубации) ввиду длительности проведения респираторной поддержки и высокой вероятности осложнений оротрахеальной интубации (дислокация трубки и непреднамеренная экстубация при повороте в прон-позицию, нарушение проходимости трубки, риск нозокомиальной пневмонии).

Прекращение респираторной поддержки

Рекомендовано продлевать респираторную поддержку до 14 суток и более даже при положительной динамике оксигенирующей функции легких, т.к. при COVID-19 возможно повторное ухудшение течения ОРДС; средняя длительность ИВЛ у выживших 14 - 21 день.

Для улучшения исходов и уменьшения продолжительности респираторной поддержки рекомендуют использовать общие и респираторные критерии готовности к ее прекращению.

Основные респираторные критерии

- PaO2/FiO2 > 300 мм рт. ст, то есть SpO2 при вдыхании воздуха 90% и более,

- Восстановление кашлевого рефлекса и кашлевого толчка,

- Отсутствие бронхореи,

- Индекс Тобина (f/Vt) < 105.

Дополнительные респираторные критерии

- Статическая податливость респираторной системы > 35 мл/ см вод. ст.,

- Сопротивление дыхательных путей < 10 см вод. ст./л/с,

- Отрицательное давление при вдохе менее - 20 см вод. ст.,

- Давление окклюзии контура на вдохе за первые 100 мс (P0,1) 1 - 3 см вод. ст.,

- Уменьшение инфильтрации на рентгенограмме (и/или КТ) грудной клетки.

- Общие критерии готовности к прекращению респираторной поддержки:

- Отсутствие угнетения сознания и патологических ритмов дыхания,

- Полное окончание действия миорелаксантов и др. препаратов, угнетающих дыхание,

- Отсутствие признаков шока (мраморность кожи, белое пятно > 3 с, холодные конечности), жизнеопасных нарушений ритма, стабильность гемодинамики.

Для начала прекращения респираторной поддержки обязательно наличие всех основных респираторных и общих критериев готовности к прекращению респираторной поддержки.

Схема 1. Пошаговый подход в выборе респираторной терапии COVID-19

5.6.4. Экстракорпоральная мембранная оксигенация (ЭКМО)

Показанием к вено-венозному ЭКМО является снижение индекса RaO2/FiO2 ниже 80 мм рт. ст. и (или) гиперкапния с pH < 7,2, несмотря на протективную ИВЛ в прон-позиции в течение 10 - 12 ч. Обязательным условием является длительность проведения инвазивной ИВЛ не более 5 суток. Эффективность ЭКМО крайне сомнительна при септическом шоке. ЭКМО проводится в отделениях, имеющих опыт использования данной технологии, где есть специалисты, владеющие техникой канюляции магистральных сосудов и настройкой ЭКМО.

Противопоказания к ЭКМО

1. Наличие геморрагических осложнений и снижение уровня тромбоцитов ниже критических значений (< 50 * /л), наличие внутричерепных кровоизлияний;

2. Тяжелые сопутствующие заболевания в стадии декомпенсации;

3. Полиорганная недостаточность или оценка по SOFA > 15 баллов;

4. Немедикаментозная кома;

5. Техническая невозможность венозного или артериального доступа;

6. Индекс массы тела > 35 кг/м2;

7. Возраст пациента более 65 лет.

5.6.5. Поддержка кровообращения и инфузионная терапия

У пациентов с НКИ COVID-19 рекомендуется придерживаться консервативной (ограничительной) тактики инфузионной терапии с динамической оценкой ее эффективности по ответу показателей гемодинамики, газовому составу крови, клиренсу лактата и другим показателям. В качестве начальной инфузионной терапии следует использовать болюсное введение кристаллоидов по 500 мл в зависимости от реакции гемодинамики и газообмена. Необходимо вести пациентов в нулевом или отрицательном балансе жидкости с обязательным контролем диуреза и суточного гидробаланса. Для поддержания отрицательного гидробаланса могут быть использованы диуретики и методы почечной заместительной терапии.

У пациента с гипотензией (систолическое АД менее 90 мм рт. ст. или среднее АД менее 65 мм рт. ст.) рекомендуется провести скрининговое обследование, направленное на выявление возможных дополнительных очагов инфекции, включая бактериальную суперинфекцию. При проведении инфузионной нагрузки с целью стабилизации гемодинамики у таких больных следует отдать предпочтение сбалансированным кристаллоидным препаратам. Рутинное использование коллоидных препаратов не рекомендовано.

У пациентов с и гипотензией, которым инфузионная нагрузка не требуется (при отрицательных результатах динамических тестов на инфузионную нагрузку) или проведение инфузионной нагрузки не сопровождается быстрой стабилизацией гемодинамики, рекомендуется начать введение вазоактивных препаратов с целью начального поддержания среднего АД в пределах 65 - 75 мм рт. ст. У пациентов до 65 лет при отсутствии кардиальной патологии и признаков тканевой гипоперфузии допустимо поддержание среднего АД в пределах 60 - 65 мм рт. ст. У пожилых пациентов с сопутствующей артериальной гипертензией для профилактики острого повреждения почек целесообразно поддержание среднего АД 75 - 85 мм рт. ст.

В качестве вазоактивного препарата первой линии рекомендуется использовать норэпинефрин, при его недоступности - эпинефрин. Дофамин может быть использован только в отсутствие норэпинефрина и эпинефрина. У пациентов с НКИ COVID-19 и шоком с признаками миокардиальной дисфункции, проявляющейся повышением давлений наполнения сердца и снижением сердечного выброса, или при сохраняющихся признаках гипоперфузии, несмотря на достижение адекватных показателей преднагрузки и среднего АД, рекомендуется дополнительно назначить добутамин. У пациентов с рефрактерным шоком (потребность в инфузии норэпинефрина или эпинефрина в дозе > 0,5 мкг/кг/мин для поддержания среднего АД в пределах 65 - 75 мм рт. ст.) рекомендуется дополнительно к вазопрессорной поддержке использовать низкие дозы кортикостероидов (инфузия гидрокортизона 200 мг/сут).

5.6.6. Лечение пациентов с сепсисом и септическим шоком

Для скрининга пациентов с высокой вероятностью развития сепсиса, и в том числе рассмотрения возможности ранней госпитализации в ОРИТ, следует использовать критерии Quick SOFA (qSOFA) (экспресс-SOFA), позволяющие предполагать наличие сепсиса по клиническим признакам без лабораторных исследований:

- снижение уровня сознания до 13 и менее баллов шкалы комы Глазго;

- снижение систолического АД менее 100 мм рт. ст.;

- частота дыхания 22 и более.

Каждому из признаков придается по одному баллу. В случае наличия двух или трех баллов вероятность присутствия инфекции в варианте сепсиса составляет около 80%, превышая диагностическую ценность классической шкалы SOFA, с более высоким риском смерти в 3 - 14 раз в сравнении с индексом qSOFA менее двух баллов.

Важным дифференциальным критерием этиологии сепсиса является ОАК - при бактериальном генезе отмечается лейкоцитоз, а при вирусном - нормо- или лейкопения и лимфопения.

Задачи интенсивной терапии септического шока (кроме этиотропного лечения):

1. Поддержка гемодинамики (оптимизация доставки O2)

2. Метаболическая поддержка (минимизация дефицита экстракции или повышение потребления O2).

Ключевым принципом интенсивной терапии ранней фазы септического шока является незамедлительное начало гемодинамической поддержки у пациентов с гипотензией или повышенной концентрацией лактата в сыворотке крови (> 2 ммоль/л). Первоначальной мерой стабилизации гемодинамики рекомендуют инфузионную заместительную терапию. При отсутствии эффекта от стартовой инфузионной терапии назначают вазопрессоры по принципам, изложенным в разделе 5.6.5.

Микроциркуляторно-митохондриальный дистресс при септическом шоке во многом является причиной нарушений потребления кислорода тканями. Целевым показателем интенсивной терапии является ScvO2 65 - 75%. В отсутствие признаков тканевой гипоперфузии, ишемической болезни сердца (ИБС) и кровотечения рекомендовано поддержание гемоглобина (Hb) на уровне 70 - 90 г/л. Трансфузия эритроцитсодержащих компонентов крови может быть назначена при снижении концентрации Hb менее 70 г/л.

5.6.7 Экстракорпоральная детоксикация и гемокоррекция

У пациентов с тяжелым течением НКИ COVID-19 показанием к экстракорпоральному лечению является прогрессирующая дыхательная недостаточность и/или полиорганная недостаточность.

Рекомендуется рассмотреть возможность применения:

- селективной гемосорбции цитокинов - при тяжелом течении заболевания и прогрессирующей дыхательной недостаточности вследствие не купируемого медикаментозными средствами цитокинового шторма;

- заместительной почечной терапии с использованием мембран с повышенной адсорбционной способностью и высокой точкой отсечки - для купирования цитокинового шторма и лечения острого почечного повреждения;

- плазмообмена с замещением свежезамороженной донорской плазмой (СЗП) или селективной плазмофильтрации при отсутствии достаточного объема СЗП - при наличии признаков синдрома активации макрофагов, ДВС синдрома, тромботической микроангиопатии.

При плазмообмене наряду с СЗП от обычных доноров рекомендуется рассмотреть применение СЗП от доноров-реконвалесцентов НКИ COVID-19 в дозе, не превышающей 20 мл/кг в сутки.

При осложнении клинического течения НКИ COVID-19 клиникой бактериального сепсиса и септического шока рекомендуется рассмотреть применение селективной гемосорбции липополисахаридов; заместительная почечная терапия при этом проводится по общепринятым показаниям и методикам.

5.6.8. Нутриционная поддержка

Раннее энтеральное питание (ЭП) рекомендуется всем пациентам с НКИ COVID-19, неспособным самостоятельно принимать пищу. Необходимо стремиться удовлетворить суточные потребности в энергии (25 - 30 ккал/кг) и белке (1,2 - 1,5 г/кг). При высоком риске аспирации или непереносимости ЭП следует проводить парентеральное питание.

Постпилорический доступ для ЭП рекомендуется использовать в случаях непереносимости желудочного кормления или при наличии высокого риска аспирации.

При проведении ЭП в прон-позиции необходимо приподнимать на 10 - 25° головной конец кровати, чтобы уменьшить риск аспирации желудочного содержимого, отека лица и внутрибрюшной гипертензии.

Нутриционную поддержку следует отложить при рефрактерном шоке, в случае неконтролируемой угрожающей жизни гипоксемии, гиперкапнии или ацидоза. При купировании шока переход к полному обеспечению потребности в энергии и белке необходимо осуществлять постепенно (в течение 3 - 5 суток), особенно у пожилых пациентов, нуждающихся в ИВЛ и/или получающих адреномиметики.

При проведении нутриционной поддержки рекомендуется проводить коррекцию гипергликемии инсулином при величинах глюкозы крови более 10 ммоль/л.

В целом анестезиолого-реанимационное обеспечение пациентов с новой коронавирусной инфекцией COVID-19 рекомендуется проводить в соответствии с Методическими рекомендациями Общероссийской общественной организации "Федерация анестезиологов и реаниматологов" (http://far.org.ru/newsfar/496-metreccovid19)

5.7. ОСОБЫЕ ГРУППЫ ПАЦИЕНТОВ

Больные с артериальной гипертензией

В связи с тем, что АПФ2 является функциональным рецептором для SARS-CoV-2, было высказано предположение, что это может объяснять высокий риск летального исхода при COVID-19 у пациентов с артериальной гипертензией, получающих препараты из группы ингибиторов АПФ или блокаторов рецепторов к ангиотензину. Эти опасения носили гипотетический характер и не получили практического подтверждения. Более того, имеются косвенные данные о возможном протективном действии этих препаратов при инфекции COVID-19. Экспертами Европейского общества кардиологов опубликовано заявление о том, что данных о неблагоприятных эффектах этих препаратов на течение COVID-19 нет, их прием настоятельно рекомендуется продолжать.

Больные с гиперлипидемией

Статины обладают иммуномодулирующим эффектом. При подтверждении COVID-19 прием статинов не прекращается. Если пациенты не принимали статины, то рекомендовано назначение терапии при легком и среднетяжелом течении. На протяжении лечения инфекции необходим контроль за печеночными ферментами и риском рабдомиолиза.

Больные с острым коронарным синдромом

В связи с тем, что при COVID-19 обнаруживается неспецифическое повышение уровня тропонина, а также описаны случаи миокардитов, для подтверждения диагноза острого коронарного синдрома (ОКС) на фоне COVID-10 требуется более тщательное обследование. В целом тактика ведения пациентов с ОКС не должна отличаться от стандартно принятой. Пациенты с ОКС и с подозрением на COVID-19 должны направляться в стационары, имеющие возможность проведения чрескожного коронарного вмешательства.

Больные сахарным диабетом

Сахарный диабет является фактором риска развития тяжелой пневмонии и септического течения вирусной инфекции, ассоциированного с развитием полиорганной недостаточности и повышением риска осложнений и смерти. Пациенты с сахарным диабетом должны тщательно следовать рекомендациям по профилактике заражения и самоизоляции, чтобы избежать инфицирования COVID-19. В качестве специфической профилактики рекомендовано применение препаратов альфа-интерферона.

При легком течении коронавирусной инфекции пациент с СД изолируется и продолжает лечение амбулаторно. Рекомендуется учащение контроля гликемии каждые 4 - 6 часов с расширением питьевого режима до 2 - 3 литров в сутки с учетом сопутствующих заболеваний. Необходимо продолжить текущую сахароснижающую терапию.

При повышении гликемии необходимо рассмотреть вопрос о госпитализации, усилить терапию СД. При гликемии выше 13 - 15 ммоль/л надо оценить уровень кетонов в моче и добавить инсулин-изофан человеческий генно-инженерный инсулин или аналог инсулина длительного действия.

Среднетяжелое и тяжелое течение COVID-19 у пациентов с СД являются показаниями к госпитализации.

При среднетяжелом течении COVID-19 и появлении респираторных симптомов:

- необходимо отменить прием метформина, агонистов рецепторов ГПП-1 (арГПП-1), ингибиторов натрий-глюкозного котранспортера 2 типа (иНГЛТ-2), препаратов сульфонилмочевины.

- контроль гликемии проводится каждые 3 - 4 часа, контроль кетонов в моче 1 - 2 раза в день, проводится оценка содержания лактата.

- при гликемии выше 15,0 ммоль/л показано назначение инсулина короткого типа действия или базис-болюсной инсулинотерапии.

Тяжелое течение COVID-19 характеризуется прогрессированием дыхательной и полиорганной недостаточности. Рекомендовано:

- целевая гликемия определяется тяжестью состояния пациента и течением заболевания.

- отменить все сахароснижающие препараты кроме инсулина.

- назначить непрерывное внутривенное введение инсулин короткого действия с помощью инфузомата.

- проводить контроль гликемии ежечасно при гликемии выше 13,0 ммоль/л или каждые 3 часа при гликемии ниже 13,0 ммоль/л для коррекции скорости введения инсулина, контроль содержания кетонов в моче и лактата в крови проводится 2 раза в день.

Особенности лечения коронавирусной инфекции у пациентов с СД:

1. Пациенты с СД находятся в группе высокого риска присоединения бактериальной инфекции. При среднетяжелом и тяжелом течении рекомендуется в упредительном режиме назначение антибактериальной терапии в сочетании с этиотропной терапией COVID-19.

2. При назначении комбинированной терапии ингибиторами протеаз ВИЧ и глюкокортикоидами следует ожидать повышения гликемии. Необходимо проводить контроль каждые 3 часа, увеличить скорость подачи инсулина по данным контроля гликемии (доза инсулина может быть увеличена в 2 - 3 раза в сравнении с исходной).

3. Для пациентов с СД характерно более быстрое развитием ОРДС. Обосновано ранее упреждающее назначение моноклональных антител для терапии "цитокинового шторма". Необходимо проводить мониторинг клинических маркеров интерлейкинового воспаления для своевременного назначения терапии

4. Имеются высокие риски развития гиперкоагуляционного синдрома. Назначение антикоагулянтов является обязательным при использовании соответствующих схем лечения.

При выписке пациентов из стационара:

- предусмотреть обеспечение пациентов препаратами инсулина на время самоизоляции;

- возможно возобновить прием метформина, арГПП-1, иНГЛТ2 через 2 недели в случае полной реконвалесценции пациента.

- продолжение антикоагулянтов до полного выздоровления.

Больные с хронической обструктивной болезнью легких

Хроническая обструктивная болезнь легких (ХОБЛ) - заболевание, характеризующееся поражением бронхиального дерева, преимущественно малых бронхов, и развитием различных форм эмфиземы легких, что ведет к снижению скорости воздушного потока в респираторном тракте и клинически - возникновению одышки. Основной причиной болезни является курение, в редких случаях - другие экзогенные воздействия.

При возникновении у пациента с ХОБЛ COVID-19 развитие дыхательной недостаточности может идти более быстрыми темпами, что требует особого наблюдения за этими пациентами и оценки уровня газообмена. В период лечения требуется продолжение базисной терапии бронхолитиками длительного действия, если они не были назначены - то ввести их в общую схему. Ингаляционные ГКС должны использоваться в виде дозированных аэрозолей или порошков. Небулайзера терапия должна избегаться и применяться лишь по жизненным показаниям с соблюдением мер предосторожности распространения инфекции через аэрозоль. Системные ГКС должны применяться по правилам лечения обострения ХОБЛ.

Больные с бронхиальной астмой

При возникновении инфекции COVID-19 у пациентов с бронхиальной астмой, базисная терапия, в том числе топическими ГКС должна сохраняться в том же объеме, что и до заболевания. Лечение обострений бронхиальной астмы лечится по общим правилам. Ограничения к небулайзерной терапии такие же, как и для ХОБЛ. Если пациент применял биологическую терапию, и ему необходимо продолжение этого лечения, нет противопоказаний для введения препаратов иммунобиологической терапии, если это позволит санитарно-эпидемиологические условия.

Больные с интерстициальными, редкими и генетически детерминированными заболевания легких

Пациенты из данных групп, заболевшие инфекцией COVID-19, должны вестись совместно со специалистами по конкретной патологии, учитывая возможные осложнения, неблагоприятные лекарственные взаимодействия и особенности терапии дыхательной недостаточности.

Больные иммуновоспалительными ревматическими заболеваниями

Пациенты с иммуновоспалительными ревматическими заболеваниями (ИВРЗ) составляют группу риска в отношении заболевания COVID-19 и неблагоприятного течения болезни. К факторам риска относятся пожилой возраст, прием высоких доз "противоревматических" препаратов, одномоментный прием нескольких "противоревматических" препаратов, особенно в комбинации с ГК, высокая активность заболевания, наличие комобидной и мультиморбидной патологии. Высокая частота "кардиометаболической" и легочной коморбидности, характерная для ИВРЗ, в случае развития COVID-19, может способствовать снижению эффективности терапии основного заболевания и затруднять диагностику инфекции (поражение легких).

Следует также иметь ввиду, что инфицирование SARS-CoV-2 может вызывать обострение активацию воспаления при ИВРЗ, и некоторые клинические проявления и лабораторные нарушения, наблюдаемые при COVID-19, могут развиваться в дебюте или при обострении ИВРЗ: лихорадка, артралгии, усталость, миалгии, цитопении (в первую очередь лимфопения, реже анемия и тромбоцитопения), острая интерстициальная пневмония ("матовое стекло"), миокардит, венозный тромбоз, сетчатое ливедо, увеличение концентрации СРБ, D-димера, ферритина. Патология иммунной системы при ИВРЗ и сопутствующие коморбидные заболевания могут утяжелять течение COVID-19 и увеличивать риск развития синдрома "цитокинового шторма".

В период пандемии COVID-19 госпитализация пациентов в стационар возможна только по ургентным показаниям с обязательным предоставлением лабораторных данных об отсутствия инфицирования SARS-CoV-2.

Особенностями лечения пациентов с ИВРЗ в условиях пандемии COVID-19 являются:

- В случае инфицирование SARS-CoV-2 пациентов с ИВРЗ следует временно (до полного выздоровления) прервать лечение стандартными базисными противовоспалительными препаратами (БПВП) (метотрексат, лефлуномид, азатиоприн), генно-инженерными биологическими препаратами (ГИБП) (ингибиторы фактора некроза , ИЛ-6, ИЛ-17, ИЛ-12/23, ИЛ-23, блокаторами ко-стимуляции T-клеток, анти-B клеточными препаратами (ритуксимаб, белимумаб) и "таргетными" БПВП (ингибиторы янус-киназы и фосфодиэстеразы 4 типа) и обратится за консультацией к ревматологу;

- Рекомендуется продолжить прием 4-аминохинолиновых препаратов (или назначить их при отсутствии противопоказаний) и сульфасалазина;

- Возможно применение НПВП в низких дозах (ибупрофен, кетопрофен) и парацетамола в качестве жаропонижающих препаратов;

- Не рекомендуется прерывание лечения ГК, но следует по возможности максимально снизить дозу препарата;

- Во время пандемии COVID-19 следует прервать "плановую" терапию циклофосфамидом и анти-B-клеточными препаратами (ритуксимаб) и не следует инициировать терапию стандартными БПВП (метотрексакт, лефлуномид), ГИБП и таргетными БПВП при отсутствии абсолютных показаний, связанных с риском развития ургентных осложнений или необратимого поражения внутренних органов;

- При отсутствии подозрений на наличие инфекции SARS-CoV-2 и других противопоказаний рекомендуется иммунизация вакциной против пневмококковой инфекции.

5.8. МОНИТОРИНГ КЛИНИЧЕСКИХ И ЛАБОРАТОРНЫХ ПОКАЗАТЕЛЕЙ

Важным обстоятельством при оказании медицинской помощи больным с COVID-19 или подозрением на COVID-19 является оценка динамики клинических и лабораторных показателей для своевременного назначения препаратов и своевременной коррекции терапии.

Клинические признаки, требующие мониторинга:

- T тела (контроль ежедневно минимум два раза в день в утренние и вечерние часы), оценивается высота повышения t тела, кратность ее подъемов в течение суток, длительность повышения. Особого внимания требуют эпизоды повторного повышения t тела после нормализации в течение 1 и более суток.

- ЧДД оценивается ежедневно, в случае увеличения ЧДД необходимо ориентироваться не только на стандартные нормальные значения показателя, но и на прирост показателя в сравнении с исходным ЧДД. При развитии или нарастании признаков дыхательной недостаточности необходимо тщательно контролировать SpO2. При увеличении ЧДД более 22 в минуту при лечении на дому необходимо решать вопрос о госпитализации пациента в стационар.

- SpO2 оценивается ежедневно (у пациентов, находящихся в стационаре, 1 раз в три дня, при снижении показателя до уровня <= 93% необходима дотация кислорода.

Для линейных отделений SpO2 на фоне оксигенотерапии должна быть >= 92%, если показатель меньше - показана прональная позиция. Если SpO2 в положении на животе < 92%, показана консультация реаниматолога в течение часа. При проведении оксигенотерапии показано кратковременно прекращать ее не реже чем 1 раз в 2 ч, если при этом отмечается снижение SpO2 < 85%, показан вызов реаниматолога в течение часа, если SpO2 снижается до 80% и менее - экстренный вызов реаниматолога.

Лабораторные показатели, требующие мониторинга:

- Уровни лейкоцитов, нейтрофилов, лимфоцитов, тромбоцитов;

- Активность АЛТ, АСТ, уровни СРБ, ферритина, тропонина;

- Уровень D-димера;

- Протромбиновое время;

- Уровень фибриногена;

- Уровень ИЛ-6;

- Количество T- и B-лимфоцитов;

- NT - proBNP.

- Инструментальные признаки, требующие мониторинга, - характер и площадь поражения легких на КТ ОГК.

Необходимый объем лабораторного и инструментального обследования в зависимости от клинических проявлений заболевания представлен в Приложении 2-1. Лабораторный мониторинг больных с COVID-19/подозрением на COVID-19 в зависимости от тяжести состояния представлен в Приложении 2-2.

5.9 МЕДИЦИНСКАЯ РЕАБИЛИТАЦИЯ ПРИ ОКАЗАНИИ СПЕЦИАЛИЗИРОВАННОЙ МЕДИЦИНСКОЙ ПОМОЩИ ПАЦИЕНТАМ С КОРОНАВИРУСНОЙ ИНФЕКЦИЕЙ

5.9.1 Медицинская реабилитация в ОРИТ (1 этап)

На первом этапе медицинской реабилитации, в отделении реанимации и интенсивной терапии (ОРИТ), важно организовать возможность проведения ранних реабилитационных мероприятий, направленных на минимизацию длительности ИВЛ, потребности в анальгоседации, вероятности развития делирия, полимионейропатии критических состояний (ПНМКС) и одновременно минимизировать вторичный повреждающий эффект иммобилизации в период ИВЛ, способствующей развитию ПИТ синдрома.

Реабилитационные мероприятия у пациентов тяжелой и крайне тяжелой степени COVID-19 в условиях ОРИТ включает нутритивную поддержку, респираторную реабилитацию, постуральную коррекцию, раннюю пассивную мобилизацию, циклические тренировки на прикроватном велотренажере.

Рекомендуется сосредоточить акцент в работе на пациентов, находящихся на ИВЛ, обеспечивая им реабилитационные мероприятия на менее 2 x 20 минут ежедневно. В целях профилактики постэкстубационной дисфагии и аспирационных осложнений рекомендуется в первые 48 часов использовать для питья загущенную жидкость. В целях сохранения циркадных ритмов и профилактики делирия рекомендуется применение в ночное время глазных масок и берушей при условии обеспечения исключительно индивидуального их применения. Необходимо пациентам с COVID-19 обеспечить выполнение мероприятий по позиционированию и ранней мобилизации.

Рекомендуется увеличивать антигравитационное позиционирование, пока пациент не сможет выдержать вертикальное положение.

Комментарий. Позиционирование на боку при ИВЛ у пациентов без легочного повреждения не предотвращает развитие легочных осложнений.

Рекомендуется минимизировать использование позиционирования на спине с опущенным головным концом (flat-позиция) и положение Тренделенбурга и использовать их исключительно при процедурах ухода из-за нежелательных гемодинамических эффектов и ухудшения газообмена.

Пациентам на спонтанном дыхании, по возможности, следует стремиться к максимально длительному пребыванию пациента на уровне гравитационного градиента. Ортостатические процедуры следует проводить 3 раза в день по 30 минут. Продолжительность процедуры зависит от переносимости, но не более 15 мин. Голова должна быть в положении по средней линии для предотвращения затруднения венозного оттока и вторичного повышения внутричерепного и внутриглазного давления.

Контактные пациенты должны научиться наклоняться в положение, которое позволяет силе тяжести помочь в дренировании секрета из долей или сегментов легких.

Для профилактики, лечения полинейромиопатии критических состояний и фасилитации спонтанного дыхания при ИВЛ более 72 часов показаны ежедневные мероприятия медицинской реабилитации продолжительностью не менее 30 минут (см. ранее).

Рекомендации. Отчетливая связь между ПНМКС и длительностью иммобилизации установлена при остром легочном повреждении. Максимальный эффект в виде снижения длительности ИВЛ был достигнут у пациентов, которые получали не менее 30 минут ежедневных занятий. Занятия менее 20 минут у пациентов на ИВЛ и менее чем 2 раза в день - пользы не приносят.

Пассивная мобилизация для неконтактных пациентов представляет собой пассивные движения во всех суставах. В каждом сегменте достаточно 30 повторов 1 раз в 2 часа. Активная мобилизация для контактных пациентов предполагает бесконтактное взаимодействие с 1 - 2 пациентами, направленное на инструктирование их по выполнение самостоятельных движений во всех суставах в режиме 10 повторов 1 раз в 2 часа. В условиях ОРИТ не следует проводить специальные приемы мобилизации, которые могут спровоцировать кашель и отделение слизи у пациента с коронавирусной пневмонией.

Процедуры, направленные на снижение одышки, улучшение трахеобронхиального клиренса, тренировку скелетных мышц и поддержание уровня самообслуживания, в ОРИТ противопоказаны, так как они могут способствовать повышению риска развития ОРДС.

Рекомендуется применять избирательную тренировку основных, вспомогательных и дополнительных мышц вдоха (в том числе специальные статические и динамические дыхательные упражнения).

В период отлучения пациента от респиратора или непосредственного после него можно использовать выдох с применением положительного давления. У пациентов с затрудненным отлучением от ИВЛ может применяться электростимуляция диафрагмы и межреберных мышц при условии строго выполнения требований санитарной обработки используемого оборудования после каждого применения.

Не рекомендуются использование в ОРИТ ингаляции солевых растворов через небулайзер, специальное стимулирование выделения мокроты, применение разговорных клапанов, процедур по восстановлению речи до полного купирования острой инфекции и снижения риска передачи инфекции.

Рекомендуется повысить меры безопасности при проведении процедур, генерирующих аэрозоль (ГАП), создающих риск передачи COVID-19 воздушным путем.

Комментарии: к ГАП относятся процедуры респираторного ухода и реабилитации, вызывающие кашель, например, кашель во время манипуляции или хаффинга (вибрации грудной клетки на выдохе).

- Техники позиционирования/гравитационного дренажа и мануальные техники (например, вибрация при выдохе, перкуссия, мануально-ассистированный кашель), которые могут вызвать кашель и отделение мокроты.

- Использование устройств для прерывистого искусственного дыхания под давлением (например, IPPB), механических инсуффляционно-экссуффляционных устройств (MI-E), устройств с высокочастотными интра/экстрапульмональными колебаниями (например, TheVest, MetaNeb, Percussionaire)

- PEP и колебательные системы PEP

- Назофарингеальная или орофарингеальная аспирация

- Мануальная гиперинфляция (MHI)

- Тренировка инспираторных мышц, особенно для пациентов, которые проходят ИВЛ, и требуется отключение от дыхательного контура.

Все пациенты, находившиеся на искусственной инвазивной вентиляции легких, должны быть оценены на предмет дисфагии. При наличии постинтубационной дисфагии следует проводить мероприятия по восстановлению глотания под контролем логопеда мудьтидисциплинарной реабилитационной команды. У пациентов ОРИТ с дисфагией после экстубации можно использовать применение пищи с загустителями. В случае очень высокого риска аспирации следует осуществлять питание при помощи зонда, располагаемого в постпилорическом отделе желудка. Если же это невозможно, следует назначить временное парентеральное питание с одновременным проведением занятий по обучению глотанию с извлеченным зондом. При низких значениях показателя SaO2 в покое, следует оценивать его во время еды. Если в процессе приема пищи происходит десатурация крови, следует увеличить его подачу или использовать подачу дополнительно кислорода.

Все мероприятия по медицинской реабилитации должны включать ежедневный мониторинг температуры, SaO2, SpO2/FiO2, кашля, одышки, ЧСС, ЧД, подвижности грудной клетки и передней брюшной стенки.

Противопоказанием к проведению реабилитационных мероприятий или к их остановке (стоп-сигнал) в ОРИТ являются: температура выше 38 градусов C, ухудшение одышки, ЧД выше 30, сатурация O2 < 93% на кислородной терапии или потребность в FiO2 > 50% при не инвазивной вентиляции, повышение систолического АД выше 180 мм. рт. ст или снижение ниже 90 мм. рт. ст., появление аритмии, развитие шока, снижение уровня сознания.

5.9.2. Медицинская реабилитация в терапевтическом отделении (1 этап)

В терапевтическом отделении мероприятия по медицинской реабилитации пациентов с COVID-19 должны быть направлены на восстановление функционирования пациента, для достижения чего потребуется решение основных задач:

- улучшение вентиляции легких, газообмена и бронхиального клиренса,

- продолжение нутритивной поддержки

- повышение общей физической выносливости пациентов,

- коррекция мышечной слабости,

- повышение мобильности,

- преодоление стресса, беспокойства или депрессии,

- коррекция нарушения сна

Рекомендуется проводить дыхательные упражнения пациентам с COVID-19, у которых развивается экссудативная консолидация, гиперсекреция слизистой и/или затруднение отхождения мокроты. При сухом непродуктивном кашле мероприятия по респираторной реабилитации не показаны. Дыхательные упражнения должны быть направлены на усиление эвакуации слизи из легочных альвеол и бронхиол в большие дыхательные пути, чтобы мокрота не скапливалась в базальных сегментах легких

Комментарии.

- В зависимости от статуса пациента этому может содействовать:

- глубокое медленное дыхание: во время вдоха пациент должен стараться изо всех сил активно двигать диафрагмой. Дыхание должно быть как можно более глубоким и медленным, чтобы избежать снижения эффективности дыхания, вызванного быстрым поверхностным дыханием. Следует ориентироваться на частоту дыхания на 12 - 15 раз/мин. Из-за особых патологических факторов вирусной пневмонии следует избегать приостановки дыхания на длительное время, чтобы не увеличивать нагрузку на дыхательную функцию и сердце, а также потребление кислорода.

- Техника выдоха с применением положительного постоянного или прерывистого давления сомкнутыми губами в трубочку.

Для пациентов с нарушением дренажной функции легких следует использовать метод постурального дренажа в случае, если у пациента имеется нарушение дренажной функции легких. Продолжительность процедуры должна составлять от 10 до 20 минут в зависимости от состояния пациента.

Для восстановления пассивного компонента дыхательного цикла должна увеличиваться экскурсия грудной клетки, для активного - укрепляться мышцы вдоха и выдоха (основные, вспомогательные и дополнительные). В целях оптимизации дыхания, снижения нагрузки на респираторную мускулатуру, увеличения силы и силовой выносливости инспираторных мышц рекомендуется выполнение дыхательных упражнений, регулирующих фазы дыхательного цикла, предпочтительно без дыхательных тренажеров.

Комментарий. Для тренировки резко ослабленных дыхательных мышц следует сначала обучить пациентов произвольно изменять структуру дыхательного цикла за счет увеличения глубины вдоха и выдоха, темпа дыхания, кратковременной задержки на вдохе и на выдохе. Для облегчения формирования подобного двигательного навыка можно использовать проприоцептивное облегчение.

При выполнении дыхательных упражнений на 1 этапе медицинской реабилитации не рекомендуется форсировать увеличение движений и нагрузки. Все дыхательные упражнения должны проводится без напряжения, медленно, с ламинарным потоком воздуха.

По мере увеличивающихся функциональных возможностей пациенту назначаются дыхательные упражнения и лечебные положения, облегчающие дыхание или бронхиальный клиренс с учетом характера нарушения дыхательной функции (обструктивные или рестриктивные по данным спирографии), локализации и объема поражения легочной ткани (по данным компьютерной томографии). Рекомендуется во всех случаях исходить из предположения о преимущественно рестриктивных нарушениях в легких, если нет возможности выполнить спирографическое исследование.

При проведении реабилитационных мероприятий для пациентов с COVID-19 следует иметь возможность предоставить пациенту кислород по требованию, в том числе во время занятий.

Рекомендуется проводить мануальную мобилизацию грудной клетки и отдельных блокированных мышечными спазмами ребер с целью дренированию легких и профилактики возникновения плевральных спаек

При наличии вязкой мокроты рекомендуется использовать ингаляции муколитиков с помощью индивидуальных ингаляторов с предварительным откашливанием, дыхательные упражнения на устранение обструкции (дренажные дыхательные упражнения) и откашливание с дренажным позиционированием соответственно локализации наибольшего поражения легочной ткани. При отсутствии мокроты рекомендуется использовать ингаляции бронхолитиков и дыхательных упражнений с удлиненным выдохом.

Рекомендуется инструктировать всех пациентов, о мероприятиях по гигиене кашля и чихания: прикрывать нос и рот при кашле или чихании тканью (салфеткой) или согнутой в локте рукой и далее обрабатывать кожу дезинфицирующим средствами, а использованные салфетки сбрасывать в специально отведенную емкость для отходов класса B.

Пациенты с проблемами мобильности должны быть позиционированы в соответствии с уровнем своих двигательных возможностей в целях профилактики иммобилизационного синдрома, улучшения бронхиального клиренса.

Комментарий. Варианты применяемого позиционирования: положение лежа на спине горизонтальное; положение Фаулера (лежа на спине на приподнятом изголовье, положение Симса ("на боку" под 135 градусов) (при наличии гемипареза - позиционирование на непораженной и пораженной стороне), положение "на боку" под 30 градусов (при наличии гемипареза - позиционирование на непораженной и пораженной стороне), положение на животе (прон-позиция), положение лежа на спине с приподнятым ножным концом, положение сидя на кровати со спущенными ногами с полной поддержкой, положение сидя в кресле.

Для пациентов, которые самостоятельно передвигаются, могут быть даны рекомендации по нахождению в положении лежа, особенно в ночное время, в том числе использованию прон-позиции для облегчения дыхания во время сна.

Для пациентов с нарушением дренажной функции легких следует использовать метод постурального дренажа.

Всем пациентам с COVID-19 нужно оценивать толерантность к гипоксии и физической нагрузке с использованием малонагрузочных проб (Штанге, Генчи, Серкина, Розенталя), в дальнейшем - модифицированного теста Мартине-Кушелевского. При выявлении нарушений необходимо проводить специальную тренировку.

Комментарий. Высокоинтенсивные интервальные тренировки на 1 и 2 этапах реабилитации не используются из-за высокого риска контаминации пространства.

У всех пациентов с COVID-19 должен быть оценен нутритивный статус и индекс массы тела. При выявлении нутритивной недостаточности следует проводить эффективную нутритивную коррекцию с использованием перорального питания, сипинга, питания через назогастральный зонд или стому, либо парентерального питания в соответствии с показаниями. Первоначальная оценка должна включать критерии NRS-2002.

Необходимо раннее выявление (при поступлении) пациентов с тревожными расстройствами и высоким уровнем тревоги, а также с зависимостями (алкоголизм, пристрастие к бензодиазепинам, каннабиоидная и опиоидная наркомания), имевшимися до поступления.

Комментарий. После нахождения в реанимации и аноксического повреждения у пациентов развивается тревога, посттравматическое стрессовое расстройство и депрессия и когнитивные нарушения. Рекомендуется проводить тестирование с использованием Госпитальной шкалы тревоги и депрессии (Hospital Anxiety and Depression Scale, HADS).

Следует принимать во внимание, что пациенты с COVID-19 исходно могут страдать психическими заболеваниями, таким как шизофрения, аутизм, послеродовая депрессия, алкогольная или наркотическая зависимость, депрессия и т.п.

Рекомендуется обучение пациента самостоятельному осуществлению своей индивидуальной программы с использованием видеоматериалов или телемедицинских и информационных технологий.

"Стоп-сигналами" для проведения мероприятий по медицинской реабилитации на этапе лечения пациента с коронавирусной пневмонией в условиях круглосуточного стационара являются: температура выше 38 градусов С, усиление одышки; повышение ЧСС более 50% от исходной величины или снижение ЧСС при нагрузке; PO2 < 93% или снижение на 4 пункта во время осуществления перехода к самостоятельному дыханию без кислородной поддержки, чувство стеснения в груди, рвота, головокружение, головная боль, помутнение сознания, потливость, неспособность держать баланс, возникновение потребности в кислородной поддержке.

Проведение всех реабилитационных процедур обязательно должно включать в себя тщательный контроль за состоянием пациента и наличием у него противопоказаний, особенно со стороны дыхательной и сердечно-сосудистой системы. Рекомендуется всем пациентам организовать мониторинг безопасности и эффективности мероприятий по медицинской реабилитации с использованием следующих показателей: сатурации кислорода у пациентов в покое, в том числе в ночное время, а по мере улучшения его состояния - при физической нагрузке (6-ти минутный тест-ходьба), проведение оценки переносимости физической нагрузки по Шкале Борга, оценки силы мышц конечностей и туловища по шкале MRC, оценку интенсивности тревоги и депрессии по Госпитальной шкале тревоги и депрессии (HADS), оценку качества жизни по результатам Европейского опросника качества жизни EQ-5.

5.9.3. Медицинская реабилитация в условиях круглосуточного отделения медицинской реабилитации (2 этап)

Наиболее перспективными для респираторной реабилитации являются первые два месяца после острого периода коронавирусной инфекции - это период терапевтического окна.

Пациенты с COVID-19 должны быть обследованы для планирования индивидуальной программы медицинской реабилитации (ИПМР) и оценки безопасности планируемых реабилитационных мероприятий. Для оценки переносимости гипоксии рекомендуется использование функциональных тестов Генчи, Штанге, упрощенного звукового теста с произнесением цифр на спокойном продолжительном выдохе (чем больше счет, тем лучше показатель, но не менее 30), Серкина и Розенталя. Тесты с дозированной физической нагрузкой или тесты на сердечно-легочную физическую нагрузку (СЛФН) считаются золотым стандартом в процессе респираторной реабилитации. К основным диагностическим показателям относятся: ограничение объема выдоха; динамическая гиперинфляция, вызванная физическими упражнениями; нарушение альвеолярной вентиляции/перфузии;

- нарушение работы сердца; дисфункция работы мышц.

Рекомендуется оценивать периферическую мышечную силу пациентов с помощью шкалы MRC, мануального мышечного тестирования (ММТ) и измерения диапазона движений суставов.

Программа медицинской реабилитации должна включать все меры первичной и вторичной индивидуальной профилактики тромбозов и тромбоэмболий, регресса клинической симптоматики пневмонии, проявлений нарушения функций сердца, головного мозга, почек и др.

Пациенты, которые выписываются и переводятся на второй и третий этап реабилитации должны быть оценены в отношении безопасности при передвижении. Скрининг падения проводится с использованием шкалы оценки риска падений Морзе или шкалы Хендрика. По результатам исследования в ИПМР включаются стандартизированные мероприятия по профилактике риска падений пациента.

В стационарном отделении медицинской реабилитации пациентов с COVID-19 мероприятия должны быть направлены на продолжение улучшения вентиляции легких, газообмена, дренажной функции бронхов, улучшению крово- и лимфообращения в пораженной доле/ях легкого, ускорение процессов рассасывания зон отека и/или уплотнения легочной ткани при воспалительных и иных процессах в ней, профилактику возникновения ателектазов, спаечного процесса, повышение общей выносливости пациентов, коррекцию мышечной слабости, преодолению стресса, беспокойства, депрессии, нормализацию сна.

Для улучшения вентиляции и отхождения мокроты рекомендуется применение ингаляции муколитика с использованием индивидуального компрессорного ингалятора, дренажных положений и дренажных дыхательных упражнений с удлиненным форсированным выдохом в зависимости от тяжести состояния пациента и локализации процесса. Рекомендуется использование дыхательных упражнений с постоянным или прерывистым положительным давлением на выдохе. Рекомендуется в комплекс реабилитационных мероприятий включать мобилизацию грудной клетки и ребер с помощью мануальных методов коррекции. Упражнения, развивающие силу и силовую выносливость ведущих мышечных групп, должны быть направлены на восстановление основных двигательных навыков и активности, характерных для пациента до заболевания. Создавая ИПМР следует сделать акцент на тренировку не всех мышц сразу, а только тех, которые ослаблены и функционально значимы для обеспечения вертикального положения и локомоций.

Рекомендуется исключить кислородную десатурацию как причину одышки при выполнении аэробных упражнений и пациентам с пониженной насыщенностью кислородом следует давать дополнительный кислород (как правило, если показатель SpO2 < 90%). Дополнительный кислород не следует использовать регулярно для всех пациентов, проходящих реабилитацию. Дополнительный кислород при реализации ИПМР следует предлагать только тем, кто долгое время находится на ИВЛ или тем, у кого имеются клинические показания.

Для увеличения мышечной силы рекомендуются использовать тренировки с отягощениями, в которых используются относительно большие веса (60 - 70% от максимального веса, продемонстрированного в одной попытке (1 ПМ)) и небольшое количество повторений (8 - 15 повторений), которые следует выполнять несколько раз в день (от двух до четырех подходов, с интенсивностью от 50% до 85% от максимума) 2 - 3 раза в неделю.

Для увеличения выносливости мышц конечностей и устойчивости к мышечной усталости рекомендованы тренировки с меньшим весом (45 - 65% от 1 ПМ), но с большим количеством повторений (15 - 25 повторений).

Рекомендуется проведение нормоксической гипокситерапии с целью насыщения тканей кислородом, увеличения органного кровотока, улучшения тканевого дыхания и уменьшения альвеолярной гипоксии с учетом противопоказаний к методу.

Рекомендуется выбирать неконтактные методики физиотерапии для включения в ИПМР. Рекомендуется с 12 - 14 дня заболевания при отсутствии осложнений (бронхоэктазы, ателектазы и др.) с целью улучшения бронхиального клиренса, увлажнения слизистой бронхов применение индивидуально дозированной аэроионотерапии. С целью улучшения микроциркуляции легочной ткани, противовоспалительного действия, восстановления ткани легкого рекомендуется применение в области середины грудины, зон Кренига, межлопаточной области паравертебрально и на зону проекции воспалительного очага инфракрасного лазерного излучения. С целью улучшения микроциркуляции, ускорения рассасывания инфильтративных изменений, противовоспалительного действия, улучшения бронхиальной проходимости, облегчения отхождения мокроты при состоянии средней и легкой степени тяжести пациента при отсутствии противопоказаний и осложнений рекомендуется применение полихроматического поляризованного света.

Рекомендуется проведение индивидуальных мероприятий по психологической коррекции и психотерапии пациентов, семьи и близких пациента в том числе в дистанционной форме для профилактики развития постстрессовых расстройств, депрессии, патологических зависимостей и психосоматических нарушений.

Комментарий. Необходимо учесть, что пожилые пациенты с деменцией, болеющие коронавирусной инфекцией склонны к делирию [British Geriatrics Society]. В некоторых случая, по показаниям, необходимо рекомендовать консультацию психиатра

"Стоп-сигналами" для проведения мероприятий по медицинской реабилитации на этапе лечения пациента с коронавирусной пневмонией в условиях круглосуточного отделения медицинской реабилитации являются:

- температура выше 38 °C, усиление одышки; повышение ЧСС более 50% от исходной величины или снижение ЧСС при нагрузке; PO2 < 90% или снижение на 4 пункта во время выполнения реабилитационных мероприятий, ЧД > 25,

- чувство стеснения в груди, головокружение, головная боль, помутнение сознания, потливость и чувство нехватки воздуха.

Методами контроля эффективности реабилитации на 2 этапе медицинской реабилитации являются: оценка SaO2 в покое и при физической нагрузке, оценка переносимости физической нагрузки по Шкала Борга, оценка выраженности одышки по шкале MRC (одышка), оценка силы мышц по шкале MRC (мышцы), оценка интенсивности тревоги и депрессии по Госпитальной шкале тревоги и депрессии (HADS), оценка функциональных нарушений, трудностей в выполнении повседневных задач и степени необходимых усилий по шкалам BDI (исходный индекс одышки) и TDI (динамический индекс одышки), оценка качества жизни по результатам Европейского опросника качества жизни EQ-5.

5.9.4. Медицинская реабилитация в условиях отделения медицинской реабилитации дневного стационара или амбулаторно-поликлинической медицинской организации (3 этап)

На 3 этапе оказания помощи пациентам с COVID в условиях дневных стационаров и амбулаторных медицинских организаций следует предпочитать использование телемедицинских технологий с пребыванием пациента в домашних (дистанционных) условиях. Рекомендовано ограничить число процедур, для которых необходимо посещение поликлиник или стационара дневного пребывания.

Рекомендуется структурировать программу телереабилитации пациентов в домашних условиях с приоритетом на восстановление показателей дыхательной системы и толерантности к физическим нагрузкам в режиме нарастающей нагрузки с клиническим контролем состояния.

Рекомендуется по показаниям продолжить использование дыхательных упражнений с постоянным или прерывистым положительным давлением на выдохе, техники мобилизации грудной клетки и ребер с помощью мануальных методик.

Программа физических тренировок на 3 этапе реабилитации назначается на основании проведенного на 2 этапе или в условиях дневного стационара нагрузочного тестирования (см. 2 этап).

Аэробные нагрузки продолжительностью 20 - 30 минут должны производиться 3 раза в неделю на протяжение 8 - 12 недель. Интенсивность и вид аэробной тренировки (с постоянной нагрузкой или интервальная тренировка) должна подбираться индивидуально с учетом состояния пациента и его физических возможностей. Пациенты должны быть обучены контролю эффективности и безопасности физических нагрузок, знать STOP-сигналы.

У большинства пациентов со снижением функционирования интервальная тренировка является предпочтительной и должна включать 3 - 4 периода чередования 2 - 3 минут высокоинтенсивных упражнений (от 50% от максимальной ЧСС, полученной при выполнении нагрузочных), в начале курса тренировок до 70 - 80% в конце)) с менее интенсивными упражнениями (30 - 40% от максимальной ЧСС) или даже периодами отдыха на первых тренировочных занятиях.

Рекомендуется продолжить тренировки с сопротивлением и отягощением для восстановления мышечной силы, выносливости мышц конечностей и устойчивости к мышечной усталости. Рекомендовано сочетать прогрессирующее мышечное сопротивление и аэробную нагрузку во время занятий лечебной физкультурой.

Пациентам, которые по каким-то причинам не могут или не хотят проходить активную программу реабилитации, при наличии признаков слабости четырехглавой мышцы и ягодичных мышц может быть предложена NMES (Нервно-мышечная электростимуляция.)

Рекомендуется организовать работу службы психологической поддержки, основываясь на результатах первого и второго этапов медицинской реабилитации, формировать мотивацию пациентов на продолжение самостоятельных занятий и формирование здорового образа жизни. Важно стимулировать пациентов, чтобы у них была физическая нагрузка пять раз в неделю в течение 30 минут.

При наличии 2-х отрицательных результатов исследования на наличие РНК SARS-CoV-2 или наличии антител после перенесенной COVID-19 инфекции могут использоваться следующие физиотерапевтические методы лечения: СВЧ - электромагнитное поле сверхвысокой частоты, низкочастотная магнитотерапия. высокочастотная импульсная магнитотерапия, электрофорез лекарственных препаратов, СМТ-терапия, ультразвуковая терапия, индуктотермия.

Методами контроля эффективности реабилитации на 3 этапе являются: оценка SaO2 в покое и при физической нагрузке, оценка переносимости физической нагрузки по Шкала Борга, оценка выраженности одышки по шкале MRC (одышка), оценка силы мышц по шкале MRC (мышцы), оценка интенсивности тревоги и депрессии по Госпитальной шкале тревоги и депрессии (HADS), оценка функциональных нарушений, трудностей в выполнении повседневных задачи степени необходимых усилий по шкалам BDI (исходный индекс одышки) и TDI (динамический индекс одышки), оценка качества жизни по результатам Европейского опросника качества жизни EQ-5.

Рекомендуется для достижения наилучшего результата организовать выполнение ИПМР 3 раза в неделю. Два раза в неделю под наблюдением специалистов, третий раз может осуществляться без наблюдения. Рекомендуются программы реабилитации, включающие посещение как минимум 12 занятий под наблюдением специалистов. Рекомендованная длительность программ реабилитации составляет от 6 до 12 недель. Решение о прохождении программы менее 6 недель должно приниматься в индивидуальном порядке и по объективным критериям. Важно взвесить все "за и против" короткой программы реабилитации в отношении конкретного пациента. Пациенты с симптомами тревоги и/или депрессии достигают значительных результатов по результатам программы реабилитации, поэтому они не должны быть исключены из реабилитационного процесса раньше положенного срока. Всем пациентам, завершившим программу реабилитации после COVID-19 пневмонии, следует рекомендовать продолжать занятия самостоятельно.

Повторный курс реабилитации следует проводить для пациентов, которые прошли курс реабилитации более 1 года назад. Следует обсуждать с пациентами результаты, которых можно достигнуть после повторного курса. Повторный курс реабилитации в более ранний период следует рассматривать для пациентов, у которых резко снижаются физиологические функции или если дополнительные показания к досрочному курсу.

5.10. ПОРЯДОК ВЫПИСКИ (ПЕРЕВОДА) ПАЦИЕНТОВ ИЗ МЕДИЦИНСКОЙ ОРГАНИЗАЦИИ

Пациент считается выздоровевшим при наличии следующих критериев:

- t тела < 37,2 °C;

- SpO2 на воздухе > 96%;

- два отрицательных результата лабораторных исследований биологического материала на наличие РНК SARS-CoV-2, взятых с интервалом не менее 1 суток.

Выписка из медицинских организаций, оказывающих медицинскую помощь в стационарных условиях, пациентов с подтвержденным диагнозом COVID-19 в возрасте 18 лет и старше на долечивание в амбулаторных условиях разрешается до получения второго отрицательного результата лабораторного исследования на наличие РНК SARS-CoV-2 при наличии следующих критериев:

- стойкое улучшение клинической картины;

- исчезновение лихорадки (t тела < 37,5 °C);

- отсутствие признаков нарастания дыхательной недостаточности при SpO2 на воздухе >= 95%;

- уровень C-реактивного белка < 10 мг/л;

- уровень лейкоцитов в крови > 3,0 x /л.

Рентгенография и/или КТ перед выпиской для оценки динамики пневмонии не являются обязательными процедурами, но могут быть назначены лечащим врачом по клиническим показаниям. В остальных случаях контрольная рентгенография и/или КТ выполняется в амбулаторных условиях через 1 - 2 месяца после выписки пациента из стационара.

Рентгенологические критерии регресса патологических изменений:

- уменьшение зон "матового стекла", допустимы новые зоны "матового стекла" не более 25% поперечного размера гемоторакса;

- уменьшение в объеме видимых ранее зон консолидации;

- резидуальные уплотнения паренхимы вариабельные по протяженности и локализации;

- отсутствие плеврального выпота, ассоциированного с COVID-19 инфекцией.

В амбулаторных условиях контрольные исследования проводят не ранее, чем через месяц после выписки. Контрольное исследование не проводится в случае легкого течения перенесенного заболевания без специальных клинических показаний.

Контроль на амбулаторном этапе проводится с использованием того же метода (рентгенография или КТ), который был использован для последнего исследования перед выпиской в стационаре.

Информация о выписке пациента из медицинской организации, оказывающей медицинскую помощь в стационарных условиях, передается в медицинскую организацию, в которой пациенту будет оказываться медицинская помощь в амбулаторных условиях.

Пациенту после выписки необходимо соблюдать режим самоизоляции до получения результатов двух отрицательных исследований на РНК SARS-CoV-2. В случае отсутствия у пациента условий для самоизоляции, необходимо рассмотреть вопрос о выписке пациента в обсерватор или другие организации, обеспечивающие условия изоляции на необходимый срок.

При наличии двух отрицательных результатов лабораторных исследований на РНК SARS-CoV-2, взятых с интервалом не менее 1 суток, пациент выписывается и транспортируется любым доступным транспортом (личным или общественным).

При выписке пациента до получения второго отрицательного результата лабораторного исследования его транспортировка осуществляется санитарным транспортом при условии использования водителем и сопровождающим медицинским работником средств индивидуальной защиты (очки, одноразовые перчатки, респиратор соответствующего класса защиты, противочумный костюм 1 типа или одноразовый халат, бахилы).

При оказании пациенту медицинской помощи в амбулаторных условиях, ему должно быть обеспечено:

- Ежедневное медицинское наблюдение, в том числе дистанционное;

- Проведение исследования на наличие РНК SARS-CoV-2;

- Проведение при необходимости РГ и/или КТ ОГК.

6. ОСОБЕННОСТИ ВЕДЕНИЯ ДЕТЕЙ С COVID-19

Подробная информация о диагностике, профилактике и лечении детей представлена в методических рекомендациях Минздрава России "Особенности клинических проявлений и лечения заболевания, вызванного новой коронавирусной инфекцией (COVID-19) у детей".

По имеющимся данным, дети болеют реже, с менее выраженной клинической симптоматикой, реже требуют госпитализации, заболевание у них протекает легче, что, однако, не исключает случаев тяжелого течения.

Имеющиеся на сегодня данные свидетельствуют о том, что дети составляют до 10% в структуре инфицированных SARS-CoV-2 и до 2% в структуре пациентов с диагностированными клиническими случаями COVID-19.

В Российской Федерации дети составляют 7,6% зарегистрированных случаев COVID-19, количество и возрастная структура манифестных заболеваний у детей в настоящее время не известны. Заболевание у новорожденных детей наблюдается крайне редко, при этом внутриутробной передачи инфекции не доказано.

У детей существенно отличаются факторы риска, т.к. только в 9% случаев заражение вирусом SARS-CoV-2 связано с путешествиями в другие страны и 91% заболевших имели местные контакты, преимущественно в семейных очагах.

У детей отмечается более легкое течение болезни в сравнении со взрослыми, развитие вирусной пневмонии не характерно, симптомы менее выражены, летальные исходы чрезвычайно редки. У детей так же как у взрослых, доминируют лихорадка и респираторный синдром, однако менее выражены лимфопения и воспалительные маркеры.

Инкубационный период у детей колеблется от 2 до 10 дней, чаще составляет 2 дня.

Клинические симптомы COVID-19 у детей соответствуют клинической картине ОРВИ, обусловленной другими вирусами: лихорадка, кашель, боль в горле, чихание, слабость, миалгия. Выраженность лихорадочной реакции может быть различна: лихорадка до 38 °C отмечается у половины больных детей, у трети детей регистрируется повышение t тела от 38,1 до 39,0 °C.

Накопленный опыт наблюдения за манифестными случаями COVID-19 у детей показывает, что характерное сочетание лихорадки, кашля и одышки имеет место только у 73% (у взрослых - 93%). Сопоставление частоты отдельных симптомов также показывает преобладание их у взрослых. По данным американских исследователей, лишь 56% пациентов детского возраста сообщили о лихорадке, 54% о кашле и 13% об одышке, по сравнению с 71%, 80% и 43% соответственно среди пациентов в возрасте 18 - 64 лет. У детей не только реже отмечают клинические проявления интоксикации (головная боль 28% против 58% у взрослых; миалгия - 23% против 61% взрослых) и дыхательной недостаточности, но и желудочно-кишечные проявления (тошнота/рвота - у 11% против 16%; абдоминальная боль - 5,8% против 12%; диарея - 13% против 31%). Тахикардия отмечается у половины госпитализированных детей, тахипноэ - у трети. У детей редко наблюдается снижение SpO2 < 92%.

По разным данным, от 5,7% до 20% детей с COVID-19 были госпитализированы, остальные лечились амбулаторно, в том числе пациенты с легкими, субклиническими и бессимптомными формами, у которых вирус SARS-CoV 2 был выделен при обследовании по контакту. В США у детей с COVID-19 госпитализация потребовалась только 1,6 - 2,5% пациентов, причем необходимости в оказании реанимационной помощи не было.

Выраженность клинических проявлений коронавирусной инфекции варьирует от отсутствия симптомов (бессимптомное течение) или легких респираторных симптомов до тяжелой ТОРС, протекающего с:

- Высокой лихорадкой;

- Выраженным нарушением самочувствия вплоть до нарушения сознания;

- Ознобом, потливостью;

- Головными и мышечными болями;

- Сухим кашлем, одышкой, учащенным и затрудненным дыханием;

- Учащенным сердцебиением.

Наиболее частым проявлением ТОРС является двусторонняя вирусная пневмония, осложненная ОРДС или отеком легких. Возможна остановка дыхания, что требует искусственной вентиляции легких и оказания помощи в условиях ОРИТ.

Неблагоприятные исходы развиваются при прогрессирующей дыхательной недостаточности, присоединении вторичной инфекции, протекающей в виде сепсиса.

Возможные осложнения:

- ОРДС;

- Острая сердечная недостаточность;

- Острая почечная недостаточность;

- Септический шок;

- Полиорганная недостаточность (нарушение функций многих органов и систем).

Не у всех детей с подозрением на COVID-19, переносивших тяжелые формы заболевания, был лабораторно выделен вирус SARS-CoV-2, что не позволяет исключить сочетанные инфекции или наличие других респираторных заболеваний у детей с подозрительными случаями заболеваний на основании клинико-эпидемиологических данных.

Легкая степень тяжести характеризуется повышением t тела не выше 38,5 °C, отсутствием одышки в покое, но возможно появление ее при физической нагрузке, SpO2 > 95%.

Средняя степень тяжести характеризуется повышением t тела выше 38,5 °C, отсутствием одышки в покое, но ее появлением при физической нагрузке (крике/плаче), SpO2 <= 95%.

Тяжелая степень COVID-19 характеризуется диспноэ (чувство нехватки воздуха, стеснения в области грудной клетки, одышка или тахипноэ), цианозом/акроцианозом, SpO2 <= 93%.

Крайне тяжелую степень регистрируют при развитии дыхательной недостаточности с необходимостью респираторной поддержки, респираторного дистресс-синдрома, шока, признаков полиорганной недостаточности (энцефалопатии, сердечно-сосудистой, почечной, печеночной недостаточности, ДВС-синдрома).

Частота тяжелых и крайне тяжелых случаев заболевания не превышает 1%. Случаи крайне тяжелого COVID-19 у детей регистрируют обычно при наличии факторов риска: тяжелых преморбидных заболеваний (дети, имеющие заболевания легких, врожденные пороки сердца, бронхолегочную дисплазию, болезнь Кавасаки, гидронефроз, лейкемию и др.), иммунодефицитные состояния разного генеза (чаще заболевают дети старше 5 лет; в 1,5 раза чаще регистрируют пневмонии), нельзя также исключить влияние на тяжесть состояния коинфекции с другими респираторными вирусами (респираторно-синцитиальный вирус, риновирус, бокавирус, аденовирус), для которых характерно поражение нижних отделов респираторного тракта (пневмония, бронхиолит).

При выявлении бессимптомной формы или легкой степени тяжести COVID-19 допустимо лечение в амбулаторных условиях в том числе и на дому. В случае решения о возможности лечения в амбулаторных условиях врач должен объяснить родителям или другим законным представителям ребенка необходимость соблюдать режим изоляции. Законные представители ребенка, осуществляющие уход, подписывают информированное согласие установленного образца. При условии амбулаторного лечения возможно использовать дистанционное консультирование больного (законного представителя) с помощью телемедицинских технологий.

Показания для госпитализации детей с COVID-19 или подозрением на него

1. Тяжелая или среднетяжелая степень респираторного заболевания или внебольничная пневмония.

2. Лихорадка выше 38,5 °C, в том числе по данным анамнеза, или ниже 36,0 °C или при длительности лихорадки выше 38,0 °C более 5 дней.

3. Одышка в покое или при беспокойстве.

4. Тахипноэ, не связанное с лихорадкой, более 20% от возрастной нормы: до 1 года - более 50, от 1 до 5 лет - более 40, старше 5 лет - более 30 в мин.

5. Тахикардия, не связанная с лихорадкой, более 20% от возрастной нормы: до 1 года - более 140, от 1 до 5 лет - более 130, старше 5 лет - более 120 в мин.

6. SpO2 <= 95%.

7. Угнетение сознания (сонливость) или повышенное возбуждение, инверсия сна, отказ от еды и питья.

8. Судороги.

9. Отсутствие положительной динамики или нарастание клинической симптоматики на фоне проводимой терапии через 5 дней после начала заболевания.

10. Наличие тяжелых фоновых заболеваний:

- Врожденные и приобретенные заболевания сердца, в том числе в анамнезе (пороки сердца, нарушения ритма, миокардиопатия или миокардит);

- Хронические заболевания легких (бронхолегочная дисплазия, бронхиальная астма, муковисцидоз, бронхоэктатическая болезнь, врожденные пороки легких и др);

- Первичный или вторичный иммунодефицит, в том числе ВИЧ-инфекция, аутоиммунные заболевания, иммуносупрессивная терапия;

- Онкогематологические заболевания, химиотерапия;

- Метаболические заболевания (сахарный диабет, ожирение и др);

- Заболевания печени и почек.

11. Невозможность изоляции при проживании с лицами из групп риска.

12. Отсутствие условий для лечения на дому или гарантий выполнения рекомендаций (общежитие, учреждения социального обеспечения, пункт временного размещения, социально неблагополучная семья, плохие социально-бытовые условия).

Показания для перевода в ОРИТ

1. Нарушение сознания (14 баллов и менее по шкале комы Глазго для соответствующей возрастной категории) или необъяснимое выраженное возбуждение (плач, крик) на фоне течения острой респираторной инфекции;

2. Увеличение ЧДД более чем на 15% от физиологических возрастных показателей в состоянии покоя;

3. Стонущее или кряхтящее дыхание;

4. Увеличение ЧСС более чем на 15% от физиологических возрастных показателей в состоянии покоя;

5. Цианоз и одышка, определяемые при визуальном осмотре, раздувание крыльев носа у детей первого года жизни;

6. SpO2 <= 93%;

7. Респираторный ацидоз (pCO2 > 50 мм рт. ст.);

8. Декомпенсированные нарушения кислотно-основного состояния крови (pH < 7,25);

9. Выраженные нарушения тканевой перфузии, артериальная гипотензия;

10. Лактат-ацидоз (концентрация лактата > 2,5 ммоль/л);

11. Артериальная гипотония с клиническими проявлениями шока;

12. Снижение диуреза до уровня олигоурии и ниже (ниже 50% от возрастной нормы и менее);

13. Появление кашля с примесью крови в мокроте, боли или тяжести в груди;

14. Появление признаков геморрагического синдрома.

В оказании медицинской помощи в условиях ОРИТ нуждаются от 0,5% до 2% госпитализированных детей.

В качестве противовирусной терапии детей с COVID-19 в случаях заболеваний среднетяжелой и легкой степени тяжести рекомендуются препараты , при тяжелой степени тяжести используется внутривенные иммуноглобулины, ингибиторы протеаз (лопинавир + ритонавир).

Интерферон-альфа может снизить вирусную нагрузку на начальных стадиях болезни, облегчить симптомы и уменьшить длительность болезни. Исследования в КНР у детей показали возможность более длительного выделения вируса с фекалиями, чем из верхних дыхательных путей (до 28 против 14 дней). Поэтому обоснованно применение препаратов в свечах, особенно с антиоксидантами, которые обеспечивают системное действие препарата, могут способствовать сокращению периода выделения вируса SARS-CoV 2 с фекалиями.

Умифеновир применяется у пациентов с COVID-19, однако отсутствуют доказательства его эффективности и безопасности. У детей возможно применение препарата в возрасте старше 6 лет.

Осельтамивир и другие противогриппозные средства могут применяться только у пациентов, инфицированных вирусом гриппа.

В настоящее время проводятся исследования в отношении эффективности хлорохина фосфата и гидроксихлорохина сульфата, в том числе и в комбинации с азитромицином при коронавирусной инфекции. По данным исследований использование хлорохина фосфата и гидроксихлорохина сульфата возможно у пациентов, масса тела которых более 50 кг.

Антибактериальная терапия показана при наличии признаков присоединения к инфекции COVID-19 бактериальной инфекции.

Выздоровление у детей преимущественно происходит в течение 1 - 2 недель.

7. ПРОФИЛАКТИКА КОРОНАВИРУСНОЙ ИНФЕКЦИИ

7.1. СПЕЦИФИЧЕСКАЯ ПРОФИЛАКТИКА COVID-19

В настоящее время во многих странах ведется разработка нескольких типов вакцин против COVID-19, однако разрешенные к применению препараты отсутствуют.

7.2. НЕСПЕЦИФИЧЕСКАЯ ПРОФИЛАКТИКА COVID-19

Мероприятия по предупреждению завоза и распространения COVID-19 на территории Российской Федерации регламентированы Распоряжениями Правительства РФ от 30.01.2020 N 140-р, от 31.01.2020 N 154-р, от 03.02.2020 N 194-р, от 18.02.2020 N 338-р, от 27.02.2020 N 447-р, от 27.02.2020 N 446-р, от 27.02.2020 N 448-р, от 16.03.2020 N 635-р, от 06.03.2020 N 550-р, от 12.03.2020 N 597-р, от 14.03.2020 N 622-р, от 16 марта 2020 г. N 730-р, от 27 марта 2020 г. N 763-р и постановлениями Главного государственного санитарного врача Российской Федерации от 24.01.2020 N 2, от 31.01.2020 N 3, от 02.03.2020 N 5, от 13.03.2020 N 6, от 18.03.2020 N 7, от 30.03.2020 N 9, от 03.04.2020 N 10, от 13.04.2020 N 11, от 22.05.2020 N 15.

Мероприятия по недопущению распространения COVID-19 в медицинских организациях проводятся в соответствии с приказом Минздрава России от 19.03.2020 N 198н "О временном порядке организации работы медицинских организаций в целях реализации мер по профилактике и снижению рисков распространения новой коронавирусной инфекции COVID-19)" (в ред. Приказов Минздрава России от 27.03.2020 N 246н, от 02.04.2020 N 264н, от 29.04.2020 N 385н, от 18.05.2020 N 459н) и "Рекомендациями по предупреждению распространения новой коронавирусной инфекции (COVID-19) в медицинских организациях, осуществляющих оказание медицинской помощи в стационарных условиях" (письмо Роспотребнадзора от 9 апреля 2020 года N 02/6509-2020-32).

Неспецифическая профилактика представляет собой мероприятия, направленные на предотвращение распространения инфекции, и проводится в отношении источника инфекции (больного человека), механизма передачи возбудителя инфекции, а также потенциально восприимчивого контингента (защита лиц, находящихся и/или находившихся в контакте с больным человеком).

Мероприятия в отношении источника инфекции

- Ранняя диагностика и активное выявление инфицированных, в том числе с бессимптомными формами;

- Изоляция больных и лиц с подозрением на заболевание;

- Назначение этиотропной терапии.

Мероприятия, направленные на механизм передачи возбудителя инфекции

- Соблюдение режима самоизоляции;

- Соблюдение правил личной гигиены (мыть руки с мылом, использовать одноразовые салфетки при чихании и кашле, прикасаться к лицу только чистыми салфетками или вымытыми руками);

- Использование одноразовых медицинских масок, которые должны сменяться каждые 2 ч;

- Использование СИЗ для медработников;

- Проведение дезинфекционных мероприятий;

- Обеззараживание и уничтожение медицинских отходов класса B;

- Транспортировка больных специальным транспортом.

Мероприятия, направленные на восприимчивый контингент

- Элиминационная терапия, представляющая собой орошение слизистой оболочки полости носа изотоническим раствором хлорида натрия, обеспечивает снижение числа как вирусных, так бактериальных возбудителей инфекционных заболеваний;

- Использование лекарственных средств для местного применения, обладающих барьерными функциями;

- Своевременное обращение пациента в медицинские организации в случае появления симптомов ОРИ является одним из ключевых факторов профилактики осложнений и распространения инфекции.

7.3. МЕДИКАМЕНТОЗНАЯ ПРОФИЛАКТИКА COVID-19 У ВЗРОСЛЫХ

Для медикаментозной профилактики COVID-19 у взрослых возможно интраназальное введение рекомбинантного .

В качестве препарата для химиопрофилактики рассматривается гидроксихлорохин, в случае его недоступности возможно использовать мефлохин.

В ряде стран в условиях напряженной эпидемической ситуации проводят медикаментозную профилактику хлорохином, гидроксихлорохином и мефлохином.

Для медикаментозной профилактики COVID-19 у беременных возможно только интраназальное введение рекомбинантного 2b.

Учитывая рост заболеваемости и высокие риски распространения инфекции на территории нашей страны, целесообразно назначение медикаментозной профилактики определенным группам населения, включая медицинских работников (см. Приложение 12).

7.4. МЕРОПРИЯТИЯ ПО ПРЕДУПРЕЖДЕНИЮ РАСПРОСТРАНЕНИЯ COVID-19 В МЕДИЦИНСКОЙ ОРГАНИЗАЦИИ

При поступлении в приемное отделение медицинской организации, оказывающей медицинскую помощь в стационарных условиях, пациента с клиническими проявлениями ОРВИ с характерными для COVID-19 симптомами и данными эпидемиологического анамнеза, медицинский работник проводит комплекс первичных противоэпидемических мероприятий с использованием СИЗ.

Медицинский работник, не выходя из помещения, в котором выявлен больной, с использованием имеющихся средств связи извещает руководителя медицинской организации о выявленном пациенте и его состоянии для решения вопроса об его изоляции по месту его выявления (бокс приемного отделения) до его перевода в мельцеровский бокс медицинской организации, в которой был выявлен больной, или госпитализации в специализированный инфекционный стационар при невозможности организовать изоляцию пациента в медицинской организации, в которой он был выявлен. В случае изоляции пациента по месту выявления, перевод в специализированный инфекционный стационар осуществляется после подтверждения диагноза COVID-19.

Медицинский работник должен использовать СИЗ (шапочка, противочумный (хирургический) халат, респиратор класса защиты FFP2 или FFP3), предварительно обработав руки и открытые части тела дезинфицирующими средствами.

Медицинские работники, выявившие пациента с клиническими проявлениями ОРВИ с характерными для COVID-19 симптомами, должны осуществлять наблюдение пациента до приезда и передачи его выездной бригаде скорой медицинской помощи.

После медицинской эвакуации пациента медицинский работник, выявивший пациента, снимает СИЗ, помещает их в бачок с дезинфицирующим раствором, обрабатывает дезинфицирующим раствором обувь и руки, полностью переодевается в запасной комплект одежды. Открытые части тела обрабатываются кожным антисептиком. Рот и горло прополаскивают 70% этиловым спиртом, в нос и в глаза закапывают 2% раствор борной кислоты.

Руководитель медицинской организации, в которой был выявлен пациент, организует сбор биологического материала (мазок из носо- и ротоглотки) у всех медицинских работников и лиц, находившихся с ним в контакте, и направляет их для проведения соответствующего лабораторного исследования.

Лаборатория является зоной повышенной биологической опасности. При проведении исследований на COVID-19 эта опасность многократно возрастает. Работа методом амплификации нуклеиновых кислот проводится в соответствии с Методическими указаниями МУ 1.3.2569-09 "Организация работы лабораторий, использующих методы амплификации нуклеиновых кислот при работе с материалом, содержащим микроорганизмы I - IV группы патогенности".

Высокую биологическую опасность представляют не только методы амплификации нуклеиновых кислот, но и любые иные лабораторные исследования на материале от больных COVID-19 в других отделах лаборатории. Не рекомендуется поведение исследования мокроты больных с внебольничной пневмонией в общеклиническом отделе до получения отрицательного результата на COVID-19. В случае положительного ответа все работы должны проводиться в боксе биологической безопасности не ниже II класса защиты и в рамках бактериологического исследования. Общий анализ мокроты может выполняться по строгим показаниям при потенциальной клинической информативности и при полной экипировке сотрудника лаборатории, как для работы с методом амплификации нуклеиновых кислот.

В целях обеззараживания воздуха в приемном отделении проводится дезинфекция дезинфицирующими средствами, применяются бактерицидный облучатель или другие устройства для обеззараживания воздуха и (или) поверхностей для дезинфекции воздушной среды помещения. Количество необходимых облучателей рассчитывается в соответствии с инструкцией по их применению на кубатуру площади, на которой они будут установлены.

В случае подтверждения диагноза COVID-19 в стационаре необходимо выявить лиц, имевших контакт с пациентом, среди:

- Находившихся в данном учреждении;

- Переведенных или направленных (на консультацию, стационарное лечение) в другие медицинские организации, и выписанных;

- Медицинских и иных работников (гардероб, регистратура, диагностические, смотровые кабинеты);

- Посетителей медицинской организации, а также посетителей, покинувших медицинскую организацию к моменту выявления пациента;

- Лиц по месту жительства пациента, работы, учебы.

За лицами, контактными с пациентом, устанавливают медицинское наблюдение.

Медицинские отходы, в том числе биологические выделения пациентов (мокрота, моча, кал и др.), относятся к чрезвычайно эпидемиологически опасным отходам класса B и подлежат обязательному обеззараживанию (дезинфекции)/обезвреживанию физическими методами (термические, микроволновые, радиационные и другие), для чего в медицинской организации необходимо предусмотреть наличие специализированной установки, работающей с использованием таких методов. Вывоз необеззараженных отходов класса B за пределы территории медицинской организации не допускается. После аппаратных способов обеззараживания с применением физических методов и изменения внешнего вида отходов, отходы класса B могут накапливаться, временно храниться, транспортироваться, уничтожаться и захораниваться совместно с отходами класса A. Применение химических методов дезинфекции возможно только для обеззараживания пищевых отходов и выделений больных, а также при организации противоэпидемических мероприятий в очагах.

7.5. РАЦИОНАЛЬНОЕ ИСПОЛЬЗОВАНИЕ СРЕДСТВ ИНДИВИДУАЛЬНОЙ ЗАЩИТЫ В МЕДИЦИНСКИХ ОРГАНИЗАЦИЯХ

С целью ограничения необоснованного расхода СИЗ рекомендуется определить потребность в них в медицинских организациях, а также обеспечить их правильное использование. Для рационализации потребности в СИЗ при одновременном обеспечении безопасности медицинских работников рекомендуется:

- С помощью технических и административных мер ограничить число лиц, работающих в зонах высокого риска и нуждающихся в использовании СИЗ;

- Определить необходимое число медицинских работников, контактирующих с пациентами;

- Регулировать необходимое количество входов в палату;

- Предусмотреть дистанционное консультирование для пациентов и лиц с подозрением на COVID-19.

- Внедрить в практику расширенное использование респираторов (ношение одного и того же респиратора при работе с несколькими пациентами, не снимая респиратор).

Респираторы, или фильтрующие полумаски - это средство индивидуальной защиты органов дыхания (СИЗОД), предназначенное для снижения риска инфицирования медицинских работников, работающих в условиях высокого риска распространения инфекций, передающихся воздушно-капельным путем. Имеются основания полагать, что быстрому распространению коронавирусной инфекции способствует то, что вирус передается не только при непосредственном контакте с источником инфекции и воздушно-капельным путем (через крупные капли), как это характерно для большинства ОРВИ, но и в существенной степени через инфекционные аэрозоли (инфицированный воздух). Поэтому применение респираторов (со степенью не ниже защиты FFP2) в зонах высокого риска инфицирования обязательно для медицинского персонала, занятого оказанием медицинской помощи больным COVID-19.

Принцип работы респиратора состоит в высокоэффективной фильтрации вдыхаемого воздуха, благодаря которой резко снижается риск проникновения в дыхательные пути, в том числе в терминальные бронхиолы и альвеолы, инфекционного аэрозоля (стойкой взвеси в воздухе мельчайших частиц, содержащих жизнеспособные патогенные микроорганизмы).

Для обеспечения максимальной защиты при использовании респиратора должны быть выполнены ряд условий:

- используемые модели респиратора должны быть сертифицированы на соответствие требованиям по крайне мере одного из национальных или международных стандартов: ТР ТС 019/2011 "О безопасности средств индивидуальной защиты", или ГОСТ 12.4.294-2015 или EN 149:2001+A1:2009 "Respiratory protective devices - Filtering half masks to protect against particles";

- используемые респираторы должны иметь класс защиты не ниже FFP2;

- респиратор должен правильно использоваться (правильное надевание, безопасное снятие, уход, обезвреживание и уничтожение как медицинских отходов класса B).

Правильное надевание - наиболее важное условие эффективности его применения для защиты от инфицирования. Правильное надевание абсолютно необходимо для обеспечения максимально герметичного прилегания краев полумаски респиратора к лицу для исключения возможности утечки неотфильтрованного инфицированного воздуха в зону дыхания минуя высокоэффективный фильтр, каковым и является полумаска респиратора. Крайне важно ознакомиться и тщательно каждый раз выполнять требования инструкции по правильному надеванию респиратора в текстовом или графическом виде в соответствии с вышеперечисленными стандартами всегда находится на упаковке респиратора или во вкладыше.

После каждого надевания респиратора перед входом в зону высокого риска инфицирования необходимо проводить его проверку на утечку: сделать 2 - 3 форсированных вдоха-выдоха, при этом убедиться, что отсутствует подсос и выход воздуха по краям респиратора, а на вдохе респиратор плотно прижимается к лицу без утечки воздуха по краям. Если при этом выявлена утечка воздуха под полумаску, нужно проверить правильность одевания респиратора, повторно надеть его.

Длительность использования респиратора в течение рабочего дня ограничена только гигиеническими соображениями (необходимость приема пищи, появление избыточной влажности под полумаской в жаркую погоду и т.п.), поскольку эффективность фильтрации со временем только повышается при условии, что респиратор не поврежден и обеспечивает хорошее прилегание к лицу.

Безопасное снятие респиратора необходимо для исключения риска инфицирования с наружной поверхности респиратора в результате ее контакта с кожей, в случае если она контаминирована инфицированными биологическими жидкостями. Респиратор снимают в перчатках за резинки (сначала снимая нижнюю резинку, затем верхнюю), не касаясь наружной и внутренней поверхности полумаски респиратора.

Обеззараживание и/или обезвреживание использованных респираторов проводится в соответствии с требованиями к медицинским отходам класса B.

В условиях эпидемии инфекционных заболеваний важно применять организационные меры, позволяющие не только снизить риск внутрибольничного распространения инфекции, но и существенно сократить потребность в респираторах:

- Обучение персонала принципам правильного использования респираторов, в том числе исключение ношения их на шее или лбу во время перерывов в работе, правильное бережное хранение повышает не только эффективность их использования, но и продлевает их срок службы;

- Проведение оценки риска на основании анализа потоков пациентов, посетителей, лабораторных образцов и персонала;

- Максимальное разобщение потоков для выделения зон низкого риска (где использование СИЗОД не требуется) и высокого риска (где использование СИЗОД необходимо). Зоны высокого риска должны быть обозначены специальными предупреждающими знаками, запрещающими доступ туда посторонних лиц без средств защиты;

- Выделение зон отдыха персонала и помещений для офисной работы в максимально изолированных помещениях, куда исключен переток инфицированного воздуха из зон высокого риска. Использование СИЗОД в этих помещениях не требуется;

- Выделение на основе оценки риска более узких групп персонала, который работает в условиях наиболее высокого риска, где требуется применение СИЗОД. Прочий персонал при этом для работы в условиях низкого или среднего уровня риска может эффективно использовать перечисленные организационные меры по его снижению и меры контроля среды обитания (проветривание, ультрафиолетовые излучатели);

- Обязательное круглосуточное применение медицинских масок пациентами, представляющими риск распространения инфекции, вдвое снижает риск для окружающих;

- Применение максимально возможных режимов естественной вентиляции (постоянного максимально возможного проветривания) позволяет достичь резкого снижения концентрации инфекционного аэрозоля в воздухе помещений и соответственно резко снизить риск распространения инфекций через воздух

- В зонах высокого риска распространения COVID-19, использование кондиционеров комнатного типа (сплит-систем) должно быть исключено, поскольку они фактически повышают риск инфицирования, так как способствуют поддержанию высоких концентраций инфекционного аэрозоля при блокированной естественной вентиляции. Применение различного рода воздухоочистителей-рециркуляторов, в том числе с источником ультрафиолетового бактерицидного излучения (УФБИ) внутри, не является эффективной мерой снижения риска распространения воздушных инфекций, включая COVID-19, из-за недостаточной производительности (кратности воздухообмена в помещении), поэтому предпочтение нужно отдавать эффективной механической вентиляции или максимальному постоянному проветриванию.

В период эпидемического подъема заболеваемости COVID-19 их доступность может быть временно ограничена из-за резкого увеличения потребностей в них. Предлагаемые рекомендации по более длительному и повторному использованию СИЗ носят временный характер на период возможного недостаточного обеспечения СИЗ.

При дефиците респираторов в медицинской организации возможно введение режима их ограниченного повторного использования (использование одного и того же респиратора с надетой поверх него хирургической маской при многократных контактах с пациентами, при этом после каждого контакта необходима смена верхней хирургической маски).

Повторное использование респиратора тем же медицинским работником в условиях оказания помощи больным с COVID-19 возможно при выполнении следующих условий:

- респиратор не поврежден;

- респиратор обеспечивает плотное прилегание к лицу, исключающее утечку воздуха под полумаску;

- респиратор не создает избыточного сопротивления дыханию из-за повышенной влажности;

- респиратор не имеет видимых следов контаминации биологическими жидкостями.

Длительность и кратность повторного использования респиратора определяются выполнением всех вышеперечисленных условий. Если по крайней мере одно из вышеперечисленных условий не выполняется, безопасное повторное использование такого респиратора невозможно и он подлежит обеззараживанию и/или обезвреживанию с последующим захоронением или уничтожением в соответствии с требованиями к медицинским отходам класса B.

Если предполагается повторное использование респиратора, его маркируют инициалами пользователя, дезинфицируют ультрафиолетовым бактерицидным облучением, дают полностью высохнуть, если респиратор влажный, и до использования хранят в бумажном пакете или салфетке.

Допустимо применение УФБИ для обеззараживания наружной поверхности использованных респираторов и их повторного использования. УФБИ, не проникая глубоко внутрь фильтрующего материала, эффективно обеззараживает его облучаемую поверхность, резко снижая риск контактного инфицирования. Для обеззараживания поверхности респиратора его оставляют в тщательно расправленном виде наружной поверхностью вверх по направлению к УФБИ облучателю открытого типа на расстоянии не более 2 м от него на не менее чем 30 минут. Суммарной дозы УФБИ достаточно для надежного обеззараживания незатененной поверхности фильтрующей полумаски для безопасного повторного ее использования при соблюдение вышеперечисленных стандартных мер предупреждения контактного инфицирования.

Использованные респираторы нельзя мыть, механически чистить, обрабатывать дезинфектантами, обеззараживать высокими температурами, паром и т.д. Между периодами повторного использования респиратор должен храниться в расправленном виде в сухом чистом месте (в салфетке или бумажном пакете с инициалами пользователя). Передача респиратора для использования другим человеком не допускается.

Использование поверх правильно надетого респиратора медицинской (хирургической) маски позволяет резко снизить вероятность контаминации наружной поверхности респиратора биологическими жидкостями. При этом после каждого снятия респиратора маска должна быть сброшена в контейнер для отходов класса B, а респиратор может использоваться повторно.

При ограниченном ресурсе респираторов в исключительных случаях допускается использование одноразовых хирургических масок при оказании медицинской помощи пациентам, не нуждающимся в проведении аэрозоль-генерирующих процедур (оксигенация, интубация, санация бронхиального дерева, ИВЛ и др.). В этом случае хирургическая маска должна быть также надета на пациента.

8. ПОРЯДОК ПРОВЕДЕНИЯ ПАТОЛОГОАНАТОМИЧЕСКИХ ВСКРЫТИЙ

В случае смерти в стационаре больного с установленным при жизни диагнозом COVID-19 или отнесенного к категории "подозрительный и вероятный случай COVID-19" патологоанатомическое вскрытие в соответствии с Федеральным законом N 323-ФЗ от 21.11.2011 "Об основах охраны здоровья граждан в Российской Федерации" и приказом Минздрава России N 354н от 06.06.2013 "О порядке проведения патологоанатомических вскрытий" проводится в специально перепрофилированных для подобных вскрытий, в том числе, межстационарных патологоанатомических отделениях, с соблюдением правил биобезопасности. Отмена вскрытия не допускается. Категория сложности 5 (приложение 1 Приказа N 354н).

Администрация патологоанатомических бюро, патологоанатомических отделений больниц и бюро судебно-медицинской экспертизы обеспечивает соблюдение требований СП 1.3.3118-13 "Безопасность работы с микроорганизмами I - II групп патогенности (опасности)" и другими нормативными и методическими документами в отдельной секционной.

В патологоанатомическом отделении должен быть полный набор инструкций и необходимых средств для их реализации:

- методическая папка с оперативным планом противоэпидемических

- мероприятий в случае выявления больного COVID-19;

- схема оповещения;

- памятка по технике вскрытия и забора материала для бактериологического исследования;

- функциональные обязанности на всех сотрудников отделения;

- защитная одежда (противочумный костюм 1 типа, СИЗ типа "Кварц" и подобные, допускается противочумный костюм II типа с дополнительным надеванием двойных хирургических перчаток и непрорезаемых синтетических перчаток между ними, защитных очков, клеенчатого или полиэтиленового (ламинированного) фартука, нарукавников из подобного материала; необходимо использовать респираторы класса FFP3);

- укладка для забора материала;

- стерильный секционный набор;

- запас дезинфицирующих средств и емкости для их приготовления.

Медицинские отходы, образующиеся в результате патологоанатомического вскрытия таких трупов, подлежат обеззараживанию и/или обезвреживанию в соответствии с требованиями к медицинским отходам класса B (СанПиН 2.1.7.2790-10 "Санитарно-эпидемиологические требования к обращению с медицинскими отходами").

Вскрытие проводит или контролирует его заведующий или наиболее опытный патологоанатом. К проведению патологоанатомического вскрытия допускаются врачи-патологоанатомы и санитары патологоанатомического отделения, прошедшие инструктаж, специальное обучение (очное или дистанционное). Вскрытие должно быть проведено в максимально возможные ранние сроки. Время вскрытия необходимо сократить до минимума, рекомендуется вскрывать тело умершего, не извлекая его из пластикового пакета, по возможности, не вынимая органы из тела (при необходимости - извлечение органов и взвешивание допустимо). Вскрытие проводится без применения воды при отключенном стоке, так называемое "сухое вскрытие". Аутопсийный материал (кусочки легкого, трахеи, бронхов и селезенки) в кратчайшие сроки направляется в ФБУЗ "Центр гигиены и эпидемиологии" в субъекте Российской Федерации на предмет наличия COVID-19, а также других вирусных и бактериальных возбудителей респираторных инфекций. Объем и вид биологического материала согласовывается с территориальным органом Роспотребнадзора.

Для гистологического исследования забирают образцы каждого органа. Фиксацию производят в 10% нейтральном забуференном растворе формалина, после фиксации в растворе формалина не менее одних суток материал биологически безопасен. Фиксация кусочков по продолжительности должна соответствовать размерам кусочка и может быть при необходимости увеличена до 48 - 72 ч. После фиксации и гистологической проводки кусочки ткани эпидемиологической опасности не представляют, и дальнейшая пробоподготовка проводится обычным образом. Микроскопическое исследование включает в обязательном порядке: трахею (проксимальный и дистальный отделы); центральную часть легкого с сегментарными бронхами, правые и левые бронхи первого порядка; репрезентативные участки легочной паренхимы из правого и левого легкого. Все диагностически значимые морфологические изменения необходимо, по возможности, фиксировать с помощью фото- (или видео-) съемки.

9. МАРШРУТИЗАЦИЯ ПАЦИЕНТОВ И ОСОБЕННОСТИ ЭВАКУАЦИОННЫХ МЕРОПРИЯТИЙ БОЛЬНЫХ ИЛИ ЛИЦ С ПОДОЗРЕНИЕМ НА COVID-19

9.1. МАРШРУТИЗАЦИЯ ПАЦИЕНТОВ И ЛИЦ С ПОДОЗРЕНИЕМ НА COVID-19

Порядок маршрутизации регулирует вопросы оказания медицинской помощи пациентам с COVID-19 в медицинских организациях.

Медицинская помощь пациентам с COVID-19 осуществляется в соответствии с приказом Министерства здравоохранения России от 19.03.2020 N 198н "О временном порядке организации работы медицинских организаций в целях реализации мер по профилактике и снижению рисков распространения новой коронавирусной инфекции COVID-19" (в ред. от 27.03.2020, от 02.04.2020, от 29.04.2020) в виде скорой, первичной медико-санитарной и специализированной медицинской помощи в медицинских организациях и их структурных подразделениях, а также в амбулаторных условиях (на дому).

В зависимости от степени тяжести состояния при подтверждении диагноза коронавирусной инфекции лечение осуществляют:

- Медицинские работники амбулаторных медицинских организаций на дому (в случае отсутствия у пациента клинических проявлений заболеваний или при легком течении заболевания);

- В отделении для лечения инфекционных больных медицинской организации;

- В ОРИТ медицинской организации (при наличии показаний).

Скорая, в том числе скорая специализированная, медицинская помощь больным инфекционным заболеванием оказывается фельдшерскими выездными бригадами скорой медицинской помощи, врачебными выездными бригадами скорой медицинской помощи, специализированными выездными бригадами скорой медицинской помощи, бригадами экстренной медицинской помощи территориальных центров медицины катастроф.

Деятельность бригад направлена на проведение мероприятий по устранению угрожающих жизни состояний с последующей медицинской эвакуацией в медицинскую организацию, оказывающую стационарную медицинскую помощь больным инфекционными заболеваниями. Медицинская помощь больным инфекционными заболеваниями с жизнеугрожающими острыми состояниями, в том числе с инфекционно-токсическим, гиповолемическим шоком, отеком-набуханием головного мозга, острыми почечной и печеночной недостаточностью, острой сердечно-сосудистой и дыхательной недостаточностью, вне медицинской организации оказывается бригадами (в том числе реанимационными) скорой медицинской помощи.

9.2 ПОРЯДОК ОРГАНИЗАЦИИ МЕДИЦИНСКОЙ ПОМОЩИ

В целях обеспечения готовности к проведению противоэпидемических мероприятий в случае завоза и распространения COVID-19 медицинским организациям необходимо руководствоваться Планом санитарно-противоэпидемических мероприятий по предупреждению завоза и распространения новой коронавирусной инфекции, вызванной SARS-CoV-2, утвержденным уполномоченным органом исполнительной власти субъекта Российской Федерации, а также действующими требованиями санитарного законодательства.

а) Порядок организации скорой, в том числе скорой специализированной, медицинской помощи.

Руководителям медицинских организаций, оказывающих скорую медицинскую помощь, необходимо обеспечить:

- Наличие запаса необходимых расходных материалов для отбора проб для проведения лабораторных исследований на наличие COVID-19, дезинфекционных средств и СИЗ;

- Информирование медицинских работников по вопросам профилактики, диагностики и лечения COVID-19;

- Выполнение Инструкции по соблюдению мер инфекционной безопасности для специализированных выездных бригад скорой медицинской помощи согласно Приложению N 13 к настоящим методическим рекомендациям;

- Передачу биологического материала (мазки из носо- и ротоглотки) пациентов (при необходимости забора биологического материала на этапе СМП, в частности необходимости проведения специальных карантинных мероприятий) при подозрении на COVID-19 в лаборатории медицинских организаций, имеющих эпидемиологическое заключение на работу с III и IV группами патогенности;

- Указание медицинскими работниками в бланке направления на лабораторное исследование диагноза "пневмония" при направлении биологического материала пациентов с внебольничной пневмонией для диагностики COVID-19;

- Системную работу по информированию населения о рисках COVID-19, мерах индивидуальной профилактики, необходимости своевременного обращения за медицинской помощью при появлении первых симптомов ОРВИ.

б) Порядок организации медицинской помощи в стационарных условиях.

Руководителям медицинских организаций, оказывающих медицинскую помощь в стационарных условиях, необходимо обеспечить:

- Наличие запаса необходимых расходных материалов для отбора биологического материала для проведения лабораторных исследований, дезинфекционных средств и СИЗ (очки, одноразовые перчатки, респиратор соответствующего класса защиты, противочумный костюм 1 типа или одноразовый халат, бахилы), обеспечение медицинскими изделиями, в том числе пульсоксиметрами, аппаратами искусственной вентиляции легких;

- Информирование медицинских работников по вопросам профилактики, диагностики и лечения COVID-19, а также сбора эпидемиологического анамнеза;

- Госпитализацию пациентов с нетипичным течением ОРВИ, внебольничной пневмонией;

- Проведение противоэпидемических мероприятий при выявлении подозрения на инфекционное заболевание, вызванное штамма SARS-CoV-2, в соответствии с требованиями Федеральной службы по надзору в сфере защиты прав потребителей и благополучия человека;

- Прием через приемно-смотровые боксы и (или) фильтр-боксы пациентов с признаками ОРВИ, внебольничных пневмоний и дальнейшую маршрутизацию пациентов в медицинской организации;

- Разделение работников медицинской организации на лиц, контактировавших с пациентами с симптомами ОРВИ, внебольничной пневмонией, и лиц не контактировавших, исключив возможность их пересечения;

- Соблюдение температурного режима, режима проветривания, текущей дезинфекции в медицинской организации, использование работниками медицинской организации СИЗ;

- Проведение обеззараживания воздуха и поверхностей в помещениях с использованием бактерицидных облучателей и (или) других устройств для обеззараживания воздуха и (или) поверхностей;

- Контроль концентрации дезинфицирующих средств в рабочих растворах;

- Увеличение кратности дезинфекционных обработок помещений медицинских организаций;

- Передачу биологического материала от пациентов (мазки из носо- и ротоглотки) при подозрении на COVID-19 в лаборатории медицинских организаций, имеющих эпидемиологическое заключение на работу с III и IV группами патогенности, с оформлением Акта приема-передачи;

- Указание медицинскими работниками в бланке направления на лабораторное исследование диагноза "пневмония" при направлении биологического материала пациентов с внебольничной пневмонией для диагностики COVID-19;

- Информирование населения о рисках распространения COVID-19, мерах индивидуальной профилактики, обращая особое внимание на необходимость своевременного обращения за медицинской помощью при появлении первых симптомов ОРВИ;

- Рассмотрение возможности переноса сроков оказания медицинской помощи в плановой форме.

в) Порядок организации медицинской помощи в амбулаторных условиях и условиях дневного стационара.

Руководителям медицинских организаций, оказывающих медицинскую помощь в амбулаторных условиях и условиях дневного стационара необходимо обеспечить:

- Наличие запаса расходных материалов для отбора проб для проведения лабораторных исследований, дезинфекционных средств и медицинских изделий, включая СИЗ (очки, одноразовые перчатки, респиратор соответствующего класса защиты, противочумный костюм 1 типа или одноразовый халат, бахилы), медицинские изделия, включая пульсоксиметры;

- Информирование медицинских работников по вопросам профилактики, диагностики и лечения COVID-19, а также сбора эпидемиологического анамнеза;

- Госпитализацию пациентов с нетипичным течением ОРВИ и внебольничной пневмонией;

- Проведение противоэпидемических мероприятий при выявлении подозрения на COVID-19;

- Прием через приемно-смотровые боксы и (или) фильтр-боксы пациентов с признаками ОРВИ, а также схемы дальнейшей маршрутизации пациентов в медицинские организации, оказывающие медицинскую помощь в стационарных условиях;

- Соблюдение температурного режима, режима проветривания, текущей дезинфекции в медицинской организации, использование работниками медицинской организации СИЗ;

- Проведение обеззараживания воздуха и поверхностей в помещениях с использованием бактерицидных облучателей и (или) других устройств для обеззараживания воздуха и (или) поверхностей;

- Контроль концентрации дезинфицирующих средств в рабочих растворах;

- Увеличение кратности дезинфекционных обработок помещений медицинских организаций;

- Передачу биологического материала от пациентов (мазки из носо- и ротоглотки) при подозрении на COVID-19 в лаборатории медицинских организаций, имеющих эпидемиологическое заключение на работу с III и IV группами патогенности, с оформлением Акта приема-передачи;

- Указание медицинскими работниками в бланке направления на лабораторное исследование диагноза "пневмония" при направлении биологического материала пациентов с внебольничной пневмонией для диагностики COVID-19;

- Системную работу по информированию населения о рисках COVID-19, мерах индивидуальной профилактики, обращая особое внимание на необходимость своевременного обращения за медицинской помощью при появлении первых симптомов респираторных заболеваний;

- Указание медицинской помощи пациентам с ОРВИ в амбулаторных условиях, преимущественно на дому;

- Актуализацию сведений о лицах в возрасте старше 60 лет, а также лицах, страдающих хроническими заболеваниями бронхолегочной, сердечно-сосудистой и эндокринной систем, беременных женщинах, проживающих на территории обслуживания медицинской организации;

- Возможность дистанционной выписки лекарственных препаратов, доставки их на дом;

- Медицинское наблюдение (ежедневная термометрия, опрос гражданина медицинским работником, в том числе по телефону, на предмет наличия симптомов ОРВИ) граждан, вернувшихся из стран, в которых зарегистрированы случаи COVID-19, на период не менее 14 календарных дней с момента их возвращения, а также проживающих совместно с ними лиц. Передача сводной статистической информации о результатах медицинского наблюдения в территориальное управление Роспотребнадзора;

- Немедленную изоляцию и, при наличии показаний, госпитализацию пациентов в специально созданные для данного контингента медицинские организации, оказывающие медицинскую помощь в стационарных условиях, производить при появлении подозрения или установления факта заболевания COVID-19;

- Возможность оформления листков нетрудоспособности без посещения медицинской организации лицам, прибывшим в Российскую Федерацию из стран, в которых зарегистрированы случаи заболевания COVID-19, а также проживающим совместно с ними лицам.

9.3 ОСОБЕННОСТИ ЭВАКУАЦИОННЫХ МЕРОПРИЯТИЙ И ОБЩИЕ ПРИНЦИПЫ ГОСПИТАЛИЗАЦИИ БОЛЬНЫХ ИЛИ ЛИЦ С ПОДОЗРЕНИЕМ НА COVID-19

Госпитализация пациента осуществляется в медицинские организации, имеющие в своем составе мельцеровские боксы, либо в медицинские организации, перепрофилируемые под специализированные учреждения той административной территории, где был выявлен больной.

Требования к работе в инфекционных стационарах, изоляторах и обсерваторах в очагах заболеваний, вызванных микроорганизмами I - II групп патогенности, указаны в СП 1.3.3118-13 "Безопасность работы с микроорганизмами I - II групп патогенности (опасности)".

Оказание медицинской помощи больным с инфекционным заболеванием в процессе подготовки и проведения медицинской эвакуации выполняется в соответствии с действующим порядками, клиническими рекомендациями и стандартами.

При наличии жизнеугрожающих синдромокомплексов проводятся реанимационные мероприятия и интенсивная терапия по схемам, утвержденным в установленном порядке.

Транспортировка пациентов с инфекционным заболеванием осуществляется без транспортировочного изолирующего бокса (ТИБ) или в нем.

а) Транспортировка пациента с инфекционным заболеванием без транспортировочного изолирующего бокса

Мероприятия эпидбригад и/или бригад скорой медицинской помощи до начала транспортировки <1>.

<1> Мероприятия проводятся и при транспортировке больных с инфекционным заболеванием с применением транспортировочного изолирующего бокса.

Члены эпидбригады и/или бригады медицинской эвакуации по прибытии к месту выявления больного перед входом в помещение, где находится больной, под наблюдением врача-руководителя бригады надевают защитные костюмы в установленном порядке <1>.

Врач бригады:

- Уточняет у больного данные эпидемиологического анамнеза, круг лиц, которые общались с ним (с указанием даты, степени и длительности контакта);

- Определяет контингенты лиц, подлежащих изоляции, медицинскому наблюдению, экстренной профилактике;

- Обеспечивает контроль эвакуации больного и контактировавших с ним лиц;

- Сообщает незамедлительно согласно утвержденной схеме (старший врач смены) уточненные сведения о больном, о контактировавших с больным и проведенных первичных мероприятиях по локализации очага.

Бригада, выполняющая медицинскую эвакуацию инфекционного больного, должна состоять из медицинских работников, обученных требованиям соблюдения противоэпидемического режима и прошедших дополнительный инструктаж по вопросам дезинфекции.

Больной транспортируется в маске со всеми мерами предосторожности. Водитель транспортного средства, в котором осуществляется медицинская эвакуация, при наличии изолированной кабины должен быть одет в комбинезон, при отсутствии ее - в защитную одежду.

Водители (фельдшера-водители, санитары-водители) санитарного транспорта работают в защитной одежде в установленном порядке.

Сотрудники скорой медицинской помощи совместно с врачом инфекционистом в СИЗ определяют количество и очередность транспортировки/медицинской эвакуации больных, уточняют маршрут эвакуации больного и медицинскую организацию. При наличии нескольких медицинских организаций, соответствующих минимальным требованиям к структурным подразделениям медицинской организации для лечения COVID-19 для пациентов, находящихся в тяжелом состоянии, больных с тяжелыми и крайне тяжелыми формами заболевания целесообразно направлять в медицинские организации обладающими всеми технологиями респираторной поддержки, эфферентной и упреждающей противовоспалительной терапии.

Транспортировка двух и более инфекционных больных на одной машине не допускается. Перевозка контактировавших с больными лиц вместе с больным на одной автомашине не допускается.

Машину скорой медицинской помощи оснащают медико-техническими, лекарственными, перевязочными средствами, противоэпидемической, реанимационной укладками, распыляемыми антисептическими растворами, уборочной ветошью, емкостью с крышкой для приготовления рабочего раствора дезинфекционного средства и хранения уборочной ветоши; емкостью для сбора и дезинфекции выделений.

Необходимый набор дезинфицирующих средств из расчета на 1 сутки:

- Средство для дезинфекции выделений;

- Средство для дезинфекции поверхностей салона;

- Средство для обработки рук персонала (1 - 2 упаковки);

- Бактерицидный облучатель.

Расход дезинфицирующих средств, необходимых на 1 смену, рассчитывают в зависимости от того какое средство имеется в наличии и возможного числа выездов.

После доставки больного в инфекционный стационар бригада проходит на территории больницы полную санитарную обработку с дезинфекцией защитной одежды.

Машина и предметы ухода за больным подвергаются заключительной дезинфекции на территории больницы силами самой больницы или бригад учреждения дезинфекционного профиля (в соответствии с комплексным планом).

За членами бригады, проводившей медицинскую эвакуацию, устанавливается наблюдение на срок 14 дней.

б) Транспортировка пациента с инфекционным заболеванием с применением транспортировочного изолирующего бокса

Больные или лица с подозрением на COVID-19 перевозятся транспортом с использованием транспортировочного изолирующего бокса (ТИБ), оборудованного фильтровентиляционными установками, окнами для визуального мониторинга состояния пациента, двумя парами встроенных перчаток для проведения основных процедур во время транспортирования.

Для медицинской эвакуации пациента формируется медицинская бригада в составе 3-х специалистов: 1 врач специалист, 1 фельдшер, 1 санитар и водитель, обученных требованиям соблюдения противоэпидемического режима и прошедших дополнительный инструктаж по вопросам дезинфекции. Медицинские работники осуществляют прием пациента, его размещение в ТИБ и последующее сопровождение.

Все перемещения новорожденных (вне- и внутригоспитальные) производятся в транспортном кувезе вне зависимости от гестационного возраста и массы тела при рождении. Кувез должен быть оснащен герметизирующими портами для манипуляций и проведения через стенки кувеза необходимых для жизнеобеспечения ребенка устройств.

Медицинские работники и водитель должны быть одеты в защитную одежду.

Пациента готовят к транспортированию до помещения в ТИБ: на месте эвакуации врач бригады оценивает состояние пациента на момент транспортирования и решает вопрос о проведении дополнительных медицинских манипуляций.

Пациента размещают внутри камеры транспортировочного модуля в горизонтальном положении на спине и фиксируют ремнями; в ТИБ помещают необходимое для транспортирования и оказания медицинской помощи оборудование и медикаменты; после этого закрывают застежку-молнию. Проверяют надежность крепления фильтров, включают фильтровентиляционную установку на режим отрицательного давления.

После помещения пациента в ТИБ медицинский персонал бригады:

- Протирает руки в резиновых перчатках и поверхность клеенчатого фартука, орошает наружную поверхность транспортировочного модуля дезинфицирующим раствором с экспозицией в соответствии с инструкцией по применению;

- Проводит обработку защитных костюмов методом орошения дезинфицирующим раствором в соответствии с инструкцией по применению, затем снимает защитные костюмы и помещает их в мешки для опасных отходов;

- Орошает дезинфицирующим средством наружную поверхность мешков с использованными защитными костюмами и относит на транспортное средство.

В боксе инфекционного стационара пациента из ТИБ передают медицинским работникам стационара.

После доставки больного в стационар медицинский транспорт и ТИБ, а также находящиеся в нем предметы, использованные при транспортировании, обеззараживаются силами бригады дезинфекторов на территории инфекционного стационара на специальной, оборудованной стоком и ямой, площадке для дезинфекции транспорта, используемого для перевозки больных в соответствии с действующими методическими документами. Внутренние и внешние поверхности транспортировочного модуля и автотранспорта обрабатываются путем орошения из гидропульта разрешенными для работы с опасными вирусами дезинфицирующими средствами в концентрации в соответствии с инструкцией.

Фильтрующие элементы ТИБ и другие медицинские отходы утилизируют в установленном порядке.

Защитную и рабочую одежду по окончании транспортирования больного подвергают специальной обработке методом замачивания в дезинфицирующем растворе по вирусному режиму согласно инструкции по применению.

Все члены бригады обязаны пройти санитарную обработку в специально выделенном помещении инфекционного стационара.

За членами бригад, проводивших медицинскую эвакуацию, устанавливается наблюдение на срок 14 дней.

в) Мероприятия бригады дезинфекции

Мероприятия по дезинфекции проводятся с учетом письма Роспотребнадзора от 23.01.2020 N 02/770-2020-32 "Об инструкции по проведению дезинфекционных мероприятий для профилактики заболеваний, вызываемых коронавирусами".

По прибытии на место проведения дезинфекции члены бригады надевают защитную одежду. Заключительную дезинфекцию в транспортном средстве проводят немедленно после эвакуации больного.

Для проведения обеззараживания в очаг входят два члена бригады, один дезинфектор остается вне очага. В обязанность последнего входит прием вещей из очага для камерной дезинфекции, приготовление дезинфицирующих растворов, поднос необходимой аппаратуры.

Перед проведением дезинфекции необходимо закрыть окна и двери в помещениях, подлежащих обработке. Проведение заключительной дезинфекции начинают от входной двери здания, последовательно обрабатывая все помещения, включая комнату, где находился больной. В каждом помещении с порога, не входя в комнату, обильно орошают дезинфицирующим раствором пол и воздух.

Руководитель медицинской организации, в которой выявлен больной, подозрительный на COVID-19, осуществляет первичные противоэпидемические мероприятия согласно оперативному плану медицинской организации, как на случай выявления больного особо опасной инфекцией, с целью обеспечения своевременного информирования, временной изоляции, консультирования, эвакуации, проведения дезинфекции, оказания больному необходимой медицинской помощи в соответствии с действующими нормативными документами и санитарным законодательством, в том числе с санитарно-эпидемиологическими правилами СП 3.4.2318-08 "Санитарная охрана территории Российской Федерации".

Организация и проведение первичных противоэпидемических мероприятий в случаях выявления больного (трупа), подозрительного на заболевания инфекционными болезнями, вызывающими чрезвычайные ситуации в области санитарно-эпидемиологического благополучия населения, проводится в соответствии с Методическими указаниями МУ 3.4.2552-09 (утв. Главным государственным санитарным врачом Российской Федерации 17.09.2009).

В медицинской организации, оказывающей медицинскую помощь больным и лицам с подозрением на COVID-19, согласно санитарным правилам необходимо наличие:

- Неснижаемого запаса СИЗ персонала (защитная одежда, маски, респираторы, очки/экраны, перчатки и другие);

- Укладки для забора биологического материала у больного (подозрительного);

- Укладки со средствами экстренной профилактики медицинских работников;

- Месячного запаса дезинфицирующих средств и аппаратуры;

- Тест-систем для лабораторной диагностики в случае выявления лиц с подозрением на коронавирусную инфекцию;

- Медицинского персонала, обученного действиям при выявлении больного (подозрительного на) COVID-19.

При использовании СИЗ обязательно следовать требованиям санитарных правил. Использованные материалы обеззараживаются и/или обезвреживаются и в последующем захораниваются или уничтожаются в соответствии с требованиями к медицинским отходам класса B. Дезинфекция рабочих поверхностей и биологических жидкостей больного проводится с использованием дезинфицирующих средств, содержащих хлор.

9.4. ПОРЯДОК ГОСПИТАЛИЗАЦИИ В МЕДИЦИНСКИЕ ОРГАНИЗАЦИИ ПАЦИЕНТОВ В ЗАВИСИМОСТИ ОТ СТЕПЕНИ ТЯЖЕСТИ ЗАБОЛЕВАНИЯ

1. Госпитализации в медицинские организации и их структурные подразделения, оказывающие медицинскую помощь пациентам с установленным диагнозом новой коронавирусной инфекцией COVID-19 или с подозрением на новую коронавирусную инфекцию COVID-19 в стационарных условиях (далее соответственно - структурное подразделение медицинской организации для лечения COVID-19, пациенты), подлежат пациенты с установленным диагнозом новой коронавирусной инфекции COVID-19 или с подозрением на новую коронавирусную инфекцию COVID-19, находящиеся в состоянии средней тяжести, в тяжелом и крайне тяжелом состоянии.

2. Госпитализация пациентов осуществляется в структурное подразделение медицинской организации для лечения COVID-19, имеющее койки для пациентов, находящихся в тяжелом состоянии, не требующих искусственной вентиляции легких, койки для пациентов, находящихся в тяжелом состоянии, требующих проведения неинвазивной вентиляции легких, и койки для пациентов, находящихся в крайне тяжелом состоянии, требующих проведения инвазивной искусственной вентиляции легких.

3. Пациенты, находящиеся на амбулаторном лечении, при сохранении температуры тела >= 38,5 °C в течение 3 дней госпитализируются в структурное подразделение медицинской организации для лечения COVID-19 на койки для пациентов, находящихся в состоянии средней тяжести.

4. Пациенты, находящиеся в состоянии средней тяжести, госпитализируются в структурное подразделение медицинской организации для лечения COVID-19 на койки для пациентов, находящихся в тяжелом состоянии, не требующих искусственной вентиляции легких, исходя из наличия двух из следующих критериев:

а) насыщение крови кислородом по данным пульсоксиметрии < 95%;

б) T >= 38 °C;

в) частота дыхательных движений > 22;

г) наличие признаков пневмонии с распространенностью изменений в обоих легких более 25% (при наличии результатов компьютерной томографии легких).

5. Пациенты, находящиеся в тяжелом состоянии, госпитализируются в структурное подразделение медицинской организации для лечения COVID-19 на койки для пациентов, находящихся в тяжелом состоянии, требующих проведения неинвазивной вентиляции легких, исходя из наличия двух из следующих критериев:

а) SpO2 <= 93%;

б) T >= 39 °C;

в) ЧДД >= 30;

Дополнительными признаками нахождения пациента в тяжелом состоянии являются снижение уровня сознания, ажитация, нестабильные гемодинамические показатели (систолическое артериальное давление < 90 мм рт. ст., диастолическое артериальное давление < 60 мм рт. ст.).

6. Пациенты, находящиеся в крайне тяжелом состоянии, госпитализируются в структурное подразделение медицинской организации для лечения COVID-19 на койки для пациентов, находящихся в крайне тяжелом состоянии, требующих проведения инвазивной искусственной вентиляции легких, исходя из наличия двух из следующих критериев:

а) нарушение сознания;

б) SpO2 < 92% (на фоне кислородотерапии);

в) ЧДД > 35.

7. Пациентам, находящимся в состоянии средней тяжести, тяжелом и крайне тяжелом состоянии, а также пациентам, указанным в подпункте "а" пункта 8 настоящих Критериев в день госпитализации рекомендовано выполнение компьютерной томографии органов грудной полости или, при отсутствии такой возможности, рентгенографии органов грудной полости. Ультразвуковое исследование плевральных полостей и легких может применяться только как дополнение к компьютерной томографии или рентгенографии для оценки динамики изменений в грудной полости. Кратность повторения указанных методов исследования определяется клиническими показаниями. При отсутствии отрицательной клинической динамики контрольное рентгенологическое исследование проводится не чаще одного раза в неделю.

8. Подлежат госпитализации в структурное подразделение медицинской организации для лечения COVID-19 вне зависимости от тяжести заболевания:

а) пациенты, относящиеся к группе риска (возраст старше 65 лет, наличие сопутствующих заболеваний и состояний: артериальной гипертензии, хронической сердечной недостаточности, онкологических заболеваний, гиперкоагуляции, ДВС-синдрома, острого коронарного синдрома, сахарного диабета, цирроза печени, длительный прием стероидов и биологической терапии по поводу воспалительных заболеваний кишечника, ревматоидного артрита, пациенты, получающие сеансы

- гемодиализа или перитонеальный диализ, наличие иммунодефицитных состояний,

- в том числе у пациентов с ВИЧ-инфекцией без антиретровирусной терапии

- и пациентов, получающих химиотерапию);

б) пациенты, проживающие в общежитии, многонаселенной квартире, с лицами старше 65 лет, с лицами, страдающими хроническими заболеваниями бронхолегочной, сердечно-сосудистой и эндокринной систем.

9. Пациенты, указанные в пункте 7 настоящего Порядка, находящиеся в состоянии легкой степени тяжести, госпитализируются в структурное подразделение медицинской организации для лечения COVID-19 на койки для пациентов, находящихся в состоянии средней тяжести, исходя из наличия двух из следующих критериев:

а) SpO2 >= 95% (обязательный критерий);

б) T < 38 °C;

в) ЧДД <= 22.

10. Пациенты в возрасте до 18 лет госпитализируются в структурное подразделение медицинской организации для лечения COVID-19 при наличии одного из следующих критериев:

а) T > 39,0 °C в день обращения или T > 38 °C в течение 5 дней и больше;

б) дыхательная недостаточность (наличие любого признака из нижеперечисленных симптомов респираторного дистресса):

тахипноэ: частота дыхания у детей в возрасте до 1 года - более 50, от 1 до 5 лет - более 40, старше 5 лет - более 30 в мин;

одышка в покое или при беспокойстве ребенка;

участие вспомогательной мускулатуры в акте дыхания;

втяжения уступчивых мест грудной клетки при дыхании;

раздувание крыльев носа при дыхании;

кряхтящее или стонущее дыхание;

эпизоды апноэ;

кивательные движения головы, синхронные со вдохом;

дистанционные хрипы;

невозможность сосать/пить вследствие дыхательных нарушений;

акроцианоз или центральный цианоз;

SpO2 < 95%;

в) тахикардия у детей в возрасте до 1 года - более 140, от 1 до 5 лет - более 130, старше 5 лет - более 120 ударов в мин.;

г) наличие геморрагической сыпи;

д) наличие любого из следующих экстренных и неотложных признаков:

судороги;

шок;

тяжелая дыхательная недостаточность;

тяжелое обезвоживание;

угнетение сознания (сонливость) или возбуждение;

е) наличие одного из следующих тяжелых фоновых заболеваний независимо от уровня повышения T и степени выраженности дыхательной недостаточности:

иммунодефицитное состояние, в том числе лечение иммуносупрессивными препаратами;

онкологические и онкогематологические заболевания;

болезни с нарушениями системы свертывания крови;

врожденные и приобретенные пороки и заболевания сердца, в том числе нарушения ритма, кардиомиопатия;

врожденные и приобретенные хронические заболевания легких;

болезни эндокринной системы (сахарный диабет, ожирение);

хронические тяжелые болезни печени, почек, желудочно-кишечного тракта;

ж) невозможность изоляции при проживании с лицами, относящими к группе риска (возраст старше 65 лет, наличие сопутствующих заболеваний и состояний: артериальной гипертензии, хронической сердечной недостаточности, онкологических заболеваний, гиперкоагуляции, ДВС-синдрома, острого коронарного синдрома, сахарного диабета, цирроза печени, длительный прием стероидов и биологической терапии по поводу воспалительных заболеваний кишечника, ревматоидного артрита, пациенты, получающие сеансы гемодиализа или перитонеальный диализ, наличие иммунодефицитных состояний, в том числе у пациентов с ВИЧ-инфекцией без антиретровирусной терапии и пациентов, получающих химиотерапию);

з) отсутствие условий для лечения на дому или гарантий выполнения рекомендаций (общежитие, учреждения социального обеспечения, пункт временного размещения, социально неблагополучная семья, неблагоприятные социально-бытовые условия).

9.5. ОСНОВНЫЕ ПРИНЦИПЫ ОКАЗАНИЯ МЕДИЦИНСКОЙ ПОМОЩИ В АМБУЛАТОРНЫХ УСЛОВИЯХ (НА ДОМУ)

Алгоритм действий медицинских работников, оказывающих медицинскую помощь в амбулаторных условиях, в том числе на дому, пациентам с острыми респираторными вирусными инфекциями представлен в приложении 14.

При получении положительного результата лабораторных исследований биологического материала пациента на наличие COVID-19 (далее - результат теста на COVID-19) уполномоченное лицо медицинской организации:

- Уведомляет пациента о положительном результате теста на COVID-19;

- Оповещает о положительном результате теста на COVID-19 руководителя медицинской организации;

- Вносит в журнал учета пациентов с COVID-19 плановые даты для повторного забора биологического материала (мазки из носо- и ротоглотки) - 3-й, 11-й дни;

- Организует осмотр работников медицинской организации, контактировавших с заболевшим пациентом и, в случае выявления симптомов острой респираторной вирусной инфекцией, забор у них биоматериала (мазки из носо- и ротоглотки) для лабораторного исследования на наличие COVID-19;

- Осуществляет опрос пациента с целью уточнения его состояния;

- Осуществляет информирование медицинского работника, направляемого для оказания медицинской помощи пациенту, о положительном результате теста на COVID-19.

- Медицинские работники, оказывающие медицинскую помощь на дому пациентам с положительным результатом теста на COVID-19, обязаны:

- Использовать СИЗ (очки, одноразовые перчатки, респиратор соответствующего класса защиты, противочумный костюм 1-го типа или одноразовый халат, бахилы);

- Иметь запас медицинских масок в количестве не менее 20 штук и предлагать их пациенту, прежде чем приступить к опросу и осмотру;

- Рекомендовать пациенту во время осмотра и опроса медицинским работником находиться в медицинской маске;

- Обрабатывать руки в перчатках дезинфицирующим средством;

- Находясь в квартире пациента не снимать СИЗ;

- После выхода из квартиры пациента снять средства индивидуальной защиты, упаковать их в пакет для медицинских отходов класса B и обеспечить их дальнейшую транспортировку для обезвреживания в соответствии с требованиями;

- По завершении оказания медицинской помощи пациенту сообщать уполномоченному лицу медицинской организации о лицах, имеющих контакт с пациентом.

Медицинская помощь пациенту с положительным результатом теста на COVID-19 может оказываться на дому в случае отсутствия клинических проявлений заболеваний или легком течении заболевания (t тела < 38,0 °C, ЧДД <= 22 в мин., SpO2 >= 93%, для детей >= 95%).

- Пациенту с положительным результатом теста на COVID-19 при легком течении заболевания рекомендуется назначать лечение в соответствии с данными методическими рекомендациями.

- Пациент с легким течением заболевания должен быть проинформирован медицинским работником о необходимости вызова врача или бригады скорой медицинской помощи при ухудшении самочувствия (t тела > 38,0 °C, появление затрудненного дыхания, одышки, появление или усиление кашля, SpO2 < 93%), а также о возможных способах обращения за медицинской помощью.

- Лица, проживающие с пациентом с легким течением заболевания в одном помещении, должны быть проинформированы о рисках заболевания COVID-19 и необходимости временного проживания в другом месте.

- Пациент с легким течением заболевания и лица, проживающие с таким пациентом, должны быть проинформированы о том, что нарушение санитарно-эпидемиологических правил, повлекшее по неосторожности массовое заболевание, может повлечь привлечение их к уголовной ответственности, предусмотренной статьей 236 Уголовного кодекса Российской Федерации (Собрание законодательства Российской Федерации, 1996, N 25, ст. 2954; 2011, N 50, ст. 7362).

- Пациент с легким течением заболевания и лица, проживающие с таким пациентом, должны быть обеспечены информационными материалами по вопросам ухода за пациентами, больными COVID-19, и общими рекомендациями по защите от инфекций, передающихся воздушно-капельным и контактным путем.

- В случае принятия решения о дальнейшем оказании медицинской помощи пациенту в амбулаторных условиях (на дому) оформляется согласие на оказание медицинской помощи в амбулаторных условиях (на дому) и соблюдение режима изоляции при лечении COVID-19.

Пациент с положительным результатом теста на COVID-19 подлежит госпитализации при наличии одного из следующих обстоятельств:

- Один или оба признака вне зависимости от высоты температуры: ЧДД >= 22 в минуту, SpO2 < 93%;

- Легком течении заболевания, в случае если возраст пациента старше 65 лет или имеются симптомы острых респираторных вирусных инфекций в сочетании с хронической сердечной недостаточностью, сахарным диабетом, заболеванием дыхательной системы (бронхиальная астма, хроническая обструктивная болезнь легких), беременностью;

- Совместном проживании с лицами, относящимися к группам риска (лица в возрасте старше 65 лет, а также лица, страдающие хроническими заболеваниями бронхолегочной, сердечно-сосудистой и эндокринной систем, беременных женщин) и невозможности их отселения независимо от тяжести течения заболевания у пациента;

- Легком течении заболевания у детей при наличии у них симптомов острых респираторных вирусных инфекций в сочетании с хроническими заболеваниями: сердечной недостаточностью, сахарным диабетом, бронхиальной астмой, врожденными пороками сердца и легких, находящихся на иммуносупрессивной терапии и других;

- Беременности.

Медицинская организация, в которой наблюдается ребенок с положительным результатом теста на COVID-19 и отсутствием клинических проявлений заболеваний, обеспечивает ежедневный опрос участковой медицинской сестрой (по телефону) о состоянии пациента не менее 2-х раз в день, а также патронаж врача-педиатра участкового не реже 1 раза в 5 дней.

Медицинская организация, в которой наблюдается ребенок с положительным результатом теста на COVID-19 и легким течением заболевания, обеспечивает ежедневный опрос участковой медицинской сестрой (по телефону) о состоянии пациента не менее 2-х раз в день, а также патронаж врача-педиатра участкового (фельдшера) с учетом состояния ребенка не реже 1 раза в 2 дня.

Законный представитель, обеспечивающий уход за ребенком с положительным результатом теста на COVID-19, которому оказывается медицинская помощь на дому, должен быть проинформирован о рисках заболевания COVID-19 и необходимости соблюдения рекомендаций по защите от инфекций, передающихся воздушно-капельным и контактным путем, особенностям ухода за пациентами больными указанной инфекцией, а также иметь информацию, что нарушение санитарно-эпидемиологических правил, повлекшее по неосторожности массовое заболевание, может повлечь привлечение к уголовной ответственности, предусмотренной статьей 236 Уголовного кодекса Российской Федерации.

9.6. МАРШРУТИЗАЦИЯ ПАЦИЕНТОВ, НУЖДАЮЩИХСЯ В ЭКСТРЕННОЙ ХИРУРГИЧЕСКОЙ ПОМОЩИ

Экстренная хирургическая помощь пациентам с COVID-19, находящимся на стационарном лечении

Пациентам, находящимся на стационарном лечении, специализированная экстренная хирургическая помощь оказывается в многопрофильной инфекционной больнице или перепрофилированном многопрофильном стационаре для оказания помощи больным с COVID-19 (в операционном блоке, оборудованном для проведения операций у пациентов с COVID-19). При необходимости, в инфекционный стационар может быть вызвана специализированная хирургическая бригада из другого учреждения, если профильных специалистов нет на месте.

В ряде случаев решение о переводе пациента с COVID-19 для экстренной хирургической помощи в иной специализированный инфекционный стационар или перепрофилированный многопрофильный стационар может быть принято в индивидуальном порядке с учетом возможности безопасной транспортировки при отсутствии обусловленной транспортировкой угрозы для жизни. Специализированные хирургические бригады могут быть использованы в тех случаях, когда в лечебном учреждении нет специалистов соответствующего профиля или квалификации.

Экстренная хирургическая помощь пациентам с COVID-19, находящимся на домашнем лечении

Пациента госпитализируют для оказания экстренной хирургической помощи в многопрофильную инфекционную больницу или перепрофилированный многопрофильный стационар для оказания помощи больным с COVID-19. При необходимости в стационар может быть вызвана специализированная хирургическая бригада. Специализированные хирургические бригады могут быть использованы в тех случаях, когда в лечебном учреждении нет специалистов соответствующего профиля или квалификации. В остальных случаях экстренная хирургическая помощь оказывается специалистами многопрофильной инфекционной больницы.

Экстренная хирургическая помощь пациентам без COVID-19, находящимся на карантине в домашних условиях

Пациент доставляется для оказания экстренной помощи в специализированную хирургическую больницу, имеющую возможность изолировать подозрительных (условно инфицированных) пациентов с дальнейшим переводом в инфекционное отделение для пациентов с внебольничной пневмонией. Пациенту в экстренном порядке выполняют КТ ОГК с использованием соответствующих мер безопасности как для больного, так и для медицинского персонала (обязательно использование СИЗ) и лабораторное обследование на COVID-19.

Решение о маршрутизации пациента должно приниматься на основании эпидемиологических и клинических данных. Кроме того, результаты тестирования не могут влиять на принятие решения о маршрутизации пациента. При отсутствии клинических симптомов ОРВИ или пневмонии экстренную хирургическую помощь оказывают в специализированном хирургическом стационаре (имеющем в своем составе мельцеровские боксы или инфекционное отделение для пациентов с внебольничной пневмонией). Оказание медицинской помощи проводится медицинским персоналом, не контактирующим с пациентами с COVID-19, если пациент был на карантине более 14 дней или у него 2 отрицательных теста на COVID-19.

При выявлении внебольничной пневмонии или положительном тесте на COVID-19 экстренную хирургическую помощь оказывают в многопрофильной инфекционной больнице или перепрофилированном многопрофильном стационаре для оказания помощи больным с COVID-19, куда, в случае необходимости, может быть вызвана специализированная хирургическая бригада. В случае жизнеугрожающей ситуации и невозможности транспортировки хирургическая помощь оказывается на месте, с соблюдением всех санитарно-эпидемиологических мероприятий. В послеоперационном периоде пациент помещается в изолированный бокс или боксированное отделение, откуда осуществляется перевод в инфекционный или перепрофилированный многопрофильный стационар для оказания помощи больным с COVID-19 после стабилизации состояния пациента.

Экстренная хирургическая помощь пациентам без COVID-19

Пациент доставляется бригадой скорой медицинской помощи в многопрофильную клинику, выделенную для оказания экстренной хирургической помощи пациентам без COVID-19, имеющую возможность изолировать больных, подозрительных на внебольничную пневмонию или ОРВИ.

Пациенту в экстренном порядке выполняют КТ ОГК (с использованием соответствующих мер безопасности как для больного, так и для медицинского персонала) и берут материал для лабораторного обследования на COVID-19. Сроки выполнения теста и его результаты не могут влиять на принятие решения о маршрутизации пациента. При отсутствии клинических признаков ОРВИ, пневмонии экстренную хирургическую помощь оказывают в специализированном хирургическом стационаре (имеющем в своем составе мельцеровские боксы или инфекционное отделение для пациентов с внебольничной пневмонией). Оказание медицинской помощи проводится медицинским персоналом, не контактирующим с пациентами с COVID-19, если пациент был на карантине более 14 дней или у него 2 отрицательных теста на COVID-19.

При выявлении внебольничной пневмонии, ОРВИ или положительном тесте на COVID-19 больной переводится для оказания экстренной хирургической помощи в многопрофильную инфекционную больницу или перепрофилированный многопрофильный стационар для оказания помощи больным с COVID-19, куда, в случае необходимости, может быть вызвана специализированная хирургическая бригада.

В случае жизнеугрожающей ситуации и невозможности транспортировки, помощь оказывается на месте с соблюдением всех санитарно-эпидемиологических мероприятий. В послеоперационном периоде пациент помещается в изолированный бокс или боксированное отделение, откуда осуществляется перевод в инфекционный или перепрофилированный многопрофильный стационар для оказания помощи больным с COVID-19 после стабилизации состояния.

Меры предосторожности для обеспечения безопасности медицинского персонала при оказании экстренной хирургической помощи

Образование мельчайших жидких частиц (аэрозолей) в ходе медицинских процедур может представлять угрозу для медицинского персонала из-за возможного содержания в аэрозоли SARS-CoV-2. Следующие процедуры считаются потенциально опасными в отношении образования аэрозолей, содержащих COVID-19:

- Эндоскопия верхних отделов ЖКТ, подразумевающая открытую аспирацию содержимого верхних дыхательных путей;

- Хирургические операции с использованием высокоскоростных устройств (пилы и пр.);

- Некоторые экстренные стоматологические манипуляции (например, высокоскоростное сверление);

- Неинвазивная вентиляция, например, двухуровневая вентиляция с положительным давлением в дыхательных путях и непрерывная вентиляция с положительным давлением в дыхательных путях, вентиляция высокочастотными колебаниями;

- Стимуляция отхождения мокроты;

- Высокопоточная назальная оксигенация.

Для пациентов с подозрительным или подтвержденным случаем COVID-19 любой из этих потенциально инфекционных процедур с образованием аэрозоли следует проводить только в случае крайней необходимости.

Рекомендуется, чтобы вентиляция как в ламинарном потоке, так и в обычных вентилируемых помещениях, была полностью включена во время хирургических манипуляций, особенно, если пациент инфицирован SARS-CoV-2. Максимальная вентиляция в операционной позволит защитить медицинский персонал от заражения вирусом. Воздух, выходящий из операционных в прилегающие больничные территории, будет сильно разбавлен и не должен рассматриваться в качестве возможного инфекционного агента.

Профилактика образования и высвобождения мельчайших жидких частиц (аэрозолей) в ходе хирургического вмешательств

Интраоперационное выделение хирургического дыма может нести в себе мельчайшие частицы вируса. С целью уменьшения выделения хирургического дыма, рекомендовано максимально снизить мощность электрокоагуляции. В ряде исследований было доказано, что в хирургическом дыме обнаруживаются коринебактерии, папилломавирус и ВИЧ. Известно, что концентрация дыма при проведении лапароскопической операции значительно выше, чем при открытых вмешательствах. Уменьшение пневмоперитонеума в конце операции позволяет в значительной степени снизить риск распространения мельчайших жидких частиц, особенно при резком извлечении троакаров и/или в ходе замены лапароскопических инструментов. С технической точки зрения должны применяться интеллектуальные проточные системы, позволяющие поддерживать внутрибрюшное давление на предельно низком уровне и эвакуирующим дым. Классические аспирационные системы, наоборот, подвержены более высокому риску передачи мельчайших частиц SARS-CoV-2.

Предпочтительно минимизировать различные манипуляции с кишечником, а также его вскрытие во время хирургических процедур, которые этого не предусматривают. Это особенно важно при выполнении лапароскопических манипуляций, чтобы снизить риск диффузии вируса в режиме инсуффляции CO2.

До настоящего момента не было ни одного факта передачи заболевания через мочу, тем не менее дренирование мочевого пузыря и/или мочеточника во время операций следует проводить с осторожностью, особенно в случае наличия пневмоперитонеума.

Защита медицинского персонала в операционных

Вся хирургическая бригада (включая хирургов, анестезиологов и медсестер) должна использовать дополнительные СИЗ при оперативных вмешательствах у больных с коронавирусной инфекцией. Защитные очки, маска FFP2/3 (в т.ч. маска с защитным козырьком) и защитная одежда (комбинезон) представляют собой необходимые предметы в случае выполнения любой инвазивной операции, выполняемой во время чрезвычайной ситуации с COVID-19. Хирурги должны минимизировать любые контакты с биологическими жидкостями пациента. Также необходимо проводить тщательную очистку и дезинфекцию всего оборудования, в том числе лапароскопических, эндоскопических стоек и хирургических консолей.

10. ПРАВИЛА ФОРМУЛИРОВКИ ДИАГНОЗА, КОДИРОВАНИЯ ПО МКБ-10 И УЧЕТ ПАЦИЕНТОВ С COVID-19 В ИНФОРМАЦИОННОМ РЕСУРСЕ

Для обеспечения достоверного статистического учета при наличии у пациента коронавирусной инфекции, или подозрения на нее, заключительный клинический диагноз должен быть сформулирован в соответствии с правилами МКБ-10.

В статистике заболеваемости в конце эпизода оказания медицинской помощи из нескольких имеющихся у пациента заболеваний должно быть выбрано только одно заболевание в качестве основного, на долю которого пришлась наибольшая часть использованных ресурсов (том 2, стр. 107).

Кодирования статистической информации при наличии подозрения или установленного диагноза COVID-19 осуществляется в соответствии с нижеследующим порядком:

U07.1 - Коронавирусная инфекция COVID-19, вирус идентифицирован (подтвержден лабораторным тестированием независимо от тяжести клинических признаков или симптомов)

U07.2 - Коронавирусная инфекция COVID-19, вирус не идентифицирован (COVID-19 диагностируется клинически или эпидемиологически, но лабораторные исследования неубедительны или недоступны)

Z03.8 - Наблюдение при подозрении на коронавирусную инфекцию

Z22.8 - Носительство возбудителя коронавирусной инфекции

Z20.8 - Контакт с больным коронавирусной инфекцией

Z11.5 - Скрининговое обследование с целью выявления коронавирусной инфекции

B34.2 - Коронавирусная инфекция неуточненная (кроме COVID-19)

B33.8 - Коронавирусная инфекция уточненная (кроме COVID-19)

Z29.0 - Изоляция

При наличии пневмонии, вызванной COVID-19, рубрики J12 - J18 используются в качестве дополнительных кодов. При летальных исходах рубрики XXI класса МКБ-10 не используются.

Первичная медицинская документация (Талон пациента, получающего медицинскую помощь в амбулаторных условиях - форма N 025-1/у; Статистическая карта выбывшего из стационара - форма N 066/у) заполняется в установленном порядке. Дополнительные коды проставляются ручным способом в правом верхнем углу.

Примеры формулировки диагнозов и кодирование COVID-19 по МКБ-10

Пример 1.

Основное заболевание: Коронавирусная инфекция COVID-19 (подтвержденная), среднетяжелая форма U07.1.

Осложнения: Двусторонняя пневмония, острый респираторный дистресс-синдром, острая дыхательная недостаточность.

Сопутствующие заболевания: Постинфарктный кардиосклероз. Артериальная гипертензия.

Пример 2.

Основное заболевание: Подозрение на коронавирусную инфекцию, тяжелое течение U07.2.

Осложнения: Двусторонняя пневмония, острая дыхательная недостаточность.

Сопутствующие заболевания: Сахарный диабет 2 типа с ангиопатией.

Пример 3.

Основное заболевание: Контакт с больным коронавирусной инфекцией Z20.8.

Сопутствующие заболевания: Артериальная гипертензия.

От правильности формулировки заключительного клинического, патологоанатомического или судебно-медицинского диагноза зависит кодирование и выбор первоначальной причины смерти.

В разных странах существует разный подход к формулировке патологоанатомического диагноза, выбору и учету причин смерти от COVID-19, что, вероятно, объясняет существенные различия в статистике смертности. Единые международные рекомендации для COVID-19 представлены в рекомендациях ВОЗ от 16-20.04.2020 г. Предварительный и окончательный патологоанатомические диагнозы формулируются в соответствии с приказом МЗ РФ от 06.06.2013 N 354 "О порядке проведения патолого-анатомических вскрытий" и клиническими рекомендациями Российского общества патологоанатомов "Формулировка патологоанатомического диагноза при некоторых инфекционных и паразитарных болезнях" RPSA.1(2016), причем окончательный - после завершения гистологического исследования и получения результатов лабораторных исследований. Проводится консультирование наблюдений ведущим специалистом по инфекционной патологии субъекта Российской Федерации, определенным его исполнительным органом в области здравоохранения, а, при необходимости, и ведущими специалистами страны из числа членов рабочей группы главного патологоанатома Минздрава России.

Следует различать при формулировке диагноза и оформления медицинского свидетельства о смерти:

- Наступление летального исхода от COVID-19, когда COVID-19 является основным заболеванием (первоначальной причиной смерти);

- Наступление летального исхода от других тяжелых ранее существовавших заболеваний, при наличии ("присоединении") инфекции, вызванной SARS-CoV-2, но без таких ее клинико-морфологических проявлений, которые могли бы стать самостоятельной причиной смерти (в т.ч. при не тяжелой пневмонии). При этом возможно обострение и неблагоприятное течение ранее существовавших тяжелых болезней органов кровообращения, онкологических и других заболеваний. Следует также анализировать возможность развития ятрогенных осложнений. В таких ситуациях COVID-19 не должен расцениваться как основное заболевание (первоначальная причина смерти) и указывается в диагнозе как коморбидное (чаще сочетанное) заболевание.

- Наступление летального исхода от различных несовместимых с жизнью заболеваний и их осложнений (а также травм) при отсутствии клинических проявлений и патологических изменений, вызванных вирусом SARS-CoV-2, однако при наличии положительного теста на РНК вируса SARS-CoV-2. В таких случаях факт такого положительного теста указывается в рубрике "сопутствующие заболевания". Важно учитывать определенный процент ложноотрицательных результатов ПЦР тестов.

При формулировке патологоанатомического диагноза и оформлении медицинского свидетельства о смерти важно следовать международным рекомендациям ВОЗ, хотя некоторые из них противоречат основам патологии. ОРДС, являющийся клиническим проявлением диффузного альвеолярного повреждения рекомендовано указывать как осложнение COVID-19, хотя оно представляет собой его морфологический субстрат. Кроме того, в России не предусмотрено применение дополнительных вторых кодов при шифровке по МКБ-10 разных заболеваний, поэтому при прогрессировании вирусной или вирусно-бактериальной пневмонии у умерших с COVID-19 требуется указывать ее в рубрике диагноза "Осложнения основного заболевания" и строке "б)" части I медицинского свидетельства о смерти. Общеприняты следующие осложнения, которые также могут рассматриваться как непосредственная причина смерти:

- Дыхательная недостаточность (по сути, еще один синоним ОРДС);

- Острая сердечная недостаточность;

- Острая почечная недостаточность;

- Сепсис, инфекционно-токсический (септический) шок;

- Тромбозы и тромбоэмболии, ДВС-синдром;

- Полиорганная недостаточность;

- Вторичные бактериальные инфекции.

Примеры формулировки патологоанатомических диагнозов (в сокращенном, не развернутом виде) и кодирования по МКБ-10 причин смерти при COVID-19

Пример 1.

Патологоанатомический диагноз (предварительный, окончательный)

Основное заболевание: Новая коронавирусная инфекция, подтвержденная ПЦР тестом (номер, дата). U07.1.

Осложнения: Внебольничная двусторонняя долевая пневмония J18.1. Острый респираторный дистресс-синдром J80.X

Реанимационные мероприятия и интенсивная терапия: Фибринозно-гнойный трахеобронхит после интубации трахеи, трахеостомии (дата) и ИВЛ в течение суток.

Сопутствующие заболевания: Хроническая ишемия головного мозга. Артериальная гипертензия.

Пример 2.

Патологоанатомический диагноз (предварительный, окончательный)

Основное заболевание: Новая коронавирусная инфекция, не подтвержденная ПЦР тестом U07.2.

Фоновое: Сахарный диабет 2 типа с ангиопатией.

Сопутствующие заболевания: Постинфарктный кардиосклероз.

Осложнения: Внебольничная двусторонняя бронхопневмония J18.0. Острый респираторный дистресс-синдром J80.X. ДВС-синдром. Очаги (метаболические) повреждения миокарда.

Пример 3

Патологоанатомический диагноз (предварительный, окончательный)

Основное заболевание: Острый трансмуральный инфаркт миокарда типа 1 I21. Стенозирующий атеросклероз коронарных артерий сердца ......

Фоновое заболевание: Гипертоническая болезнь I10.

Сочетанное заболевание: Новая коронавирусная инфекция, подтвержденная ПЦР тестом (номер, дата) U07.1.

Осложнения основного заболевания: Острое общее венозное полнокровие ... Отек головного мозга.

Реанимационные мероприятия и интенсивная терапия: ИВЛ _ сут. Левосторонняя нижнедолевая очагово-сливная бронхопневмония после интубации трахеи и ИВЛ.

Пример 4

Патологоанатомический диагноз (предварительный, окончательный)

Основное заболевание: Хроническая (постинфарктная) аневризма сердца ... I25.3. Стенозирующий атеросклероз коронарных артерий (...).

Фоновое заболевание: Гипертоническая болезнь (масса сердца, толщина миокарда левого желудочка более 1,5 см) I10, артериолосклеротический нефросклероз ...

Осложнения основного заболевания: Хроническое общее венозное полнокровие. Инфаркт миокарда типа 2 .... Отек легких.

Реанимационные мероприятия и интенсивная терапия: ...

Сопутствующие заболевания: Новая коронавирусная инфекция, подтвержденная ПЦР тестом (номер, дата).

Примеры оформления медицинских свидетельств о смерти по МКБ-10

Пример 1.

I а) Острый респираторный дистресс-синдром J80.X

б) Бронхопневмония J18.0

в) Новая коронавирусная инфекция, подтвержденная вирусологически U07.1

II Рак дна желудка без метастазов C16.1

Гипертоническая болезнь I10.X

Пример 2.

I а) Отек легкого J81.Х

б) Бронхопневмония J18.0

в) Рак дна желудка C16.1

II новая коронавирусная инфекция, подтвержденная вирусологически U07.1

Гипертоническая болезнь. I10.X

Пример 3.

I а) отек легкого J81.Х

б) бронхопневмония J18.0

в) Острый инфаркт миокарда I21

II Гипертоническая болезнь. I10.X

Новая коронавирусная инфекция, подтвержденная вирусологически U07.1

В целях сбора сведений информации о пациентах с новой коронавирусной инфекцией, а также лицах с пневмонией, в том числе находящихся на амбулаторном лечении разработана информационная система для (далее - информационный ресурс), которая размещена по адресу: https://covid.egisz.rosminzdrav.ru/.

В соответствии с постановлением Правительства Российской Федерации от 31.03.2020 N 373 "Об утверждении временных правил учета информации в целях предотвращения распространения новой коронавирусной инфекции (COVID-19)" необходимо обеспечить предоставление медицинскими организациями сведений о лицах с установленным диагнозом новой коронавирусной инфекции (COVID-19) и лицах с признаками пневмонии. Сведения направляются в соответствии с порядком, изложенным в инструкции по внесению сведений в информационный ресурс, размещенной по адресу http://portal.egisz.rosminzdrav.ru/materials/3557, в установленные сроки:

- В течение 2 ч с момента установления диагноза новой коронавирусной инфекции (COVID-19) или госпитализации пациента с признаками пневмонии;

- В течение 2 ч с момента получения результатов лабораторных исследований.

При внесении информации о пациенте необходимо указать:

а) Дату появления клинических симптомов;

б) Диагноз (указывается код по МКБ-10);

в) Дату постановки диагноза;

г) Наличие сопутствующих заболеваний:

- Хронических заболеваний бронхолегочной системы;

- Хронических заболеваний сердечно-сосудистой системы;

- Хронических заболеваний эндокринной системы;

- Онкологических заболеваний;

- ВИЧ-инфекции;

- туберкулеза;

- иных заболеваний.

д) Наличие беременности;

е) Сведения о вакцинации (грипп и пневмококковая инфекция (при наличии);

В ежедневном режиме необходимо обеспечить обновление медицинской информации о пациенте

а) Сведения о проводимом лечении:

В электронном документе нумерация подпунктов соответствует официальному источнику.

- Противовирусное лечение;

- Респираторная поддержка (ИВЛ, ЭКМО);

з) Уровень сатурации кислорода в крови;

и) Тяжесть течения заболевания.

В случае смерти пациента

а) В течение суток заполняется раздел "Заключительный клинический диагноз":

- Основной диагноз (основное заболевание);

- Осложнения основного заболевания (при наличии);

- Коморбидные и сопутствующие заболевания (при наличии).

б) В течение суток с момента проведения вскрытия заполняется раздел "предварительный патологоанатомический (судебно-медицинский) диагноз" по результатам первого этапа патологоанатомического или судебно-медицинского исследования:

- Основной диагноз (основное заболевание);

- Осложнения основного заболевания (при наличии);

- Коморбидные и сопутствующие заболевания (при наличии)

- Скан-копия первой части протокола патологоанатомического вскрытия или выписка из результатов наружного и внутреннего судебно-медицинского исследования, содержащая патологические изменения, которые легли в основу постановки судебно-медицинского диагноза.

в) "Медицинское свидетельство о смерти": (пункт 19)

Часть I

Строка "а") - Болезнь или состояние, непосредственно приведшее к смерти;

Строка "б") Патологическое состояние, которое привело к возникновению вышеуказанной причины (при наличии);

Строка "в" или "б", если последняя не была заполнена - Первоначальная причина смерти;

Строка "г") Внешняя причина при травмах и отравлениях (при наличии);

Часть II.

Прочие важные состояния, способствовавшие смерти, но не связанные с болезнью или патологическим состоянием (при наличии);

г) После завершения патологоанатомического или судебно-медицинского исследования заполняется раздел "заключительный патологоанатомический (судебно-медицинский) диагноз"

- Скан-копия медицинского свидетельства о смерти.

- Основной диагноз (основное заболевание);

- Осложнения основного заболевания (при наличии);

- Коморбидные и сопутствующие заболевания (при наличии);

- Скан-копия второй части протокола патологоанатомического исследования или выписка из результатов дополнительных лабораторных исследований в случае проведения судебно-медицинского исследования;

д) При внесении изменений в первое (предварительное или окончательное) "Медицинское свидетельство о смерти" (при необходимости в случае оформления повторного свидетельства взамен предварительного или окончательного), приложить скан-копию повторного медицинского свидетельства о смерти.

Для получения доступа к информационному ресурсу необходимо направить заявку на предоставление доступа по форме, приведенной в инструкции на адрес электронной почты egisz@rt-eu.ru.

Использованные источники

1. Abramowicz J.S., Basseal J. Заявление о позиции WFUMB: как безопасно проводить ультразвуковое исследование и обеззараживать ультразвуковое оборудование в условиях COVID-19//Ультразвуковая и функциональная диагностика. 2020. N 1. С. 12 - 23. Doi: 10.24835/1607-0771-2020-1-12-23. Опубликовано до печати. Режим доступа: //http://www.rasudm.org/files/WFUMB-Position-Statement-COVID.pdf, свободный. Загл. с экрана. 16.04.2020.

2. Ai T. et al. Correlation of Chest CT and RT-PCR Testing in Coronavirus Disease 2019 (COVID-19) in China: A Report of 1014 Cases [published online ahead of print, 2020 Feb 26]//Radiology. 2020. 200642. Doi: 10.1148/radiol.2020200642.

3. Al-Tawfiq J. A., Memish Z. A. Update on therapeutic options for Middle East Respiratory Syndrome Coronavirus (MERS-CoV)//Expert review of anti-infective therapy. 2017. 15. N 3. С. 269 - 275.

4. Alserehi H. et al. Impact of Middle East respiratory syndrome coronavirus (MERS-CoV) on pregnancy and perinatal outcome//BMC Infect Dis. 2016. N 16, p. 105

5. Assiri A. et al. Middle East respiratory syndrome coronavirus infection during pregnancy: a report of 5 cases from Saudi Arabia//Clin Infect Dis. 2016. N 63. pp. 951 - 953

6. Baig A.M. et al..Evidence of the COVID-19 Virus Targeting the CNS: Tissue Distribution, Host-Virus Interaction, and Proposed Neurotropic Mechanisms. ACS Chem. Neurosci. 2020. Doi: 10.1021/acschemneuro.0c00122.

7. Bassetti M. The Novel Chinese Coronavirus (2019-nCoV) Infections: challenges for fighting the storm https://doi. org/10.1111/eci.13209 URL: https://onlinelibrary.wiley.com/doi/abs/10.1111/eci.13209

8. Behzadi M.A., Leyva-Grado V. H. Overview of Current Therapeutics and Novel Candidates Against Influenza, Respiratory Syncytial Virus, and Middle East Respiratory Syndrome Coronavirus Infections//Frontiers in microbiology. 2019. N 10. p. 1327.

9. Beloncle F, Mercat A Approaches and Techniques to Avoid Development or Progression of Acute Respiratory Distress Syndrome Review Curr Opin Crit Care 2018 Feb; 24(1): 10 - 15. doi: 10.1097/MCC.0000000000000477.

10. Benefits, Open questions and Challenges of the use of Ultrasound in the COVID-19 pandemic era. The views of a panel of worldwide international experts [published online ahead of print, 2020 Apr 15]//Ultraschall Med. 2020; 10.1055/a-1149-9872. Doi: 10.1055/a-1149-9872.

11. Bernheim A. et al. Chest CT Findings in Coronavirus Disease-19 (COVID-19): Relationship to Duration of Infection. Radiology. 2020:200463. Doi: 10.1148/radiol.2020200463.

12. Canada.ca. 2019 novel coronavirus: Symptoms and treatment The official website of the Government of Canada URL: https://www.canada.ca/en/public-health/services/diseases/2019-novel-coronavirusinfection/symptoms.html

13. Carmeli Y. et al. Health and economic outcomes of antibiotic resistance in Pseudomonas aeruginosa. Arch Intern Med. 1999 May 24; 159(10): 1127 - 32.

14. CDC. 2019 Novel Coronavirus URL: https://www.cdc.gov/coronavirus/2019-ncov/index.html

15. Chaolin H. et al. Clinical features of patients infected with 2019 novel coronavirus in Wuhan, China? Lancet 2020; 395: 497 - 506 Published Online January 24, 2020 https://doi.org/10.1016/S0140 - 6736(20) 30183-5

16. Chaomin Wu et al. Risk Factors Associated With Acute Respiratory Distress Syndrome and Death in Patients With Coronavirus Disease 2019 Pneumonia in Wuhan, China. JAMA Intern Med. Published online March 13, 2020. Doi: 10.1001/jamainternmed.2020.099

17. Chen N. et al. Epidemiological and clinical characteristics of 99 cases of 2019 novel coronavirus pneumonia in Wuhan, China: a descriptive study//Lancet. 2020. doi: 10.1016/S0140-6736(20) 30211-7

18. China CDC. Diagnosis and treatment protocolfor COVID-19 patients (trial version 7, revised)

19. Chong Y.P. et al. Antiviral Treatment Guidelines for Middle East Respiratory Syndrome//Infection & chemotherapy. 2015. 47. N 3. pp. 212 - 222.

20. Chung M. et al. CT Imaging Features of 2019 Novel Coronavirus (2019-nCoV)//Radiology. 2020. V. 295. No. 1. P. 202 - 207. Doi: 10.1148/radiol.2020200230.

21. Cinatl J. et al. Treatment of SARS with human interferons//Lancet. 2003. 362. N 9380. pp. 293 - 294.

22. Clinical management of severe acute respiratory infection when Middle East respiratory syndrome coronavirus (MERS-CoV) infection is suspected: Interim Guidance. Updated 2 July 2015. WHO/MERS/Clinical/15.1

23. Colson, P., Rolain, J. M., Lagier, J. C., Brouqui, P., & Raoult, D. Chloroquine and hydroxychloroquine as available weapons to fight COVID-19 International Journal of Antimicrobial Agents 2020.

24. Commonwealth of Australia | Department of Health. Novel coronavirus (2019-nCoV) URL: https://www.health. gov.au/health-topics/novel-coronavirus-2019-ncov

25. Corman V. M. et al. Detection of 2019 novel coronavirus (2019-nCoV) by real-time RT-PCR//Eurosurveillance. - 2020. - Т. 25. - N. 3. - 25(3). doi: 10.2807/1560-7917.ES

26. Coronavirus. URL: https://multimedia.scmp.com/widgets/china/wuhanvirus/?fbclid=IwAR2hDHzpZEh5Nj360i2O%201ES78rXRFymAaFaUK6ZG4m0UTCV1xozulxX1jio COVID Care Protocol. Last Updated 05-11-2020 3: 15 p. m. https://www.evms.edu/covid-19/covid_care_for_clinicians/#covidcare

27. Cortegiani, A., Ingoglia, G., Ippolito, M., Giarratano, A., & Einav, S. (2020). A systematic review on the efficacy and safety of chloroquine for the treatment of COVID-19. Journal of Critical Care.

28. Critical Care COVID-19 Management Protocol (updated 4-15-2020), file:///C:/Users/ASUS/AppData/Local/Packages/Microsoft.MicrosoftEdge_8wekyb3d8bbwe/TempState/Downloads/Marik-Covid-Protocol-Summary%20(2).pdf.

29. Dayer M.R. et al. Lopinavir; A Potent Drug against Coronavirus Infection: Insight from Molecular Docking Study//Arch Clin Infect Dis. 2017; 12(4): e13823. doi: 10.5812/archcid.13823

30. Devaux CA, Rolain JM, Colson P, Raoult D. New insights on the antiviral effects of chloroquine against coronavirus: what to expect for COVID-19? Int J Antimicrob Agents. 2020 Mar 12:105938. doi: 10.1016/j.ijantimicag.2020.105938.

31. Dyall J. et al. Middle East Respiratory Syndrome and Severe Acute Respiratory Syndrome: Current Therapeutic Options and Potential Targets for Novel Therapies//Drugs. 2017. 77. N 18. С. 1935 - 1966.

32. European Commission. Novel coronavirus 2019-nCoV URL: https://ec.europa.eu/health/coronavirus_en

33. Fan HH. et al. Repurposing of clinically approved drugs for treatment of coronavirus disease 2019 in a 2019-novel coronavirus (2019-nCoV) related coronavirus model. Chin Med J (Engl). 2020 Mar 6. doi: 10.1097/CM9.0000000000000797

34. Fang Y. et al. Sensitivity of Chest CT for COVID-19: Comparison to RT-PCR [published online ahead of print, 2020 Feb 19]//Radiology. 2020. 200432. Doi: 10.1148/radiol.2020200432.

35. FDA. Novel coronavirus (2019-nCoV) URL: https://www.fda.gov/emergency-preparedness-andresponse/mcm-issues/novel-coronavirus-2019-ncov

36. Federal Ministry of Health. Current information on the coronavirus URL: https://www.bundesgesundheitsministerium.de/en/en/press/2020/coronavirus.html

37. Franquet T. Imaging of pulmonary viral pneumonia//Radiology. 2011. V. 260. No. 1. P. 18 - 39. Doi: 10.1148/radiol.11092149.

38. Gao, J., Tian, Z., & Yang, X. Breakthrough: Chloroquine phosphate has shown apparent efficacy in treatment of COVID-19 associated pneumonia in clinical studies. BioScience Trends 2020.

39. Gautret F., Lagier J-C., Parola P. et al. Hydroxychloroquine and azithromycin as a treatment of COVID19: results of an openlabel non-randomized clinical trial. International Journal of Antimicrobial Agents. In Press 17 March 2020 - DOI: 10.1016/j.ijantimicag.2020.105949

40. Gorbalenya A.E.et al. Severe acute respiratory syndrome-related coronavirus: The species and its viruses - a statement of the Coronavirus Study Group, 2020. doi: https://doi.org/10.1101/2020.02.07.937862

41. Halyabar O. et al. Calm in the midst of cytokine storm: a collaborative approach to the diagnosis and treatment of hemophagocytic lymphohistiocytosis and macrophage activation syndrome, Pediatric Rheumatology, https://pedrheum.biomedcentral.com/articles/10.1186/s12969-019-0309-6

42. Hart B.J. et al. Interferon- and mycophenolic acid are potent inhibitors of Middle East respiratory syndrome coronavirus in cell-based assays//The Journal of general virology. 2014. 95. Pt 3. С. 571 - 577.

43. Henderson L.A. et al. On the Alert for Cytokine Storm: Immunopathology in COVID-19 Arthritis & Rheumatology Vol. 0, No. 0, Month 2020, pp 1 - 5 DOI 10.1002/art.41285

44. https://grls.rosminzdrav.ru/Grls_View_v2.aspx?routingGuid=4a3c02bc-a256-48f2-90a8-14b48b7d197c&t=

45. https://www.vmeda.org/wp-content/uploads/2020/03/koronavirus-metod-rekomendaczii.pdf

46. Huang C. et al. Cinical features of patients infected with 2019 novel coronavirus in Wuhan, China//Lancet. 2020 doi: 10.1016/S0140-6736(20) 30183-5. [Epub ahead of print]

47. Infectious Diseases Society of America Guidelines on the Treatment and Management of Patients with COVID-19. Published by IDSA, https://www.idsociety.org/practice-guideline/covid-19-guideline-treatment-and-management/, [COVID-19 Guideline, Part 1: Treatment and Management]

48. Inui S. et al. Chest CT Findings in Cases from the Cruise Ship "Diamond Princess" with Coronavirus Disease 2019 (COVID-19). Radiology: Cardiothoracic Imaging. 2020; 2: e200110. doi: 10.1148/ryct.2020200110.

49. Jeong S.Y. et al. MERS-CoV Infection in a Pregnant Woman in Korea. J Korean Med Sci. 2017 Oct; 32(10): 17171720. doi: 10.3346/jkms.2017.32.10.1717.

50. Jesu V. et al. Rationale for Prolonged Corticosteroid Treatment in the Acute Respiratory Distress Syndrome Caused by Coronavirus Disease 2019. ritical Care Explorations: April 2020 - Volume 2 - Issue 4 - p e0111 doi: 10.1097/CCE.0000000000000111

51. Ji W. et al. Homologous recombination within the spike glycoprotein of the newly identified coronavirus may boost cross-species transmission from snake to human//Journal of Medical Virology. - 2020.

52. Junqiang L. et al. CT Imaging of the 2019 Novel Coronavirus (2019-nCoV) Pneumonia https://doi.org/10.1148/ radiol.2020200236 URL: https://pubs.rsna.org/doi/10.1148/radiol.2020200236

53. Kligerman S.J., Franks T. J., Galvin J. R. From the radiologic pathology archives: organization and fibrosis as a response to lung injury in diffuse alveolar damage, organizing pneumonia, and acute fibrinous and organizing pneumonia//Radiographics. 2013. V. 33. No. 7. P. 1951 - 1975. Doi: 10.1148/rg.337130057.

54. Kumar B. et al. A Personalized Diagnostic and Treatment Approach for Macrophage Activation Syndrome and Secondary Hemophagocytic Lymphohistiocytosis in Adults. Journal of Clinical Immunology, volume 37, pages 638 - 643 (2017), https://link.springer.com/article/10.1007/s10875-017-0439-x

55. Le Chang et al. Coronavirus Disease 2019: Coronaviruses and Blood Safety. Transfusion Medicine Reviews 2020. Doi: 10.1016/j.tmrv.2020.02.003.

56. Lee Kyung Soo. Pneumonia Associated with 2019 Novel Coronavirus: Can Computed Tomographic Findings Help Predict the Prognosis of the Disease? Korean Journal of Radiology(2020), 21 (3): 257

57. Li Q et al. Early Transmission Dynamics in Wuhan, China, of Novel Coronavirus-Infected Pneumonia N Engl J Med. 2020 Jan 29. doi: 10.1056/NEJMoa2001316

58. Li X et al. Potential of large 'first generation' human-to-human transmission of 2019-nCoV. J Med Virol. 2020 Jan 30. doi: 10.1002/jmv.25693. [Epub ahead of print]

59. Lu H. Drug treatment options for the 2019-new coronavirus (2019-nCoV). Biosci Trends. 2020 Jan 28. doi: 10.5582/bst.2020.01020. [Epub ahead of print]

60. Lu W., Zhang S., Chen B. et al. A Clinical Study of Noninvasive Assessment of Lung Lesions in Patients with Coronavirus Disease-19 (COVID-19) by Bedside Ultrasound [published online ahead of print, 2020 Apr 15]//Ultraschall Med. 2020; 10.1055/a-1154-8795. Doi: 10.1055/a-1154-8795.

61. Ludvigsson JF. Systematic review of COVID-19 in children show milder cases and a better prognosis than adults https://doi.org/10.1111/apa.15270

62. Lupia T., Scabini S., Pinna S. M., Di Perri G., De Rosa F. G., Corcione S. 2019 novel coronavirus (2019-nCoV) outbreak: A new challenge, Journal of Global Antimicrobial Resistance 21 (2020) 22 - 27

63. Mandell L.A. et al. Infectious Diseases Society of America/American Thoracic Society consensus guidelines on the management of community-acquired pneumonia in adults//Clinical infectious diseases. - 2007. - Т. 44. - N. Supplement_2. - pp. S27 - S72.

64. Mao L. et al. Neurological Manifestations of Hospitalized Patients with COVID-19 in Wuhan, China: A retrospective case series study; 2020. doi: https://doi.org/10.1101/2020.02.22.20026500

65. Maude S.L. et al. Managing Cytokine Release Syndrome Associated With Novel T Cell-Engaging Therapies Cancer J. 2014 Mar-Apr; 20(2): 119 - 122. doi: 10.1097/PPO.0000000000000035

66. Mehta P, et al. COVID-19: consider cytokine storm syndromes and immunosuppression. Lancet. 2020 Mar 28; 395(10229): 1033 - 1034. doi: 10.1016/S0140-6736(20) 30628-0. Epub 2020 Mar 16.

67. Ministere des Solidarites et de la SanteCoronavirus: questions-reponses URL: https://solidaritessante.gouv.fr/soins-et-maladies/maladies/maladies-infectieuses/coronavirus/coronavirus-questionsreponses

68. Mo Y., Fisher D. A. review of treatment modalities for Middle East Respiratory Syndrome//The Journal of antimicrobial chemotherapy. 2016. 71. N 12. pp. 3340 - 3350.

69. Momattin H. et al. Therapeutic options for Middle East respiratory syndrome coronavirus (MERS-CoV)-possible lessons from a systematic review of SARS-CoV therapy. Int J Infect Dis. 2013 Oct; 17(10): e7928

70. National Health Commission of the People's Republic of China. URL: http://en.nhc.gov.cn

71. Netland J. Severe Acute Respiratory Syndrome Coronavirus Infection Causes Neuronal Death in the Absence of Encephalitis in Mice Transgenic for Human ACE2. J Virol. 2008; 82: 7264 - 75. doi:10.1128/JVI.00737-08.

72. NHS. Coronavirus (2019-nCoV) URL: https://www.nhs.uk/conditions/wuhan-novel-coronavirus/

73. Omrani A.S. et al. Ribavirin and interferon alfa-2a for severe Middle East respiratory syndrome coronavirus infection: a retrospective cohort study //The Lancet Infectious Diseases. 2014. Т. 14. N. 11. pp. 1090 - 1095.

74. Outbreak of acute respiratory syndrome associated with a novel coronavirus, China: first local transmission in the EU/EEA - third update URL: https://www.ecdc.europa.eu/sites/default/files/documents/novel-coronavirus-risk-assessment-china-31january-2020_0.pdf

75. Pan F. et al. Time Course of Lung Changes On Chest CT During Recovery From 2019 Novel Coronavirus (COVID-19) Pneumonia [published online ahead of print, 2020 Feb 13]//Radiology. 2020. 200370. Doi: 10.1148/radiol.2020200370.

76. Park M.H. et al. Emergency cesarean section in an epidemic of the Middle East respiratory syndrome: a case report Korean J Anesthesiol, 69 (2016), pp. 287 - 291, doi: 10.4097/kjae.2016.69.3.287

77. Paul La Rosee et al. Recommendations for the management of hemophagocytic lymphohistiocytosis in adults. Blood (2019) 133 (23): 2465 - 2477. https://doi.org/10.1182/blood.2018894618

78. Phan L. T. et al. Importation and Human-to-Human Transmission of a Novel Coronavirus in Vietnam//New England Journal of Medicine. - 2020.

79. Phylogeny of SARS-like betacoronaviruses including novel coronavirus (nCoV). URL: https://nextstrain.org/groups/blab/sars-like-cov

80. Pogue J., Kaye K., Veve M., et al. "Real World" treatment of multi-drug resistant (MDR) or extensively-drug resistant (XDR) P. aeruginosa infections with ceftolozane/tazobactam (C/T) versus a polymyxin or aminoglycoside (Poly/AG) based regimen: a multicenter comparative effectiveness study. Proceedings of the IDweek 2018, October 3 - 7, San Francisco, USA. Poster/Abstract 2406.

81. Public Health England. Investigation and initial clinical management of possible cases of novel coronavirus (2019nCoV) infection URL: https://www.gov.uk/government/publications/wuhan-novelcoronavirus-initial-investigation-of-possible-cases/investigation-and-initial-clinical-management-ofpossible-cases-of-wuhan-novel-coronavirus-wn-cov-infection

82. Revel M.-P., Parkar A. P., Prosch H. et al. COVID-19 patients and the Radiology department - advice from the European Society of Radiology (ESR) and the European Society of Thoracic Imaging (ESTI)//Eur. Radio. Accepted on April 2, 2020.

83. Richardson P, Griffin I, Tucker C, Smith D, Oechsle O, Phelan A, Stebbing J. Baricitinib as potential treatment for 2019-nCoV acute respiratory disease. Lancet. 2020 Feb 15; 395 (10223): e30 - e31. doi:10.1016/S0140-6736(20) 30304-4.

84. Rodriguez-Morales A. et al. Clinical, laboratory and imaging features of COVID-19: A systematic review and meta-analysis. Travel Medicine and Infectious Disease, Volume 34, March - April 2020, 101623 https://doi.org/10.1016/j.tmaid.2020.101623

85. Royal Pharmaceutical Society of Great Britain Trading as Royal Pharmaceutical Society. Wuhan novel coronavirus URL: https://www.rpharms.com/resources/pharmacy-guides/wuhan-novel-coronavirus

86. Rubin G.D., Ryerson C. J., Haramati L. B. et al. The Role of Chest Imaging in Patient Management during the COVID-19 Pandemic: A Multinational Consensus Statement from the Fleischner Society [published online ahead of print, 2020 Apr 7]//Radiology. 2020;201365. Doi:10.1148/radiol.2020201365.

87. Seif F, Aazami H, Khoshmirsafa M, Kamali M, Mohsenzadegan M, Pornour M, Mansouri D. JAK Inhibition as a New Treatment Strategy for Patients with COVID-19. Int Arch Allergy Immunol. 2020 May 11: 1 - 9. doi: 10.1159/000508247.

88. Shannon L. Maude et al. Chimeric Antigen Receptor T Cells for Sustained Remissions in Leukemia. N Engl J Med 2014; 371: 1507 - 17. DOI: 10.1056/NEJMoa1407222

89. Simone S. et al. Acute myocarditis presenting as a reverse Tako-Tsubo syndrome in a patient with SARS-CoV-2 respiratory infection. European Heart Journal, Volume 41, Issue 19, 14 May 2020, Pages 1861 - 1862, https://doi. org/10.1093/eurheartj/ehaa286

90. Soldati G., Smargiassi A., Inchingolo R. et al. Proposal for International Standardization of the Use of Lung Ultrasound for Patients With COVID-19: A Simple, Quantitative, Reproducible Method [published online ahead of print, 2020 Mar 30]//J. Ultrasound Med. 2020; 10.1002/jum.15285. Doi: 10.1002/jum.15285.

91. Spinelli FR, Conti F, Gadina M. HiJAKing SARS-CoV-2? The potential role of JAK inhibitors in the management of COVID-19. Sci Immunol. 2020 May 8; 5(47). piieabc5367. doi: 10.1126/sciimmunol.abc5367.

92. Tang N, Bai H, Chen X, Gong J, Li D, Sun Z. Anticoagulant treatment is associated with decreased mortality in severe coronavirus disease 2019 patients with coagulopathy. J Thromb Haemost. 2020 Mar 27. doi: 10.1111/jth.14817.

93. The Centers for Disease Control and Prevention (CDC). Interim guidance for healthcare professionals on human infections with 2019 novel coronavirus (2019-nCoV). URL: https://www.cdc.gov/coronavirus/2019-nCoV/hcp/index.html

94. The State Council The People's Republic Of China URL: http://english.www.gov.cn/

95. Touret, F., de Lamballerie, X. Of chloroquine and COVID-19. Antiviral Research, 104762.

96. Upchurch C.P. et al. Community-acquired pneumonia visualized on CT scans but not chest radiographs: pathogens, severity, and clinical outcomes//Chest. - 2018. - Т. 153. - N. 3. - pp. 601 - 610.

97. Villar J,, et al.; Dexamethasone treatment for the acute respiratory distress syndrome: a multicentre, randomised controlled trial. Lancet Respir Med. 2020 Feb 7.

98. Wang L C-reactive Protein Levels in the Early Stage of COVID-19 Med Mal Infect. 2020 Mar 31; S0399-077X(20) 30086-X. doi: 10.1016/j.medmal.2020.03.007. Online ahead of print

99. Wang Z. et al. Clinical characteristics and therapeutic procedure for four cases with 2019 novel coronavirus pneumonia receiving combined Chinese and Western medicine treatment. Biosci Trends 2020. doi:10.5582/bst.2020.01030.

100. World Health Organization. Clinical management of severe acute respiratory infection when Novel coronavirus (2019-nCoV) infection is suspected: Interim Guidance. 28 January 2020.

101. World Health Organization. Infection prevention and control guidance for long-term care facilities in the context of COVID-19: interim guidance, 21 March 2020. World Health Organization; 2020.

102. World Health Organization. Managing Ethical Issues in Infectious Disease Outbreaks. Publication date: 2016. URL: https://www.who.int/ethics/publications/infectious-disease-outbreaks/en/

103. World Health Organization. WHO Blood Regulators Network (BRN) Position Paper on Use of Convalescent Plas-ma, Serum or Immune Globulin Concentrates as an Element in Response to an Emerging Virus* September 2017 https://www.who.int/bloodproducts/brn/2017_BRN_PositionPaper_ConvalescentPlasma.pdf

104. Wu P. et al. Real-time tentative assessment of the epidemiological characteristics of novel coronavirus infections in Wuhan, China, as at 22 January 2020//Eurosurveillance. 2020. Т. 25. N.3. doi: 10.2807/1560-7917. ES.2020.25.3.2000044

105. Xiao A., et al J Clin Pharm. 2016; 56(1): 56 - 66; Luzelena Caro, David P. Nicolau, Jan J. De Waele et al. Lung penetration, bronchopulmonary pharmacokinetic/pharmacodynamic profile and safety of 3 g of ceftolozane/tazobactam administered to ventilated, critically ill patients with pneumonia. Journal of Antimicrobial Chemotherapy, dkaa049, https://doi.org/10.1093/jac/dkaa049 Published: 24 March 2020

106. Xu L, Liu J, Lu M, Yang D, Zheng X. Liver injury during highly pathogenic human coronavirus infections. Liver Int. 2020 May; 40(5): 998 - 1004. doi: 10.1111/liv.14435. Epub 2020 Mar 30. Review. PubMed PMID: 32170806

107. Yuan M. et al. Association of radiologic findings with mortality of patients infected with 2019 novel coronavirus in Wuhan, China. PLoS ONE. 2020; 15: e0230548. doi:10.1371/journal.pone.0230548.

108. Zhang J. et al. Therapeutic and triage strategies for 2019 novel coronavirus disease in fever clinics. Lancet Respir Med 2020. doi:10.1016/S2213-2600(20) 30071-0.

109. Zhang L, Liu Y. Potential Interventions for Novel Coronavirus in China: J Med Virol 2020. doi:10.1002/jmv.25707.

110. Zhang W, Zhao Y, Zhang F, Wang Q, Li T, Liu Z, Wang J, Qin Y, Zhang X, Yan X, Zeng X, Zhang S. The use of anti-inflammatory drugs in the treatment of people with severe coronavirus disease 2019 (COVID-19): The experience of clinical immunologists from China.

111. Zhang W. et al. The use of anti-inflammatory drugs in the treatment of people with severe coronavirus disease 2019 (COVID-19): The Perspectives of clinical immunologists from China. Clin Immunol. 2020 Mar 25; 214: 108393.doi: 10.1016/j.clim.2020.108393. [Epub ahead of print]

112. Zumla A. et al. Coronaviruses - drug discovery and therapeutic options//Nature reviews. Drug discovery. 2016. 15. N 5. С. 327 - 347.

113. Всемирная организация здравоохранения. Временное руководство по рациональному использованию средств индивидуальной защиты от коронавирусной болезни (COVID-19): 19 марта 2020 г. URL: https://apps.who.int/iris/handle/10665/331498.

114. Всемирная организация здравоохранения. Клиническое руководство по ведению пациентов с тяжелой острой респираторной инфекцией при подозрении на инфицирование новым коронавирусом (2019-nCoV). Временные рекомендации. Дата публикации: 25 января 2020 г. URL: http://www.euro.who.int/__data/assets/pdf_file/0020/426206/RUS-Clinical-Management-ofNovel_CoV_Final_without-watermark.pdf?ua=1.

115. Всемирная организация здравоохранения. Клиническое руководство по ведению пациентов с тяжелыми острыми респираторными инфекциями при подозрении на инфицирование БВРС-КоВ. Временные рекомендации. Дата публикации: Июль 2015 г. URL: https://www.who.int/csr/disease/coronavirus_infections/case-management-ipc/ru/

116. Кузьменков А.Ю., Трушин И.В., Авраменко А.А., Эйдельштейн М.В., Дехнич А.В., Козлов Р.С. AMRmap: Интернет-платформа мониторинга антибиотикорезистентности. Клиническая микробиология и антимикробная химиотерапия. 2017; 19(2): 84 - 90.

117. Левшин Н.Ю., Баранов А.А., Аршинов А.В. Низкомолекулярный гепарин второго поколения: эффективность, безопасность, мотивация приоритетного применения в клинической практике. Трудный пациент. 2014. - N 6. С. 7 - 14

118. Лучевая диагностика коронавирусной болезни (COVID-19): организация, методология, интерпретация результатов: препринт N ЦДТ - 2020 - I. Версия 2 от 17.04.2020/сост. С. П. Морозов, Д. Н. Проценко, С. В. Сметанина [и др.]//Серия "Лучшие практики лучевой и инструментальной диагностики". - Вып. 65. - М.: ГБУЗ "НПКЦ ДиТ ДЗМ", 2020. - 78 с.

119. Материалы анализа телеконсультаций НМИЦ ФПИ Минздрава России.

120. Митьков В.В., и соавт. Консенсусное заявление РАСУДМ об ультразвуковом исследовании легких в условиях COVID-19 (версия 1)//Ультразвуковая и функциональная диагностика. 2020. N 1. С. 24 - 45. Doi: 10.24835/1607-0771-2020-1-24-45. Опубликовано до печати. Режим доступа://http://www.rasudm.org/files/RASUDM-Consensus-Statement-COVID.pdf, свободный. Загл. с экрана. 16.04.2020.

121. Портал непрерывного медицинского и фармацевтического образования Минздрава России URL: https://nmfovo.edu.rosminzdrav.ru/#/user-account/view-iom/e8b1f2ca-6be5-9125-4a1e

122. Распоряжение Правительства РФ от 12 октября 2019 г. N 2406-р "Об утверждении перечня жизненно необходимых и важнейших лекарственных препаратов для медицинского применения на 2020 год..."

123. Федеральная служба по надзору в сфере защиты прав потребителей и благополучия человека. Методические рекомендации МР 3.1.0140-18 "Неспецифическая профилактика гриппа и других острых респираторных инфекций".

124. Христенко Е.А. и соавт. КТ-паттерны при COVID-19 ассоциированных пневмониях - стандартизация описаний исследований на основе глоссария общества Флейшнера//REJR. 2020. Т. 10. N 1. С. 16 - 26.

125. Синицын В.Е., Тюрин И.Е., Митьков В.В. Временные согласительные методические рекомендации Российского общества рентгенологов и радиологов (РОРР) и Российской ассоциации специалистов ультразвуковой диагностики в медицине (РАСУДМ) "Методы лучевой диагностики пневмонии при новой коронавирусной инфекции COVID-19" (версия 2). Вестник рентгенологии и радиологии. 2020; 101 (2): 72 - 89. https://doi.org/10.20862/0042-4676-2020-101-2-

126. Приказ Министерства здравоохранения Российской Федерации от 29 декабря 2012 г. N 1705н "О Порядке организации медицинской реабилитации".

127. Julie K. Silver: Prehabilitation could save lives in a pandemic March 19, 2020

128. Robert Simpson et al. Rehabilitation Following Critical Illness in People With COVID-19 Infection Am J Phys Med Rehabil2020 Apr 10. doi: 10.1097/PHM.0000000000001443.Online ahead of print

129. Thomas P et al. Physiotherapy management for COVID-19 in the acute hospital setting: clinical practice recom-mendations, Journal of Physiotherapy (2020), doi: https://doi.org/10.1016/j.jphys.2020.03.011.

130. Kress, J.P. and J. B. Hall, ICU-acquired weakness and recovery from critical illness. N Engl J Med, 2014. 370(17): p. 1626 - 35.

131. Белкин А.А. и соавт. Реабилитация в интенсивной терапии. Клинические рекомендации, 2017, 56 с.

132. David C et al. Postacute Care Preparedness for COVID-19 Thinking Ahead Author Affiliations Article Information JAMA. Published online March 25, 2020. doi:10.1001/jama.2020.4686

133. Michele Vitacca et al. Joint statement on the role of respiratory rehabilitation in the COVID-19 crisis: the Italian position paper Version - March 08, 2020. Graphics and publishing AIPO Ricerche Ed. - Milano edizioni@aiporicerche.it

134. Вертикализация пациентов в процессе реабилитации. Клинические рекомендации. Москва, 2014, 63 с.

135. Medrinal C et al. Comparison of exercise intensity during four early rehabilitation techniques in sedated and ven-tilated patients in ICU: A randomised cross-over trial. Crit Care. 2018; 22 (1): 110.

136. Karatzanos E et al. Electrical muscle stimulation: An effective form of exercise and early mobilization to preserve muscle strength in critically ill patients. Crit Care Res Pract. 2012; 2012: 432752.

137. Fossat G et al. Effect of in-bed leg cycling and electrical stimulation of the quadriceps on global muscle strength in critically ill adults: A Randomized Clinical Trial. JAMA. 2018; 320 (4): 368 - 378.

138. Henk J Stam et al. Covid-19 and Post Intensive Care Syndrome: A Call for Action. J Rehabil Med 2020 Apr 15; 52(4): jrm00044 doi: 10.2340/16501977-2677.

139. Анестезиолого-реанимационное обеспечение пациентов с новой коронавирусной инфекцией COVID-19, пересмотр 30.04.2020

140. Bein T et al. S2e guideline: positioning and early mobilisation in prophylaxis or therapy of pulmonary disorders Revision. Anaesthesist. 2015; 64 (September): 1 - 26. doi:10.1007/s00101-015-0071-1.

141. Taito S et al. Early mobilization of mechanically ventilated patients in the intensive care unit. J Intensive Care. 2016; 4(1): 50. doi:10.1186/s40560-016-0179-7.

142. Eggmann S et al. Physiological effects and safety of an early, combined endurance and resistance training in me-chanically ventilated, critically ill patients. Physiotherapy. 2015; 101: e344 - e345. doi:10.1016/j.physio.2015.03.553

143. Оленская Т.Л. и соавт. Реабилитация в пульмонологии. Учебно-методическое пособие. - Витебск, 2016. - с. 90 - 104.

144. Yang Feng et al. Pulmonary rehabilitation guidelines in the principle of 4S for patients infected with 2019 novel coronavirus (2019-nCoV). Cite as Chin J TubercRespir Dis. 2020: 43 (03): 180 - 182. DOI: 10.3760/cma.j.issn.1001-0939.2020.03.007.

145. Robert Simpson et al. Rehabilitation Following Critical Illness in People With COVID-19 Infection Am J Phys Med Rehabil2020 Apr 10. doi: 10.1097/PHM.0000000000001443.Online ahead of print

146. Spruit MA et al. An official american thoracic society/european respiratory society statement: key concepts and advances in pulmonary rehabilitation. Am J RespirCrit Care Med. 2013; 188(8): e13 - 64.

147. Насонов Е.Л. и др.; по поручению президиума Общероссийской общественной организации "Ассоциация ревматологов России". Проект рекомендаций Общероссийской общественной организации "Ассоциация ревматологов России". Коронавирусная болезнь 2019 (COVID-19) и иммуновоспалительные (аутоиммунные) ревматические заболевания. Доступно по ссылке: https://rheumatolog.ru

148. Schulze-Koops H, et al. Preliminary recommendations of the German Society of Rheumatology (DGRh eV) for the management of patients with inflammatory rheumatic diseases during the SARS-CoV-2/Covid-19 pandemic. Ann Rheum Dis. 2020 Apr 28. pii: annrheumdis-2020-217628. doi: 10.1136/annrheumdis-2020-217628

149. Ceribelli A, et al. Recommendations for coronavirus infection in rheumatic diseases treated with biologic therapy. J Autoimmun. 2020 May; 109:102442. doi: 10.1016/j.jaut.2020.102442

150. Mikuls TR, et al. American College of Rheumatology guidance for the management of adult patients with rheu-matic disease during the COVID-19 pandemic. Arthritis Rheumatol doi: https://onlinelibrary.wiley.com/doi/abs/10.1002/art.41301.

151. COVID-19 rapid guideline: rheumatological autoimmune, inflammatory and metabolic bone diseases. NICE guideline, published 3 april 2020. www.nice.org./uk/guidancr/ng167

152. Kimberly Showalter, Sebastian E. Sattui, Stephen Paget. Advice on Treating Rheumatic Diseases From a COVID-19 Epicenter - Medscape - May 11, 2020.

153. COVID-19: guidance for rheumatologists. British Society of Rheumatology. htpps//www.rheumatology.org.uk

154. Кузьков В.В., Киров М.Ю. Инвазивный мониторинг гемодинамики в интенсивной терапии и анестезиологии. Архангельск, 2015. - 392 с.

155. MR Mehra, SS Desai, F Ruschitzka et al. Hydroxychloroquine or chloroquine with or without a macrolide for treatment of COVID-19: a multinational registry analysis, Lancet, 2020

156. Favipiravir versus Arbidol for COVID-19: A Randomized Clinical Trial. https://doi.org/10.1101/2020.03.17.20037432

157. Furuta Y, Komeno T, Nakamura T: Favipiravir (T-705), a broad spectrum inhibitor of viral RNA polymerase. Proc Jpn Acad Ser B Phys Biol Sci. 2017; 93(7):449 - 463. doi: 10.2183/pjab.93.027.

158. Q. Cai, M. Yang, D. Liu, J. et al. Experimental Treatment with Favipiravir for COVID-19: An Open-Label Control Study, Engineering (2020), doi: https://doi.org/10.1016/j.eng.2020.03.007

Приложение 1

А. Рекомендации по описанию данных рентгенографии и компьютерной томографии

1. Рентгенография органов грудной клетки

Методика выполнения

Рентгенография в рентгеновском кабинете проводится с использование стационарного (или передвижного) рентгеновского аппарата в двух стандартных проекциях: прямой передней и правой боковой.

Рентгенография в ОРИТ проводится с использованием передвижного рентгенодиагностического аппарата в одной стандартной проекции: прямой задней при положении пациента на спине или в прямой передней при положении пациента на животе. При необходимости может быть выполнен снимок в боковой проекции горизонтально направленным пучком рентгеновского излучения (латерограмма). На рентгеновском снимке должна присутствовать стандартная маркировка и дополнительная информация (время проведения рентгенографии в часах и минутах; положение пациента в момент рентгенографии - на спине или на животе)

Для оценки пациентов с предполагаемой/известной COVID-19 пневмонией другие рентгенодиагностические методики (рентгеноскопия, линейная томография и проч.) не используются.

Протокол рентгенографического исследования

Протокол по результатам проведенной рентгенографии формируется по стандартным правилам:

- Вид исследования, проекции, положение пациента в момент рентгенографии.

- Все медицинские устройства и иные предметы, видимые на снимках (интубационная трубка, катетеры, дренажи, зонды, искусственные водители ритма, инородные тела и проч.), их расположение и правильность установки.

- Видимые патологические изменения:

- Наличие участков уплотнения легочной ткани, их расположение (периферическое, центральное, диффузное, нарастание в направлении диафрагмы/верхушек если есть). Локальные изменения соотносятся с отдельными долями и/или сегментами. Участки уплотнения легочной ткани при рентгенографии обычно не разделяют на матовое стекло и консолидацию.

- Форма участков уплотнения: округлая, любая другая.

- Интенсивность тени уплотнений в легких: низкая (обычно соответствует симптому "матового стекла" при КТ), средней интенсивности (обычно соответствует консолидации при КТ), высокая (может наблюдаться при тотальном или субтотальном поражении легких) или их сочетание.

- Признаки нарушения легочного кровообращения: усиление (в т.ч. перераспределение в верхние доли) легочного рисунка, расширение корней легких, перибронхиальные муфты, линии Керли, расширение камер сердца, расширение сосудистой ножки сердца.

- Другие признаки патологии легких: полости, очаговые диссеминации, локальные долевые и сегментарные уплотнения и проч.

- Плевральные синусы: признаки плеврального выпота.

- Признаки пневмоторакса и/или пневмомедиастинума и/или пневмоперитонеума.

В заключении необходимо указать наличие патологических изменений и их распространенность.

В случае первичного исследования рекомендуется указать вероятность соответствия выявленных изменений пневмонии COVID-19 - высокая/типичная картина, средняя/неопределенная картина, низкая/нетипичная картина, норма (для оценки степени вероятности можно использовать приводимую ниже таблицу для формулировки заключений КТ) (например: вероятная рентгенологическая картина пневмонии COVID-19, или картина усиления легочного рисунка без характерных рентгенографических признаков пневмонии COVID-19, или рентгенологическая картина отека легких, или рентгенологическая картина абсцесса верхней доли правого легкого).

При повторных исследованиях обязательно указывается динамика изменений в грудной полости.

При необходимости указываются дополнительные исследования, которые по мнению рентгенолога могут помочь в оценке изменений: КТ, УЗИ, ФБС и др.

2. Описание результатов компьютерной томографии органов грудной полости

Методика выполнения

Сканирование грудной клетки осуществляется по стандартной программе, установленной компанией производителем, в положении пациента на спине, с заведенными за голову руками, по возможности при спокойном задержанном вдохе.

При исследовании пациентов на ИВЛ задержка дыхания осуществится при короткой остановке дыхательных движений. Проведение КТ исследований пациентам на ИВЛ возможно только при наличии технических условий и возможности доставки пациента в кабинет или на передвижном аппарате.

Внутривенное контрастирование не требуется, но может применяться при подозрении на другие патологические состояния, например, тромбоэмболию легочной артерии, а также онкологические заболевания и проч.

Протокол КТ исследования формируется по стандартным правилам, аналогичным рентгенографическому исследованию. Однако при этом используется терминология, принятая при описании данных КТ.

Для ускорения получения наиболее важных для врачей результатов КТ органов грудной клетки и определения тактики ведения пациента, возможно применение предварительных стандартизованных экспресс-форм протоколов, а само заключение оформляться в установленные сроки.

Примерная экспресс-форма приводится ниже, возможна ее модификация или коррекция - согласно потребностям конкретной медицинской организации.

Рекомендуемая экспресс-форма описания результатов КТ грудной клетки пациента с подозрением на COVID-пневмонию

Дата и время исследования 
Паспортные данные 
Регистрационные данные 
Вид исследованияКТ грудной клетки без внутривенного контрастирования
Другое исследование 
Изменения легочной ткани (матовое стекло +/- консолидация)
Левое легкоеЕсть/нет
Правое легкоеЕсть/нет
Примерный объем выявленных изменений легких (визуально)КТ-1 Минимальный< 25% объема
КТ-2 Средний25 - 50% объема
КТ-3 Значительный50 - 75% объема
КТ-4 Субтотальный> 75% объема
Другие важные находки
(если есть)
 
Жидкость в плевральной полости <*>
СправаЕсть/нет
СлеваЕсть/нет
Вероятность связи выявленных в легких изменений с вирусной (в частности, COVID-19) пневмонией по рекомендациям ACR/RSNA/ESR-ESTIТипичная картина/Высокая вероятность 
Неопределенная картина 
Другой диагноз 
Норма/Нет изменений 

3. Общие рекомендации по протоколированию результатов КТ легких у пациентов с предполагаемой пневмонией COVID-19

Для правильной трактовки полученных данных до начала описания крайне важно получение клинической информации об истории заболевания и состояния пациента лечащего врача (желательно дистанционно, без прямого контакта)

В протоколе КТ исследования должны быть указаны:

- Дата появления симптомов болезни на день выполнения КТ (если известна).

- Методика сканирования, использование внутривенного контрастирования.

- Медицинские устройства и иные предметы в зоне сканирования (интубационная трубка, катетеры, дренажи, зонды, искусственные водители ритма, инородные тела и проч.), их расположение и правильность установки.

- Наличие изменений в легких по типу "матового стекла", консолидации, симптомов "булыжной мостовой", "воздушной бронхографии", обратного "ореола".

- Локализация изменений по долям и сегментам легких, а также преобладающее пространственное распределение (периферическое, центральное, диффузное; преимущественное заднее или переднее, верхнее или нижнее).

- Наличие и примерный объем жидкости в плевральной полости и/или перикарде.

- Указываются все другие находки (согласно стандартному протоколу описания КТ органов грудной клетки): находки в легочной ткани (очаги, полости, симптом "дерева в почках" и другие), состояние и ход трахеи и бронхов, состояние отдельных групп лимфоузлов, размеры и контуры магистральных сосудов и камер сердца. Состояние позвоночника и других костей в пределах зоны сканирования.

- Обязательны является описание динамики, если имеются данных предыдущих КТ.

- В заключении приводится вероятностная оценка связи выявленных изменений с COVID19 согласно международным рекомендациям и примерный объем поражения легких (см. ниже).

Всегда следует помнить о том, что исследование может быть проведено пациенту с любой патологией легких, сердца, средостения и других органов!

Принципы оценки изменений легочной ткани при COVID-19 по данным компьютерной томографии органов грудной клетки представлены в таблице. Процент поражения оценивается отдельно по каждому легкому. Степень изменений оценивается по легкому с наибольшим поражением (вне зависимости от наличия постоперационных изменений).

Рекомендации по формулировке заключения (КТ исследование): вероятность связи выявленных изменений с COVID19-пневмонией (рекомендации RSNA/ACR/BSTI/ESR-ESTI)

Признаки патологии при КТВозможная формулировка в заключении:
Типичная картина
Многочисленные двухсторонние субплевральные уплотнения легочной ткани по типу "матового стекла", в том числе с консолидацией и/или с симптомом "булыжной мостовой"
Многочисленные двусторонние округлые участки уплотнения по типу "матового стекла" в глубине легочной ткани, в том числе в сочетании с консолидацией и/или симптомом "булыжной мостовой"
Участки уплотнения легочной ткани в виде сочетания "матового стекла" и консолидации с симптом "обратного ореола" как признаки организующейся пневмонии (см. Термины)
Высокая вероятность пневмонии COVID-19, с учетом клинической картины имеются типичные КТ признаки заболевания
Следует отметить, что схожие изменения могут встречаться при других вирусных пневмониях, а также при болезнях соединительной ткани, быть связанными с токсическими действиям лекарств или иметь другую этиологию
Неопределенная картина
Участки "матового стекла" преимущественно прикорневой локализации;
Мелкие участки "матового стекла" без типичного (периферического) распределения, не округлой формы
Односторонние участки "матового стекла" в пределах одной доли, в сочетании с консолидацией или без нее
Средняя (неопределенная) вероятность пневмонии COVID-19
Выявленные изменения могут быть проявлением COVID-19 пневмонии, но они неспецифичны и могут встречаться при других заболеваниях легких (указать каких, если возможно. Например, сердечная недостаточность, бактериальная пневмония и др.)
Следует осторожно интерпретировать результаты КТ у пациентов с хроническим сопутствующими заболеваниями, при которых высока вероятность появления изменений в грудной полости (ИБС, онкологические заболевания, патология почек и др.)
Нетипичная картина
Консолидация доли (сегмента)
Очаги (в том числе симптом "дерево в почках")
Объемные образования
Полости в легких и в участках консолидации
Равномерное утолщение междольковых перегородок с жидкостью в плевральных полостях (картина отека легких)
Субплевральные ретикулярные (сетчатые) изменения
Лимфаденопатия без изменений в легких
Альтернативный диагноз
Выявленные изменения нехарактерны для COVID-19 пневмонии. Следует рассмотреть возможность других заболеваний и патологических состояний (указать каких, если возможно. Например, туберкулез, рак легкого, бактериальная пневмония и др.)
Нормальная картинаНет признаков пневмонии или других патологических изменений <*>

<*> Следует иметь в виду, что на начальных стадиях болезни (1 - 5 дни) результаты КТ могут быть негативными. Нормальная КТ картина не исключает COVID-19 инфекции и не является ограничением в проведении иммунологических (ПЦР) тестов.

4. Оценка выраженности изменений в легких при КТ

Оценка выраженности (объема, площади, протяженности) изменений в легких у пациентов с предполагаемой/известной COVID-19 пневмонией может проводиться несколькими способами:

1. Визуальная оценка;

2. Применении полуколичественных шкал, предложенных рядом авторов;

3. На основании программ компьютерной оценки плотности легких и составления карт плотности легочной паренхимы.

В условиях большого потока пациентов, для быстрой оценки изменений в легких после проведения РГ и КТ, рекомендована так называемая "эмпирическая" визуальная шкала. Она основана на визуальной оценке примерного объема уплотненной легочной ткани в обоих легких в легких.

"Эмпирическая" визуальная шкала <*>

<*> Источник: S. Inui et al. Radiology: Cardiothoracic Imaging, 8 April 2020.

Основана на визуальной оценке примерного объема уплотненной легочной ткани в обоих легких:

1. Отсутствие характерных проявлений (КТ-0)

2. Минимальный объем/распространенность < 25% объема легких (КТ-1)

3. Средний объем/распространенность 25 - 50% объема легких (КТ-2)

4. Значительный объем/распространенность 50 - 75% объема легких (КТ-3)

5. Субтотальный объем/распространенность > 75% объема легких (КТ-4)

Компьютер-ассистированная диагностика

Ряд рабочих станций для современных аппаратов КТ и цифровой РГ оснащены компьютерными программами, которые предназначены для автоматического или полуавтоматического выделения и измерения объема зон "матового стекла" и консолидации. Применение таких программ позволяет проводить оценку объема измененной легочной ткани более объективно, чем "эмпирический" метод, особенно при наблюдении в динамике. При использовании таких компьютерных программ врач рентгенолог должен контролировать корректность выделения патологических участков в легких, и принимать решение, пригодны ли получаемые с их помощью данные для клинического применения или нет.

В целом, данные визуализации могут интерпретироваться только в контексте клинической картины и результатов лабораторно-инструментальных показателей. Рентгенография и КТ играют важную, но не определяющую роль в оценке тяжести течения заболевания и определения прогноза его развития. Эти ограничения связаны, в том числе, с отсутствием характеристик поражения легочной ткани ("матовое" стекло и/или консолидация) и других проявлений патологии (плевральный выпот, отек легких и др.). Поэтому объем поражения легких при РГ и КТ может не иметь прямой корреляции с клинической тяжестью заболевания.

5. Оценка динамики изменений в легких при COVID-19 пневмонии

Основные закономерности развития COVID-19 пневмонии связаны с трансформацией участков "матового стекла" и консолидации в легочной ткани. В связи с этим КТ является предпочтительным методом оценки динамики. Однако для этой цели может использоваться и рентгенография, в случае если изменения видны на снимках, и есть возможность оценить их динамику. Рентгенография с использованием передвижного аппарата также является основной методикой при наблюдении пациентов в ОРИТ.

Оценка динамики предполагает использование одной методики. Сравнение изменений по данным различных методов и методик (например, рентгенографии и КТ) не корректно.

Все рентгенологические исследования проводятся только по клиническим показаниям.

Кратность рентгенографических и КТ исследований в динамике определяет лечащий врач (врач ОРИТ).

Таблица 1

Динамика изменений в легких по данным рентгенографии и компьютерной томографии <*>

Динамика процессаПризнаки
Начальные проявления в первые дни заболеванияТипичная картина
Субплевральные участки уплотнения по типу "матового стекла" с консолидацией или без нее, с утолщением перегородок (симптом "булыжной мостовой") или без них;
Участки уплотнения по типу "матового стекла" округлой формы перибронхиального расположения, с консолидацией или без, с утолщением перегородок (симптом "булыжной мостовой") или без них;
Сочетание участков "матового стекла" и консолидации с симптомом "обратного ореола" и других признаков организующейся пневмонии; расположение изменений двухстороннее, преимущественно периферическое.
Положительная динамика изменений (стабилизация)Преобразование участков "матового стекла" в уплотнения по типу консолидации (нарастание плотности измененных участков легочной ткани) без видимого увеличения объема (протяженности) поражения легких;
Формирования картины организующейся пневмонии (см. Термины);
Уменьшение размеров уплотненных участков в легочной ткани
Отрицательная динамика изменений (прогрессирование)Нарастание изменений:
Увеличение размеров (протяженности, объема) имевшихся участков уплотнения по типу "матового стекла";
Появление новых участков "матового стекла";
Слияние отдельных участков "матового стекла" в более крупные уплотнения вплоть до субтотального поражения легких;
Выраженность участков "матового стекла" по-прежнему значительно преобладает над консолидацией.
Появление новых признаков других патологических процессов:
левожелудочковая недостаточность (гидростатический кардиогенный отек легких, двухсторонний плевральный выпот), респираторный дистресс-синдром (отек легких); бактериальная пневмония (новые локальные участки консолидации, плевральный выпот); абсцесс легкого и множественные септические эмболии; пневмоторакс и пневмомедиастинум; тромбоэмболия мелких ветвей легочной артерии (в т.ч. при снижении сатурации на фоне стабильной рентгенологической картины - может потребоваться КТ ОГК с контрастированием);
другие
Картина респираторного дистресс-синдромаОбычно есть:
Двухсторонние субтотальные уплотнения легочной ткани по типу консолидации и "матового стекла";
Расположение в средних и верхних отделах легких;
Вздутие базальных сегментов;
Градиент уплотнений в зависимости от положения пациента (на спине, на животе);
Симптом воздушной бронхографии;
Увеличение объема поражения 50% за 24 - 48 часов на фоне дыхательных нарушений;
Жидкость в плевральных полостях (гидроторакс).
Обычно нет (при отсутствии недостаточности кровообращения):
Линий Керли, перибронхиальных муфт;
Расширения левых камер сердца, сосудистой ножки сердца.
РазрешениеУменьшение размеров участков консолидации и "матового стекла" (картины организующейся пневмонии);
Длительность существования изменений в легких может существенно превышать сроки клинических проявлений инфекции;
Наличие остаточных уплотнений в легочной ткани не влияет на длительность терапии инфекционного заболевания и не является показанием к ее продолжению в отсутствие клинических проявлений острого воспалительного процесса.
Допустимы новые зоны "матового стекла" не более 25% поперечного размера гемиторакса.

Б. Иллюстрации к вероятностной классификации изменений легких при COVID19 пневмонии по данным КТ (рентгенографии)

Все выявленные изменения должны трактоваться с учетом эпидемиологической ситуации (эпидемия COVID) и клинико-лабораторными данными. Нормальная и/или почти нормальная картина при КТ и, особенно, рентгенографии может отмечаться у пациентов с COVID-19 на начальной стадии болезни (1 - 5 дни заболевания, до развития пневмонии) или у бессимптомных носителей вируса, которые могут быть источником заражения других людей.

Б.1 РЕНТГЕНОГРАФИЯ ГРУДНОЙ КЛЕТКИ

Типичная картина. Высокая вероятность COVID-пневмонии
1. Множественные периферические затемнения в нижних долях легких, на их фоне имеются округлые тени
 
2. Множественные периферические округлые затемнения в нижних долях легких, сливающиеся между собой
Неопределенная картина. Средняя вероятность COVID-пневмонии
Диффузные затемнения в легочных полях, равномерно распределенные по легким без преимущественной периферической локализации
Нетипичная картина. Низкая вероятность COVID-пневмонии
Усиление легочного рисунка с обеих сторон, повышение плотности стенок бронхов

Источник: D. Geffen, UCLA Health.

Б.2 КОМПЬЮТЕРНАЯ ТОМОГРАФИЯ ГРУДНОЙ КЛЕТКИ

Типичная картина. Высокая вероятность COVID-пневмонии
Многочисленные выраженные двухсторонние субплевральные уплотнения легочной ткани по типу "матового стекла",
 
Участки уплотнения по типу "матового стекла" округлой формы периферического и перибронхиального расположения, с консолидацией
Множественные округлые участки уплотнения по типу "матового стекла" округлой формы периферического и перибронхиального расположения
 
Двухсторонние, преимущественно периферические, субплевральные уплотнения легочной ткани по типу "матового стекла" с утолщением перегородок (симптом "булыжной мостовой")
Неопределенная картина. Средняя вероятность COVID-пневмонии
Мелкие участки "матового стекла" без типичного (периферического) распределения, хаотично расположенные внутри легких
 
Единичные мелкие участки матового стекла, без периферической локализации
Нетипичная картина. Низкая вероятность COVID-пневмонии
Симптом "дерева в почках" с перибронхиальной инфильтрацией в одной доле (брохопневмония, бронхиолит)
 
Выраженная инфильтрация и консолидация в пределах одной доли (картина долевой бактериальной пневмонии)
 
Симметричные центральные очаги повышенной плотности по типу "крыльев бабочки", гидроторакс - КТ-картина альвеолярного отека легких

Б.3 ОСНОВНЫЕ КТ СИМПТОМЫ ПАТОЛОГИИ ЛЕГКИХ ПРИ ВИРУСНЫХ ПОРАЖЕНИЯ ЛЕГКИХ

Симптом/метод выявленияКартина измененийИзображение
Матовое стекло/Значительно более точно выявляется при КТ, чем при РГУчасток частично воздушной легочной ткани, на фоне которого видны сосуды, просветы бронхов и их стенки
  
Консолидация/Выявляется одинаково точно при РГ и КТУчасток безвоздушной легочной ткани с видимыми в нем воздушными просветами бронхов и воздушными полостями (например, эмфиземы). Сосуды и стенки бронхов в зоне уплотнения не видны
  
Ретикулярные изменения/КТ-симптом. При рентгенографии обозначаются как сетчатая (ячеистая) деформация легочного рисункаТонкие линии патологически измененного легочного интерстиция, формирующие сеть
Симптом "булыжной мостовой" (синоним: симптом "лоскутного одеяла")/КТ-симптомИзображение ретикулярных изменений на фоне уплотнения по типу "матового стекла"
  
Перибронховаскулярное распределение/Одинаково выявляется при РГ и КТРасположение измененных участков легочной ткани вдоль бронхов и сосудов легкого
  
Перилобулярные изменения
КТ симптом
Уплотнение легочной ткани вдоль междольковых перегородок, один из важных признаков организующейся пневмонии
  
Кортикальное (субплевральное, периферическое) распределение/Одинаково выявляется при РГ и КТРасположение измененных участков легочной ткани вдоль висцеральной плевры (реберной, диафрагмальной, медиастинальной, междолевой)
Прикорневое (центральное) распределение/Одинаково выявляется при РГ и КТРасположение измененных участков легочной ткани в области корня легкого
  
Симптом воздушной бронхографии/КТ-симптомВидимость заполненных воздухом бронхов в уплотненной легочной ткани. Свидетельствует о сохранении бронхиальной проходимости
   
Симптом ореола (синоним: симптом ободка)/КТ-симптомЗона "матового стекла" вокруг зоны консолидации или участка деструкции (некроза). Обычно имеет кольцевидную форму
Симптом обратного ореола (синоним: симптом обратного ободка, симптом "атолла")/КТ-симптомЗона консолидации вокруг участка "матового стекла". Может иметь любую форму и размеры. Характерный признак организующейся пневмонии
Полость в легком или участке консолидации/Точнее выявляется при КТ, особенно при небольших размерахЗамкнутое патологическое пространство в легком с толстыми (> 2 - 3 мм) стенками, окруженное воздушной легочной тканью. Полость содержит газ, жидкость, некротические массы). Обычно наблюдается при бактериальных инфекциях и новообразованиях
  
Киста в легком/КТ-симптомЗамкнутое патологическое пространство в легком с тонкими (< 2 мм) стенками, заполненное газом или жидкостью
Очаг(и) в легких/Точнее выявляется при КТ (Термин "узелок" является синонимом, но не рекомендуется к употреблению)Уплотнение в легочной ткани размером до 10 мм. Могут быть одиночными, единичными (до 6) и множественными (диссеминация)
  
Симптом "дерево в почках"/КТ-симптомV- и Y-образные патологические структуры в легком размером до 1 см, представляющие заполненные патологическим содержимым и расширенные мелкие бронхи и бронхиолы. Важный признак бронхогенной инфекции нижних дыхательных путей
Картина организующейся пневмонии/совокупность КТ симптомовВариабельна. Обычно сочетание участков "матового стекла" и консолидации с симптом обратного ободка и типичным перибронховаскулярным и/или субплевральным распределением

В. Рекомендации по ультразвуковой диагностике в условиях пандемии COVID-19

1) Ультразвуковое исследование легких у пациентов с подозрением или подтвержденным диагнозом "COVID-19" можно проводить на любых ультразвуковых аппаратах с условием обязательного соблюдения всех правил безопасности работы персонала и дезинфекции помещений и оборудования. Предпочтительно выделение одного или нескольких ультразвуковых аппаратов для работы с пациентами с подозрением или подтвержденным диагнозом "COVID-19". В зависимости от контингента исследуемых и технического оснащения учреждения могут использоваться конвексные (предпочтительно для взрослых), линейные (предпочтительно для новорожденных и детей младшего возраста), секторные фазированные и микроконвексные датчики.

2) Рекомендуется использование стандартизированной технологии ультразвукового исследования легких.

3) Для упрощения интерпретации данных и удобства динамического контроля рекомендуется оценка ультразвуковых изменений в легких по градациям.

4) Нет достаточного количества научных данных для использования ультразвукового исследования легких при сортировке пациентов с подозрением или подтвержденным диагнозом "COVID-19".

5) С помощью ультразвукового исследования легких нельзя поставить диагноз "COVID-19".

6) С помощью ультразвукового исследования легких нельзя исключить диагноз "COVID-19".

7) Нет достаточного количества научных данных для оценки тяжести поражения легких с помощью ультразвукового исследования. Результаты ультразвукового исследования легких должны сопоставляться с клинико-лабораторной картиной и данными компьютерной томографии. Самостоятельного значения при COVID-19 они не имеют.

8) Ультразвуковое исследование легких не может заменить рентгенографию и компьютерную томографию груди в диагностике пневмонии у пациентов с подозрением или подтвержденным диагнозом "COVID-19", но при увеличении потока больных может быть включено в рациональный алгоритм диагностики пневмонии для отдельных групп пациентов (например, беременные, новорожденные) при условии наличия подготовленного врачебного персонала.

9) Ультразвуковое исследование легких не может заменить рентгенографию и компьютерную томографию груди в динамическом наблюдении пациентов с пневмонией при COVID-19, но при увеличении потока пациентов может быть включено в рациональный алгоритм динамического наблюдения при условии наличия (1) первоначальной информации об истинном объеме и причине поражения легких и (2) подготовленного врачебного персонала.

10) Необходимо обязательное соблюдение правил безопасности работы персонала и дезинфекции помещений и оборудования независимо от того, по какой причине проводится ультразвуковое исследование пациентам с подозрением или подтвержденным диагнозом "COVID-19".

11) При наличии клинических показаний ультразвуковая диагностика может применяться для оценки состояния других анатомических областей и отдельных органов с целью выявления патологических изменений и оценки их динамики, однако в приоритете должен быть принцип разумной достаточности. Обязательным является проведение ультразвуковых исследований по экстренным показаниям. Обследования, не являющиеся необходимыми, следует отложить или отменить, чтобы свести к минимуму возможность контактов здоровых пациентов с пациентами группы риска по COVID-19 в условиях медицинской организации. При невозможности отмены плановых ультразвуковых исследований для уменьшения риска заражения COVID-19 важно: (1) соблюдать расписание приема с сохранением необходимого времени на каждого пациента; (2) увеличить интервалы между пациентами, чтобы избежать скопления ожидающих пациентов; (3) обеспечить расстояние между креслами для ожидания не менее 2 м друг от друга.

Более детально информация по ультразвуковому исследованию легких и безопасности ультразвуковых исследований в условиях COVID-19 представлена на сайте www.rasudm.org в следующих документах:

1. Abramowicz J.S., Basseal J. Заявление о позиции WFUMB: как безопасно проводить ультразвуковое исследование и обеззараживать ультразвуковое оборудование в условиях COVID-19//Ультразвуковая и функциональная диагностика. 2020. N 1. С. 12 - 23. Doi: 10.24835/1607-0771-2020-1-12-23. Опубликовано до печати. Режим доступа://http://www.rasudm.org/files/WFUMB-Position-Statement-COVID.pdf, свободный. Загл. с экрана. 16.04.2020.

2. Митьков В.В., Сафонов Д.В., Митькова М.Д., Алехин М.Н., Катрич А.Н., Кабин Ю.В., Ветшева Н.Н., Худорожкова Е.Д., Лахин Р.Е., Кадрев А.В., Дорошенко Д.А., Гренкова Т.А. Консенсусное заявление РАСУДМ об ультразвуковом исследовании легких в условиях пандемии COVID-19 (версия 2)//Ультразвуковая и функциональная диагностика. 2020. N 1. С. 46 - 77. Doi: 10.24835/1607-0771-2020-1-46-77. Опубликовано до печати. Режим доступа://http://www.rasudm.org/files/RASUDM-Consensus-Statement-COVID-2.pdf, свободный. Загл. с экрана. 30.04.2020.

Приложение 2-1

ОБЪЕМ ЛАБОРАТОРНОГО И ИНСТРУМЕНТАЛЬНОГО ОБСЛЕДОВАНИЯ БОЛЬНЫХ С COVID-19 ИЛИ ПОДОЗРЕНИЕМ НА COVID-19

Приложение 2-2

ЛАБОРАТОРНЫЙ МОНИТОРИНГ ПАЦИЕНТОВ С COVID-19 ИЛИ С ПОДОЗРЕНИЕМ НА COVID-19 В ЗАВИСИМОСТИ ОТ ТЯЖЕСТИ СОСТОЯНИЯ

Приложение 3

ИНСТРУКЦИЯ ПО ПРОВЕДЕНИЮ ЭТИОЛОГИЧЕСКОЙ ЛАБОРАТОРНОЙ ДИАГНОСТИКИ КОРОНАВИРУСНОЙ ИНФЕКЦИИ

Общие положения

В соответствии с приказом Министерства здравоохранения Российской Федерации N 198н от 19.03.2020 (в ред. от 27.03.2020 и от 02.04.2020) и Временными методическими рекомендациями по лабораторной диагностике нового коронавируса 2019 (2019-COVIDn), утвержденным Главным санитарным врачом Российской Федерации 30.03.2020, этиологическая лабораторная диагностика коронавирусной инфекции проводится во всех лабораториях Российской Федерации вне зависимости от их организационно-правовой формы (далее - Лаборатория), имеющих санитарно-эпидемиологическое заключение о возможности проведения работ с возбудителями инфекционных заболеваний человека III - IV патогенности и условия для исследований с применением методов амплификации нуклеиновых кислот.

Для выявления возбудителя SARS-CoV-2 используются методы амплификации нуклеиновых кислот (без накопления возбудителя), с применением зарегистрированных в установленном порядке на территории Российской Федерации тест-систем, в соответствии с инструкциями по их применению.

Этиологическая лабораторная диагностика COVID-19

Этиологическая диагностика COVID-19 проводится с применением методов амплификации РНК с обратной транскрипцией и флуоресцентной детекцией: методами полимеразной цепной реакции в реальном времени (ОТ ПЦР-РВ) и методами изотермальной амплификации.

Для выявления COVID-19 исследуются респираторные диагностические материалы, взятые у пациента: мазки из носоглотки и ротоглотки, мокрота, эндотрахеальный аспират, бронхоальвеолярный лаваж). Могут быть исследованы и другие виды диагностического материала: кровь (сыворотка, цельная кровь), моча.

Сбор, хранение и транспортировка диагностического материала

Взятие диагностического материала, его упаковка, маркировка и транспортировка осуществляется в соответствии с требованиями и правилами к работе с материалами, потенциально инфицированными возбудителями II группы патогенности, их хранении и транспортировки согласно МУ 1.3.2569-09 "Организация работы лабораторий, использующих методы амплификации нуклеиновых кислот при работе с материалом, содержащим микроорганизмы I - IV групп патогенности" и "Временными рекомендациями по лабораторной диагностике новой коронавирусной инфекции, вызванной 2019-nCov", направленными в адрес органов исполнительной власти субъектов Российской Федерации в сфере охраны здоровья Роспотребнадзором письмом от 21.01.2020 N 02/706-2020-27.

Медицинский работник, выполняющий взятие диагностического материала, его маркировку и упаковку должен пройти инструктаж по санитарно-эпидемиологическим требованиям и правилам биологической безопасности при работе с пациентами, потенциально инфицированными микроорганизмами II группы патогенности. Биологический материал (мазки из носоглотки, ротоглотки, моча, фекалии) может быть отобран самостоятельно пациентом согласно инструкции. Сотрудники, осуществляющие взятие диагностического материала, должны быть обеспечены средствами индивидуальной защиты: респираторы типа FFP2 или их эквивалент, или пневмошлем, обеспечивающий более высокий уровень защиты; очки для защиты глаз или защитный экран; противочумный костюм, одноразовые латексные (резиновые) перчатки; водонепроницаемый фартук.

Мазок из носоглотки или ротоглотки (зева) берется стерильным тампоном, который, после взятия материала помещается в стерильную пластиковую пробирку с транспортной средой (с учетом рекомендаций производителя применяемых тест-систем/наборов реагентов). Для повышения концентрации вируса носоглоточные и орофарингеальные мазки должны быть помещены в одну пробирку. Температура при транспортировке должна быть +2 - +8 °C. Время хранения образцов до исследования не должна превышать 5 дней при +2 - +8 °C., может быть больше при -20 °C или -70 °C.

Мокрота собирается в одноразовый стерильный пластиковый контейнер объемом - 30 - 50 мл, герметично закрывающийся завинчивающейся пробкой. Диаметр горлышка контейнера должен быть не менее 30 мм. Убедитесь, что собранный материал представляет собой мокроту (отделяемое нижних дыхательных путей). Транспортировка образцов может проводиться при температуре +2 - +8 °C. Время хранения образцов до исследования не должна превышать 48 часов дней при +2 - +8 °C. при хранении в транспортной среде, содержащей противогрибковые и антибактериальные препараты, более - при -20 °C или -70 °C.

Эндотрахеальный аспират, аспират носоглотки или смыв из носа собирается в стерильный одноразовый контейнер. Транспортировка образцов может проводиться при температуре +2 - +8 °C. Время хранения образцов до исследования не должна превышать 48 часов дней +2 - +8 °C, более - при -20 °C или -70 °C.

Бронхоальвеолярный лаваж собирается в стерильный одноразовый контейнер. Транспортировка образцов может проводиться при температуре +2 - +8 °C. Время хранения образцов до исследования не должна превышать 48 часов при +2 - +8 °C, более - при -20 °C или -70 °C.

Ткани биопсии или аутопсии, включая легкие, помещаются в одноразовые контейнеры с физиологическим раствором, содержащим противогрибковые и антибактериальные препараты. собирается в стерильный одноразовый контейнер). Транспортировка образцов может проводиться при температуре +2 - +8 °C. Время хранения образцов до исследования не должна превышать 24 часов при +2 - +8 °C, более - при -20 °C или -70 °C.

Для идентификации образцов контейнеры/пробирки маркируются в месте сбора с использованием самоклеящихся этикеток с информацией, обеспечивающей однозначную идентификацию образца и его соответствие направлению.

Транспортировка герметично закрытых контейнеров с образцами в лабораторию осуществляется в специальных контейнерах/биксах. Направления и другая документация на бумажных носителях передается в отдельном полиэтиленовом пакете.

При необходимости пересылки образцов в лабораторию другого медицинского учреждения выполняются требования к пересылке инфекционных материалов II группы патогенности (СП 1.2.036-95 "Порядок учета, хранения, передачи и транспортирования микроорганизмов I - IV групп патогенности").

Пробирки/контейнеры с образцами вместе с крышкой герметизируют различными пластификаторами (парафин, парафильм и др.); емкость маркируют. Образцы каждого пациента помещают в индивидуальный герметичный пакет с адсорбирующим материалом и дополнительно упаковывают в общий герметичный пакет.

Два или более образца одного пациента могут быть упакованы в один пластиковый пакет. Запрещается упаковывать образцы клинического материала от разных людей в одну упаковку.

Пакет с контейнерами помещают в герметично закрывающийся контейнер для транспортировки биологических материалов. Контейнер помещают в пенопластовый термоконтейнер с охлаждающими термоэлементами. Транспортный контейнер опечатывается и маркируется. В контейнер желательно поместить одноразовый индикатор, контролирующий соблюдение температуры от 2 до 8 °C

Сопроводительные документы помещаются в индивидуальную упаковку отдельно от биологического материала и прочно прикрепляются снаружи контейнера.

Направление на исследование для этиологической диагностики COVID-19

Направление на лабораторное исследование оформляется в электронном виде (через систему удаленной электронной регистрации, или в виде электронного заказа в программе МИС врачом-клиницистом), или на бумажном носителе.

Направление на лабораторное исследование должно содержать:

- персональные данные пациента, обеспечивающие его однозначную идентификацию;

- наименование направившего биоматериал отделения (организации);

- предварительный диагноз заболевания: "пневмония" или "ОРВИ" или "обследование контактировавших лиц на SARS-CoV-2";

- указание вида диагностического материала;

- дату и время назначения лабораторного исследования;

- дату и время взятия материала;

- фамилию, имя, отчество (при наличии) и должности врача либо другого уполномоченного представителя, назначившего лабораторное исследование.

- фамилию, имя, отчество (при наличии) медицинского работника, осуществившего взятие биоматериала.

При направлении диагностических материалов для исследования в лабораторию другой медицинской организации, помимо сведений, перечисленных выше, должно быть указано наименование медицинской организации, в которую направляется диагностический материал.

В направлениях образцов пациентов с респираторными симптомами, прибывших из стран с зарегистрированными случаями COVID-19, или относящихся к группам риска, должно быть отмечено "cito". Эти образцы должны направляться в лабораторию и исследоваться в приоритетном порядке.

Передача образцов диагностических материалов от пациентов с подозрением на COVID-19 проводится с предоставлением направлений и оформлением Акта приема-передачи, в котором должны содержаться:

- наименование направившего на исследование образцы медицинского учреждения/отдела/подразделения,

- наименование принявшего на исследование образцы медицинского учреждения/отдела/подразделения,

- дата передачи образцов,

- фамилия, имя, отчество и подпись передавшего образцы сотрудника,

- фамилия, имя, отчество и подпись принявшего образцы сотрудника,

- перечень передаваемых образцов (с обозначением образцов, направленных на исследование "cito", и их количество.

Акт оформляется в двух экземплярах, один для направившей организации, другой для принявшей образцы организации.

Сроки выполнения исследования

Время представления заключения по результатам исследования при получении отрицательных, сомнительных или положительных результатов, не должно превышать 48 часов с момента поступления образца биологического материала в лабораторию, за исключением случаев выбраковки образцов. При назначении исследования "cito" результат должен быть предоставлен в течении нескольких часов, в зависимости от применяемых тест-систем/наборов реагентов.

Требования к помещениям и оснащению лабораторий, проводящих исследования для специфической лабораторной (этиологической) диагностики COVID-19

Лабораторные исследования для обнаружения возбудителя COVID-19, отнесенного ко II группе патогенности должны проводится с соблюдением санитарно-эпидемиологических правил СП 1.3.3118-13 "Безопасность работы с микроорганизмами I - II групп патогенности (опасности)", а также, при использовании молекулярно-генетических методов (без накопления возбудителя), в лабораториях, имеющих санитарно-эпидемиологическое заключение о возможности проведения работ с микроорганизмами III группы патогенности (п. 2.1.6. СП 1.3.3118-13 "Безопасность работы с микроорганизмами I - II групп патогенности (опасности)") в соответствии с требованиями СП 1.3.2518-09 (1.3.2322-08) "Безопасность работы с микроорганизмами III - IV групп патогенности (опасности) и возбудителями паразитарных болезней".

Требования к помещению и оборудованию при проведении специфической лабораторной (этиологической) диагностики COVID-1 соответствуют вышеприведенным санитарным правилам и правилам, изложенным в МУ 1.3.2569-09 "Организация работы лабораторий, использующих методы амплификации нуклеиновых кислот при работе с материалом, содержащим микроорганизмы I - IV групп патогенности". Для предотвращения перекрестной контаминации образцов амплифицированными продуктами, рабочие зоны для выделение РНК и для проведения МАНК с обратной транскрипцией и учета ее результатов при использовании гибридизационно-флуоресцентного метода детекции должны быть расположены в отдельных помещениях, удаленных друг от друга.

Лаборатория должна иметь оборудование, достаточное для проведения МАНК для диагностики COVID-19, с учетом применяемых методов и объема работы.

Лаборатория должна иметь средства индивидуальной защиты - СИЗ (одноразовая защитный костюм IV типа, маски, респираторы, защитные очки, одноразовые латексные (резиновые) перчатки и др.) в достаточных количествах в соответствии с СП 1.3.3118-13, включающих необходимое количество комплектов для каждой рабочей зоны, возможность смены СИЗ в течении дня, запас СИЗ, обеспечивающий бесперебойное обеспечение персонала необходимыми СИЗ.

Лабораторные этапы специфической лабораторной (этиологической) диагностики COVID-19

На этапе приема, сортировки и регистрации материала лаборатория должна проводить выбраковку образцов, для которых информация в направлении не совпадает с данными на этикетке или в Акте передачи, нарушены сроки и правила транспортировки, нарушена герметичность контейнеров. Лаборатория обязана сообщить в медицинское учреждение/отделение или направившему образцы врачу о выбраковке образцов и ее причине.

Для проведения МАНК лаборатории применяют зарегистрированные в Российской Федерации как изделия медицинского назначения тест-системы/реагенты. Специалисты лаборатории должны владеть МАНК.

При получении положительного результата на COVID-2019 необходимо незамедлительно информировать территориальные органы Роспотребнадзора в субъектах Российской Федерации и направлять биологический материал в федеральные бюджетные учреждения здравоохранения - центры гигиены и эпидемиологии в субъектах Российской Федерации.

Дезинфекция, обращение с отходами при проведении специфической лабораторной (этиологической) диагностики COVID-19

В лаборатории проводится периодическая обработка помещений с применением бактерицидных УФ-излучателей (Руководство Р3.5.1904-04 "Использование ультрафиолетового бактерицидного излучения для обеззараживания воздуха в помещениях") и дезинфицирующих средств, в соответствии с СП 1.3.2518-09 (1.3.2322-08). Обработка помещений проводится по окончанию работы

При проведении исследований образуются отходы, относящиеся к классам А, Б, В и Г (СанПиН 2.1.7.2790-10 "Санитарно-эпидемиологические требования к обращению с медицинскими отходами")

Все использованные одноразовые материалы и другие отходы подвергаются обработке дезинфицирующими средствами и последующей утилизации в соответствии с СанПин 2.1.7.2527-09 (2.1.7.728-99) "Правила сбора, хранения и удаления отходов лечебно-профилактических учреждений" и МУ 287-113 "Методические указания по дезинфекции, предстерилизационной очистке и стерилизации изделий медицинского назначения".

Приложение 4

ПЕРЕЧЕНЬ ЗАРЕГИСТРИРОВАННЫХ В РОССИЙСКОЙ ФЕДЕРАЦИИ ДИАГНОСТИЧЕСКИХ НАБОРОВ РЕАГЕНТОВ ДЛЯ ВЫЯВЛЕНИЯ РНК SARS-COV-2 (ПО СОСТОЯНИЮ НА 26.05.2020)

NДата гос. регистрации медицинского изделияРегистрац. номер медицинского изделияНаименование медицинского изделияНаименование организации-производителя или организации - изготовителя медицинского изделияМесто нахождения организации-производителя или организации - изготовителя медицинского изделия
111.02.2020РЗН 2020/9677Набор реагентов для выявления РНК коронавируса 2019-nCoV методом ПЦР с гибридизационно-флуоресцентной детекцией "Вектор-ПЦРрв-2019-nCoV-RG" по ТУ 21.20.23-088-05664012-2020ФБУН ГНЦ ВБ "Вектор" Роспотребнадзора630559, Россия, Новосибирская область, р. п. Кольцово
214.02.2020РЗН 2020/9700Набор реагентов для выявления РНК коронавирусов SARS/COVID-19 методом ПЦР с гибридизационно-флуоресцентной детекцией "Вектор-OneStepПЦР-CoV-RG" по ТУ 21.20.23-08905664012-2020ФБУН ГНЦ ВБ "Вектор" Роспотребнадзора630559, Россия, Новосибирская область, р. п. Кольцово
320.03.2020РЗН 2020/9845Набор для выявления РНК коронавируса SARS-CoV-2 в биологическом материале методом изотермической амплификации в режиме реального времени в вариантах исполнения по ТУ 21.20.23-001-39070608-2020ООО "СМАРТЛАЙФКЕА"109316, Россия, Москва, Волгоградский пр-кт., д. 42, к. 24, ком. 27.2
427.03.2020РЗН 2020/9896Набор реагентов для выявления РНК коронавируса SARS-CoV-2 методом ОТ-ПЦР в режиме реального времени (РеалБест РНК SARS-CoV-2) по ТУ 21.20.23-106-23548172-2020АО "Вектор-Бест"630559, Россия, Новосибирская область, р. п. Кольцово, а/я 121
527.03.2020РЗН 2020/9765Набор реагентов для выявления РНК коронавируса SARS-CoV-2 тяжелого острого респираторного синдрома (COVID-19) методом полимеразной цепной реакции "АмплиТест SARS-CoV-2"ФГБУ "ЦСП" Минздрава России119121, Россия, Москва, ул. Погодинская, д. 10, стр. 1
627.03.2020РЗН 2020/9904Набор реагентов для выявления РНК коронавируса SARS-CoV-2 методом полимеразной цепной реакции с обратной транскрипцией ПОЛИВИР SARS-CoV-2ООО НПФ "Литех"119435, Россия, г. Москва, ул. Малая Пироговская, д. 1, стр. 3
701.04.2020РЗН 2020/9948Набор реагентов для выявления РНК коронавирусов SARS-CoV-2 и подобных SARS-CoV методом обратной транскрипции и полимеразной цепной реакции в режиме реального времени (SARS-CoV-2/SARS-CoV) по ТУ 21.20.23-116-46482062-2020ООО "ДНК-Технология ТС"117246, Россия, Москва, Научный пр-д, д. 20, стр. 4
802.04.2020РЗН 2020/9957Набор реагентов для выявления РНК SARS-CoV-2 методом петлевой изотермальной амплификации "Изотерм SARS-CoV-2 РНК-скрин" по ТУ 21.20.23-069-26329720-2020АО "ГЕНЕРИУМ"601125, Россия, Владимирская область, Петушинский район, п. Вольгинский, ул. Заводская, стр. 273
903.04.2020РЗН 2020/9969Набор реагентов для выявления РНК коронавируса 2019-nCoV методом полимеразной цепной реакции в реальном времени (ПЦР-РВ-2019-nCov) по ТУ 20.59.52-014-08534994-2020ФГБУ "48 ЦНИИ" Минобороны России141306, Россия, Московская область, Сергиево-Посадский район, г. Сергиев Посад-6, ул. Октябрьская, д. 11
1007.04.2020РЗН 2014/1987Набор реагентов для выявления РНК коронавирусов, вызывающих тяжелую респираторную инфекцию: MERS-Cov (Middle East respiratory syndrome coronavirus) и SARS-Cov (Severe acute respiratory syndrome coronavirus), в биологическом материале методом полимеразной цепной реакции (ПЦР) с гибридизационно-флуоресцентной детекцией "АмплнСенс Cov-Bat-FL"ФБУН ЦНИИ Эпидемиологии Роспотребнадзора111123, Россия, Москва, ул. Новогиреевская, д. 3А
1114.04.2020РЗН 2020/10032Набор реагентов для выявления РНК вируса SARS-CoV-2 в биологическом материале методом полимеразной цепной реакции (ПЦР) с гибридизационно-флуоресцентной детекцией "SARS-CoV-2-ПЦР" по ТУ 21.20.23-002-28597318-2020ООО "МедипалТех"141980, Россия, Московская область, г. Дубна, ул. Программистов, д. 4, стр. 1, пом. 30/3
1216.04.2020РЗН 2020/10064Набор реагентов для выявления РНК коронавирусов SARS-CoV-2, вызывающих тяжелую респираторную инфекцию, в биологическом материале методом полимеразной цепной реакции (ПЦР) с гибридизационно-флуоресцентной детекцией "SBT-DX-SARS-CoV-2"ООО "Система-БиоТех"119034, Россия, Москва, пер. Гагаринский, д. 29, пом. I
1317.04.2020РЗН 2020/10088Набор для выявления РНК коронавируса SARS-CoV-2 в биологическом материале методом изотермической амплификации в режиме реального времени в вариантах исполнения по ТУ 21.10.60-004-06931260-2020ООО "ЭВОТЭК-МИРАЙ ГЕНОМИКС"117437, Россия, Москва, ул. Академика Арцимовича, д. 3Б, офис 11
1417.04.2020РЗН 2020/10087Набор реагентов для выделения РНК вируса SARS-CoV-2 из биологического материала в вариантах исполнения по ТУ 21.10.60-002-06931260-2020ООО "ЭВОТЭК-МИРАЙ ГЕНОМИКС"117437, Россия, Москва, ул. Академика Арцимовича, д. 3Б, офис 11
1521.04.2020РЗН 2020/10118Набор реагентов для выявления РНК коронавируса SARS-CoV-2 тяжелого острого респираторного синдрома (COVID-19) методом полимеразной цепной реакции с автоматической экстракцией РНК "АмплиТест SARS-CoV-2 авто"ФГБУ "ЦСП" Минздрава России119121, Россия, Москва, ул. Погодинская, д. 10, стр. 1
1623.04.2020РЗН 2020/10152Набор реагентов для выявления РНК коронавирусов SARS/COVID-19 методом ПЦР GeneFinder COVID-19 Plus RealAmp Kit (IFMR-45)ООО "АВИВИР"Республика Корея, OSANG Healthcare Co., Ltd., 132
1730.04.2020РЗН 2020/10216Набор реагентов для выявления РНК коронавируса SARS-CoV-2 методом полимеразной цепной реакции с флуоресцентной детекцией "COVID-19 OneStep" по ТУ 21.20.23-001-69703904-2020ООО "Генотек"105120, Россия, Москва, Наставнический пер., д. 17, стр. 1, пом. I, эт. 2, ком. 9
1815.05.2020РЗН 2020/10364Набор реагентов для качественного выявления РНК коронавируса (SARS-CoV-2) методом ОТ-ПЦР в реальном времени "CoV-2-Тест" по ТУ 21.20.23-015-97638376-2020ООО "ТестГен"432072, Россия, г. Ульяновск, 44-й Инженерный пр-д, д. 9, офис 13
1926.05.2020РЗН 2020/10498Набор реагентов для выявления РНК коронавируса SARS-CoV-2 в клиническом материале методом полимеразной цепной реакции в реальном времени (COVID-2019 Amp)ФБУН НИИ эпидемиологии и микробиологии имени Пастера197101, Россия, г. Санкт-Петербург, ул. Мира, д. 14

Зарегистрированные в настоящее время на территории Российской Федерации наборы реагентов для выявления РНК SARS-CoV-2 могут отличаться следующими характеристиками:

- метод амплификации нуклеиновых кислот (ПЦР и петлевая изотермическая амплификация),

- чувствительность наборов (от 5 x 102 до 105),

- наличие полной комплектации от этапа выделения до получения конечного результата (только этап ПЦР или все этапы),

- наличие внутреннего контрольного образца (есть или нет),

- дизайн набора (детекция нескольких таргетных участков генома SARS-CoV-2, детекция одного таргетного участка генома SARS-CoV-2, детекция SARS-подобных участков генома коронавирусов),

- выдаваемый результат (SARS-CoV-2, или SARS-подобные вирусы без дифференцировки),

- длительность проведения исследования (от 1 часа до 6 часов).

Приложение 5-1

ЗАРЕГИСТРИРОВАННЫЕ В РОССИЙСКОЙ ФЕДЕРАЦИИ ДИАГНОСТИЧЕСКИЕ НАБОРЫ РЕАГЕНТОВ ДЛЯ ВЫЯВЛЕНИЯ ИММУНОГЛОБУЛИНОВ К SARS-COV-2 (ПО СОСТОЯНИЮ НА 26.05.2020)

NДата гос. регистрации медицинского изделияРегистрац. номер медицинского изделияНаименование медицинского изделияНаименование организации - производителя медицинского изделия или организации - изготовителя медицинского изделияМесто нахождения организации - производителя медицинского изделия или организации - изготовителя медицинского изделия
110.04.2020РЗН 2020/10017Набор реагентов для иммуноферментного выявления иммуноглобулинов класса G к коронавирусу SARS-CoV-2 "SARS-CoV-2-ИФАВектор" по ТУ 21.20.23-090-05664012-2020ФБУН ГНЦ ВБ "Вектор" Роспотребнадзора630559, Россия, Новосибирская область, р. п. Кольцово.
230.04.2020РЗН 2020/10219Набор реагентов для иммуноферментного определения IgG антител к антигену SARS-CoV-2 в сыворотке (плазме) крови "SARS-CoV-2-IgG-ИФА"ФГБУ "НМИЦ гематологии" Минздрава России125167, Россия, г. Москва, Новый Зыковский пр-зд, д. 4
330.04.2020РЗН 2020/10226Набор реагентов для выявления иммуноглобулинов класса G к коронавирусу SARS-CoV-2 методом иммуноферментного анализа "SARS-CoV-2 IgG" по ТУ 21.20.23-8660-17253567-2020ООО НПФ "Литех"119435, Россия, г. Москва, ул. Малая Пироговская, д. 1, стр. 3
407.05.2020РЗН 2020/10270Набор реагентов для определения антител IgG к штамму SARS-CoV-2 коронавируса иммунохемилюминесцентным методом в клиническом образце на анализаторах серии CL для диагностики in vitro"Шэньчжэнь Майндрэй Био-Медикал Электроникс Ко., Лтд."КНР, Shenzhen Mindray Bio-Medical Electronics Co., Ltd., Mindray Building, Keji 12th Road South, High-Tech Industrial Park, Nanshan, Shenzhen 518057, P.R. of China
508.05.2020РЗН 2020/10268Набор реагентов для анализа сыворотки или плазмы крови человека на наличие специфических иммуноглобулинов класса G к нуклеокапсиду вируса SARS-Cov-2 методом иммуноферментного анализа (Набор реагентов "ИФА анти-SARS-Cov-2 IgG") по ТУ 21.20.23-324-78095326-2020ФБУН ГНЦ ПМБ142279, Россия, Московская область, Серпуховский район, п. Оболенск
612.05.2020РЗН 2020/10309Набор реагентов для определения антител IgG к коронавирусу SARS-Cov-2 (Anti-SARS-Cov-2 ELISA (IgG))"ЕВРОИММУН Медицинише Лабордиагностика ГмбХ"Германия, "EUROIMMUN Medizinische Labordiagnostika AG", Seekamp 31, 23560 Luebeck, Germany
712.05.2020РЗН 2020/10307Набор реагентов для определения антител IgA к коронавирусу SARS-CoV-2 (Anti-SARS-CoV-2 ELISA (IgA))"ЕВРОИММУН Медицинише Лабордиагностика ГмбХ"Германия, "EUROIMMUN Medizinische Labordiagnostika AG", Seekamp 31, 23560 Luebeck, Germany
818.05.2020РЗН 2020/10388Набор реагентов для иммуноферментного выявления иммуноглобулинов класса G к SARS-CoV-2 (SARS-CoV-2-IgG-ИФА-БЕСТ) по ТУ 21.20.23-107-23548172-2020АО "Вектор-Бест"630559, Россия, Новосибирская область, р. п. Кольцово, а/я 121
918.05.2020РЗН 2020/10389Набор реагентов для иммуноферментного выявления иммуноглобулинов класса M к SARS-CoV-2 (SARS-CoV-2-IgM-ИФА-БЕСТ) по ТУ 21.20.23-108-23548172-2020АО "Вектор-Бест"630559, Россия, Новосибирская область, р. п. Кольцово, а/я 121
1018.05.2020РЗН 2020/10393Набор реагентов для иммуноферментного выявления иммуноглобулинов класса G к рецептор-связывающему домену поверхностного гликопротеина S (spike) коронавируса SARS-CoV-2 "SARS-CoV-2-RBDИФА-Гамалеи" по ТУ 21.20.23-090-01894956-2020ФГБУ "НИЦЭМ им. Н.Ф. Гамалеи" Минздрава России (филиал "Медгамал")123098, Россия, Москва, ул. Гамалеи, д. 18
1122.05.2020РЗН 2020/10464Набор реагентов для выявления антител к коронавирусу SARS-CoV-2 (COVID-19) методом иммуноферментного анализа ("ДС-ИФА-АНТИ-SARSCoV-2") по ТУ 21.20.23-237-05941003-2020ООО "НПО "Диагностические системы"603093, Россия, г. Нижний Новгород, ул. Яблонева, д. 22, а/я 69
1226.05.2020РЗН 2020/10501Набор реагентов для качественного выявления иммуноглобулинов класса G к коронавирусу SARS-CoV-2 методом иммуноферментного анализа "ЭБМ-SARSCoV-2-ИФА-IgG" по ТУ 21.20.23-001-30224197-2020ООО "Эпидбиомеддиагностика"111672, Россия, г. Москва, ул. Салтыковская д. 26, стр. 1

Приложение 5-2

ЗАРЕГИСТРИРОВАННЫЕ В РОССИЙСКОЙ ФЕДЕРАЦИИ ЭКСПРЕСС-ТЕСТЫ ДЛЯ ВЫЯВЛЕНИЯ ИММУНОГЛОБУЛИНОВ К SARS-COV-2 (ПО СОСТОЯНИЮ НА 26.05.2020)

NДата гос. регистрации медицинского изделияРегистрац. номер медицинского изделияНаименование медицинского изделияНаименование организации - производителя медицинского изделия или организации - изготовителя медицинского изделияМесто нахождения организации - производителя медицинского изделия или организации - изготовителя медицинского изделия
124.04.2020РЗН 2020/10177Экспресс-тест COVID-19 IgG/IgM (Цельная кровь/сыворотка/плазма)"Инзек Интернешнел Трейдинг Б.В."Нидерланды, Inzek International Trading B. V., Vissenstraat 32, 7324 AL, Apeldoorn, Netherlands
230.04.2020РЗН 2020/10218Набор реагентов для иммунохроматографического выявления антител к вирусу SARS-CoV-2 в сыворотке (плазме) крови "ХЕМАТест анти-SARS-CoV-2"ООО "ХЕМА"105264, Россия, Москва, ул. 9-я Парковая, д. 48
314.05.2020РЗН 2020/10334Экспресс-тест на антитела IgG к коронавирусу-возбудителю COVID-19 ("Экспресс-тест антитела COVID-19") по ТУ 21.20.23-323-78095326-2020ФБУН ГНЦ ПМБ142279, Россия, Московская область, Серпуховский район, п. Оболенск, территория "Квартал А"
415.05.2020РЗН 2020/10375Набор реагентов SARS-CoV-2 Antibody Test (colloidal gold immunochromatography) для выявления антител IgM/IgG к коронавирусу иммунохроматографическим методом"Бейджинг Лепу Медикал Технолоджи Ко., Лтд." Beijing Lepu Medical Technology Co., Ltd.Китай, Building 7-1, No. 37 ChaoQian Road, Changping District, Beijing 102200, China
518.05.2020РЗН 2020/10345Набор реагентов для иммунохроматографического выявления антител к вирусу SARS-CoV-2 в образцах цельной крови, сыворотки или плазмы (SGTI-flex COVID-19 IgM/IgG)ООО "АВИВИР"Республика Корея, 721-26, Jeongjungyeonje-ro, Osong-eup, Heungdeok-gu, Cheongju-si, Chungcheongbuk-do 28161, Republic of Korea
622.05.2020РЗН 2020/10432Набор реагентов "Экспресс тест Sinocare SARSCoV-2 Antibody Test Strip" для качественного обнаружения общих антител IgG и IgM к коронавирусу методом иммунохроматографического анализа с коллоидным золотом"Чанша Синокер Инк."Китай, Changsha Sinocare Inc., No.265 Guyuan Road, Hi-Tech Zone, Changsha, 410205, P.R. of China
722.05.2020РЗН 2020/10461Набор реагентов VivaDiagтм SARS-CoV-2 IgM/IgG rapid test для качественного определения антител IgM и IgG к коронавирусу SARS-CoV-2 иммунохроматографическим методом"Вивачек Биотек (Ханчжоу) Ко., Лтд."Китай, VivaChek Bioteck (Hangzhou) Co., Ltd., Level 2, Block 2, 146 East Chaofeng Rd., Yuhang Economy Development Zone, Hangzhou 311100 Zhejiang, China
822.05.2020РЗН 2020/10467Набор реагентов COVID-19 IgM/lgG Ab Test для выявления антител IgM/IgG к коронавирусу иммунохроматографическим методом"Кор Текнолоджи Ко., Лтд."Китай, Core Technology Co., Ltd., Room 100, C Building, No. 29 Life Park Road, Changping District, Beijing, 102206, China
922.05.2020РЗН 2020/10468Набор реагентов Вондфо SARS-CoV-2 тест на общие антитела IgG/IgM (Иммунохроматографический метод)"Гуанчжоу Вондфо Байотек Ко., Лтд."Китай, Guangzhou Wondfo Biotech Co., Ltd., N 8, Lizhishan Road, Science City, Luogang District, 510663, Guangzhou, P. R. China
1022.05.2020РЗН 2020/10469Экспресс-тест COVID-19 IgG/IgM"Инзек Интернешнел Трейдинг Б.В."Нидерланды, Inzek International Trading B. V., Vissenstraat 32, 7324 AL, Apeldoorn, Netherlands
1122.05.2020РЗН 2020/10451Тест на наличие антител к коронавирусу 2019-nCoV (на основе коллоидного золота) "Инновита""Инновита (Таншань) Биолоджикал Технолоджи Ко., Лтд."Китай, Innovita (Tangshan) Biological Technology Co., Ltd., No. 699 Juxin Street, High-tech Industrial Development Zone, Qian'an, Hebei, 064400, China
1225.05.2020РЗН 2020/10455Экспресс-тест иммунохроматографический для обнаружения антител IgG/IgM к коронавирусу 2019-nCoV/standard q covid-19 (igm/igg) duoXiamen Biotime Biotechnology Co. (Сямэнь Биотайм Биотехнолоджи Ко)Китай, No.188, Pingcheng South Road, Haicang District, Xiamen Fujian 361026, China
1325.05.2020РЗН 2020/10446Набор реагентов для иммунохроматографического выявления антител к вирусу SARS-CoV-2 в образцах цельной крови, сыворотки или плазмы 2019-nCoV (Colloidal Gold)"Инновита (Таншань) Биолоджикал Технолоджи Ко., Лтд."Китай, Innovita (Tangshan) Biological Technology Co., Ltd., No. 699 Juxin Street, High-tech Industrial Development Zone, Qian'an, Hebei, 064400, China

Приложение 6-1

ЛЕКАРСТВЕННЫЕ ПРЕПАРАТЫ, КОТОРЫЕ ЗАПРЕЩЕНО ИЛИ НЕ ЖЕЛАТЕЛЬНО ПРИНИМАТЬ С ЭТИОТРОПНОЙ ТЕРАПИЕЙ COVID19 <1>

МНН лекарственного препаратаЭтиотропная терапия COVID19
Лопинавир/ритонавирХлорохинГидроксихлорохин
Антиретровирусные препараты <2>
Лопинавир/ритонавирНе применимоНе желательноНе желательно
АтазанавирНе применимоНе желательноНе желательно
СаквинавирНе применимоЗапрещеноЗапрещено
Рилпивирин/тенофовир/эмтрицитабинНе применимоНе желательноНе желательно
Антиаритмические средства
АмиодаронЗапрещено <3>ЗапрещеноЗапрещено
Антимикробные средства
РифампицинЗапрещеноЗапрещеноЗапрещено
РифапентинНе желательно <4>ЗапрещеноЗапрещено
Антиконвульсанты
КарбамазепинНе желательноЗапрещеноЗапрещено
ФенобарбиталНе желательноЗапрещеноЗапрещено
ПримидонНе желательноЗапрещеноЗапрещено
Антипсихотические средства (нейролептики)
КветиапинЗапрещеноНе желательноНе желательно
ЗипрасидонЗапрещеноЗапрещеноЗапрещено
Снотворные и седативные средства
МидазоламЗапрещеноРазрешеноРазрешено
Противорвотные
ДомперидонЗапрещеноНе желательноНе желательно
Диуретические калий сберегающие средства
ЭплеренонЗапрещеноРазрешеноРазрешено
Антиангинальные средства
ИвабрадинЗапрещеноНе желательноНе желательно
РанолазинЗапрещеноНе желательноНе желательно
Гиполипидемические средства
ЛовастатинЗапрещеноРазрешеноРазрешено
СимвастатинЗапрещеноРазрешеноРазрешено
Иммунодепрессивные средства
СиролимусЗапрещеноНе желательноНе желательно
Глюкокортикостероиды для местного применения
БудесонидЗапрещеноРазрешеноРазрешено
ФлутиказонЗапрещеноРазрешеноРазрешено
Глюкокортикостероиды
ТриамцинолонЗапрещеноРазрешеноРазрешено

Примечание:

1. Данная таблица содержит список основных лекарственных взаимодействий, с полным перечнем можно ознакомиться на сайте https://www.covid19-druginteractions.org/

2. Основные взаимодействия хлорохина и гидроксихлорохина с антиретровирусными препаратами связаны с потенцированием пролонгирования интервала QT, вытекающей опасностью фибрилляции желудочков, необходимостью частого мониторирования ЭКГ у данных больных.

3. Запрещено - серьезные лекарственные взаимодействия, исключающие совместное назначение лекарственных средств

4. Не желательно - потенциальные лекарственные взаимодействия, которые требуют специального (пристального) мониторирования, изменения дозирования или времени приема препаратов

Приложение 6-2

ЛЕКАРСТВЕННЫЕ ВЗАИМОДЕЙСТВИЯ АНТИТРОМБОТИЧЕСКИХ И ПРЕПАРАТОВ ДЛЯ ЛЕЧЕНИЯ ПАЦИЕНТОВ С COVID-19

Приложение 7

СПИСОК ВОЗМОЖНЫХ К НАЗНАЧЕНИЮ ЛЕКАРСТВЕННЫХ СРЕДСТВ ДЛЯ ЛЕЧЕНИЯ COVID-19 У ВЗРОСЛЫХ

Препарат (МНН)Механизм действияФормы выпускаСхемы назначенияПротивопоказания, особые указания, побочные эффектыСсылки
ФавипиравирИнгибирует РНК-зависимую РНК-полимеразу вируса SARS-CoV-2ТаблеткиДля пациентов массой тела менее 75 кг:
по 1600 мг 2 раза в сутки
в День 1 и далее по 600 мг 2 раза в сутки в Дни 2 - 10.
Для пациентов массой тела от 75 кг до 90 кг (включительно):
по 2000 мг 2 раза в сутки
в День 1 и далее по 800 мг 2 раза в сутки в Дни 2 - 10.
Для пациентов массой тела более 90 кг: по 2400 мг 2 раза в сутки
в День 1 и далее по 1000 мг 2 раза в сутки в Дни 2 - 10.
Повышенная чувствительность к фавипиравиру. Тяжелая печеночная недостаточность. Почечная недостаточность тяжелой и терминальной степени тяжести
(СКФ < 30 мл/мин).
Беременность или планирование беременности во время приема препарата и в течение 7 дней после его окончания.
Период грудного вскармливания. Детский возраст до 18 лет.
156, 157, 158
С осторожностью
У пациентов с подагрой и гиперурикемией в анамнезе, у пожилых пациентов, пациентов с печеночной недостаточностью легкой и средней степени тяжести, пациентов с почечной недостаточностью средней степени тяжести (СКФ < 60 мл/мин и >= 30 мл/мин).
Применение препарата возможно только в условиях стационарной медицинской помощи.
При назначении препарата женщинам, способным к деторождению, необходимо подтвердить отрицательный результат теста на беременность до начала лечения. Женщинам, способным к деторождению, необходимо использовать наиболее эффективные методы контрацепции. При назначении препарата пациентам мужчинам необходимо использовать наиболее эффективные методы контрацепции при сексуальных контактах во время приема препарата и в течение 7 дней после его окончания (презерватив со спермицидом).
ГидроксихлорохинИспользуется для лечения малярии и некоторых системных заболеваний соединительной ткани. Блокирует репликацию вируса, подавляет его цитопатическое действие и предотвращает стимуляцию неспецифического воспалительного ответа, которая отмечена у пациентов с COVID-19.ТаблеткиСхема 1 <*>:
800 мг в первый день (400 мг 2 р/сут), далее 400 мг в сутки (200 мг 2 р/сут), в течение 6 - 8 дней
ИЛИ
Схема 2 <**>
400 мг в первый день (200 мг 2 р/сут), далее 200 мг в сутки (100 мг 2 р/сут), в течение 6 - 8 дней
С осторожностью
пациентам с удлиненным интервалом QT, нарушением сердечного ритма (особенно в сочетании с макролидом), пациентам с почечной и печеночной недостаточностью, гепатитом, при перенесенных гематологических заболеваниях, при псориазе.
23, 93
Противопоказан пациентам с ретинопатией; беременным женщинам.
Часто вызывают нарушение сна, анорексию, тромбоцитопению, головную боль.
МефлохинСхема 1 <*>:
750 мг в 1-й (250 мг 3 р/сут),
500 мг во 2-й день (250 мг 2 р/сут), далее 250 мг 1 р/сут в течение 5 - 8 дней
ИЛИ
Схема 2 <**>
500 мг в 1-й и 2-й дни (250 мг 2 р/сут), далее 250 мг 1 р/сут в течение 5 - 8 дней
30, 33, 46
При приеме мефлохина следует избегать деятельности, требующей высокой концентрации внимания и скорости психомоторных реакций.
АзитромицинПолусинтетический антибиотик из группы макролидов, имеются данные о повышении эффективности в отношении COVID-19 при совместном применении с гидроксихлорохином.Таблетки Лиофилизат для приготовления раствора для в/в инфузий250 мг per os или в/в 1 раз в сутки 5 днейЧасто вызывает нарушения зрения, слуха, диарею, боли в животе, артралгии, лимфопению, сыпь. Противопоказан при тяжелой печеночной и/или почечной недостаточности, при беременности.
С осторожностью
пациентам с удлиненным интервалом QT при совместном назначении терфенадина, варфарина, дигоксина.
39
Лопинавир + РитонавирЛопинавир - ингибитор ВИЧ-1 и ВИЧ-2 протеазы ВИЧ. Ритонавир - ингибитор аспартилпротеаз ВИЧ-1 и ВИЧ-2Таблетки400 мг +100 мг per os каждые 12 ч в течение 14 дней.Учитывать лекарственное взаимодействие с др. препаратами.
Противопоказание - дефицит лактазы, непереносимость лактозы, глюкозо-галактозная мальабсорбция, тяжелая печеночная недостаточность
18, 29, 59
Рекомбинантный Применяется для лечения рассеянного склероза, обладает противовирусным и иммуномодулирующим эффектом.Раствор0.25 мг/мл (8 млн. МЕ) подкожно в течение 14 дней
(всего 7 инъекций)
Часто вызывает гриппоподобный симптомокомплекс, реакции в месте введения препарата
Противопоказан при беременности.
42
Рекомбинантный Обладает местным иммуномодулирующим, противовоспалительным и противовирусным действием.РастворПо 3 капли в каждый носовой ход (3000 МЕ)
5 раз в день в течение 5 дней
 18, 21, 59, 73
УмифеновирПо механизму противовирусного действия относится к ингибиторам слияния (фузии), взаимодействует с гемагглютинином вируса и препятствует слиянию липидной оболочки вируса и клеточных мембран.Капсулыпо 200 мг 4 раза в день в течение 5 - 7 днейПротивопоказан при беременности.101, 103, 111

Примечания:

<*> Схема 1: применение допустимо в условиях стационара при наличии возможности мониторинга интервала QT.

<**> Схема 2: может применяться в амбулаторной практике или при отсутствии возможности мониторинга интервала QT.

Приложение 8

ПРЕПАРАТЫ УПРЕЖДАЮЩЕЙ ПРОТИВОВОСПАЛИТЕЛЬНОЙ ТЕРАПИИ COVID-19 У ВЗРОСЛЫХ

Препарат (МНН)Механизм действияФормы выпускаСхемы назначенияПротивопоказанияСсылки
ТоцилизумабПрепараты на основе моноклональных антител, ингибируют рецепторы ИЛ-6. Применяются для лечения юношеского артрита с системным началом и ревматоидного артрита. При лечении COVID-19 предназначены для пациентов со среднетяжелым и тяжелым течением: с острым респираторным дистресс-синдромом, тяжелым жизнеугрожающим синдромом высвобождения цитокинов.Концентрат для приготовления раствора для инфузий4 - 8 мг/кг/введение
400 мг разводят в 100 мл 0,9% раствора NaCl, вводят внутривенно капельно в течение 60 минут.
Вводить не более 800 мг.
При недостаточном эффекте повторить введение через 12 ч <*>.
- Активные инфекционные заболевания (в том числе туберкулез), за исключением тяжелой формы COVID-19;
- Гиперчувствительность к любому компоненту препаратов;
- Иммуносупрессивная терапия при трансплантации органов;
- Сопутствующие заболевания, связанные, согласно клиническому решению, с неблагоприятным прогнозом;
- Нейтропения < 0,5 * /л;
- Повышение активности АСТ или АЛТ более чем в 5 раз превышает верхнюю границу нормы;
- Тромбоцитопения < 50 * /л.
- Беременность и лактация
14, 34, 60
СарилумабРаствор шприц-ручкаСарилумаб 200 мг или 400 мг
(предварительно заполненный шприц-ручку в дозировке 200 мг (1 или 2 шприца в зависимости от дозы)) развести в 100 мл 0,9% раствора NaCl, вводить внутривенно капельно в течение 60 минут, при недостаточном эффекте повторить введение через 12 ч.
ОлокизумабРаствор для подкожного введенияОлокизумаб 160 мг/мл - 0,4 мл подкожно однократно.
Олокизумаб является гуманизированным моноклональным антителом изотипа иммуноглобулина (Ig) G4/каппа, разработанным в качестве антагониста ИЛ-6. Применяются для лечения ревматоидного артрита и COVID-19 у пациентов старше 18 лет.
КанакинумабПрепарат на основе моноклональных антител, ингибирует рецепторы . Применяется для лечения юношеского артрита с системным началом, аутовоспалительных синдромов, подагры. При лечении COVID-19 предназначен для пациентов со среднетяжелым и тяжелым течением: с острым респираторным дистресс-синдромом, тяжелым жизнеугрожающим синдромом высвобождения цитокинов.ЛиофилизатКанакинумаб 4 - 8 мг/кг
150 мг лиофилизата растворяют в 1 мл воды для инъекций. Приготовленный концентрат вводят во флакон с 250 мл 5% раствора глюкозы. Не встряхивают.
Доза канакинумаба
(объем концентрата для приготовления раствора (150 мг/мл)
750 мг - 5 мл (требуется по 1 мл воды для инъекций для каждого из 5 флаконов)
600 мг - 4 мл (требуется по 1 мл воды для инъекций для каждого из 4 флаконов)
450 мг - 3 мл (требуется по 1 мл воды для инъекций для каждого из 3 флаконов)
- Сепсис, подтвержденный патогенами, отличными от COVID-19;
- Гиперчувствительность к канакинумабу и любому компоненту препарата;
- Вирусный гепатит B;
- Сопутствующие заболевания, связанные, согласно клиническому решению, с неблагоприятным прогнозом;
- Иммуносупрессивная терапия при трансплантации органов;
- Нейтропения составляет < 0,5 * /л;
- Повышение активности АСТ или АЛТ более чем в 5 раз превышает верхнюю границу нормы;
- Тромбоцитопения < 50 * /л.
При беременности нежелателен
 
БарицитинибЯвляется селективным ингибитором JAK1 и JAK2 киназ, применяется для лечения ревматоидного артрита. При лечении COVID-19 предназначен для пациентов со среднем и среднетяжелым течением в качестве дополнительной терапииТаблетки4 мг один раз в сутки в течение 7 - 14 дней- Сепсис, подтвержденный патогенами, отличными от COVID-19
- Лимфопения < 0,5 * кл/л,
- Нейтропения < 0,5 * /л,
- Гемоглобин < 8 г/дл,
- Клиренс креатинина < 30 мл/мин,
- Тяжелая печеночная недостаточность/если есть подозрение на лекарственное повреждение печени,
- Активный гепатит B, C,
- Активный туберкулез,
- ТВГ/ТЭЛА в анамнезе
С осторожностью:
возраст старше 75 лет,
прием ЦОГ-2 ингибиторов
107, 114, 118
Тофацитиниб10 мг 2 раза в сутки в течение 7 - 14 дней 

<*> Дополнительное назначение ингибиторов ИЛ6Р в той же дозе через 12 ч:

- отсутствие или недостаточный клинический эффект, или

- отсутствие снижения концентрации высокочувствительного СРБ < 50% от исходного, и/или

- отсутствие снижения концентрации D-димера, фибриногена или ферритина.

Приложение 9

СПИСОК ВОЗМОЖНЫХ К НАЗНАЧЕНИЮ АНТИТРОМБОТИЧЕСКИХ ПРЕПАРАТОВ ДЛЯ ЛЕЧЕНИЯ COVID-19 У ВЗРОСЛЫХ

ПрепаратПрофилактическая дозаПромежуточная дозаЛечебная доза
Нефракционированный гепаринПодкожно 5000 ЕД 2 - 3 раза/сут.Подкожно 7500 ЕД 2 - 3 раза/сут.В/в инфузия оптимально под контролем анти-Xa активности (АЧТВ может повышаться при COVID-19, поэтому может быть ненадежным). Начальная доза при венозных тромбоэмболических осложнениях - внутривенно болюсом 80 ЕД/кг (максимально 5000 ЕД) и инфузия с начальной скоростью 18 ЕД/кг/ч.
Далтепарин <*>Подкожно 5000 МЕ 1 раз/сут.Подкожно 5000 МЕ 2 раза/сут. <**>Подкожно 100 МЕ/кг 2 раза/сут.
Надропарин кальция <*>Подкожно 3800 МЕ (0,4 мл) 1 раз/сут при массе тела <= 70 кг или 5700 МЕ (0,6 мл) 1 раз/сут при массе тела > 70 кг.Подкожно 5700 МЕ
(0,6 мл) 2 раза/сут. <**>
Подкожно 86 МЕ/кг 2 раза/сут.
Эноксапарин натрия <*>Подкожно 4000 МЕ (40 мг) 1 раз/сут.Подкожно 4000 МЕ (40 мг) 2 раза/сут; возможно увеличение до 50 МЕ (0,5 мг)/кг 2 раза/сут. <**>Подкожно 100 МЕ (1 мг)/кг 2 раза/сут, при клиренсе креатинина 15 - 30 мл/мин 100 МЕ (1 мг)/кг 1 раз/сут.
Фондапаринукс натрия <*>Подкожно 2,5 мг 1 раз/сут. Лечение венозных тромбоэмболических осложнений:
5 мг 1 раз/сут при массе тела до 50 кг; 7,5 мг 1 раз/сут при массе тела 50 - 100 кг; 10 мг 1 раз/сут при массе тела выше 100 кг.

Примечания:

<*> при выраженной почечной недостаточности противопоказаны (см. инструкцию к препаратам);

<**> единого определения промежуточных доз антикоагулянтов нет.

Рутинное мониторирование анти-Xa активности в крови при подкожном введении антикоагулянтов не требуется. Оно может быть рассмотрено для подбора дозы у больных с повышенным риском кровотечений и/или тромбоза. Целевые значения для профилактического применения 0,2 - 0,6 анти-Xa ЕД/мл, для лечебных доз 0,6 - 1,0 анти-Xa ЕД/мл. При применении НМГ кровь для определения анти-Xa активности берется через 4 - 6 ч после введения препарата (оптимально после 3 - 4-х инъекций), при подкожном введении промежуточных доз НФГ - посередине между инъекциями, при внутривенной инфузии НФГ - через 6 часов после каждого изменения дозы.

Приложение 10

РЕКОМЕНДОВАННЫЕ СХЕМЫ ЛЕЧЕНИЯ В ЗАВИСИМОСТИ ОТ ТЯЖЕСТИ ЗАБОЛЕВАНИЯ

Форма заболеванияВозможные варианты схем лечения
Легкие формыСхема 1: Гидроксихлорохин <*>
ИЛИ
Схема 2: Мефлохин <*>
ИЛИ
Схема 3: + умифеновир
Среднетяжелые формыСхема 1: Фавипиравир +/- барицитиниб или тофацитиниб
ИЛИ
Схема 2: Гидроксихлорохин + азитромицин +/- барицитиниб или тофацитиниб
ИЛИ
Схема 3: Мефлохин + азитромицин +/- барицитиниб или тофацитиниб
ИЛИ
Схема 4: Лопинавир/ритонавир + +/- барицитиниб или тофацитиниб
ИЛИ
Схема 5: Фавипиравир +/- Олокизумаб
ИЛИ
Схема 6: Гидроксихлорохин + азитромицин +/- Олокизумаб
ИЛИ
Схема 7: Мефлохин + азитромицин +/- Олокизумаб
ИЛИ
Схема 8: Лопинавир/ритонавир + +/- Олокизумаб
Тяжелые формы (пневмония с развитием дыхательной недостаточности, ОРДС)Схема 1: Фавипиравир +/- тоцилизумаб или сарилумаб
ИЛИ
Схема 2: Гидроксихлорохин + азитромицин +/- тоцилизумаб или сарилумаб
ИЛИ
Схема 3: Мефлохин + азитромицин +/- тоцилизумаб или сарилумаб
ИЛИ
Схема 4: Лопинавир/ритонавир + +/- тоцилизумаб или сарилумаб
ИЛИ
Схема 5: Лопинавир/ритонавир + гидроксихлорохин +/- тоцилизумаб или сарилумаб
Цитокиновый шторм (COVID-19 индуцированный вторичный гемофагоцитарный лимфогистиоцитоз)Схема 1: Метилпреднизолон + тоцилизумаб (сарилумаб)
ИЛИ
Схема 2: Дексаметазон + тоцилизумаб (сарилумаб)
ИЛИ
Схема 3: Метилпреднизолон + канакинумаб
ИЛИ
Схема 4: Дексаметазон + канакинумаб
ИЛИ (при наличии противопоказаний к применению генно-инженерных биологических препаратов):
Схема 5: Метилпреднизолон или дексаметозон
ИЛИ (при наличии противопоказаний к применению глюкокортикоидов):
Схема 6: Тоцилизумаб или сарилумаб или канакинумаб

Примечание:

<*> возможно в комбинации с .

Приложение 11

Приложение 12

РЕКОМЕНДОВАННЫЕ СХЕМЫ МЕДИКАМЕНТОЗНОЙ ПРОФИЛАКТИКИ COVID-19

ГруппаРекомендованная схема
Здоровые лица и лица из группы риска (старше 60 лет или с сопутствующими хроническими заболеваниями)Рекомбинантный .
Капли или спрей в каждый носовой ход 5 раз в день
(разовая доза - 3000 МЕ, суточная доза - 15000 - 18000 МЕ)
в течение 5 дней.
Постконтактная профилактика у лиц при единичном контакте с подтвержденным случаем COVID-19, включая медицинских работниковГидроксихлорохин
1-й день: 400 мг 2 раза (утро, вечер),
далее по 400 мг 1 раз в неделю в течение 3 недель;
Мефлохин
1-й и 2-й дни: 250 мг 2 раза (утро, вечер),
3-й день: 250 мг в сутки,
далее по 250 мг 1 раз в неделю в течение 3 недель.
Профилактика COVID-19 у лиц, находящихся в очаге инфекции, включая медицинских работниковГидроксихлорохин
1-й день: 400 мг 2 раза с интервалом 12 ч,
далее по 400 мг 1 раз в неделю в течение 8 недель;
Мефлохин
1-й и 2-й дни: 250 мг 2 раза с интервалом 12 ч,
3-й день: 250 мг в сутки,
далее по 250 мг 1 раз в неделю в течение 8 недель.

Приложение 13

ИНСТРУКЦИЯ ПО СОБЛЮДЕНИЮ МЕР ИНФЕКЦИОННОЙ БЕЗОПАСНОСТИ ДЛЯ ВЫЕЗДНЫХ БРИГАД СКОРОЙ МЕДИЦИНСКОЙ ПОМОЩИ

1. Медицинские работники выездной бригады скорой медицинской помощи, выполняющей вызов к пациенту с подозрением на новую коронавирусную инфекцию COVID-19, непосредственно перед выездом надевают СИЗ. Средства индивидуальной защиты меняются после каждого больного.

2. Водитель выездной бригады скорой медицинской помощи также обеспечивается СИЗ.

3. В процессе медицинской эвакуации пациента с подозрением на новую коронавирусную инфекцию COVID-19 дезинфекция воздуха в салоне автомобиля скорой медицинской помощи обеспечивается бактерицидными облучателями и (или) другими устройствами для обеззараживания воздуха и (или) поверхностей.

4. В случае загрязнения салона биологическим материалом от пациента с подозрением на новую коронавирусную инфекцию COVID-19 места загрязнения незамедлительно подвергают обеззараживанию.

5. Водитель и медицинские работники выездных бригад скорой медицинской помощи обязаны продезинфицировать обувь, СИЗ рук в отведенных местах после передачи пациента в медицинскую организацию, оказывающую медицинскую помощь в стационарных условиях, специально созданную для данного контингента пациентов (далее - специальная медицинская организация).

6. После завершения медицинской эвакуации пациента с подозрением на новую коронавирусную инфекцию COVID-19 в специальную медицинскую организацию автомобиль скорой медицинской помощи и предметы, использованные при медицинской эвакуации, обеззараживаются силами дезинфекторов на территории специальной медицинской организации на специально оборудованной площадке со стоком и ямой.

7. При невозможности проведения дезинфекции салона автомобиля скорой медицинской помощи силами дезинфекторов на территории специальной медицинской организации дезинфекция проводится водителем и медицинскими работниками выездной бригады скорой медицинской помощи.

8. Дезинфекции в салоне автомобиля скорой медицинской помощи подвергают все поверхности в салоне, в том числе поверхности медицинских изделий.

9. Обработка поверхностей проводится способом протирания ветошью, смоченной дезинфицирующим раствором, или способом орошения путем распыления дезинфицирующего раствора.

10. После экспозиции дезинфицирующий раствор смывают чистой водой, протирают сухой ветошью с последующим проветриванием до исчезновения запаха дезинфектанта.

11. СИЗ, использовавшиеся при оказании медицинской помощи, уборочную ветошь собирают в пакеты и сбрасывают в специальные контейнеры для отходов класса В на территории специальной медицинской организации.

12. После проведения дезинфекции в салоне автомобиля скорой медицинской помощи при возвращении выездной бригады скорой медицинской помощи на станцию (подстанцию, отделение) скорой медицинской помощи проводится обеззараживание воздуха и поверхностей салона автомобиля скорой медицинской помощи бактерицидными облучателями и (или) другими устройствами для обеззараживания воздуха и (или) поверхностей в течение не менее 20 минут.

13. Водитель и медицинские работники выездной бригады скорой медицинской помощи после выполнения вызова обязаны пройти санитарную обработку, включающую протирание открытых участков тела кожным антисептиком.

Приложение 14

АЛГОРИТМ ДЕЙСТВИЙ МЕДИЦИНСКИХ РАБОТНИКОВ, ОКАЗЫВАЮЩИХ МЕДИЦИНСКУЮ ПОМОЩЬ В АМБУЛАТОРНЫХ УСЛОВИЯХ, В ТОМ ЧИСЛЕ НА ДОМУ, ПАЦИЕНТАМ С ОСТРЫМИ РЕСПИРАТОРНЫМИ ВИРУСНЫМИ ИНФЕКЦИЯМИ

N группыТиповые случаиТактика ведения
1.Контактный.оформление листка нетрудоспособности на 14 дней;
изоляция на дому на 14 дней;
в случае появления симптомов ОРВИ или других заболеваний пациент вызывает врача на дом;
забор мазка из носо- и ротоглотки в день обращения с первичным осмотром врача (в кратчайшие сроки), при появлении клинических симптомов ОРВИ - немедленно.
Был контакт с пациентом с установленным диагнозом новой коронавирусной инфекции COVID-19.
Симптомы ОРВИ отсутствуют.
2.ОРВИ легкого течения
(за исключением ОРВИ легкого течения у пациента из группы риска).
забор мазка из носо- и ротоглотки в день обращения с первичным осмотром врача;
оформление листка нетрудоспособности на 14 дней.
изоляция на дому на 14 дней;
ежедневный аудиоконтроль состояния, повторное посещение врача в случае ухудшения состояния пациента;
забор контрольного мазка из носо- и ротоглотки (с 10 по 14 день дважды - в подтвержденном случае COVID-19);
выписка в соответствии с порядком выписки (перевода) из медицинской организации и критериями выздоровления пациентов с установленным диагнозом новой коронавирусной инфекции COVID-19 или с подозрением на новую коронавирусную инфекцию COVID-19.
Наличие 2-х критериев:
SpO2 >= 95% (обязательный критерий);
T < 38 °C;
ЧДД <= 22.
3.ОРВИ легкого течения у пациента, относящегося к группе риска (лица старше 65 лет, лица с наличием хронических заболеваний бронхолегочной, сердечно-сосудистой, эндокринной системы, системными заболеваниями соединительной ткани, хронической болезнью почек, онкологическими заболеваниями, иммунодефицитами, циррозом печени, хроническими воспалительными заболеваниями кишечника).госпитализация специализированной выездной бригадой скорой медицинской помощи.
Наличие 2-х критериев:
SpO2 >= 95% (обязательный критерий);
T < 38 °C;
ЧДД <= 22.
4.ОРВИ среднетяжелого или тяжелого течения.госпитализация специализированной выездной бригадой скорой медицинской помощи.
Наличие 2-х критериев:
SpO2 < 95% (обязательный критерий);
T >= 38 °C;
ЧДД > 22.

СПИСОК ИСПОЛЬЗОВАННЫХ СОКРАЩЕНИЙ

АКЛ - абсолютное количество лимфоцитов

АКН - абсолютное количество нейтрофилов

АПФ - ангиотензин-превращающий фермент

АЧТВ - активированное частичное тромбопластиновое время

БПВП - базисный противовоспалительный препаратам

в/в - внутривенно

ВОЗ - Всемирная организация здравоохранения

ГИБП - генно-инженерный биологический препарат

ГК - глюкокортикоиды

ГЭБ - гематоэнцефалический барьер

ДН - дыхательная недостаточность

ЖКТ - желудочно-кишечный тракт

ИВЛ - искусственная вентиляция легких

ИВРЗ - иммуновоспалительные ревматические заболевания

ИФН - интерферон

КИЕ - калликреиновые инактивирующие единицы

КНР - Китайская Народная Республика

КТ - компьютерная томография

МЕ - международные единицы измерения

МНО - международное нормализованное отношение

МО - медицинская организация

МП - метипреднизолон

НИВЛ - неинвазивная вентиляция легких

НПВП - нестероидный противовоспалительный препарат

НМГ - низкомолекулярный гепарин

НФГ - нефракционированный гепарин

ОГК - органы грудной клетки

ОДН - острая дыхательная недостаточность

ОКС - острый коронарный синдром

ОРВИ - острая респираторная вирусная инфекция

ОРИ - острая респираторная инфекция

ОРДС - острый респираторный дистресс-синдром

ОРИТ - отделение реанимации и интенсивной терапии

ПЦР - полимеразная цепная реакция

РНК - рибонуклеиновая кислота

СИЗ - средства индивидуальной защиты

СИЗОД - средства индивидуальной защиты органов дыхания

СОЭ - скорость оседания эритроцитов

СРБ - C-реактивный белок

СШ - септический шок

ТИБ - транспортировочный изолирующий бокс

ТОРИ - тяжелая острая респираторная инфекция

ТОРС (SARS) - тяжелый острый респираторный синдром

ТЭЛА - тромбоэмболия легочной артерии

УФБИ - ультрафиолетовое бактерицидное излучение

ФБС - фибробронхоскопия

- фактор некроза опухолей альфа

ХОБЛ - хроническая обструктивная болезнь легких

ЭКГ - электрокардиография

ЭКМО - экстракорпоральная мембранная оксигенация

COVID-19 - инфекция, вызванная новым коронавирусом SARS-CoV-2

CPAP - режим искусственной вентиляции легких постоянным положительным давлением

FiO2 - концентрация кислорода в дыхательной смеси

IgM - иммуноглобулины класса M

IgG - иммуноглобулины класса G

IgA - иммуноглобулины класса A

MDR - штаммы с множественной резистентностью

MERS - Ближневосточный респираторный синдром

MERS-CoV - коронавирус, вызвавший вспышку Ближневосточного респираторного синдрома

MRSA - метициллин-резистентный золотистый стафилококк

NT-proBNP - мозговой натрий-уретический пептид

PaCO2 - парциальное давление в крови углекислого газа

PaO2 - парциальное давление в крови кислорода

PEEP - постоянно положительное давление в дыхательных путях (Positive End Expiratory Pressure)

PvO2 - напряжение кислорода в венозной крови

SARS (ТОРС) - тяжелый острый респираторный синдром

SARS-CoV - коронавирус, вызвавший вспышку тяжелого острого респираторного синдрома

SARS-CoV-2 - новый коронавирус, вызвавший вспышку инфекции в 2019 - 2020 гг.

SARS-CoV-2 - новый коронавирус, вызвавший вспышку инфекции в 2019 - 2020 гг.

SOFA - шкала SOFA (Sequential Organ Failure Assessment) для оценки органной недостаточности, риска смертности и сепсиса

SpO2 - уровень насыщенности крови кислородом (сатурация)

T - температура тела

Vt - дыхательный объем (мл)/масса тела (кг) пациента

XDR - штаммы с экстремальной резистентностью

АВТОРСКИЙ КОЛЛЕКТИВ

Авдеев Сергей Николаевич - главный внештатный специалист пульмонолог, заведующий кафедрой пульмонологии федерального государственного автономного образовательного учреждения высшего образования Первый Московский государственный медицинский университет имени И.М. Сеченова Минздрава России (Сеченовский Университет), заместитель директора Федерального государственного бюджетного учреждения "Научно-исследовательский институт пульмонологии Федерального медико-биологического агентства"

Адамян Лейла Владимировна - главный внештатный специалист по акушерству и гинекологии, заместитель директора по научной работе Федерального государственного бюджетного учреждения "Национальный медицинский исследовательский центр акушерства, гинекологии и перинатологии имени академика В.И. Кулакова" Минздрава России

Алексеева Екатерина Иосифовна - главный внештатный детский специалист ревматолог, заведующая ревматологическим отделением ФГАУ "НМИЦ здоровья детей" Минздрава России, директор Клинического института детского здоровья им. Н.Ф. Филатова федерального государственного автономного образовательного учреждения высшего образования Первый Московский государственный медицинский университет имени И.М. Сеченова Минздрава России (Сеченовский Университет)

Багненко Сергей Федорович - ректор федерального государственного бюджетного образовательного учреждения высшего образования "Первый Санкт-Петербургский государственный медицинский университет имени академика И.П. Павлова" Минздрава России, главный внештатный специалист по скорой медицинской помощи Минздрава России

Баранов Александр Александрович - главный внештатный специалист педиатр, научный руководитель Федерального государственного автономного научного учреждения "Национальный медицинский исследовательский центр здоровья детей" Минздрава России

Баранова Наталья Николаевна - главный врач Центра медицинской эвакуации и экстренной медицинской помощи Федерального государственного бюджетного учреждения "Всероссийский центр медицины катастроф "Защита" Минздрава России

Белевский Андрей Станиславович - заведующий кафедрой пульмонологии Федерального государственного автономного образовательного учреждения высшего образования "Российский национальный исследовательский медицинский университет имени Н.И. Пирогова" Минздрава России, главный внештатный специалист пульмонолог Департамента здравоохранения Москвы

Белкин Андрей Августович - главный внештатный специалист по медицинской реабилитации Минздрава России в Уральском федеральном округе, профессор кафедры физической и реабилитационной медицины федерального государственного бюджетного образовательного учреждения высшего образования "Уральский государственный медицинский университет" Министерства здравоохранения Российской Федерации, директор ООО "Клинический институт мозга"

Белобородов Владимир Борисович - заведующий кафедрой инфекционных болезней Федерального государственного бюджетного образовательного учреждения дополнительного профессионального образования "Российская медицинская академия непрерывного профессионального образования" Минздрава России

Бодрова Резеда Ахметовна - заведующая кафедрой реабилитологии и спортивной медицины Казанской государственной медицинской академией, филиала Федерального государственного бюджетного образовательного учреждения дополнительного профессионального образования "Российская медицинская академия последипломного образования" Министерства здравоохранения Российской Федерации

Буйлова Татьяна Валентиновна - главный внештатный специалист по медицинской реабилитации Минздрава России в Приволжском федеральном округе, директор Института реабилитации и здоровья человека Федерального государственного автономного образовательного учреждения высшего образования "Национальный исследовательский Нижегородский государственный университет им. Н.И. Лобачевского"

Бойко Елена Алексеевна - начальник отдела координационно-аналитического центра по обеспечению химической и биологической безопасности Федерального государственного бюджетного учреждения "Центр стратегического планирования и управления медико-биологическими рисками здоровью" Минздрава России

Брико Николай Иванович - главный внештатный специалист эпидемиолог, заведующий кафедрой эпидемиологии и доказательной медицины Федерального государственного автономного образовательного учреждения высшего образования Первый Московский государственный медицинский университет имени И.М. Сеченова Минздрава России (Сеченовский Университет)

Вавилова Татьяна Владимировна - главный внештатный специалист по клинической лабораторной диагностике Минздрава России, заведующая кафедрой лабораторной медицины и генетики института медицинского образования Федерального государственного бюджетного учреждения "Национальный медицинский исследовательский центр имени В.А. Алмазова" Минздрава России

Васильева Елена Юрьевна - главный врач государственного бюджетного учреждения здравоохранения г. Москвы "Городская клиническая больница имени И.В. Давыдовского Департамента здравоохранения города Москвы", главный внештатный кардиолог города Москвы

Васильева Ирина Анатольевна - главный внештатный специалист фтизиатр Минздрава России, директор Федерального государственного бюджетного учреждения "Национальный медицинский исследовательский центр фтизиопульмонологии и инфекционных заболеваний" Минздрава России

Веселова Елена Игоревна - научный сотрудник отдела инфекционной патологии Федерального государственного бюджетного учреждения "Национальный медицинский исследовательский центр фтизиопульмонологии и инфекционных заболеваний" Минздрава России

Вишнева Елена Александровна - заместитель руководителя по науке Научно-исследовательского института педиатрии и охраны здоровья Федерального государственного бюджетного учреждения здравоохранения Центральной клинической больницы РАН

Волчкова Елена Васильевна - заведующая кафедрой инфекционных болезней Первого Московского государственного медицинского университета им. И.М. Сеченова

Волченков Григорий Васильевич - главный врач государственного бюджетного учреждения здравоохранения Владимирской области Центр специализированной фтизиопульмонологической помощи

Гапонова Татьяна Владимировна - главный внештатный специалист трансфузиолог Минздрава России, заместитель генерального директора по трансфузиологии Федерального государственного бюджетного учреждения "Национальный медицинский исследовательский центр гематологии" Минздрава России

Годков Михаил Андреевич - заведующий отделом лабораторной диагностики государственного бюджетного учреждения здравоохранения "Научно-исследовательский институт скорой помощи имени Н.В. Склифосовского" Департамента здравоохранения города Москвы

Гончаров Сергей Федорович - главный внештатный специалист по медицине катастроф Минздрава России, директор Федерального государственного бюджетного учреждения "Всероссийский центр медицины катастроф "Защита" Минздрава России

Готье Сергей Владимирович - главный внештатный трансплантолог Минздрава России, директор ФГБУ "НМИЦ ТИО им. ак. В.И. Шумакова" Минздрава России, заведующий кафедрой трансплантологии и искусственных органов Первого Московского государственного медицинского университета им. И.М. Сеченова

Даниленко Дарья Михайловна - заместитель директора по научной работе Федерального государственного бюджетного учреждения "Научно-исследовательский институт гриппа им. А.А. Смородинцева" Минздрава России

Дмитриев Александр Сергеевич - врач-инфекционист группы анализа оказания медицинской помощи при инфекционных болезнях Федерального государственного бюджетного учреждения "Национальный медицинский исследовательский центр фтизиопульмонологии и инфекционных заболеваний" Минздрава России

Драпкина Оксана Михайловна - главный внештатный специалист по терапии и общей врачебной профилактике, директор Федерального государственного учреждения "Национальный медицинский исследовательский центр профилактической медицины" Минздрава России

Дягтярев Дмитрий Николаевич - заместитель директора по научной работе Федерального государственного бюджетного учреждения "Национальный медицинский исследовательский центр акушерства, гинекологии и перинатологии имени академика В.И. Кулакова" Минздрава России

Жукова Ольга Валентиновна - главный внештатный специалист по дерматовенерологии и косметологии Минздрава России в Центральном федеральном округе, главный врач Государственного бюджетного учреждение здравоохранения "Московский научно-практический центр дерматовенерологии и косметологии Департамента здравоохранения города Москвы", и.о. заведующей кафедрой кожных и венерических болезней Федерального государственного автономного образовательного учреждения высшего образования "Российский университет дружбы народов" Минобрнауки России

Заболотских Игорь Борисович - заведующий кафедрой анестезиологии, реаниматологии и трансфузиологии Федерального государственного бюджетного образовательного учреждения высшего образования "Кубанский государственный медицинский университет" Минздрава России

Загребнева Алена Игоревна - доцент кафедры общей терапии ФУВ Федерального государственного автономного образовательного учреждения высшего образования "Российский национальный исследовательский медицинский университет имени Н.И. Пирогова" Минздрава России, главный внештатный ревматолог Департамента здравоохранения г. Москвы

Зайратьянц Олег Вадимович - главный внештатный специалист патологоанатом Департамента здравоохранения города Москвы, главный внештатный специалист-эксперт патологоанатом Росздравнадзора по Центральному федеральному округу, заведующий кафедрой патологической анатомии Федерального государственного бюджетного научного учреждения "МГМСУ им. А.И. Евдокимова" Минздрава России, вице-президент Российского общества патологоанатомов, председатель Московского общества патологоанатомов

Зайцев Андрей Алексеевич - главный пульмонолог Министерства обороны Российской Федерации, главный пульмонолог Федерального государственного бюджетного учреждения "Главный военный клинический госпиталь имени академика Н.Н. Бурденко" Министерства обороны Российской Федерации

Зюзя Юлия Рашидовна - врач-патологоанатом Федерального государственного бюджетного учреждения "Национальный медицинский исследовательский центр фтизиопульмонологии и инфекционных заболеваний" Минздрава России

Иванов Дмитрий Олегович - главный внештатный специалист неонатолог Минздрава России, ректор ФГБУ ВО Санкт-Петербургского государственного педиатрического медицинского университета

Иванова Галина Евгеньевна - главный внештатный специалист по медицинской реабилитации Минздрава России, заведующая кафедрой медицинской реабилитации факультета дополнительного профессионального образования Федерального государственного автономного образовательного учреждения высшего образования "Российский национальный исследовательский медицинский университет имени Н.И. Пирогова" Минздрава России, заведующая Отделом медицинской реабилитации Федерального государственного бюджетного учреждения ФЦМН ФМБА России

Исаева Ирина Владимировна - заместитель начальника Штаба Всероссийской службы медицины катастроф Федерального государственного бюджетного учреждения "Всероссийский центр медицины катастроф "Защита" Минздрава России

Каминский Григорий Дмитриевич - руководитель отдела инфекционной патологии Федерального государственного бюджетного учреждения "Национальный медицинский исследовательский центр фтизиопульмонологии и инфекционных заболеваний" Минздрава России

Карпов Олег Эдуардович - генеральный директор Федерального государственного бюджетного учреждения "Национальный медико-хирургический Центр имени Н.И. Пирогова" Минздрава России

Качанова Наталья Александровна - заведующая отделением организационно-методической работы Центра медицинской эвакуации и экстренной медицинской помощи Федерального государственного бюджетного учреждения "Всероссийский центр медицины катастроф "Защита" Минздрава России

Киров Михаил Юрьевич - заведующий кафедрой анестезиологии и реаниматологии Федерального государственного бюджетного образовательного учреждения высшего образования "Северный государственный медицинский университет" Минздрава России

Климов Владимир Анатольевич - руководитель службы организации медицинской помощи Федерального государственного бюджетного учреждения "Национальный медицинский исследовательский центр акушерства, гинекологии и перинатологии имени академика В.И. Кулакова" Минздрава России

Клюев Олег Игоревич - заведующий отделением анестезиологии и реанимации с палатами реанимации и интенсивной терапии Федерального государственного бюджетного учреждения "Национальный медицинский исследовательский центр фтизиопульмонологии и инфекционных заболеваний" Минздрава России

Крылов Владимир Викторович - главный внештатный нейрохирург Минздрава, директор Университетской клиники МГМСУ им. А.И. Евдокимова, заведующий кафедрой нейрохирургии и нейрореанимации МГМСУ им. А.И. Евдокимова, главный научный сотрудник отделения нейрохирургии государственного бюджетного учреждения здравоохранения "Научно-исследовательский институт скорой помощи имени Н.В. Склифосовского" Департамента здравоохранения города Москвы

Лебединский Константин Михайлович - заведующий кафедрой анестезиологии и реаниматологии имени В.Л. Ваневского Федерального государственного бюджетного образовательного учреждения высшего образования "Северо-Западный государственный медицинский университет им. И.И. Мечникова" Минздрава России

Лиознов Дмитрий Анатольевич - исполняющий обязанности директора Федерального государственного бюджетного учреждения "Научно-исследовательский институт гриппа им. А.А. Смородинцева" Минздрава России

Лобзин Юрий Владимирович - главный внештатный специалист по инфекционным болезням у детей, директор Федерального государственного бюджетного учреждения "Детский научно-клинический центр инфекционных болезней Федерального медико-биологического агентства"

Лукина Галина Викторовна - заведующий научно-исследовательским отделом ревматологии, руководитель Московского городского ревматологического центра Государственного бюджетного учреждения здравоохранения "Московский клинический научный центр им. А.С. Логинова" департамента здравоохранения г. Москвы, ведущий научный сотрудник лаборатории изучения коморбидных инфекций и мониторинга безопасности лекарственной терапии Федерального государственного бюджетного научного учреждения "Научно-исследовательский институт ревматологии им. В.А. Насоновой"

Лысенко Марьяна Анатольевна - главный врач государственного бюджетного учреждения здравоохранения "Городская клиническая больница N 52 Департамента здравоохранения города Москвы"

Мазус Алексей Израилевич - заместитель главного врача по медицинской части государственного бюджетного учреждения здравоохранения города Москвы "Инфекционная клиническая больница N 2 Департамента здравоохранения города Москвы", главный внештатный специалист по проблемам диагностики и лечения ВИЧ-инфекции Департамента здравоохранения города Москвы

Малеев Виктор Васильевич - советник директора по научной работе Федерального бюджетного учреждения науки Центральный научно-исследовательский институт эпидемиологии Федеральной службы по надзору в сфере защиты прав потребителей и благополучия человека

Малинникова Елена Юрьевна - главный внештатный специалист по инфекционным болезням Минздрава России, заведующая кафедрой вирусологии Федерального государственного бюджетного образовательного учреждения дополнительного профессионального образования "Российская медицинская академия непрерывного профессионального образования" Минздрава России

Мамонова Нина Алексеевна - научный сотрудник лаборатории генетических технологий и трансляционных исследований Федерального государственного бюджетного учреждения "Национальный медицинский исследовательский центр фтизиопульмонологии и инфекционных заболеваний" Минздрава России

Мельникова Елена Валентиновна - главный внештатный специалист по медицинской реабилитации Минздрава России в Северо-Западном федеральном округе, заместитель главного врача - руководитель регионального сосудистого центра Санкт-Петербургского государственного бюджетного учреждения здравоохранения "Городская больница N 26", профессор кафедры физических методов лечения и спортивной медицины факультета послевузовского образования федерального государственного бюджетного образовательного учреждения высшего образования "Первый Санкт-Петербургский государственный медицинский университет имени академика И.П. Павлова"

Митьков Владимир Вячеславович - заведующий кафедрой ультразвуковой диагностики Федерального государственного бюджетного образовательного учреждения дополнительного профессионального образования "Российская медицинская академия непрерывного профессионального образования" Минздрава России

Мишина Ирина Евгеньевна - проректор по учебной работе, заведующая кафедрой терапии Федерального государственного бюджетного учреждения здравоохранения "Ивановская государственная медицинская академия" Минздрава России

Молчанов Игорь Владимирович - главный внештатный специалист Минздрава России по анестезиологии-реаниматологии, заведующий кафедрой анестезиологии и реаниматологии Федерального государственного бюджетного образовательного учреждения дополнительного профессионального образования "Российская медицинская академия непрерывного профессионального образования" Минздрава России

Морозов Сергей Павлович - главный внештатный специалист по лучевой и инструментальной диагностике Минздрава России по Центральному Федеральному округу Российской Федерации, директор государственного бюджетного учреждения здравоохранения "Научно-практический клинический центр диагностики и телемедицинских технологий Департамента здравоохранения Москвы"

Насонов Евгений Львович - главный внештатный специалист ревматолог, научный руководитель Федерального государственного бюджетного научного учреждения "Научно-исследовательский институт ревматологии им. В.А. Насоновой" Минздрава России

Никитин Игорь Геннадиевич - заведующий кафедрой госпитальной терапии N 2 лечебного факультета Федерального государственного автономного образовательного учреждения высшего образования "Российский национальный исследовательский медицинский университет имени Н.И. Пирогова", директор Федерального государственного автономного учреждения "Лечебно-реабилитационный центр" Минздрава России

Никифоров Владимир Владимирович - заведующий кафедрой инфекционных болезней и эпидемиологии Федерального государственного автономного образовательного учреждения высшего образования "Российский национальный исследовательский медицинский университет имени Н.И. Пирогова" Минздрава России

Николаева Анастасия Владимировна - главный врач Федерального государственного бюджетного учреждения "Национальный медицинский исследовательский центр акушерства, гинекологии и перинатологии имени академика В.И. Кулакова" Минздрава России

Омельяновский Виталий Владимирович - генеральный директор Федерального государственного бюджетного учреждения "Центр экспертизы и контроля качества медицинской помощи" Минздрава России

Панченко Елизавета Павловна - руководитель отдела клинических проблем атеротромбоза Института кардиологии им. А.Л. Мясникова Федерального государственного бюджетного учреждения "Национальный медицинский исследовательский центр кардиологии" Минздрава России

Панова Анна Евгеньевна - заведующая отделением лабораторной диагностики Федерального государственного бюджетного учреждения "Национальный медицинский исследовательский центр фтизиопульмонологии и инфекционных заболеваний" Минздрава России

Перыгов Алексей Викторович - заведующий отделением анестезиологии и реаниматологии Федерального государственного бюджетного учреждения "Национальный медицинский исследовательский центр акушерства, гинекологии и перинатологии имени академика В.И. Кулакова" Минздрава России

Пименов Николай Николаевич - заведующий лабораторией эпидемиологии инфекционных болезней Федерального государственного бюджетного учреждения "Национальный медицинский исследовательский центр фтизиопульмонологии и инфекционных заболеваний" Минздрава России

Плоскирева Антонина Александровна - заместитель директора по клинической работе Федерального бюджетного учреждения науки Центральный научно-исследовательский институт эпидемиологии Федеральной службы по надзору в сфере защиты прав потребителей и благополучия человека

Потекаев Николай Николаевич - главный внештатный специалист по дерматовенерологии и косметологии Минздрава России и Департамента здравоохранения Москвы, директор Государственного бюджетного учреждение здравоохранения "Московский научно-практический центр дерматовенерологии и косметологии Департамента здравоохранения города Москвы", заведующий кафедрой кожных болезней и косметологии Факультета дополнительного профессионального образования Федерального государственного автономного образовательного учреждения высшего образования "Российский национальный исследовательский медицинский университет имени Н.И. Пирогова" Минздрава России

Проценко Денис Николаевич - главный внештатный специалист по анестезиологии-реаниматологии Департамента здравоохранения города Москвы, Главный врач ГБУЗ Городская клиническая больница N 40 ДЗМ, доцент кафедры анестезиологии и реаниматологии Федерального государственного автономного образовательного учреждения высшего образования "Российский национальный исследовательский медицинский университет имени Н.И. Пирогова" Минздрава России

Пушкарь Дмитрий Юрьевич - главный внештатный уролог Минздрава России, главный уролог Департамента здравоохранения города Москвы, заведующий кафедрой урологии Московского государственного медико-стоматологического университета им. А.И. Евдокимова

Пшеничная Наталья Юрьевна - руководитель международного отдела по организации оказания медицинской помощи Федерального государственного бюджетного учреждения "Национальный медицинский исследовательский центр фтизиопульмонологии и инфекционных заболеваний" Минздрава России

Ревишвили Амиран Шотаевич - главный внештатный хирург Минздрава России, директор Федерального государственного бюджетного учреждения "Национальный медицинский исследовательский центр хирургии им. А.В. Вишневского" Минздрава России

Родин Александр Анатольевич - заведующий отделением лучевой диагностики Федерального государственного бюджетного учреждения "Национальный медицинский исследовательский центр фтизиопульмонологии и инфекционных заболеваний" Минздрава России

Романов Владимир Васильевич - заместитель руководителя Федерального медико-биологического агентства

Рошаль Леонид Михайлович - Президент ГБУЗ г. Москвы "Научно-исследовательский институт неотложной детской хирургии и травматологии" Департамента здравоохранения г. Москвы; Президент Национальной медицинской палаты.

Русских Анастасия Евгеньевна - научный сотрудник отдела дифференциальной диагностики и лечения туберкулеза и сочетанных инфекций Федерального государственного бюджетного учреждения "Национальный медицинский исследовательский центр фтизиопульмонологии и инфекционных заболеваний" Минздрава России

Савченко Валерий Григорьевич - главный внештатный специалист гематолог Минздрава России, генеральный директор Федерального государственного бюджетного учреждения "Национальный медицинский исследовательский центр гематологии" Минздрава России

Самойлова Анастасия Геннадьевна - первый заместитель директора Федерального государственного бюджетного учреждения "Национальный медицинский исследовательский центр фтизиопульмонологии и инфекционных заболеваний" Минздрава России

Синицын Валентин Евгеньевич - заведующий курсом лучевой диагностики и лучевой терапии факультета фундаментальной медицины Московского государственного университета имени М.В. Ломоносова, профессор кафедры рентгенологии и радиологии Федерального государственного бюджетного образовательного учреждения дополнительного профессионального образования "Российская медицинская академия непрерывного профессионального образования" Минздрава России

Степаненко Сергей Михайлович - главный внештатный детский специалист анестезиолог-реаниматолог, профессор кафедры детской хирургии педиатрического факультета Федерального государственного автономного образовательного учреждения высшего образования "Российский национальный исследовательский медицинский имени Н.И. Пирогова" Минздрава России

Суранова Татьяна Григорьевна - заместитель начальника управления организации медицинской защиты населения от экстремальных факторов Штаба ВСМК Федерального государственного бюджетного учреждения "Всероссийский центр медицины катастроф "Защита" Минздрава России

Сухоруких Ольга Александровна - начальник отдела медицинского обеспечения стандартизации Федерального государственного бюджетного учреждения "Центр экспертизы и контроля качества медицинской помощи" Минздрава России

Ткачева Ольга Николаевна - главный внештатный специалист гериатр Минздрава России, директор обособленного структурного подразделения "Российский геронтологический научно-клинический центр" Федерального государственного автономного образовательного учреждения высшего образования "Российский национальный исследовательский медицинский имени Н.И. Пирогова" Минздрава России

Трагира Ирина Николаевна - руководитель центра инфекционных болезней Федерального государственного бюджетного учреждения "Национальный медицинский исследовательский центр фтизиопульмонологии и инфекционных заболеваний" Минздрава России

Тюрин Игорь Евгеньевич - главный внештатный специалист по лучевой и инструментальной диагностике, заведующий кафедрой рентгенологии и радиологии Федерального государственного бюджетного образовательного учреждения дополнительного профессионального образования "Российская медицинская академия непрерывного профессионального образования" Минздрава России

Уртиков Александр Валерьевич - научный сотрудник лаборатории эпидемиологии инфекционных болезней Федерального государственного бюджетного учреждения "Национальный медицинский исследовательский центр фтизиопульмонологии и инфекционных заболеваний" Минздрава России

Усков Александр Николаевич - главный внештатный специалист по инфекционным болезням у детей ФМБА России, заместитель директора Федерального государственного бюджетного учреждения "Детский научно-клинический центр инфекционных болезней Федерального медико-биологического агентства"

Фомичева Анастасия Александровна - врач-эпидемиолог центра инфекционных болезней, младший научный сотрудник лаборатории эпидемиологии инфекционных болезней Федерального государственного бюджетного учреждения "Национальный медицинский исследовательский центр фтизиопульмонологии и инфекционных заболеваний" Минздрава России

Франк Георгий Авраамович - главный патологоанатом Минздрава России, заведующий кафедрой патологической анатомии Федерального государственного бюджетного образовательного учреждения дополнительного профессионального образования "Российская медицинская академия непрерывного профессионального образования" Минздрава России

Царенко Сергей Васильевич - заместитель главного врача по анестезиологии и реаниматологии Государственного бюджетного учреждения здравоохранения города Москвы "Городская клиническая больница N 52 Департамента здравоохранения города Москвы"

Цинзерлинг Всеволод Александрович - заведующий НИО патоморфологии Федерального государственного бюджетного учреждения "Национальный медицинский исследовательский центр имени В.А. Алмазова" Минздрава России

Цыкунов Михаил Борисович - заведующий отделением медицинской реабилитации федерального государственного бюджетного учреждения "Национальный медицинский исследовательский центр травматологии и ортопедии имени Н.Н. Приорова" Министерства здравоохранения Российской Федерации, профессор кафедры медицинской реабилитации факультета дополнительного профессионального образования Федерального государственного автономного образовательного учреждения высшего образования "Российский национальный исследовательский медицинский университет имени Н.И. Пирогова" Минздрава России

Ченцов Владимир Борисович - заведующий отделением реанимации и интенсивной терапии государственного бюджетного учреждения здравоохранения города Москвы "Инфекционная клиническая больница N 2 Департамента здравоохранения города Москвы"

Чуланов Владимир Петрович - заместитель директора по научной работе и инновационному развитию Федерального государственного бюджетного учреждения "Национальный медицинский исследовательский центр фтизиопульмонологии и инфекционных заболеваний" Минздрава России

Шелыгин Юрий Анатольевич - главный внештатный колопроктолог Минздрава России, главный колопроктолог Департамента здравоохранения города Москвы, директор Государственного научного центра колопроктологии им. А.Н. Рыжих Минздрава России

Шипулин Герман Александрович - заместитель директора Федерального государственного бюджетного учреждения "Центр стратегического планирования и управления медико-биологическими рисками здоровью" Минздрава России

Шлемская Валерия Вадимовна - заместитель директора Федерального государственного бюджетного учреждения "Всероссийский центр медицины катастроф "Защита" Минздрава России

Шульгина Марина Владимировна - советник директора по науке Федерального государственного бюджетного учреждения "Национальный медицинский исследовательский центр фтизиопульмонологии и инфекционных заболеваний" Минздрава России

Явелов Игорь Семенович - ведущий научный сотрудник отдела клинической кардиологии ФГБУ НМИЦ терапии и профилактической медицины Минздрава России

Ярошецкий Андрей Игоревич - профессор кафедры пульмонологии ФГАОУ ВО "Первый МГМУ им. И.М. Сеченова" (Сеченовский университет) Минздрава России, зав. отделом анестезиологии и реаниматологии НИИ Клинической хирургии ФГАОУ ВО "Российский национальный исследовательский медицинский университет им. Н.И. Пирогова" Минздрава России, Председатель Комитета Федерации Анестезиологов и Реаниматологов по Респираторной и метаболической поддержке