"Временные методические рекомендации "Профилактика, диагностика и лечение новой коронавирусной инфекции (COVID-19). Версия 11 (07.05.2021)"

(утв. Минздравом РФ)
Редакция от 07.05.2021 — Действует с 07.05.2021

УТВЕРЖДАЮ
Заместитель Министра здравоохранения
Российской Федерации
Е.Г. КАМКИН

ВРЕМЕННЫЕ МЕТОДИЧЕСКИЕ РЕКОМЕНДАЦИИ ПРОФИЛАКТИКА, ДИАГНОСТИКА И ЛЕЧЕНИЕ НОВОЙ КОРОНАВИРУСНОЙ ИНФЕКЦИИ (COVID-19) ВЕРСИЯ 11 (07.05.2021)

ВВЕДЕНИЕ

В конце 2019 г. в Китайской Народной Республике (КНР) произошла вспышка новой коронавирусной инфекции с эпицентром в городе Ухань (провинция Хубэй). Всемирная организация здравоохранения (ВОЗ) 11 февраля 2020 г. определила официальное название инфекции, вызванной новым коронавирусом, - COVID-19 ("Coronavirus disease 2019"). Международный комитет по таксономии вирусов 11 февраля 2020 г. присвоил официальное название возбудителю инфекции - SARS-CoV-2.

Появление COVID-19 поставило перед специалистами здравоохранения задачи, связанные с быстрой диагностикой и оказанием медицинской помощи больным. В настоящее время продолжается интенсивное изучение клинических и эпидемиологических особенностей заболевания, разработка новых средств его профилактики и лечения. Наиболее распространенным клиническим проявлением нового варианта коронавирусной инфекции является двусторонняя пневмония (вирусное диффузное альвеолярное повреждение с микроангиопатией), у 3 - 4% пациентов зарегистрировано развитие острого респираторного дистресс-синдрома (ОРДС). У части больных развивается гиперкоагуляционный синдром с тромбозами и тромбоэмболиями, поражаются также другие органы и системы (центральная нервная система, миокард, почки, печень, желудочно-кишечный тракт, эндокринная и иммунная системы), возможно развитие сепсиса и септического шока.

Рекомендации, представленные в документе, в значительной степени базируются на материалах по диагностике, профилактике и лечению COVID-19, опубликованных специалистами ВОЗ, китайского, американского и европейского центров по контролю за заболеваемостью, анализе отечественных и зарубежных научных публикаций, нормативно-правовых документах Правительства Российской Федерации, Минздрава России и Роспотребнадзора.

Мероприятия по предупреждению завоза и снижению рисков распространения COVID-19 на территории Российской Федерации регламентированы распоряжениями Правительства Российской Федерации от 30.01.2020 N 140-р, от 31.01.2020 N 154-р, от 03.02.2020 N 194-р, от 18.02.2020 N 338-р, от 27.02.2020 N 447-р, от 27.02.2020 N 446-р, от 27.02.2020 N 448-р, от 16.03.2020 N 635-р, от 06.03.2020 N 550-р, от 12.03.2020 N 597-р, от 14.03.2020 N 622-р, от 16.03.2020 N 730-р, от 27.03.2020 N 763-р, от 01.08.2020 N 1996-р, от 01.08.2020 N 1997-р, от 02.09.2020 N 2236-р, от 12.09.2020 N 2338-р, от 20.09.2020 N 2406-р, от 14.10.2020 N 2649-р и постановлениями Главного государственного санитарного врача Российской Федерации от 24.01.2020 N 2, от 31.01.2020 N 3, от 02.03.2020 N 5, от 13.03.2020 N 6, от 18.03.2020 N 7, от 30.03.2020 N 9, от 03.04.2020 N 10, от 13.04.2020 N 11, от 22.05.2020 N 15, от 07.07.2020 N 18, от 13.07.2020 N 20, от 15.07.2020 N 21, от 27.07.2020 N 22, от 18.09.2020 N 27, от 16.10.2020 N 31, от 13.11.2020 N 34, от 13.11.2020 N 35, от 21.12.2020 N 43, от 09.04.2021 N 12, от 16.04.2021 N 13.

Мероприятия по недопущению распространения COVID-19 в медицинских организациях проводятся в соответствии с приказом Минздрава России от 19.03.2020 N 198н "О временном порядке организации работы медицинских организаций в целях реализации мер по профилактике и снижению рисков распространения новой коронавирусной инфекции COVID-19" (в ред. приказов Минздрава России от 27.03.2020 N 246н, от 02.04.2020 N 264н, от 29.04.2020 N 385н, от 18.05.2020 N 459н, от 29.05.2020 N 513н, от 07.07.2020 N 685н, от 27.08.2020 N 905н, от 15.09.2020 N 982н, от 01.10.2020 N 1062н, от 23.10.2020 N 1140н, от 30.10.2020 N 1184н, от 04.12.2020 N 1288н, от 23.03.2021 N 232н).

Методические рекомендации предназначены для руководителей медицинских организаций и их структурных подразделений, врачей-терапевтов, врачей общей практики, врачей-инфекционистов, врачей-педиатров, врачей-акушеров-гинекологов, врачей-реаниматологов отделений интенсивной терапии инфекционных стационаров, врачей скорой медицинской помощи, а также иных специалистов, работающих в сфере лабораторной и инструментальной диагностики и организации оказания медицинской помощи пациентам с COVID-19.

1. ЭТИОЛОГИЯ, ПАТОГЕНЕЗ И ПАТОМОРФОЛОГИЯ

Коронавирусы (Coronaviridae) - это большое семейство РНК-содержащих вирусов, способных инфицировать как животных (их естественных хозяев), так и человека. По результатам серологического и филогенетического анализа коронавирусы разделяются на четыре рода: Alphacoronavirus, Betacoronavirus, Gammacoronavirus и Deltacoronavirus. У людей коронавирусы могут вызвать целый ряд заболеваний - от легких форм острой респираторной инфекции (ОРВИ) до тяжелого острого респираторного синдрома (ТОРС или SARS). В настоящее время среди населения циркулируют четыре сезонных коронавируса (HCoV-229E, -OC43, -NL63 и -HKU1), которые круглогодично присутствуют в структуре ОРВИ, и, как правило, вызывают поражение верхних дыхательных путей легкой и средней степени тяжести, а также два высокопатогенных коронавируса - вирус ближневосточного респираторного синдрома (MERS) и новой коронавирусной инфекции COVID-19.

До 2002 г. коронавирусы рассматривались в качестве агентов, вызывающих нетяжелые заболевания верхних дыхательных путей (с крайне редкими летальными исходами). В период с 2002 по 2004 гг. коронавирус SARS-CoV из рода Betacoronavirus (резервуар - летучие мыши, промежуточный резервуар - циветты) впервые стал причиной развития эпидемии так называемой атипичной пневмонии (ТОРС) и подтвержденной причиной смерти 774 человек в 37 странах мира. С 2004 г. новых случаев атипичной пневмонии, вызванной SARS-CoV, не зарегистрировано. Очередная эпидемия, вызванная коронавирусом MERS-CoV (резервуар - одногорбые верблюды), также из рода Betacoronavirus - ближневосточный коронавирусный синдром, началась в 2012 г. на Аравийском полуострове (82% случаев в Саудовской Аравии). До 2020 г. зарегистрировано 866 летальных исходов от MERS. В настоящий момент MERS-CoV продолжает циркулировать и вызывать новые случаи заболевания.

SARS-CoV-2 - вирус с одноцепочечной РНК позитивной полярности, относящийся к семейству Coronaviridae, роду Betacoronavirus. Генетическая последовательность SARSCoV-2 сходна с последовательностью SARS-CoV по меньшей мере на 79%. Генетический анализ свыше 200 тысяч геномов SARS-CoV-2, полученных в результате секвенирования, позволяет выделить отдельные генетические группы возбудителя, часто связанные с его циркуляцией в определенных географических областях мира.

Появление мутаций является типичным для РНК-содержащих вирусов. Анализ различных линий циркулирующих штаммов SARS-CoV-2 в начале мая 2020 года показал, что их разнообразие внутри отдельных стран постепенно снижается, вероятно, из-за исчезновения некоторых вирусных линий и быстрого распространения других (доминирующих) линий. Исходный штамм, выделенный из образцов от пациентов, госпитализированных в Ухане в декабре 2019 года, был отнесен к генетическому клайду L и является референсным геномом для всех последующих полученных при секвенировании последовательностей. В начале января 2020 года несколько изменившийся штамм SARS-CoV-2 был отнесен к клайду S, а затем также выделили клайд O.

Первоначальное разделение вирусов SARS-CoV-2 на клайды базировалось на минорных мутациях в структуре генома, которые не имели значения для практического здравоохранения, поскольку не изменяли биологические свойства вируса (вирулентность, контагиозность, чувствительность к противовирусным препаратам). В дальнейшем, циркулирующие штаммы SARS-CoV-2 также продолжали накапливать отдельные точечные мутации в геноме, которые привели к выделению следующих двух клайдов: клайда V в середине января 2020 года (с мутациями в белках NSP6 и ORF3) и клайда G с характерной мутацией D614G. Данный клайд также разделился впоследствии (примерно с февраля 2020 года) на два подклайда GR и GH, самые распространенные в мире. Большинство выделенных в России вирусов также относятся к клайду G (GR и GH).

В декабре 2020 г. в Великобритании выявлен новый вариант возбудителя - VUI 202012/01 (вариант в стадии расследования, 2020 год, месяц 12, вариант 01). Исследования свойств VUI 202012/01 продолжаются. Однако к настоящему времени не сообщалось о более тяжелом течении или более высокой летальности при инфекции, вызванной новым вариантом. Большинство зарегистрированных мутаций SARS-CoV-2 не имеют функционального значения. В настоящее время нет данных о связи мутаций в геноме SARS-CoV-2 с тяжестью и прогнозом течения COVID-19.

Учитывая высокую патогенность, вирусы SARS-CoV, SARS-CoV-2 и MERS-CoV отнесены ко II группе патогенности.

При комнатной температуре (20 - 25 °C) SARS-CoV-2 способен сохранять жизнеспособность на различных объектах окружающей среды в высушенном виде до 3 суток, в жидкой среде - до 7 суток. Вирус остается стабильным в широком диапазоне значений pH (до 6 дней при значении pH от 5 до 9 и до 2 дней при pH4 и pH11). При температуре +4 °C стабильность вируса сохраняется более 14 дней. При нагревании до 37 °C полная инактивация вируса происходит в течение 1 дня, при 56 °C - в течение 45 минут, при 70 °C - в течение 5 минут. Вирус чувствителен к ультрафиолетовому облучению дозой не менее 25 мДж/см2 и действию различных дезинфицирующих средств в рабочей концентрации.

Входные ворота возбудителя - эпителий верхних дыхательных путей и эпителиоциты желудка и кишечника. Начальным этапом заражения является проникновение SARS-CoV-2 в клетки-мишени, имеющие рецепторы ангиотензинпревращающего фермента II типа (АПФ2). Клеточная трансмембранная сериновая протеаза типа 2 (ТСП2) способствует связыванию вируса с АПФ2, активируя его S-протеин, необходимый для проникновения SARS-CoV-2 в клетку. В соответствии с современными представлениями АПФ2 и ТСП2 экспрессированы на поверхности различных клеток органов дыхания, пищевода, кишечника, сердца, надпочечников, мочевого пузыря, головного мозга (гипоталамуса) и гипофиза, а также эндотелия и макрофагов.

Нуклеокапсидный белок вируса был обнаружен в цитоплазме эпителиальных клеток слюнных желез, желудка, двенадцатиперстной и прямой кишки, мочевыводящих путей, а также в слезной жидкости. Однако основной и быстро достижимой мишенью SARS-CoV-2 являются альвеолярные клетки II типа (АТ2) легких, что определяет развитие диффузного альвеолярного повреждения. Полагают, что при COVID-19 может развиваться катаральный гастроэнтероколит, так как вирус поражает клетки эпителия желудка, тонкой и толстой кишки, имеющие рецепторы АПФ2. Однако его морфологические особенности изучены недостаточно. Есть данные о специфическом поражении сосудов (эндотелия), а также миокарда, почек и других органов. Изменения иммунокомпетентных органов изучены недостаточно, обсуждается возможность специфического поражения лимфоцитов с их апоптозом и пироптозом (лежит в основе характерной и прогностически неблагоприятной лимфопении), синдрома гиперактивности макрофагов и гемофагоцитраного синдрома, нетоза нейтрофильных лейкоцитов (как одной из причин синдрома диссеминированного внутрисосудистого свертывания (ДВС)).

На основании способности SARS-CoV-2 поражать различные органы и ткани высказывается идея о существовании дополнительных рецепторов и ко-рецепторов вируса помимо АПФ2. В частности, обсуждается роль CD147 в инвазии клеток SARS-CoV-2.

Установлено, что диссеминация SARS-CoV-2 из системного кровотока или через пластинку решетчатой кости может привести к поражению головного мозга. Изменение обоняния (аносмия) у больных на ранней стадии заболевания может свидетельствовать как о поражении ЦНС вирусом, проникающим через обонятельный нерв, так и о морфологически продемонстрированном вирусном поражении клеток слизистой оболочки носа, не исключена роль васкулита.

При патологоанатомическом исследовании ткани легкого специфические макроскопические признаки COVID-19 не установлены, хотя морфологическая картина может рассматриваться как характерная. В наблюдениях, в которых резко преобладают признаки тяжелой дыхательной недостаточности, отмечается картина ОРДС ("шокового легкого" или диффузного альвеолярного повреждения): резкое полнокровие и диффузное уплотнение легких, практически неотличимое от наблюдавшегося при "свином" гриппе A/HIN 1pdm (в 2009 г. и в последующие годы), кроме типичных для SARS-CoV-2 поражения сосудистой системы легких (эндотелиит) и выраженного альвеолярно-геморрагического синдрома. Легкие увеличены в объеме и массе, тестоватой или плотной консистенции, маловоздушные или безвоздушные; лакового вида с поверхности, темно-красного (вишневого) цвета, при надавливании с поверхностей разрезов стекает темно-красная жидкость, с трудом выдавливаемая из ткани. Кроме разной величины кровоизлияний, встречаются геморрагические инфаркты, обтурирующие тромбы, преимущественно в ветвях легочных вен. Значимых поражений трахеи при этом не наблюдается, выявляемый серозно-гнойный экссудат и гиперемия слизистой оболочки у интубированных пациентов связаны с нозокомиальной инфекцией. В случаях, когда COVID-19 присоединялся к другой тяжелой патологии, закономерно отмечается сочетание изменений характерных для разных заболеваний.

Характер морфологических изменений при легком течении COVID-19 неизвестен. Исходя из анализа клинической симптоматики, можно предполагать тропность вируса к эпителию гортани, мерцательному эпителию дыхательных путей на всем протяжении, альвеолоцитам I и II типов. Судя по всему, вирусные поражения у таких пациентов не приводят к развитию выраженного экссудативного воспаления и соответственно катаральных явлений.

Критическая форма COVID-19 является разновидностью цитокинового шторма, а ее проявления сходны с течением первичного и вторичного гемофагоцитарного лимфогистиоцитоза (ГЛГ) или синдрома активации макрофагов (САМ). При критическом течении COVID-19 развивается патологическая активация врожденного и приобретенного (Th- и Th17-типы) иммунитета, "дисрегуляция" синтеза "провоспалительных", иммунорегуляторных, "антивоспалительных" цитокинов и хемокинов: ИЛ1, ИЛ2, ИЛ6, ИЛ7, ИЛ8, ИЛ9, ИЛ10, ИЛ12, ИЛ17, ИЛ18, гранулоцитарный колониестимулирующий фактор (Г-КСФ), гранулоцитарно-макрофагальный колониестимулирующий фактор (ГМ-КСФ), фактор некроза опухоли (ФНО), ИФН-индуцируемый белок 10, ИФН и ИФН, моноцитарный хемоаттрактантный белок 1 (МХБ1), макрофагальный воспалительный белок 1 (МВБ 1), а также маркеров воспаления (СРБ, ферритин).

Отличие COVID-19-индуцированного вторичного ГЛГ от других форм вирус-индуцированного цитокинового шторма заключается в том, что органом-мишенью при этом варианте цитокинового шторма являются легкие, что связано с тропизмом коронавируса к легочной ткани, а также в более умеренном повышении уровня ферритина сыворотки крови. Гиперактивация иммунного ответа при COVID-19 часто ограничивается легочной паренхимой, прилегающей бронхиальной и альвеолярной лимфоидной тканью, и ассоциируется с развитием ОРДС.

В раннем периоде COVID-19-пневмонии наблюдаются нормальный уровень фибриногена крови, регионального фибринолиза и высокий уровень D-димера, что не является признаком развития острого синдрома активации макрофагов. Этот процесс можно расценивать как CAM-подобное внутрилегочное воспаление, которое усиливает выраженность локальной сосудистой дисфункции, включающую микротромбоз и геморрагии, что в большей степени приводит к развитию легочной внутрисосудистой коагулопатии, чем диссеминированного внутрисосудистого свертывания.

У пациентов с критическим течением COVID-19 развивается васкулярная эндотелиальная дисфункция, коагулопатия, тромбозы с наличием антител к фосфолипидам, с клинической картиной, напоминающей катастрофический антифосфолипидный синдром. Клинические и патологические изменения трудно дифференцировать с полиорганным тромбозом, развивающимся при ДВС и тромботической микроангиопатии (ТМА).

Цитокиновый шторм при COVID-19, как правило, приводит к развитию ОРДС, полиорганной недостаточности и может быть причиной летального исхода.

При микроскопическом исследовании обращают внимание интраальвеолярный отек с примесью в отечной жидкости эритроцитов, макрофагов, слущенных альвеоцитов, единичных нейтрофилов, лимфоцитов и плазмоцитов; интраальвеолярные гиалиновые мембраны, распространяющиеся иногда до внутренней поверхности бронхиол; десквамация альвеолярного (в виде отдельных клеток и их пластов) и бронхиолярного эпителия; появление крупных, неправильной формы альвеоцитов II типа, с увеличенными ядрами с грубозернистым хроматином и отчетливыми ядрышками (в некоторых из них вокруг ядра видно гало, а в цитоплазме - округлые базофильные и эозинофильные включения, характерные для вирусного повреждения клеток); пролиферация альвеолоцитов II типа, образование их симпластов. Характерна слабо выраженная периваскулярная и перибронхиальная лимфоидная и макрофагальная инфильтрация, а также инфильтрация межальвеолярных перегородок и стенок мелких сосудов, представленная различными популяциями лимфоцитов и макрофагов. Преобладают CD3+ T лимфоциты, среди них - CD2+, CD5+, CD8+ T-клетки. B-лимфоциты (CD20+, C80+) сравнительно немногочисленны, натуральные киллеры (CD16+/CD56+) практически отсутствуют. Вирус SARS-CoV-2 выявляется в реснитчатых клетках бронхов, эпителии бронхиол, в альвеолоцитах и макрофагах, а также в эндотелии сосудов с помощью методов амплификации нуклеиновых кислот (МАНК), при иммуногистохимическом, ультраструктурном исследованиях.

Специфическое вирусное и вызванное цитокиновым штормом (а в более поздние сроки - возможно и аутоиммунное) повреждение эндотелия, получившее название SARS-CoV-2-ассоциированый эндотелиит, - основа характерной для COVID-19 микроангиопатии преимущественно легких, реже - других органов (миокарда, головного мозга и др.), причем в ряде наблюдений развивается локальный легочный или системный продуктивно-деструктивный тромбоваскулит.

Изучается возможная связь между дефицитом фолиевой кислоты, гипергомоцистеинемией и развитием осложнений COVID-19 со стороны сердечно-сосудистой системы, а также значение их коррекции препаратами, содержащими фолиевую кислоту, в лечении новой коронавирусной инфекции.

В патогенезе COVID-19 поражение микроциркуляторного русла играет важнейшую роль. Для поражения легких при COVID-19 характерны выраженное полнокровие капилляров межальвеолярных перегородок, а также ветвей легочных артерий и вен, со сладжами эритроцитов, свежими фибриновыми и организующимися тромбами; внутрибронхиальные, внутрибронхиолярные и интраальвеолярные кровоизлияния, являющиеся субстратом для кровохарканья, а также периваскулярные кровоизлияния. Выраженный альвеолярно-геморрагический синдром характерен для большинства наблюдений, вплоть до формирования, фактически, геморрагических инфарктов (хотя и истинные геморрагические инфаркты не редки). Тромбы сосудов легких важно отличать от тромбоэмболов, так как тромбоэмболия легочной артерии (ТЭЛА) также характерна для COVID-19. Тромбоз легочных артерий иногда прогрессирует до правых отделов сердца, описан тромбоз артерий разных органов с развитием их инфарктов (миокарда, головного мозга, кишечника, почек, селезенки), описана также гангрена конечностей. Это отличает изменения в легких при COVID-19 от ранее наблюдавшихся при гриппе A/H1N 1 и других коронавирусных инфекциях. Несмотря на выраженный альвеолярно-геморрагический синдром, значительных отложений гемосидерина не наблюдается. Описанные поражения легких и других органов являются причиной смерти без присоединения бактериальной или микотической суперинфекции. Ее частота не превышает 30 - 35%, в основном у больных при длительной искусственной вентиляции легких (ИВЛ).

В части наблюдений выявлены изменения и в других органах (помимо васкулита), которые можно предположительно связать с генерализацией коронавирусной инфекции: кишечнике (катаральный и геморрагический гастроэнтероколит), головном мозге и мягкой мозговой оболочке (энцефалит и менингит), сердце (миокардит), поджелудочной железе, почках, селезенке. Весьма вероятны и прямые вирусные поражения плаценты, в единичных наблюдениях показана возможность внутриутробного инфицирования, клиническое значение которого требует дальнейшего изучения. Отмечены тяжелые поражения микроциркуляторного русла в связи с развитием ДВС, которые оказались наиболее выраженными в легких и почках. Описаны типичные для COVID-19 кожные проявления - от геморрагического синдрома до высыпаний различного вида, патогенез которых не ясен. Есть данные, что SARS-CoV2 способен активировать предшествующие хронические инфекционные процессы.

На основании исследований аутопсийного материала с учетом клинической картины заболевания можно выделить, как минимум, следующие клинические и морфологические маски COVID-19: сердечную, мозговую, кишечную, почечную, печеночную, диабетическую, тромбоэмболическую (при тромбоэмболии легочной артерии), септическую (при отсутствии бактериального или микотического сепсиса), микроангиопатическую (с системной микроангиопатией), кожную.

Таким образом, как и при других коронавирусных инфекциях, а также гриппе A/H1N 1 в большинстве наблюдений основным морфологическим субстратом COVID-19 является диффузное альвеолярное повреждение, но, в отличие от них, с одновременным тяжелым поражением сосудистого русла и у ряда больных различных органов и систем. Термин вирусной (интерстициальной) пневмонии, широко используемый в клинике, по сути своей отражает именно развитие диффузного альвеолярного повреждения. В свою очередь, тяжелое диффузное альвеолярное повреждение является синонимом клинического понятия "острый респираторный дисстресс-синдром" (ОРДС).

Многие аспекты патогенеза и патоморфологии коронавирусной инфекции нуждаются в дальнейшем комплексном изучении с использованием современных методов.

2. ЭПИДЕМИОЛОГИЧЕСКАЯ ХАРАКТЕРИСТИКА

С декабря 2019 г. по март 2020 г. наиболее широкое распространение SARS-CoV-2 получил на территории КНР, в которой подтвержденные случаи заболевания были зарегистрированы во всех административных образованиях. Наибольшее количество заболевших выявлено в Юго-Восточной части КНР с эпицентром в провинции Хубэй (84% от общего числа случаев в КНР).

С конца января 2020 г. во многих странах мира стали регистрироваться случаи COVID-19, преимущественно связанные с поездками в КНР. В конце февраля 2020 г. резко осложнилась эпидемиологическая обстановка по COVID-19 в Южной Корее, Иране и Италии, что в последующем привело к значительному росту числа случаев заболевания в других странах мира, связанных с поездками в эти страны. ВОЗ объявила 11 марта 2020 г. о начале пандемии COVID-19.

Почти все страны мира серьезно пострадали от пандемии COVID-19, однако эпидемическая ситуация в разных странах крайне неоднородная. Высокий уровень заболеваемости и летальности отмечается в тех странах, где изоляционно-ограничительные мероприятия были введены с запозданием или в неполном объеме (Италия, Испания, США, Великобритания). Напротив, в странах, в которых противоэпидемические мероприятия были введены своевременно и в полном объеме (Сингапур, Южная Корея, Тайвань, Япония), наблюдается низкий уровень заболеваемости и летальности от COVID-19.

Источником инфекции является больной человек, в том числе находящийся в инкубационном периоде заболевания, и бессимптомный носитель SARS-CoV-2. Наибольшую опасность для окружающих представляет больной человек в последние два дня инкубационного периода и первые дни болезни.

Передача инфекции осуществляется воздушно-капельным, воздушно-пылевым и контактным путями. Ведущим путем передачи SARS-CoV-2 является воздушно-капельный, который реализуется при кашле, чихании и разговоре на близком (менее 2 метров) расстоянии. Контактный путь передачи реализуется во время рукопожатий и других видах непосредственного контакта с инфицированным человеком, а также через поверхности и предметы, контаминированные вирусом.

По имеющимся научным данным, возможен фекально-оральный механизм передачи вируса. РНК SARS-CoV-2 обнаруживалась в образцах фекалий больных, как и при других инфекциях, вызванных высокопатогенными коронавирусами.

Установлена роль COVID-19 как инфекции, связанной с оказанием медицинской помощи. Медицинские работники подвергаются самому высокому риску инфицирования, поскольку в процессе выполнения профессиональных обязанностей имеют длительный аэрозольный контакт. Риск реализации воздушно-капельного, пылевого и контактного путей передачи возбудителя повышается в условиях несоблюдения требований санитарно-противоэпидемического режима, правил эпидемиологической безопасности, в том числе использования средств индивидуальной защиты.

Существует высокий риск формирования эпидемических очагов COVID-19 в организованных коллективах (воинские коллективы, образовательные учреждения, дома престарелых, психоневрологические диспансеры, общежития, медицинские организации) при заносе инфекции, особенно в случае нарушения санитарно-противоэпидемического режима. Также существует риск возникновения множественных заболеваний в коллективах организаций закрытого типа при несоблюдении мер профилактики инфекции.

Новая коронавирусная инфекция, вызванная SARS-CoV-2, включена в перечень заболеваний, представляющих опасность для окружающих (постановление Правительства Российской Федерации от 31 января 2020 г. N 66).

Стандартное определение случая заболевания COVID-19

Подозрительный на COVID-19 случай

Клинические проявления острой респираторной инфекции (ОРИ) (температура (t) тела выше 37,5 °C и один или более из следующих признаков: кашель - сухой или со скудной мокротой, одышка, ощущение заложенности в грудной клетке, насыщение крови кислородом по данным пульсоксиметрии (SpO2) 95%, боль в горле, заложенность носа или умеренная ринорея, нарушение или потеря обоняния (гипосмия или аносмия), потеря вкуса (дисгевзия), конъюнктивит, слабость, мышечные боли, головная боль, рвота, диарея, кожная сыпь) при отсутствии других известных причин, которые объясняют клиническую картину вне зависимости от эпидемиологического анамнеза.

Вероятный (клинически подтвержденный) случай COVID-19

1. Клинические проявления ОРИ (t тела > 37,5 °C и один или более признаков: кашель, сухой или со скудной мокротой, одышка, ощущение заложенности в грудной клетке, SpO2 95%, боль в горле, заложенность носа или умеренная ринорея, нарушение или потеря обоняния (гипосмия или аносмия), потеря вкуса (дисгевзия), конъюнктивит, слабость, мышечные боли, головная боль, рвота, диарея, кожная сыпь) при наличии хотя бы одного из эпидемиологических признаков:

- Возвращение из зарубежной поездки за 14 дней до появления симптомов;

- Наличие тесных контактов за последние 14 дней с лицом, находящимся под наблюдением по COVID-19, который в последующем заболел;

- Наличие тесных контактов за последние 14 дней с лицом, у которого лабораторно подтвержден диагноз COVID-19;

- Наличие профессиональных контактов с лицами, у которых выявлен подозрительный или подтвержденный случай заболевания COVID-19.

2. Наличие клинических проявлений, указанных в п. 1, в сочетании с характерными изменениями в легких по данным компьютерной томографии (КТ) (см. Приложение 1 настоящих рекомендаций) вне зависимости от результатов однократного лабораторного исследования на наличие РНК SARS-CoV-2 и эпидемиологического анамнеза.

3. Наличие клинических проявлений (указаны в п. 1), в сочетании с характерными изменениями в легких по данным лучевых исследований (указаны в п. 2) при невозможности проведения лабораторного исследования на наличие РНК SARS-CoV-2.

Подтвержденный случай COVID-19

1. Положительный результат лабораторного исследования на наличие РНК SARS-CoV-2 с применением методов амплификации нуклеиновых кислот (МАНК) или антигена SARS-CoV-2 с применением иммунохроматографического анализа вне зависимости от клинических проявлений.

2. Положительный результат на антитела класса IgA, IgM и/или IgG у пациентов с клинически подтвержденной инфекцией COVID-19.

3. КЛИНИЧЕСКИЕ ОСОБЕННОСТИ

Инкубационный период составляет от 2 до 14 суток, в среднем 5 - 7 суток.

Для COVID-19 характерно наличие клинических симптомов ОРВИ:

- Повышение t тела (> 90%);

- Кашель (сухой или с небольшим количеством мокроты) в 80% случаев;

- Одышка (30%);

- Утомляемость (40%);

- Ощущение заложенности в грудной клетке (> 20%).

Также могут отмечаться боль в горле, насморк, снижение обоняния и вкуса, признаки конъюнктивита.

Наиболее тяжелая одышка развивается к 6 - 8-му дню от момента заболевания. Также установлено, что среди первых симптомов могут быть миалгия (11%), спутанность сознания (9%), головные боли (8%), кровохарканье (2 - 3%), диарея (3%), тошнота, рвота, сердцебиение. Данные симптомы в начале болезни могут наблюдаться и при отсутствии повышения температуры тела.

Клинические варианты и проявления COVID-19:

- ОРВИ (поражение только верхних отделов дыхательных путей);

- Пневмония без дыхательной недостаточности;

- ОРДС (пневмония с ОДН);

- Сепсис, септический (инфекционно-токсический) шок;

- ДВС-синдром, тромбозы и тромбоэмболии.

Гипоксемия (SpO2 < 88%) развивается более чем у 30% пациентов.

Классификация COVID-19 по степени тяжести

Легкое течение

- T тела <38 °C, кашель, слабость, боли в горле

- Отсутствие критериев среднетяжелого и тяжелого течения

Среднетяжелое течение

- T дела > 38 °C

- ЧДД > 22/мин

- Одышка при физических нагрузках

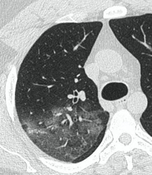
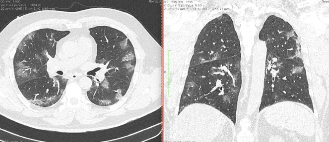
- Изменения при КТ (рентгенографии), типичные для вирусного поражения (объем поражения минимальный или средний; КТ 1 - 2)

- SpO2 < 95%

- СРБ сыворотки крови > 10 мг/л

Тяжелое течение

- ЧДД > 30/мин

- SpO2 93%

- PaO2/FiO2 300 мм рт.ст.

- Снижение уровня сознания, ажитация

- Нестабильная гемодинамика (систолическое АД менее 90 мм рт.ст. или диастолическое АД менее 60 мм рт.ст., диурез менее 20 мл/час)

- Изменения в легких при КТ (рентгенографии), типичные для вирусного поражения (объем поражения значительный или субтотальный; КТ 3 - 4)

- Лактат артериальной крови > 2 ммоль/л

- qSOFA > 2 балла

Крайне тяжелое течение

- Стойкая фебрильная лихорадка

- ОРДС

- ОДН с необходимостью респираторной поддержки (инвазивная вентиляция легких)

- Септический шок

- Полиорганная недостаточность

- Изменения в легких при КТ (рентгенографии), типичные для вирусного поражения критической степени (объем поражения значительный или субтотальный; КТ 4) или картина ОРДС.

В среднем у 50% инфицированных заболевание протекает бессимптомно. У 80% пациентов с наличием клинических симптомов заболевание протекает в легкой форме ОРВИ.

Кожные сыпи при COVID-19

В настоящее время имеется ряд клинических наблюдений, описывающих кожные сыпи при COVID-19, в связи с чем основной задачей клиницистов является дифференциальная диагностика поражений кожи при COVID-19 от других инфекционных экзантем, а также целого ряда дерматозов.

Анализ накапливающихся в литературе описаний клинических наблюдений кожных сыпей у больных COVID-19, а также собственный опыт продолжающегося динамического наблюдения наших соотечественников, страдающих этим вирусным заболеванием, позволяет прийти к выводу о том, что поражения кожи могут быть первыми признаками начала коронавирусной инфекции. Кроме того, многообразие наблюдаемых дерматозов и кожных сыпей можно разделить на семь групп в зависимости от их этиологии и механизмов развития:

1 группа - Ангииты кожи. Как правило, ангииты кожи имеют инфекционно-аллергический генез и возникают на фоне инфекционных процессов различной, в том числе вирусной, этиологии. Классическим примером может служить острая узловатая эритема на фоне обычной ОРВИ. При коронавирусной инфекции происходит поражение стенок мелких сосудов дермы циркулирующими иммунными комплексами в виде депозитов с вирусными антигенами. К особым формам, ассоциированным с COVID-19, можно отнести акроваскулиты. Акральная приуроченность сыпи, возможно, обусловлена сопутствующей заболеванию гипоксии.

2 группа - Папуло-сквамозные сыпи и розовый лишай. Представляют собой характерные инфекционно-аллергические поражения кожи, также часто ассоциированные с COVID-19. Клинической особенностью розового лишая при коронавирусной инфекции является отсутствие "материнской бляшки" (самого крупного элемента, возникающего первым при классическом течении дерматоза).

3 группа - Кореподобные сыпи и инфекционные эритемы. При COVID-19 эти сыпи напоминают по своим клиническим характеристикам таковые, характерные для кори или других вирусных инфекций и, тем самым, указывают на патогенетическую близость к классическим вирусным экзантемам.

4 группа - Папуло-везикулезные высыпания (по типу милиарии или эккринной потницы). Возникают на фоне субфебрилитета с многодневным повышенным потоотделением у пациентов. В отличие от классической милиарии, высыпания при COVID-19 характеризуются обширностью поражений кожных покровов.

5 группа - Токсидермии. Напрямую не связаны с коронавирусной инфекцией и являются следствием индивидуальной непереносимости пациентами определенных лекарственных препаратов.

6 группа - Крапивница. В зависимости от своего происхождения заболевание может иметь двоякий характер. С одной стороны, уртикарные высыпания могут быть предвестником начала COVID-19 или возникают вместе с ее первыми симптомами. С другой стороны, крапивница нередко развивается вследствие лекарственной непереносимости и в таком случае является клинической формой токсидермии. Акральное расположение волдырей на фоне COVID-19 также можно отнести к специфическим особенностям уртикарного поражения кожи при этом вирусном заболевании.

7 группа - Артифициальные поражения (трофические изменения тканей лица). Являются следствием вынужденного длительного пребывания больных в прон-позиции с целью улучшения дыхательной функции.

Особенности клинических проявлений у пациентов пожилого и старческого возраста

У пациентов старческого возраста может наблюдаться атипичная картина заболевания без лихорадки и кашля вследствие сниженной реактивности. Симптомы COVID-19 могут быть невыраженными и не соответствовать тяжести заболевания и серьезности прогноза. Атипичные симптомы COVID-19 у пациентов пожилого и старческого возраста включают делирий и бред. Для скрининга делирия рекомендуется использование краткой шкалы оценки спутанности сознания (таблица 1).

Таблица 1.

Краткая шкала оценки спутанности сознания

ЭТАП 1
Острота и волнообразность изменений психического статуса:
Имеются ли изменения психического статуса относительно исходного уровня?
Если ответы на оба вопроса "НЕТ" <1> ДЕЛИРИЯ НЕТ
ИЛИ
Отмечались ли волнообразные изменения психического статуса в течение последних 24 часов? На 1 вопрос "ДА" этап 2
ЭТАП 2  
Нарушение внимания: 0 - 2 ошибки ДЕЛИРИЯ НЕТ
"Сжимайте мою руку каждый раз, когда я скажу букву А"
"Прочитайте следующую последовательность букв:
ЛАМПААЛАДДИНА"
ОШИБКИ: не сжимает на букву А и сжимает на другие буквы
2 ошибок этап 3
ЭТАП 3  
Изменения уровня сознания
Уровень сознания на текущий момент
RASS <*> не 0 ДЕЛИРИЙ ЕСТЬ RASS <*> = 0 этап 4
ЭТАП 4  
Дезорганизованное мышление:
1. Камень будет держаться на воде?
2. Рыба живет в море?
3. Один килограмм весит больше двух?
4. Молотком можно забить гвоздь?
Команда:
"Покажите столько пальцев" (покажите 2 пальца)
"Теперь сделайте то же другой рукой"
(не демонстрируйте)
2 ошибок ДЕЛИРИЙ ЕСТЬ
0 - 1 ошибка ДЕЛИРИЯ НЕТ
ИЛИ
"Добавьте еще один палец" (если пациент не может двигать обеими руками)
Заключение: ДЕЛИРИЙ/делирия нет  

<*> Ричмондская шкала ажитации (The Richmond Agitation-Sedation Scale, RASS)

+4 ВОИНСТВЕННЫЙ: воинственен, агрессивен, опасен для окружающих (срочно сообщить врачу об этих явлениях)

+3 ОЧЕНЬ ВОЗБУЖДЕН: агрессивен, пытается вырвать трубки, капельницу или катетер (сообщить врачу)

+2 ВОЗБУЖДЕН: частые бесцельные движения, сопротивление процедурам

+1 НЕСПОКОЕН: тревожен, неагрессивные движения

0 СПОКОЕН И ВНИМАТЕЛЕН

-1 СОНЛИВ: невнимателен, сонлив, но реагирует всегда на голос

-2 ЛЕГКАЯ СЕДАЦИЯ: просыпается на короткое время на голос

-3 СРЕДНЯЯ СЕДАЦИЯ: движение или открытие.

4. ДИАГНОСТИКА КОРОНАВИРУСНОЙ ИНФЕКЦИИ

4.1. АЛГОРИТМ ОБСЛЕДОВАНИЯ ПАЦИЕНТА С ПОДОЗРЕНИЕМ НА COVID-19

При наличии факторов, свидетельствующих о случае, подозрительном на COVID-19, пациентам вне зависимости от вида оказания медицинской помощи проводится комплекс клинического обследования для определения степени тяжести состояния, включающий сбор анамнеза, физикальное обследование, исследование диагностического материала с применением МАНК, пульсоксиметрию.

По результатам проведенного комплекса клинического обследования решается вопрос о виде оказания медицинской помощи и объеме дополнительного обследования. Диагноз устанавливается на основании клинического обследования, данных эпидемиологического анамнеза и результатов лабораторных исследований.

4.1.1. Подробная оценка всех жалоб, анамнеза заболевания, эпидемиологического анамнеза.

При сборе эпидемиологического анамнеза устанавливается наличие зарубежных поездок за 14 дней до первых симптомов, а также наличие тесных контактов за последние 14 дней с лицами, подозрительными на инфицирование SARS-CoV-2, или лицами, у которых диагноз COVID-19 подтвержден лабораторно.

4.1.2. Физикальное обследование с установлением степени тяжести состояния пациента, обязательно включающее:

- Оценку видимых слизистых оболочек верхних дыхательных путей;

- Аускультацию и перкуссию легких;

- Пальпацию лимфатических узлов;

- Исследование органов брюшной полости с определением размеров печени и селезенки;

- Термометрию;

- Оценку уровня сознания;

- Измерение частоты сердечных сокращений, артериального давления, частоты дыхательных движений;

- Пульсоксиметрию с измерением SpO2 для выявления дыхательной недостаточности и оценки выраженности гипоксемии.

4.1.3. Инструментальная диагностика

Пульсоксиметрия с измерением SpO2 для выявления дыхательной недостаточности и оценки выраженности гипоксемии является простым и надежным скрининговым методом, позволяющим выявлять пациентов с гипоксемией, нуждающихся в респираторной поддержке, и оценивать ее эффективность. Динамический мониторинг сатурации может проводиться с помощью приборов для суточной пульсоксиметрии. Пациентам с признаками острой дыхательной недостаточности (ОДН) (SpO2 менее 90%) рекомендуется исследование газов артериальной крови с определением PaO2, PaCO2, pH, бикарбонатов, лактата.

Электрокардиография (ЭКГ) в стандартных отведениях рекомендуется всем пациентам. Данное исследование не содержит какой-либо специфической информации, однако вирусная инфекция и пневмония увеличивают риск развития нарушений ритма и острого коронарного синдрома, своевременное выявление которых значимо влияет на прогноз. Кроме того, определенные изменения на ЭКГ (например, удлинение интервала QT) требуют внимания при оценке кардиотоксичности ряда антибактериальных препаратов (респираторные фторхинолоны, макролиды).

Решение о необходимости госпитализации пациента принимается врачом на основании комплекса клинико-эпидемиологических данных с учетом тяжести состояния пациента (среднетяжелое/тяжелое течение заболевания) и требований, предусмотренных приказом Минздрава России от 19.03.2020 N 198н "О временном порядке организации работы медицинских организаций в целях реализации мер по профилактике и снижению рисков распространения новой коронавирусной инфекции COVID-19".

4.2. ЛАБОРАТОРНАЯ ДИАГНОСТИКА COVID-19

4.2.1. Лабораторная диагностика общая

Объем, сроки и кратность лабораторных исследований зависят от степени тяжести заболевания. Легкое течение заболевания с наблюдением пациента в амбулаторных условиях не требует дополнительных лабораторных исследований. В случае госпитализации по поводу среднетяжелого, тяжелого и крайне тяжелого течения необходимо выполнить следующие исследования:

Общий (клинический) анализ крови с определением уровня эритроцитов, гемоглобина, гематокрита, лейкоцитов, тромбоцитов, лейкоцитарной формулы.

Биохимический анализ крови (мочевина, креатинин, электролиты, глюкоза, аланинаминотрансфераза, аспартатаминотрансфераза, билирубин, альбумин, лактат, лактатдегидрогеназа тропонин, ферритин). Биохимический анализ крови не дает какой-либо специфической информации, но обнаруживаемые отклонения могут указывать на наличие органной дисфункции, декомпенсацию сопутствующих заболеваний и развитие осложнений, имеют определенное прогностическое значение, оказывают влияние на выбор лекарственных средств и/или режим их дозирования.

C-реактивный белок (СРБ) является основным лабораторным маркером активности процесса в легких. Его повышение коррелирует с объемом поражения легочной ткани и является основанием для начала противовоспалительной терапии.

Гормональное исследование: прокальцитонин, мозговой натрий-уретический пептид - NT-proBNP/BNP. Прокальцитонин при коронавирусной инфекции с поражением респираторных отделов легких находится в пределах референсных значений. Повышение прокальцитонина свидетельствует о присоединении бактериальной инфекции и коррелирует с тяжестью течения, распространенностью воспалительной инфильтрации и прогнозом при бактериальных осложнениях.

Коагулограмма в объеме: активированное частичное тромбопластиновое время (АЧТВ), протромбиновое время, протромбиновое отношение, фибриноген, D-димер (количественным методом).

4.2.2. Прогностические лабораторные маркеры

У большинства пациентов с COVID-19 наблюдается нормальное число лейкоцитов, у одной трети обнаруживается лейкопения, лимфопения присутствует у 83,2% пациентов. Тромбоцитопения носит умеренный характер, но более отчетлива при тяжелом течении и у лиц, умерших от COVID-19.

Возрастание D-димера в 3 - 4 раза более возрастной нормы и удлинение протромбинового времени, особенно при тяжелом течении (снижение % протромбина), увеличение фибриногена имеет клиническое значение. Необходимо учитывать возрастные особенности: D-димер повышается после 50 лет в связи с накоплением хронических заболеваний. Расчет возрастного уровня верхней границы референтного интервала может быть выполнен по формуле: возраст x 0,01 мкг/мл (при измерении в единицах FEU). Также с осторожностью нужно подходить к исследованию D-димера у беременных. Для беременности, даже физиологически протекающей, характерно повышение D-димера с существенным разбросом значений в этой группе. Вне инфекции SARS-CoV-2 D-димер не является определяющим в тактике и при назначении низкомолекулярных гепаринов. Клиническое значение его повышения при COVID-19 у беременных окончательно не определено.

Наличие органной дисфункции, декомпенсации сопутствующих заболеваний и развитие осложнений, выявленные биохимическим анализом крови, имеют прогностическое значение и оказывают влияние на выбор лекарственных средств и/или режим их дозирования. Возможно повышение активности аминотрансфераз и креатинкиназы, концентрации тропонина, креатинина или мочевины.

Уровень СРБ коррелирует с тяжестью течения, распространенностью воспалительной инфильтрации и прогнозом при пневмонии. Концентрация СРБ увеличивалась у большинства пациентов, одновременно с увеличением интерлейкина-6 (ИЛ-6) и СОЭ в разной степени. ИЛ-6, ИЛ-10 и TNF- возрастают во время болезни и снижаются при выздоровлении. Пациенты, нуждающиеся в госпитализации, имеют значительно более высокие уровни ИЛ-6, ИЛ-10 и TNF- и сниженное количество CD4 и CD8 T-клеток. Уровень ИЛ-6, ИЛ-10 и фактора некроза опухоли- обратно коррелирует с количеством CD4 и CD8, ассоциированных с лимфопенией. Отмечено увеличение острофазового белка ферритина при неблагоприятном течении заболевания.

При развитии ОРДС каждые 48 - 72 часа до стойкого получения отрицательных уровней необходимо определять: ИЛ-6, D-димер, ферритин, фибриноген, C-реактивный белок, триглицериды, ЛДГ.

Лабораторные показатели прогрессирующего синдрома активации макрофагов: дву-трехростковая цитопения, нарастание уровня ферритина, СРБ, АЛТ, АСТ, ЛДГ, гипонатремия, гипофибриногенемия, снижение уровня антитромбина III, пролонгирование протромбинового времени и активированного частичного тромбопластинового времени.

Гипервоспаление при COVID-19 может манифестировать цитопенией (торомбоцитопения и лимфопения), коагулопатией (тормбоцитопения, гипофибриногенемия и повышение D-димера крови), повреждением тканей/гепатитом (повышение активности ЛДГ, аминтрансфераз в сыворотке крови) и активацией макрофагов/гепатоцитов (повышение уровня ферритина сыворотки крови).

В диагностике и прогнозе течения сепсиса имеет значение уровень прокальцитонина: < 0.5 мкг/л - низкий риск бактериальной коинфекции и неблагоприятного исхода; > 0.5 мкг/л - пациенты с высоким риском, вероятна бактериальная коинфекция. Анализ на прокальцитонин при поступлении является дополнительной информацией для ранней оценки риска и исключения бактериальной коинфекции у пациентов с COVID-19.

Развитие сердечно-сосудистых осложнений при COVID-19 также сопровождается лимфопенией, тромбоцитопенией, повышением СРБ, МВ-фракции креатинкиназы, высокочувствительного тропонина и мозгового натрий-уретического пептида (NT pro-BNP). Для выявления пациентов группы риска необходимо рассмотреть регулярный контроль тропонина (ежедневно в ОРИТ, через день - у стационарных пациентов), контроль NT-proBNP как маркера миокардиального стресса. У пациентов с нарастающей одышкой и NT-proBNP 2000 пг/мл отмечен наивысший риск и приоритет для очного осмотра и госпитализации в ОРИТ, при значениях 400 < NT-proBNP 2000 пг/мл пациенты относятся к группе с промежуточным риском.

Необходимый объем лабораторного и инструментального обследования в зависимости от клинических проявлений заболевания представлен в Приложении 2-1. Лабораторный мониторинг пациентов с COVID-19 или с подозрением на COVID-19 в зависимости от тяжести состояния представлен в Приложении 2-2.

4.2.3. Лабораторная диагностика этиологическая:

Прямые методы этиологической диагностики

- Выявление РНК SARS-CoV-2 с применением МАНК (информация представлена в разделе 4.2). Инструкция по проведению диагностики COVID-19 с применением МАНК представлена в Приложении 3-1.

- Выявление антигена SARS-CoV-2 с применением иммунохроматографических методов.

Непрямые методы этиологической диагностики

- Выявление иммуноглобулинов классов A, M, G (IgA, IgM и IgG) к SARS-CoV-2 (в том числе к рецептор-связывающему домену поверхностного гликопротеина S). Инструкция по проведению диагностики COVID-19 с применением иммунохимических методов представлена в Приложении 3-2.

Основное значение для этиологической лабораторной диагностики COVID-19 имеет выявление РНК SARS-CoV-2 с помощью МАНК. Перечень зарегистрированных в Российской Федерации диагностических наборов реагентов для выявления РНК SARS-CoV-2 представлен в Государственном реестре медицинских изделий.

Лабораторное обследование всем лицам с признаками ОРИ рекомендуется проводить на РНК SARS-CoV-2. Также возможно проведение лабораторного обследования с использованием теста на определение антигена SARS-CoV-2 в мазках из носо- и ротоглотки методом иммунохроматографии (Приложение 3-3). Перечень зарегистрированных в Российской Федерации диагностических наборов реагентов для выявления антигена SARS-CoV-2 методом иммунохроматографии представлен в Государственном реестре медицинских изделий.

В обязательном порядке лабораторное обследование на COVID-19 с применением МАНК проводится следующим категориям лиц <1>:

<1> Постановление Главного государственного санитарного врача РФ от 30 марта 2020 г. N 9 "О дополнительных мерах по недопущению распространения COVID-2019"; постановление Главного государственного санитарного врача РФ от 22 мая 2020 г. N 15 "Об утверждении санитарно-эпидемиологических правил СП 3.1.3597-20 "Профилактика новой коронавирусной инфекции (COVID-19)" (с изменениями от 13.11.2020).

- прибывшие на территорию Российской Федерации с наличием симптомов инфекционного заболевания (или при появлении симптомов в течение периода медицинского наблюдения);

- контактировавшие с больным COVID-19, при появлении симптомов, не исключающих COVID-19;

- Пациенты с диагнозом "внебольничная пневмония";

- Работники медицинских организаций, имеющих риск инфицирования при профессиональной деятельности,

-- до появления IgG - 1 раз в неделю <1>;

<1> При появлении IgG к SARS-CoV-2 в результате перенесенной инфекции или вакцинации дальнейшее тестирование на антитела к вирусу не проводится.

-- при появлении симптомов, не исключающих COVID-19, - немедленно;

- Лица, находящиеся в интернатах, детских домах, детских лагерях, пансионатах для пожилых и других стационарных организациях социального обслуживания, учреждениях уголовно-исполнительной системы при появлении респираторных симптомов;

- Лица старше 65 лет, обратившиеся за медицинской помощью с респираторными симптомами;

- Работники стационарных организаций социального обслуживания населения, учреждений уголовно-исполнительной системы и работники при вахтовом методе работы до начала работы в организации с целью предупреждения заноса COVID-19;

- Дети из организованных коллективов при возникновении 3-х и более случаев заболеваний, не исключающих COVID-19 (обследуются как при вспышечной заболеваемости).

При обращении в медицинские организации лабораторному обследованию на РНК SARS-CoV-2 подлежат пациенты без признаков ОРИ при наличии следующих данных эпидемиологического анамнеза:

- Возвращение из зарубежной поездки за 14 дней до обращения;

- Наличие тесных контактов за последние 14 дней с лицами, находящимися под наблюдением по инфекции, вызванной SARS-CoV-2, которые в последующем заболели;

- Наличие тесных контактов за последние 14 дней с лицами, у которых лабораторно подтвержден диагноз COVID-19;

- Наличие профессиональных контактов с биоматериалом от пациентов с COVID-19 и лиц с подозрением на данное заболевание (врачи, специалисты с высшим профессиональным (не медицинским) образованием, средний и младший медицинский персонал);

- Рождение от матери, у которой за 14 дней до родов был выявлен подозрительный или подтвержденный случай COVID-19.

Основным видом биоматериала для лабораторного исследования на РНК SARS-CoV-2 является материал, полученный при заборе мазка из носоглотки (из двух носовых ходов) и ротоглотки. Мазки со слизистой оболочки носоглотки и ротоглотки собираются в одну пробирку для большей концентрации вируса.

При признаках заболевания нижних дыхательных путей в случае получения отрицательного результата в мазках со слизистой носо- и ротоглотки дополнительно исследуются мокрота (при наличии) или промывные воды бронхов, полученные при фибробронхоскопии (бронхоальвеолярный лаваж), (эндо)трахеальный, назофарингеальный аспират. У интубированных пациентов (у пациентов, находящихся на ИВЛ) с целью выявления SARS-CoV-2 рекомендуется получение и исследование аспирата содержимого трахеи.

В качестве дополнительного материала для исследования могут использоваться биопсийный или аутопсийный материал легких, цельная кровь, сыворотка, фекалии.

Все образцы, полученные для лабораторного исследования, следует считать потенциально инфицированными, и при работе с ними должны учитываться требования СП 1.3.3118-13 "Безопасность работы с микроорганизмами I - II групп патогенности (опасности)". Медицинские работники, которые собирают или транспортируют клинические образцы в лабораторию, должны быть обучены практике безопасного обращения с биоматериалом, строго соблюдать меры предосторожности и использовать средства индивидуальной защиты (СИЗ).

Транспортировка образцов осуществляется с соблюдением требований СП 1.2.036-95 "Порядок учета, хранения, передачи и транспортирования микроорганизмов I - IV групп патогенности". На сопровождающем формуляре необходимо указать наименование подозреваемой ОРИ, предварительно уведомив лабораторию о том, какой образец транспортируется. Транспортировка возможна на льду.

Лабораторная диагностика COVID-19 в субъектах Российской Федерации проводится в лабораториях Центров гигиены и эпидемиологии Роспотребнадзора, в лабораториях медицинских организаций (клинико-диагностических, бактериологических, молекулярно-генетических (ПЦР-лаборатории)) и лабораториях других организаций, имеющих санитарно-эпидемиологическое заключение на работу с возбудителями III - IV группы патогенности с использованием методов диагностики, не предполагающих накопление возбудителя, соответствующие условия работы и обученный персонал. Срок выполнения исследования на выявление РНК SARS-CoV-2 МАНК не должен превышать 48 ч с момента поступления биологического материала до получения его результата лицом, в отношении которого проведено соответствующее исследование <1>.

<1> Постановление Главного государственного санитарного врача РФ от 22 мая 2020 г. N 15 "Об утверждении санитарно-эпидемиологических правил СП 3.1.3597-20 "Профилактика новой коронавирусной инфекции (COVID-19)" (с изменениями от 13.11.2020).

Положительный или сомнительный результат, полученный в лаборатории медицинской организации, передается лечащему врачу и в ближайший территориальный орган Роспотребнадзора для незамедлительного осуществления лечебных и противоэпидемических мероприятий.

Этот же материал может быть направлен для повторного тестирования в лаборатории Центров гигиены и эпидемиологии, научно-исследовательских организаций Роспотребнадзора или лаборатории медицинских организаций, определенные совместным решением территориального органа Роспотребнадзора и управления здравоохранением субъекта Федерации (Регионального межведомственного штаба) как референтные. Срок выполнения исследований в референтной лаборатории - не более 48 часов с момента доставки образца.

Результаты, полученные в лабораториях медицинских организаций, демонстрирующих стабильное совпадение с результатами исследований в референтной лаборатории, не требуют повторного тестирования. Стабильность совпадения определяется как получение в динамике сходимости результатов положительных (сомнительных) проб (85% и более в течение 10 дней), а также выполнение требований по обеспечению биологической безопасности в лабораториях в соответствии с имеющимся санитарно-эпидемиологическим заключением (в соответствии с Методическими рекомендациями МР 3.1.0169-20 в редакции МР 3.1.0174-20 "Изменения N 1 в МР 3.1.0170-20 "Лабораторная диагностика COVID-19", утвержденных Роспотребнадзором 30.04.2020).

Медицинские организации, в соответствии с действующим санитарным законодательством, направляют экстренное извещение (список, заверенный медицинской организацией) в территориальные органы Роспотребнадзора. Учет больных COVID-19 и внесение в отчетные формы Роспотребнадзора проводится территориальными органами Роспотребнадзора только по полученным экстренным извещениям (спискам, заверенным медицинской организацией).

Медицинские организации, выявившие случай заболевания COVID-19 (в т.ч. подозрительный), вносят информацию о нем в информационный ресурс в соответствии с постановлением Правительства Российской Федерации от 31 марта 2020 г. N 373 (ред. от 05.06.2020) "Об утверждении Временных правил учета информации в целях предотвращения распространения новой коронавирусной инфекции (COVID-19)".

Выявление антител к SARS-CoV-2 имеет вспомогательное значение для диагностики текущей инфекции и основное для оценки иммунного ответа на текущую или перенесенную инфекцию. Выявление антител к SARS-CoV-2 проводится с использованием иммунохимических методов (Приложение 3-2). Решение о тестировании на антитела к SARS-CoV-2 принимается лечащим врачом индивидуально, исходя из клинической целесообразности. Антитела класса A (IgA) начинают формироваться и доступны для детекции примерно со 2 дня от начала заболевания, достигают пика через 2 недели и сохраняются длительное время. Антитела класса M (IgM) начинают выявляться примерно на 7-е сутки от начала заражения, достигают пика через неделю и могут сохраняться в течение 2-х месяцев и более. Примерно с 3-й недели или ранее определяются антитела класса G (IgG) к SARS-CoV-2. Особенностью гуморального ответа на инфекцию является небольшой временной промежуток между появлением антител IgM и IgG, а иногда и одновременное их формирование.

С целью диагностики COVID-19 непрямым методом рекомендуется проведение раздельного тестирования на антитела класса IgM/IgA и IgG, а также мониторинг появления антител в динамике (детекция сероконверсии) - повторное тестирование в неясных случаях через 5 - 7 дней.

Для определения наличия IgG рекомендуется использовать наборы реагентов с количественным определением титра антител, что позволит оценивать напряженность иммунитета в динамике и проводить отбор потенциальных доноров иммунной плазмы.

Для минимизации ложноположительных результатов рекомендуется ввести алгоритм последовательного тестирования пациентов, у которых получены первоначальные положительные результаты на антитела классов IgM/IgA или IgG, с использованием другого теста. С этой целью необходимо использовать тест-систему с максимальными чувствительностью и специфичностью, а также с одновременным выявлением антител классов A, M, G, которая будет играть роль референтной (верифицирующей) тест-системы. В качестве такой тест-системы может использоваться тест-система для выявления рецептор-связывающего домена поверхностного гликопротеина S SARS-CoV-2. Использование такого алгоритма позволит выполнять надежную диагностику.

Тестирование на антитела к вирусу SARS-Cov-2 рекомендуется использовать в следующих случаях:

- в качестве дополнительного метода диагностики острой инфекции (с учетом сероненгативного периода) или при невозможности исследования мазков методом амплификации нуклеиновых кислот, в том числе при госпитализации в стационар по поводу соматической патологии;

- для выявления лиц с бессимптомной формой инфекции;

- для установления факта перенесенной ранее инфекции при обследовании групп риска и проведении массового обследования населения для оценки уровня популяционного иммунитета;

- для отбора потенциальных доноров иммунной плазмы.

Тестирование на суммарные антитела (IgA, IgM и IgG) или IgG к SARS-CoV-2 рекомендуется проводить еженедельно всем медработникам, которым не проводилось такое исследование ранее или если был получен отрицательный результат. При появлении IgG к SARS-CoV-2 в результате перенесенной инфекции или вакцинации дальнейшее тестирование на антитела к вирусу не проводится.

При оценке напряженности поствакцинального протективного иммунитета методом иммуноферментного анализа целесообразно определение антител к рецептор-связывающему домену (анти-RBD антител).

В качестве материала для проведения лабораторных исследований на наличие IgA, IgM и/или IgG (в отдельных исследованиях или суммарно) к SARS-CoV-2 используется кровь или другие виды биоматериала в соответствии с инструкцией применяемого набора реагентов.

В соответствии с ч. 4 ст. 38 Федерального закона от 21.11.2011 N 323-ФЗ "Об основах охраны здоровья граждан в Российской Федерации" на территории Российской Федерации разрешается обращение медицинских изделий, зарегистрированных в порядке, установленном Правительством Российской Федерации, уполномоченным им федеральным органом исполнительной власти.

Информация о зарегистрированных в Российской Федерации медицинских изделиях для выявления иммуноглобулинов к SARS-CoV-2 размещена в Государственном реестре медицинских изделий и организаций (индивидуальных предпринимателей), осуществляющих производство и изготовление медицинских изделий (далее - Государственный реестр), опубликованном на официальном сайте Росздравнадзора www.roszdravnadzor.ru в разделе "Электронные сервисы" https://roszdravnadzor.gov.ru/services/misearch/

Для поиска медицинского изделия возможно воспользоваться поисковой строкой сервиса "Расширенный поиск".

Строка "Расширенный поиск" позволяет осуществлять навигацию по:

- номеру регистрационного удостоверения;

- дате регистрационного удостоверения;

- наименованию и стране производителя;

- виду номенклатурной классификации медицинского изделия и др.

При использовании поисковой строки сервиса "Расширенный поиск" требуется задать необходимые критерии поиска и нажать на кнопку "Вывести результаты".

Виды Номенклатурной классификации медицинских изделий, представляющих собой диагностические наборы реагентов для выявления РНК SARS-CoV-2

N п/п Вид Номенклатурной классификации Наименование вида Номенклатурной классификации медицинских изделий
1. 142160 SARS Коронавирус нуклеиновая кислота ИВД, набор, анализ нуклеиновых кислот

Виды Номенклатурной классификации медицинских изделий, представляющих собой диагностические наборы реагентов для выявления иммуноглобулинов к SARS-CoV-2

N п/п Вид Номенклатурной классификации Наименование вида Номенклатурной классификации медицинских изделий
1 142090 SARS Коронавирус антитела класса иммуноглобулин G (IgG) ИВД, реагент
2 142060 SARS Коронавирус антитела классов иммуноглобулин A (IgA)/IgG/IgM ИВД, реагент
3 142100 SARS Коронавирус антитела класса иммуноглобулин G (IgG)/IgM ИВД, набор, иммуноферментный анализ (ИФА)
4 142120 SARS Коронавирус антитела класса иммуноглобулин G (IgG)/IgM ИВД, набор, иммунофлуоресцентный анализ
5 142130 SARS Коронавирус антитела класса иммуноглобулин M (IgM) ИВД, набор, иммуноферментный анализ
6 142150 SARS Коронавирус антитела класса иммуноглобулин M (IgM) ИВД, набор, иммунофлуоресцентный анализ
7 142160 SARS Коронавирус нуклеиновая кислота ИВД, набор, анализ нуклеиновых кислот
8 142170 SARS Коронавирус антитела класса иммуноглобулин G (IgG)/IgM ИВД, контрольный материал
9 142260 SARS Коронавирус антитела класса иммуноглобулин G (IgG) ИВД, набор, иммуноферментный анализ (ИФА)
10 142300 SARS Коронавирус антитела класса иммуноглобулин G (IgG) ИВД, набор, иммунофлуоресцентный анализ

Виды Номенклатурной классификации медицинских изделий, представляющих собой экспресс-тесты для выявления иммуноглобулинов к SARS-CoV-2

N п/п Вид Номенклатурной классификации Наименование вида Номенклатурной классификации медицинских изделий
1 142250 SARS Коронавирус антитела иммуноглобулин A (IgA)/IgG/IgM ИВД, набор, иммунохроматографический анализ, экспресс-анализ

Виды Номенклатурной классификации медицинских изделий, представляющих собой диагностические наборы реагентов для выявления антигена SARS-CoV-2

N п/п Вид Номенклатурной классификации Наименование вида Номенклатурной классификации медицинских изделий
1 142010 SARS Коронавирус антигены ИВД, набор, иммунохроматографический анализ, экспресс-анализ

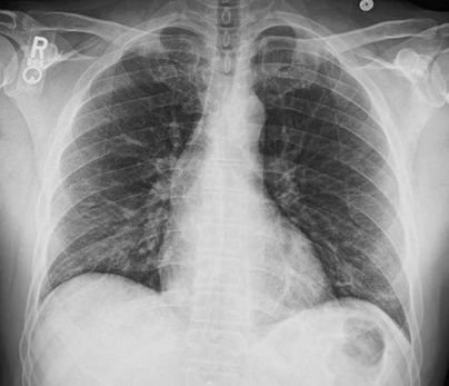
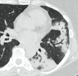
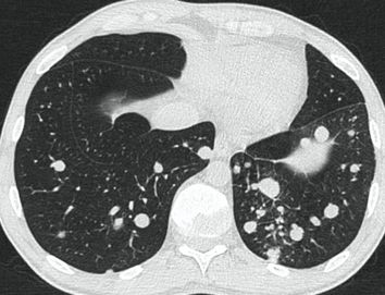
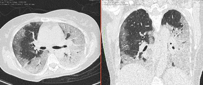
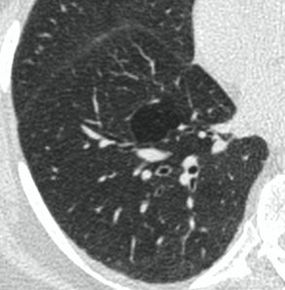
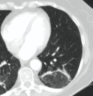
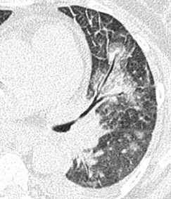
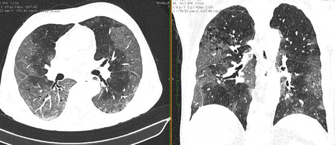
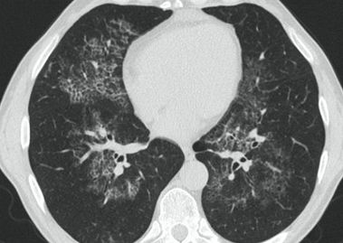
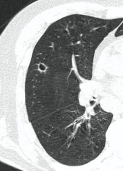
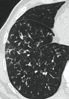
4.3. ЛУЧЕВАЯ ДИАГНОСТИКА COVID-19

Методы лучевой диагностики применяют для выявления COVID-19 пневмоний, их осложнений, дифференциальной диагностики с другими заболеваниями легких, а также для определения степени выраженности и динамики изменений, оценки эффективности проводимой терапии.

Лучевые методы также необходимы для выявления и оценки характера патологических изменений в других анатомических областях и как средства контроля для инвазивных (интервенционных) медицинских вмешательств.

К методам лучевой диагностики патологии ОГК пациентов с предполагаемой/установленной COVID-19 пневмонией относят:

- Обзорную рентгенографию легких (РГ),

- Компьютерную томографию легких (КТ),

- Ультразвуковое исследование легких и плевральных полостей (УЗИ).

Стандартная РГ имеет низкую чувствительность в выявлении начальных изменений в первые дни заболевания и не может применяться для ранней диагностики. Информативность РГ повышается с увеличением длительности течения пневмонии. Рентгенография с использованием передвижных (палатных) аппаратов является основным методом лучевой диагностики патологии ОГК в отделениях реанимации и интенсивной терапии (ОРИТ). Применение передвижного (палатного) аппарата оправдано и для проведения обычных РГ исследований в рентгеновском кабинете. В стационарных условиях относительным преимуществом РГ в сравнении с КТ являются большая пропускная способность. Метод позволяет уверенно выявлять тяжелые формы пневмоний и отек легких различной природы, которые требуют госпитализации, в том числе направления в ОРИТ.

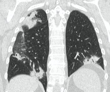
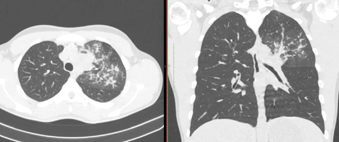
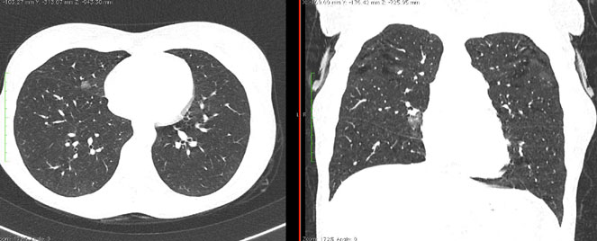
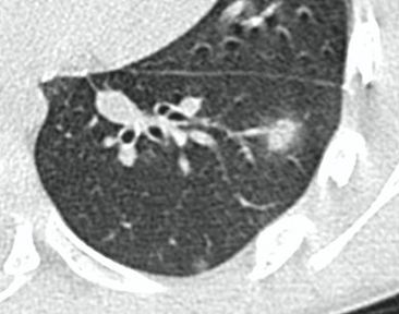
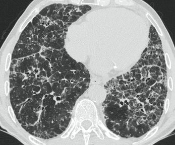
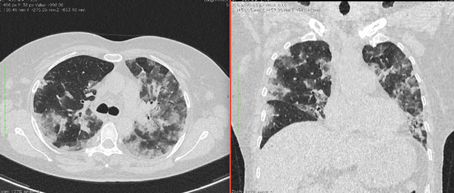
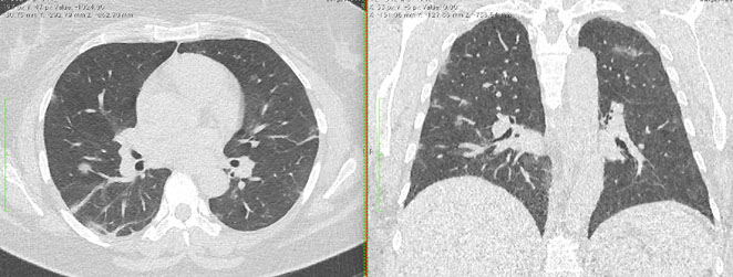
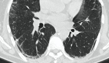
КТ имеет высокую чувствительность в выявлении изменений в легких, характерных для COVID-19. Применение КТ целесообразно для первичной оценки состояния ОГК у пациентов с тяжелыми прогрессирующими формами заболевания, а также для дифференциальной диагностики выявленных изменений и оценки динамики процесса. КТ позволяет выявить характерные изменения в легких у пациентов с COVID-19 еще до появления положительных лабораторных тестов на инфекцию с помощью МАНК. В то же время, КТ выявляет изменения легких у значительного числа пациентов с бессимптомной и легкой формами заболевания, которым не требуется госпитализация. Результаты КТ в этих случаях не влияют на тактику лечения и прогноз заболевания при наличии лабораторного подтверждения COVID-19. Поэтому массовое применение КТ для скрининга асимптомных и легких форм болезни не рекомендуется.

Ограничениями КТ в сравнении с РГ являются меньшая доступность технологии в отдельных медицинских организациях, городах и регионах; недоступность исследования для части пациентов, находящихся на ИВЛ; высокая потребность в КТ-исследованиях для диагностики других заболеваний.

Вместе с тем, комплексная оценка анамнестических, клинических и рентгенологических данных позволяет определить клинически подтвержденный случай COVID-19, маршрутизировать пациента и начать противовирусную терапию.

В связи с этим КТ может быть исследованием "первой линии" в тех медицинских организациях/территориях, в которых имеется достаточное количество аппаратов и кадровое обеспечение для выполнения требуемого объема исследований без ущерба для своевременной диагностики других болезней (онкологических, неврологических и т.д.) у наиболее нуждающихся в этом исследовании пациентов.

УЗИ легких у пациентов с предполагаемой/известной COVID-19 пневмонией является дополнительным методом визуализации, который не заменяет и не исключает проведение РГ и КТ. При соблюдении правильной методики, выборе правильных показаний и наличии подготовленного врачебного персонала это исследование отличается высокой чувствительностью в выявлении интерстициальных изменений и консолидаций в легочной ткани, но только при субплевральном их расположении. Данные УЗИ не позволяют однозначно определить причину возникновения и/или действительную распространенность изменений в легочной ткани.

Следует учитывать, что УЗИ не является стандартной процедурой в диагностике пневмоний, оно не включено в клинические рекомендации и стандарты оказания медицинской помощи по диагностике и лечению внебольничной пневмонии. В связи с этим результативность исследований в значительной степени зависит от имеющегося опыта и квалификации врача, проводящего исследование.

Рекомендации

1. Рекомендовано выбирать методы визуализации при известной/предполагаемой COVID-19 инфекции дифференцированно, в соответствии с имеющимися оборудованием и кадровыми ресурсами медицинской организации, а также структурой и количеством обследуемых пациентов.

2. Не рекомендовано применение методов лучевой диагностики при отсутствии симптомов ОРИ у пациентов с положительными результатами на РНК SARS-CoV-2, а также при наличии эпидемиологических данных, указывающих на возможность инфицирования.

Комментарии. В доступных на данный период времени клинических рекомендациях указано, что применение РГ, КТ и УЗИ для скрининга (выявления патологии при отсутствии клинических симптомов) внебольничных пневмоний в целом и при COVID-19 в частности нецелесообразно.

3. Применение лучевых методов у пациентов с симптомами ОРВИ легкой степени тяжести и стабильном состоянии пациента, возможно только по конкретным клиническим показаниям, в том числе при наличии факторов риска, при условии достаточных технических и организационных возможностей. Методом выбора в этом случае является КТ легких по стандартному протоколу без внутривенного контрастирования или РГ при ограниченной доступности КТ. Использование УЗИ в этих случаях нецелесообразно. Применение КТ исследования в сроки ранее 3 - 5 дней с момента появления симптомов заболевания является нецелесообразным.

4. Все выявляемые при лучевых исследованиях признаки, включая КТ-симптомы, не являются специфичными для какого-либо вида инфекции и не позволяют установить этиологический диагноз. Вне клинической (эпидемической) ситуации они не позволяют отнести выявленные изменения к пневмонии COVID-19 и дифференцировать их с другими пневмониями и невоспалительными заболеваниями. Данные лучевого исследования не заменяют результаты обследования на РНК SARS-CoV-2. Отсутствие изменений при КТ не исключают наличие COVID-19 и возможность развития пневмонии после проведения исследования.

5. Рекомендовано проведение лучевого исследования пациентам при среднетяжелом, тяжелом и крайне тяжелом течении ОРИ с целью медицинской сортировки, оценки характера изменений в грудной полости и определения прогноза заболевания:

- выполнение КТ легких без внутривенного контрастирования в стационарных условиях или в амбулаторных - при показаниях к госпитализации;

- выполнение РГ легких в двух проекциях, если проведение КТ в данной медицинской организации/клинической ситуации невозможно.

6. Внутривенное контрастирование при КТ у пациентов с известной/предполагаемой вирусной (COVID-19) пневмонией проводится при подозрении на заболевания и патологические состояния, диагностика которых невозможна без использования контрастных средств (ТЭЛА, онкологические заболевания др.). Внезапный рост концентрации Д-димера в анализах крови и клиническое подозрение на ТЭЛА являются важными критериями для выполнения КТ-ангиопульмонографии при условии, что ее положительный результат может оказать влияние на лечение и ведение пациента.

7. Решение о внутривенном контрастировании принимает врач-рентгенолог совместно с врачом, направляющим пациента на КТ. Введение контрастного средства выполняется в соответствии с общими правилами проведения рентгеноконтрастных исследований.

8. Рекомендовано проведение лучевого исследования пациентам с тяжелым и крайне тяжелым течением ОРИ, требующим лечения в условиях ОРИТ:

- оптимально: выполнение экстренного КТ исследования легких по стандартному протоколу без внутривенного контрастирования, если возможна транспортировка пациента в кабинет КТ до ОРИТ;

- оптимально: выполнение экстренной РГ легких в ОРИТ с использованием передвижного (палатного) аппарата;

- возможно: выполнение УЗИ легких и плевральных полостей по клиническим показаниям в дополнение к РГ или КТ.

Комментарии.

1. Применение УЗИ легких как дополнительного исследования возможно только при наличии технических возможностей и подготовленного персонала, имеющего опыт проведения исследований легких. Данные УЗИ дополняют, но не заменяют РГ и КТ легких. Подробная информация о применении УЗИ легких при COVID-19 пневмонии размегцена на сайте http://www.rasudm.org и в Приложении 1.

2. Применение МРТ легких для диагностики пневмоний, вызванных COVID-19, не рекомендуется для практического здравоохранения. Этот метод может применяться в исключительных случаях для оценки состояния легких при недоступности КТ (поломка единственного прибора) и неопределенных результатах РГ, а также при наличии врачей, обладающих опытом выполнения и интерпретации подобных исследований. Применение МРТ для исследований других органов и систем (головной мозг, позвоночник и т.д.) у больных COVID-19 осуществляется по жизненно важным показаниям, в специально выделенных для этой цели кабинетах с соблюдением всех методов защиты персонала отделений лучевой диагностики. Возможно также разделение времени работы МРТ, когда выделяются смены (временные интервалы) для раздельного обследования инфицированных и неинфицированных пациентов. Для такого режима работы требуется тщательная дезинфекция кабинета перед началом обследования неинфицированных пациентов согласно установленным правилам.

9. Оценка динамики течения выявленной пневмонии COVID-19 проводится по клиническим показаниям с применением следующих методов визуализации:

- оптимально: выполнение КТ исследования легких по стандартному протоколу без внутривенного контрастирования;

- возможно: РГ в двух проекциях в рентгеновском кабинете;

- возможно: выполнение УЗИ легких (как дополнительное исследование) при невозможности оценки динамики с помощью КТ и РГ при условии наличия первоначальной информации об истинном объеме и причине поражения легких и подготовленного врачебного персонала.

Комментарии. Кратность повторения КТ, РГ или УЗИ зависит от клинических показаний, диктующих необходимость оценки динамики. Рекомендуемая кратность повторения для КТ и РГ - не чаще, чем один раз в 7 дней.

Объективная оценка динамики возможна только при сопоставлении данных одного вида исследования, например, КТ или РГ. Сравнение визуальной картины пневмонии при использовании различных методов визуализации затруднено и, как правило, субъективно. Возможно использование УЗИ легких, но только при условии наличия (1) первоначальной информации об истинном объеме и причине поражения легких и (2) подготовленного врачебного персонала.

10. Оценка динамики пневмонии COVID-19 в ОРИТ проводится по клиническим показаниям:

- оптимально: выполнение КТ легких при возможности транспортировки пациентов в кабинет КТ или с помощью мобильного КТ-аппарата;

- оптимально: выполнение РГ легких при возможности транспортировки пациентов в рентгеновский кабинет;

- возможно: выполнение РГ с помощью передвижного (палатного) рентгеновского аппарата;

- возможно: выполнение УЗИ легких (как дополнительного исследования) при невозможности оценки динамики с помощью КТ и РГ при условии наличия первоначальной информации об истинном объеме и причине поражения легких и подготовленного врачебного персонала.

Комментарии: следует учитывать ограниченную информативность РГ в ОРИТ с использованием передвижного (палатного) рентгеновского аппарата, в том числе из-за обычной практики исследования в одной прямой проекции. Выполнение УЗИ легких и плевральных полостей может быть дополнительным исследованием при невозможности проведения КТ, которое выполняется по клиническим показаниям, и при наличии персонала, имеющего опыт проведения и интерпретации таких исследований.

11. Рекомендовано использовать специальные меры по ограничению доз облучения при обследовании беременных, новорожденных и детей младшего возраста при возможности развития у них COVID-19 пневмонии.

Комментарии. Обследование беременных женщин с известной/предполагаемой пневмонией COVID-19 осуществляется с использованием стандартных методик РГ, КТ. Необходимо использовать предустановленные программы по ограничению доз облучения, нужна защита радиочувствительных органов и плода (области живота и таза) с применением стандартных защитных средств (фартуки, воротники), имеющихся в кабинетах. При невозможности и отказе от проведения КТ и РГ применяется УЗИ легких при наличии подготовленного врачебного персонала.

Обследование новорожденных и детей младшего возраста с известной/предполагаемой пневмонией COVID-19 по возможности начинается с применения УЗИ легких, плевральных полостей и средостения, при наличии клинических показаний продолжается с использованием РГ и/или КТ ОГК.

12. При наличии клинических показаний все указанные методы лучевой диагностики могут применяться для оценки состояния других анатомических областей и отдельных органов с целью выявления патологических изменений и оценки их динамики.

13. При всех лучевых исследованиях должны быть обеспечены эпидемическая безопасность и защита персонала и пациентов согласно временным рекомендациям Минздрава России для работы медицинских учреждений в условиях эпидемии COVID-19.

Комментарии. Основными компонентами защиты персонала являются зонирование кабинетов лучевой диагностики, ограничение контактов между потоками потенциально инфицированных и неинфицированных пациентов, ограничение контактов персонала отделения/кабинетов лучевой диагностики, сменная работа персонала, обязательное применение средств индивидуальной защиты.

Уборка и дезинфекция помещений кабинетов РГ, КТ и УЗИ, стерилизация оборудования и мебели кабинетов выполняются согласно настоящим временным методическим рекомендациям.

В кабинетах РГ, КТ и УЗИ в целях обеззараживания поверхностей проводится периодическая обработка помещений дезинфицирующими средствами. В целях быстрого и эффективного обеззараживания воздуха и поверхностей в отсутствие людей проводится периодическая обработка помещений с применением ультрафиолетовых бактерицидных облучателей открытого типа с УФ-дозой не менее 25 мДж/см2 и суммарным бактерицидным потоком излучения не ниже 100 Вт. Бактерицидные установки с открытыми облучателями могут использоваться в повторно-кратковременном режиме тогда, когда на время облучения люди из помещения удаляются. При этом повторные сеансы облучения должны проводиться через каждые 2 ч в течение рабочего дня <1>.

<1> Руководство Р3.5.1904-04 "Использование ультрафиолетового бактерицидного излучения для обеззараживания воздуха в помещениях".

14. Работа кабинетов/отделений лучевой диагностики организуется в круглосуточном режиме (смены по 6, 12 или 24 ч в сутки в зависимости от штатного расписания и загрузки конкретного лечебного учреждения). Рекомендуется создание в медицинских организациях системы дистанционного описания изображений дежурными врачами-рентгенологами.

15. Рекомендации по формированию описаний и оценке изменений в легких и ОГК при имеющейся/подозреваемой пневмонии COVID-19 представлены в Приложении 1.

16. Для диагностики тромбозов глубоких вен рекомендуется проведение УЗИ сосудов нижних конечностей с допплерографией.

4.4. ДИФФЕРЕНЦИАЛЬНАЯ ДИАГНОСТИКА COVID-19

Необходимо дифференцировать новую коронавирусную инфекцию с гриппом, острыми респираторными вирусными инфекциями, вызываемыми риновирусами, аденовирусами, РС-вирусом, метапневмовирусами человека, MERS-CoV, вирусом парагриппа, вирусными гастроэнтеритами, бактериальными возбудителями респираторных инфекций, туберкулезом.

Длительность инкубационного периода COVID-19 может колебаться от 2 до 14 дней, однако в среднем составляет 5 - 7 дней, тогда как длительность инкубационного периода гриппа и ОРВИ, как правило, не превышает 3 дней. При гриппе заболевание начинается резко, при COVID-19 и ОРВИ, как правило, постепенно. Как при COVID-19, так и при гриппе может отмечаться высокая лихорадка, кашель, слабость. При течении ОРВИ высокая лихорадка, слабость встречаются редко.

При этом при гриппе и ОРВИ одышка и затрудненное дыхание отмечаются значительно реже, чем при COVID-19.

Симптомы COVID-19 и туберкулеза могут быть схожи (кашель, повышение температуры, слабость). При туберкулезе симптомы в большинстве случаев развиваются постепенно, но может быть и острое течение заболевания. Оба заболевания могут протекать одновременно, утяжеляя течение друг друга. Для исключения туберкулеза целесообразно проведение теста in vitro для выявления эффекторных T клеток, реагирующих на стимуляцию антигеном Mycobacterium tuberculosis методом ELISPOT, 3-х кратное исследование мокроты на наличие кислотоустойчивых бактерий (после получения отрицательного результата на наличие РНК SARS-CoV-2). При получении отрицательного результата микроскопического исследования мокроты проводится выявление маркеров ДНК Mycobacterium tuberculosis методом ПЦР, лучевое обследование.

При вирусных гастроэнтеритах ведущим будет поражение желудочно-кишечного тракта (ЖКТ), симптомы поражения дыхательных путей, как правило, выражены минимально.

При проведении дифференциальной диагностики необходимо учитывать данные эпидемиологического анамнеза, клинические симптомы и их динамику. Во всех подозрительных случаях показано обследование на SARS-COV-2 и возбудителей других респираторных инфекций с применением МАНК: вирусы гриппа типа A и B, парагриппа, респираторно-синцитиальный вирус, риновирусы, аденовирусы, человеческие метапневмовирусы. Также рекомендуется проведение микробиологической диагностики (культуральное исследование) и/или ПЦР-диагностики на Streptococcus pneumoniae, Haemophilus influenzae type B, Legionella pneumophila, а также иных возбудителей бактериальных респираторных инфекций нижних дыхательных путей. Для экспресс-диагностики могут использоваться экспресс-тесты с целью выявления пневмококковой и легионеллезной антигенурии.

5. ЛЕЧЕНИЕ КОРОНАВИРУСНОЙ ИНФЕКЦИИ

Основным подходом к терапии COVID-19 должно быть упреждающее назначение лечения до развития полного симптомокомплекса жизнеугрожающих состояний, а именно пневмонии, ОРДС, сепсиса.

Лечение COVID-19 в соответствии с протоколами настоящих рекомендаций проводится в подтвержденных и вероятных случаях заболевания.

В рамках оказания медицинской помощи необходим мониторинг состояния пациента для выявления признаков ухудшения его клинического состояния. Пациенты, инфицированные SARS-CoV-2, должны получать поддерживающую патогенетическую и симптоматическую терапию.

Лечение сопутствующих заболеваний и осложнений осуществляется в соответствии с клиническими рекомендациями, стандартами медицинской помощи по данным заболеваниям

5.1. ЭТИОТРОПНОЕ ЛЕЧЕНИЕ

В настоящее время следует выделить несколько препаратов, которые могут быть использованы при лечении COVID-19: фавипиравир, ремдесивир, умифеновир и интерферон-альфа.

Препарат фавипиравир - синтетический противовирусный препарат, селективный ингибитор РНК-полимеразы, активный в отношении РНК-содержащих вирусов. В ряде исследований было продемонстрировано, что фавипиравир эффективно ингибирует SARS-CoV-2 в культуре клеток. В январе 2020 г. в Китае было проведено открытое нерандомизированное исследование фавипиравира при лечении COVID-19 в сравнении с комбинацией лопинавир + ритонавир. В группе фавипиравира медиана времени до элиминации вируса составила 4 дня и была значительно меньше, чем в группе сравнения (11 дней). При этом к десятому дню элиминация вируса была зарегистрирована у 80% пациентов, получавших фавипиравир. Улучшение по данным КТ ОГК через 14 дней после окончания исследуемой терапии зафиксировано у 91,4% пациентов в группе фавипиравира и только у 62,2% пациентов в контрольной группе. Нежелательные реакции в группе фавипиравира наблюдались в 5 раз реже, чем в группе сравнения.

В Российской Федерации проведено клиническое исследование по оценке эффективности и безопасности препарата фавипиравир с участием 168 пациентов с легким и среднетяжелым течением COVID-19 (в соотношении амбулаторных и стационарных пациентов 4:1). Частота достижения клинического улучшения на 7-й день терапии в группе пациентов, получавших фавипиравир, была практически в 1,5 раза больше, чем в группе сравнения. Доля пациентов с элиминацией вируса в дни 3-й и 5-й дни терапии была выше в группе лечения фавипиравиром, что свидетельствовало о более раннем наступлении элиминации при применении препарата. В когорте стационарных пациентов, получавших фавипиравир, к 28-му дню терапии была выявлена клинически значимая разница по числу разрешившихся случаев по данным КТ ОГК.

Полученные данные позволяют разрешить применение препарата не только в стационаре, но и в амбулаторных условиях.

Режимы дозирования фавипиравира приведены в приложении 5.

Другим препаратом, обладающим противовирусной активностью в отношении SARS-CoV-2, является ремдесивир. Его активный метаболит выступает в качестве аналога аденозинтрифосфата (АТФ) и конкурирует с природным АТФ-субстратом за включение в формирующиеся РНК-цепи с помощью РНК-зависимой РНК-полимеразы вируса SARS-CoV-2, что приводит к задержанному обрыву цепи во время репликации вирусной РНК. В одном из масштабных исследований, включавшем 1063 пациента, было показано, что у пациентов, получавших 10-дневный курс лечения ремдесивиром, время выздоровления было короче на 4 дня в сравнении с группой, получавшей плацебо (11 и 15 дней соответственно). Достоверной разницы в частоте смертности в описанных группах получено не было. По данным другого клинического исследования 3-й фазы (NCT04292899) и анализа ретроспективной когорты пациентов, лечение ремдесивиром связано с более высоким процентом выздоровления (74,4% в сравнении с 59%) и снижением риска летального исхода на 62% (7,6% в сравнении с 12,5%) к 14 дню по сравнению со стандартной терапией.

Применение препарата возможно только в медицинской организации, оказывающей медицинскую помощь в стационарных условиях. Учитывая благоприятный профиль безопасности препарата (частота нежелательных явлений у пациентов, получавших ремдесивир в клинических исследованиях, не отличалась от таковой в группе стандартной терапии), а также данные по его эффективности, ремдесивир может рассматриваться как препрат выбора для пациентов с повышенной активностью трансаминаз на начало лечения и для больных, имеющих высокий риск тяжелого течения заболевания: пациенты старше 65 лет, пациенты с сопутствующими заболеваниями (сахарный диабет, ожирение, хронические заболевания сердечно-сосудистой системы).

Рекомбинантный интерферон альфа (ИФН-) для интраназального введения обладает иммуномодулирующим, противовоспалительным и противовирусным действием. Механизм действия основан на предотвращении репликации вирусов, попадающих в организм через дыхательные пути. Беременным назначают только рекомбинантный ИФН-2b.

Этиотропное лечение COVID-19, особенно у больных с сопутствующей патологией, требует внимания к возможным лекарственным взаимодействиям. Лекарственные препараты, которые запрещено или нежелательно принимать с этиотропной терапией COVID-19, можно найти на сайте https://www.covid19-druginteractions.org/. Лекарственные взаимодействия антитромботических и препаратов для лечения пациентов с COVID-19 указаны в Приложении 4.

Принимая во внимание сходство клинической картины легких форм COVID-19 с клинической картиной сезонных ОРВИ, до подтверждения этиологического диагноза в схемы терапии следует включать препараты, рекомендуемые для лечения сезонных ОРВИ, такие как интраназальные формы ИФН-, препараты индукторов ИФН, а также противовирусные препараты с широким спектром активности, такие как умифеновир.

Согласно современным представлениям о патогенезе COVID-19, применение препаратов, рекомендуемых для этиотропной терапии, целесообразно начинать в ранние сроки, не позднее 7 - 8 дня от начала болезни (появления первых симптомов).

Перечень возможных к назначению лекарственных препаратов для этиотропной терапии COVID-19 у взрослых приведен в Приложении 5. Рекомендованные схемы лечения в зависимости от тяжести заболевания приведены в Приложениях 8-1 и 8-2. Назначение лечения должно обязательно сопровождаться получением добровольного информированного согласия пациента (или его законного представителя).

Учитывая сложность производства препаратов на основе антител из крови доноров-реконвалесцентов COVID-19, были разработаны искусственные моноклональные антитела. Рекомбинантные моноклональные антитела человека класса IgG1 оказывают вируснейтрализующее действие путем связывания с неперекрывающимися эпитопами рецептор-связывающего домена S-белка SARS-CoV-2. Блокировка взаимодействия S-белка SARS-CoV-2 с ангиотензин-превращающим ферментом 2 (АПФ2) приводит к подавлению инфицирования клеток хозяина и останавливает репликацию вируса. В настоящее время используются однокомпонентные (бамланивимаб), а также комбинированные (бамланивимаб в комбинации с этесевимабом; казиривимаб в комбинации с имдевимабом) препараты. Комбинированные препараты на основе моноклональных антител позволяют сохранять нейтрализующую активность против вновь возникающих мутаций SARS-CoV-2. Высокая безопасность и эффективность лечения с использованием моноклональных антител, а также отсутствие феномена антителозависимого усиления инфекции позволили такой терапии получить широкое распространение в ряде стран. В настоящее время препараты на основе моноклональных антител против SARS-CoV-2 в Российской Федерации не зарегистрированы.

Согласно рекомендациям ВОЗ, возможно назначение препаратов с предполагаемой этиотропной эффективностью "off-label" (то есть применение с медицинской целью не соответствует инструкции по медицинскому применению), при этом их назначение должно соответствовать этическим нормам, рекомендованным ВОЗ, и осуществляться на основании Федерального закона от 21 ноября 2011 г. N 323-ФЗ "Об основах охраны здоровья граждан в Российской Федерации", Федерального закона от 12 апреля 2010 г. N 61-ФЗ "Об обращении лекарственных средств", Национального стандарта Российской Федерации ГОСТ Р ИСО 14155-2014 "Надлежащая клиническая практика", приказа Министерства здравоохранения Российской Федерации от 1 апреля 2016 г. N 200н "Об утверждении правил надлежащей клинической практики" (зарегистрирован Министерством юстиции Российской Федерации 23 августа 2016 г., регистрационный N 43357), Хельсинкской декларации Всемирной медицинской ассоциации (ВМА) об этических принципах проведения исследований с участием человека в качестве субъекта, декларированных на 64-ой Генеральной ассамблее ВМА, Форталеза, Бразилия, 2013 г.

Вышеуказанная практика оценки целесообразности применения лекарственных препаратов вне показаний, указанных в инструкции по медицинскому применению, является общепризнанной в мире. В текущих условиях распространения новой коронавирусной инфекции и ограниченности доказательной базы по лечению COVID-19, использование препаратов в режиме "off-label" для оказания медицинской помощи пациентам с COVID-19 базируется на международных рекомендациях, а также согласованных экспертных мнениях, основанных на оценке степени пользы и риска при использовании терапии в режиме "off-label".

Информация о случаях побочных действий, не указанных в инструкции по применению лекарственных препаратов, о серьезных нежелательных реакциях, непредвиденных нежелательных реакциях при применении лекарственных препаратов, об особенностях взаимодействия лекарственных препаратов с другими лекарственными препаратами должна собираться и передаваться в установленном порядке в Росздравнадзор.

Клиническое использование плазмы антиковидной

Согласно рекомендациям ВОЗ, применение плазмы от доноров-реконвалесцентов (лиц с подтвержденным случаем COVID-19 в стадии выздоровления) с целью лечения заболеваний, характеризующихся эпидемическими вспышками и отсутствием специфического лечения, основано на концепции пассивной иммунизации. По опубликованным данным, в КНР и других странах применялась плазма, полученная от доноров-реконвалесцентов COVID-19 (далее - антиковидная плазма), что нашло отражение в национальных руководствах по лечению COVID-19.

Заготовка <1>, хранение, транспортировка и клиническое использование антиковидной плазмы осуществляется в соответствии с требованиями, установленными постановлением Правительства Российской Федерации от 22 июня 2019 г. N 797 "Об утверждении Правил заготовки, хранения, транспортировки и клинического использования донорской крови и ее компонентов и о признании утратившими силу некоторых актов Правительства Российской Федерации", приказом Министерства здравоохранения Российской Федерации от 28.10.2020 N 1166н "Об утверждении порядка прохождения донорами медицинского обследования и перечня медицинских противопоказаний (временных и постоянных) для сдачи крови и (или) ее компонентов и сроков отвода, которому подлежит лицо при наличии временных медицинских показаний, от донорства крови и (или) ее компонентов".

<1> Осуществляется в субъектах обращения донорской крови и (или) ее компонентов, имеющих лицензию на медицинскую деятельность с указанием заготовки и хранения донорской крови и (или) ее компонентов в качестве составляющих частей лицензируемого вида деятельности.

Помимо установленных обязательных требований отбор доноров осуществляется по результатам предварительного исследования на наличие IgG к SARS-CoV-2, в том числе может быть проведено экспресс-тестирование крови. Дополнительные требования к донорам антиковидной плазмы:

- Возраст 18 - 55 лет;

- Масса тела более 50 кг;

- Концентрация общего белка крови не менее 65 г/л;

- Не ранее чем через 14 дней после исчезновения клинических симптомов и отрицательном результате тестирования на РНК SARS-CoV-2 в орофарингеальном мазке;

- Вируснейтрализующая активность плазмы в разведении 1:160; в случае отсутствия доноров с оптимальной вируснейтрализующей активностью плазмы допускается осуществлять заготовку от доноров с вируснейтрализующей активностью плазмы 1:80 <1>.

<1> Recommendations for Investigational COVID-19 Convalescent Plasma. FDA.2020.

При отсутствии в анамнезе установленного диагноза новой коронавирусной инфекции отбор доноров осуществляется на основании выявления IgG к SARS-CoV-2. Исследование для выявления IgG к SARS-CoV-2 осуществляется с помощью иммуноферментной (иммунохемилюминесцентной) тест-системы, зарегистрированной в установленном порядке и разрешенной к использованию на территории Российской Федерации, для которой экспериментально установлена корреляция между результатами определения содержания антител в плазме с вируснейтрализующей активностью, определенной в тесте с использованием пермиссивной культуры клеток.

С этой целью возможно применение иммуноферментного (иммунохемилюминесцентного) анализа IgG к S1 домену Spike гликопротеина вируса SARS-CoV-2. По данным M. Joyner, 2020 в проспективном исследовании (n = 35 322 пациентов) показано, что эффект от трансфузии антиковидной плазмы увеличивался по мере увеличения в ней титра IgG к S1 домену Spike гликопротеина.

Возможно сохранять контрольный образец плазмы донора для исследований ее вируснейтрализующей активности в более поздние сроки.

При незначительных изменениях, выявленных в ходе лабораторного обследования донора, решение о допуске к донации принимается врачом-трансфузиологом по согласованию с заведующим отделением.

Данные о показаниях к клиническому использованию антиковидной плазмы, информация о содержании в компоненте крови IgG к SARS-CoV-2, результатах проведенной трансфузии, результатах трансфузии регистрируется в информационном ресурсе учета пациентов с COVID-19.

Заготовка антиковидной плазмы:

- Осуществляется методом плазмафереза и (или) методом центрифугирования из единицы крови;

- Объем донации определяется врачом-трансфузиологом и составляет 200 - 600 мл.

- Патогенредукция антиковидной плазмы, не прошедшей карантинизацию, осуществляется методами дополнительной обработки с метиленовым синим и облучением видимым светом или с применением амотосалена с облучением ултьтрафиолетовым светом, при недоступности вышеперечисленных методов дополнительной обработки допускается использование метода патогенредукции с использованием рибофлавина с облучением ультрафиолетовым светом;

- Интервал между донациями должен составлять не менее 14 дней.

Маркировка антиковидной плазмы:

- Компонент, содержащий IgG к SARS-CoV-2 маркируется в соответствии с постановлением Правительства РФ от 22.06.2019 N 797 "Об утверждении Правил заготовки, хранения, транспортировки и клинического использования донорской крови и ее компонентов и о признании утратившими силу некоторых актов Правительства Российской Федерации" как "Плазма патогенредуцированная" или "Свежезамороженная плазма" с дополнительным признаком "Антикоронавирусная".

- При маркировке указывается информация о значении титра вируснейтрализующих антител (в случае его определения) или о содержании IgG к S1 домену Spike гликопротеина вируса SARS CoV-2.

Показания к клиническому использованию антиковидной плазмы:

1. Оптимально в период от 3 до 7 дней с момента появления клинических симптомов заболевания у пациентов:

- в тяжелом состоянии, с положительным результатом лабораторного исследования на РНК SARS-CoV-2;

- при средней степени тяжести с проявлениями ОРДС.

2. В случае длительности заболевания более 21 дня при неэффективности проводимого лечения и положительном результате на РНК SARS-CoV-2.

Суммарный объем трансфузии составляет 5 - 10 мл антиковидной плазмы/кг веса пациента, в среднем 400 - 600 мл. Для повышения клинической эффективности, рекомендуется использовать 2 трансфузии антиковидной плазмы с интервалом 12 - 24 ч в объеме 200 - 325 мл, заготовленной от разных доноров.

Антиковидная плазма также может быть использована для плазмозамещения при выполнении плазмафереза.

Противопоказания к клиническому использованию антиковидной плазмы:

- Аллергические реакции на белки плазмы или цитрат натрия в анамнезе;

- Пациентам с аутоиммунными заболеваниями или селективным дефицитом IgA в анамнезе необходима тщательная оценка возможных побочных эффектов.

Применение иммуноглобулина человека против COVID-19

Применение высокоочищенного препарата иммуноглобулина основано на концепции пассивной иммунизации. Действующим началом препарата являются иммуноглобулины класса G (не менее 95%), обладающие активностью антител к SARS-CoV-2, полученные из пула плазмы доноров. Препарат изготавливают по технологии, включающей процедуры инактивации и/или удаления вирусов. Молекулы IgG при изготовлении препарата не подвергаются изменению вследствие химического или ферментативного воздействия. Препарат не содержит консервантов и антибиотиков.

После внутривенной инфузии длительность содержания IgG к SARS-CoV-2 в максимальной концентрации варьирует от 25 минут до 6 часов. Период полувыведения IgG к SARS-CoV-2 составляет в среднем 11 суток.

Показания к применению иммуноглобулина человека против COVID-19:

Лечение инфекции, вызванной вирусом SARS-CoV-2, в составе комплексной терапии.

Противопоказания к применению иммуноглобулина человека против COVID-19:

- повышенная чувствительность к иммуноглобулину человека, особенно в редко встречающихся случаях дефицита в крови иммуноглобулина класса A (IgA) и наличия антител против IgA;

- повышенная чувствительность к компонентам препарата;

- наличие в анамнезе аллергических реакций на препараты крови человека;

- возраст до 18 лет и старше 60 лет (в связи с отсутствием данных об эффективности и безопасности);

- беременность и период грудного вскармливания;

- аутоиммунные заболевания.

Способ применения иммуноглобулина человека против COVID-19:

Препарат вводится однократно без разведения внутривенно капельно в дозе 4 мл/кг массы тела. Начальная скорость введения - от 0,01 до 0,02 мл/кг массы тела в минуту в течение 30 минут. Если препарат хорошо переносится, скорость введения можно постепенно увеличивать максимально до 0,12 мл/кг массы тела в минуту.

Введение препарата должно осуществляться только в условиях стационара при соблюдении всех правил асептики. Перед началом введения температура раствора должна быть доведена до комнатной или температуры тела пациента. Раствор должен быть прозрачным или слегка опалесцирующим. Не пригоден к применению препарат во флаконах с нарушенной целостностью и/или маркировкой, в случае помутнения раствора, изменения цвета, присутствия в растворе осадка, при истекшем сроке годности, при несоблюдении условий хранения. Любое количество оставшегося после инфузии препарата должно быть уничтожено.

Препарат может применяться в сочетании с другими лекарственными средствами, в частности с антибиотиками. При этом не допускается смешивание препарата с другими лекарственными средствами в одном флаконе.

Иммуноглобулин человека может использоваться как компонент любой из схем для стационарного лечения (Приложение 8-2) у пациентов с подтверженным диагнозом COVID-19.

Этиотропное лечение беременных, рожениц и родильниц

Подробная информация о диагностике, профилактике и лечении беременных, рожениц и родильниц и новорожденных детей представлена в методических рекомендациях Минздрава России "Организация оказания медицинской помощи беременным, роженицам, родильницам и новорожденным при новой коронавирусной инфекции COVID-19".

Этиотропное лечение COVID-19 женщин в период беременности и кормления грудью в настоящее время не разработано, однако в качестве этиотропной терапии возможно назначение противовирусных препаратов с учетом их эффективности против COVID-19 по жизненным показаниям. В остальных случаях следует учитывать их безопасность при беременности и в период грудного вскармливания.

Лечение должно быть начато как можно раньше, что в большей степени обеспечивает выздоровление. Противовирусные препараты беременным с тяжелым или прогрессирующим течением заболевания необходимо назначать и в более поздние сроки от начала заболевания.

При назначении противовирусных препаратов кормящим женщинам решение вопроса о продолжении грудного вскармливания зависит от тяжести состояния матери.

5.2. ПАТОГЕНЕТИЧЕСКОЕ ЛЕЧЕНИЕ

В настоящее время продолжаются клинические исследования эффективности и безопасности таргетных препаратов у пациентов с тяжелым/критическим течением коронавирусной инфекции.

При наличии патологических изменений в легких, соответствующих КТ1, или пневмонии среднетяжелой степени по данным рентгенологического обследования (неоднородные затемнения округлой формы и различной протяженности, вовлечение паренхимы легкого 50%) в сочетании с двумя и более нижеуказанными признаками рекомендуется назначение ингибиторов янус-киназ (тофацитиниба или барицитиниба) или ингибитора ИЛ-17 (нетакимаб):

- SpO2 - 97 и выше, без признаков одышки

- 3N Уровень СРБ < 6N

- Температура тела 37,5 - 37,9 °C в течение 3 - 5 дней

- Число лейкоцитов - 3,5 - 4,0 x 109/л

- Абсолютное число лимфоцитов - 1,5 - 2,0 x 109/л

При наличии патологических изменений в легких, соответствующих КТ1 - 2, или пневмонии среднетяжелой степени по данным рентгенологического обследования (неоднородные затемнения округлой формы и различной протяженности, вовлечение паренхимы легкого 50%) в сочетании с двумя и более нижеуказанными признаками рекомендуется назначение ингибитора ИЛ-6 олокизумаба (подкожно/внутривенно в терапевтической дозе) или блокаторов рецептора ИЛ-6: левилимаба (подкожно/внутривенно в терапевтической дозе), или сарилумаба (подкожно):

- SpO2 94 - 97, одышка при физической нагрузке

- 6N Уровень СРБ < 9N

- Температура тела 38 °C в течение 3 - 5 дней

- Число лейкоцитов - 3,0 - 3,5 x 109/л

- Абсолютное число лимфоцитов - 1,0 - 1,5 x 109/л

Таблица 2.

"Эмпирическая" визуальная шкала оценки степени тяжести изменений легочной ткани по данным рентгенографии ОГК

Степень изменений Основные проявления вирусной пневмонии
Среднетяжелая Неоднородные затемнения округлой формы и различной протяженности
Вовлечение паренхимы легкого 50%
Тяжелая Сливные затемнения по типу инфильтрации (симптом "белых легких")
Вовлечение паренхимы легкого 50%

Учитывая, что вторичный синдром активации макрофагов (САМ)/гемофагоцитарный лимфогистоцитоз (ГЛГ) при COVID-19 является следствием массированной неконтролируемой активации иммунной системы, спровоцированной острой вирусной инфекцией, пациентам, наряду с симптоматической и этиотропной терапией, в подавляющем большинстве случаев должна проводиться иммуносупрессивная терапия для подавления гиперактивации иммунной системы.

Глюкокортикостероиды (ГКС) являются препаратами первого выбора для лечения больных с первичным ГЛГ и вторичным САМ/ГЛГ, они угнетают все фазы воспаления, синтез широкого спектра провоспалительных медиаторов, увеличение концентрации которых в рамках цитокинового шторма ассоциируется с неблагоприятным прогнозом при COVID-19 и риском развития ОРДС и сепсиса.

Для проявления полного эффекта ГКС необходимо несколько часов. Максимум фармакологической активности ГКС приходится на тот период времени, когда их пиковые концентрации в крови уже позади.

Не рекомендуется использовать ГКС для лечения легкой и умеренной степени тяжести течения COVID-19, в том числе в амбулаторных условиях.

Для терапии цитокинового шторма могут применяться различные схемы введения ГКС: дексаметазон в дозе 8 - 20 мг/сутки внутривенно в зависимости от тяжести состояния пациента за 1 - 2 введения; метилпреднизолон в дозе 1 мг/кг/введение внутривенно каждые 12 ч. с постепенным снижением дозы на 20 - 25% на введение каждые 1 - 2 суток в течение 3 - 4 суток, далее на 50% каждые 1 - 2 суток до полной отмены.

При прогрессировании синдрома активации макрофагов (нарастание уровня ферритина, СРБ сыворотки крови, развитие двух-трехростковой цитопении) метилпреднизолон применяется по схеме 125 мг/введение/внутривенно каждые 6 - 8 ч или дексаметазон 20 мг/внутривенно в два введения в течение не менее 3 дней с последующим постепенным снижением дозы. Снижение дозы МП/дексаметазона начинается при условии снижения уровня ферритина сыворотки крови не менее чем на 15%.

Максимальная доза ГКС применяется в течение 3 - 4 суток, а затем снижается при стабилизации состояния (купирование лихорадки, стабильное снижение уровня СРБ, ферритина, активности АЛТ, АСТ, ЛДГ сыворотки крови).

Применение ГКС должно быть в сочетании с антикоагулянтной терапией НМГ.

При наличии признаков надпочечниковой недостаточности внутривенно вводится гидрокортизон в дозе 50 - 100 мг, с последующим медленным внутривенным введением препарата в течение 1 ч в дозе 200 мг в сутки.

Пациенты, получающие ГКС, должны находиться под наблюдением на предмет побочных эффектов. У тяжелобольных пациентов к ним относятся гипергликемия, артериальная гипертензия, эрозивно-язвенное поражение верхних отделов ЖКТ и повышенный риск инфекций (включая бактериальные, грибковые); частота этих инфекций у пациентов с COVID-19 неизвестна.

ГКС необходимо применять с осторожностью при:

- Сахарном диабете

- Гипертонической болезни

- Язвенной болезни желудка и 12-перстной кишки

- Ожирении

- Признаках активной бактериальной инфекции

- Тромботических нарушениях

Для терапии в амбулаторных условиях пациентов с COVID-19 старше 18 лет, в том числе с повышенным риском неблагоприятного течения (пациенты старше 65 лет или при наличии сопутствующих заболеваний) в качестве дополнительной терапии возможно назначение ингаляционного будесонида в форме порошкового ингалятора в дозе 800 мкг 2 раза в сутки до момента выздоровления, но не более 28 суток. Данная терапия позволяет снизить частоты обращения за неотложной медицинской помощью, риск госпитализации и уменьшить время до выздоровления.

При наличии патологических изменений в легких, соответствующих КТ1-4, или пневмонии среднетяжелой/тяжелой степени по данным рентгенологического обследования (сливные затемнения по типу инфильтрации (симптом "белых легких") вовлечение паренхимы легкого 50%)) в сочетании с двумя и более нижеуказанными признаками рекомендуется назначение ингибиторов рецепторов ИЛ6 тоцилизумаба (сарилумаба) или ингибитора ИЛ1 (канакинумаба) <*>:

<*> При невозможности применения тоцилизумаба (сарилумаба или канакинумаба) рассматривается применение альтернативной схемы, включающей ингибитор рецептора ИЛ-6 левилимаба внутривенно в эскалационной дозе 162 мг x 4 однократно.

- SpO2 93, одышка в покое

- Температура тела > 38 °C в течение 5 дней или возобновление лихорадки на 5 - 10 день болезни после "светлого промежутка"

- Уровень СРБ 9N или рост уровня СРБ в 3 раза на 8 - 14 дни заболевания;

- Число лейкоцитов < 3,0 x 109/л

- Абсолютное число лимфоцитов < 1,0 x 109/л

- Уровень ферритина <**> крови 250 нг/мл

<**> Уровень ферритина и ИЛ-6 сыворотки крови определяется при доступности исследований.

- Уровень ИЛ-6 <**> > 40 пк/мл.

Ингибиторы рецептора ИЛ-6 (тоцилизумаб, сарилумаб, левилимаб) и ИЛ-1 (канакинумаб) назначаются в сочетании с ГКС (см. выше).

Тоцилизумаб назначается в дозе 4 - 8 мг/кг внутривенно (доза препарата рассчитывается на массу тела) в сочетании с ГКС.

Повторное введение тоцилизумаба возможно при сохранении фебрильной лихорадки более 12 ч после первой инфузии.

Сарилумаб назначается в дозе 200 мг или 400 мг п/к или внутривенно.

Канакинумаб назначается в дозе 4 мг/кг (не больше 300 мг) внутривенно при невозможности использования или неэффективности тоцилизумаба или сарилумаба.

Необходимо помнить, что при назначении вышеперечисленных генно-инженерных биологических препаратов повышается риск развития вторичной бактериальной инфекции.

Противопоказания для назначения генно-инженерных биологических препаратов:

- Сепсис, подтвержденный патогенами, отличными от COVID-19;

- Гиперчувствительность к любому компоненту препарата;

- Вирусный гепатит B;

- Сопутствующие заболевания, связанные, согласно клиническому решению, с неблагоприятным прогнозом;

- Иммуносупрессивная терапия при трансплантации органов;

- Нейтропения < 0,5 x 109/л;

- Повышение активности АСТ или АЛТ более чем в 5 норм;

- Тромбоцитопения < 50 x 109/л.

- При беременности применение ГИБП нежелательно;

- На фоне терапии блокаторами ИЛ-6 следует помнить о возникновении серьезных нежелательных явлений;

- Инфекционные заболевания: бактериальная пневмония, флегмона, инфекции, вызванные Herpes zoster, и др.;

- Повышение активности печеночных трансаминаз.

- Сыпь, зуд, крапивница;

- Повышение артериального давления;

- Лейкопения, нейтропения, тромбоцитопения;

- Повышение показателей липидного обмена (общего холестерина, триглицеридов, ЛПВП, ЛПНП).

Пожилой и старческий возраст, а также получение иммуносупрессивной терапии при трансплантации органов не являются противопоказаниями для терапии моноклональными антителами. Пациентам на иммуносупрессивной терапии при трансплантации органов необходима коррекция исходной базовой иммуносупрессивной терапии в виде снижения дозы ингибиторов кальциневрина, концентрации циклоспорина 40 - 50 нг\мл, такролимуса до 1,5 - 3 нг\мл, отмена цитостатика, увеличение дозы ГКС в 2 раза. Необходим контроль оппортунистической инфекции.

При нарастании признаков дыхательной недостаточности, появлении субфебрильной/фебрильной лихорадки при нормальных/умеренно повышенных/значительно повышенных маркерах воспаления (СОЭ, показатели СРБ, прокальцитонина и лейкоцитов крови) необходимо заподозрить развитие грибковой и/или оппортунистической инфекции и провести:

- микробиологическое (культуральное) исследование бронхоальвеолярной лаважной жидкости, мокроты или эндотрахеального аспирата на бактерии и грибы (дрожжевые и мицелиальные) и на ДНК Mycobacterium tuberculosis, Pneumocystis jirovecii, Mycoplasma pneumoniae, Chlamidia pneumoniae методом ПЦР;

- исследование крови на антитела класса A и M (IgA, IgM) к грибам рода аспергиллы (Aspergillus spp.), Pneumocystis jirovecii, Mycoplasma pneumoniae, Chlamydophila pneumoniae;

- контрольную КТ органов грудной клетки для подтверждения/исключения развития интерстициальной пневмонии.

Препараты для упреждающей противовоспалительной терапии представлены в Приложении 6.

В связи с доказанной активацией комплемента и развития тромботической микроангиопатии у пациентов с развитием ОРДС при COVID-19, в отдельных случаях обосновано применение моноклональных антител, блокирующих концевой сегмент комплемента C5a.

Характеристика коагулопатии при COVID-19

Следствием тяжелого жизнеугрожающего синдрома высвобождения цитокинов может стать развитие нарушений свертывания крови. В начальных стадиях заболевания характерно развитие гиперкоагуляции без признаков потребления и ДВС-синдрома.

Коагулопатия при COVID-19 характеризуется активацией системы свертывания крови в виде значительного повышения концентрации D-димера в крови. Количество тромбоцитов умеренно снижено (число тромбоцитов < 150 * 109/л находят у 70 - 95% больных), незначительно удлинено протромбиновое время, значительно повышен фибриноген. Единичные исследования указывают, что концентрация в крови антитромбина редко снижается менее 80%. Концентрация протеина C также существенно не меняется. Таким образом, коагулопатия при COVID-19, наряду с признаками, характерными для развернутой фазы ДВС-синдрома в виде высокого уровня D-димера, не имеет типичных признаков потребления фибриногена и тромбоцитов. Также не отмечено потребления компонентов противосвертывающей системы антитромбина и протеина C, характерного для ДВС-синдрома, отмечаемого при сепсисе. Интерес к коагулопатии при COVID-19 связан с тем, что ее наличие ассоциируется с риском смерти. Кроме того, у больных COVID-19 часто находят артериальный и венозный тромбоз.

Анализ секционных данных пациентов, погибших от COVID-19, указывает на наличие помимо диффузного повреждения альвеол, множества тромбозов мелких сосудов легких и связанных с ним множественных геморрагий в альвеолах. В тромботический процесс в легких вовлечены мегакариоциты, тромбоциты, формирующиеся тромбы богаты не только фибрином, но и тромбоцитами. Отмечаются признаки тромботической микроангиопатии в легких.

Данные электронной микроскопии свидетельствует о наличии значительного повреждения эндотелиальных клеток, связанного с проникновением в клетки SARS-CoV-2, распространенного тромбоза мелких сосудов, микроангиопатии, окклюзии капилляров альвеол и признаков неоангиогенеза.

ДВС-синдром развивается, как правило, на поздних стадиях заболевания. Он встречается лишь у 0,6% выживших больных и в 71,4% у умерших больных. Развитие гиперкоагуляции сопряжено с риском развития тромботических осложнений. Для верификации диагноза ТЭЛА необходимо выполнение КТ с внутривенным контрастированием, для диагностики тромбоза глубоких вен (ТГВ) нижних конечностей - проведение УЗИ сосудов нижних конечностей.

Антитромботическая терапия

Антитромботическая терапия у пациентов, которые лечатся дома Профилактику ТГВ нижних конечностей/ТЭЛА с использованием профилактических доз низкомолекулярного гепарина (НМГ) стоит рассматривать для больных со среднетяжелой формой COVID-19, которые в условиях карантина лечатся дома и имеют высокий риск венозных тромбоэмболических осложнений, низкий риск кровотечений и не получают антикоагулянтного лечения по другим показаниям. Это относится прежде всего к больным с сильно ограниченной подвижностью, ТГВ/ТЭЛА в анамнезе, активным злокачественным новообразованием, крупной операцией или травмой в предшествующий месяц, носителям ряда тромбофилий (дефициты антитромбина, протеинов C или S, антифиосфолипидный синдром, фактор V Лейден, мутация гена протромбина G-20210A), а также при сочетании дополнительных факторов риска ТГВ/ТЭЛА (возраст старше 70 лет, сердечная/дыхательная недостаточность, ожирение, системное заболевания соединительной ткани, гормональная заместительная терапия/прием оральных контрацептивов).

Данных о применении прямых пероральных антикоагулянтов при COVID-19 нет, тем не менее, при отсутствии НМГ/НФГ можно рассмотреть вопрос о применении прямых пероральных антикоагулянтов (ривароксабан в дозе 10 мг 1 раз в сутки или апиксабан в дозе 2,5 мг 2 раза в сутки). В качестве препарата второй линии может рассматриваться дабигатрана этексилат. Однако следует учитывать, что он не изучен как средство профилактики ТГВ/ТЭЛА у нехирургических больных и его доза по данному показанию не известна. Кроме того, выведение дабигатрана этексилата в наибольшей степени зависит от функции почек. С учетом опыта применения дабигатрана этексилата для профилактики ТГВ/ТЭЛА в ортопедической хирургии, а также результатов его изучения для профилактики сосудистых осложнений после несердечных хирургических вмешательств у больных с синусовым ритмом и повышенным уровнем сердечного тропонина, не исключено, что его доза может составлять 110 мг 2 раза в сутки (для больных с клиренсом креатинина 30 - 49 мл/мин - 75 мг 2 раза в сутки).

При амбулаторном назначении антикоагулянтов следует уделять особое внимание наличию противопоказаний (прежде всего - выраженной почечной недостаточности), во время их использования необходимо повторно оценивать риск и активно искать признаки кровотечений. Длительность применения антикоагулянтов при амбулаторном лечении COVID-19 не ясна, и, по-видимому, может продолжаться вплоть до 30 суток в зависимости от динамики клинического состояния пациента и сроков восстановления двигательной активности.

Антитромботическая терапия у пациентов, поступивших в стационар. Назначение НМГ, как минимум, в профилактических дозах показано ВСЕМ госпитализированным пациентам и должно продолжаться как минимум до выписки. Нет доказанных преимуществ какого-либо одного НМГ по сравнению с другими. При недоступности НМГ или противопоказаниях к ним возможно использование НФГ.

Увеличение дозы гепарина до промежуточной или лечебной может быть рассмотрено у больных с высоким и крайне высоким уровнем D-димера, при наличии дополнительных факторов риска венозных тромбоэмболических осложнений, а также при тяжелых проявлениях COVID-19. По предварительным совокупным данным трех небольших рандомизированных исследований АТТАСС, ACTIV-4a и REMAP-CAP у госпитализированных больных, которые не находятся в блоке интенсивной терапии и не получают высокопоточную оксигенотерапию, вентиляцию легких или инотропную/вазопрессорную поддержку, высокие (лечебные) дозы НМГ/НФГ дают наилучший клинический результат вне зависимости от исходного уровня D-димера и при этом сравнительно безопасны. Кроме того, накапливаются данные, что у больных, находящихся в блоке интенсивной терапии, рутинное увеличение дозы НМГ/НФГ до промежуточной и лечебной не улучшает клинических исходов заболевания. У больных с ожирением (индекс массы тела > 30 кг/м2) следует рассмотреть увеличение профилактической дозы на 50%.

Продленная профилактика ТГВ/ТЭЛА. Продленная профилактика у больных с COVID-19 после выписки может быть рассмотрена при сохраняющемся повышенном риске венозных тромбоэмболических осложнений (см. стр. 58) и низком риске кровотечений <1> в случаях, когда не требуются лечебные дозы антикоагулянта по другим показаниям. В качестве антикоагулянта для продленной профилактики ТГВ/ТЭЛА у терапевтических больных имеется доказательная база для профилактической дозы эноксапарина (40 мг 1 раз в сутки) и ривароксабана в дозе 10 мг 1 раз в сутки. Тенденция к преимуществу продленной профилактики ТГВ/ТЭА отмечалась также при использовании апиксабана в дозе 2,5 мг 2 раза в сутки.

<1> Оценка риска кровотечений у больных с COVID-19 не разработана. Согласно шкале IMPROVE наиболее значимыми факторами риска крупных и клинически значимых некрупных кровотечений в первые 2 недели госпитализации у терапевтических больных являются: активная язва желудка или 12-перстной кишки, кровотечение в предшествующие 3 месяца, возраст старше 85 лет, уровень тромбоцитов в крови ниже 50 x 109/л, тяжелая печеночная недостаточность, скорость клубочковой фильтрации ниже 30 мл/мин/1,73 м2. Следует также учитывать наличие противопоказаний к антикоагулянтам, изложенных в инструкциях к препаратам.

Продленная профилактика ТГВ (вплоть до 30 - 45 дней после выписки) может назначаться пациентам при наличии одного из следующих признаков: возраст старше 60 лет, госпитализация в ОРИТ, активное злокачественное новообразование, ТГВ/ТЭЛА в анамнезе, сохраняющееся выраженное ограничение подвижности, концентрация D-димера в крови, в 2 и более раза превышающая верхнюю границу нормы.

Лечение ТГВ/ТЭЛА.

В случае развития ТГВ/ТЭЛА у пациента с COVID-19 следует использовать лечебные дозы НМГ/НФГ. Применение лечебных доз НМГ/НФГ может рассматриваться также у больных с клиническим подозрением на тромботические осложнения, когда нет возможности верифицировать диагноз. Лечение ТГВ/ТЭЛА, ассоциированных с COVID-19, антикоагулянтами следует продолжать не менее 3 месяцев; после выписки предпочтительно использовать прямые пероральные антикоагулянты в общепринятых дозах, если к ним нет противопоказаний.

Особенности использования антикоагулянтов.

Список возможных к назначению антикоагулянтов и их дозы представлены в Приложении 7-1. Алгоритмы применения антикоагулянтов для лечения COVID-19 у взрослых пациентов в условиях стационара и в амбулаторных условиях представлены в Приложениях 7-2 и 7-3 соответственно. У пациентов с иммунной тромбоцитопенией, вызванной гепарином, а также при исходно низком количестве тромбоцитов, для профилактики и лечения венозных тромбоэмболических осложнений рекомендуется использовать фондапаринукс натрия. Фондапаринукс натрия, в отличие препаратов НМГ/НФГ, лишен потенциально благоприятных плейотропных эффектов, однако, с другой стороны, он не вызывает гепарин-индуцированную тромбоцитопению.

НМГ, фондапаринукс натрия не рекомендуется использовать у пациентов с выраженной почечной недостаточностью или быстро меняющейся функцией почек.

Противопоказания для использования антикоагулянтов - продолжающееся кровотечение, уровень тромбоцитов в крови ниже 25 * 109/л, выраженная почечная недостаточность (для НМГ и фондапаринукса натрия). Повышенное протромбиновое время и АЧТВ не относятся к противопоказаниям к назначению антикоагулянтов.

Если антикоагулянты противопоказаны, следует использовать механические способы профилактики ТГВ нижних конечностей (предпочтительно перемежающуюся пневматическую компрессию). Применение механических способов профилактики ТГВ нижних конечностей в дополнение к антикоагулянтам можно рассмотреть также у больных, находящихся в отделениях реанимации и интенсивной терапии.

Профилактика ТГВ/ТЭЛА у больных, принимающих пероральные антикоагулянты по другим показаниям.

Пациентам, получающим пероральные антикоагулянты по другим показаниям, при не тяжелых проявлениях COVID-19, их прием можно продолжить. При неприемлемых лекарственных взаимодействиях с препаратами для лечения COVID-19 (Приложение 4), а также при тяжелой форме COVID-19 рекомендуется переход на лечебные дозы препаратов гепарина (предпочтительно НМГ).

Оценка показателей гемостаза в период пребывания в стационаре.

Кратность определения D-димера (см. также Приложение 2-2), протромбинового времени, фибриногена и количества тромбоцитов зависит от тяжести COVID-19 инфекции, важна динамика как в сторону повышения, так и понижения показателей. У госпитализированных больных при средней тяжести 1 раз в два дня, при тяжелом - ежедневно. Внеочередной анализ вышеперечисленных показателей берется при усугублении тяжести по COVID-19.

Для диагностики ДВС-синдрома рекомендуется использовать критерии Международного общества тромбоза и гемостаза (таблица 3). Диагноз ДВС-синдрома устанавливается при наличии 5 баллов по этим критериям.

Таблица 3.

Критерии явного ДВС Международного общества тромбоза и гемостаза.

Показатель Балл Значения показателя
Количество тромбоцитов
(на 109/л)
2 < 50
1 50, < 100
Продукты деградации фибрина/D-димер 3 Сильно повышен
2 Умеренно повышен
Протромбиновое время 2 6 сек
1 3 сек, < 6 сек
Фибриноген (мг/мл) 1 < 100

У пациентов с коагулопатией потребления при отсутствии кровотечений следует поддерживать количество тромбоцитов выше 20 * 109/л, плазменную концентрацию фибриногена - выше 2,0 г/л. У пациентов с кровотечениями следует поддерживать количество тромбоцитов выше 50 * 109/л, плазменную концентрацию фибриногена - выше 2,0 г/л, протромбиновое отношение < 1,5.

У пациентов с очень низкой или высокой массой тела, выраженным нарушением функции почек, высоким риском кровотечений, а также при беременности подбор дозы гепарина целесообразно осуществлять под контролем анти-Xa активности в крови (целевые диапазоны представлены в Приложении 7-1). У больных в критическом состоянии, а также при использовании методов экстракорпоральной поддержки кровообращения, при отсутствии возможности мониторировать состояние системы гемостаза традиционными методами допустимо использовать глобальные тесты (тромбоэластография) при наличии опыта их применения и интерпретации.

Оценка эффективности противовоспалительной терапии

Основными критериями эффективности упреждающей противовоспалительной терапии являются динамика клинического ответа: снижение уровня лихорадки, улучшение самочувствия, появление аппетита, уменьшение одышки, повышение SpO2. При этом эффект от блокаторов ИЛ-6 наступает в течение 12 ч (чаще используются 1 - 2 инъекции), лечения ГК - от 12 до 72 ч (курс 2 - 3 суток), терапии антикоагулянтами - от 120 ч (курс от 5 дней). Если эффект от упреждающей противовоспалительной терапии не получен, то необходимо предполагать другие причины ухудшения состояния (прогрессирование пневмонии, сепсис и др.).

При лечении COVID-19 необходимо обеспечивать достаточное поступление жидкости в организм. Восполнение суточной потребности в жидкости должно обеспечиваться преимущественно за счет пероральной регидратации. Суточная потребность в жидкости должна рассчитываться с учетом лихорадки, одышки, потерь жидкости при диарее, рвоте (в случае наличия у пациента таких симптомов). С целью профилактики отека легких пациентам следует ограничить объем вводимой жидкости, соблюдать нулевой или отрицательный гидробаланс. При выраженной интоксикации, а также при дискомфорте в животе, тошноте и/или рвоте показаны энтеросорбенты (диоксид кремния коллоидный, полиметилсилоксанаполигидрат и другие).

Пациентам в тяжелом состоянии (в ОРИТ) при наличии показаний проводится инфузионная терапия. Следует с осторожностью подходить к инфузионной терапии, поскольку избыточные трансфузии жидкостей могут ухудшить насыщение крови кислородом, особенно в условиях ограниченных возможностей ИВЛ, а также спровоцировать или усугубить проявления ОРДС. Объем инфузионной терапии должен составлять 10 - 15 мл/кг/сут.

При проведении инфузионной терапии важное значение имеет скорость введения жидкости: чем меньше скорость введения жидкости, тем безопаснее для пациента.

В условиях проведения инфузионной терапии врач оценивает суточный диурез, динамику артериального давления, изменения аускультативной картины в легких, гематокрита (не ниже 0.35/л). При снижении объема диуреза, повышении артериального давления, увеличения количества хрипов в легких, снижении гематокрита объем парентерально вводимой жидкости должен быть уменьшен.

Для снижения объема инфузионной терапии поддержание нутритивного статуса пациента при необходимости нужно проводить методом зондового питания с использованием стандартных и полуэлементарных смесей для энтерального питания. Питание должно быть частым и дробным для исключения переполнения желудка и уменьшения экскурсии легких.

С целью улучшения отхождения мокроты при продуктивном кашле назначают мукоактивные препараты (ацетилцистеин, амброксол, карбоцистеин). Бронхолитическая ингаляционная терапия с использованием сальбутамола, фенотерола, с применением комбинированных средств (ипратропия бромид+фенотерол) целесообразна при наличии бронхообструктивного синдрома.

Одним из перспективных методов лечения при ОРДС, ассоциированным с COVID-19, является применение препаратов экзогенного сурфактанта. Важнейшим свойством легочного сурфактанта является его способность снижать поверхностное натяжение в альвеолах, кроме того, сурфактант участвует в барьерной и защитной функциях легких, влияя на врожденный и адаптивный местный иммунитет. При ОРДС происходит повреждение альвеолоцитов второго типа, что приводит к нарушению синтеза легочного сурфактанта de novo, а также в результате выхода лейкоцитов и белков плазмы крови в альвеолярное пространство происходит ингибирование сурфактанта.

В России для лечения ОРДС у взрослых пациентов разрешено использование природного препарата Сурфактант-БЛ. Согласно результатам пилотных исследований, применение ингаляций Сурфактант-БЛ при ОРДС, ассоциированным с COVID-19, сопровождалось улучшением уровня оксигенации и уменьшением риска использования инвазивной респираторной поддержки. Препарат рекомендовано назначать при SpO2 92% у неинтубированных пациентов с помощью небулайзера (преимущество имеют меш-небулайзеры) в дозе 75 - 150 мг 2 раза в сутки в течение 3 - 5 суток.

Патогенетическое лечение у беременных, рожениц и родильниц

Жаропонижающим препаратом первого выбора является парацетамол, который назначается по 500 - 1000 мг до 4 раз в день (не более 4 г в сутки).

5.3. СИМПТОМАТИЧЕСКОЕ ЛЕЧЕНИЕ

Симптоматическое лечение включает:

- Купирование лихорадки (жаропонижающие препараты, например, парацетамол);

- Комплексную терапию ринита и/или ринофарингита (увлажняющие/элиминационные препараты, назальные деконгестанты);

- Комплексную терапию бронхита (мукоактивные, бронхолитические и прочие средства).

Жаропонижающие назначают при t тела > 38,0 - 38,5 °C. При плохой переносимости лихорадочного синдрома, головных болях, повышении артериального давления и выраженной тахикардии (особенно при наличии ишемических изменений или нарушениях ритма) жаропонижающие препараты используют и при более низких цифрах. Наиболее безопасным препаратом является парацетамол.

Для местного лечения ринита, фарингита, при заложенности и/или выделениях из носа начинают с солевых средств для местного применения на основе морской воды (изотонических, а при заложенности - гипертонических). В случае их неэффективности показаны назальные деконгенстанты. При неэффективности или выраженных симптомах могут быть использованы различные растворы с антисептическим действием. С целью купирования кашля при COVID-19 используются противокашлевые препараты: бутамират, леводропризин, ренгалин.

Симптоматическое лечение у беременных, рожениц и родильниц

Во время беременности (II и III триместры), в послеродовом и постабортном периоде возможно применение муколитических средств с помощью mesh-небулайзера (амброксол 2 - 3 мл с изотоническим раствором 2 мл 3 раза в день) и бронходилататоров (ипратропия бромид + фенотерол по 20 капель в 2 - 4 мл изотонического раствора 2 раза в день). Во время беременности (I, II и III триместры), в послеродовом и постабортном периоде в качестве бронходилататора также может применяться сальбутамол с помощью mesh-небулайзера (2,5 - 5 мг 2 раза в день).

Необходимым компонентом комплексной терапии является адекватная респираторная поддержка. Показатели сатурации кислорода должны определяться у всех беременных с клиникой острого респираторного заболевания и/или с пневмонией.

Показаниями для перевода в ОРИТ при коронавирусной инфекции являются быстропрогрессирующая ОДН (ЧД > 25 в 1 мин, SpO2 < 92%, а также другая органная недостаточность (2 и более балла по шкале SOFA).

Особенности ведения пациентов пожилого и старческого возраста

У пациентов пожилого и старческого возраста делирий может быть первой манифестацией заболевания или развиться по мере его прогрессирования. Госпитализация пациента, помещение в блок интенсивной терапии и на ИВЛ повышают риск развития делирия. Развитие делирия, особенно гиперактивной формы, может представлять собой дополнительные трудности лечения пациентов.

Рекомендации:

1. Регулярный скрининг делирия с использованием рекомендованных инструментов у всех пациентов пожилого и старческого возраста, госпитализированных в связи с COVID-19.

2. Рекомендуется проводить профилактику делирия у всех пациентов пожилого и старческого возраста, госпитализированных в связи с COVID-19, путем коррекции его триггеров. Профилактические меры включают: регулярную ориентацию пациента в его личности, во времени и пространстве, профилактику запоров, лечение боли, лечение бактериальной пневмонии (высока вероятность ее присоединение у пациентов с COVID-19), адекватную оксигенотерапию, профилактику задержки мочи, а также пересмотр сопутствующей терапии для минимизации назначения препаратов, повышающих риск делирия.

3. При появлении поведенческих нарушений необходимо прежде всего оценить и провести коррекцию триггеров развития делирия (см. выше). При неэффективности этих мер и/или необходимости более быстрого контроля ситуации для снижения риска для пациента или окружающих может потребоваться более ранний, чем обычно, переход к фармакологическому лечению.

4. При назначении быстро действующих транквилизаторов необходимо мониторировать развитие побочных эффектов, состояние жизненно важных показателей (ЧДД, SpO2, АД, ЧСС), уровень гидратации и сознания, по крайней мере, каждый час до тех пор, пока не будет убежденности в их стабильности. Следует помнить о том, что бенздиазепины угнетают дыхание, а также не превышать максимальные дозы препаратов галоперидола (2 мг/сутки независимо от пути введения), рисперидона (1 мг/сутки в несколько приемов), лоразепама (2 мг/сутки независимо от пути введения).

У пациентов пожилого и старческого возраста COVID-19 повышает риск развития недостаточности питания. Повышение этого риска связано как с клиническими симптомами заболевания (снижение обоняния и вкуса, снижение аппетита, диарея, лихорадка, слабость), так и с социальными факторами (самоизоляция), которые в ряде случаев потенцируют предсуществующие риски. Пациенты старческого возраста с полиморбидностью в большей степени подвержены риску недостаточности питания и ассоциированной с ней саркопении, именно у этой группы прогноз при COVID-19 наиболее неблагоприятен. ИВЛ, особенно пролонгированная, является хорошо документированной причиной недостаточности питания с потерей мышечной массы и функции, что, в свою очередь, ассоциировано в дальнейшем со снижением качества жизни и утратой автономности после выписки из стационара. Адекватная оценка пищевого статуса, профилактика и коррекция недостаточности питания эффективно снижают риск осложнений и улучшают клинические исходы.

Рекомендуется:

1. У всех пациентов пожилого и старческого возраста, госпитализированным с COVID-19, проводить скрининг риска недостаточности питания с использованием валидированных инструментов.

2. Для пациентов, которые по результатам скрининга относятся к категориям "риск недостаточности питания" или "недостаточность питания", необходимо проводить коррекцию с использованием продуктов перорального энтерального питания (ПЭП).

3. Рекомендуется рассчитывать энергетическую ценность рациона пациента пожилого и старческого возраста, ориентируясь на уровень 30 ккал на кг массы тела в сутки, суточный уровень потребления белка должен составлять не менее 1,0 - 1,2 г на кг массы тела в сутки (при тяжелом течении заболевания и диагностированной недостаточностью питания - до 2,0 г/кг массы тела в сутки).

4. Рекомендуется назначать препараты ПЭП, которые обеспечивают поступление в организм энергии не менее 400 ккал/сут и белка не менее 30 г/сут. При отсутствии противопоказаний для обеспечения оптимального функционирования желудочно-кишечного тракта предпочтительны продукты ПЭП, содержащие пищевые волокна.

5. в случаях, когда пероральное питание невозможно, рекомендуется без промедлений начинать зондовое энтеральное питание (ЗЭП).

6. При выписке из стационара пациентам с недостаточностью питания или риском ее развития рекомендуется применять ПЭП с целью оптимизации уровня потребления пищи и массы тела, а также с целью уменьшения риска снижения функциональных возможностей. Рекомендуется назначать ПЭП на срок не менее одного месяца и оценивать эффективность и ожидаемую пользу ПЭП один раз в месяц.

5.4. АНТИБАКТЕРИАЛЬНАЯ ТЕРАПИЯ ПРИ ОСЛОЖНЕННЫХ ФОРМАХ ИНФЕКЦИИ

COVID-19, как и любая другая вирусная инфекция, не является показанием для применения антибиотиков. В патогенезе поражения легких при COVID-19 лежат иммунные механизмы - синдром активации макрофагов с развитием "цитокинового шторма", на который антибактериальные препараты не оказывают воздействия.

Антибактериальная терапия назначается только при наличии убедительных признаков присоединения бактериальной инфекции (повышение ПКТ более 0,5 нг/мл, появление гнойной мокроты, лейкоцитоз > 12 x 109/л (при отсутствии предшествующего применения глюкокортикоидов), повышение числа палочкоядерных нейтрофилов более 10%).

Бактериальные инфекции нечасто осложняют течение COVID-19. Так, в метаанализе 24 исследований, включавших 3338 пациентов, частота бактериальной коинфекции на момент обращения за медицинской помощью составила 3,5% (95% ДИ-0,4 - 6,7%); вторичные бактериальные инфекции осложняли течение COVID-19 у 14,3% пациентов (95% ДИ-9,6 - 18,9%); в целом пропорция пациентов с бактериальными инфекциями составила 6,9% (95% ДИ-4,3 - 9,5%); бактериальные инфекции чаще регистрировались у пациентов с тяжелым течением COVID-19 (8,1%, 95% ДИ-2,3 - 13,8%). Поэтому подавляющее большинство пациентов с COVID-19, особенно при легком и среднетяжелом течении, НЕ НУЖДАЮТСЯ в назначении антибактериальной терапии.

При развитии бактериальной инфекции вне стационара или в первые 48 ч пребывания в стационаре антибактериальная терапия соответствует таковой при внебольничной пневмонии (таблицы 4 - 6).

У пациентов, не нуждающихся в госпитализации, целесообразно назначение пероральных лекарственных форм.

Таблица 4.

Антибактериальная терапия внебольничной пневмонии (ВП)

Группа Препараты выбора Альтернатива
Нетяжелая ВП у пациентов без сопутствующих заболеваний <1>, не принимавших за последние 3 мес антибиотики 2 дней и не имеющих других факторов риска <2> Амоксициллин внутрь Макролид внутрь <3>
Нетяжелая ВП у пациентов с сопутствующими заболеваниями <1> и/или принимавшими за последние 3 мес антибиотики 2 дней и/или имеющих другие факторы риска <2> Амоксициллин/клавулановая кислота и др. ИЗП внутрь РХ
(левофлоксацин, моксифлоксацин) внутрь
ИЛИ
ЦС III <4> внутрь

Примечание: ИЗП - ингибиторозащищенный аминопенициллин (амоксициллин/клавулановая кислота, амоксициллин/сульбактам, ампициллин/сульбактам), РХ - респираторный хинолон, ЦС - цефалоспорин

<1> ХОБЛ, СД, ХСН, ХБП, цирроз печени, алкоголизм, наркомания, истощение.

<2> К факторам риска инфицирования редкими и/или полирезистентными возбудителями относят пребывание в доме престарелых или других учреждениях длительного ухода, наличие госпитализаций по любому поводу в течение 2 суток в предшествующие 90 дней, в/в терапия, наличие сеансов диализа или лечение ран в домашних условиях в предшествующие 30 дней.

<3> В районах с высоким (> 25%) уровнем устойчивости S. pneumoniae к макролидам (определяется по эритромицину) следует рассмотреть возможность применения РХ. Следует отдавать предпочтение наиболее изученным при ВП макролидам с улучшенными фармакокинетическими свойствами (азитромицин, кларитромицин); при известной или предполагаемой микоплазменной этиологии в районах с высоким (> 25%) уровнем устойчивости M. pneumoniae к макролидам следует рассмотреть возможность применения РХ или доксициклина.

<4> Цефдиторен.

Таблица 5.

Антибактериальная терапия нетяжелой (пациент не в ОРИТ) ВП в стационаре

Группа Препараты выбора Альтернатива
Нетяжелая ВП у пациентов без сопутствующих заболеваний <1>, не принимавших за последние 3 мес АМП 2 дней и не имеющих других факторов риска <2> Амоксициллин/клавулановая кислота и др. ИЗП <*> в/в, в/м ИЛИ Ампициллин в/в, в/м РХ
(левофлоксацин, моксифлоксацин) в/в
Нетяжелая ВП у пациентов с сопутствующими заболеваниями <1> и/или принимавшими за последние
3 мес АМП 2 дней и/или имеющих другие факторы риска <2>
Амоксициллин/клавулановая кислота и др.
ИЗП <*> в/в, в/м
ИЛИ
ЦС III поколения (цефотаксим, цефтриаксон,
цефтриаксон/сульбактам) в/в, в/м
ИЛИ
РХ (левофлоксацин, моксифлоксацин) в/в ИЛИ
Цефтаролин <3> в/в
ИЛИ
Эртапенем <4> в/в, в/м

Примечание: <*> ИЗП - ингибиторозащищенный аминопенициллин (амоксициллин/клавулановая кислота, амоксициллин/сульбактам, ампициллин/сульбактам), ЦС - цефалоспорин, РХ - респираторный хинолон.

<1> ХОБЛ, СД, ХСН, ХБП, цирроз печени, алкоголизм, наркомания, истощение.

<2> К факторам риска инфицирования редкими и/или полирезистентными возбудителями относят пребывание в доме престарелых или других учреждениях длительного ухода, наличие госпитализаций по любому поводу в течение 2 суток в предшествующие 90 дней, в/в терапия, наличие сеансов диализа или лечение ран в домашних условиях в предшествующие 30 дней.

<3> Предпочтителен при высокой распространенности ПРП в регионе или наличии индивидуальных факторов риска инфицирования ПРП.

<4> Использовать по ограниченным показаниям - пациенты из учреждений длительного ухода, наличие факторов риска аспирации, пожилой и старческий возраст с множественной сопутствующей патологией.

Таблица 6.

Антибактериальная терапия тяжелой (пациент госпитализирован в ОРИТ) ВП

1. Пациенты без дополнительных факторов риска
Рекомендованный режим:
Амоксициллин/клавулановая кислота или ампициллин/сульбактам или цефотаксим
или цефтриаксон или цефтаролин
+ азитромицин или кларитромицин
Альтернативный режим:
Амоксициллин/клавулановая кислота или ампициллин/сульбактам или цефотаксим
или цефтриаксон или цефтаролин или цефтриаксон/сульбактам
+ моксифлоксацин или левофлоксацин
2. Пациенты с факторами риска инфицирования ПРП
Рекомендованный режим:
Цефтаролин или цефотаксим <2> или цефтриаксон <2>
+ азитромицин или кларитромицин
Альтернативный режим:
Цефтаролин или цефотаксим <2> или цефтриаксон <2> или цефтриаксон/сульбактам
+ моксифлоксацин или левофлоксацин
3. Пациенты с факторами риска инфицирования P. aeruginosa
Рекомендованный режим:
Пиперациллин/тазобактам или цефепим или меропенем или имипенем
+ ципрофлоксацин или левофлоксацин
Альтернативный режим:
Пиперациллин/тазобактам или цефепим или меропенем или имипенем
+ азитромицин или кларитромицин +/- амикацин
4. Пациенты с факторами риска инфицирования MRSA
Рекомендованный режим:
1. Амоксициллин/клавулановая кислота или ампициллин/сульбактам
или цефотаксим или цефтриаксон
+ азитромицин или кларитромицин
+ линезолид или ванкомицин
2. Цефтаролин
+ азитромицин или кларитромицин
Альтернативный режим:
1. Амоксициллин/клавулановая кислота или ампициллин/сульбактам или цефотаксим или цефтриаксон или цефтриаксон/сульбактам
+ моксифлоксацин или левофлоксацин
+ линезолид или ванкомицин
2. Цефтаролин
+ моксифлоксацин или левофлоксацин
5. Пациенты с факторами риска инфицирования энтеробактериями, БЛРС (+)
Рекомендованный режим:
Имипенем или меропенем или эртапенем
+ азитромицин или кларитромицин
Альтернативный режим:
Имипенем или меропенем или эртапенем
+ моксифлоксацин или левофлоксацин
6. Пациенты с подтвержденнй предполагаемой аспирацией
Рекомендованный режим:
Ампициллин/сульбактам, амоксициллин/клавулановая кислота, пиперациллин/тазобактам, эртапенем
+ азитромицин или кларитромицин
Альтернативный режим:
Ампициллин/сульбактам, амоксициллин/клавулановая кислота, пиперациллин/тазобактам, эртапенем
+ моксифлоксацин или левофлоксацин

Примечание: ПРП - пенициллинорезистентные S. pneumoniae; MRSA - метициллинорезистентные S. aureus; БЛРС - бета-лактамазы расширенного спектра

<1> При наличии аллергических реакций немедленного типа на любой бета-лактам предпочтение нужно отдавать АБП с другой химической структурой (например, может назначаться респираторный хинолон в комбинации с линезолидом или ванкомицином).

<2> Цефотаксим должен назначаться в дозе не менее 6 г/сут, цефтриаксон - 4 г/сут.

В стационаре, с целью уменьшения нагрузки на медицинский персонал целесообразно использовать пероральные формы антимикробных препаратов, ступенчатую терапию (например - амоксициллин/клавулановая кислота в/в - переход на прием амоксициллина/клавулановой кислоты внутрь, цефтриаксон, цефотаксим, цефтриаксон/сульбактам в/м, в/в с последующим переходом на цефдиторен внутрь).

В случае клинической неэффективности или развития нозокомиальных (внутрибольничных) осложнений выбор режима антимикробной терапии необходимо осуществлять на основании выявления факторов риска резистентных возбудителей, результатов мониторинга антибиотикорезистентности в стационаре, анализа предшествующей терапии, результатов микробиологической диагностики. Для терапии нозокомиальных (внутрибольничных) бактериальных инфекций в стационаре, в зависимости от результатов мониторинга чувствительности возбудителей нозокомиальных инфекций и результатов микробиологической диагностики у конкретного пациента, могут использоваться следующие антибактериальные препараты: азтреонам (в комбинации с цефтазидимом/авибактамом), имипенем/циластатин, линезолид, меропенем, пиперациллин/тазобактам, полимиксин B (только в комбинации), телаванцин, тигециклин, фосфомицин (только в комбинации), цефтазидим/авибактам, цефтолозан/тазобактам, цефепим/сульбактам и др. Выбор антибактериальной терапии нозокомиальных инфекций рекомендован на основании консультации клинического фармаколога.

Особенности антибактериальной терапии у беременных, рожениц и родильниц

Начать лечение эмпирическими антибиотиками после постановки диагноза пневмонии в течение 4 ч, при тяжелой пневмонии - в течение 1 ч.

Пациенткам с тяжелым течением заболевания антибактериальные препараты вводятся внутривенно.

При вторичной вирусно-бактериальной пневмонии (наиболее вероятные возбудители - Streptococcus pneumoniae, Staphylococcus aureus и Haemophilus influenza) предпочтительнее использовать следующие схемы антибиотикотерапии:

- Цефалоспорин III поколения макролид;

- Защищенный аминопенициллин макролид;

При третичной бактериальной пневмонии (наиболее вероятные возбудители - метициллинрезистентные штаммы Staphylococcus aureus, Haemophilus influenza) обосновано назначение следующих препаратов (в различных комбинациях):

- Цефалоспорин IV поколения макролид;

- Карбапенемы;

- Ванкомицин;

- Линезолид.

К антибактериальным лекарственным средствам, противопоказанным при беременности, относятся тетрациклины, фторхинолоны, сульфаниламиды.

Особенности применения пробиотиков

Использование пробиотических препаратов в качестве дополнительной терапии при различных состояниях практикуется весьма широко, в т.ч. обсуждается их возможный благотворный эффект при лечении пациентов с COVID-19. Однако следует отметить, что из возможных направлений применения пробиотиков при COVID-19 только их назначение во время и/или после антибактериальной терапии для профилактики и лечения различных побочных эффектов имеет более чем убедительную доказательную базу. Как правило, в качестве пробиотиков используются препараты, содержащие различные виды и штаммы бифидобактерий и лактобактерий (в том числе МНН: Бифидобактерии бифидум и Бифидобактерии бифидум + Лактобактерии плантарум). Важно подчеркнуть, что применение пробиотиков для профилактики антибиотик-ассоциированной диареи достоверно более эффективно, если они назначаются как можно раньше с момента приема первой дозы антибиотика.

5.5. АКУШЕРСКАЯ ТАКТИКА ПРИ COVID-19

Акушерская тактика определяется несколькими аспектами: тяжестью состояния пациентки, состоянием плода, сроком гестации. При средней степени тяжести и тяжелом течении заболевания до 12-й недели гестации в связи с высоким риском перинатальных осложнений, связанных как с воздействием вирусной инфекции, так и эмбриотоксичным действием лекарственных препаратов, возможно прерывание беременности после излечения инфекционного процесса. При отказе пациентки от прерывания беременности необходима биопсия ворсин хориона или плаценты до 12 - 14-й недель или амниоцентез с 16 недель гестации для выявления хромосомных аномалий плода, которые проводятся по желанию женщины.

Прерывание беременности и родоразрешение в разгар заболевания сопряжено с увеличением показателя материнской летальности и большим числом осложнений: утяжеление основного заболевания и вызванных им осложнений, развитие и прогрессирование дыхательной недостаточности, возникновение акушерских кровотечений, интранатальная гибель плода, послеродовые гнойно-септические осложнения. Однако при невозможности устранения гипоксии на фоне ИВЛ или при прогрессировании дыхательной недостаточности, развитии альвеолярного отека легких, а также при рефрактерном септическом шоке по жизненным показаниям в интересах матери и плода показано экстренное абдоминальное родоразрешение (кесарево сечение) с проведением всех необходимых мероприятий по профилактике коагулопатического и гипотонического акушерского кровотечения.

В сроке беременности до 20 недель экстренное кесарево сечение можно не проводить, так как беременная матка в этом сроке не влияет на сердечный выброс. В сроке беременности 20 - 23 недели экстренное кесарево сечение проводится для сохранения жизни матери, но не плода, а в сроке более 24 недель - для спасения жизни матери и плода.

В случае развития спонтанной родовой деятельности в разгар заболевания (пневмонии) роды предпочтительно вести через естественные родовые пути под мониторным контролем состояния матери и плода.

Предпочтительным методом обезболивания является регионарная аналгезия при отсутствии противопоказаний. Противовирусная, антибактериальная, детоксикационная терапия, респираторная поддержка проводятся по показаниям.

Во втором периоде для профилактики развития дыхательной и сердечно-сосудистой недостаточности следует ослабить потуги. С целью ускорения процесса родоразрешения при дистрессе плода, слабости родовой деятельности и/или ухудшении состояния женщины возможно применение вакуум-экстракции или акушерских щипцов.

Кесарево сечение выполняется по стандартным акушерским показаниям. Однако при невозможности устранения гипоксии на фоне ИВЛ или при прогрессировании дыхательной недостаточности, развитии альвеолярного отека легких, а также при рефрактерном септическом шоке по жизненным показаниям в интересах матери и плода показано экстренное абдоминальное родоразрешение (кесарево сечение) с проведением всех необходимых мероприятий по профилактике коагулопатического и гипотонического акушерского кровотечения. При тяжелой форме течения COVID-19 предпочтительным доступом является нижнесрединная лапаротомия.

Анестезиологическое обеспечение операции кесарева сечения при тяжелом течении заболевания: в отсутствии признаков выраженной полиорганной недостаточности (до 2 баллов по шкале SOFA) возможно применение регионарных методов обезболивания на фоне респираторной поддержки, при выраженной полиорганной недостаточности - тотальной внутривенной анестезии с ИВЛ.

Всем пациенткам, независимо от срока беременности, показана профилактика кровотечения.

Во всех случаях вопрос о времени и методе родоразрешения решается индивидуально.

- Нормальная t тела в течение 3-х дней;

- Отсутствие симптомов поражения респираторного тракта;

- Восстановление нарушенных лабораторных показателей;

- Отсутствие акушерских осложнений (беременности, послеродового периода).

Прогноз для матери и плода зависит от триместра гестации, в котором возникло заболевание, наличия преморбидного фона (курение, ожирение, фоновые заболевания органов дыхательной системы и ЛОР-органов, сахарный диабет, ВИЧ-инфекция), степени тяжести инфекционного процесса, наличия осложнений и своевременности начала противовирусной терапии.

Тактика ведения новорожденных в условиях пандемии COVID-19

Маршрутизация новорожденных высокого риска по развитию COVID-19 основывается на выделении групп риска в зависимости от инфицирования матери.

Потенциально инфицированным SARS-CoV-2 считается ребенок:

- Рожденный от матери, у которой выявлен подтвержденный случай COVID-19 за 14 дней до родов;

- Рожденный от матери с подозрением на инфицирование SARS-CoV-2, в том числе находившейся на самоизоляции (из группы подлежащих карантину по контакту с инфицированным SARS-CoV-2);

- Новорожденный до 28 дней постнатального периода в случаях его контакта с инфицированными/потенциально инфицированными SARS-CoV-2 (включая членов семьи, опекунов, медицинский персонал и посетителей).

Инфицированным новорожденный считается при положительном результате исследования биоматериала на РНК SARS-CoV-2 МАНК вне зависимости от наличия или отсутствия клинической картины.

Ведение потенциально инфицированных COVID-19 новорожденных в родильном зале

Подробная информация о диагностике, профилактике и лечении новорожденных детей представлена в методических рекомендациях Минздрава России "Организация оказания медицинской помощи беременным, роженицам, родильницам и новорожденным при новой коронавирусной инфекции COVID-19".

Для присутствия на родах и перемещения ребенка должна быть заранее выделенная врачебно-сестринская бригада для новорожденного, которая приглашается в родильный зал не ранее начала потужного периода или начала анестезии при кесаревом сечении, ожидает рождения ребенка на расстоянии не менее 2-х метров от роженицы. Использование СИЗ обязательно.

Число людей, оказывающих помощь в помещении, должно быть минимизировано, чтобы уменьшить контакт с больным.

Не рекомендовано отсроченное пережатие пуповины; не рекомендован контакт мать-ребенок; ребенок к груди не прикладывается для предотвращения постнатального инфицирования, максимально быстро выносится из родильного зала.

В зависимости от клинического состояния женщины возможно поддержание лактации для последующего грудного вскармливания ребенка после выздоровления матери.

Первичная и реанимационная помощь новорожденному оказывается в свободном родильном зале или в специально выделенном помещении с учетом минимизации применения технологий, способствующих образованию внешнего инфицированного аэрозоля (санация трахеи, вентиляция мешком Амбу, неинвазивное введение сурфактанта и другие).

Предметы диагностики и лечения (стетоскоп, термометр и др.) и средства ухода должны быть индивидуального использования для каждого ребенка, после его перевода должны быть обработаны в соответствии с правилами.

Врачи, медсестры и другой персонал, контактирующий с ребенком, должны находиться в СИЗ.

После рождения ребенок должен быть выведен из помещений, предназначенных для беременных, рожениц и родильниц с COVID-19 и изолирован в специально выделенном отделении (обычно отделение детской больницы). Транспортировка производится в транспортном кувезе, персонал использует СИЗ. Специально выделенный медицинский автотранспорт подлежит дезинфекции по правилам работы с особо опасными инфекциями.

У новорожденного ребенка берутся мазки из носа и ротоглотки на COVID-19 сразу после перемещения из родильного зала или сразу после установления постнатального контакта с COVID-19-позитивными людьми из его окружения. Далее исследование на РНК SARS-CoV-2 повторяется через 2 - 3 суток. Если оба результата исследования отрицательные, то ребенок считается неинфицированным SARS-CoV-2. Если ребенок по эпидемиологическим показаниям должен находиться на карантине, то контрольные исследования биологического материала из носа, ротоглотки, а также стула проводятся на 10 - 12-е сутки карантина с целью принятия решения о возможности его прекращения к 14 суткам. Если один из результатов исследования на РНК SARS-CoV-2 положительный, то ребенок считается инфицированным данным вирусом и дальнейшие контрольные исследования проводятся в соответствии с рекомендациями по ведению пациентов с COVID-19.

Вакцинация и неонатальный скрининг откладываются до установления SARS-CoV-2-отрицательного статуса.

При необходимости медицинская помощь новорожденному оказывается в соответствии с клиническими рекомендациями.

5.6. ОСНОВНЫЕ ПРИНЦИПЫ ТЕРАПИИ НЕОТЛОЖНЫХ СОСТОЯНИЙ

5.6.1. Показания к переводу в ОРИТ

Согласно Приказу N 459н Минздрава РФ от 18 мая 2020 г., пациенты, находящиеся в крайне тяжелом состоянии, госпитализируются в структурное подразделение медицинской организации для лечения COVID-19 на койки для пациентов, находящихся в крайне тяжелом состоянии, требующих проведения ИВЛ, исходя из наличия двух из следующих критериев:

а) нарушение сознания;

б) SpO2 < 92% (на фоне кислородотерапии);

в) ЧДД > 35/мин.

5.6.2. Мониторинг состояния пациента в отделении реанимации

У пациентов с COVID-19, находящихся в ОРИТ, рекомендуется рутинно мониторировать SpO2, ЭКГ с подсчетом ЧСС, неинвазивное измерение АД и температуру тела. При проведении ИВЛ дополнительно рекомендуется мониторировать газовый состав и кислотно-основное состояние артериальной и венозной крови, содержание кислорода во вдыхаемой смеси (FiO2), содержание углекислого газа в конце выдоха (EtCO2) и давление в дыхательных путях. Если определение PaO2 недоступно, рекомендуется использовать показатель SpO2/FiO2: если его максимально достижимое значение ниже или равно 315, то это свидетельствует об ОРДС (в том числе у пациентов без ИВЛ).

У пациентов с шоком на фоне COVID-19 следует при наличии соответствующих технических возможностей комплексно мониторировать гемодинамику согласно рекомендациям Европейского общества медицины критических состояний (ESICM). Для оценки ответа на волемическую нагрузку рекомендуется по возможности использовать не статические показатели преднагрузки (ЦВД, ДЗЛА, ИГКДО и др.), а динамические параметры - изменчивость ударного объема (SVV) и пульсового давления (PPV), температуру кожи, время наполнения капилляров и/или уровень лактата. Необходимо помнить, что SVV и PPV применимы только у пациентов на ИВЛ без попыток самостоятельного дыхания.

При множественной органной дисфункции на фоне COVID-19 рекомендуется мониторировать суточный и кумулятивный гидробаланс, избегая гипергидратации, а тяжесть полиорганной недостаточности количественно оценивать по шкале SOFA (таблица 6).

Таблица 6.

Шкала оценки органной дисфункции SOFA

Функция Показатель Баллы
0 1 2 3 4
ЦНС Оценка по ШКГ, баллы 15 13 - 14 10 - 12 6 - 9 < 6
Оксигенация PaO2/FiO2, мм рт.ст. 400 < 400 < 300 < 200 <*> < 100 <*>
Гемодинамика Среднее АД, мм рт.ст. или дозы катехоламинов, мкг/кг в мин 70 < 70 Доф <5 или Доб (любая доза) Доф 5,1 - 15 или Эпи (Нор) 0,1 Доф > 15 или Эпи (Нор) > 0,1
Гемостаз Тромбоциты, x 109/мкл 150 < 150 < 100 < 50 < 20
Печень Билирубин, мкмоль/л < 20 20 - 32 33 - 101 102 - 204 > 204
Почки Креатинин, моль/л < 100 110 - 170 171 - 299 300 - 440 > 440
Диурез, мл/сут       < 500 < 200

<*> На фоне респираторной поддержки;

обозначения: Доф - дофамин, Доб - добутамин, Эпи - эпинефрин (адреналин), Нор - норэпинефрин (норадреналин).

5.6.3. Интенсивная терапия острой дыхательной недостаточности

ОДН является одним из наиболее частых осложнений COVID-19. У пациентов с тяжелым и крайне тяжелым течением (10 - 15%) после 5-го дня болезни сохраняется лихорадка, появляются симптомы дыхательной недостаточности, прогрессируют инфильтративные изменения в легких (вирусная пневмония), ОРДС. Даже при легком течении COVID-19 у большинства пациентов при КТ легких видны инфильтративные изменения. Так, SARS-CoV-2 обнаруживался в носоглоточных смывах у 59% пациентов, а инфильтративные изменения на КТ легких - у 88% пациентов с вероятным COVID-19.

Особенности вирусной пневмонии и ОРДС при COVID-19

Поражения легких при COVID-19 отличается выраженной артериальной гипоксемией, часто не соответствующей объему поражения и степени снижения податливости легочной ткани, что связано с феноменом избыточной перфузии пораженных альвеол при COVID-19 (расширение сосудов) и несоответствием между вентиляцией и перфузией. При развитии ОРДС, у этих пациентов, как правило, нет других причин для интубации трахеи - нарушения сознания, мышечной слабости (дисфункция диафрагмы при полинейромиопатии критических состояний), нестабильной гемодинамики, интраабдоминальной гипертензии, низкой податливости грудной стенки, нарушений биомеханики дыхания, ведущих к повышенной работе дыхания. Вследствие этого у значимой части таких пациентов компенсация гипоксемии и ОДН достигается неинвазивными методами - оксигенотерапией и неинвазивной ИВЛ (НИВЛ) даже при снижении индекса PaO2/FiO2 до 100 мм рт.ст., а у некоторых - и ниже.

При COVID-19 описаны два варианта поражений легких, являющихся, по сути, стадиями одного процесса, которые приводят к ОДН:

- Очаговое поражение легких (вирусная пневмония, более ранняя стадия): нормальная или немного сниженная податливость легочной ткани, на КТ только участки матового стекла, расположенные субплеврально и вдоль междолевых щелей, низкая рекрутабельность легких. Таким пациентам в большей степени показана кислородотерапия, при неуспехе - неинвазивная ИВЛ (шаги 1 - 2).

- Диффузное повреждение альвеол (соответствует 3 - 4 стадиям КТ) (собственно ОРДС). Альвеолы заполнены экссудатом, диффузное нарушение соотношения вентиляции-перфузии, часть альвеол может быть коллабирована, возможно ателектазирование участков легких, более выраженное в дорсальных отделах. Показаны высокопоточная оксигенотерапия, неинвазивная и инвазивная ИВЛ в прон-позиции. При диффузном повреждении альвеол у пациентов с COVID-19 очень высока вероятность волюмотравмы (травмы альвеол повышенным объемом), поэтому не следует устанавливать дыхательный объем на величину более 6 мл/кг ИМТ (или следует следить за величиной дыхательной объема при неинвазивной ИВЛ) и следует использовать умеренный PEEP (как правило, 8 - 10 см вод.ст. при прогрессировании заболевания - меньше).

Диффузное повреждение альвеол (ОРДС) при COVID-19 диагностируют в среднем на 8-е сутки от начала болезни, при поступлении в ОРИТ частота ОРДС около 60%, а индекс PaO2/FiO2 - 136 (103 - 234) мм рт.ст.

При ОРДС у пациентов с COVID-19 высока частота гиперкапнии, сохраняющейся даже на фоне инвазивной ИВЛ из-за роста альвеолярного мертвого пространства (микротромбоз легочных капилляров, тромбоэмболия легочной артерии) и/или увеличения шунта (венозного примешивания), что ведет к большой (выше 5 мм рт.ст.) разнице напряжений CO2 в артериальной крови и в конце выдоха.

Целевые показатели газообмена, ассоциированные с улучшением исхода при ОРДС:

- PaO2 90 - 105 мм рт.ст или SpO2 95 - 98%;

- PaCO2 35 - 50 мм рт.ст., возможно применение гиперкапнии до 70 мм рт.ст. при невозможности достижения нормокапнии при дыхатальном объеме 6 мл/кг ИМТ и частоте дыхания 30 в мин

Алгоритм оказания помощи при ОДН

Рекомендован пошаговый подход в респираторной терапии (схема 1):

1 шаг - при SpO2 <92% начать обычную O2-терапию (через лицевую маску или назальные канюли, лучше маска с расходным мешком) потоком до 15 л/мин до SpO2 96 - 98%; у пациентов с сопутствующими заболеваниями (ХОБЛ, хронической сердечной недостаточностью) вместо шага 1 следует сразу переходить к шагу 2.

2 шаг (при неэффективности шага 1) - прон-позиция не менее 12 - 16 ч в сутки с высокопоточной оксигенацией (ВПО, рекомендуется надеть на пациента защитную маску) потоком 30 - 60 л/мин или НИВЛ в режиме СРАР 7 - 10 см вод.ст., а при сохранении видимой работы дыхания и участия вспомогательных дыхательных мышц - НИВЛ в режимах с заданным уровнем инспираторного давления (S, S/T, Pressure Support, BIPAP) 14 - 24 см вод.ст. (минимальный уровень при сохранении комфорта пациента) и минимальной инспираторной фракцией кислорода для поддержания целевого значения SpO2 (как правило, 60 - 100%)" (см. клинические рекомендации Федерации анестезиологов-реаниматологов "Применение неинвазивной вентиляции легких");

3 шаг - при сохранении гипоксемии (SpO2 < 92%), признаках повышенной работы дыхания (участие вспомогательной мускулатуры, частое глубокое дыхание), усталости пациента, нарушении сознания, нестабильной динамике, появлении "провалов" давления на 2 и более см вод.ст. ниже уровня СРАР на фоне шага 2 показана интубация трахеи и инвазивная ИВЛ в сочетании с прон-позицией (схема 1). Важно, что изолированное увеличение ЧД до 30 - 35 в мин при отсутствии вышеописанных признаков не является показанием для интубации трахеи. При неэффективности шага 2 у пациентов с COVID-19 не рекомендуется задерживать интубацию трахеи и начало ИВЛ, так как отсрочка интубации трахеи ухудшает прогноз. Важно помнить, что дыхательная недостаточность может прогрессировать чрезвычайно быстро.

Оксигенотерапия

Все системы доставки кислорода в дыхательные пути пациента делят на низкопоточные (поток кислорода до 15 л/мин) (носовые канюли, простые ороназальные маски, маски Вентури, ороназальные маски с резервуарным мешком) и высокопоточные (поток кислорода 30 - 60 л/мин).

Результирующая величина FiO2 зависит не только от потока кислорода, но и от состояния самого пациента (следует принимать во внимание такие факторы, как минутная вентиляция и инспираторы поток пациента - чем они больше, тем меньшая FiO2 получается в итоге.

Низкопоточная оксигенотерапия эффективна при легкой и средней степени тяжести гипоксемической ОДН - с индексом PaO2/FiO2 300 - 150 мм рт.ст. (сатурация на воздухе без кислорода 75 - 93%) (шаг 1).

Низкопоточные системы можно расположить следующим образом в порядке повышения степени результирующей инспираторной фракции кислорода: носовые канюли -> простые ороназальные маски -> маски Вентури -> ороназальные маски с резервуарным мешком.

Высокопоточная оксигенотерапия - это метод кислородной терапии, при использовании которого обеспечивается доставка подогретой и увлажненной кислородовоздушной смеси через специальные носовые канюли при высоких скоростях потока (до 60 л/мин), при этом имеется возможность обеспечить FiO2 до 100%. Высокопоточная оксигенотерапия эффективна при тяжелой степени гипоксемической ОДН - с индексом PaO2/FiO2 менее 150 мм рт.ст. (сатурация на воздухе без кислорода ниже 75%) (шаг 2). Одним из важных физиологических свойств высокого потока для пациентов с COVID-19 является эффект промывания анатомического мертвого пространства, что приводит к улучшению элиминации углекислоты и уменьшению работы дыхания пациента.

С целью точного дозирования и экономии кислородно-воздушной смеси пациентам на самостоятельном дыхании необходимо использовать назально-оральные маски с накопительным мешком и клапаном переключения (клапан Рубена или модификации представлены в большом разнообразии).

Неинвазивная ИВЛ

Ввиду невысокой рекрутабельности альвеол и отсутствия выраженной внелегочной патологии у большинства пациентов с COVID-19, неинвазивная ИВЛ становится одним из основных методов респираторной поддержки, вытесняя инвазивную ИВЛ

Неинвазивная ИВЛ показана при неэффективности низкопоточной и высокопоточной оксигенотерапии (если ее применяли) (шаг 2).

Применение НИВЛ рекомендовано только при следующих условиях:

- Сохранность сознания, стабильная гемодинамика;

- Возможность сотрудничать с персоналом;

- Отсутствие клаустрофобии (при применении шлемов);

- Сохранение механизма откашливания мокроты.

НИВЛ не рекомендуется при:

- Отсутствии самостоятельного дыхания (апноэ);

- Нестабильной гемодинамике (гипотензия, ишемия или инфаркт миокарда, жизнеугрожающая аритмия, неконтролируемая артериальная гипертензия);

- Невозможности обеспечить защиту дыхательных путей (нарушение кашля и глотания) и высокий риск аспирации;

- Избыточной бронхиальной секреции;

- Признаках нарушения сознания (возбуждение или угнетение сознания), неспособности пациента к сотрудничеству;

- Травме или ожоге лица, анатомических дефектах, препятствующих установке маски;

- Неспособности пациента убрать маску с лица в случае рвоты;

- Активном кровотечении из желудочно-кишечного тракта;

- Обструкции верхних дыхательных путей;

- Дискомфорте от маски.

Неинвазивную ИВЛ можно проводить как специальными аппаратами для неинвазивной ИВЛ (включая аппараты для домашней НИВЛ), так и универсальными аппаратами ИВЛ с режимом НИВЛ. Следует отметить, что эффективность использования специализированных аппаратов НИВЛ выше.

Для неинвазивной ИВЛ могут быть использованы специальные маски для НИВЛ (ороназальные и полнолицевые), а также шлемы (для СРАР и для НИВЛ, в зависимости от выбранного режима и типа контура аппарата).

При использовании ороназальных и полнолицевых масок НИВЛ следует обратить внимание на следующие моменты:

- если применен аппарат ИВЛ с двухшланговым контуром и наличием клапана выдоха (стандартный аппарат ИВЛ), то следует использовать невентилируемые маски (без утечки в "колене" маски);

- если применен специализированной аппарат для НИВЛ с одношланговым контуром, то при наличии порта выдоха в контуре используют маски с невентилируемым "коленом", а отсутствии такого порта - маски с вентилируемым "коленом";

- оптимальная утечка составляет около 30 л/мин, при снижении утечки менее 7 л/мин следует ослабить маску, при утечке 30 - 60 л/мин - плотно прикрепить маску, при утечке более 60 л/мин - сменить маску;

- следует подбирать оптимальный размер маски в соответствии с размером лица пациента, большинству взрослых пациентов подойдут маски размера М

- при развитии пролежней от маски следует сменить маску на другой тип (ротация маски), например, ороназальную на полнолицевую, для профилактики пролежней рекомендовано использовать ротацию масок.

При использовании шлемов для НИВЛ следует обращать внимание на соответствие между типом шлема, типом контура, выбранным режимом ИВЛ и типом аппарата ИВЛ.

Стартовым режимом НИВЛ является СРАР (ЕРАР) 8 - 10 см вод.ст. и инспираторной фракцией кислорода 60%, при сохранении на этом фоне выраженной работы дыхательных мышц шеи следует переключить аппарат на режим с поддержкой давлением (S, S/T, Pressure Support, BIPAP) с уровнем давления IPAP 14 - 22 см вод.ст., подбирая минимальное инспираторное давление, при котором сохраняется комфорт пациента и нет видимой работы дыхания пациента. Уровень FiO2 следует подбирать на основе целевого значения оксигенации.

При проведении НИВЛ следует следить за величиной выдыхаемого дыхательного объема, которая не должна превышать при ороназальной и полнолицевой маске 9 мл/кг ИМТ, а при шлеме может быть на 50 - 75% выше ввиду высокой податливости и большого объема мертвого пространства шлема.

При прогрессировании заболевания задержка интубации трахеи может приводить к ухудшению прогноза. При уменьшении степени поражения легких, снижения потребности в кислороде следует поэтапно снижать: сначала FiO2, затем уровень инспираторного давления (IPAP, Pressure Support), затем уровень СРАР (ЕРАР).

Прон-позиция и положение лежа на боку у неинтубированных пациентов

У пациентов с COVID-19 формируются ателектазы в дорсальных отделах легких, в связи с чем самостоятельная прон-позиция (положение лежа на животе) высокоэффективна и у неинтубированных пациентов, которые получают кислородотерапию или НИВЛ. Прон-позиция проводится не реже двух раз в сутки (оптимально общее время на животе 12 - 16 ч в сутки). Раннее применение прон-позиции в сочетании с кислородотерапией или с НИВЛ помогает избежать интубации у многих пациентов.

Основные механизмы действия прон-позиции:

- Расправление гравитационно-зависимых ателектазов;

- Улучшение вентиляционно-перфузионных соотношений;

- Улучшение дренажа секрета дыхательных путей;

- На фоне СРАР вентиляция распределяется более равномерно.

Противопоказания к самостоятельной прон-позиции:

- Нарушение сознания (угнетение или ажитация);

- Гипотензия;

- Недавняя операция на брюшной или грудной полостях;

- Выраженное ожирение;

- Массивное кровотечение;

- Повреждения спинного мозга;

- Нарушения ритма, могущие потребовать дефибрилляции и/или массажа сердца.

У пациентов с выраженным ожирением вместо прон-позиции предпочтительнее использовать положение лежа на боку со сменой стороны несколько раз в сутки.

Показания для интубации трахеи (достаточно одного критерия):

- Гипоксемия (SpO2 < 92%), несмотря на высокопоточную оксигенотерапию или НИВЛ в положении лежа на животе с FiO2 100%;

- Усталость пациента на фоне ВПО или НИВЛ в прон-позиции с FiO2 100%;

- Нарастание видимых экскурсий грудной клетки и/или участие вспомогательных дыхательных мышц, несмотря на ВПО или НИВЛ в положении лежа на животе с FiO2 100%;

- Угнетение сознания или возбуждение;

- Остановка дыхания;

- Нестабильная гемодинамика.

Инвазивная ИВЛ

Инвазивная ИВЛ при терапии COVID-19-ассоциированной ОДН применяется в случае неэффективности неинвазивной ИВЛ (шаг 3) или недоступности последней (шаг 2). ИВЛ направлена не только на обеспечение адекватного газообмена, стабилизацию коллабированных альвеол, но и минимизацию потенциального индуцированного пациентом или ятрогенного повреждения легких. При применении инвазивной ИВЛ при неэффективности неинвазивной ИВЛ следует иметь в ввиду, что в большинстве случаев применение вспомогательных режимов ИВЛ на фоне ясного сознания или умеренной седации после интубации трахеи может усиливать повреждение легких, поэтому в первые несколько часов после интубации трахеи следует использовать полностью управляемые режимы ИВЛ на фоне глубокой седации и/или миоплегии. Стратегия применения ИВЛ при COVID-19 основана на временных клинических рекомендациях Федерации анестезиологов-реаниматологов "Диагностика и интенсивная терапия острого респираторного дистресс-синдрома" (2020) и временных методических рекомендациях Федерации анестезиологов и реаниматологов "Анестезиолого-реанимационное обеспечение пациентов с новой коронавирусной инфекцией COVID-19".

При ИВЛ у пациентов с COVID-19 рекомендован дыхательный объем 6 мл/кг идеальной массы тела. Применение дыхательного объема более 6 мл/кг ИМТ ведет к росту осложнений и летальности.

Проведение "безопасной" ИВЛ возможно в режимах как с управляемым давлением (PC), так и с управляемым объемом (VC). При этом в последних желательно использовать нисходящую форму инспираторного потока, обеспечивающую лучшее распределение газа в легких и меньшее давление в дыхательных путях.

У пациентов с PaO2/FiO2 выше 150 мм рт.ст. при реверсии миоплегии рекомендовано, при технической возможности и отсутствии патологических ритмов дыхания, перейти на полностью вспомогательный режим вентиляции (в большинстве аппаратов - PSV) для улучшения распределения газа, профилактики ателектазирования и атрофии диафрагмы.

У пациентов с COVID-19 при проведении ИВЛ рекомендовано использовать PEEP в зависимости от рекрутабельности альвеол и риска образования ателектазов. У пациентов с COVID-19 отмечена невысокая рекрутабельность альвеол, стартовая величина эффективного и безопасного PEEP составляет 8 - 10 см вод.ст.

Для оценки рекрутабельности рекомендовано оценивать разницу между давлением плато и PEEP ("движущее давление") или статическую податливость респираторной системы: уменьшение величины "движущего давления" в ответ на увеличение PEEP свидетельствует об рекрутировании коллабированных альвеол, а увеличение его - о перераздувании уже открытых альвеол.

Методология применения PEEP подробно описана в Клинических рекомендациях Федерации анестезиологов-реаниматологов "Диагностика и интенсивная терапия острого респираторного дистресс-синдрома".

Рутинное применение рекрутирования альвеол не рекомендовано при COVID-19 из-за невысокой рекрутабельности и высокого риска острого легочного сердца.

У пациентов с ОРДС вследствие COVID-19 при проведении ИВЛ рекомендовано использовать неинвертированное соотношение вдоха к выдоху для более равномерного распределения газа в легких и снижения отрицательного влияния ИВЛ на постнагрузку правого желудочка; рутинное применение инверсного соотношения вдоха к выдоху (более 1 к 1,2) не рекомендовано, при этом необходимо избегать неполного выдоха (экспираторный поток перед началом вдоха аппарата должен достигать нуля). Следует регулировать ЧД для достижения нормокапнии, но не более 30 в мин. Для вдоха достаточно времени 0,8 - 1,2 с.

Вентиляция в положении лежа на животе (прон-позиция) и в положении на боку

При ИВЛ у пациентов с COVID-19 рекомендовано положение лежа на животе в течение не менее 16 ч в сутки для улучшения оксигенации и возможного снижения летальности. Пациента следует положить на живот, предварительно подложив валики под грудную клетку и таз, а также подушку для лица (желательно использовать специальные подушки для прон-позиции) с таким расчетом, чтобы живот не оказывал избыточного давления на диафрагму, а также не создавалось условий для развития пролежней лица.

При выраженном ожирении вместо прон-позиции при проведении ИВЛ предпочтительно положение лежа на боку со сменой стороны несколько раз в сутки.

Осложнения при вентиляции в положении лежа на животе:

- Перегибы и дислокации интубационных трубок и венозных катетеров;

- Трудность выполнения сердечно-легочной реанимации;

- Развитие невритов периферических нервов верхних конечностей;

Повреждение носа и глаз - лицевой и периорбитальный отек - развивается почти в 100% случаев; кератоконьюктивит, требующий лечения, развивается у 20% пациентов;

В прон-позиции затруднены санация полости рта и трахеи, обработка глаз, лица.

Критерий прекращения прон-позиции: увеличение PaO2/FiO2 > 200 мм рт.ст. при PEEP < 10 см вод.ст., сохраняющееся в течение 4 ч после последнего сеанса прон-позиции.

Медикаментозная седация и миоплегия при ИВЛ

При проведении ИВЛ пациентам с индексом PaO2/FiO2 > 200 мм рт.ст. используют "легкий" уровень седации (-1 ... -2 балла по Ричмондской шкале ажитации и седации RASS). Такая стратегия уменьшает длительность респираторной поддержки и улучшает исход. Желательно также избегать применения для седации бензодиазепинов.

У пациентов с PaO2/FiO2 < 120 мм рт.ст. на фоне PEEP > 5 см вод.ст. рекомендовано использовать нейромышечную блокаду, но только в первые 48 ч после интубации, что может приводить к уменьшению вентилятор-ассоциированного повреждения легких и снижению летальности. Рутинно применять миорелаксанты для синхронизации с аппаратом не следует.

Сроки трахеостомии

Рекомендована ранняя трахеостомия (в первые трое суток после интубации) ввиду длительности проведения респираторной поддержки и высокой вероятности осложнений оротрахеальной интубации (дислокация трубки и непреднамеренная экстубация при повороте в прон-позицию, нарушение проходимости трубки, риск нозокомиальной пневмонии).

Прекращение респираторной поддержки

Рекомендовано продлевать респираторную поддержку до 14 суток и более даже при положительной динамике оксигенирующей функции легких, т.к. при COVID-19 возможно повторное ухудшение течения ОРДС; средняя длительность ИВЛ у выживших 14 - 21 суток.

Для улучшения исходов и уменьшения продолжительности респираторной поддержки рекомендуют использовать общие и респираторные критерии готовности к ее прекращению

Основные респираторные критерии:

- PaO2/FiO2 > 300 мм рт.ст. то есть SpO2 при вдыхании воздуха 90% и более;

- Восстановление кашлевого рефлекса и кашлевого толчка;

- Отсутствие бронхореи;

- Индекс Тобина (f/Vt) < 105.

Дополнительные респираторные критерии:

- Статическая податливость респираторной системы > 35 мл/см вод.ст.;

- Сопротивление дыхательных путей < 10 см вод.ст./л/с;

- Отрицательное давление при вдохе менее -20 см вод.ст.;

- Давление окклюзии контура на вдохе за первые 100 мс (P0,1) 1 - 3 см вод.ст.;

- Уменьшение инфильтрации на рентгенограмме (и/или КТ) грудной клетки.

Общие критерии готовности к прекращению респираторной поддержки:

- Отсутствие угнетения сознания и патологических ритмов дыхания;

- Полное окончание действия миорелаксантов и др. препаратов, угнетающих дыхание;

- Отсутствие признаков шока (мраморность кожи, белое пятно > 3 с, холодные конечности), жизнеопасных нарушений ритма, стабильность гемодинамики.

Для начала прекращения респираторной поддержки обязательно наличие всех основных респираторных и общих критериев готовности к прекращению респираторной поддержки.

Схема 1. Пошаговый подход в выборе респираторной терапии COVID-19

Терапия гелий-кислородными газовыми смесями

В настоящее время изучается эффективность подогреваемой кислородно-гелиевой смеси гелиокс (70% гелий/30% кислород) в комплексной интенсивной терапии больных на начальных стадиях гипоксемии при COVID-19 для улучшения аэрации участков легких с нарушенной бронхиальной проходимостью.

Терапия гелий-кислородными газовыми смесями проводится с помощью специальных аппаратов, обеспечивающих эффективную и безопасную ингаляцию термической гелий-кислородной смесью, позволяющих изменять процентное соотношение гелия и кислорода, а также температуры в любой момент времени в течение одной процедуры. Аппарат позволяет создавать однородную гелий-кислородную смесь, многократно изменять и мониторировать процентное содержание гелия и кислорода, температуру ингалируемой газовой смеси во время одной процедуры с целью определения наиболее эффективного режима для каждого пациента, обеспечивать во время процедуры соответствие фактического состава гелия, кислорода и температуры заданным параметрам, мониторировать во время процедуры необходимые параметры (дыхательный объем, частоту дыхания, сатурацию), формировать равномерный ламинарный поток газовой смеси, подавать необходимые фармпрепараты через небулайзер, встроенный в дыхательный контур.

Следует отметить, что ограничивает такую терапию невозможность создания FiO2 выше 30%, так как терапия гелием эффективна только при концентрациях, превышающих 70%.

5.6.4. Экстракорпоральная мембранная оксигенация (ЭКМО)

Показанием к вено-венозному ЭКМО является снижение индекса PaO2/FiO2 ниже 80 мм рт.ст. и (или) гиперкапния с pH < 7,2, несмотря на протективную ИВЛ в прон-позиции в течение 10 - 12 ч. Обязательным условием является длительность проведения инвазивной ИВЛ не более 5 суток. Эффективность ЭКМО крайне сомнительна при септическом шоке. ЭКМО проводится в отделениях с опытом использования данной технологии и специалистами, владеющими техникой канюляции магистральных сосудов и настройкой ЭКМО.

Противопоказания к ЭКМО:

- Наличие геморрагических осложнений и снижение уровня тромбоцитов ниже критических значений (< 50*109/л), наличие внутричерепных кровоизлияний;

- Тяжелые сопутствующие заболевания в стадии декомпенсации;

- Полиорганная недостаточность или оценка по SOFA > 15 баллов;

- Немедикаментозная кома;

- Техническая невозможность венозного или артериального доступа;

- Индекс массы тела > 35 кг/м2;

- Возраст пациента более 65 лет.

5.6.5. Поддержка кровообращения и инфузионная терапия

У пациентов с COVID-19 рекомендуется придерживаться консервативной (ограничительной) тактики инфузионной терапии с динамической оценкой ее эффективности по ответу показателей гемодинамики, газовому составу крови, клиренсу лактата и другим показателям. В качестве начальной инфузионной терапии следует использовать болюсное введение кристаллоидов по 500 мл в зависимости от реакции гемодинамики и газообмена. Необходимо вести пациентов в нулевом или отрицательном балансе жидкости с обязательным контролем диуреза и суточного гидробаланса. Для поддержания отрицательного гидробаланса могут быть использованы диуретики и методы почечной заместительной терапии.

У пациента с гипотензией (систолическое АД менее 90 мм рт.ст. или среднее АД менее 65 мм рт.ст.) рекомендуется провести скрининговое обследование, направленное на выявление возможных дополнительных очагов инфекции, включая бактериальную суперинфекцию. При проведении инфузионной нагрузки с целью стабилизации гемодинамики у таких больных следует отдать предпочтение сбалансированным кристаллоидным препаратам. Рутинное использование коллоидных препаратов не рекомендовано.

У пациентов с гипотензией, которым инфузионная нагрузка не требуется (при отрицательных результатах динамических тестов на инфузионную нагрузку) или проведение инфузионной нагрузки не сопровождается быстрой стабилизацией гемодинамики, рекомендуется начать введение вазоактивных препаратов с целью начального поддержания среднего АД в пределах 65 - 75 мм рт.ст. У пациентов до 65 лет при отсутствии кардиальной патологии и признаков тканевой гипоперфузии допустимо поддержание среднего АД в пределах 60 - 65 мм рт.ст. У пожилых пациентов с сопутствующей артериальной гипертензией для профилактики острого повреждения почек целесообразно поддержание среднего АД 75 - 85 мм рт.ст.

В качестве вазоактивного препарата первой линии рекомендуется использовать норэпинефрин, при его недоступности - эпинефрин. Дофамин может быть использован только в отсутствие норэпинефрина и эпинефрина. У пациентов с COVID-19 и шоком с признаками миокардиальной дисфункции, проявляющейся повышением давлений наполнения сердца и снижением сердечного выброса, или при сохраняющихся признаках гипоперфузии, несмотря на достижение адекватных показателей преднагрузки и среднего АД, рекомендуется дополнительно назначить добутамин. У пациентов с рефрактерным шоком (потребность в инфузии норэпинефрина или эпинефрина в дозе > 0,5 мкг/кг/мин для поддержания среднего АД в пределах 65 - 75 мм рт.ст.) рекомендуется дополнительно к вазопрессорной поддержке использовать низкие дозы глюкокортикоидов (инфузия гидрокортизона 200 мг/сут).

5.6.6. Лечение пациентов с сепсисом и септическим шоком

Для скрининга пациентов с высокой вероятностью развития сепсиса, и в том числе рассмотрения возможности ранней госпитализации в ОРИТ, следует использовать критерии Quick SOFA (qSOFA) (экспресс-SOFA), позволяющие предполагать наличие сепсиса по клиническим признакам без лабораторных исследований:

- снижение уровня сознания до 13 и менее баллов шкалы комы Глазго;

- снижение систолического АД менее 100 мм рт.ст.;

- ЧДД 22 и более.

Каждому из признаков придается по одному баллу. В случае наличия двух или трех баллов вероятность присутствия инфекции в варианте сепсиса составляет около 80%, превышая диагностическую ценность классической шкалы SOFA, с более высоким риском смерти в 3 - 14 раз в сравнении с индексом qSOFA менее двух баллов.

Важным дифференциальным критерием этиологии сепсиса является клинический анализ крови - при бактериальном генезе отмечается лейкоцитоз, а при вирусном - нормо- или лейкопения и лимфопения.

Задачи интенсивной терапии септического шока (кроме этиотропного лечения):

1. Поддержка гемодинамики (оптимизация доставки O2)

2. Метаболическая поддержка (минимизация дефицита экстракции или

повышение потребления O2).

Ключевым принципом интенсивной терапии ранней фазы септического шока является незамедлительное начало гемодинамической поддержки у пациентов с гипотензией или повышенной концентрацией лактата в сыворотке крови (> 2 ммоль/л). Первоначальной мерой стабилизации гемодинамики рекомендуют инфузионную заместительную терапию. При отсутствии эффекта от стартовой инфузионной терапии назначают вазопрессоры по принципам, изложенным в разделе 5.6.5.

Микроциркуляторно-митохондриальный дистресс при септическом шоке во многом является причиной нарушений потребления кислорода тканями. Целевым показателем интенсивной терапии является ScvO2 65 - 75%. В отсутствие признаков тканевой гипоперфузии, ишемической болезни сердца и кровотечения рекомендовано поддержание гемоглобина (Hb) на уровне 70 - 90 г/л. Трансфузия эритроцитсодержащих компонентов крови может быть назначена при снижении концентрации Hb менее 70 г/л.

5.6.7. Экстракорпоральная детоксикация и гемокоррекция

У пациентов с тяжелым течением COVID-19 показанием к экстракорпоральному лечению является прогрессирующая дыхательная недостаточность и/или полиорганная недостаточность.

Рекомендуется рассмотреть возможность применения:

- Селективной гемосорбции цитокинов - при тяжелом течении заболевания и прогрессирующей дыхательной недостаточности вследствие не купируемого медикаментозными средствами цитокинового шторма;

- Заместительной почечной терапии с использованием мембран с повышенной адсорбционной способностью и высокой точкой отсечки - для купирования цитокинового шторма и лечения острого почечного повреждения;

- Плазмообмена с замещением свежезамороженной донорской плазмой (СЗП) или селективной плазмофильтрации при отсутствии достаточного объема СЗП - при наличии признаков синдрома активации макрофагов, ДВС синдрома, тромботической микроангиопатии.

При плазмообмене наряду с СЗП от обычных доноров рекомендуется рассмотреть применение СЗП от доноров-реконвалесцентов НКИ COVID-19 в дозе, не превышающей 20 мл/кг в сутки.

При осложнении клинического течения COVID-19 клиникой бактериального сепсиса и септического шока рекомендуется рассмотреть применение селективной гемосорбции липополисахаридов; заместительная почечная терапия при этом проводится по общепринятым показаниям и методикам.

5.6.8. Нутриционная поддержка

Раннее энтеральное питание (ЭП) рекомендуется всем пациентам с COVID-19, неспособным самостоятельно принимать пищу. Необходимо стремиться удовлетворить суточные потребности в энергии (25 - 30 ккал/кг) и белке (1,2 - 1,5 г/кг). При высоком риске аспирации или непереносимости ЭП следует проводить парентеральное питание.

Постпилорический доступ для ЭП рекомендуется использовать в случаях непереносимости желудочного кормления или при наличии высокого риска аспирации.

При проведении ЭП в прон-позиции необходимо приподнимать на 10 - 25° головной конец кровати, с тем чтобы уменьшить риск аспирации желудочного содержимого, отека лица и внутрибрюшной гипертензии.

Нутриционную поддержку следует отложить при рефрактерном шоке, в случае неконтролируемой угрожающей жизни гипоксемии, гиперкапнии или ацидоза. При купировании шока переход к полному обеспечению потребности в энергии и белке необходимо осуществлять постепенно (в течение 3 - 5 суток), особенно у пожилых пациентов, нуждающихся в ИВЛ и/или получающих адреномиметики.

При проведении нутриционной поддержки рекомендуется проводить коррекцию гипергликемии инсулином при величинах глюкозы крови более 10 ммоль/л.

В целом анестезиолого-реанимационное обеспечение пациентов с новой коронавирусной инфекцией COVID-19 рекомендуется проводить в соответствии с Методическими рекомендациями Общероссийской общественной организации "Федерация анестезиологов и реаниматологов" (http://far.org.ru/newsfar/496-metreccovid19).

5.7. ОСОБЫЕ ГРУППЫ ПАЦИЕНТОВ

Пациенты с артериальной гипертензией

В связи с тем, что АПФ2 является функциональным рецептором для SARS-CoV-2, было высказано предположение, что это может объяснять высокий риск летального исхода при COVID-19 у пациентов с артериальной гипертензией, получающих препараты из группы ингибиторов АПФ или блокаторов рецепторов к ангиотензину. Эти опасения носили гипотетический характер и не получили практического подтверждения. Более того, имеются косвенные данные о возможном протективном действии этих препаратов при COVID-19. Экспертами Европейского общества кардиологов опубликовано заявление о том, что данных о неблагоприятных эффектах этих препаратов на течение COVID-19 нет, их прием настоятельно рекомендуется продолжать.

Пациенты с гиперлипидемией

Статины обладают иммуномодулирующим эффектом. При подтверждении COVID-19 прием статинов не прекращается. Если пациенты не принимали статины, то рекомендовано назначение терапии при легком и среднетяжелом течении. Во время лечения инфекции необходим контроль за печеночными ферментами и риском рабдомиолиза.

Пациенты с острым коронарным синдромом

В связи с тем, что при COVID-19 обнаруживается неспецифическое повышение уровня тропонина, а также описаны случаи миокардитов, для подтверждения диагноза острого коронарного синдрома на фоне COVID-19 требуется более тщательное обследование. В целом тактика ведения пациентов с острым коронарным синдромом не должна отличаться от стандартно принятой. Пациенты с острым коронарным синдромом и с подозрением на COVID-19 должны направляться в стационары, имеющие возможность проведения чрескожного коронарного вмешательства.

Пациенты с сахарным диабетом

Сахарный диабет (СД) является фактором риска развития тяжелой пневмонии и септического течения вирусной инфекции, ассоциированного с развитием полиорганной недостаточности и повышением риска осложнений и смерти. Пациенты с сахарным диабетом должны тщательно следовать рекомендациям по профилактике заболевания COVID-19. В качестве специфической профилактики рекомендовано применение препаратов альфа-интерферона. При выявлении COVID-19 у пациентов с СД в возрасте старше 50 лет рекомендуется госпитализация.

При легком течении COVID-19 пациенту с СД рекомендуется учащение контроля гликемии каждые 4 - 6 ч с расширением питьевого режима до 2 - 3 литров в сутки с учетом сопутствующих заболеваний. Необходимо продолжить текущую сахароснижающую терапию.

При повышении гликемии необходимо усилить терапию СД. При гликемии натощак выше 13 ммоль/л нужно оценить уровень кетонов в моче, начать терапию базальным инсулином (например, инсулин-изофан человеческий генно-инженерный инсулин или аналог инсулина длительного действия) или увеличить его дозу (если пациент ранее уже получал базальную инсулинотерапию).

При легком течении COVID-19 целевые показатели гликемии натощак - не более 7 ммоль/л.

При среднетяжелом течении COVID-19 и появлении респираторных симптомов:

- Контроль гликемии проводится каждые 3 - 4 ч, контроль кетонов в моче 1 - 2 раза в день, проводится оценка содержания лактата крови;

- При гликемии выше 15,0 ммоль/л или появлении кетонов в моче или повышении содержания лактата крови необходимо отменить прием не инсулиновых препаратов (метформина, агонистов рецепторов ГПП-1 (арГПП-1), ингибиторов натрий-глюкозного котранспортера 2 типа (иНГЛТ-2), препаратов сульфонилмочевины) и начать базис-болюсную инсулинотерапию (препаратами инсулина короткого и продленного действия).

- Целевые показатели гликемии натощак - не более 7,5 ммоль/л.

Тяжелое течение COVID-19 характеризуется прогрессированием дыхательной и полиорганной недостаточности. Рекомендовано:

- Целевая гликемия определяется тяжестью состояния пациента и течением заболевания;

- Отменить все сахароснижающие препараты кроме инсулина;

- Назначить непрерывное внутривенное введение инсулина короткого действия с помощью инфузомата;

- Проводить контроль гликемии ежечасно при гликемии выше 13,0 ммоль/л или каждые 3 ч при гликемии ниже 13,0 ммоль/л для коррекции скорости введения инсулина, контроль содержания кетонов в моче и лактата в крови проводится 2 раза в день.

Особенности лечения COVID-19 у пациентов с СД:

1. Пациенты с СД находятся в группе высокого риска присоединения бактериальной инфекции.

2. При назначении терапии ГКС следует ожидать повышения гликемии. Необходимо проводить контроль каждые 3 ч, увеличить скорость подачи инсулина по данным контроля гликемии (доза инсулина может быть увеличена в 2 - 3 раза в сравнении с исходной).

3. Для пациентов с СД характерно более быстрое развитие ОРДС. Обосновано ранее упреждающее назначение моноклональных антител для терапии цитокинового шторма. Необходимо проводить мониторинг клинических маркеров интерлейкинового воспаления для своевременного назначения терапии.

4. Имеются высокие риски развития гиперкоагуляционного синдрома. Назначение антикоагулянтов является обязательным при использовании соответствующих схем лечения.

При выписке пациентов из стационара:

- Предусмотреть обеспечение пациентов препаратами инсулина на время самоизоляции;

- Возможно возобновить прием метформина, арГПП-1, иНГЛТ2 через 2 недели в случае полной реконвалесценции пациента.

- Продолжение антикоагулянтов до полного выздоровления.

Пациенты с хронической обструктивной болезнью легких

Хроническая обструктивная болезнь легких (ХОБЛ) - заболевание, характеризующееся поражением бронхиального дерева, преимущественно малых бронхов, и развитием различных форм эмфиземы легких, что ведет к снижению скорости воздушного потока в респираторном тракте и клинически - возникновению одышки. Основной причиной болезни является курение, в редких случаях - другие экзогенные воздействия.

При выявлении у пациента с ХОБЛ COVID-19 развитие дыхательной недостаточности может прогрессировать быстрее, что требует особого наблюдения за этими пациентами и оценки уровня газообмена. В период лечения требуется продолжение базисной терапии бронхолитиками длительного действия, если они не были назначены, их необходимо ввести в общую схему. Ингаляционные ГКС должны использоваться в виде дозированных аэрозолей или порошков. Небулайзерная терапия должна избегаться и применяться лишь по жизненным показаниям с соблюдением мер предосторожности распространения инфекции через аэрозоль. Системные ГКС должны применяться по правилам лечения обострения ХОБЛ.

Пациенты с бронхиальной астмой

При выявлении COVID-19 у пациентов с бронхиальной астмой, базисная терапия, в том числе топическими ГКС, должна сохраняться в том же объеме, что и до заболевания. Лечение обострений бронхиальной астмы проводится по общим правилам. Ограничения к небулайзерной терапии такие же, как и для ХОБЛ. Если пациент применял биологическую терапию, и ему необходимо продолжение этого лечения, так как противопоказаний для введения препаратов иммунобиологической терапии нет.

Пациенты с туберкулезом

Последствия заражения COVID-19 у больных туберкулезом до конца неясны. Имеются научные публикации о том, что наличие туберкулезной инфекции, в том числе латентной, утяжеляет течение COVID-19. С целью предупреждения развития сочетанной патологии и исключения туберкулезной инфекции на начальном этапе ведения пациента с подозрением на COVID-19 необходимо проведение обследования на туберкулез одновременно с тестированием на вирус SARS-CoV-2. У пациентов с пневмонией, вызванной COVID-19, в анализах крови отмечается лейкопения и лимфопения, что можно рассматривать как фактор риска перехода латентной туберкулезной инфекции в активную и отнести группу пациентов с COVID-19 к группам рискам, которым требуется не только исключение активного туберкулеза, но и обязательное тестирование на латентную туберкулезную инфекцию во время нахождения в стационаре. После перенесенного COVID-19 у многих пациентов в легких формируются выраженные остаточные изменения в виде фиброза. Можно предположить, что эта категория пациентов имеет повышенный риск развития туберкулеза в последующем. Таким образом, туберкулез может возникнуть до, одновременно или уже после перенесенного COVID-19. Для выявления туберкулезной инфекции оптимальным является проведение лабораторных тестов на высвобождение гамма-интерферона, требующих однократного посещения лаборатории. Проводить забор крови возможно одновременно для исследования на иммуноглобулины к COVID-19 и для проведения обследования на туберкулез. Учитывая высокую вероятность развития лимфопении у пациентов с COVID-19, целесообразно проводить тестирование с помощью теста in vitro для выявления эффекторных T-клеток, реагирующих на стимуляцию антигеном Mycobacterium tuberculosis, методом ELISPOT. В исследованиях доказано, что в условиях низкого количества лимфоцитов методом ELISPOT превосходит другие для выявления туберкулеза, независимо от возраста, пола и питания.

Пациенты с интерстициальными, редкими и генетически детерминированными заболеваниями легких

Пациенты из данных групп, заболевшие COVID-19, должны наблюдаться совместно со специалистами по конкретной патологии, учитывая возможные осложнения, неблагоприятные лекарственные взаимодействия и особенности терапии дыхательной недостаточности.

Пациенты с иммуновоспалительными ревматическими заболеваниями

Пациенты с иммуновоспалительными ревматическими заболеваниями (ИВРЗ) составляют группу риска в отношении заболевания COVID-19 и неблагоприятного течения болезни. К факторам риска относятся пожилой возраст, прием высоких доз "противоревматических" препаратов, одномоментный прием нескольких "противоревматических" препаратов, особенно в комбинации с ГКС, высокая активность заболевания, наличие коморбидной и мультиморбидной патологии. Высокая частота "кардиометаболической" и легочной коморбидности, характерная для ИВРЗ, в случае развития COVID-19, может способствовать снижению эффективности терапии основного заболевания и затруднять диагностику инфекции (поражение легких).

Следует также иметь в виду, что инфицирование SARS-CoV-2 может вызывать активацию воспаления при ИВРЗ, и некоторые клинические проявления и лабораторные нарушения, наблюдаемые при COVID-19, могут развиваться в дебюте или при обострении ИВРЗ: лихорадка, артралгии, усталость, миалгии, цитопении (в первую очередь лимфопения, реже анемия и тромбоцитопения), острая интерстициальная пневмония ("матовое стекло"), миокардит, венозный тромбоз, сетчатое ливедо, увеличение концентрации СРБ, D-димера, ферритина. Патология иммунной системы при ИВРЗ и сопутствующие коморбидные заболевания могут утяжелять течение COVID-19 и увеличивать риск развития синдрома цитокинового шторма.

В период пандемии COVID-19 госпитализация пациентов в стационар возможна только по ургентным показаниям с обязательным предоставлением лабораторных данных об отсутствия инфицирования SARS-CoV-2.

Особенностями лечения пациентов с ИВРЗ в условиях пандемии COVID-19 являются:

- В случае инфицирования SARS-CoV-2 пациентов с ИВРЗ следует временно (до полного выздоровления) прервать лечение стандартными базисными противовоспалительными препаратами (БПВП) (метотрексат, лефлуномид, азатиоприн), генно-инженерными биологическими препаратами (ингибиторы фактора некроза опухоли-, ИЛ-6, ИЛ-17, ИЛ-12/23, ИЛ-23, блокаторами костимуляции T-клеток, анти-B-клеточными препаратами (ритуксимаб, белимумаб) и "таргетными" БПВП (ингибиторы янус-киназы и фосфодиэстеразы 4 типа) и обратиться за консультацией к ревматологу;

- Рекомендуется продолжить прием 4-аминохинолиновых препаратов (или назначить их при отсутствии противопоказаний) и сульфасалазина;

- Возможно применение НПВП в низких дозах (ибупрофен, кетопрофен) и парацетамола в качестве жаропонижающих препаратов;

- Не рекомендуется прерывание лечения ГКС, но следует по возможности максимально снизить дозу препарата;

- Во время пандемии COVID-19 следует прервать "плановую" терапию циклофосфамидом и анти-B-клеточными препаратами (ритуксимаб) и не следует инициировать терапию стандартными БПВП (метотрексат, лефлуномид), ГИБП и таргетными БПВП при отсутствии абсолютных показаний, связанных с риском развития ургентных осложнений или необратимого поражения внутренних органов;

- При отсутствии подозрений на наличие инфекции SARS-CoV-2 и других противопоказаний рекомендуется иммунизация вакциной против пневмококковой инфекции.

Пациенты с онкологическими заболеваниями

Онкологические заболевания определяют более тяжелое течение и худший прогноз COVID-19. Максимальному риску подвержены: пациенты, получающие противоопухолевое лекарственное лечение в настоящее время или в течение последних 3 месяцев; пациенты, которым проводится лучевая терапия; пациенты с лейкопенией и/или низким уровнем иммуноглобулинов; пациенты после трансплантации аутологичного и аллогенного костного мозга в течение последних 6 месяцев; пациенты, получающие иммуносупрессивную терапию; пациенты с некоторыми типами опухолей кроветворной и лимфоидной тканей, даже если они не проходят лечение в данный момент (хронический лимфолейкоз, лимфома, миелома, острый лейкоз). Кроме того, к факторам неблагоприятного прогноза COVID-19 у онкогематологических пациентов относятся пожилой возраст, плохой соматический статус (3 - 4 по шкале ECOG), рецидив или прогрессия опухоли.

Пациенты с онкологическими заболеваниями должны следовать всем рекомендациям по профилактике COVID-19. Целесообразно минимизировать сроки пребывания пациента в стационаре, рассмотреть возможность проведения противоопухолевого лекарственного лечения в амбулаторных условиях, с использованием таблетированных препаратов, если это не ухудшит течение онкологического процесса. При выборе режима химиотерапии, предполагающего парентеральный путь введения препаратов, рекомендуется отдавать предпочтение режимам с большими интервалами между введениями. Необходимо избегать назначения противоопухолевых препаратов, обладающих пульмональной токсичностью, и рассмотреть возможность временного прерывания противоопухолевого лекарственного лечения, перевод под наблюдение или на поддерживающую терапию при условии, что сокращение числа курсов химиотерапии не приведет к ухудшению онкологического прогноза.

Пациенты с онкологическими заболеваниями и лабораторно подтвержденным диагнозом COVID-19 госпитализируются по тем же показаниям, что и пациенты без онкологических заболеваний. При лечении COVID-19 в амбулаторных условиях необходимо обеспечить тщательный мониторинг за состоянием пациента с возможностью срочной госпитализации при ухудшении состояния или появлении показаний. Пациентам с онкологическими заболеваниями и лабораторно подтвержденным диагнозом/подозрением на COVID-19 и наличием признаков поражения легочной ткани необходимо проведение компьютерной томографии органов грудной клетки (оценка состояния легочной ткани).

Пациентам с лабораторно подтвержденным диагнозом COVID-19 и/или наличием характерной клинической и рентгенологической картины COVID-19 необходимо прервать противоопухолевое лекарственное лечение до значимого клинического улучшения, регресса пневмонии и получения отрицательного результата ПЦР. Допустимо возобновить противоопухолевую лекарственную терапию при перечисленных выше условиях и сохраняющихся остаточных изменениях в легочной ткани, относящихся к постпневмоническим изменениям. Во всех случаях необходимо рассмотреть возможность перевода пациента на менее токсичный режим противоопухолевого лекарственного лечения или временно прервать лечение в тех случаях, когда это возможно в соответствии с онкологическим прогнозом.

В отдельных случаях (прогрессирование онкогематологического заболевания, требующее незамедлительного начала/продолжения противоопухолевой лекарственной терапии по жизненным показаниям) возможно проведение химиотерапии с предпочтительным использованием наименее токсичных программ лечения.

Лечение онкологических/онкогематологических пациентов с фебрильной нейтропенией (как следствие перенесенной химиотерапии) и COVID-19 проводится в соответствии с принятыми протоколами ведения больных с фебрильной нейтропенией. Необходимо с крайней осторожностью подходить к назначению колониестимулирующих факторов, которые обладают потенциальной возможностью потенцировать "цитокиновый шторм".

Несмотря на более высокий риск развития вторичных инфекционных осложнений у пациентов с онкологическими заболеваниями и высоким риском тяжелого течения COVID-19, лечение новой коронавирусной инфекции проводится в соответствии с общими рекомендациями для пациентов с COVID-19, но более тщательным мониторингом состояния пациентов, контролем уровня СРБ и других маркеров системного воспаления.

Пациенты с хронической болезнью почек

По данным ВОЗ каждый 9 человек в мире имеет хроническую болезнь почек (ХБП) и данная проблема приобретает уровень неинфекционной эпидемии. Поражение почек является наиболее частым вариантом нелегочного поражения SARS-CoV-2 в связи с наличием АПФ2 в органе. Частое вовлечение в патологический процесс почек характеризуется широким диапазоном проявлений - от легкой протеинурии и гематурии до прогрессирующего острого повреждения почек (ОПП), требующего применения заместительной почечной терапии.

Частота ОПП варьирует в пределах от 5,1 до 27% случаев и является самостоятельным независимым фактором риска летального исхода, увеличивая его вероятность в 1,9 - 4,4 раза в зависимости от стадии. Данное осложнение наблюдается у 68% пациентов с ОРДС. При потребности в ИВЛ вероятность ОПП возрастает в 10,7 раз, а имеющееся исходное заболевание почек, на фоне интоксикационного синдрома, вызванного COVID-19, может ускорить прогрессирование почечной недостаточности.

Применение лекарственных препаратов для лечения COVID-19, с вероятным нефротоксическим эффектом у пациентов с ХБП требует постоянного мониторинга функции почек (креатинин, мочевина, концентрация калия, натрия в крови). К группе особо высокого риска инфицирования и течения SARS-CoV-2 относятся пациенты, получающие ЗПТ в виде программного гемодиализа по поводу терминальной стадии ХБП, в связи с невозможностью изоляции и необходимости присутствия в диализных центрах, для получения жизнеспасающей процедуры не менее чем 12 раз в месяц. Более того, гемодиализные пациенты, как причиной терминальной стадии почечной недостаточности имеют сахарный диабет, артериальную гипертензию, системные заболевания с поражением легких и почек, онкогематологические заболевания, иммуно-бактериальные поражение почек, иммунодефицит различного генеза, в т.ч. обусловленный уремией, нарушения нутриционного статуса, осложняющих течение и отягощающих прогноз новой коронавирусной инфекции. Также к особой группе относятся реципиентов трансплантированных органов, получающих химиотерапию.

В качестве профилактики инфицирования COVID-19 пациентов, получающих лечение программным гемодиализом, является строгая маршрутизация как при подозрении на COVID-19, так и при наличии признаков заболевания COVID-19. В первом случае необходим перевод пациентов на обсервационный диализ в диализный центр, исключающий контакты с пациентами без подозрения и с признаками COVID-19. Специфической профилактики у пациентов с ХБП не существует, в связи с чем пациенты с ХБП 4 - 5 стадии, особенно нуждающиеся в лечении диализом, необходима госпитализация в специализированный стационар с отделением гемодиализа.

Госпитализация пациентов с ХБП 4 - 5 стадии показана в случае выявления у них COVID-19. Обязательной госпитализации подлежат пациенты с 3 стадией ХБП и получающие лечение диализом (перитонеальным, гемодиализом).

Особенности лечения COVID-19 у пациентов с терминальной стадией хронической почечной недостаточности:

1. Пациенты, получающие лечение гемодиализом, нуждаются в постоянном и обязательном контроле за волемическим статусом, с целью минимизации синдрома "влажных" легких.

2. Необходимо более раннее начало заместительной почечной терапии (СКФ менее 25 мл/мин) с учетом возможной гиперволемии и прогрессирования уремической интоксикации на фоне активного воспалительного процесса.

3. Пациенты на перитонеальном диализе, со среднетяжелым течением COVID-19, и нуждающиеся в обеспечении прон-позиции, а также в точной и постоянной коррекции волемического статуса, временно переводятся на гемодиализ.

4. Пациенты с терминальной стадией ХПН находятся в группе высокого риска присоединения бактериальной инфекции, рецидива и декомпенсации основного заболевания, в связи с чем необходимо исключение активации и декомпенсации основного заболевания.

5. При назначении терапии ГКС следует ожидать повышения гликемии, усиления артериальной гипертензии, гиперволемии. Необходимо проводить контроль каждые 3 ч, увеличить скорость подачи инсулина по данным контроля гликемии (доза инсулина может быть увеличена в 2 - 3 раза в сравнении с исходной) и соблюдать строгую бессолевую диету с целью коррекции артериальной гипертонии и гипергидратации на фоне применения ГКС.

6. Для пациентов с ХБП характерно более быстрое развитие ОРДС. Абсолютно обосновано раннее упреждающее назначение моноклональных антител для терапии цитокинового шторма, на минимально продвинутых стадиях поражения легких. Необходимо проводить мониторинг клинических маркеров интерлейкинового воспаления для своевременного назначения терапии.

7. Имеются высокие риски развития гиперкоагуляционного синдрома. Назначение антикоагулянтов является обязательным при использовании соответствующих схем лечения.

8. Пациенты-реципиенты трансплантированных органов нуждаются в отмене цитостатической терапии (микофенолатов и азатиоприна) в дебюте заболевания с увеличением дозы ГКС в два раза и коррекции в виде уменьшения до 2 - 2,5 раз от исходной дозы ингибиторов кальцийневрина (такролимус, циклоспорин) с их постоянным мониторингом концентрации в крови.

9. Коррекция гипокальциемии у пациентов с терминальной стадией ХПН, получающих лечение программным диализом.

При выписке пациентов с ХБП из стационара:

1 При выписке пациентов, получающих лечение программным гемодиализом, обеспечение в течение 2-х недель изоляционных смен гемодиализа до получения отрицательного результата лабораторного исследования на наличие РНК SARS-CoV-2. Продолжение приема антикоагулянтов до полного выздоровления под контролем уровня фибриногена, в связи с выраженным снижением уровня последнего после регресса активности заболевания.

5.8. МОНИТОРИНГ КЛИНИЧЕСКИХ И ЛАБОРАТОРНЫХ ПОКАЗАТЕЛЕЙ

Важным обстоятельством при оказании медицинской помощи больным с COVID-19 или подозрением на COVID-19 является оценка динамики клинических и лабораторных показателей для своевременного назначения препаратов и своевременной коррекции терапии.

Клинические признаки, требующие мониторинга:

- T тела (контроль ежедневно минимум два раза в день в утренние и вечерние часы), оценивается высота повышения t тела, кратность ее подъемов в течение суток, длительность повышения. Особого внимания требуют эпизоды повторного повышения t тела после нормализации в течение 1 и более суток.

- ЧДД оценивается ежедневно, в случае увеличения ЧДД необходимо ориентироваться не только на стандартные нормальные значения показателя, но и на прирост показателя в сравнении с исходным ЧДД. При развитии или нарастании признаков дыхательной недостаточности необходимо тщательно контролировать SpO2. При увеличении ЧДД более 22 в минуту при лечении на дому необходимо решать вопрос о госпитализации пациента в стационар.

- SpO2 оценивается ежедневно (у пациентов, находящихся в стационаре, 1 раз в три дня, при снижении показателя до уровня 93% необходима дотация кислорода.

- Для линейных отделений SpO2 на фоне оксигенотерапии должна быть 92%, если показатель меньше - показана прон-позиция. Если SpO2 в положении на животе < 92%, показана консультация реаниматолога в течение часа. При проведении оксигенотерапии показано кратковременно прекращать ее не реже чем 1 раз в 2 ч, если при этом отмечается снижение SpO2 < 85%, показан вызов реаниматолога в течение часа, если SpO2 снижается до 80% и менее - экстренный вызов реаниматолога.

Лабораторные показатели, требующие мониторинга:

- Уровни лейкоцитов, нейтрофилов, лимфоцитов, тромбоцитов;

- Активность АЛТ, АСТ, лактатдегидрогеназы, уровни СРБ, ферритина, тропонина, глюкозы;

- Уровень D-димера;

- Протромбиновое время;

- Уровень фибриногена;

- По показаниям: уровень ИЛ-6; количество T- и B-лимфоцитов; NT-proBNP, прокальцитонин.

Инструментальные признаки, требующие мониторинга, - характер и площадь поражения легких на КТ ОГК (по показаниям).

Необходимый объем лабораторного и инструментального обследования в зависимости от клинических проявлений заболевания представлен в Приложении 2-1. Лабораторный мониторинг больных с COVID-19/подозрением на COVID-19 в зависимости от тяжести состояния представлен в Приложении 2-2.

5.9. МЕДИЦИНСКАЯ РЕАБИЛИТАЦИЯ ПРИ ОКАЗАНИИ СПЕЦИАЛИЗИРОВАННОЙ МЕДИЦИНСКОЙ ПОМОЩИ ПАЦИЕНТАМ С COVID-19

Подробная информация о медицинской реабилитации пациентов представлена в методических рекомендациях Минздрава России "Медицинская реабилитация при новой коронавирусной инфекции (COVID-19)".

Медицинскую реабилитацию пациентов с коронавирусной пневмонией рекомендуется начинать в условиях отделений интенсивной терапии при достижении стабилизации состояния пациента и продолжать их после завершения лечения в стационаре в домашних условиях. Мероприятия по медицинской реабилитации рекомендуется организовывать в медицинских организациях 4-х уровней с учетом особенностей оказания помощи пациентам с коронавирусной пневмонией на 3-х этапах.

Мероприятия по медицинской реабилитации на 1-м этапе должны включать в себя оказание медицинской помощи по медицинской реабилитации в отделениях интенсивной терапии и инфекционных/терапевтических отделениях, организованных для пациентов с новой коронавирусной инфекцией COVID-19, в медицинских организациях силами специалистов мультидисциплинарной реабилитационной командой, прошедших специальное обучение по отлучению от ИВЛ, респираторной реабилитации, нутритивной поддержке, восстановлению толерантности к физическим нагрузкам, поддержанию и ведению пациентов с последствиями ПИТ-синдрома, формированию мотивации на продолжение реабилитационных мероприятий, соблюдению противоэпидемического режима и здорового образа жизни.

2-й этап медицинской реабилитации рекомендовано организовывать в отделениях медицинской реабилитации для пациентов с соматическими заболеваниями и состояниями.

3-й этап медицинской реабилитации рекомендуется организовывать в отделениях медицинской реабилитации дневного стационара, амбулаторных отделениях медицинской реабилитации для пациентов с соматическими заболеваниями и состояниями медицинских организаций в соответствии с Порядком организации медицинской реабилитации, а также на дому с использованием телемедицинских технологий по направлению врачебной комиссии медицинской организации, оказывавшей помощь пациенту на 1-м или 2-м этапе, или врачебной комиссии поликлиники, осуществляющей мероприятия по вторичной профилактике.

Повторный курс реабилитации следует проводить для пациентов, которые прошли курс реабилитации более 1 года назад.

5.10. ПОРЯДОК ВЫПИСКИ (ПЕРЕВОДА) ПАЦИЕНТОВ ИЗ МЕДИЦИНСКОЙ ОРГАНИЗАЦИИ

Выписка из медицинских организаций, оказывающих медицинскую помощь в стационарных условиях, пациентов в возрасте 18 лет и старше для продолжения лечения в амбулаторных условиях может осуществляться до получения результата лабораторного исследования биологического материала на наличие РНК SARS-CoV-2 при наличии следующих критериев:

- Стойкое улучшение клинической картины;

- Исчезновение лихорадки (t тела < 37,5 °C);

- Отсутствие признаков нарастания дыхательной недостаточности при SpO2 на воздухе 95%;

- Уровень СРБ < 10 мг/л;

- Уровень лейкоцитов в крови > 3,0 * 109/л.

При наличии вышеуказанных клинико-лабораторных критериев перевод пациентов в возрасте 18 лет и старше для продолжения лечения в стационарных условиях на койки для пациентов, находящихся в состоянии средней тяжести, также может осуществляться до получения отрицательного результата лабораторного исследования биологического материала на наличие РНК SARS-CoV-2.

При выписке пациента до получения отрицательного результата лабораторного исследования его транспортировка осуществляется санитарным транспортом при условии использования водителем и сопровождающим медицинским работником средств индивидуальной защиты (очки, одноразовые перчатки, респиратор соответствующего класса защиты, противочумный костюм 1 типа или одноразовый халат, бахилы).

Пациенту необходимо соблюдать режим самоизоляции до получения отрицательного результата исследования биологического материала на наличие РНК SARS-CoV-2. В случае отсутствия у пациента условий для самоизоляции, необходимо рассмотреть вопрос о выписке пациента в обсерватор или другие организации, обеспечивающие условия изоляции на необходимый срок.

Информация о выписке пациента из медицинской организации, оказывающей медицинскую помощь в стационарных условиях, передается в медицинскую организацию, в которой пациенту будет оказываться медицинская помощь в амбулаторных условиях.

При оказании пациенту медицинской помощи в амбулаторных условиях, ему должно быть обеспечено:

- Ежедневное медицинское наблюдение, в том числе дистанционное;

- Проведение исследования РНК SARS-CoV-2;

Рентгенография и/или КТ перед выпиской для оценки динамики пневмонии не являются обязательными процедурами, но могут быть назначены лечащим врачом по клиническим показаниям. В остальных случаях контрольная рентгенография и/или КТ выполняется в амбулаторных условиях через 1 - 2 месяца после выписки пациента из стационара.

Рентгенологические критерии регресса патологических изменений:

- Уменьшение зон "матового стекла", допустимы новые зоны "матового стекла" не более 25% поперечного размера гемоторакса;

- Уменьшение в объеме видимых ранее зон консолидации;

- Резидуальные уплотнения паренхимы вариабельные по протяженности и локализации;

- Отсутствие плеврального выпота, ассоциированного с COVID-19.

В амбулаторных условиях контрольные исследования проводят не ранее чем через месяц после выписки. Контрольное исследование не проводится в случае легкого течения перенесенного заболевания без специальных клинических показаний.

Контроль на амбулаторном этапе проводится с использованием того же метода (РГ или КТ ОГК), который был использован для последнего исследования перед выпиской в стационаре.

Пациент считается выздоровевшим при наличии следующих критериев:

- t тела < 37,2 °C;

- SpO2 на воздухе > 96%;

- отрицательный результат лабораторного исследования биологического материала на РНК SARS-CoV-2.

При наличии отрицательного результата лабораторного исследования на РНК SARS-CoV-2 пациент выписывается и транспортируется любым доступным транспортом (личным или общественным).

5.11. ОСОБЕННОСТИ ДИСПАНСЕРНОГО НАБЛЮДЕНИЯ ЗА ПАЦИЕНТАМИ С COVID-19

Объем и кратность диспансерного наблюдения зависят от тяжести течения пневмонии и наличия осложнений.

Пациентам, которым длительно проводилась неинвазивная и/или искусственная вентиляция легких и у которых при выписке имелись признаки значительных функциональных/органических нарушений, рекомендовано дистанционное консультирование через 4 недели после выписки из медицинской организации для оценки общего состояния, выявления депрессии, симптомов подозрительных на тромбоэмболию или других синдромов и заболеваний, требующих внимания.

Через 8 недель после выписки рекомендуется посещение врача и проведение инструментальных исследований (по показаниям):

1. рентгенографии органов грудной клетки <*>;

<*> При выявлении патологии - проведение КТ легких.

2. спирографии <*>;

3. измерение насыщения крови кислородом (сатурация) в покое и при нагрузке (возможно проведение теста с 6-минутной ходьбой с определением сатурации до и после теста) <*>;

4. эхокардиографии (ЭхоКГ);

5. других методов исследования (диффузионный тест, газы артериальной крови и др.).

Дальнейшая тактика диспансерного наблюдения определяется врачом в зависимости от результатов осмотра и обследования.

При отсутствии жалоб и патологических изменений по результатам исследований дальнейшее диспансерное наблюдение осуществляется в соответствии с Приказом Минздрава России N 173н от 29.03.2019 с определением сатурации и проведением рентгенографии легких.

При выявлении на КТ легких патологических изменений (признаков легочного фиброза, интерстициальных болезни легких, васкулита) рекомендуется направление к специалисту (пульмонологу). При отсутствии патологических изменений на КТ легких, но наличии у пациента жалоб или изменений в результатах других исследований, рекомендуется провести дифференциальный диагноз с другими заболеваниями/состояниями.

Пациенты с перенесенной пневмонией легкой или средней тяжести, которые не нуждались в лечении в ОРИТ (в том числе пациенты, которые проходили лечение амбулаторно), наблюдаются в соответствии с приказом Минздрава России от 29.03.2019 N 173н "Об утверждении порядка проведения диспансерного наблюдения за взрослыми" с определением сатурации и проведением рентгенографии легких. В случае, если в процессе стационарного лечения выявлено подозрение на злокачественное новообразование в легких, рекомендуется провести повторную рентгенографию органов грудной клетки через 6 недель после выписки, при необходимости направить пациента на КТ легких и проконсультировать с онкологом.

Если при выписке из стационара у пациента сохранялись изменения на рентгенограмме или КТ легких, рекомендуется визуализирующее исследование (рентгенография легких, КТ) через 8 недель после последнего КТ легких и/или рентгенографии органов грудной клетки.

В случае выявления на рентгенограмме легких патологических изменений:

- проведение спирографии (запись и последующее клиническое консультирование специалистом может быть выполнено дистанционно) <*>;

<*> При выявлении патологии провести КТ легких, если до этого была проведена рентгенография легких.

- измерение насыщения крови кислородом (сатурация) в покое и при нагрузке (возможно проведение теста с 6-минутной ходьбой с определением сатурации до и после теста) <*>;

- ЭхоКГ <*>;

- при подозрении на ТЭЛА рекомендуется сразу выполнить КТ-ангиографию легочных артерий;

- при подозрении на легочный фиброз, интерстициальные болезни легких - КТ высокого разрешения (и диффузионный тест).

При выявлении патологических изменений на КТ легких (признаки интерстициальных заболеваний легких, легочных васкулитов, легочной гипертензии) рекомендуется направление к специалисту (пульмонологу, кардиологу). Если патологические изменения не выявлены, но у пациента имеются жалобы или изменения в результатах других исследований, рекомендуется провести дифференциальный диагноз с другими заболеваниями/состояниями.

При диспансерном наблюдении необходимо проводить оценку психосоциальных факторов риска, включающую выявление симптомов тревожности и депрессии с помощью валидизированных опросников (например, Госпитальной шкалы тревоги и депрессии), с последующей коррекцией выявленных отклонений, при необходимости, с привлечением психолога, психиатра, социальных работников.

Необходимо информировать пациентов о том, что, в случае прогрессирования или развития новых респираторных симптомов до даты планового осмотра, им следует обратиться за медицинской помощью.

6. ОСОБЕННОСТИ ВЕДЕНИЯ ДЕТЕЙ С COVID-19

Подробная информация о диагностике, профилактике и лечении детей представлена в методических рекомендациях Минздрава России "Особенности клинических проявлений и лечения заболевания, вызванного новой коронавирусной инфекцией (COVID-19) у детей".

По имеющимся данным, дети болеют реже, с менее выраженной клинической симптоматикой, реже требуют госпитализации, заболевание у них протекает легче, что, однако, не исключает случаев тяжелого течения.

Имеющиеся на сегодня данные свидетельствуют о том, что дети составляют до 10% в структуре инфицированных SARS-CoV-2 и до 2% в структуре пациентов с диагностированными клиническими случаями COVID-19.

В Российской Федерации дети составляют 7,6% зарегистрированных случаев COVID-19, количество и возрастная структура манифестных заболеваний у детей в настоящее время не известны. Заболевание у новорожденных детей наблюдается крайне редко, при этом внутриутробной передачи инфекции не доказано.

У детей существенно отличаются факторы риска, т.к. только в 9% случаев заражение вирусом SARS-CoV-2 связано с путешествиями в другие страны и 91% заболевших имели местные контакты, преимущественно в семейных очагах.

У детей отмечается более легкое течение болезни в сравнении со взрослыми, развитие вирусной пневмонии не характерно, симптомы менее выражены, летальные исходы чрезвычайно редки. У детей так же как у взрослых, доминируют лихорадка и респираторный синдром, однако менее выражены лимфопения и воспалительные маркеры.

Инкубационный период у детей колеблется от 2 до 10 дней, чаще составляет 2 дня.

Клинические симптомы COVID-19 у детей соответствуют клинической картине ОРВИ, обусловленной другими вирусами: лихорадка, кашель, боль в горле, чихание, слабость, миалгия. Выраженность лихорадочной реакции может быть различна: лихорадка до 38 °C отмечается у половины больных детей, у трети детей регистрируется повышение t тела от 38,1 до 39,0 °C.

Накопленный опыт наблюдения за манифестными случаями COVID-19 у детей показывает, что характерное сочетание лихорадки, кашля и одышки имеет место только у 73% (у взрослых - 93%). Сопоставление частоты отдельных симптомов также показывает преобладание их у взрослых. По данным американских исследователей, лишь 56% пациентов детского возраста сообщили о лихорадке, 54% о кашле и 13% об одышке, по сравнению с 71%, 80% и 43% соответственно среди пациентов в возрасте 18 - 64 лет. У детей не только реже отмечают клинические проявления интоксикации (головная боль 28% против 58% у взрослых; миалгия - 23% против 61% взрослых) и дыхательной недостаточности, но и желудочно-кишечные проявления (тошнота/рвота - у 11% против 16%; абдоминальная боль - 5,8% против 12%; диарея - 13% против 31%). Тахикардия отмечается у половины госпитализированных детей, тахипноэ - у трети. У детей редко наблюдается снижение SpO2 < 92%.

По разным данным, от 5,7% до 20% детей с COVID-19 были госпитализированы, остальные лечились амбулаторно, в том числе пациенты с легкими, субклиническими и бессимптомными формами, у которых вирус SARS-CoV-2 был выделен при обследовании по контакту. В США у детей с COVID-19 госпитализация потребовалась только 1,6 - 2,5% пациентов, причем необходимости в оказании реанимационной помощи не было.

Выраженность клинических проявлений коронавирусной инфекции варьирует от отсутствия симптомов (бессимптомное течение) или легких респираторных симптомов до тяжелой ТОРС, протекающего с:

- Высокой лихорадкой;

- Выраженным нарушением самочувствия вплоть до нарушения сознания;

- Ознобом, потливостью;

- Головными и мышечными болями;

- Сухим кашлем, одышкой, учащенным и затрудненным дыханием;

- Учащенным сердцебиением.

Наиболее частым проявлением ТОРС является двусторонняя вирусная пневмония, осложненная ОРДС или отеком легких. Возможна остановка дыхания, что требует ИВЛ и оказания помощи в условиях ОРИТ.

Неблагоприятные исходы развиваются при прогрессирующей дыхательной недостаточности, присоединении вторичной инфекции, протекающей в виде сепсиса.

Возможные осложнения:

- ОРДС;

- Острая сердечная недостаточность;

- Острая почечная недостаточность;

- Септический шок;

- Полиорганная недостаточность (нарушение функций многих органов и систем).

Не у всех детей с подозрением на COVID-19, переносивших тяжелые формы заболевания, был лабораторно выделен вирус SARS-CoV-2, что не позволяет исключить сочетанные инфекции или наличие других респираторных заболеваний у детей с подозрительными случаями заболеваний на основании клинико-эпидемиологических данных.

Легкая степень тяжести характеризуется повышением t тела не выше 38,5 °C, отсутствием одышки в покое, но возможно появление ее при физической нагрузке, SpO2 > 95%.

Средняя степень тяжести характеризуется повышением t тела выше 38,5 °C, отсутствием одышки в покое, но ее появлением при физической нагрузке (крике/плаче), SpO2 95%.

Тяжелая степень COVID-19 характеризуется диспноэ (чувство нехватки воздуха, стеснения в области грудной клетки, одышка или тахипноэ), цианозом/акроцианозом, SpO2 93%.

Крайне тяжелую степень регистрируют при развитии дыхательной недостаточности с необходимостью респираторной поддержки, ОРДС, шока, признаков полиорганной недостаточности (энцефалопатии, сердечно-сосудистой, почечной, печеночной недостаточности, ДВС-синдрома).

Частота тяжелых и крайне тяжелых случаев заболевания не превышает 1%. Случаи крайне тяжелого COVID-19 у детей регистрируют обычно при наличии факторов риска: тяжелых преморбидных заболеваний (дети, имеющие заболевания легких, врожденные пороки сердца, бронхолегочную дисплазию, болезнь Кавасаки, гидронефроз, лейкемию и др.), иммунодефицитные состояния разного генеза (чаще заболевают дети старше 5 лет; в 1,5 раза чаще регистрируют пневмонии), нельзя также исключить влияние на тяжесть состояния коинфекции с другими респираторными вирусами (респираторно-синцитиальный вирус, риновирус, бокавирус, аденовирус), для которых характерно поражение нижних отделов респираторного тракта (пневмония, бронхиолит).

При выявлении бессимптомной формы или легкой степени тяжести COVID-19 допустимо лечение в амбулаторных условиях, в том числе и на дому. В случае решения о возможности лечения в амбулаторных условиях врач должен объяснить родителям или другим законным представителям ребенка необходимость соблюдать режим изоляции. Законные представители ребенка, осуществляющие уход, подписывают информированное согласие установленного образца. При условии амбулаторного лечения возможно использовать дистанционное консультирование больного (законного представителя) с помощью телемедицинских технологий.

Показания для госпитализации детей с COVID-19 или подозрением на него:

1. Тяжелая или среднетяжелая степень респираторного заболевания или внебольничная пневмония.

2. Лихорадка выше 38,5 °C, в том числе по данным анамнеза, или ниже 36,0 °C или при длительности лихорадки выше 38,0 °C более 5 дней.

3. Одышка в покое или при беспокойстве.

4. Тахипноэ, не связанное с лихорадкой, более 20% от возрастной нормы: до 1 года - более 50, от 1 до 5 лет - более 40, старше 5 лет - более 30 в мин.

5. Тахикардия, не связанная с лихорадкой, более 20% от возрастной нормы: до 1 года - более 140, от 1 до 5 лет - более 130, старше 5 лет - более 120 в мин.

6. SpO2 95%.

7. Угнетение сознания (сонливость) или повышенное возбуждение, инверсия сна, отказ от еды и питья.

8. Судороги.

9. Отсутствие положительной динамики или нарастание клинической симптоматики на фоне проводимой терапии через 5 дней после начала заболевания.

10. Наличие тяжелых фоновых заболеваний:

- Врожденные и приобретенные заболевания сердца, в том числе в анамнезе (пороки сердца, нарушения ритма, миокардиопатия или миокардит);

- Хронические заболевания легких (бронхолегочная дисплазия, бронхиальная астма, муковисцидоз, бронхоэктатическая болезнь, врожденные пороки легких и др.);

- Первичный или вторичный иммунодефицит, в том числе ВИЧ-инфекция, аутоиммунные заболевания, иммуносупрессивная терапия;

- Онкогематологические заболевания, химиотерапия;

- Метаболические заболевания (сахарный диабет, ожирение и др.);

- Заболевания печени и почек.

11. Невозможность изоляции при проживании с лицами из групп риска.

12. Отсутствие условий для лечения на дому или гарантий выполнения рекомендаций (общежитие, учреждения социального обеспечения, пункт временного размещения, социально неблагополучная семья, плохие социально-бытовые условия).

Показания для перевода в ОРИТ:

1. Нарушение сознания (14 баллов и менее по шкале комы Глазго для соответствующей возрастной категории) или необъяснимое выраженное возбуждение (плач, крик) на фоне течения ОРИ;

2. Увеличение ЧДД более чем на 15% от физиологических возрастных показателей в состоянии покоя;

3. Стонущее или кряхтящее дыхание;

4. Увеличение ЧСС более чем на 15% от физиологических возрастных показателей в состоянии покоя;

5. Цианоз и одышка, определяемые при визуальном осмотре, раздувание крыльев носа у детей первого года жизни;

6. SpO2 93%;

7. Респираторный ацидоз (pCO2 > 50 мм рт. ст.);

8. Декомпенсированные нарушения кислотно-основного состояния крови (pH < 7,25);

9. Выраженные нарушения тканевой перфузии, артериальная гипотензия;

10. Лактат-ацидоз (концентрация лактата > 2,5 ммоль/л);

11. Артериальная гипотония с клиническими проявлениями шока;

12. Снижение диуреза до уровня олигоурии и ниже (ниже 50% от возрастной нормы и менее);

13. Появление кашля с примесью крови в мокроте, боли или тяжести в груди;

14. Появление признаков геморрагического синдрома.

В оказании медицинской помощи в условиях ОРИТ нуждаются от 0,5% до 2% госпитализированных детей.

В качестве противовирусной терапии детей с COVID-19 в случаях заболеваний среднетяжелой и легкой степени тяжести рекомендуются препараты ИФН-, при тяжелой степени тяжести используется внутривенные иммуноглобулины.

Интерферон-альфа может снизить вирусную нагрузку на начальных стадиях болезни, облегчить симптомы и уменьшить длительность болезни. Исследования в КНР у детей показали возможность более длительного выделения вируса с фекалиями, чем из верхних дыхательных путей (до 28 против 14 дней). Поэтому обоснованно применение препаратов ИФН- в свечах, особенно с антиоксидантами, которые обеспечивают системное действие препарата, могут способствовать сокращению периода выделения вируса SARS-CoV-2 с фекалиями.

Умифеновир применяется у пациентов с COVID-19, однако отсутствуют доказательства его эффективности и безопасности. У детей возможно применение препарата в возрасте старше 6 лет.

Антибактериальная терапия показана при наличии признаков присоединения к инфекции COVID-19 бактериальной инфекции.

Выздоровление у детей преимущественно происходит в течение 1 - 2 недель.

7. ПРОФИЛАКТИКА КОРОНАВИРУСНОЙ ИНФЕКЦИИ

7.1. СПЕЦИФИЧЕСКАЯ ПРОФИЛАКТИКА COVID-19 У ВЗРОСЛЫХ

В Российской Федерации для специфической профилактики COVID-19 у взрослых лиц зарегистрированы следующие вакцины:

- комбинированная векторная вакцина ("Гам-КОВИД-Вак"), дата регистрации 11.08.2020,

- комбинированная векторная вакцина ("Гам-КОВИД-Вак-Лио"), дата регистрации 25.08.2020,

- вакцина на основе пептидных антигенов ("ЭпиВакКорона"), дата регистрации 13.10.2020,

- вакцина коронавирусная инактивированная цельновирионная концентрированная очищенная ("КовиВак"), дата регистрации 19.02.2021,

- вакцина для профилактики COVID-19 ("Спутник Лайт"), дата регистрации 06.05.2021.

Комбинированная векторная вакцина "Гам-КОВИД-Вак" получена биотехнологическим путем, при котором вирус SARS-CoV-2 не используется. Препарат состоит из двух компонентов: рекомбинантный аденовирусный вектор на основе аденовируса человека 26 серотипа, несущий ген S-белка SARS-CoV-2 (компонент I) и рекомбинантный аденовирусный вектор на основе аденовируса человека 5 серотипа, несущий ген S-белка SARS-CoV-2 (компонент II).

Вакцина "Гам-КОВИД-Вак" в форме замороженного препарата должна храниться в защищенном от света месте, при температуре не выше минус 18 °C <1>. При проведении вакцинации допускается хранение размороженной однодозовой ампулы не более 30 минут. Флакон, содержащий 3,0 мл вакцины, предназначен для вакцинации пяти пациентов, содержит 5 доз по 0,5 мл. Допускается хранение вскрытого флакона по 3,0 мл не более 2 часов при комнатной температуре.

<1> Требования к условиям транспортирования и хранения вакцины Гам-Ковид-Вак утверждены Постановлением Главного государственного санитарного врача РФ от 3 декабря 2020 г. N 41 "Об утверждении санитарно-эпидемиологических правил СП 3.1.3671-20 "Условия транспортирования и хранения вакцины для профилактики новой коронавирусной инфекции (COVID-19) Гам-Ковид-Вак".

Вакцина "Гам-КОВИД-Вак" в форме жидкого препарата и вакцина "Гам-КОВИД-Вак-Лио" в форме лиофилизата для приготовления раствора должны храниться в защищенном от света месте, при температуре от +2 до +8 °C. Хранение восстановленного препарата не допускается!

Вакцинация взрослого населения вакциной "Гам-КОВИД-Вак" проводится в соответствии с методическими рекомендациями Министерства здравоохранения Российской Федерации "Порядок проведения вакцинации вакциной Гам-КОВИД-Вак против COVID-19 взрослого населения". <1>

<1> Порядок проведения вакцинации вакциной Гам-КОВИД-Вак против COVID-19 взрослого населения. Методические рекомендации (Письмо Министерства здравоохранения Российской Федерации от 21 января 2021 г. N 1/И/1-333).

Вакцина "Спутник Лайт" представляет собой рекомбинантный аденовирусный вектор на основе аденовируса человека 26 серотипа, несущий ген S-белка SARS-CoV-2.

Вакцина на основе пептидных антигенов ("ЭпиВакКорона") представляет собой химически синтезированные пептидные антигены белка S вируса SARS-CoV-2, конъюгированные с белком-носителем и адсорбированные на алюминийсодержащем адъюванте (алюминия гидроксиде). Вакцина хранится при температуре от +2 до +8 °C. Вакцину не замораживать! Вакцину вводят двукратно с интервалом 21 день в дозе 0,5 мл внутримышечно в верхнюю треть наружной поверхности плеча.

Инактивированная вакцина ("КовиВак") представляет собой очищенную концентрированную суспензию коронавируса SARS-CoV-2 штамм "AYDAR-1", полученного путем репродукции в перевиваемой культуре клеток Vero, инактивированного бета-пропиолактоном. Вакцина хранится при температуре от +2 до +8 °C. Вакцину не замораживать! Вакцину вводят двукратно с интервалом 14 дней в дозе 0,5 мл внутримышечно в верхнюю треть наружной поверхности плеча.

В день проведения вакцинации пациент должен быть осмотрен медицинским работником с обязательным измерением температуры тела. В случае повышения температуры тела более 37 °C вакцинацию не проводят. После введения вакцины пациент должен находиться под наблюдением медицинского работника в течение 30 минут.

В Календаре профилактических прививок по эпидемическим показаниям <2> определены категории граждан с учетом приоритетности получения вакцины против COVID-19 <3>. В приоритетном порядке также рекомендуется вакцинировать лиц старше 60 лет, не имеющих противопоказаний к вакцинации.

<2> Приказ Министерства здравоохранения РФ от 9 декабря 2020 г. N 1307н "О внесении изменений в календарь профилактических прививок по эпидемическим показаниям, утвержденный приказом Министерства здравоохранения Российской Федерации от 21 марта 2014 г. N 125н".

<3> Вакцинации подлежат лица, не болевшие COVID-19.

При подготовке к вакцинации против COVID-19, проведение лабораторных исследований на наличие иммуноглобулинов классов G и M к вирусу SARS-CoV-2 не является обязательным. Вместе с тем лица, имеющие положительные результаты исследования на наличие иммуноглобулинов классов G и M к вирусу SARS-CoV-2, полученные вне рамок подготовки к вакцинированию, не прививаются. Исследование биоматериала из носо- и ротоглотки методом ПЦР (или экспресс-тестом) на наличие коронавируса SARS-CoV-2 проводится только при наличии контакта с больными с инфекционными заболеваниями в течение последних 14 дней, а также при наличии какого-либо симптома заболевания в течение последних 14 дней. <1>

<1> Письмо Министерства здравоохранения Российской Федерации N 1/И/1-155 от 15.01.2021.

С 18.01.2021 в Российской Федерации проводится массовая вакцинация населения против COVID-19.

В многочисленных исследованиях показано, что более 80% вируснейтрализующих антител направлены к рецептор-связывающему домену (RBD) S-белка SARS-CoV-2. При оценке напряженности поствакцинального протективного иммунитета методом иммуноферментного анализа рекомендуется определение антител к рецептор-связывающему домену (анти-RBD антител).

7.2. НЕСПЕЦИФИЧЕСКАЯ ПРОФИЛАКТИКА COVID-19

Неспецифическая профилактика представляет собой мероприятия, направленные на предотвращение распространения инфекции:

- ранняя диагностика и активное выявление инфицированных, в том числе с бессимптомными формами;

- соблюдение режима самоизоляции;

- соблюдение дистанции от 1,5 до 2 метров;

- использование мер социального разобщения (временное прекращение работы предприятий общественного питания, розничной торговли (за исключением торговли товаров первой необходимости), переход на удаленный режим работы, перевод на дистанционное обучение образовательных организаций;

- соблюдение правил личной гигиены (мыть руки с мылом, использовать одноразовые салфетки при чихании и кашле, прикасаться к лицу только чистыми салфетками или вымытыми руками);

- использование средств индивидуальной защиты органов дыхания (одноразовые медицинские маски, респираторы);

- проведение дезинфекционных мероприятий;

- орошение слизистой оболочки полости носа изотоническим раствором хлорида натрия;

- использование лекарственных средств для местного применения, обладающих барьерными функциями;

- своевременное обращение пациента в медицинские организации в случае появления симптомов ОРИ;

- другие мероприятия соответствии с нормативными и методическими документами по борьбе с новой коронавирусной инфекцией.

Противоэпидемические мероприятия при новой коронавирусной инфекции проводятся в отношении источника инфекции (больного человека и бессимптомного носителя), механизма передачи возбудителя инфекции, а также восприимчивого контингента (защита лиц, находящихся и/или находившихся в контакте с больным человеком).

Мероприятия в отношении источника инфекции:

- диагностические;

- лечебные;

- изоляционные, включая госпитализацию по клиническим и эпидемиологическим показаниям, с использованием специального транспорта и соблюдением маршрутизации в медицинские организации.

Мероприятия, направленные на механизм передачи возбудителя инфекции:

- очаговая дезинфекция: текущая и заключительная;

- соблюдение правил личной гигиены (мытье рук, использование антисептиков, медицинских масок, перчаток);

- использование СИЗ для медработников;

- обеззараживание и утилизация медицинских отходов класса B.

Мероприятия, направленные на восприимчивый контингент:

- экстренная профилактика;

- режимно-ограничительные мероприятия, включая клиническое наблюдение и карантин;

- обследование на SARS-CoV-2 при появлении клинических признаков инфекции.

7.3. МЕДИКАМЕНТОЗНАЯ ПРОФИЛАКТИКА COVID-19 У ВЗРОСЛЫХ

Для медикаментозной профилактики COVID-19 возможно назначение интраназальных форм ИФН- (у беременных возможно только интраназальное введение рекомбинантного ИФН-2b) и/или умифеновира (Приложение 9).

7.4. МЕРОПРИЯТИЯ ПО ПРЕДУПРЕЖДЕНИЮ РАСПРОСТРАНЕНИЯ COVID-19 В МЕДИЦИНСКОЙ ОРГАНИЗАЦИИ

При поступлении в приемное отделение медицинской организации, оказывающей медицинскую помощь в стационарных условиях, пациента с клиническими проявлениями ОРВИ с характерными для COVID-19 симптомами и данными эпидемиологического анамнеза, медицинский работник проводит комплекс первичных противоэпидемических мероприятий с использованием СИЗ.

Медицинский работник, не выходя из помещения, в котором выявлен больной, с использованием имеющихся средств связи извещает руководителя медицинской организации о выявленном пациенте и его состоянии для решения вопроса об его изоляции по месту его выявления (бокс приемного отделения) до его перевода в мельцеровский бокс медицинской организации, в которой был выявлен больной, или госпитализации в специализированный инфекционный стационар при невозможности организовать изоляцию пациента в медицинской организации, в которой он был выявлен. В случае изоляции пациента по месту выявления, перевод в специализированный инфекционный стационар осуществляется после подтверждения диагноза COVID-19.

Медицинский работник должен использовать СИЗ (шапочка, противочумный (хирургический) халат, респиратор класса защиты FFP2 или FFP3), предварительно обработав руки и открытые части тела дезинфицирующими средствами.

Медицинские работники, выявившие пациента с клиническими проявлениями ОРВИ с характерными для COVID-19 симптомами, должны осуществлять наблюдение пациента до приезда и передачи его выездной бригаде скорой медицинской помощи.

После медицинской эвакуации пациента медицинский работник, выявивший пациента, снимает СИЗ, помещает их в бачок с дезинфицирующим раствором, обрабатывает дезинфицирующим раствором обувь и руки, полностью переодевается в запасной комплект одежды. Открытые части тела обрабатываются кожным антисептиком. Рот и горло прополаскивают 70% этиловым спиртом, в нос и в глаза закапывают 2% раствор борной кислоты.

Руководитель медицинской организации, в которой был выявлен пациент, организует сбор биологического материала (мазок из носо- и ротоглотки) у всех медицинских работников и лиц, находившихся с ним в контакте, и направляет их для проведения соответствующего лабораторного исследования.

Лаборатория является зоной повышенной биологической опасности. При проведении исследований на COVID-19 эта опасность многократно возрастает. Работа МАНК проводится в соответствии с Методическими указаниями МУ 1.3.2569-09 "Организация работы лабораторий, использующих МАНК при работе с материалом, содержащим микроорганизмы I - IV группы патогенности".

Высокую биологическую опасность представляют не только МАНК, но и любые иные лабораторные исследования на материале от больных COVID-19 в других отделах лаборатории. Не рекомендуется поведение исследования мокроты больных с внебольничной пневмонией в общеклиническом отделе до получения отрицательного результата на COVID-19. В случае положительного ответа все работы должны поводиться в боксе биологической безопасности не ниже II класса защиты и в рамках бактериологического исследования. Общий анализ мокроты может выполняться по строгим показаниям при потенциальной клинической информативности и при полной экипировке сотрудника лаборатории, как для работы с МАНК.

В целях обеззараживания поверхностей в приемном отделении проводится дезинфекция дезинфицирующими средствами; в целях быстрого и эффективного обеззараживания воздушной среды и поверхностей в отсутствие людей применяются мощные ультрафиолетовые бактерицидные облучатели открытого типа с высокими дозами УФ-облучения (не менее 25 мДж/см2) и суммарным бактерицидным потоком излучения не ниже 200 Вт; для обеззараживания воздуха в присутствии людей применяются ультрафиолетовые бактерицидные облучатели закрытого типа (рециркуляторы) с высокими дозами УФ-облучения (не менее 25 мДж/см2) и с достаточной производительностью (обеспечение рециркуляции всего объема воздуха в помещении не менее 4-х раз за 1 час). Количество необходимых облучателей рассчитывается в соответствии с инструкцией по их применению на кубатуру помещения, в котором они будут установлены.

В случае подтверждения диагноза COVID-19 в стационаре необходимо выявить лиц, имевших контакт с пациентом, среди:

- Находившихся в данном учреждении;

- Переведенных или направленных (на консультацию, стационарное лечение) в другие медицинские организации, и выписанных;

- Медицинских и иных работников (гардероб, регистратура, диагностические, смотровые кабинеты);

- Посетителей медицинской организации, а также посетителей, покинувших медицинскую организацию к моменту выявления пациента;

- Лиц по месту жительства пациента, работы, учебы.

За лицами, контактными с пациентом, устанавливают медицинское наблюдение.

В условиях высокой вероятности поступления пациента с новой коронавирусной инфекцией (наличие местной передачи инфекции на территории) необходимо реализовать следующие мероприятия:

- Запрет на посещения пациентов в медицинских организациях стационарного типа родственниками и другими лицами;

- Запрет посещения медицинских организаций стационарного типа лицами, не являющимися сотрудниками организации;

- Остановка и перенос плановой госпитализации;

- Проведение 2-кратного в течение суток медицинского осмотра и термометрии всех стационарных пациентов с записью результатов в листе наблюдения;

- Обучение и инструктаж медицинских сотрудников по вопросам предупреждения распространения коронавирусной инфекции COVID-19, проведения противоэпидемических мероприятий, использованию СИЗ и мерах личной профилактики;

- Разработка порядка действий при выявлении пациента с подозрением на инфекцию, вызванную новым коронавирусом.

В медицинских организациях стационарного типа необходимо организовать изоляторы, куда может быть помещен пациент с подозрением на инфекцию, вызванную новым вирусом.

Госпитализацию больных (лиц с подозрением на заболевание) осуществляют в боксы, боксированные палаты или, при их отсутствии, в палаты со шлюзом и санузлом с соблюдением принципа одномоментности (цикличности) заполнения палат и с учетом тяжести состояния больных. Лиц с подозрением на заболевание рекомендуется размещать в одноместных палатах. Больные с подтвержденным диагнозом могут быть размещены в палатах на 2 - 4 места при соблюдении гигиенических требований к площади палат на 1 койку в стационарах инфекционного профиля (не менее 8 кв. м) и размещении коек на расстоянии не менее 1,5 - 2 метра друг от друга. Пациенты в присутствии персонала или других пациентов должны находиться в медицинских масках и соблюдать гигиену рук. Выход пациентов за пределы палат (боксов) не допускается. Разрешается использование средств мобильной связи (в отделениях реанимации с учетом клинического состояния) с проведением их дезинфекции спиртосодержащими средствами.

Для проведения медицинских манипуляций, ухода, уборки, дезинфекции необходимо закрепить персонал и инвентарь для работы только с этим пациентом. Необходимо пересмотреть инструкции для медицинского персонала с целью минимизации посещения зоны изоляции пациента. Например, совмещение врачебного осмотра и малых инвазивных вмешательств). Все входящие в палату-изолятор должны фиксироваться в журнале.

Перемещения пациента внутри медицинской организации строго запрещены. Однако, если отсутствуют необходимые материально-технические ресурсы оказания медицинской помощи (например, переносные аппараты УЗИ, передвижные стойки рентген-оборудования), пациент перемещается по строго заданным маршрутам в транспортировочном изолирующем боксе для инфекционных больных. При отсутствии транспортировочного изолирующего бокса перед выходом из палаты пациент должен быть переодет в чистую одежду, на рот и нос надет респиратор, руки пациента обработаны спиртовым антисептиком. При перемещении пациент не должен дотрагиваться до каких-либо поверхностей (стены, ручки дверей и др.).

Пациенты с подозрением на инфекцию и с подтвержденной инфекцией должны быть разделены (находиться в разных палатах). При выявлении новых пациентов с подозрением на инфекцию, они могут быть размещены в отделение (палату) вместе с другими пациентами с подозрением на инфекцию.

Если в период госпитализации пациенту с подозрением на инфекцию и с подтвержденной инфекцией потребуется интенсивная терапия или кислородная поддержка по возможности пост интенсивной терапии необходимо организовать в палате, куда изолирован пациент. Если это невозможно, то необходимо организовать изолятор и отдельный пост в отделении реанимации и интенсивной терапии. Должны соблюдаться следующие требования:

- Надеть на пациента респиратор или медицинскую маску, если это возможно;

- При ИВЛ использовать закрытые дыхательные контуры;

- Все медицинское оборудование должно быть закреплено за пациентом;

- Допуск в зону, где размещен пациент, должен быть ограничен;

- В отделении должны быть организованы сбор и утилизация отходов класса B.

При проведении медицинских манипуляций, генерирующих аэрозоль (интубация трахеи, неинвазивная вентиляция легких, трахеотомия, сердечно-легочная реанимация, искусственная вентиляция легких с помощью ручных аппаратов перед интубацией и бронхоскопией), персонал должен:

- Использовать респиратор (типа NIOSH-certified N 95, FFP3, или аналогичные). При использовании одноразового респиратора обязательно проводится проверка герметичности. Необходимо учитывать, что в случае пользователей СИЗ, имеющих усы и (или) бороду, обеспечение герметичности может быть затруднено;

- Использовать защиту для глаз (например, защитные очки или защитный щиток для лица);

- Носить защитный комбинезон, в случае его отсутствия - одноразовый хирургический халат и перчатки. Перчатки должны быть натянуты поверх краев рукавов. Если халаты не являются водостойкими, при осуществлении процедур, в ходе которых ожидается работа с большими объемами жидкостей, которые могут проникнуть в халат, необходимо использовать водонепроницаемые фартуки;

- Минимизировать количество контактов с пациентом. Сгруппировать манипуляции для их последовательного проведения: переход от "чистых" к "грязным".

Все средства индивидуальной защиты должны быть сняты и сброшены в бак для отходов класса B, не покидая реанимационной палаты.

Медицинские отходы, в том числе биологические выделения пациентов (мокрота, моча, кал и др.), относятся к чрезвычайно эпидемиологически опасным отходам класса B и подлежат обязательному обеззараживанию (дезинфекции)/обезвреживанию физическими методами (термические, микроволновые, радиационные и другие), для чего в медицинской организации необходимо предусмотреть наличие специализированной установки, работающей с использованием таких методов. Вывоз необеззараженных отходов класса B за пределы территории медицинской организации не допускается. После аппаратных способов обеззараживания с применением физических методов и изменения внешнего вида отходов, отходы класса В могут накапливаться, временно храниться, транспортироваться, уничтожаться и захораниваться совместно с отходами класса A. Применение химических методов дезинфекции возможно только для обеззараживания пищевых отходов и выделений больных, а также при организации противоэпидемических мероприятий в очагах. Утилизация медицинских отходов проводится в соответствии с принятым в учреждении регламентом, не противоречащим санитарно-эпидемиологическим правилам и нормам.

Для профилактики возникновения инфекций, связанных с оказанием медицинской помощи (ИСМП), у пациентов с COVID-19 необходимо проведение всего комплекса мероприятий по обеспечению эпидемиологической безопасности оказания медицинской помощи, включая обработку рук (в двух парах перчаток) спиртовыми антисептиками, использование третьей пары стерильных/нестерильных перчаток в соответствии со стандартным показаниями, проведение всех инвазивных манипуляций с соблюдением стандартных операционных процедур, осуществление мониторинга инвазивных процедур и своевременное обследование пациентов при подозрении на ИСМП, адекватная антимикробная терапия с учетом антибиотикорезистентности выделенных возбудителей, текущая и заключительная дезинфекция поверхностей и оборудования, включая аппараты ИВЛ, концентраторы кислорода, банки Боброва и др., а также обеззараживание воздуха. Необходимо усиление микробиологического мониторинга циркулирующих штаммов актуальных возбудителей инфекций, в том числе Klebsiella pneumoniae, Acinetobacter baumannii, Pseudomonas aeruginosa, Staphylococcus spp. (MRSA, MRSE) и других, путем обследования пациентов и объектов больничной среды с определением резистентности микроорганизмов к антимикробным препаратам. Требуется усиление контроля за обеспечением эпидемиологической безопасности оказания медицинской помощи и профилактикой ИСМП с использованием чек-листов и применением различных форм наблюдения, включая видеонаблюдение <1>.

<1> Методические рекомендации МР 3.1.0229-21 "Рекомендации по организации противоэпидемических мероприятий в медицинских организациях, осуществляющих оказание медицинской помощи пациентам с новой коронавирусной инфекцией (COVID-19) (подозрением на заболевание) в стационарных условиях".

7.5. РАЦИОНАЛЬНОЕ ИСПОЛЬЗОВАНИЕ СРЕДСТВ ИНДИВИДУАЛЬНОЙ ЗАЩИТЫ В МЕДИЦИНСКИХ ОРГАНИЗАЦИЯХ

С целью ограничения необоснованного расхода СИЗ рекомендуется определить потребность в них в медицинских организациях, а также обеспечить их правильное использование. Для рационализации потребности в СИЗ при одновременном обеспечении безопасности медицинских работников рекомендуется:

- С помощью технических и административных мер ограничить число лиц, работающих в зонах высокого риска и нуждающихся в использовании СИЗ;

- Определить необходимое число медицинских работников, контактирующих с пациентами;

- Регулировать необходимое количество входов в палату;

- Предусмотреть дистанционное консультирование для пациентов и лиц с подозрением на COVID-19.

- Внедрить в практику расширенное использование респираторов (ношение одного и того же респиратора при работе с несколькими пациентами, не снимая респиратор).

Респираторы, или фильтрующие полумаски - это средство индивидуальной защиты органов дыхания (СИЗОД), предназначенное для снижения риска инфицирования медицинских работников, работающих в условиях высокого риска распространения инфекций, передающихся воздушно-капельным путем. Имеются основания полагать, что быстрому распространению коронавирусной инфекции способствует то, что вирус передается не только при непосредственном контакте с источником инфекции и воздушно-капельным путем (через крупные капли), как это характерно для большинства ОРВИ, но и в существенной степени через инфекционные аэрозоли (инфицированный воздух). Поэтому применение респираторов (со степенью не ниже защиты FFP2) в зонах высокого риска инфицирования обязательно для медицинского персонала, занятого оказанием медицинской помощи больным COVID-19.

Принцип работы респиратора состоит в высокоэффективной фильтрации вдыхаемого воздуха, благодаря которой резко снижается риск проникновения в дыхательные пути, в том числе в терминальные бронхиолы и альвеолы, инфекционного аэрозоля (стойкой взвеси в воздухе мельчайших частиц, содержащих жизнеспособные патогенные микроорганизмы).

Для обеспечения максимальной защиты при использовании респиратора должны быть выполнены ряд условий:

- используемые модели респиратора должны быть сертифицированы на соответствие требованиям по крайней мере одного из национальных или международных стандартов: ТР ТС 019/2011 "О безопасности средств индивидуальной защиты", или ГОСТ 12.4.294-2015 или EN 149:2001+А1:2009 "Respiratory protective devices - Filtering half masks to protect against particles";

- используемые респираторы должны иметь класс защиты не ниже FFP2;

- респиратор должен правильно использоваться (правильное надевание, безопасное снятие, уход, обезвреживание и уничтожение как медицинских отходов класса B).

Правильное надевание - наиболее важное условие эффективности его применения для защиты от инфицирования. Правильное надевание абсолютно необходимо для обеспечения максимально герметичного прилегания краев полумаски респиратора к лицу для исключения возможности утечки неотфильтрованного инфицированного воздуха в зону дыхания минуя высокоэффективный фильтр, каковым и является полумаска респиратора. Крайне важно ознакомиться и тщательно каждый раз выполнять требования инструкции по правильному надеванию респиратора в текстовом или графическом виде в соответствии с вышеперечисленными стандартами всегда находится на упаковке респиратора или во вкладыше.

После каждого надевания респиратора перед входом в зону высокого риска инфицирования необходимо проводить его проверку на утечку: сделать 2 - 3 форсированных вдоха-выдоха, при этом убедиться, что отсутствует подсос и выход воздуха по краям респиратора, а на вдохе респиратор плотно прижимается к лицу без утечки воздуха по краям. Если при этом выявлена утечка воздуха под полумаску, нужно проверить правильность одевания респиратора, повторно надеть его.

Длительность использования респиратора в течение рабочего дня ограничена только гигиеническими соображениями (необходимость приема пищи, появление избыточной влажности под полумаской в жаркую погоду и т.п.), поскольку эффективность фильтрации со временем только повышается при условии, что респиратор не поврежден и обеспечивает хорошее прилегание к лицу.

Безопасное снятие респиратора необходимо для исключения риска инфицирования с наружной поверхности респиратора в результате ее контакта с кожей, в случае если она контаминирована инфицированными биологическими жидкостями. Респиратор снимают в перчатках за резинки (сначала снимая нижнюю резинку, затем верхнюю), не касаясь наружной и внутренней поверхности полумаски респиратора.

Обеззараживание и/или обезвреживание использованных респираторов проводится в соответствии с требованиями к медицинским отходам класса B.

В условиях эпидемии инфекционных заболеваний важно применять организационные меры, позволяющие не только снизить риск внутрибольничного распространения инфекции, но и существенно сократить потребность в респираторах:

- Обучение персонала принципам правильного использования респираторов, в том числе исключение ношения их на шее или лбу во время перерывов в работе, правильное бережное хранение повышает не только эффективность их использования, но и продлевает их срок службы;

- Проведение оценки риска на основании анализа потоков пациентов, посетителей, лабораторных образцов и персонала;

- Максимальное разобщение потоков для выделения зон низкого риска (где использование СИЗОД не требуется) и высокого риска (где использование СИЗОД необходимо). Зоны высокого риска должны быть обозначены специальными предупреждающими знаками, запрещающими доступ туда посторонних лиц без средств защиты;

- Выделение зон отдыха персонала и помещений для офисной работы в максимально изолированных помещениях, куда исключен переток инфицированного воздуха из зон высокого риска. Использование СИЗОД в этих помещениях не требуется;

- Выделение на основе оценки риска более узких групп персонала, который работает в условиях наиболее высокого риска, где требуется применение СИЗОД. Прочий персонал при этом для работы в условиях низкого или среднего уровня риска может эффективно использовать перечисленные организационные меры по его снижению и меры контроля среды обитания (проветривание, ультрафиолетовые излучатели);

- Обязательное круглосуточное применение медицинских масок пациентами, представляющими риск распространения инфекции, вдвое снижает риск для окружающих;

- Применение максимально возможных режимов естественной вентиляции (постоянного максимально возможного проветривания) позволяет достичь резкого снижения концентрации инфекционного аэрозоля в воздухе помещений и соответственно резко снизить риск распространения инфекций через воздух. Эффективным способом обеззараживания воздушной среды помещений является использование ультрафиолетовых бактерицидных установок с дозой ультрафиолетового бактерицидного излучения (УФБИ) не менее 25 мДж/см2, встроенных в центральные системы приточно-вытяжной вентиляции. Такая приточно-вытяжная вентиляция в присутствии людей должна работать непрерывно в течение всего рабочего времени.

- В зонах высокого риска распространения COVID-19, использование кондиционеров комнатного типа (сплит-систем) должно быть исключено, поскольку они фактически повышают риск инфицирования, так как способствуют поддержанию высоких концентраций инфекционного аэрозоля при блокированной естественной вентиляции. Применение облучателей закрытого типа (рециркуляторов) с источником УФБИ внутри является эффективной мерой снижения риска распространения воздушных инфекций, включая COVID-19, только при условии обеспечения достаточных УФ-доз облучения (не менее 25 мДж/см2) и необходимой кратности воздухообмена (обеспечение рециркуляции всего объема воздуха в помещении не менее 4-х раз за 1 час). Закрытые облучатели в присутствии людей должны работать непрерывно в течение всего рабочего времени.

В период эпидемического подъема заболеваемости COVID-19 их доступность может быть временно ограничена из-за резкого увеличения потребностей в них. Предлагаемые рекомендации по более длительному и повторному использованию СИЗ носят временный характер на период возможного недостаточного обеспечения СИЗ.

При дефиците респираторов в медицинской организации возможно введение режима их ограниченного повторного использования (использование одного и того же респиратора с надетой поверх него хирургической маской при многократных контактах с пациентами, при этом после каждого контакта необходима смена верхней хирургической маски).

Повторное использование респиратора тем же медицинским работником в условиях оказания помощи больным с COVID-19 возможно при выполнении следующих условий:

- респиратор не поврежден;

- респиратор обеспечивает плотное прилегание к лицу, исключающее утечку воздуха под полумаску;

- респиратор не создает избыточного сопротивления дыханию из-за повышенной влажности;

- респиратор не имеет видимых следов контаминации биологическими жидкостями.

Длительность и кратность повторного использования респиратора определяются выполнением всех вышеперечисленных условий. Если по крайней мере одно из вышеперечисленных условий не выполняется, безопасное повторное использование такого респиратора невозможно, и он подлежит обеззараживанию и/или обезвреживанию с последующим захоронением или уничтожением в соответствии с требованиями к медицинским отходам класса В.

Если предполагается повторное использование респиратора, его маркируют инициалами пользователя, дезинфицируют ультрафиолетовым бактерицидным облучением, дают полностью высохнуть, если респиратор влажный, и до использования хранят в бумажном пакете или салфетке.

Допустимо применение УФБИ для обеззараживания наружной поверхности использованных респираторов и их повторного использования. УФБИ, не проникая глубоко внутрь фильтрующего материала, эффективно обеззараживает его облучаемую поверхность, резко снижая риск контактного инфицирования. Для обеззараживания поверхности респиратора его оставляют в тщательно расправленном виде наружной поверхностью вверх по направлению к УФБИ облучателю открытого типа с суммарным бактерицидным потоком излучения не ниже 100 Вт на расстоянии не более 2 метров от него не менее чем на 10 минут. Суммарной дозы УФБИ достаточно для надежного обеззараживания незатененной поверхности фильтрующей полумаски для безопасного повторного ее использования при соблюдении вышеперечисленных стандартных мер предупреждения контактного инфицирования.

Использованные респираторы нельзя мыть, механически чистить, обрабатывать дезинфектантами, обеззараживать высокими температурами, паром и т.д. Между периодами повторного использования респиратор должен храниться в расправленном виде в сухом чистом месте (в салфетке или бумажном пакете с инициалами пользователя). Передача респиратора для использования другим человеком не допускается.

Использование поверх правильно надетого респиратора медицинской (хирургической) маски позволяет резко снизить вероятность контаминации наружной поверхности респиратора биологическими жидкостями. При этом после каждого снятия респиратора маска должна быть сброшена в контейнер для отходов класса В, а респиратор может использоваться повторно.

При ограниченном ресурсе респираторов в исключительных случаях допускается использование одноразовых хирургических масок при оказании медицинской помощи пациентам, не нуждающимся в проведении аэрозоль-генерирующих процедур (оксигенация, интубация, санация бронхиального дерева, ИВЛ и др). В этом случае хирургическая маска должна быть также надета на пациента.

8. ПОРЯДОК ПРОВЕДЕНИЯ ПАТОЛОГОАНАТОМИЧЕСКИХ ВСКРЫТИЙ

В случае смерти в стационаре больного с установленным при жизни диагнозом COVID-19 или отнесенного к категории "подозрительный и вероятный случай COVID-19" патологоанатомическое вскрытие в соответствии с Федеральным законом N 323-ФЗ от 21.11.2011 "Об основах охраны здоровья граждан в Российской Федерации" и приказом Минздрава России N 354н от 06.06.2013 "О порядке проведения патологоанатомических вскрытий" проводится в специально перепрофилированных для подобных вскрытий, в том числе, межстационарных патологоанатомических отделениях, с соблюдением правил биобезопасности. Отмена вскрытия не допускается. Категория сложности 5 (приложение 1 Приказа N 354н).

Администрация патологоанатомических бюро, больниц, имеющих в своем составе патологоанатомические отделения, и бюро судебно-медицинской экспертизы обеспечивает соблюдение требований СП 1.3.3118-13 "Безопасность работы с микроорганизмами I - II групп патогенности (опасности)" и другими нормативными и методическими документами в отдельной секционной.

В патологоанатомическом отделении должен быть полный набор инструкций и необходимых средств для их реализации:

- Методическая папка с оперативным планом противоэпидемических мероприятий в случае выявления больного COVID-19;

- Схема оповещения;

- Памятка по технике вскрытия и забора материала для бактериологического исследования;

- Функциональные обязанности на всех сотрудников отделения;

- Защитная одежда (противочумный костюм 1 типа, СИЗ типа "Кварц" и подобные, допускается противочумный костюм II типа с дополнительным надеванием двойных хирургических перчаток и непрорезаемых синтетических перчаток между ними, защитных очков, клеенчатого или полиэтиленового (ламинированного) фартука, нарукавников из подобного материала; необходимо использовать респираторы класса FFP3);

- Укладка для забора материала;

- Стерильный секционный набор;

- Запас дезинфицирующих средств и емкости для их приготовления.

Медицинские отходы, образующиеся в результате патологоанатомического вскрытия таких трупов, подлежат обеззараживанию и/или обезвреживанию в соответствии с требованиями к медицинским отходам класса B (СанПиН 2.1.7.2790-10 "Санитарно-эпидемиологические требования к обращению с медицинскими отходами").

Вскрытие проводит или контролирует его заведующий или наиболее опытный патологоанатом. К проведению патологоанатомического вскрытия допускаются врачи-патологоанатомы, медицинские техники (лаборанты) и санитары патологоанатомического отделения, прошедшие инструктаж, специальное обучение (очное или дистанционное). Вскрытие должно быть проведено в максимально возможные ранние сроки. Время вскрытия необходимо сократить до минимума. Вскрытие проводится без применения воды при отключенном стоке, так называемое "сухое вскрытие". При вскрытии, особенно черепа, необходимо исключить образование аэрозолей. Аутопсийный материал (кусочки легкого, трахеи, бронхов и селезенки) в кратчайшие сроки направляется в ФБУЗ "Центр гигиены и эпидемиологии" в субъекте Российской Федерации на предмет наличия COVID-19, а также других вирусных и бактериальных возбудителей ОРИ. Объем и вид биологического материала согласовывается с территориальным органом Роспотребнадзора.

Для гистологического исследования забирают образцы каждого органа. Фиксацию производят в 10% нейтральном забуференном растворе формалина, после фиксации в растворе формалина не менее одних суток материал биологически безопасен. Фиксация кусочков по продолжительности должна соответствовать размерам кусочка и может быть при необходимости увеличена до 48 - 72 ч. После фиксации и гистологической проводки кусочки ткани эпидемиологической опасности не представляют, и дальнейшая пробоподготовка проводится обычным образом. Микроскопическое исследование включает в обязательном порядке: трахею (проксимальный и дистальный отделы); центральную часть легкого с сегментарными бронхами, правые и левые бронхи первого порядка; репрезентативные участки легочной паренхимы из правого и левого легкого. Обязательно гистологическое исследование всех других жизненно важных внутренних органов в зависимости от макроскопически выявленных изменений: миокард, печень, почки, селезенка, поджелудочная железа, головной мозг и другие. Все диагностически значимые морфологические изменения необходимо по возможности фиксировать с помощью макро- и микрофото- (или видео-) съемки.

9. МАРШРУТИЗАЦИЯ ПАЦИЕНТОВ И ОСОБЕННОСТИ ЭВАКУАЦИОННЫХ МЕРОПРИЯТИЙ БОЛЬНЫХ ИЛИ ЛИЦ С ПОДОЗРЕНИЕМ НА COVID-19

9.1. МАРШРУТИЗАЦИЯ ПАЦИЕНТОВ И ЛИЦ С ПОДОЗРЕНИЕМ НА COVID-19

Порядок маршрутизации регулирует вопросы оказания медицинской помощи пациентам с COVID-19 в медицинских организациях.

Медицинская помощь пациентам с COVID-19 осуществляется в соответствии с приказом Минздрава России от 19.03.2020 N 198н "О временном порядке организации работы медицинских организаций в целях реализации мер по профилактике и снижению рисков распространения новой коронавирусной инфекции COVID-19" в виде скорой, в том числе скорой специализированной, первичной медико-санитарной и специализированной медицинской помощи в медицинских организациях и их структурных подразделениях, а также в амбулаторных условиях (на дому).

В зависимости от степени тяжести состояния при подтверждении диагноза коронавирусной инфекции лечение осуществляют:

- Медицинские работники амбулаторных медицинских организаций на дому (в случае отсутствия у пациента клинических проявлений заболеваний или при легком течении заболевания);

- В отделении для лечения инфекционных больных медицинской организации;

- В ОРИТ медицинской организации (при наличии показаний).

Скорая, в том числе скорая специализированная, медицинская помощь больным инфекционным заболеванием оказывается фельдшерскими выездными бригадами скорой медицинской помощи, врачебными выездными бригадами скорой медицинской помощи, специализированными выездными бригадами скорой медицинской помощи, бригадами экстренной медицинской помощи территориальных центров медицины катастроф.

Деятельность этих бригад направлена на проведение мероприятий по устранению угрожающих жизни состояний с последующей медицинской эвакуацией в медицинскую организацию, оказывающую стационарную медицинскую помощь больным инфекционными заболеваниями. Медицинская помощь больным инфекционными заболеваниями с жизнеугрожающими острыми состояниями, в том числе с инфекционно-токсическим, гиповолемическим шоком, острыми почечной и печеночной недостаточностью, острой сердечно-сосудистой и дыхательной недостаточностью, вне медицинской организации оказывается бригадами (в том числе реанимационными) скорой медицинской помощи.

9.2. ПОРЯДОК ОРГАНИЗАЦИИ МЕДИЦИНСКОЙ ПОМОЩИ

В целях обеспечения готовности к проведению противоэпидемических мероприятий в случае завоза и распространения COVID-19 медицинским организациям необходимо руководствоваться Планом санитарно-противоэпидемических мероприятий по предупреждению завоза и распространения новой коронавирусной инфекции, вызванной SARS-CoV-2, утвержденным уполномоченным органом исполнительной власти субъекта Российской Федерации, а также действующими требованиями санитарного законодательства.

а) Порядок организации скорой, в том числе скорой специализированной, медицинской помощи.

Руководителям медицинских организаций, оказывающих скорую медицинскую помощь, необходимо обеспечить:

- Наличие запаса необходимых расходных материалов для отбора проб для проведения лабораторных исследований на наличие COVID-19, дезинфекционных средств и СИЗ;

- Информирование медицинских работников по вопросам профилактики, диагностики и лечения COVID-19;

- Выполнение Инструкции по соблюдению мер инфекционной безопасности для специализированных выездных бригад скорой медицинской помощи согласно Приложению N 10 к настоящим методическим рекомендациям;

- Передачу биологического материала (мазки из носо- и ротоглотки) пациентов (при необходимости забора биологического материала на этапе СМП, в частности необходимости проведения специальных карантинных мероприятий) при подозрении на COVID-19 в лаборатории медицинских организаций, имеющих эпидемиологическое заключение на работу с III и IV группами патогенности;

- Указание медицинскими работниками в бланке направления на лабораторное исследование диагноза "пневмония" при направлении биологического материала пациентов с внебольничной пневмонией для диагностики COVID-19;

- Системную работу по информированию населения о рисках COVID-19, мерах индивидуальной профилактики, необходимости своевременного обращения за медицинской помощью при появлении первых симптомов ОРВИ.

б) Порядок организации медицинской помощи в стационарных условиях.

Руководителям медицинских организаций, оказывающих медицинскую помощь в стационарных условиях, необходимо обеспечить:

- Наличие запаса необходимых расходных материалов для отбора биологического материала для проведения лабораторных исследований, дезинфекционных средств и СИЗ (очки, одноразовые перчатки, респиратор соответствующего класса защиты, противочумный костюм 1 типа или одноразовый халат, бахилы), обеспечение медицинскими изделиями, в том числе пульсоксиметрами, аппаратами искусственной вентиляции легких;

- Информирование медицинских работников по вопросам профилактики, диагностики и лечения COVID-19, а также сбора эпидемиологического анамнеза;

- Госпитализацию пациентов с нетипичным течением ОРВИ, внебольничной пневмонией;

- Проведение противоэпидемических мероприятий при выявлении подозрения на инфекционное заболевание, вызванное штамма SARS-CoV-2, в соответствии с требованиями Роспотребнадзора;

- Прием через приемно-смотровые боксы и (или) фильтр-боксы пациентов с признаками ОРВИ, внебольничных пневмоний и дальнейшую маршрутизацию пациентов в медицинской организации;

- Разделение работников медицинской организации на лиц, контактировавших с пациентами с симптомами ОРВИ, внебольничной пневмонией, и лиц не контактировавших, исключив возможность их пересечения;

- Соблюдение температурного режима, режима проветривания, текущей дезинфекции в медицинской организации (особого внимания требуют ОРИТ), использование работниками медицинской организации СИЗ;

- Проведение обеззараживания воздуха и поверхностей в помещениях с использованием ультрафиолетовых бактерицидных облучателей с УФ-дозой не менее 25 мДж/см2 и/или других устройств для обеззараживания воздуха и (или) поверхностей;

- Контроль концентрации дезинфицирующих средств в рабочих растворах;

- Увеличение кратности дезинфекционных обработок помещений медицинских организаций;

- Передачу биологического материала от пациентов (мазки из носо- и ротоглотки) при подозрении на COVID-19 в лаборатории медицинских организаций, имеющих эпидемиологическое заключение на работу с III и IV группами патогенности, с оформлением Акта приема-передачи;

- Указание медицинскими работниками в бланке направления на лабораторное исследование диагноза "пневмония" при направлении биологического материала пациентов с внебольничной пневмонией для диагностики COVID-19;

- Информирование населения о рисках распространения COVID-19, мерах индивидуальной профилактики, обращая особое внимание на необходимость своевременного обращения за медицинской помощью при появлении первых симптомов ОРВИ;

- Рассмотрение возможности переноса сроков оказания медицинской помощи в плановой форме.

в) Порядок организации медицинской помощи в амбулаторных условиях и условиях дневного стационара.

Руководителям медицинских организаций, оказывающих медицинскую помощь в амбулаторных условиях и условиях дневного стационара, необходимо обеспечить:

- Наличие запаса расходных материалов для отбора проб для проведения лабораторных исследований, дезинфекционных средств и медицинских изделий, включая СИЗ (очки, одноразовые перчатки, респиратор соответствующего класса защиты, противочумный костюм 1 типа или одноразовый халат, бахилы), медицинские изделия, включая пульсоксиметры;

- Информирование медицинских работников по вопросам профилактики, диагностики и лечения COVID-19, а также сбора эпидемиологического анамнеза;

- Госпитализацию пациентов с нетипичным течением ОРВИ и внебольничной пневмонией;

- Проведение противоэпидемических мероприятий при выявлении подозрения на COVID-19;

- Прием через приемно-смотровые боксы и (или) фильтр-боксы пациентов с признаками ОРВИ, а также схемы дальнейшей маршрутизации пациентов в медицинские организации, оказывающие медицинскую помощь в стационарных условиях;

- Соблюдение температурного режима, режима проветривания, текущей дезинфекции в медицинской организации, использование работниками медицинской организации СИЗ;

- Проведение обеззараживания воздуха и поверхностей в помещениях с использованием ультрафиолетовых бактерицидных облучателей с УФ-дозой не менее 25 мДж/см2 и (или) других устройств для обеззараживания воздуха и (или) поверхностей;

- Контроль концентрации дезинфицирующих средств в рабочих растворах;

- Увеличение кратности дезинфекционных обработок помещений медицинских организаций;

- Передачу биологического материала от пациентов (мазки из носо- и ротоглотки) при подозрении на COVID-19 в лаборатории медицинских организаций, имеющих эпидемиологическое заключение на работу с III и IV группами патогенности, с оформлением Акта приема-передачи;

- Указание медицинскими работниками в бланке направления на лабораторное исследование диагноза "пневмония" при направлении биологического материала пациентов с внебольничной пневмонией для диагностики COVID-19;

- Системную работу по информированию населения о рисках COVID-19, мерах индивидуальной профилактики, обращая особое внимание на необходимость своевременного обращения за медицинской помощью при появлении первых симптомов ОРИ;

- Оказание медицинской помощи пациентам с ОРВИ в амбулаторных условиях, преимущественно на дому;

- Актуализацию сведений о лицах в возрасте старше 60 лет, а также лицах, страдающих хроническими заболеваниями бронхолегочной, сердечно-сосудистой и эндокринной систем, лицах с болезнью двигательного нейрона, беременных женщинах, проживающих на территории обслуживания медицинской организации;

- Возможность дистанционной выписки лекарственных препаратов, доставки их на дом;

- Медицинское наблюдение (ежедневная термометрия, опрос гражданина медицинским работником, в том числе по телефону, на предмет наличия симптомов ОРВИ) граждан, вернувшихся из стран, в которых зарегистрированы случаи COVID-19, на период не менее 14 календарных дней с момента их возвращения, а также проживающих совместно с ними лиц. Передача сводной статистической информации о результатах медицинского наблюдения в территориальное управление Роспотребнадзора;

- Немедленную изоляцию и, при наличии показаний, госпитализацию пациентов в специально созданные для данного контингента медицинские организации, оказывающие медицинскую помощь в стационарных условиях, производить при появлении подозрения или установления факта заболевания COVID-19;

- Возможность оформления листков нетрудоспособности без посещения медицинской организации лицам, прибывшим в Российскую Федерацию из стран, в которых зарегистрированы случаи заболевания COVID-19, а также проживающим совместно с ними лицам.

г) Порядок организации лабораторного обследования для диагностики COVID-19.

Руководителям медицинских организаций, в подчинении которых находятся диагностические лаборатории, выполняющие исследования с целью диагностики COVID-19 необходимо обеспечить:

- Наличие запаса реагентов, тест-систем, расходных материалов для проведения лабораторных исследований, дезинфекционных средств и медицинских изделий, включая СИЗ (очки, одноразовые перчатки, респиратор соответствующего класса защиты, противочумный костюм 1 типа или одноразовый халат, бахилы) для обеспечения эффективной и безопасной работы лаборатории;

- Проведение противоэпидемических мероприятий и соблюдение правил работы с патологическими биологическими агентами II группы опасности;

- Соблюдение температурного режима, текущей дезинфекции в лаборатории, использование работниками лаборатории СИЗ;

- Проведение обеззараживания воздуха и поверхностей в помещениях с использованием ультрафиолетовых бактерицидных облучателей с УФ-дозой не менее 25 мДж/см2 и (или) других устройств для обеззараживания воздуха и (или) поверхностей;

- Контроль концентрации дезинфицирующих средств в рабочих растворах;

- Увеличение кратности дезинфекционных обработок помещений лаборатории;

- Получение биологического материала от пациентов (мазки из носо- и ротоглотки) при подозрении на COVID-19 с оформлением Акта приема-передачи;

- Указание медицинскими работниками в бланке направления на лабораторное исследование диагноза "пневмония" при направлении биологического материала пациентов с внебольничной пневмонией для диагностики COVID-19;

- Медицинское наблюдение (ежедневная термометрия) и лабораторное тестирование сотрудников лаборатории в соответствии с требованиями.

9.3. ОСОБЕННОСТИ ЭВАКУАЦИОННЫХ МЕРОПРИЯТИЙ И ОБЩИЕ ПРИНЦИПЫ ГОСПИТАЛИЗАЦИИ БОЛЬНЫХ ИЛИ ЛИЦ С ПОДОЗРЕНИЕМ НА COVID-19

Госпитализация пациента осуществляется в медицинские организации, имеющие в своем составе мельцеровские боксы, либо в медицинские организации, перепрофилируемые под специализированные учреждения той административной территории, где был выявлен больной.

Требования к работе в инфекционных стационарах, изоляторах и обсерваторах изложены в действующих нормативных и методических документах <1>.

<1> СП 1.3.3118-13 "Безопасность работы с микроорганизмами I - II групп патогенности (опасности)".

СП 3.1.3597-20 "Профилактика новой коронавирусной инфекции COVID-19".

Приказ Минздрава России от 19.03.2020 N 198н "О временном порядке организации работы медицинских организаций в целях реализации мер по профилактике и снижению рисков распространения новой коронавирусной инфекции COVID-19".

МР 3.1.0229-21. Рекомендации по организации противоэпидемических мероприятий в медицинских организациях, осуществляющих оказание медицинской помощи пациентам с новой коронавирусной инфекцией (COVID-19) (подозрением на заболевание) в стационарных условиях.

Оказание медицинской помощи больным с инфекционным заболеванием в процессе подготовки и проведения медицинской эвакуации выполняется в соответствии с действующими порядками, клиническими рекомендациями и стандартами.

При наличии жизнеугрожающих синдромокомплексов проводятся реанимационные мероприятия и интенсивная терапия по схемам, утвержденным в установленном порядке.

Транспортировка пациентов с инфекционным заболеванием осуществляется без транспортировочного изолирующего бокса (ТИБ) или в нем.

а) Транспортировка пациента с инфекционным заболеванием без транспортировочного изолирующего бокса

Мероприятия эпидбригад и/или бригад скорой медицинской помощи до начала транспортировки <1>.

<1> Мероприятия проводятся и при транспортировке больных с инфекционным заболеванием с применением транспортировочного изолирующего бокса.

Члены эпидбригады и/или бригады медицинской эвакуации по прибытии к месту выявления больного перед входом в помещение, где находится больной, под наблюдением старшего медицинского работника бригады надевают защитные костюмы в установленном порядке <1>.

Врач бригады:

- Уточняет у больного данные эпидемиологического анамнеза, круг лиц, которые общались с ним (с указанием даты, степени и длительности контакта);

- Определяет контингенты лиц, подлежащих изоляции, медицинскому наблюдению, экстренной профилактике;

- Обеспечивает контроль эвакуации больного и контактировавших с ним лиц;

- Сообщает незамедлительно согласно утвержденной схеме (старший врач смены) уточненные сведения о больном, о контактировавших с больным и проведенных первичных мероприятиях по локализации очага.

Бригада, выполняющая медицинскую эвакуацию инфекционного больного, должна состоять из медицинских работников, обученных требованиям соблюдения противоэпидемического режима и прошедших дополнительный инструктаж по вопросам дезинфекции.

Больной транспортируется в маске со всеми мерами предосторожности. Водитель транспортного средства, в котором осуществляется медицинская эвакуация, при наличии изолированной кабины должен быть одет в комбинезон и маску, при ее отсутствии - в защитную одежду в соответствии с установленными требованиями.

При наличии нескольких пациентов с признаками инфекционного заболевания старший медицинский работник бригады определяет количество и очередность медицинской эвакуации больных, уточняет маршрут эвакуации больного и медицинскую организацию. При наличии нескольких медицинских организаций, соответствующих минимальным требованиям к структурным подразделениям медицинской организации для лечения COVID-19 для пациентов, находящихся в тяжелом состоянии, больных с тяжелыми и крайне тяжелыми формами заболевания целесообразно направлять в медицинские организации обладающими всеми технологиями респираторной поддержки, эфферентной и упреждающей противовоспалительной терапии.

Транспортировка двух и более инфекционных больных из разных очагов на одной машине не допускается. Совместная транспортировка нескольких пациентов с подтвержденным диагнозом COVID-19 из одного очага допускается при отсутствии противопоказаний по клиническому статусу. Перевозка контактировавших с больными лиц вместе с больным на одной автомашине не допускается.

Машину скорой медицинской помощи дополнительно оснащают набором дезинфицирующих средств из расчета на 1 сутки:

- Средство для дезинфекции выделений;

- Средство для дезинфекции поверхностей салона;

- Средство для обработки рук персонала (1 - 2 упаковки);

- Бактерицидный облучатель.

Расход дезинфицирующих средств, необходимых на 1 смену, рассчитывают в зависимости от того, какое средство имеется в наличии и возможного числа выездов.

После доставки больного в инфекционный стационар бригада проходит на территории больницы полную санитарную обработку с дезинфекцией защитной одежды.

Машина и предметы ухода за больным подвергаются заключительной дезинфекции на территории больницы силами самой больницы или бригад учреждения дезинфекционного профиля (в соответствии с комплексным планом).

За членами бригады, проводившей медицинскую эвакуацию, устанавливается наблюдение на срок 14 дней.

б) Транспортировка пациента с инфекционным заболеванием с применением транспортировочного изолирующего бокса

Больные или лица с подозрением на COVID-19 перевозятся транспортом с использованием транспортировочного изолирующего бокса (ТИБ), оборудованного фильтровентиляционными установками, окнами для визуального мониторинга состояния пациента, двумя парами встроенных перчаток для проведения основных процедур во время транспортирования.

Для медицинской эвакуации пациента формируется медицинская бригада, прошедших инструктаж по вопросам санитарно-противоэпидемического режима. Медицинские работники осуществляют прием пациента, его размещение в ТИБ и последующее сопровождение.

Все перемещения новорожденных (вне- и внутригоспитальные) производятся в транспортном кувезе вне зависимости от гестационного возраста и массы тела при рождении. Кувез должен быть оснащен герметизирующими портами для манипуляций и проведения через стенки кувеза необходимых для жизнеобеспечения ребенка устройств.

Медицинские работники и водитель должны быть одеты в защитную одежду.

Пациента готовят к транспортированию до помещения в ТИБ: на месте эвакуации старший медицинский работник бригады оценивает состояние пациента на момент транспортирования и решает вопрос о проведении дополнительных медицинских манипуляций.

Пациента размещают внутри камеры транспортировочного модуля в горизонтальном положении на спине и фиксируют ремнями; в ТИБ помещают необходимое для транспортирования и оказания медицинской помощи оборудование и медикаменты; после этого закрывают застежку-молнию. Проверяют надежность крепления фильтров, включают фильтровентиляционную установку на режим отрицательного давления.

После помещения пациента в ТИБ медицинский персонал бригады:

- Протирает руки в резиновых перчатках и поверхность клеенчатого фартука, орошает наружную поверхность транспортировочного модуля дезинфицирующим раствором с экспозицией в соответствии с инструкцией по применению;

- Проводит обработку защитных костюмов методом орошения дезинфицирующим раствором в соответствии с инструкцией по применению, затем снимает защитные костюмы и помещает их в мешки для опасных отходов;

- Орошает дезинфицирующим средством наружную поверхность мешков с использованными защитными костюмами и относит на транспортное средство.

В боксе инфекционного стационара пациента из ТИБ передают медицинским работникам стационара.

После доставки больного в стационар медицинский транспорт и ТИБ, а также находящиеся в нем предметы, использованные при транспортировании, обеззараживаются силами бригады дезинфекторов на территории инфекционного стационара на специальной, оборудованной стоком и ямой, площадке для дезинфекции транспорта, используемого для перевозки больных в соответствии с действующими методическими документами. Внутренние и внешние поверхности транспортировочного модуля и автотранспорта обрабатываются путем орошения из гидропульта разрешенными для работы с опасными вирусами дезинфицирующими средствами в концентрации в соответствии с инструкцией.

Фильтрующие элементы ТИБ и другие медицинские отходы утилизируют в установленном порядке.

Защитную и рабочую одежду по окончании транспортирования больного подвергают специальной обработке методом замачивания в дезинфицирующем растворе по вирусному режиму согласно инструкции по применению.

Все члены бригады обязаны пройти санитарную обработку в специально выделенном помещении инфекционного стационара.

За членами бригад, проводивших медицинскую эвакуацию, устанавливается медицинское наблюдение на срок 14 дней.

в) Мероприятия бригады дезинфекции

Мероприятия по дезинфекции проводятся с учетом письма Роспотребнадзора от 23.01.2020 N 02/770-2020-32 "Об инструкции по проведению дезинфекционных мероприятий для профилактики заболеваний, вызываемых коронавирусами".

По прибытии на место проведения дезинфекции члены бригады надевают защитную одежду. Заключительную дезинфекцию в транспортном средстве проводят немедленно после эвакуации больного.

Для проведения обеззараживания в очаг входят два члена бригады, один дезинфектор остается вне очага. В обязанность последнего входит прием вещей из очага для камерной дезинфекции, приготовление дезинфицирующих растворов, поднос необходимой аппаратуры.

Перед проведением дезинфекции необходимо закрыть окна и двери в помещениях, подлежащих обработке. Проведение заключительной дезинфекции начинают от входной двери здания, последовательно обрабатывая все помещения, включая комнату, где находился больной. В каждом помещении с порога, не входя в комнату, обильно орошают дезинфицирующим раствором пол и воздух.

Руководитель медицинской организации, в которой выявлен больной, подозрительный на COVID-19, осуществляет первичные противоэпидемические мероприятия согласно оперативному плану медицинской организации, как на случай выявления больного особо опасной инфекцией, с целью обеспечения своевременного информирования, временной изоляции, консультирования, эвакуации, проведения дезинфекции, оказания больному необходимой медицинской помощи в соответствии с действующими нормативными документами и санитарным законодательством.

В медицинской организации, оказывающей медицинскую помощь больным и лицам с подозрением на COVID-19, согласно санитарным правилам необходимо наличие:

- Неснижаемого запаса СИЗ персонала (защитная одежда, маски, респираторы, очки/экраны, перчатки и другие);

- Укладки для забора биологического материала у больного (подозрительного);

- Укладки со средствами экстренной профилактики медицинских работников;

- Месячного запаса дезинфицирующих средств и аппаратуры;

- Тест-систем для лабораторной диагностики в случае выявления лиц с подозрением на коронавирусную инфекцию;

- Медицинского персонала, обученного действиям при выявлении больного (подозрительного на) COVID-19.

При использовании СИЗ обязательно следовать требованиям санитарных правил. Использованные материалы обеззараживаются и/или обезвреживаются и в последующем захораниваются или уничтожаются в соответствии с требованиями к медицинским отходам класса В. Проводится заключительная и текущая дезинфекция, включая обеззараживание воздуха.

9.4. ПОРЯДОК ГОСПИТАЛИЗАЦИИ В МЕДИЦИНСКИЕ ОРГАНИЗАЦИИ ПАЦИЕНТОВ В ЗАВИСИМОСТИ ОТ СТЕПЕНИ ТЯЖЕСТИ ЗАБОЛЕВАНИЯ

1. Госпитализации в медицинские организации и их структурные подразделения, оказывающие медицинскую помощь пациентам с установленным диагнозом COVID-19 или с подозрением на COVID-19 в стационарных условиях (далее соответственно - структурное подразделение медицинской организации для лечения COVID-19, пациенты), подлежат пациенты с установленным диагнозом COVID-19 или с подозрением на COVID-19, находящиеся в состоянии средней тяжести, в тяжелом и крайне тяжелом состоянии. Допускается оказание медицинской помощи на дому взрослым пациентам со среднетяжелым течением заболевания при наличии условий.

2. Госпитализация пациентов осуществляется в структурное подразделение медицинской организации для лечения COVID-19, имеющее койки для пациентов, находящихся в тяжелом состоянии, не требующих искусственной вентиляции легких, койки для пациентов, находящихся в тяжелом состоянии, требующих проведения НИВЛ, и койки для пациентов, находящихся в крайне тяжелом состоянии, требующих проведения ИВЛ.

3. Пациенты на амбулаторном лечении при сохранении температуры тела 38,5 °C в течение 3 дней и более госпитализируются в структурное подразделение медицинской организации для лечения COVID-19 на койки для пациентов в состоянии средней тяжести.

4. Пациенты в состоянии средней тяжести госпитализируются в структурное подразделение медицинской организации для лечения COVID-19 на койки для пациентов в тяжелом состоянии, не требующих ИВЛ, исходя из наличия двух из следующих критериев:

- SpO2 < 95%;

- t 38 °C;

- ЧДД > 22;

- Наличие признаков пневмонии с распространенностью изменений в обоих легких более 25% (при наличии результатов КТ легких).

10. Пациенты в тяжелом состоянии госпитализируются в структурное подразделение медицинской организации для лечения COVID-19 на койки для пациентов в тяжелом состоянии, требующих проведения НИВЛ, исходя из наличия двух из следующих критериев:

- SpO2 93%;

- t 39 °C;

- ЧДД 30;

Дополнительными признаками тяжелого состояния пациента являются снижение уровня сознания, ажитация, нестабильные гемодинамические показатели (систолическое артериальное давление < 90 мм рт. ст., диастолическое артериальное давление < 60 мм рт. ст.).

11. Пациенты в крайне тяжелом состоянии госпитализируются в структурное подразделение медицинской организации для лечения COVID-19 на койки для пациентов в крайне тяжелом состоянии, требующих проведения ИВЛ, исходя из наличия двух из следующих критериев:

- Нарушение сознания;

- SpO2 < 92% (на фоне кислородотерапии);

- ЧДД > 35.

7. Пациентам в состоянии средней тяжести, тяжелом и крайне тяжелом состоянии, а также пациентам в группе риска (см. ниже п. 8) в день госпитализации рекомендовано выполнение КТ ОГК или, при отсутствии такой возможности, РГ ОГК. УЗИ плевральных полостей и легких может применяться только как дополнение к КТ или РГ для оценки динамики изменений в грудной полости. Кратность повторения указанных методов исследования определяется клиническими показаниями. При отсутствии отрицательной клинической динамики контрольная РГ проводится не чаще одного раза в неделю.

8. Подлежат госпитализации в структурное подразделение медицинской организации для лечения COVID-19 вне зависимости от тяжести заболевания:

- Пациенты, относящиеся к группе риска (старше 65 лет, с сопутствующими заболеваниями и состояниями: артериальной гипертензией; хронической сердечной недостаточностью; онкологическими заболеваниями; гиперкоагуляцией; ДВС-синдромом; острым коронарным синдромом; сахарным диабетом; болезнью двигательного нейрона; циррозом печени; длительным приемом ГКС и биологической терапии по поводу воспалительных заболеваний кишечника; ревматоидным артритом; пациенты, получающие гемодиализ или перитонеальный диализ; иммунодефицитными состояниями, в том числе с ВИЧ-инфекцией без антиретровирусной терапии; получающие химиотерапию);

- Пациенты, проживающие в общежитии, многонаселенной квартире, с лицами старше 65 лет, с лицами, страдающими хроническими заболеваниями бронхолегочной, сердечно-сосудистой и эндокринной систем.

9. Пациенты, указанные в пункте 8, находящиеся в состоянии легкой степени тяжести, госпитализируются в структурное подразделение медицинской организации для лечения COVID-19 на койки для пациентов в состоянии средней тяжести, исходя из наличия двух из следующих критериев:

- SpO2 95% (обязательный критерий);

- t < 38 °C;

- ЧДД 22.

10. Пациенты в возрасте до 18 лет госпитализируются в структурное подразделение медицинской организации для лечения COVID-19 при наличии одного из следующих критериев:

- t > 39.0 °C в день обращения или t > 38 °C в течение 5 дней и больше;

- Дыхательная недостаточность (наличие любого признака из нижеперечисленных симптомов респираторного дистресса):

- тахипноэ: ЧДД у детей в возрасте до 1 года - более 50, от 1 до 5 лет - более 40, старше 5 лет - более 30 в мин;

- одышка в покое или при беспокойстве ребенка;

- участие вспомогательной мускулатуры в акте дыхания;

- втяжения уступчивых мест грудной клетки при дыхании;

- раздувание крыльев носа при дыхании;

- кряхтящее или стонущее дыхание;

- эпизоды апноэ;

- кивательные движения головы, синхронные со вдохом;

- дистанционные хрипы;

- невозможность сосать/пить вследствие дыхательных нарушений;

- акроцианоз или центральный цианоз;

- SpO2 < 95%;

- Тахикардия у детей в возрасте до 1 года - более 140, от 1 до 5 лет - более 130, старше 5 лет - более 120 ударов в мин.;

- Наличие геморрагической сыпи;

- Наличие любого из следующих экстренных и неотложных признаков:

- судороги;

- шок;

- тяжелая дыхательная недостаточность;

- тяжелое обезвоживание;

- угнетение сознания (сонливость) или возбуждение;

- Наличие одного из следующих тяжелых фоновых заболеваний независимо

- от уровня повышения Т и степени выраженности дыхательной недостаточности:

- иммунодефицитное состояние, в том числе лечение иммуносупрессивными препаратами;

- онкологические и онкогематологические заболевания;

- болезни с нарушениями системы свертывания крови;

- врожденные и приобретенные пороки и заболевания сердца, в том числе нарушения ритма, кардиомиопатия;

- врожденные и приобретенные хронические заболевания легких;

- болезни эндокринной системы (сахарный диабет, ожирение);

- болезни двигательного нейрона (боковой амиотрофический склероз, спинальная мышечная атрофия и другие);

- хронические тяжелые болезни печени, почек, желудочно-кишечного тракта.

- Невозможность изоляции при проживании с лицами, относящими к группе риска (старше 65 лет, с сопутствующими заболеваниями и состояниями: артериальной гипертензией; хронической сердечной недостаточностью; онкологическими заболеваниями; гиперкоагуляцией; ДВС-синдромом; острым коронарным синдромом; сахарным диабетом; болезнями двигательного нейрона; циррозом печени; длительным приемом ГКС и биологической терапии по поводу воспалительных заболеваний кишечника; ревматоидным артритом; пациенты, получающие гемодиализ или перитонеальный диализ; иммунодефицитными состояниями, в том числе с ВИЧ-инфекцией без антиретровирусной терапии; получающие химиотерапию);

- Отсутствие условий для лечения на дому или гарантий выполнения рекомендаций (общежитие, учреждения социального обеспечения, пункт временного размещения, социально неблагополучная семья, неблагоприятные социально-бытовые условия).

9.5. ОСНОВНЫЕ ПРИНЦИПЫ ОКАЗАНИЯ МЕДИЦИНСКОЙ ПОМОЩИ В АМБУЛАТОРНЫХ УСЛОВИЯХ (НА ДОМУ)

Алгоритм действий медицинских работников, оказывающих медицинскую помощь в амбулаторных условиях, в том числе на дому, пациентам с ОРВИ представлен в Приложении 11.

При получении положительного результата лабораторных исследований биологического материала пациента на наличие COVID-19 (далее - результат теста на COVID-19) уполномоченное лицо медицинской организации:

- Уведомляет пациента о положительном результате теста на COVID-19;

- Оповещает о положительном результате теста на COVID-19 руководителя медицинской организации;

- Вносит в журнал учета пациентов с COVID-19 плановые даты для повторного забора биологического материала (мазки из носо- и ротоглотки);

- Организует осмотр работников медицинской организации, контактировавших с заболевшим пациентом и, в случае выявления симптомов ОРВИ, забор у них биоматериала (мазки из носо- и ротоглотки) для лабораторного исследования на наличие COVID-19;

- Осуществляет опрос пациента с целью уточнения его состояния;

- Осуществляет информирование медицинского работника, направляемого для оказания медицинской помощи пациенту, о положительном результате теста на COVID-19.

Медицинские работники, оказывающие медицинскую помощь на дому пациентам с положительным результатом теста на COVID-19, обязаны:

- Использовать СИЗ (очки, одноразовые перчатки, респиратор соответствующего класса защиты, противочумный костюм 1-го типа или одноразовый халат, бахилы);

- Иметь запас медицинских масок в количестве не менее 20 штук и предлагать их пациенту, прежде чем приступить к опросу и осмотру;

- Рекомендовать пациенту во время осмотра и опроса медицинским работником находиться в медицинской маске;

- Обрабатывать руки в перчатках дезинфицирующим средством;

- Находясь в квартире пациента не снимать СИЗ;

- После выхода из квартиры пациента снять средства индивидуальной защиты, упаковать их в пакет для медицинских отходов класса В и обеспечить их дальнейшую транспортировку для обезвреживания в соответствии с требованиями;

- По завершении оказания медицинской помощи пациенту сообщать уполномоченному лицу медицинской организации о лицах, имеющих контакт с пациентом.

Медицинская помощь взрослым пациентам с положительным результатом теста на COVID-19 может оказываться на дому в случае отсутствия клинических проявлений заболеваний или легком течении заболевания. Допускается оказание медицинской помощи на дому взрослым пациентам со среднетяжелым течением заболевания при наличии условий.

- Пациент с положительным результатом теста на COVID-19 получает необходимое лечение в соответствии с данными методическими рекомендациями.

- Пациент должен быть проинформирован медицинским работником о необходимости вызова врача или бригады скорой медицинской помощи при ухудшении самочувствия (t тела > 38,5 °C в течение 3 дней и более, появление затрудненного дыхания, одышки, SpO2 < 93%), а также о возможных способах обращения за медицинской помощью.

- Лица, проживающие с пациентом в одном помещении, должны быть проинформированы о рисках заболевания COVID-19 и необходимости временного проживания в другом месте.

- Пациент и лица, проживающие с ним, должны быть проинформированы о том, что нарушение санитарно-эпидемиологических правил, повлекшее по неосторожности массовое заболевание, может повлечь привлечение их к уголовной ответственности, предусмотренной статьей 236 Уголовного кодекса Российской Федерации (Собрание законодательства Российской Федерации, 1996, N 25, ст. 2954; 2011, N 50, ст. 7362).

- Пациент и лица, проживающие с ним, должны быть обеспечены информационными материалами по вопросам ухода за пациентами, больными COVID-19, и общими рекомендациями по защите от инфекций, передающихся воздушно-капельным и контактным путем.

- В случае принятия решения о дальнейшем оказании медицинской помощи пациенту в амбулаторных условиях (на дому) оформляется согласие на оказание медицинской помощи в амбулаторных условиях (на дому) и соблюдение режима изоляции при лечении COVID-19.

Пациент с положительным результатом теста на COVID-19 подлежит госпитализации при наличии одного из следующих обстоятельств:

- Легком течении заболевания, в случае если возраст пациента старше 65 лет или имеются симптомы ОРВИ в сочетании с хронической сердечной недостаточностью, сахарным диабетом, заболеванием дыхательной системы (бронхиальная астма, хроническая обструктивная болезнь легких). Данной категории пациентов медицинская помощь может оказываться амбулаторно при наличии условий.

- Совместном проживании с лицами, относящимися к группам риска (лица в возрасте старше 65 лет, а также лица, страдающие хроническими заболеваниями бронхолегочной, сердечно-сосудистой и эндокринной систем, беременных женщин) и невозможности их отселения независимо от тяжести течения заболевания у пациента;

- Легком течении заболевания у детей при наличии у них симптомов ОРВИ в сочетании с хроническими заболеваниями: сердечной недостаточностью, СД, бронхиальной астмой, врожденными пороками сердца и легких, находящихся на иммуносупрессивной терапии и других;

Медицинская организация, в которой наблюдается ребенок с положительным результатом теста на COVID-19 и отсутствием клинических проявлений заболеваний, обеспечивает ежедневный опрос участковой медицинской сестрой (по телефону) о состоянии пациента не менее 2-х раз в день, а также патронаж врача-педиатра участкового не реже 1 раза в 5 дней.

Медицинская организация, в которой наблюдается ребенок с положительным результатом теста на COVID-19 и легким течением заболевания, обеспечивает ежедневный опрос участковой медицинской сестрой (по телефону) о состоянии пациента не менее 2-х раз в день, а также патронаж врача-педиатра участкового (фельдшера) с учетом состояния ребенка не реже 1 раза в 2 дня.

Законный представитель, обеспечивающий уход за ребенком с положительным результатом теста на COVID-19, которому оказывается медицинская помощь на дому, должен быть проинформирован о рисках заболевания COVID-19 и необходимости соблюдения рекомендаций по защите от инфекций, передающихся воздушно-капельным и контактным путем, особенностям ухода за пациентами больными указанной инфекцией, а также иметь информацию, что нарушение санитарно-эпидемиологических правил, повлекшее по неосторожности массовое заболевание, может повлечь привлечение к уголовной ответственности, предусмотренной статьей 236 Уголовного кодекса Российской Федерации.

9.6. МАРШРУТИЗАЦИЯ ПАЦИЕНТОВ, НУЖДАЮЩИХСЯ В ЭКСТРЕННОЙ ХИРУРГИЧЕСКОЙ ПОМОЩИ

Экстренная хирургическая помощь пациентам с COVID-19, находящимся на стационарном лечении

Пациентам, находящимся на стационарном лечении, специализированная экстренная хирургическая помощь оказывается в многопрофильной инфекционной больнице или перепрофилированном многопрофильном стационаре для оказания помощи больным с COVID-19 (в операционном блоке, оборудованном для проведения операций у пациентов с COVID-19). При необходимости, в инфекционный стационар может быть вызвана специализированная хирургическая бригада из другого учреждения, если профильных специалистов нет на месте.

В ряде случаев решение о переводе пациента с COVID-19 для экстренной хирургической помощи в иной специализированный инфекционный стационар или перепрофилированный многопрофильный стационар может быть принято в индивидуальном порядке с учетом возможности безопасной транспортировки при отсутствии обусловленной транспортировкой угрозы для жизни. Специализированные хирургические бригады могут быть использованы в тех случаях, когда в лечебном учреждении нет специалистов соответствующего профиля или квалификации.

Экстренная хирургическая помощь пациентам с COVID-19, находящимся на домашнем лечении

Пациента госпитализируют для оказания экстренной хирургической помощи в многопрофильную инфекционную больницу или перепрофилированный многопрофильный стационар для оказания помощи больным с COVID-19. При необходимости в стационар может быть вызвана специализированная хирургическая бригада. Специализированные хирургические бригады могут быть использованы в тех случаях, когда в лечебном учреждении нет специалистов соответствующего профиля или квалификации. В остальных случаях экстренная хирургическая помощь оказывается специалистами многопрофильной инфекционной больницы.

Экстренная хирургическая помощь пациентам без COVID-19, находящимся на карантине в домашних условиях

Пациент доставляется для оказания экстренной помощи в специализированную хирургическую больницу, имеющую возможность изолировать подозрительных (условно инфицированных) пациентов с дальнейшим переводом в инфекционное отделение для пациентов с внебольничной пневмонией. Пациенту в экстренном порядке выполняют КТ ОГК с использованием соответствующих мер безопасности как для больного, так и для медицинского персонала (обязательно использование СИЗ) и лабораторное обследование на COVID-19.

Решение о маршрутизации пациента должно приниматься на основании эпидемиологических и клинических данных. Кроме того, результаты тестирования не могут влиять на принятие решения о маршрутизации пациента. При отсутствии клинических симптомов ОРВИ или пневмонии экстренную хирургическую помощь оказывают в специализированном хирургическом стационаре (имеющем в своем составе мельцеровские боксы или инфекционное отделение для пациентов с внебольничной пневмонией). Оказание медицинской помощи проводится медицинским персоналом, не контактирующим с пациентами с COVID-19, если пациент был на карантине более 14 дней или у него 2 отрицательных теста на COVID-19.

При выявлении внебольничной пневмонии или положительном тесте на COVID-19 экстренную хирургическую помощь оказывают в многопрофильной инфекционной больнице или перепрофилированном многопрофильном стационаре для оказания помощи больным с COVID-19, куда, в случае необходимости, может быть вызвана специализированная хирургическая бригада. В случае жизнеугрожающей ситуации и невозможности транспортировки хирургическая помощь оказывается на месте, с соблюдением всех санитарно-эпидемиологических мероприятий. В послеоперационном периоде пациент помещается в изолированный бокс или боксированное отделение, откуда осуществляется перевод в инфекционный или перепрофилированный многопрофильный стационар для оказания помощи больным с COVID-19 после стабилизации состояния пациента.

Экстренная хирургическая помощь пациентам без COVID-19

Пациент доставляется бригадой скорой медицинской помощи в многопрофильную клинику, выделенную для оказания экстренной хирургической помощи пациентам без COVID-19, имеющую возможность изолировать больных, подозрительных на внебольничную пневмонию или ОРВИ.

Пациенту в экстренном порядке берут материал для лабораторного обследования на COVID-19 при наличии показаний выполняют РГ или КТ ОГК (с использованием соответствующих мер безопасности как для больного, так и для медицинского персонала). Сроки выполнения теста и его результаты не могут влиять на принятие решения о маршрутизации пациента. При отсутствии клинических признаков ОРВИ, пневмонии экстренную хирургическую помощь оказывают в специализированном хирургическом стационаре (имеющем в своем составе мельцеровские боксы или инфекционное отделение для пациентов с внебольничной пневмонией). Оказание медицинской помощи проводится медицинским персоналом, не контактирующим с пациентами с COVID-19, если пациент был на карантине более 14 дней или у него 2 отрицательных теста на COVID-19.

При выявлении внебольничной пневмонии, ОРВИ или положительном тесте на COVID-19 больной переводится для оказания экстренной хирургической помощи в многопрофильную инфекционную больницу или перепрофилированный многопрофильный стационар для оказания помощи больным с COVID-19, куда, в случае необходимости, может быть вызвана специализированная хирургическая бригада.

В случае жизнеугрожающей ситуации и невозможности транспортировки, помощь оказывается на месте с соблюдением всех санитарно-эпидемиологических мероприятий. В послеоперационном периоде пациент помещается в изолированный бокс или боксированное отделение, откуда осуществляется перевод в инфекционный или перепрофилированный многопрофильный стационар для оказания помощи больным с COVID-19 после стабилизации состояния.

Меры предосторожности для обеспечения безопасности медицинского персонала при оказании экстренной хирургической помощи

Образование мельчайших жидких частиц (аэрозолей) в ходе медицинских процедур может представлять угрозу для медицинского персонала из-за возможного содержания в аэрозоли SARS-CoV-2. Следующие процедуры считаются потенциально опасными в отношении образования аэрозолей, содержащих COVID-19:

- Эндоскопия верхних отделов ЖКТ, подразумевающая открытую аспирацию содержимого верхних дыхательных путей;

- Хирургические операции с использованием высокоскоростных устройств (пилы и пр.);

- Некоторые экстренные стоматологические манипуляции (например, высокоскоростное сверление);

- Неинвазивная вентиляция, например, двухуровневая вентиляция с положительным давлением в дыхательных путях и непрерывная вентиляция с положительным давлением в дыхательных путях, вентиляция высокочастотными колебаниями;

- Стимуляция отхождения мокроты;

- Высокопоточная назальная оксигенация.

Для пациентов с подозрительным или подтвержденным случаем COVID-19 любой из этих потенциально инфекционных процедур с образованием аэрозоли следует проводить только в случае крайней необходимости.

Рекомендуется, чтобы вентиляция как в ламинарном потоке, так и в обычных вентилируемых помещениях, была полностью включена во время хирургических манипуляций, особенно, если пациент инфицирован SARS-CoV-2. Максимальная вентиляция в операционной позволит защитить медицинский персонал от заражения вирусом. Воздух, выходящий из операционных в прилегающие больничные территории, будет сильно разбавлен и не должен рассматриваться в качестве возможного инфекционного агента.

Профилактика образования и высвобождения мельчайших жидких частиц (аэрозолей) в ходе хирургического вмешательств

Интраоперационное выделение хирургического дыма может нести в себе мельчайшие частицы вируса. С целью уменьшения выделения хирургического дыма, рекомендовано максимально снизить мощность электрокоагуляции. В ряде исследований было доказано, что в хирургическом дыме обнаруживаются коринебактерии, папилломавирус и ВИЧ. Известно, что концентрация дыма при проведении лапароскопической операции значительно выше, чем при открытых вмешательствах. Уменьшение пневмоперитонеума в конце операции позволяет в значительной степени снизить риск распространения мельчайших жидких частиц, особенно при резком извлечении троакаров и/или в ходе замены лапароскопических инструментов. С технической точки зрения должны применяться интеллектуальные проточные системы, позволяющие поддерживать внутрибрюшное давление на предельно низком уровне и эвакуирующим дым. Классические аспирационные системы, наоборот, подвержены более высокому риску передачи мельчайших частиц SARS-CoV-2.

Предпочтительно минимизировать различные манипуляции с кишечником, а также его вскрытие во время хирургических процедур, которые этого не предусматривают. Это особенно важно при выполнении лапароскопических манипуляций, чтобы снизить риск диффузии вируса в режиме инсуффляции CO2.

До настоящего момента не было ни одного факта передачи заболевания через мочу, тем не менее дренирование мочевого пузыря и/или мочеточника во время операций следует проводить с осторожностью, особенно в случае наличия пневмоперитонеума.

Защита медицинского персонала в операционных

Вся хирургическая бригада (включая хирургов, анестезиологов и медсестер) должна использовать дополнительные СИЗ при оперативных вмешательствах у больных с коронавирусной инфекцией. Защитные очки, маска FFP2/3 (в т.ч. маска с защитным козырьком) и защитная одежда (комбинезон) представляют собой необходимые предметы в случае выполнения любой инвазивной операции, выполняемой во время чрезвычайной ситуации с COVID-19. Хирурги должны минимизировать любые контакты с биологическими жидкостями пациента. Также необходимо проводить тщательную очистку и дезинфекцию всего оборудования, в том числе лапароскопических, эндоскопических стоек и хирургических консолей.

10. ПРАВИЛА ФОРМУЛИРОВКИ ДИАГНОЗА, КОДИРОВАНИЯ ПО МКБ-10 И УЧЕТ ПАЦИЕНТОВ С COVID-19 В ИНФОРМАЦИОННОМ РЕСУРСЕ

Для обеспечения достоверного статистического учета при наличии у пациента коронавирусной инфекции, или подозрения на нее, заключительный клинический, патологоанатомический и судебно-медицинский диагнозы должны быть сформулированы в соответствии с правилами МКБ-10.

В статистике заболеваемости в конце эпизода оказания медицинской помощи из нескольких имеющихся у пациента заболеваний при прочих равных условиях должно быть выбрано только одно заболевание в качестве основного, на долю которого пришлась наибольшая часть использованных ресурсов (том 2, стр. 107).

Кодирование статистической информации при наличии подозрения или установленного диагноза COVID-19 осуществляется в соответствии с нижеследующим порядком:

U07.1 - Коронавирусная инфекция COVID-19, вирус идентифицирован (подтвержден лабораторным тестированием независимо от тяжести клинических признаков или симптомов)

U07.2 - Коронавирусная инфекция COVID-19, вирус не идентифицирован (COVID-19 диагностируется клинически или эпидемиологически, но лабораторные исследования неубедительны или недоступны)

Z03.8 - Наблюдение при подозрении на коронавирусную инфекцию

Z22.8 - Носительство возбудителя коронавирусной инфекции

Z20.8 - Контакт с больным коронавирусной инфекцией

Z11.5 - Скрининговое обследование с целью выявления коронавирусной инфекции

B34.2 - Коронавирусная инфекция неуточненная (кроме COVID-19)

B33.8 - Коронавирусная инфекция уточненная (кроме COVID-19)

Z29.0 - Изоляция

При наличии пневмонии, вызванной COVID-19, рубрики J12 - J18 используются в качестве дополнительных кодов. При летальных исходах рубрики XXI класса МКБ-10 не используются.

Первичная медицинская документация (Талон пациента, получающего медицинскую помощь в амбулаторных условиях - форма N 025-1/у; Статистическая карта выбывшего из стационара - форма N 066/у) заполняется в установленном порядке. Дополнительные коды проставляются ручным способом в правом верхнем углу.

Примеры формулировки диагнозов и кодирование COVID-19 по МКБ-10:

Пример 1.

Основное заболевание: Коронавирусная инфекция COVID-19 (подтвержденная), среднетяжелая форма U07.1.

Осложнения: Двусторонняя пневмония, острый респираторный дистресс-синдром, острая дыхательная недостаточность.

Сопутствующие заболевания: Постинфарктный кардиосклероз. Артериальная гипертензия.

Пример 2.

Основное заболевание: Подозрение на коронавирусную инфекцию, тяжелое течение U07.2.

Фоновое заболевание: Сахарный диабет 2 типа с ангиопатией.

Осложнения: Двусторонняя пневмония, острая дыхательная недостаточность.

Сопутствующие заболевания: Сахарный диабет 2 типа с ангиопатией.

Пример 3. (только для этапного клинического диагноза).

Основное заболевание: Контакт с больным коронавирусной инфекцией Z20.8.

Сопутствующие заболевания: Артериальная гипертензия.

От правильности формулировки заключительного клинического, патологоанатомического или судебно-медицинского диагноза зависит кодирование и выбор первоначальной причины смерти.

В разных странах существует разный подход к формулировке патологоанатомического диагноза, выбору и учету причин смерти от COVID-19, что, вероятно, объясняет существенные различия в статистике смертности. Единые международные рекомендации для COVID-19 представлены в рекомендациях ВОЗ от 16 - 20.04.2020. Предварительный и окончательный патологоанатомические диагнозы формулируются в соответствии с приказом МЗ РФ от 06.06.2013 N 354 "О порядке проведения патолого-анатомических вскрытий" и клиническими рекомендациями Российского общества патологоанатомов "Формулировка патологоанатомического диагноза при некоторых инфекционных и паразитарных болезнях" RPSA.1(2016), причем окончательный - после завершения гистологического исследования и получения результатов лабораторных исследований. Проводится консультирование наблюдений ведущим специалистом по инфекционной патологии субъекта Российской Федерации, определенным его исполнительным органом в области здравоохранения, а, при необходимости, и ведущими специалистами страны из числа членов рабочей группы главного патологоанатома Минздрава России.

Следует различать при формулировке диагноза и оформления медицинского свидетельства о смерти:

Официальный источник электронного документа содержит неточность: имеется в виду Приказ Минздрава РФ от 06.06.2013 N 354н.

- Наступление летального исхода от COVID-19, когда COVID-19 является основным заболеванием (первоначальной причиной смерти);

- Наступление летального исхода от других тяжелых ранее существовавших заболеваний, при наличии ("присоединении") инфекции, вызванной SARS-CoV-2, но без таких ее клинико-морфологических проявлений, которые могли бы стать самостоятельной причиной смерти (в т.ч. при не тяжелой пневмонии и других смертельных проявлений). При этом COVID-19 является "катализатором" обострения и неблагоприятного течения ранее существовавших болезней органов кровообращения, онкологических и других заболеваний. Следует также анализировать возможность развития ятрогенных осложнений. В таких ситуациях COVID-19 не должен расцениваться как основное заболевание (первоначальная причина смерти) и указывается в диагнозе как коморбидное (чаще сочетанное) заболевание.

- Наступление летального исхода от различных альтернативных COVID-19 причин - несовместимых с жизнью заболеваний и их осложнений (а также травм). В таких ситуациях COVID-19 не должен расцениваться как основное заболевание (первоначальная причина смерти) и указывается в диагнозе как коморбидное (чаще сочетанное) или сопутствующее заболевание.

При формулировке патологоанатомического диагноза и оформлении медицинского свидетельства о смерти важно следовать международным рекомендациям ВОЗ, хотя некоторые из них противоречат основам патологии. ОРДС, являющийся клиническим проявлением диффузного альвеолярного повреждения, рекомендовано указывать как осложнение COVID-19, хотя оно представляет собой его морфологический субстрат. Кроме того, в России не предусмотрено применение дополнительных вторых кодов при шифровке по МКБ-10 разных заболеваний, поэтому при прогрессировании вирусной или вирусно-бактериальной пневмонии у умерших с COVID-19 требуется указывать ее в рубрике диагноза "Осложнения основного заболевания" и строке "б)" части I медицинского свидетельства о смерти (в строке "а" указывается при этом ОРДС или острая респираторная недостаточность, а в строке "в" - новая коронавирусная инфекция с кодами U07.1 или U07.2). Общеприняты следующие осложнения, которые также могут рассматриваться как непосредственная причина смерти:

- Дыхательная недостаточность (по сути, еще один синоним ОРДС);

- Острая сердечная недостаточность;

- Острая почечная недостаточность;

- Сепсис, инфекционно-токсический (септический) шок;

- Тромбозы и тромбоэмболии, ДВС-синдром;

- Полиорганная недостаточность;

- Вторичные бактериальные инфекции.

Примеры формулировки патологоанатомических или судебно-медицинских диагнозов (в сокращенном, не развернутом виде) и кодирования по МКБ-10 причин смерти при COVID-19:

Пример 1.

Патологоанатомический диагноз (предварительный, окончательный)

Основное заболевание: Новая коронавирусная инфекция, подтвержденная ПНР тестом (номер, дата). U07.1.

Осложнения: Внебольничная двусторонняя долевая пневмония J18.1. Острый респираторный дистресс-синдром J80.X

Реанимационные мероприятия и интенсивная терапия: Фибринозно-гнойный трахеобронхит после интубации трахеи, трахеостомии (дата) и ИВЛ в течение суток.

Сопутствующие заболевания: Хроническая ишемия головного мозга. Артериальная гипертензия.

Пример 2.

Патологоанатомический диагноз (предварительный, окончательный)

Основное заболевание: Новая коронавирусная инфекция, не подтвержденная ПЦР тестом U07.2.

Фоновое заболевание: Сахарный диабет 2 типа с ангиопатией.

Сопутствующие заболевания: Постинфарктный кардиосклероз.

Осложнения: Внебольничная двусторонняя бронхопневмония J18.0. Острый респираторный дистресс-синдром J80.X. ДВС-синдром. Очаги повреждения (метаболические) миокарда.

Сопутствующие заболевания: Постинфарктный кардиосклероз.

Пример 3

Патологоанатомический диагноз (предварительный, окончательный)

Основное заболевание: Острый трансмуральный инфаркт миокарда типа 1 I21. Стенозирующий атеросклероз коронарных артерий сердца... осложненная нестабильная атеросклеротическая бляшка...

Фоновое заболевание: Гипертоническая болезнь I10.

Сочетанное заболевание: Новая коронавирусная инфекция, подтвержденная ПЦР тестом (номер, дата) U07.1.

Осложнения основного заболевания: Острое общее венозное полнокровие... Отек головного мозга.

Реанимационные мероприятия и интенсивная терапия: ИВЛ _ сут. Левосторонняя нижнедолевая очагово-сливная бронхопневмония после интубации трахеи и ИВЛ.

Пример 4

Патологоанатомический диагноз (предварительный, окончательный)

Основное заболевание: Хроническая (постинфарктная) аневризма сердца... I25.3. Стенозирующий атеросклероз коронарных артерий (...).

Фоновое заболевание: Гипертоническая болезнь (масса сердца, толщина миокарда левого желудочка более 1,5 см) I10, артериолосклеротический нефросклероз...

Осложнения основного заболевания: Хроническое общее венозное полнокровие. Инфаркт миокарда типа 2.... Отек легких.

Реанимационные мероприятия и интенсивная терапия:....

Сопутствующие заболевания: Новая коронавирусная инфекция, подтвержденная ПЦР тестом (номер, дата).

Примеры оформления медицинских свидетельств о смерти по МКБ-10:

Пример 1.

I

а) Острый респираторный дистресс-синдром J80.X

б) Бронхопневмония J18.0

в) Новая коронавирусная инфекция, подтвержденная вирусологически U07.1

II Рак дна желудка без метастазов C16.1

Пример 2.

I

а) Отек легкого J81.X

б) Бронхопневмония J18.0

в) Рак дна желудка C16.1

II Новая коронавирусная инфекция, подтвержденная вирусологически U07.1

Пример 3.

I

а) отек легкого J81.X

б) бронхопневмония J18.0

в) Острый инфаркт миокарда I21

II Гипертоническая болезнь I10.X

Новая коронавирусная инфекция, подтвержденная вирусологически U07.1

В целях сбора сведений информации о пациентах с новой коронавирусной инфекцией, а также лицах с пневмонией, в том числе находящихся на амбулаторном лечении, разработана информационная система для (далее - информационный ресурс), которая размещена по адресу: https://covid.egisz.rosminzdrav.ru/.

В соответствии с постановлением Правительства Российской Федерации от 31.03.2020 N 373 "Об утверждении временных правил учета информации в целях предотвращения распространения новой коронавирусной инфекции (COVID-19)" необходимо обеспечить предоставление медицинскими организациями сведений о лицах с установленным диагнозом новой коронавирусной инфекции (COVID-19) и лицах с признаками пневмонии. Сведения направляются в соответствии с порядком, изложенным в инструкции по внесению сведений в информационный ресурс, размещенной по адресу http://portal.egisz.rosminzdrav.ru/materials/3557, в установленные сроки:

- В течение 2 ч с момента установления диагноза новой коронавирусной инфекции (COVID-19) или госпитализации пациента с признаками пневмонии;

- В течение 2 ч с момента получения результатов лабораторных исследований.

При внесении информации о пациенте необходимо указать:

а) Дату появления клинических симптомов;

б) Диагноз (указывается код по МКБ-10);

в) Дату постановки диагноза;

г) Наличие сопутствующих (коморбидных) заболеваний:

- Хронических заболеваний бронхолегочной системы;

- Хронических заболеваний сердечно-сосудистой системы;

- Хронических заболеваний эндокринной системы;

- Онкологических заболеваний;

- ВИЧ-инфекции;

- туберкулеза;

- иных заболеваний.

д) Наличие беременности;

е) Сведения о вакцинации (грипп и пневмококковая инфекция (при наличии);

В ежедневном режиме необходимо обеспечить обновление медицинской информации о пациенте

а) Сведения о проводимом лечении:

- Противовирусное лечение;

- Респираторная поддержка (ИВЛ, ЭКМО);

з) Уровень сатурации кислорода в крови;

В электронном документе нумерация подпунктов соответствует официальному источнику.

и) Тяжесть течения заболевания.

В случае смерти пациента

а) В течение суток заполняется раздел "Заключительный клинический диагноз":

- Основное заболевание;

- Осложнения основного заболевания (при наличии);

- Коморбидные и сопутствующие заболевания (при наличии).

б) В течение суток с момента проведения вскрытия заполняется раздел "предварительный патологоанатомический (судебно-медицинский) диагноз" по результатам первого этапа патологоанатомического или судебно-медицинского исследования:

- Основное заболевание;

- Осложнения основного заболевания (при наличии);

- Коморбидные и сопутствующие заболевания (при наличии);

- Скан-копия первой части протокола патологоанатомического вскрытия или выписка из результатов наружного и внутреннего судебно-медицинского исследования, содержащая патологические изменения, которые легли в основу постановки судебно-медицинского диагноза.

в) "Медицинское свидетельство о смерти": (пункт 19)

Часть I

Строка "а" Болезнь или состояние, непосредственно приведшее к смерти;

Строка "б" Патологическое состояние, которое привело к возникновению вышеуказанной причины (при наличии);

Строка "в" или "б", если последняя не была заполнена - Первоначальная причина смерти;

Строка "г" Внешняя причина при травмах и отравлениях (при наличии);

Часть II. Прочие важные состояния, способствовавшие смерти, но не связанные с болезнью или патологическим состоянием (при наличии);

г) После завершения патологоанатомического или судебно-медицинского исследования заполняется раздел "заключительный патологоанатомический (судебно-медицинский) диагноз"

- Скан-копия медицинского свидетельства о смерти;

- Основное заболевание;

- Осложнения основного заболевания (при наличии);

- Коморбидные и сопутствующие заболевания (при наличии);

- Скан-копия второй части протокола патологоанатомического исследования или выписка из результатов дополнительных лабораторных исследований в случае проведения судебно-медицинского исследования;

д) При внесении изменений в первое (предварительное или окончательное) "Медицинское свидетельство о смерти" (при необходимости в случае оформления повторного свидетельства взамен предварительного или окончательного), приложить скан-копию повторного медицинского свидетельства о смерти.

Для получения доступа к информационному ресурсу необходимо направить заявку на предоставление доступа по форме, приведенной в инструкции, на адрес электронной почты egisz@rt-eu.ru.

Использованные источники

1. Abramowicz J.S., Basseal J. Заявление о позиции WFUMB: как безопасно проводить ультразвуковое исследование и обеззараживать ультразвуковое оборудование в условиях COVID-19//Ультразвуковая и функциональная диагностика. 2020. N 1. С. 12 - 23. Doi: 10.24835/1607- 0771-2020-1-12-23. Опубликовано до печати. Режим доступа://http://www.rasudm.org/files/WFUMB-Position-Statement-COVID.pdf, свободный. Загл. с экрана. 16.04.2020.

2. Ai T. et al. Correlation of Chest CT and RT-PCR Testing in Coronavirus Disease 2019 (COVID-19) in China: A Report of 1014 Cases [published online ahead of print, 2020 Feb 26]//Radiology. 2020.200642. Doi: 10.1148/radiol.2020200642.

3. Al-Tawfiq J. A., Memish Z. A. Update on therapeutic options for Middle East Respiratory Syndrome Coronavirus (MERS-CoV)//Expert review of anti-infective therapy. 2017. 15. N 3. C. 269 - 275.

4. Alserehi H. et al. Impact of Middle East respiratory syndrome coronavirus (MERS-CoV) on pregnancy and perinatal outcome//BMC Infect Dis. 2016. N 16, p. 105

5. Assiri A. et al. Middle East respiratory syndrome coronavirus infection during pregnancy: a report of 5 cases from Saudi Arabia//Clin Infect Dis. 2016. N 63. pp. 951 - 953

6. Baig A.M. et af. Evidence of the COVID-19 Virus Targeting the CNS: Tissue Distribution, Host-Virus Interaction, and Proposed Neurotropic Mechanisms. ACS Chem. Neurosci. 2020. doi:10.1021/acschemneuro.0c00122.

7. Bassetti M. The Novel Chinese Coronavirus (2019-nCoV) Infections: challenges for fighting the storm https://doi.org/10.1111/eci.13209 URL: https://onlinelibrary.wiley.com/doi/abs/10.11111/eci.13209

8. Behzadi M.A., Leyva-Grado V.H. Overview of Current Therapeutics and Novel Candidates Against Influenza, Respiratory Syncytial Virus, and Middle East Respiratory Syndrome Coronavirus Infections//Frontiers in microbiology. 2019. N 10. p. 1327.

9. Beloncle F, Mercat A Approaches and Techniques to Avoid Development or Progression of Acute Respiratory Distress Syndrome Review Curr Opin Crit Care 2018 Feb;24(l):10-15. doi: 10.1097/MCC.0000000000000477.

10. Benefits, Open questions and Challenges of the use of Ultrasound in the COVID-19 pandemic era. The views of a panel of worldwide international experts [published online ahead of print, 2020 Apr 15]//Ultraschall Med. 2020;10.1055/a-1149-9872. Doi: 10.1055/a-1149-9872.

11. Bernheim A. et al. Chest CT Findings in Coronavims Disease-19 (COVID-19): Relationship to Duration of Infection. Radiology. 2020:200463. doi:10.1148/radiol.2020200463.

12. Canada.ca. 2019 novel coronavirus: Symptoms and treatment The official website of the Government of Canada URL: https://www.canada.ca/en/public-health/services/diseases/2019-novel-coronavirusinfection/symptoms.html

13. Carmeli Y. et al. Health and economic outcomes of antibiotic resistance in Pseudomonas aeruginosa. Arch Intern Med. 1999 May 24; 159(10):1127-32.

14. CDC. 2019 Novel Coronavirus URL: https://www.cdc.gov/coronavirus/2019-ncov/index.html

15. Chaolin H. et al. Clinical features of patients infected with 2019 novel coronavirus in Wuhan, China? Lancet 2020; 395: 497-506 Published Online January 24, 2020 https://doi.org/10.1016/ S0140-6736(20)30183-5

16. Chaomin Wu et al. Risk Factors Associated With Acute Respiratory Distress Syndrome and Death in Patients With Coronavirus Disease 2019 Pneumonia in Wuhan, China. JAMA Intern Med. Published online March 13, 2020. doi:10.1001/jamainternmed.2020.099

17. Chen N. et al. Epidemiological and clinical characteristics of 99 cases of 2019 novel coronavirus pneumonia in Wuhan, China: a descriptive study//Lancet. 2020. doi: 10.1016/S0140-6736(20)30211-7

18. China CDC. Diagnosis and treatment protocolfor COVID-19 patients (trial version 7, revised)

19. Chong Y.P. et al. Antiviral Treatment Guidelines for Middle East Respiratory Syndrome//Infection & chemotherapy. 2015. 47. N 3. pp. 212 - 222.

20. Chung M. et al. CT Imaging Features of 2019 Novel Coronavirus (2019-nCoV)//Radiology. 2020. V. 295. No. 1. P. 202 - 207. Doi: 10.1148/radiol.2020200230.

21. Cinatl J. et al. Treatment of SARS with human interferons//Lancet. 2003. 362. N 9380. pp. 293 - 294.

22. Clinical management of severe acute respiratory infection when Middle East respiratory syndrome coronavirus (MERS-CoV) infection is suspected: Interim Guidance. Updated 2 July 2015. WHO/MERS/Clinical/15.1

23. Colson, P., Rolain, J. M., Lagier, J. C., Brouqui, P., & Raoult, D. Chloroquine and hydroxychloroquine as available weapons to fight COVID-19 International Journal of Antimicrobial Agents 2020.

24. Commonwealth of Australia | Department of Health. Novel coronavirus (2019-nCoV) URL: https://www.health.gov.au/health-topics/novel-coronaviras-2019-ncov

25. Corman V. M. et al. Detection of 2019 novel coronavirus (2019-nCoV) by real-time RT-PCR//Eurosurveillance. 2020.(3)25. doi: 10.2807/1560-7917.ES

26. Coronavirus. URL: https://multimedia.scmp.com/widgets/china/wuhanvirus/?fbclid=IwAR2hDHzpZEh5Nj360i2O%201ES 78rXRFymAaFaUK6ZG4m0UTCVlxozulxXljio COVID Care Protocol. Last Updated 05-11-2020 3:15 p.m. https://www.evms.edu/covid-19/covid_care_for_clinicians/#covidcare

27. Cortegiani, A., Ingoglia, G., Ippolito, M., Giarratano, A., & Einav, S. (2020). A systematic review on the efficacy and safety of chloroquine for the treatment of COVID-19. Journal of Critical Care.

28. Critical Care COVID-19 Management Protocol (updated 4-15-2020), file:///C:/Users/ASUS/AppData/Local/Packages/Microsoft.MicrosoftEdge_8wekyb3d8bbwe/TempState/Downloads/Marik-Covid-Protocol-Surmnarv%20(2).pdf.

29. Dayer M.R. et al. Lopinavir; A Potent Drug against Coronavirus Infection: Insight from Molecular Docking Study // Arch Clin Infect Dis. 2017; 12(4):e13823. doi: 10.5812/archcid.13823

30. Devaux CA, Rolain JM, Colson P, Raoult D. New insights on the antiviral effects of chloroquine against coronavirus: what to expect for COVID-19? Int J Antimicrob Agents. 2020 Mar 12:105938. doi: 10.1016/j.ijantimicag.2020.105938.

31. Dyall J. et al. Middle East Respiratory Syndrome and Severe Acute Respiratory Syndrome: Current Therapeutic Options and Potential Targets for Novel Therapies // Drugs. 2017. 77. N 18. C. 1935 - 1966.

32. European Commission. Novel coronavirus 2019-nCoV URL: https://ec.europa.eu/health/coronavirus_en

33. Fan HH. et al. Repurposing of clinically approved drugs for treatment of coronavirus disease 2019 in a 2019-novel coronavirus (2019-nCoV) related coronavirus model. Chin Med J (Engl). 2020 Mar 6. doi: 10.1097/CM9.0000000000000797

34. Fang Y. et al. Sensitivity of Chest CT for COVID-19: Comparison to RT-PCR [published online ahead of print, 2020 Feb 19] // Radiology. 2020. 200432. Doi: 10.1148/radiol.2020200432.

35. FDA. Novel coronavirus (2019-nCoV) URL: https://www.fda.gov/emergency-preparedness-andresponse/mcm-issues/novel-coronavirus-2019-ncov

36. Federal Ministry of Health. Current information on the coronavirus URL: https://www.bundesgesundheitsministerium.de/en/en/press/2020/coronavirus.html

37. Franquet T. Imaging of pulmonary viral pneumonia // Radiology. 2011. V. 260. No. 1. P. 18 - 39. Doi: 10.1148/radiol.11092149.

38. Gao, J., Tian, Z., & Yang, X. Breakthrough: Chloroquine phosphate has shown apparent efficacy in treatment of COVID-19 associated pneumonia in clinical studies. BioScience Trends 2020.

39. Gautret F., Lagier J-C., Parola P. et al. Hydroxychloroquine and azithromycin as a treatment of COVID19: results of an openlabel non-randomized clinical trial. International Journal of Antimicrobial Agents. In Press 17 March 2020 - DOI: 10.1016/j.ijantimicag.2020.105949

40. Gorbalenya A.E. et al. Severe acute respiratory syndrome-related coronavirus: The species and its viruses - a statement of the Coronavirus Study Group, 2020. doi: https://doi.org/10.1101/2020.02.07.937862

41. Halyabar O. et al. Calm in the midst of cytokine storm: a collaborative approach to the diagnosis and treatment of hemophagocytic lymphohistiocytosis and macrophage activation syndrome, Pediatric Rheumatology, https://ped-rheum.biomedcentral.eom/articles/10.1186/sl2969-019-0309-6

42. Hart B.J. et al. Interferon - B and mycophenolic acid are potent inhibitors of Middle East respiratory syndrome coronavirus in cell-based assays // The Journal of general virology. 2014. 95. Pt 3. C. 571-577.

43. Henderson L.A. et al. On the Alert for Cytokine Storm: Immunopathology in COVID-19 Arthritis & Rheumatology Vol. 0, No. 0, Month 2020, pp 1 - 5 DOI 10.1002/art.41285

44. https://grls.rosminzdrav.ru/Grls_View_v2.aspxroutingGuid=4a3c02bc-a256-48f2-90a8-14b48b7d197c&t=

45. https://www.vmeda.org/wp-content/uploads/2020/03/koronavirus-metod-rekomendaczii.pdf

46. Huang C. et al. Cinical features of patients infected with 2019 novel coronavirus in Wuhan, China // Lancet. 2020 doi: 10.1016/S0140-6736(20)30183-5. [Epub ahead of print]

47. Infectious Diseases Society of America Guidelines on the Treatment and Management of Patients with COVID-19. Published by IDSA, https://www.idsociety.org/practice-guideline/covid-19-guideline-treatment-and-management/, [COVID-19 Guideline, Part 1: Treatment and Management]

48. Inui S. et al. Chest CT Findings in Cases from the Cruise Ship "Diamond Princess" with Coronavirus Disease 2019 (COVID-19). Radiology: Cardiothoracic Imaging. 2020;2:e200110. doi: 10.1148/ryct.2020200110.

49. Jeong S.Y. et al. MERS-CoV Infection in a Pregnant Woman in Korea. J Korean Med Sci. 2017 Oct;32(10): 1717 - 1720. doi: 10.3346/jkms.2017.32.10.1717.

50. Jesu V. et al. Rationale for Prolonged Corticosteroid Treatment in the Acute Respiratory Distress Syndrome Caused by Coronavirus Disease 2019. ritical Care Explorations: April 2020 - Volume 2 - Issue 4 - p e0111 doi: 10.1097/CCE.0000000000000111

51. Ji W. et al. Homologous recombination within the spike glycoprotein of the newly identified coronavirus may boost cross-species transmission from snake to human //Journal of Medical Virology. - 2020.

52. Junqiang L. et al. CT Imaging of the 2019 Novel Coronavirus (2019-nCoV) Pneumonia https://doi.org/10.1148/radiol.2020200236 URL: https://pubs.rsna.org/doi/10.1148/radiol.2020200236

53. Kligerman S.J., Franks T.J., Galvin J.R. From the radiologic pathology archives: organization and fibrosis as a response to lung injury in diffuse alveolar damage, organizing pneumonia, and acute fibrinous and organizing pneumonia // Radiographics. 2013. V. 33. No. 7. P. 1951 - 1975. Doi: 10.1148/rg.337130057.

54. Kumar B. et al. A Personalized Diagnostic and Treatment Approach for Macrophage Activation Syndrome and Secondary Hemophagocytic Lymphohistiocytosis in Adults. Journal of Clinical Immunology, volume 37, pages 638 - 643(2017), https://link.springer.com/article/10.1007/s10875-017-0439-x

55. Le Chang et al. Coronavirus Disease 2019: Coronaviruses and Blood Safety. Transfusion Medicine Reviews 2020. doi:10.1016/j.tmrv.2020.02.003.

56. Lee Kyung Soo. Pneumonia Associated with 2019 Novel Coronavirus: Can Computed Tomographic Findings Help Predict the Prognosis of the Disease? Korean Journal of Radiology(2020), 21 (3):257

57. Li Q et al. Early Transmission Dynamics in Wuhan, China, of Novel Coronavirus-Infected Pneumonia N Engl J Med. 2020 Jan 29. doi: 10.1056/NEJMoa2001316

58. Li X et al. Potential of large 'first generation' human-to-human transmission of 2019-nCoV. J Med Virol. 2020 Jan 30. doi: 10.1002/jmv.25693. [Epub ahead of print]

59. Lu H. Drug treatment options for the 2019-new coronavirus (2019-nCoV). Biosci Trends. 2020 Jan 28. doi: 10.5582/bst.2020.01020. [Epub ahead of print]

60. Lu W., Zhang S., Chen B. et al. A Clinical Study of Noninvasive Assessment of Lung Lesions in Patients with Coronavirus Disease-19 (COVID-19) by Bedside Ultrasound [published online ahead of print, 2020 Apr 15] // Ultraschall Med. 2020; 10.1055/a-1154-8795. Doi: 10.1055/a-1154-8795.

61. Ludvigsson JF. Systematic review of COVID-19 in children show milder cases and a better prognosis than adults https://doi.org/10.1111/apa.15270

62. Lupia T., Scabini S., Pinna S.M., Di Perri G., De Rosa F.G., Corcione S. 2019 novel coronavirus (2019-nCoV) outbreak: A new challenge, Journal of Global Antimicrobial Resistance 21(2020)22 - 27

63. Mandell L.A. et al. Infectious Diseases Society of America/American Thoracic Society consensus guidelines on the management of community-acquired pneumonia in adults // Clinical infectious diseases. - 2007. - T. 44. - N. Supplement_2. -/pp. S27 - S72.

64. Mao L. et al. Neurological Manifestations of Hospitalized Patients with COVID-19 in Wuhan, China: A retrospective case series study; 2020. doi: https://doi.org/10.1101/2020.02.22.20026500

65. Maude S.L. et al. Managing Cytokine Release Syndrome Associated With Novel T Cell-Engaging Therapies Cancer J. 2014 Mar-Apr; 20(2): 119-122. doi: 10.1097/PPO.0000000000000035

66. Mehta P, et al. COVID-19: consider cytokine storm syndromes and immunosuppression. Lancet. 2020 Mar 28;395(10229):1033-1034. doi: 10.1016/S0140-6736(20)30628-0. Epub 2020 Mar 16.

67. Ministere des Solidarites et de la Sante Coronavirus: questions-reponses URL: https://solidaritessante.gouv.fr/soins-et-maladies/maladies/maladies-infectieuses/coronavirus/coronavirus-questionsreponses

68. Mo Y., Fisher D.A. review of treatment modalities for Middle East Respiratory Syndrome // The Journal of antimicrobial chemotherapy. 2016. 71. N 12. pp. 3340 - 3350.

69. Momattin H. et al. Therapeutic options for Middle East respiratory syndrome coronavirus (MERS-CoV)-possible lessons from a systematic review of SARS-CoV therapy. Int J Infect Dis. 2013 Oct;17(10):e7928

70. National Health Commission of the People's Republic of China. URL: http://en.nhc.gov.cn

71. Netland J. Severe Acute Respiratory Syndrome Coronavirus Infection Causes Neuronal Death in the Absence of Encephalitis in Mice Transgenic for Human ACE2. J Virol. 2008;82:7264-75. doi: 10.1128/JVI.00737-08.

72. NHS. Coronavirus (2019-nCoV) URL: https://www.nhs.uk/conditions/wuhan-novel-coronavirus/

73. Omrani A.S. et al. Ribavirin and interferon alfa-2a for severe Middle East respiratory syndrome coronavirus infection: a retrospective cohort study //The Lancet Infectious Diseases. 2014. T. 14. N. 11. pp. 1090 - 1095.

74. Outbreak of acute respiratory syndrome associated with a novel coronavirus, China: fust local transmission in the EU/EEA - third update URL: https://www.ecdc.europa.eu/sites/default/files/documents/novel-coronavirus-risk-assessment-china-31january-2020_0.pdf

75. PanF. etal. Time Course of Lung Changes On Chest CT During Recovery From 2019 Novel Coronavirus (COVID-19) Pneumonia [published online ahead of print, 2020 Feb 13] // Radiology. 2020. 200370. Doi: 10.1148/radiol.2020200370.

76. Park M.H. et al. Emergency cesarean section in an epidemic of the Middle East respiratory syndrome: a case report Korean J Anesthesiol, 69 (2016), pp. 287 - 291, doi: 10.4097/kjae.2016.69.3.287

77. Paul La Rosee et al. Recommendations for the management of hemophagocytic lymphohistiocytosis in adults. Blood (2019) 133 (23): 2465 - 2477. https://doi.org/10.1182/blood.2018894618

78. Phan L. T. et al. Importation and Human-to-Human Transmission of a Novel Coronavirus in Vietnam //New England Journal of Medicine. - 2020.

79. Phylogeny of SARS-like betacoronaviruses including novel coronavirus (nCoV). URL: https://nextstrain.org/groups/blab/sars-like-cov

80. Pogue J., Kaye K., Veve M., et al. "Real World" treatment of multi-drug resistant (MDR) or extensively-drug resistant (XDR) P. aeruginosa infections with ceftolozane/tazobactam (C/T) versus a polymyxin or aminoglycoside (Poly/AG) based regimen: a multicenter comparative effectiveness study. Proceedings of the IDweek 2018, October 3 - 7. San Francisco. USA. Poster/Abstract 2406.

81. Public Health England. Investigation and initial clinical management of possible cases of novel coronavirus (2019-nCoV) infection URL: https://www.gov.uk/government/publications/wuhan-novelcoronavirus-initial-investigation-of-possible-cases/investigation-and-initial-clinical-management-ofpossible-cases-of-wuhan-novel-coronavirus-wn-cov-infection

82. Revel M.-P., Parkar A.P., Prosch H. et al. COVID-19 patients and the Radiology department - advice from the European Society of Radiology (ESR) and the European Society of Thoracic Imaging (ESTI) // Eur. Radio. Accepted on April 2, 2020.

83. Richardson P, Griffin I, Tucker C.. Smith D.. Oechsle O., Phelan A, Stebbing J.Baricitinib as potential treatment for 2019-nCoV acute respiratory disease. Lancet. 2020 Feb 15;395(10223):e30-e31. doi: 10.1016/S0140-6736(20)30304-4.

84. Rodriguez-Morales A. et al. Clinical, laboratory and imaging features of COVID-19: A systematic review and meta-analysis. Travel Medicine and Infectious Disease, Volume 34, March - April 2020, 101623 https://doi.org/10.1016/j.tmaid.2020.101623

85. Royal Pharmaceutical Society of Great Britain Trading as Royal Pharmaceutical Society. Wuhan novel coronavirus URL: https://www.rpharms.com/resources/pharmacy-guides/wuhan-novel-coronavirus

86. Rubin G.D., Ryerson C.J., Haramati L.B. et al. The Role of Chest Imaging in Patient Management during the COVID-19 Pandemic: A Multinational Consensus Statement from the Fleischner Society [published online ahead of print, 2020 Apr 7]//Radiology. 2020;201365. Doi: 10.1148/radiol.2020201365.

87. Seif F, Aazami H, Khoshmirsafa M, Kamali M, Mohsenzadegan M, Pornour M, Mansouri D. JAK Inhibition as a New Treatment Strategy for Patients with COVID-19. Int Arch Allergy Immunol. 2020 May 11:1-9. doi: 10.1159/000508247.

88. Shannon L. Maude et al. Chimeric Antigen Receptor T Cells for Sustained Remissions in Leukemia. N Engl J Med 2014;371:1507-17. DOI: 10.1056/NEJMoa1407222

89. Simone S. et al. Acute myocarditis presenting as a reverse Tako-Tsubo syndrome in a patient with SARS-CoV-2 respiratory infection. European Heart Journal, Volume 41, Issue 19, 14 May 2020, Pages 1861 - 1862, https://doi.org/10.1093/eurheartj/ehaa286

90. Soldati G., Smargiassi A., Inchingolo R. et al. Proposal for International Standardization of the Use of Lung Ultrasound for Patients With COVID-19: A Simple, Quantitative, Reproducible Method [published online ahead of print, 2020 Mar 30]//J. Ultrasound Med. 2020;10.1002/jum.15285. Doi: 10.1002/jum.15285.

91. Spinelli FR, Conti F, Gadina M. HiJAKing SARS-CoV-2? The potential role of JAK inhibitors in the management of COVID-19. Sci Immunol. 2020 May 8;5(47). piieabc5367. doi: 10.1126/sciimmunol.abc5367.

92. Tang N, Bai H, Chen X, Gong J, Li D, Sun Z. Anticoagulant treatment is associated with decreased mortality in severe coronavirus disease 2019 patients with coagulopathy. J Thromb Haemost. 2020 Mar 27. doi: 10.1111/jth.14817.

93. The Centers for Disease Control and Prevention (CDC). Interim guidance for healthcare professionals on human infections with 2019 novel coronavirus (2019-nCoV). URL: https://www.cdc.gov/coronavirus/2019-nCoV/hcp/index.html

94. The State Council The People's Republic Of China URL: http://english.www.gov.cn/

95. Touret, F., de Lamballerie, X. Of chloroquine and COVID-19. Antiviral Research, 104762.

96. Upchurch C.P. et al. Community-acquired pneumonia visualized on CT scans but not chest radiographs: pathogens, severity, and clinical outcomes //Chest. - 2018. - T. 153. - N 3 - pp. 601 - 610.

97. Villar J,,et al.; Dexamethasone treatment for the acute respiratory distress syndrome: a multicentre, randomised controlled trial. Lancet Respir Med. 2020 Feb 7.

98. Wang L C-reactive Protein Levels in the Early Stage of COVID-19 Med Mal Infect. 2020 Mar 31;S0399-077X(20)30086-X. doi: 10.1016/j.medmal.2020.03.007.Online ahead of print

99. Wang Z. et al. Clinical characteristics and therapeutic procedure for four cases with 2019 novel coronavirus pneumonia receiving combined Chinese and Western medicine treatment. Biosci Trends 2020. doi:10.5582/bst.2020.01030.

100. World Health Organization. COVID-19 Clinical management: living guidance. 25 January 2021. https://www.who.int/publications/i/item/WHO-2019-nCoV-clinical-2021-1

101. World Health Organization. Infection prevention and control guidance for long-term care facilities in the context of COVID-19: interim guidance, 21 March 2020. World Health Organization; 2020.

102. World Health Organization. Managing Ethical Issues in Infectious Disease Outbreaks. Publication date: 2016. URL: https://www.who.int/ethics/publications/infectious-disease-outbreaks/en/

103. World Health Organization. WHO Blood Regulators Network (BRN) Position Paper on Use of Convalescent Plasma, Serum or Immune Globulin Concentrates as an Element in Response to an Emerging Virus* September 2017 https://www.who.int/bloodproducts/brn/2017BRN_PositionPaperConvalescentPlasma.pdf

104. Wu P. et al. Real-time tentative assessment of the epidemiological characteristics of novel coronavirus infections in Wuhan, China, as at 22 January 2020 //Eurosurveillance. 2020. T. 25. N 3. doi: 10.2807/1560-7917.ES.2020.25.3.2000044

105. Xiao A., et al J Clin Pharm. 2016; 56(1): 56 - 66; Luzelena Caro, David P. Nicolau, Jan J. De Waele et al. Lung penetration, bronchopulmonary pharmacokinetic/pharmacodynamic profile and safety of 3 g of ceftolozane/tazobactam administered to ventilated, critically ill patients with pneumonia. Journal of Antimicrobial Chemotherapy, dkaa049, https://doi.org/10.1093/jac/dkaa049 Published: 24 March 2020

106. Xu L, Liu J, Lu M, Yang D, Zheng X. Liver injury during highly pathogenic human coronavirus infections. Liver Int. 2020 May;40(5):998-1004. doi: 10.1111/liv.14435. Epub 2020 Mar 30. Review. PubMedPMID: 32170806

107. Yuan M. et al. Association of radiologic findings with mortality of patients infected with 2019 novel coronavirus in Wuhan, China. PLoS ONE. 2020;15:e0230548. doi:10.1371/journl.pone.0230548.

108. Zhang J. et al. Therapeutic and triage strategies for 2019 novel coronavirus disease in fever clinics. Lancet Respir Med 2020. doi:10.1016/S2213-2600(20)30071-0.

109. Zhang L, Liu Y. Potential Interventions for Novel Coronavirus in China: J Med Virol 2020. doi:10.1002/jmv.25707.

110. Zhang W, Zhao Y, Zhang F, Wang Q, Li T, Liu Z, Wang J, Qin Y, Zhang X, Yan X, Zeng X, Zhang S. The use of anti-inflammatory drugs in the treatment of people with severe coronavirus disease 2019 (COVID-19): The experience of clinical immunologists from China.

111. Zhang W. et al. The use of anti-inflammatory drugs in the treatment of people with severe coronavirus disease 2019 (COVID-19): The Perspectives of clinical immunologists from China. Clin Immunol. 2020 Mar 25;214:108393. doi: 10.1016/j.clim.2020.108393. [Epub ahead of print]

112. Zumla A. et al. Coronavirues - drug discovery and therapeutic options//Nature reviews. Drug discovery. 2016. 15. N 5. C. 327 - 347.

113. Всемирная организация здравоохранения. Временное руководство по рациональному использованию средств индивидуальной защиты от коронавирусной болезни (COVID-19) и соображения применительно к ситуации их острой нехватки. 6 апреля 2020 г. URL: https://apps.who.int/iris/bitstream/handle/10665/331695/WHO-2019-nCov-IPC_PPE_use-2020.3-rus.pdf

114. Всемирная организация здравоохранения. Клиническое руководство по ведению пациентов с тяжелыми острыми респираторными инфекциями при подозрении на инфицирование БВРС-КоВ. Временные рекомендации. Дата публикации: Июль 2015 г. URL: https://www.who.int/csr/disease/coronaviras_infections/case-management-ipc/ru/

115. Кузьменков А.Ю., Трушин И.В., Авраменко А.А., Эйдельштейн М.В., Дехнич А.В., Козлов Р.С. AMRmap: Интернет-платформа мониторинга антибиотикорезистентности. Клиническая микробиология и антимикробная химиотерапия. 2017;19(2):84-90.

116. Левшин Н.Ю., Баранов А.А., Аршинов А.В. Низкомолекулярный гепарин второго поколения: эффективность, безопасность, мотивация приоритетного применения в клинической практике. Трудный пациент. 2014. - N 6. С. 7 - 14

117. Лучевая диагностика коронавирусной болезни (COVID-19): организация, методология, интерпретация результатов: препринт N ЦДТ - 2020 - I. Версия 2 от 17.04.2020/сост. С.П. Морозов, Д.Н. Проценко, С.В. Сметанина [и др.]//Серия "Лучшие практики лучевой и инструментальной диагностики". - Вып. 65. - М.: ГБУЗ "НПКЦ ДиТ ДЗМ", 2020. - 78 с.

118. Материалы анализа телеконсультаций НМИЦ ФПИ Минздрава России.

119. Митьков В.В., и соавт. Консенсусное заявление РАСУДМ об ультразвуковом исследовании легких в условиях COVID-19 (версия 1)//Ультразвуковая и функциональная диагностика. 2020. N 1. С. 24 - 45. Doi: 10.24835/1607-0771-2020-1-24-45. Опубликовано до печати. Режим доступа: //http://www.rasudm.org/files/RASUDM-Consensus-Statement-COVID.pdf, свободный. Загл. с экрана. 16.04.2020.

120. Портал непрерывного медицинского и фармацевтического образования Минздрава России URL: https://nmfo-vo.edu.rosminzdrav.ru/#/user-account/view-iom/e8b1f2ca-6be5-9125-4a1e

121. Федеральная служба по надзору в сфере защиты прав потребителей и благополучия человека. Методические рекомендации МР 3.1.0140-18 "Неспецифическая профилактика гриппа и других острых респираторных инфекций".

122. Христенко Е.А. и соавт. КТ-паттерны при COVID-19 ассоциированных пневмониях - стандартизация описаний исследований на основе глоссария общества Флейшнера//REJR. 2020. Т. 10. N 1. С. 16 - 26.

123. Синицын В.Е., Тюрин И.Е., Митьков В.В. Временные согласительные методические рекомендации Российского общества рентгенологов и радиологов (РОРР) и Российской ассоциации специалистов ультразвуковой диагностики в медицине (РАСУДМ) "Методы лучевой диагностики пневмонии при новой коронавирусной инфекции COVID-19" (версия 2). Вестник рентгенологии и радиологии. 2020; 101 (2): 72 - 89. https://doi.org/10.20862/0042-4676-2020-101-2-

124. Приказ Министерства здравоохранения Российской Федерации от 29 декабря 2012 г. N 1705н "О Порядке организации медицинской реабилитации".

125. Julie К. Silver: Prehabilitation could save lives in a pandemic March 19, 2020

126. Robert Simpson et al. Rehabilitation Following Critical Illness in People With COVID-19 Infection Am J Phys Med Rehabil2020 Apr 10. doi: 10.1097/PHM.0000000000001443.Online ahead of print

127. Thomas P et al. Physiotherapy management for COVID-19 in the acute hospital setting: clinical practice recommendations. Journal of Physiotherapy (2020), doi: https://doi.org/10.1016/j.jphys.2020.03.011.

128. Kress, J.P. and J.B. Hall, ICU-acquired weakness and recovery from critical illness. N Engl J Med, 2014. 370(17): p. 1626-35.

129. Белкин А.А. и соавт. Реабилитация в интенсивной терапии. Клинические рекомендации, 2017, 56 с.

130. David С et al. Postacute Care Preparedness for COVID-19 Thinking Ahead Author Affiliations Article Information JAMA. Published online March 25, 2020. doi:10.1001/jama.2020.4686

131. Michele Vitacca et al. Joint statement on the role of respiratory rehabilitation in the COVID-19 crisis: the Italian position paper Version - March 08, 2020. Graphics and publishing AIPO Ricerche Ed. - Milano edizioni@aiporicerche.it

132. Вертикализация пациентов в процессе реабилитации. Клинические рекомендации. Москва, 2014, 63 с.

133. Medrinal C et al. Comparison of exercise intensity during four early rehabilitation techniques in sedated and ventilated patients in ICU: A randomised cross-over trial. Crit Care. 2018; 22 (1): 110.

134. Karatzanos E et al. Electrical muscle stimulation: An effective form of exercise and early mobilization to preserve muscle strength in critically ill patients. Crit Care Res Pract. 2012; 2012: 432752.

135. Fossat G et al. Effect of in-bed leg cycling and electrical stimulation of the quadriceps on global muscle strength in critically ill adults: A Randomized Clinical Trial. JAMA. 2018; 320 (4): 368 - 378.

136. Henk J Stam et al. Covid-19 and Post Intensive Care Syndrome: A Call for Action. J Rehabil Med 2020 Apr 15;52(4):jrn00044 doi: 10.2340/16501977-2677.

137. Заболотских И.Б. и соавт. Анестезиолого-реанимационное обеспечение пациентов с новой коронавирусной инфекцией COVID-19. Методические рекомендации Общероссийской общественной организации "Федерация анестезиологов и реаниматологов". Вестник интенсивной терапии им. А.И. Салтанова. 2020; S1:9-120. https://doi.org/10.21320/1818-474X-2020-S1-9-120

138. Bein T et al. S2e guideline: positioning and early mobilisation in prophylaxis or therapy of pulmonary disorders Revision. Anaesthesist. 2015;64(September):1-26. doi:10.1007/s00101-015-0071-1.

139. Taito S et al. Early mobilization of mechanically ventilated patients in the intensive care unit. J Intensive Care. 2016;4(1):50. doi:10.1186/s40560-016-0179-7.

140. Eggmann S et al. Physiological effects and safety of an early, combined endurance and resistance training in mechanically ventilated, critically ill patients. Physiotherapy. 2015;101:e344-e345. doi:10.1016/j.physio.2015.03.553

141. Оленская Т.Л. и соавт. Реабилитация в пульмонологии. Учебно-методическое пособие. - Витебск, 2016. - с. 90 - 104.

142. Yang Feng et al. Pulmonary rehabilitation guidelines in the principle of 4S for patients infected with 2019 novel coronavirus (2019-nCoV). Cite as Chin J TubercRespir Dis. 2020: 43 (03): 180 - 182. DOI: 10.3760/cma.j.issn. 1001-0939.2020.03.007.

143. Robert Simpson et al. Rehabilitation Following Critical Illness in People With COVID-19 Infection Am J Phys Med Rehabil2020 Apr 10. doi: 10.1097/PHM.0000000000001443.Online ahead of print

144. Spruit MA et al. An official american thoracic society/european respiratory society statement: key concepts and advances in pulmonary rehabilitation. Am J RespirCrit Care Med. 2013;188(8):e13-64.

145. Насонов Е.Л. и др.; по поручению президиума Общероссийской общественной организации "Ассоциация ревматологов России". Проект рекомендаций Общероссийской общественной организации "Ассоциация ревматологов России". Коронавирусная болезнь 2019 (COVID-19) и иммуновоспалительные (аутоиммунные) ревматические заболевания. Доступно по ссылке: https://rheumatolog.ru

146. Schulze-Koops Н, et al. Preliminary recommendations of the German Society of Rheumatology (DGRh eV) for the management of patients with inflammatory rheumatic diseases during the SARS-CoV-2/Covid-19 pandemic. Ann Rheum Dis. 2020 Apr 28. pii: annrheumdis-2020-217628. doi: 10.1136/annrheumdis-2020-217628

147. Ceribelli A, et al. Recommendations for coronavirus infection in rheumatic diseases treated with biologic therapy. J Autoimmun. 2020 May; 109:102442. doi: 10.1016/j.jaut.2020.102442

148. Mikuls TR, et al. American College of Rheumatology guidance for the management of adult patients with rheumatic disease during the COVID-19 pandemic. Arthritis Rheumatol doi: https://onlinelibrary.wiley.com/doi/abs/10.1002/art.41301.

149. COVID-19 rapid guideline: rheumatological autoimmune, inflammatory and metabolic bone diseases. NICE guideline, published 3 april 2020. www.nice.org./uk/guidancr/ngl67

150. Kimberly Showalter, et al. Advice on Treating Rheumatic Diseases From a COVID-19 Epicenter - Medscape - May 11,2020.

151. COVID-19: guidance for rheumatologists. British Society of Rheumatology. htpps//www.rheumatology.org.uk

152. Кузьков B.B., Киров М.Ю. Инвазивный мониторинг гемодинамики в интенсивной терапии и анестезиологии. Архангельск, 2015. - 392 с.

153. MR Mehra, et al. Hydroxychloroquine or chloroquine with or without a macrolide for treatment of COVID-19: a multinational registry analysis, Lancet, 2020

154. Favipiravir versus Arbidol for COVID-19: A Randomized Clinical Trial. https://doi.org/10.1101/2020.03.17.20037432

155. Furuta Y, et al.: Favipiravir (T-705), a broad spectrum inhibitor of viral RNA polymerase. Proc Jpn Acad Ser B Phys Biol Sci. 2017;93(7):449 - 463. doi: 10.2183/pjab.93.027.

156. Q. Cai, et al. Experimental Treatment with Favipiravir for COVID-19: An Open-Label Control Study, Engineering (2020), doi: https://doi.org/10.1016/j.eng.2020.03.007

157. Патологическая анатомия COVID-19: Атлас/Зайратьянц О.В., Самсонова М.В., Михалева Л.М., Черняев А.Л., Мишнев О.Д., Крупнов Н.М., Калинин Д.В. Под общей ред. О. В. Зайратьянца. - Москва, ГБУ "НИИОЗММ ДЗМ", 2020. - 140 с., ил.

158. M.Ackermann, S. Verleden, M. Kuehnel, et al. Pulmonary Vascular Endothelialitis, Thrombosis, and Angiogenesis in Covid-19 DOI: 10.1056/NEJMoa2015432

159. S.E. Fox, A. Akmatbekov, J.L. Harbert, et al. Pulmonary and cardiac pathology in African American patients with COVID-19: an autopsy series from New Orleans. Lancet Respir Med 2020 doi:10.1016/S2213-2600(20)30244-7

160. P.Masi, G.Hekimian, M.Lejeune, et al. Systemic Inflammatory Response Syndrome is a Major Contributor to COVID-19-Associated Coagulopathy: Insights from a Prospective Single-Center Cohort Study. DOI: 10.1161/CIRCULATIONAHA.120.048925

161. Tang N., Li D., Wang X., Sun Z. Abnormal coagulation parameters are associated with poor prognosis in patients with novel coronavirus pneumonia. J Thromb Haemost 2020; 18: 844-47.

162. Thachil J., Wada H., Gando S., et al. ISTH interim guidance on recognition and management of coagulopathy in COVID-19. J Thromb Haemost 2020; DOI: 10.1111/jth.14810.

163. Spyropoulos A.C., Levy J.H., Ageno W., et al. Scientific and Standardization Committee Communication: Clinical Guidance on the Diagnosis, Prevention and Treatment of Venous Thromboembolism in Hospitalized Patients with COVID-19. J Thromb Haemost 2020; DOI: 10.1111/jth.14929.

164. Moores L.K., Tritschler T., Brosnahan S., et al. Prevention, Diagnosis, and Treatment of VTE in Patients With COVID-19. CHEST Guideline and Expert Panel Report. Chest 2020; DOI: 10.1016/j.chest.2020.05.559.

165. COVID-19 Treatment Guidelines Panel. Coronavirus Disease 2019 (COVID-19) Treatment Guidelines. National Institutes of Health. Available at https://www.covidl9treatmentguidelines.nih.gov/

166. Вашукова М.А., Цинзерлинг В.А., Семенова Н.Ю., Луговская Н.А., Наркевич Т.А., Суханова Ю.В. Возможна ли перинатальная COVID 19: первые результаты. Журнал инфектологии.2020;3 (12):51 - 55.

167. Дондурей Е.А., Исанкина Л.Н., Афанасьева О.И., Титева А.В., Вишневская Т.В., Кондратьев В.А. и др. Характеристика COVID-19 у детей: первый опыт работы в стационаре Санкт-Петербурга. Журнал инфектологии.2020;3 (12):56 - 63.

168. Лобзин Ю.В., Черкашина И.В., Самойлова И.Г. Медицинская реабилитация детей, перенесших COVID-19. Журнал инфектологии.2020;3 (12):64 - 74.

169. Пшенисов К.В., Александрович Ю.С., Казиахмедов В.А., Костик М.М., Кондрашов И.А. Новая коронавирусная инфекция у детей с сопутствующими заболеваниями: шанс на выздоровление есть всегда (клинические случаи) Журнал инфектологии. 2020; 3 (12):80 - 89.

170. Усков А.Н., Лобзин Ю.В., Рычкова С.В., Бабаченко И.В., Федоров В.В., Улуханова Л.У., Починяева Л.М. Течение новой коронавирусной инфекции у детей: некоторые аспекты мониторинга и анализа летальности. Журнал инфектологии. 2020; 3 (12): 12 - 21.

171. Т.А. Руженцова, П.В. Чухляев, Д.А. Хавкина, А.А. и др. Возможности этиотропной терапии коронавирусной инфекции, вызванной SARS-CoV-2, у амбулаторных пациентов. Медицинский оппонент, N 1(9), 2020: с. 48 - 58.

172. Beigel J.H. et al. АСТТ-1 Study Group Members. Remdesivir for the Treatment of Covid-19 - Final Report. N Engl J Med. 2020 Oct 8: NEJMoa2007764. doi: 10.1056/NEJMoa2007764.

173. ESMO guidelines Cancer patients' management during the COVID-19 pandemic. https://www.esmo.org/guidelines/cancer-patient-management-during-the-covid-19-pandemic

174. Kuderer N.M. Chouein T.K., Shah D.P. et al. Clinical impact of COVID-19 jn patients with cancer (CCC19): A COHORT STUDY. Lancet 2020; S0140-6736(20)31187-9. Doi; 10.1016.S0140-6736(20) 311197-9.

175. Poortmans H.M., Gardoso M.J. Cancer and COVID-19: what do we really know? www.thelancet.com.2020. https://doi.org/10.1016/S0140-6736(20)31240-X.

176. Практические рекомендации Российского общества клинической онкологии по оказанию онкологической помощи в условиях пандемии COVID-19. https://rosoncoweb.ru/standarts/COVID-19/

177. Особенности ведения онкогематологических больных в условиях пандемии COVID-19/ Под ред. И.В. Поддубной. М.: Экон-Информ, 2020.

178. Е.А. Борях, О.Л. Кочнева, Е.Н. Мисюрина и соавт. Ведение онкогематологических больных с новой коронавирусной инфекцией: опыт Городской клинической больницы N 52. Современная онкология. 2020. Том 22. N 2, с. 28 - 32.

179. Каприн А.Д., Гамеева Е.В., Поляков А.А. и соавт. Влияние пандемии COVID-19 на онкологическую практику. Сибирский онкологический журнал. 2020;19(3):5-22. https://doi.org/10.21294/1814-4861-2020-19-3-5-22.

180. Бомштейн Н.Г., Болотов Ю.В., Ким И.А., Трухин Д.В. Эффективность сорбированных пробиотиков в комплексном лечении новой коронавирусной инфекции COVID-19 в условиях стационара. Медицина экстремальных ситуаций. 2020; 4 (22):31 - 35. DOI: 10.4 183/mes.2020.021

181. Захаренко С.М., с соавт. Нежелательные лекарственные реакции со стороны ЖКТ и антибиотикоассоциированная диарея при применении антибиотиков в амбулаторной практике: профилактика и лечение. Клиническая микробиология и антимикробная химиотерапия, 2019; 3: 196 - 206.

182. Guarner F., е.а. World Gastroenterology Organisation Global Guidelines. Probiotics and prebiotics. February 2017. Available at: http://www.worldgastroenterology.org/guidelines/global-guidelines/probiotics-and-prebiotics/probiotics-and-prebiotics-english.

183. Szajewska H., e.a. Probiotics for the Prevention of Antibiotic-Associated Diarrhea in Children. J Pediatr Gastroenterol Nutr. 2016; 62(3): 495 - 506.

184. Shen N.T., e. a. Timely Use of Probiotics in Hospitalized Adults Prevents Clostridium difficile Infection: A Systematic Review With MetaRegression Analysis. Gastroenterology. 2017; 152(8): 1889 - 1900. doi: 10.1053/j.gastro.2017.02.003.

185. Зелтынь-Абрамов Е.М. и соавт. Стресс-индуцированная кардиомиопатия у пациентки с фульминантным течением COVID-19 в ранние сроки после аллотрансплантации почки (Наблюдение из практики и краткий обзор литературы). Клиническая нефрология. 2020; (2): 10 - 15 DOI: https://dx.doi.org/10.18565/nephrology.2020.2.10-15.

186. Фролова Н.Ф. и соавт. Новая коронавирусная инфекция COVID-19 у пациентки после аллотрансплантации почки. Клиническая нефрология. 2020; 2:16-20 DOI: https://dx.doi.org/10.18565/nephrology.2020.2.16-20.

187. Зелтынь-Абрамов Е.М. и соавт. COVID19 - ассоциированные поражения сердца у пациентов на программном гемодиализе (Серия клинических наблюдений и краткий обзор литературы). Нефрология и диализ. 2020; 22:9-20 DOI: 10.28996/2618-9801-2020-Special_Issue-21-32.

188. Баутин А.Е., Авдеев С.Н., Сейлиев А.А., Швечкова М.В., Мержоева З.М., Трушенко Н.В., Семенов А.П., Лапшин К.Б., Розенберг О.А. Ингаляционная терапия сурфактантом в комплексном лечении тяжелой формы COVID-19-пневмонии. Туберкулез и болезни легких 2020; 98(N 9): 6 - 12. http://doi.org/10.21292/2075-1230-2020-98-9-6-12.

189. Аверьянов А.В., Клыпа Т.В., Балионис О.И., Бычинин М.В., Черняк А.В., Троицкий А.В. Ингаляционный сурфактант при высокопоточной кислородотерапии у больных COVID-19: результаты ретроспективного анализа. Ремедиум 2020; (7 - 8): doi: 10.21518/1561-5936-2020-7-8-84-88.

190. Piva S, DiBlasi RM, Slee AE, Jobe AH, Roccaro AM, Filippini M, Latronico N, Bertoni M, Marshall JC, Portman MA. Surfactant therapy for COVID-19 related ARDS: a retrospective case-control pilot study. Respir Res 2021; 22: 20. https://doi.org/10.1186/s12931-020-01603-w.

191. Busani S, Dall'Ara L, Tonelli R, et al. Surfactant replacement might help recovery of low-compliance lung in severe COVID-19 pneumonia. Ther Adv Respir Dis 2020, 14: 1 - 6 DOI: 10.1177/1753466620951043.

192. Heching M, Lev S, Shitenberg D, Dicker D, Kramer MR, Surfactant for Treatment of ARDS in COVID-19 Patient. Chest 2021: doi: https://doi.org/10.1016/j.chest.2021.01.028.

193. Зелтынь-Абрамов E.M. и соавт. Факторы риска неблагоприятного прогноза у пациентов на программном гемодиализе с COVID-19. Акцент на сердечно-сосудистую коморбидность (Опыт одного центра). Нефрология и диализ. 2020. 22:21 - 32. DOI: 10.28996/2618-9801-2020-Special_Issue-21-32.

194. Столяревич Е.С., Фролова Н.Ф., Артюхина Л.Ю., Варясин В.В. Поражение почек при COVID-19: клинические и морфологические проявления почечной патологии у пациентов, умерших от COVID-19. Нефрология и диализ. 2020; 22: 46 - 55. DOI: 10.28996/2618-9801-2020-Special_Issue-46-55

195. Фролова Н.Ф. и соавт. Экулизумаб в лечении АНЦА-ассоциированного васкулита, осложненного COVID-19. Клинические наблюдения. Нефрология и диализ. 2020; 22:33 - 45 DOI: 10.28996/2618-9801-2020-Special_Issue-33-45

196. Готье С.В. и соавт. Особенности клинического течения коронавирусной инфекции COVID-19 у реципиентов сердца, почки, печени: первые результаты национального многоцентрового наблюдательного исследования "РОККОР-реципиент". Вестник трансплантологии и искусственных органов. 2020; 22(3):8 - 17. https://doi.org/10.15825/1995-1191-2020-3-8-17

197. Tuccori М, Ferraro S, Convertino I, Cappello E, Valdiserra G, Blandizzi C, Maggi F, Focosi D. Anti-SARS-CoV-2 neutralizing monoclonal antibodies: clinical pipeline. MAbs. 2020 Jan-Dec;12(l):1854149.

198. Copin R, et al. In vitro and in vivo preclinical studies predict REGEN-COV protection against emergence of viral escape in humans. bioRxiv 2021.03.10.434834.

199. Fact sheet for health care providers emergency use authorization (EUA) of casirivimab and imdevimab. https://www.fda.gov/media/143892/download

200. Ramakrishnan S. et al. Inhaled budesonide in the treatment of early COVID-19 (STOIC): a phase 2, open-label, randomised controlled trial. Lancet Respir Med. 2021 Apr 9:S2213-2600(21)00160-0.

201. Ly-Мее Yu et al. Inhaled budesonide for COVID-19 in people at higher risk of adverse outcomes in the community: interim analyses from the PRINCIPLE trial. 2021 https://www.medrxiv.org/content/10.1101/2021.04.10.21254672vl

202. Parham Sadeghipour et al. Effect of Intermediate-Dose vs Standard-Dose Prophylactic Anticoagulation on Thrombotic Events, Extracorporeal Membrane Oxygenation Treatment, or Mortality Among Patients With COVID-19 Admitted to the Intensive Care Unit. The INSPIRATION Randomized Clinical Trial INSPIRATION Investigators JAMA. 2021;325(16):1620 - 1630. doi:10.1001/jama.2021.4152

203. Therapeutic Anticoagulation in Critically III Patients with Covid-19 - Preliminary Report The REMAP-CAP, ACTIV-4a, and ATTACC Investigators doi:10.1101/2021.03.10.21252749

Приложение 1

А. Рекомендации по описанию данных РГ И КТ ОГК

1. Рентгенография ОГК

Методика выполнения

Рентгенография в рентгеновском кабинете проводится с использованием стационарного (или передвижного) рентгеновского аппарата в двух стандартных проекциях: прямой передней и правой боковой.

Рентгенография в ОРИТ проводится с использованием передвижного рентгенодиагностического аппарата в одной стандартной проекции: прямой задней при положении пациента на спине или в прямой передней при положении пациента на животе. При необходимости может быть выполнен снимок в боковой проекции горизонтально направленным пучком рентгеновского излучения (латерограмма). На рентгеновском снимке должна присутствовать стандартная маркировка и дополнительная информация (время проведения рентгенографии в часах и минутах; положение пациента в момент рентгенографии - на спине или на животе).

Для оценки пациентов с предполагаемой/известной пневмонией COVID-19 другие рентгенодиагностические методики (рентгеноскопия, линейная томография и проч.) не используются.

Протокол РГ исследования

Протокол по результатам проведенной РГ формируется по стандартным правилам:

- Вид исследования, проекции, положение пациента в момент РГ;

- Все медицинские устройства и иные предметы, видимые на снимках (интубационная трубка, катетеры, дренажи, зонды, искусственные водители ритма, инородные тела и проч.), их расположение и правильность установки;

- Видимые патологические изменения;

- Наличие участков уплотнения легочной ткани, их расположение (периферическое, центральное, диффузное, нарастание в направлении диафрагмы/верхушек). Локальные изменения соотносятся с отдельными долями и/или сегментами. Участки уплотнения легочной ткани при РГ обычно не разделяют на матовое стекло и консолидацию;

- Форма участков уплотнения: округлая, любая другая;

- Интенсивность тени уплотнений в легких: низкая (обычно соответствует симптому "матового стекла" при КТ), средней интенсивности (обычно соответствует консолидации при КТ), высокая (может наблюдаться при тотальном или субтотальном поражении легких) или их сочетание;

- Признаки нарушения легочного кровообращения: усиление (в т.ч. перераспределение в верхние доли) легочного рисунка, расширение корней легких, перибронхиальные муфты, линии Керли, расширение камер сердца, расширение сосудистой ножки сердца;

- Другие признаки патологии легких: полости, очаговые диссеминации, локальные долевые и сегментарные уплотнения и проч;

- Плевральные синусы: признаки плеврального выпота;

- Признаки пневмоторакса и/или пневмомедиастинума и/или пневмоперитонеума.

В заключении необходимо указать наличие патологических изменений и их распространенность.

В случае первичного исследования рекомендуется указать вероятность соответствия выявленных изменений пневмонии COVID-19 - высокая/типичная картина, средняя/неопределенная картина, низкая/нетипичная картина, норма (для оценки степени вероятности можно использовать приводимую ниже таблицу для формулировки заключений КТ). Например, вероятная рентгенологическая картина пневмонии COVID-19; или картина усиления легочного рисунка без характерных рентгенографических признаков пневмонии COVID-19; или рентгенологическая картина отека легких; или рентгенологическая картина абсцесса верхней доли правого легкого.

При повторных исследованиях обязательно указывается динамика изменений в грудной полости.

При необходимости указываются дополнительные исследования, которые по мнению рентгенолога могут помочь в оценке изменений: КТ, УЗИ, фибробронхоскопия и др.

2. Описание результатов КТ ОГК

Методика выполнения

Сканирование грудной клетки осуществляется по стандартной программе, установленной компанией производителем, в положении пациента на спине, с заведенными за голову руками, по возможности при спокойном задержанном вдохе.

При исследовании пациентов на ИВЛ задержка дыхания осуществится при короткой остановке дыхательных движений. Проведение КТ пациентам на ИВЛ возможно только при наличии технических условий и возможности доставки пациента в кабинет или на передвижном аппарате.

Внутривенное контрастирование не требуется, но может применяться при подозрении на другие патологические состояния, например, ТЭЛА, а также онкологические заболевания и проч.

Протокол КТ формируется по стандартным правилам, аналогичным рентгенографическому исследованию. Однако при этом используется терминология, принятая при описании данных КТ.

Для ускорения получения наиболее важных для врачей результатов КТ ОГК и определения тактики ведения пациента возможно применение предварительных стандартизованных экспресс-форм протоколов, а само заключение оформляется в установленные сроки.

Примерная экспресс-форма приводится ниже, возможна ее модификация или коррекция - согласно потребностям конкретной медицинской организации.

Рекомендуемая экспресс-форма описания результатов КТгрудной клетки пациента с подозрением на COVID-пневмонию

Дата и время исследования  
Паспортные данные  
Регистрационные данные  
Вид исследования КТ грудной клетки без внутривенного контрастирования
Другое исследование  
Изменения легочной ткани (матовое стекло консолидация)
Левое легкое Есть/нет
Правое легкое Есть/нет
Примерный объем выявленных изменений легких (визуально) КТ-1 Минимальный < 25% объема
КТ-2 Средний 25 - 50% объема
КТ-3 Значительный 50 - 75% объема
КТ-4 Субтотальный более 75% объема
Другие важные находки (если есть)  
Жидкость в плевральной полости
Справа Есть/нет
Слева Есть/нет
Вероятность связи выявленных в легких изменений с вирусной (в частности, COVID-19) пневмонией по рекомендациям ACR/VRSNA/ESR-ESTI Типичная картина/Высокая вероятность  
Неопределенная картина  
Другой диагноз  
Норма/Нет изменений  

3. Общие рекомендации по протоколированию результатов КТ легких у пациентов с предполагаемой пневмонией COVID-19

Для правильной трактовки полученных данных до начала описания крайне важно получение лечащим врачом клинической информации об истории заболевания и состоянии пациента (желательно дистанционно, без прямого контакта).

В протоколе КТ исследования должны быть указаны:

- Дата появления симптомов болезни на день выполнения КТ (если известна);

- Методика сканирования, использование внутривенного контрастирования;

- Медицинские устройства и иные предметы в зоне сканирования (интубационная трубка, катетеры, дренажи, зонды, искусственные водители ритма, инородные тела и проч), их расположение и правильность установки;

- Наличие изменений в легких по типу "матового стекла", консолидации, симптомов "булыжной мостовой", "воздушной бронхографии", обратного "ореола";

- Локализация изменений по долям и сегментам легких, а также преобладающее пространственное распределение (периферическое, центральное, диффузное; преимущественное заднее или переднее, верхнее или нижнее);

- Наличие и примерный объем жидкости в плевральной полости и/или перикарде;

- Указываются все другие находки (согласно стандартному протоколу описания КТ ОГК): находки в легочной ткани (очаги, полости, симптом "дерева в почках" и другие), состояние и ход трахеи и бронхов, состояние отдельных групп лимфоузлов, размеры и контуры магистральных сосудов и камер сердца; состояние позвоночника и других костей в пределах зоны сканирования;

- Обязательным является описание динамики, если имеются данных предыдущих КТ;

- В заключении приводится вероятностная оценка связи выявленных изменений с COVID-19 согласно международным рекомендациям и примерный объем поражения легких (см. ниже).

Всегда следует помнить о том, что исследование может быть проведено пациенту с любой патологией легких, сердца, средостения и других органов!

Принципы оценки изменений легочной ткани при COVID-19 по данным КТ ОГК представлены в таблице. Процент поражения оценивается отдельно по каждому легкому. Степень изменений оценивается по легкому с наибольшим поражением (вне зависимости от наличия постоперационных изменений).

Рекомендации по формулировке заключения КТ: вероятность связи выявленных изменений с пневмонией COVID-19 (рекомендации RSNA/ACR/BSTI/ESR-ESTI)

Признаки патологии при КТ Возможная формулировка в заключении:
Типичная картина
- Многочисленные двусторонние субплевральные уплотнения легочной ткани по типу "матового стекла",
- в том числе с консолидацией и/или с симптомом "булыжной мостовой";
- Многочисленные двусторонние округлые участки уплотнения по типу "матового стекла" в глубине легочной ткани,
- в том числе в сочетании с консолидацией и/или симптомом "булыжной мостовой";
- Участки уплотнения легочной ткани в виде сочетания "матового стекла" и консолидации с симптом "обратного ореола" как признаки организующейся пневмонии.
Высокая вероятность пневмонии COVID-19, с учетом клинической картины имеются типичные КТ-признаки заболевания.
Схожие изменения могут встречаться при других вирусных пневмониях, а также при болезнях соединительной ткани, быть связанными с токсическими действиям лекарств или иметь другую этиологию.
Неопределенная картина
- Участки "матового стекла" преимущественно прикорневой локализации;
- Мелкие участки "матового стекла" без типичного (периферического) распределения, не округлой формы;
- Односторонние участки "матового стекла" в пределах одной доли, в сочетании с консолидацией или без нее.
Средняя (неопределенная) вероятность пневмонии COVID-19
Выявленные изменения могут быть проявлением COVID-19 пневмонии, но они неспецифичны и могут встречаться при других заболеваниях легких (указать каких, если возможно; например, сердечная недостаточность, бактериальная пневмония и др.).
Следует осторожно интерпретировать результаты КТ у пациентов с хроническим сопутствующими заболеваниями, при которых высока вероятность появления изменений в грудной полости (ИБС, онкологические заболевания, патология почек и др.)
Нетипичная картина
- Консолидация доли (сегмента);
- Очаги (в том числе симптом "дерево в почках");
- Объемные образования;
- Полости в легких и в участках консолидации;
- Равномерное утолщение междольковых перегородок с жидкостью в плевральных полостях (картина отека легких);
- Субплевральные ретикулярные (сетчатые) изменения;
- Лимфаденопатия без изменений в легких.
Альтернативный диагноз
Выявленные изменения не характерны для COVID-19 пневмонии. Следует рассмотреть возможность других заболеваний и патологических состояний (указать каких, если возможно; например, туберкулез, рак легкого, бактериальная пневмония и др.).
Нормальная картина Нет признаков пневмонии или других патологических изменений <*>

<*> Следует иметь в виду, что на начальных стадиях болезни (1 - 5 дни) результаты КТ могут быть негативными. Нормальная КТ-картина не исключает COVID-19 и не является ограничением в проведении иммунологических (ПЦР) тестов.

4. Оценка выраженности изменений в легких при КТ

Оценка выраженности (объема, площади, протяженности) изменений в легких у пациентов с предполагаемой/известной пневмонией COVID-19 может проводиться несколькими способами:

- С помощью визуальной оценки;

- С помощью применения полуколичественных шкал, предложенных рядом авторов;

- На основании программ компьютерной оценки плотности легких и составления карт плотности легочной паренхимы.

В условиях большого потока пациентов, для быстрой оценки изменений в легких после проведения РГ и КТ, рекомендована так называемая "эмпирическая" визуальная шкала. Она основана на визуальной оценке примерного объема уплотненной легочной ткани в обоих легких в легких.

"Эмпирическая" визуальная шкала <*>

<*> Источник: S.Inui et al. Radiology: Cardiothoracic Imaging, 8 April 2020.

Основана на визуальной оценке примерного объема уплотненной легочной ткани в обоих легких:

1. Отсутствие характерных проявлений (КТ-0);

2. Минимальный объем/распространенность < 25% объема легких (КТ-1);

3. Средний объем/распространенность 25 - 50% объема легких (КТ-2);

4. Значительный объем/распространенность 50 - 75% объема легких (КТ-3);

5. Субтотальный объем/распространенность > 75% объема легких (КТ-4).

Компьютер-ассистированная диагностика

Ряд рабочих станций для современных аппаратов КТ и цифровой РГ оснащены компьютерными программами, которые предназначены для автоматического или полуавтоматического выделения и измерения объема зон "матового стекла" и консолидации. Применение таких программ позволяет проводить оценку объема измененной легочной ткани более объективно, чем "эмпирический" метод, особенно при наблюдении в динамике. При использовании таких компьютерных программ врач-рентгенолог должен контролировать корректность выделения патологических участков в легких и принимать решение, пригодны получаемые с их помощью данные для клинического применения или нет.

В целом, данные визуализации могут интерпретироваться только в контексте клинической картины и результатов лабораторно-инструментальных показателей. Рентгенография и КТ играют важную, но не определяющую роль в оценке тяжести течения заболевания и прогноза его развития. Эти ограничения связаны, в том числе, с отсутствием характеристик поражения легочной ткани ("матовое" стекло и/или консолидация) и других проявлений патологии (плевральный выпот, отек легких и др). Поэтому объем поражения легких при РГ и КТ может не иметь прямой корреляции с клинической тяжестью заболевания.

5. Оценка динамики изменений в легких при пневмонии COVID-19

Основные закономерности развития COVID-19 пневмонии связаны с трансформацией участков "матового стекла" и консолидацией в легочной ткани. В связи с этим КТ является предпочтительным методом оценки динамики. Однако для этой цели может использоваться и РГ, в случае если изменения видны на снимках и есть возможность оценить их динамику. Рентгенография с использованием передвижного аппарата также является основной методикой при наблюдении пациентов в ОРИТ.

Оценка динамики предполагает использование одной методики. Сравнение изменений по данным различных методов и методик (например, РГ и КТ) не корректно.

Все рентгенологические исследования проводятся только по клиническим показаниям.

Кратность РГ и КТ исследований в динамике определяет лечащий врач (врач ОРИТ).

Таблица 1.

Динамика изменений в легких по данным РГ и КТ

Динамика процесса Признаки
Начальные проявления в первые дни заболевания Типичная картина
- Субплевральные участки уплотнения по типу "матового стекла" с консолидацией или без нее, с утолщением перегородок (симптом "булыжной мостовой") или без них;
- Участки уплотнения по типу "матового стекла" округлой формы перибронхиального расположения, с консолидацией или без нее, с утолщением перегородок (симптом "булыжной мостовой") или без них;
- Сочетание участков "матового стекла" и консолидации с симптомом "обратного ореола" и других признаков организующейся пневмонии;
- Расположение изменений двустороннее, преимущественно периферическое.
Положительная динамика изменений (стабилизация) - Преобразование участков "матового стекла" в уплотнения по типу консолидации (нарастание плотности измененных участков легочной ткани) без видимого увеличения объема (протяженности) поражения легких;
- Формирование картины организующейся пневмонии;
- Уменьшение размеров уплотненных участков легочной ткани.
Отрицательная динамика изменений (прогрессирование) Нарастание изменений:
- Увеличение размеров (протяженности, объема) имевшихся участков уплотнения по типу "матового стекла";
- Появление новых участков "матового стекла";
- Слияние отдельных участков "матового стекла" в более крупные уплотнения вплоть до субтотального поражения легких;
- Выраженность участков "матового стекла" по-прежнему значительно преобладает над консолидацией.
Появление новых признаков других патологических процессов:
- Левожелудочковая недостаточность (гидростатический кардиогенный отек легких, двухсторонний плевральный выпот),
- Респираторный дистресс-синдром (отек легких);
- Бактериальная пневмония (новые локальные участки консолидации, плевральный выпот);
- Абсцесс легкого и множественные септические эмболии;
- Пневмоторакс и пневмомедиастинум;
- Тромбоэмболия мелких ветвей легочной артерии (в т.ч. при снижении сатурации на фоне стабильной рентгенологической картины - может потребоваться КТ ОГК с контрастированием);
- Другие.
Картина ОРДС Обычно характерны:
- Двусторонние субтотальные уплотнения легочной ткани по типу консолидации и "матового стекла";
- Расположение в средних и верхних отделах легких;
- Вздутие базальных сегментов;
- Градиент уплотнений в зависимости от положения пациента (на спине, на животе);
- Симптом воздушной бронхографии;
- Увеличение объема поражения 50% за 24 - 48 ч на фоне дыхательных нарушений;
- Жидкость в плевральных полостях (гидроторакс).
Обычно не характерны (при отсутствии недостаточности кровообращения):
- Линии Керли, перибронхиальные муфты;
- Расширение левых камер сердца, сосудистой ножки сердца.
Разрешение - Уменьшение размеров участков консолидации и "матового стекла" (картины организующейся пневмонии);
- Длительность существования изменений в легких может существенно превышать сроки клинических проявлений инфекции;
- Наличие остаточных уплотнений в легочной ткани не влияет на длительность терапии инфекционного заболевания и не является показанием к ее продолжению в отсутствии клинических проявлений острого воспалительного процесса;
- Допустимы новые зоны "матового стекла" не более 25% поперечного размера гемиторакса.

Б. Иллюстрации к вероятностной классификации изменений легких при пневмонии COVID-19 по данным КТ (РГ)

Все выявленные изменения должны трактоваться с учетом эпидемиологической ситуации (эпидемия COVID-19) и клинико-лабораторных данных. Нормальная и/или почти нормальная картина при КТ, и особенно РГ, может отмечаться у пациентов с COVID-19 на начальной стадии болезни (1 - 5-й дни заболевания, до развития пневмонии) или у бессимптомных носителей вируса, которые могут быть источником заражения других людей.

Б.1 РЕНТГЕНОГРАФИЯ ГРУДНОЙ КЛЕТКИ

Типичная картина. Высокая вероятность COVID-пневмонии
1. Множественные периферические затемнения в нижних долях легких, на их фоне имеются округлые тени 2. Множественные периферические округлые затемнения в нижних долях легких, сливающиеся между собой
Неопределенная картина.
Средняя вероятность пневмонии COVID-19
Нетипичная картина.
Низкая вероятность пневмонии COVID-19
Диффузные затемнения в легочных полях, равномерно распределенные по легким без преимущественной периферической локализации Усиление легочного рисунка с обеих сторон, повышение плотности стенок бронхов

Источник: D.Geffen, UCLA Health

Б.2 КОМПЬЮТЕРНАЯ ТОМОГРАФИЯ ГРУДНОЙ КЛЕТКИ

Типичная картина. Высокая вероятность пневмонии COVID-19
Многочисленные выраженные двусторонние субплевральные уплотнения легочной ткани по типу "матового стекла"
 
Участки уплотнения по типу "матового стекла" округлой формы периферического и перибронхиального расположения, с консолидацией
 
Множественные округлые участки уплотнения по типу "матового стекла" округлой формы периферического и перибронхиального расположения
 
Двусторонние, преимущественно периферические, субплевральные уплотнения легочной ткани по типу "матового стекла" с утолщением перегородок (симптом "булыжной мостовой")
Неопределенная картина. Средняя вероятность пневмонии COVID-19
Мелкие участки "матового стекла" без типичного (периферического) распределения, хаотично расположенные внутри легких
   
Единичные мелкие участки матового стекла, без периферической локализации
Нетипичная картина. Низкая вероятность пневмонии COVID-19
Симптом "дерева в почках" с перибронхиальной инфильтрацией в одной доле (брохопневмония, бронхиолит)
 
Выраженная инфильтрация и консолидация в пределах одной доли (картина долевой бактериальной пневмонии)
 
Симметричные центральные очаги повышенной плотности по типу "крыльев бабочки", гидроторакс - КТ-картина альвеолярного отека легких

Б.3 ОСНОВНЫЕ КТ СИМПТОМЫ ПАТОЛОГИИ ЛЕГКИХ ПРИ ВИРУСНЫХ ПОРАЖЕНИЯ ЛЕГКИХ

Матовое стекло Консолидация
Участок частично воздушной легочной ткани, на фоне которого видны сосуды, просветы бронхов и их стенки. Значительно более точно выявляется при КТ, чем при РГ. Участок безвоздушной легочной ткани с видимыми в нем воздушными просветами бронхов и воздушными полостями (например, эмфиземы). Сосуды и стенки бронхов в зоне уплотнения не видны. Выявляется одинаково точно при РГ и КТ.
Ретикулярные изменения Симптом "булыжной мостовой"
Тонкие линии патологически измененного легочного интерстиция, формирующие сеть.
КТ-симптом. При РГ обозначаются как сетчатая (ячеистая) деформация легочного рисунка.
Синоним: симптом "лоскутного одеяла". Изображение ретикулярных изменений на фоне уплотнения по типу "матового стекла". КТ-симптом.
Перибронховаскулярное распределение Перилобулярные изменения
Расположение измененных участков легочной ткани вдоль бронхов и сосудов легкого.
Одинаково выявляется при РГ и КТ.
Уплотнение легочной ткани вдоль междольковых перегородок, один из важных признаков организующейся пневмонии. КТ-симптом.
Кортикальное (субплевральное, периферическое) распределение Прикорневое (центральное) распределение
Расположение измененных участков легочной ткани вдоль висцеральной плевры (реберной, диафрагмальной, медиастинальной, междолевой). Одинаково выявляется при РГ и КТ. Расположение измененных участков легочной ткани в области корня легкого. Одинаково выявляется при РГ и КТ.
Симптом воздушной бронхографии Симптом ореола
Видимость заполненных воздухом бронхов в уплотненной легочной ткани. Свидетельствует о сохранении бронхиальной проходимости. КТ-симптом. Синоним: симптом ободка. Зона "матового стекла" вокруг зоны консолидации или участка деструкции (некроза). Обычно имеет кольцевидную форму. КТ-симптом.
Симптом обратного ореола Полость в легком или участке консолидации
Синоним: симптом обратного ободка, симптом "атолла".
Зона консолидации вокруг участка "матового стекла". Может иметь любую форму и размеры. Характерный признак организующейся пневмонии. КТ-симптом.
Замкнутое патологическое пространство в легком с толстыми (> 2 - 3 мм) стенками, окруженное воздушной легочной тканью. Полость содержит газ, жидкость, некротические массы). Обычно наблюдается при бактериальных инфекциях и новообразованиях.
Точнее выявляется при КТ, особенно при небольших размерах.
Киста в легком Очаг(и) в легких
Замкнутое патологическое пространство в легком с тонкими (< 2 мм) стенками, заполненное газом или жидкостью. КТ-симптом. Уплотнение в легочной ткани размером до 10 мм. Могут быть одиночными, единичными (до 6) и множественными (диссеминация). Точнее выявляется при КТ (Термин "узелок" является синонимом, но не рекомендуется к употреблению).
Симптом "дерево в почках" Картина организующейся пневмонии
V- и Y-образные патологические структуры в легком размером до 1 см, представляющие заполненные патологическим содержимым и расширенные мелкие бронхи и бронхиолы. Важный признак бронхогенной инфекции нижних дыхательных путей.
КТ-симптом.
Вариабельна. Обычно сочетание участков "матового стекла" и консолидации с симптом обратного ободка и типичным перибронховаскулярным и/или субплевральным распределением. Совокупность КТ-симптомов.

В. Рекомендации по УЗИ в условиях пандемии COVID-19

1) УЗИ легких у пациентов с подозрением или подтвержденным диагнозом COVID-19 можно проводить на любых УЗ аппаратах с условием обязательного соблюдения всех правил безопасности работы персонала и дезинфекции помещений и оборудования. Предпочтительно выделение одного или нескольких УЗ аппаратов для работы с пациентами с подозрением или подтвержденным диагнозом COVID-19. В зависимости от контингента исследуемых и технического оснащения учреждения могут использоваться конвексные (предпочтительно для взрослых), линейные (предпочтительно для новорожденных и детей младшего возраста), секторные фазированные и микроконвексные датчики.

2) Рекомендуется использование стандартизированной технологии УЗИ легких.

3) Для упрощения интерпретации данных и удобства динамического контроля рекомендуется оценка УЗ изменений в легких по градациям.

4) Нет достаточного количества научных данных для использования УЗИ легких при сортировке пациентов с подозрением или подтвержденным диагнозом COVID-19.

5) С помощью УЗИ легких нельзя поставить диагноз COVID-19.

6) С помощью УЗИ легких нельзя исключить диагноз COVID-19.

7) Нет достаточного количества научных данных для оценки тяжести поражения легких с помощью УЗИ. Результаты УЗИ легких должны сопоставляться с клинико-лабораторной картиной и данными КТ. Самостоятельного значения при COVID-19 они не имеют.

8) УЗИ легких не может заменить РГ И КТ ОГК в диагностике пневмонии у пациентов с подозрением или подтвержденным диагнозом COVID-19, но при увеличении потока больных может быть включено в рациональный алгоритм диагностики пневмонии для отдельных групп пациентов (например, беременные, новорожденные) при условии наличия подготовленного врачебного персонала.

9) УЗИ легких не может заменить РГ И КТ ОГК в динамическом наблюдении пациентов с пневмонией при COVID-19, но при увеличении потока пациентов может быть включено в рациональный алгоритм динамического наблюдения при условии наличия (1) первоначальной информации об истинном объеме и причине поражения легких и (2) подготовленного врачебного персонала.

10) Необходимо обязательное соблюдение правил безопасности работы персонала и дезинфекции помещений и оборудования независимо от того, по какой причине проводится УЗИ пациентам с подозрением или подтвержденным диагнозом COVID-19.

11) При наличии клинических показаний УЗ диагностика может применяться для оценки состояния других анатомических областей и отдельных органов с целью выявления патологических изменений и оценки их динамики, однако в приоритете должен быть принцип разумной достаточности. Обязательным является проведение УЗИ по экстренным показаниям. Обследования, не являющиеся необходимыми, следует отложить или отменить, чтобы свести к минимуму возможность контактов здоровых пациентов с пациентами группы риска по COVID-19 в условиях медицинской организации. При невозможности отмены плановых УЗИ для уменьшения риска заражения COVID-19 важно: (1) соблюдать расписание приема с сохранением необходимого времени на каждого пациента; (2) увеличить интервалы между пациентами, чтобы избежать скопления ожидающих пациентов; (3) обеспечить расстояние между креслами для ожидания не менее 2 м друг от друга.

Более детально информация по ультразвуковому исследованию легких и безопасности ультразвуковых исследований в условиях COVID-19 представлена на сайте www.rasudnrorg в следующих документах:

1. Abramowicz J.S., Basseal J. Заявление о позиции WFUMB: как безопасно проводить ультразвуковое исследование и обеззараживать ультразвуковое оборудование в условиях COVID-19//Ультразвуковая и функциональная диагностика. 2020. N 1. С. 12 - 23. Doi: 10.24835/1607-0771-2020-1-12-23. Опубликовано до печати. Режим доступа://http://www.rasudm.org/files/WFUMB-Position-Statement-COVID.pdf, свободный. Загл. с экрана. 16.04.2020.

2. Митьков В.В., Сафонов Д.В., Митькова М.Д., Алехин М.Н., Катрич А.Н., Кабин Ю.В., Ветшева Н.Н., Худорожкова Е.Д., Лахин Р.Е., Кадрев А.В., Дорошенко Д.А., Гренкова Т.А. Консенсусное заявление РАСУДМ об ультразвуковом исследовании легких в условиях пандемии COVID-19 (версия 2)//Ультразвуковая и функциональная диагностика. 2020. N 1. С. 46 - 77. Doi: 10.24835/1607-0771-2020-1-46-77. Опубликовано до печати. Режим доступа://http://www.rasudm.org/ffles/RASUDM-Consensus- Statement-COVID-2.pdf, свободный. Загл. с экрана. 30.04.2020.

Приложение 2-1

ОБЪЕМ ЛАБОРАТОРНОГО И ИНСТРУМЕНТАЛЬНОГО ОБСЛЕДОВАНИЯ БОЛЬНЫХ С COVID-19 ИЛИ ПОДОЗРЕНИЕМ НА COVID-19

ДН - дыхательная недостаточность; КТ ОГТ - компьютерная томография органов грудной клетки; РГК - рентген грудной клетки КлАнКр - клинический анализ крови, СРВ - С-реактивный белок, б/х - биохимический анализ крови, КГр - коагулограмма (Протромбиновое время, АЧТВ, фибриноген)

Приложение 2-2

ЛАБОРАТОРНЫЙ МОНИТОРИНГ ПАЦИЕНТОВ С COVID-19 ИЛИ С ПОДОЗРЕНИЕМ НА COVID-19 В ЗАВИСИМОСТИ ОТ ТЯЖЕСТИ СОСТОЯНИЯ

Легкое и среднетяжелое течение
Амбулаторное лечение
Среднетяжелое течение Госпитализация Тяжелое течение
ОРИТ
Клинический анализ крови Клинический анализ крови не позднее 12 часов после поступления x 1 раз в 2 - 3 дня Клинический анализ крови не позднее 3 часов после поступления, ежедневно и по показаниям
Биохимические исследования по показаниям Биохимические исследования x 1 раз в 2 - 3 дня Биохимические исследования ежедневно и по показаниям
  Контроль гемостаза: D-димер не позднее 24 часов от поступления
Коагулограмма (АЧТВ, протромбиновое время, фибриноген, D-димер) - не реже 2 раз в неделю, далее по показаниям
Контроль гемостаза: D-димер при поступлении в ОРИТ Коагулограмма (АЧТВ, протромбиновое время, фибриноген) ежедневно; D-димер - не реже 1 раза
в 2 дня, далее по показаниям
  СРБ не позднее 24 часов от поступления, далее - не реже 2 раз в неделю; прокальцитонин не менее 1 раза, далее - по показаниям
Ферритин при поступлении и повторно по показаниям - не менее 2 раз;
ИЛ-6 при доступности
СРБ - не реже 1 раза в 2 дня, прокальцитонин - не менее 1 раза и по показаниям
ферритин, тропонин при поступлении и в динамике по показаниям;
ИЛ-6, NT-proBNP/BNP, T- и B-лимфоциты при доступности

Приложение 3-1

ИНСТРУКЦИЯ ПО ПРОВЕДЕНИЮ ДИАГНОСТИКИ COVID-19 С ПРИМЕНЕНИЕМ МЕТОДОВ АМПЛИФИКАЦИИ НУКЛЕИНОВЫХ КИСЛОТ

Общие положения

В соответствии с приказом Министерства здравоохранения Российской Федерации N 198н и Методическими рекомендациями МР 3.1.0169-20 "Лабораторная диагностика COVID-19", утвержденными Главным санитарным врачом Российской Федерации 30.03.2020, диагностика новой коронавирусной инфекции проводится во всех лабораториях Российской Федерации вне зависимости от их организационно-правовой формы (далее - Лаборатория), имеющих санитарно-эпидемиологическое заключение о возможности проведения работ с возбудителями инфекционных заболеваний человека III - IV патогенности и условия для исследований с применением МАНК.

Для выявления возбудителя SARS-CoV-2 используются МАНК (без накопления возбудителя), с применением зарегистрированных в установленном порядке на территории Российской Федерации тест-систем, в соответствии с инструкциями по их применению.

Этиологическая диагностика COVID-19 проводится с применением МАНК: полимеразной цепной реакции (ПЦР) и изотермальной амплификации (LAMP).

Для выявления COVID-19 исследуются респираторные диагностические материалы, взятые у пациента: мазки из носоглотки и ротоглотки, мокрота, эндотрахеальный аспират, бронхоальвеолярный лаваж и другие виды материала.

Сбор, хранение и транспортировка диагностического материала

Забор диагностического материала, его упаковка, маркировка и транспортировка осуществляется в соответствии с требованиями и правилами к работе с материалами, потенциально инфицированными возбудителями II группы патогенности, их хранении и транспортировки согласно МУ 1.3.2569-09 "Организация работы лабораторий, использующих МАНК при работе с материалом, содержащим микроорганизмы I - IV групп патогенности" и Методическими рекомендациями Роспотребнадзора МР 3.1.0169-20 "Лабораторная диагностика COVID-19".

Медицинский работник, выполняющий забор диагностического материала, его маркировку и упаковку, должен пройти инструктаж по санитарно-эпидемиологическим требованиям и правилам биологической безопасности при работе с пациентами, потенциально инфицированными микроорганизмами II группы патогенности. Биологический материал (мазки из носоглотки, ротоглотки, фекалии) может быть отобран самостоятельно пациентом согласно инструкции. Медицинский работник должен быть обеспечен СИЗ: респираторы типа FFP2 или их эквивалент, или пневмошлем, обеспечивающий более высокий уровень защиты; очки для защиты глаз или защитный экран; противочумный костюм, одноразовые латексные (резиновые) перчатки; водонепроницаемый фартук.

Мазок из носоглотки или ротоглотки (зева) берется стерильным тампоном, который после взятия материала помещается в стерильную пластиковую пробирку с транспортной средой (с учетом рекомендаций производителя применяемых наборов реагентов). Для повышения концентрации вируса носоглоточные и орофарингеальные мазки должны быть помещены в одну пробирку. Температура при транспортировке должна быть +2° - +8 °C. Время хранения образцов до исследования не должно превышать 5 дней при +2° - +8 °C, может быть больше при -20 °C или -70 °C.

Мокрота собирается в одноразовый стерильный пластиковый контейнер объемом 30 - 50 мл, герметично закрывающийся завинчивающейся пробкой. Диаметр горлышка контейнера должен быть не менее 30 мм. Необходимо убедиться, что собранный материал представляет собой мокроту (отделяемое нижних дыхательных путей). Транспортировка образцов может проводиться при температуре +2° - +8 °C. Время хранения образцов до исследования не должно превышать 48 часов дней при +2° - +8 °C. при хранении в транспортной среде, содержащей противогрибковые и антибактериальные препараты, более - при -20 °C или -70 °C.

Эндотрахеальный аспират, аспират носоглотки или смыв из носа собирается в стерильный одноразовый контейнер. Транспортировка образцов может проводиться при температуре +2° - +8 °C. Время хранения образцов до исследования не должно превышать 48 ч при +2° - +8 °C, более - при -20 °C или -70 °C.

Бронхоальвеолярный лаваж собирается в стерильный одноразовый контейнер. Транспортировка образцов может проводиться при температуре +2° - +8 °C. Время хранения образцов до исследования не должно превышать 48 ч при +2° - +8 °C, более - при -20 °C или -70 °C.

Ткани биопсии или аутопсии, включая легкие, помещаются в одноразовые контейнеры с физиологическим раствором, содержащим противогрибковые и антибактериальные препараты (собирается в стерильный одноразовый контейнер). Транспортировка образцов может проводиться при температуре +2° - +8 °C. Время хранения образцов до исследования не должно превышать 24 ч при +2° - +8 °C, более - при -20 °C или -70 °C.

Для идентификации образцов контейнеры/пробирки маркируются в месте сбора с использованием самоклеящихся этикеток с информацией, обеспечивающей однозначную идентификацию образца и его соответствие направлению.

Транспортировка герметично закрытых контейнеров с образцами в лабораторию осуществляется в специальных контейнерах/биксах. Направления и другая документация на бумажных носителях передается в отдельном полиэтиленовом пакете.

При необходимости пересылки образцов в лабораторию другого медицинского учреждения выполняются требования к пересылке инфекционных материалов II группы патогенности (СП 1.2.036-95 "Порядок учета, хранения, передачи и транспортирования микроорганизмов I - IV групп патогенности"),

Пробирки/контейнеры с образцами вместе с крышкой герметизируют различными пластификаторами (парафин, парафильм и др.); емкость маркируют. Образцы каждого пациента помещают в индивидуальный герметичный пакет с адсорбирующим материалом и дополнительно упаковывают в общий герметичный пакет.

Два или более образца одного пациента могут быть упакованы в один пластиковый пакет. Запрещается упаковывать образцы клинического материала от разных людей в одну упаковку.

Пакет с контейнерами помещают в герметично закрывающийся контейнер для транспортировки биологических материалов. Контейнер помещают в пенопластовый термоконтейнер с охлаждающими термоэлементами. Транспортный контейнер опечатывается и маркируется. В контейнер желательно поместить одноразовый индикатор, контролирующий соблюдение температуры от +2° до +8 °C.

Сопроводительные документы помещаются в индивидуальную упаковку отдельно от биологического материала и прочно прикрепляются снаружи контейнера.

Направление на исследование

Направление на лабораторное исследование оформляется в электронном виде (через систему удаленной электронной регистрации, или в виде электронного заказа в программе МИС врачом-клиницистом), или на бумажном носителе.

Направление на лабораторное исследование должно содержать:

- персональные данные пациента, обеспечивающие его однозначную идентификацию;

- наименование направившего биоматериал отделения (организации);

- предварительный диагноз заболевания: "пневмония" или "ОРВИ" или "обследование контактировавших лиц на SARS-CoV-2";

- указание вида диагностического материала;

- дату и время назначения лабораторного исследования;

- дату и время взятия материала;

- фамилию, имя, отчество (при наличии) и должности врача либо другого уполномоченного представителя, назначившего лабораторное исследование;

- фамилию, имя, отчество (при наличии) медицинского работника, осуществившего забор биоматериала.

При направлении диагностических материалов для исследования в лабораторию другой медицинской организации, помимо сведений, перечисленных выше, должно быть указано наименование медицинской организации, в которую направляется диагностический материал.

В направлениях образцов пациентов с респираторными симптомами, прибывших из стран с зарегистрированными случаями COVID-19, или относящихся к группам риска, должно быть отмечено "Cito". Эти образцы должны направляться в лабораторию и исследоваться в приоритетном порядке.

Передача образцов диагностических материалов от пациентов с подозрением на COVID-19 проводится с предоставлением направлений и оформлением Акта приема-передачи, в котором должны содержаться:

- наименование направившего на исследование образцы медицинского учреждения/отдела/подразделения;

- наименование принявшего на исследование образцы медицинского учреждения/отдела/подразделения;

- дату передачи образцов;

- фамилию, имя, отчество и подпись передавшего образцы сотрудника;

- фамилию, имя, отчество и подпись принявшего образцы сотрудника;

- перечень передаваемых образцов (с обозначением образцов, направленных на исследование "Cito") и их количество.

Акт оформляется в двух экземплярах, один для направившей организации, другой для принявшей образцы организации.

Сроки выполнения исследования

Время представления заключения по результатам исследования при получении отрицательных, сомнительных или положительных результатов не должно превышать 48 часов с момента поступления образца биологического материала в лабораторию, за исключением случаев выбраковки образцов. При назначении исследования "Cito" результат должен быть предоставлен в течение нескольких часов, в зависимости от применяемых наборов реагентов.

Требования к помещениям и оснащению лабораторий

Лабораторные исследования для обнаружения возбудителя COVID-19, отнесенного ко II группе патогенности, должны проводиться с соблюдением санитарно-эпидемиологических правил СП 1.3.3118-13 "Безопасность работы с микроорганизмами I - II групп патогенности (опасности)", а также при использовании молекулярно-генетических методов (без накопления возбудителя) в лабораториях, имеющих санитарно-эпидемиологическое заключение о возможности проведения работ с микроорганизмами III группы патогенности (п. 2.1.6 СП 1.3.3118-13 "Безопасность работы с микроорганизмами I - II групп патогенности (опасности)") в соответствии с требованиями СП 1.3.2518-09 (1.3.2322-08) "Безопасность работы с микроорганизмами III - IV групп патогенности (опасности) и возбудителями паразитарных болезней".

Требования к помещению и оборудованию при проведении специфической лабораторной (этиологической) диагностики COVID-19 соответствуют вышеприведенным санитарным правилам и правилам, изложенным в МУ 1.3.2569-09 "Организация работы лабораторий, использующих МАНК при работе с материалом, содержащим микроорганизмы I - IV групп патогенности". Для предотвращения перекрестной контаминации образцов амплифицированными продуктами рабочие зоны для выделения РНК и проведения МАНК с обратной транскрипцией и учета ее результатов при использовании гибридизационно-флуоресцентного метода детекции должны быть расположены в отдельных помещениях, удаленных друг от друга.

Лаборатория должна иметь оборудование, достаточное для проведения МАНК для диагностики COVID-19, с учетом применяемых методов и объема работы.

Лаборатория должна иметь СИЗ (одноразовый защитный костюм IV типа, маски, респираторы, защитные очки, одноразовые латексные (резиновые) перчатки и др.) в достаточных количествах в соответствии с СП 1.3.3118-13, включающих необходимое количество комплектов для каждой рабочей зоны, возможность смены СИЗ в течение дня, запас СИЗ, обеспечивающий бесперебойное обеспечение персонала.

Лабораторные этапы диагностики

На этапе приема, сортировки и регистрации материала лаборатория должна проводить выбраковку образцов, для которых информация в направлении не совпадает с данными на этикетке или в Акте передачи, нарушены сроки и правила транспортировки, нарушена герметичность контейнеров. Лаборатория обязана сообщить в медицинское учреждение/отделение или направившему образцы врачу о выбраковке образцов и ее причине.

Для проведения МАНК лаборатории применяют зарегистрированные в Российской Федерации как изделия медицинского назначения тест-системы/реагенты. Специалисты лаборатории должны владеть МАНК.

При получении положительного результата на COVID-2019 необходимо незамедлительно информировать территориальные органы Роспотребнадзора в субъектах Российской Федерации и направлять биологический материал в федеральные бюджетные учреждения здравоохранения - центры гигиены и эпидемиологии в субъектах Российской Федерации.

Дезинфекция, обращение с отходами

В помещениях лаборатории проводятся дезинфекционные мероприятия с учетом зонирования <1>. В помещениях рабочей зоны 1 (прием и разбор материала, его маркировка, первичная обработка и обеззараживание) ежедневно проводят текущую уборку с применением дезинфицирующих средств. В рабочих зонах 2 (выделение и очистка РНК патогена из образцов, подготовленных в рабочей зоне 1), 3 (приготовление реакционных смесей, проведение реакции обратной транскрипции, амплификации нуклеиновых кислот и учет результатов гибридизационно-флуоресцентным методом детекции) или 2 - 3 рекомендуется ежедневно проводить: обработку помещений ультрафиолетовым излучением перед началом и после окончания работ, обработку ультрафиолетовым излучением соответствующих боксов микробиологической безопасности и ПЦР-боксов после окончания каждого этапа исследований (выделения нуклеиновых кислот и проведения амплификации), обработку рабочих поверхностей боксов микробиологической безопасности и ПЦР-боксов после окончания работ хлорактивными дезинфицирующими средствами (хлорамин, дезинфицирующие средства на основе натриевой соли дихлоризоциануровой кислоты, дезинфицирующие средства на основе трихлоризоциануровой кислоты (ДП-2Т)) с удалением остатков дезинфицирующих средств с поверхностей боксов микробиологической безопасности и ПЦР-боксов с последующей обработкой ультрафиолетовым излучением в течение 30 мин перед началом работ, текущую влажную уборку полов после окончания работ разрешенными к применению дезинфицирующими средствами.

<1> МР 3.1.0229-21. Рекомендации по организации противоэпидемических мероприятий в медицинских организациях, осуществляющих оказание медицинской помощи пациентам с новой коронавирусной инфекцией (COVID-19).

При проведении исследований образуются отходы, относящиеся к классам А, Б, В и Г (СанПиН 2.1.7.2790-10 "Санитарно-эпидемиологические требования к обращению с медицинскими отходами").

Все использованные одноразовые материалы и другие отходы подвергаются обработке дезинфицирующими средствами и последующей утилизации в соответствии с СанПиН 2.1.7.2527-09 (2.1.7.728-99) "Правила сбора, хранения и удаления отходов лечебно-профилактических учреждений" и МУ 287-113 "Методические указания по дезинфекции, предстерилизационной очистке и стерилизации изделий медицинского назначения".

Приложение 3-2

ИНСТРУКЦИЯ ПО ПРОВЕДЕНИЮ ДИАГНОСТИКИ COVID-19 С ПРИМЕНЕНИЕМ ИММУНОХИМИЧЕСКИХ МЕТОДОВ

Общие положения

Иммунохимические методы используются для выявления антигенов SARS-CoV-2 и антител к вирусу и дополняют комплекс клинических, инструментальных и лабораторных методов диагностики COVID-19 новой информацией, имеющей клиническое и эпидемиологическое значение. К иммунохимическим относятся методы иммуноферментного анализа (ИФА), иммунохемилюминесценции (ИХЛ) и иммунохроматографии. Эффективность иммунохимических методов зависит от стадии инфекционного процесса, состояния иммунной системы пациента, а также от характеристик применяемых диагностических наборов.

Иммунохимические исследования для диагностики COVID-19 могут проводится во всех лабораториях Российской Федерации вне зависимости от их организационно-правовой формы, имеющих санитарно-эпидемиологическое заключение о возможности проведения работ с возбудителями инфекционных заболеваний человека III - IV патогенности и условия для исследований с применением иммунохимических методов. Для проведения исследования должны применяться зарегистрированные в установленном порядке на территории Российской Федерации диагностические наборы реагентов (тест-системы) в соответствии с инструкциями по их применению. Перечень зарегистрированных наборов реагентов представлен в Государственном реестре медицинских изделий.

Иммунохимические методы диагностики COVID-19

Выявление антигенов SARS-CoV-2 проводится иммунохроматографическими методами с помощью тест-систем, которые позволяют получить результат в режиме экспресс-диагностики COVID-19 (экспресс-тесты). Время получения результата составляет 10 - 30 минут. Диагностическая чувствительность и специфичность экспресс-тестов на антиген SARS-CoV-2 могут быть ниже, чем у тестов на основе МАНК.

Положительные результаты тестов на антиген SARS-CoV-2 могут ожидаться в тот же период развития заболевания, что и выявление РНК вируса: за 2 дня до и на протяжении 5 - 7 дней после появления симптомов. Положительный результат теста может рассматриваться как подтверждение диагноза COVID-19, отрицательный результат не позволяет исключить COVID-19.

Иммунохроматографические тесты могут применяться для экспресс-диагностики COVID-19 в ситуациях, когда проведение молекулярно-генетического тестирования МАНК невозможно, в том числе в удаленных и малонаселенных регионах. Необходимо иметь в виду, что тест на антиген SARS-CoV-2 при малой распространенности заболевания имеет более низкую прогностическую ценность положительного результата.

Выявление антител к SARS-CoV-2 проводится с помощью методов ИФА, ИХЛ или иммунохроматографии. Разработанные до настоящего времени методы ИФА и ИХЛ позволяют получать качественные, полуколичественные (коэффициент позитивности) и количественные результаты. Для проведения исследований требуется специальное оборудование. Время получения результата при применении ИФА тестов - 2 - 5 ч, ИХЛ - 1 - 2 ч.

Иммунохроматографические методы - быстрые диагностические тесты, рассматриваются как тесты "у постели больного" (время получения результата - 10 - 30 минут). Иммунохроматографические тесты являются качественными тестами и позволяют определить наличие антител к SARS-CoV-2 (IgM, IgG, суммарные антитела).

С помощью выявления отдельных классов антител к SARS-CoV-2 (IgA/IgM, IgG) возможно определение различных фаз инфекционного процесса:

- серонегативная фаза - антитела могут не выявляться в первичном образце, но выявляются во взятых через несколько дней образцах;

- активная фаза - при определении диагностически значимого уровня IgA и/или IgM в одном образце или значимого нарастания уровня IgG в парных сыворотках, взятых с интервалом в 2 - 4 недели;

- фаза реконвалесценции - концентрация IgA и IgM, как правило, существенно снижается (падение титра в 2 - 4 раза) во время выздоровления, при сохраняющихся IgG через 2 недели после курса лечения и позднее;

- перенесенная инфекция - персистенция IgG без роста его уровня в парных сыворотках и отсутствие IgA и IgM.

Определение IgG к SARS-CoV-2 через 4 недели после вакцинации позволяет подтвердить наличие поствакцинального иммунитета. Длительность периода детектируемого наличия антител не определена, но в настоящее время рассматривается как период не менее 3 месяцев.

Сбор, хранение и транспортировка образцов биологического материала

Преаналитический этап. Биоматериалом для проведения иммунохимииеских исследований может быть капиллярная кровь, сыворотка, плазма, цельная венозная кровь (в зависимости от типа тестирования и согласно инструкциям производителей).

Забор крови проводят в соответствии с ГОСТ Р 53079.4-2008 Технологии лабораторные клинические. Обеспечение качества клинических лабораторных исследований. Часть 4. Правила ведения преаналитического этапа.

Пробирки с кровью транспортируют в термоконтейнерах с надписью: "пробы крови для лабораторных исследований". В термоконтейнере должна поддерживаться температура от +4 до +8 °C. Пробы крови от лиц с установленным диагнозом COVID-19 помещают в дополнительный вторичный контейнер, затем - в термоконтейнер с надписью: "пробы с инфицированным материалом".

Образцы крови должны быть доставлены в лабораторию в кратчайшие сроки. В журнале учета лабораторных исследований регистрируют время доставки проб в лабораторию.

Хранение образцов цельной крови допустимо при температуре 20 - 25 °C не более 2 часов, при температуре 2 - 8 °C - не более 6 ч с момента забора биоматериала.

Сроки хранения проб сыворотки при температуре 2 - 8 °C - не более 4 дней. Хранение проб сывороток от 5 дней до 1 года осуществляют в замороженном виде при температуре не выше минус 18 °C. Длительное хранение проб (более года) осуществляется при температуре не выше минус 40 °C.

Аналитический этап проводится в соответствии с инструкцией к набору реагентов, который применяется для исследования.

Постаналитический этап. Оценка результатов иммунохимических исследований проводится в соответствии с инструкцией производителя применяемых медицинских изделий (тест-системы/набора реагентов и оборудования). Рекомендации по интерпретации результатов исследований приведены в таблице.

Интерпретация результатов исследований методами амплификации нуклеиновых кислот и иммунохимическими методами

Результаты исследования SARS-CoV-2 Интерпретация <*>
РНК Антиген IgM/IgA IgG
- - - - Отсутствие текущей и ранее перенесенной инфекции COVID-19
+ + - - Острая фаза инфекции. Серонегативный период. Результат может предшествовать появлению симптомов COVID-19
+ + + - Острая фаза инфекции, Начало развития иммунного ответа
+ + + + Острая фаза инфекции, выраженный иммунный ответ на инфекцию COVID-19
- - + + Поздняя фаза заболевания или выздоровление, выраженный иммунный ответ.
- - - + Наличие инфекции COVID-19 в прошлом или период выздоровления. Сформирован иммунитет к SARS-CoV-2.

<*> Результаты исследований суммарных антител интерпретируются в соответствии с включенным в определение видом антител.

Интерпретация результатов иммунохимических исследований должна проводиться с учетом анамнеза и клинических данных, а также результатов других лабораторных и инструментальных исследований. Необходимо также учитывать вероятность получения ложноположительных и ложноотрицательных результатов.

Ложноположительные результаты могут появиться при наличии в крови пациента так называемых "перекрестно-реагирующих" антител, сходных по своим иммунохимическим свойствам со специфическими антителами (других коронавирусов, ревматоидным фактором IgM). Ложноотрицательные результаты могут быть получены при исследовании биологических образцов, взятых на серонегативном этапе развития инфекции, или при применении наборов реагентов (тест-систем) с низким уровнем чувствительности. Ложноотрицательные результаты могут быть получены при обследовании пациентов со сниженным иммунитетом.

Ложноположительные и ложноотрицательные результаты могут также появляться при нарушении правил проведения лабораторных исследований на всех этапах.

Дезинфекция, обращение с отходами при проведении диагностики COVID-19 с примением иммунохимических методов проводится аналогично требованиям к дезинфекции и обращению с отходами с применением методов амплификации нуклеиновых кислот (Приложение 3-1).

Приложение 3-3

АЛГОРИТМ ЭТИОЛОГИЧЕСКОЙ ДИАГНОСТИКИ У ПАЦИЕНТОВ С ПОДОЗРЕНИЕМ НА COVID-19

<1> МАНК - методы амплификации нуклеиновых кислот (раздел 4; приложение 3.1).

<2> Определение антигена SARS-CoV-2 методами иммунохроматографии или другими иммунохимическими методами (раздел 4; приложение 3.2).

Приложение 4

ЛЕКАРСТВЕННЫЕ ВЗАИМОДЕЙСТВИЯ АНТИТРОМБОТИЧЕСКИХ И ПРЕПАРАТОВ ДЛЯ ЛЕЧЕНИЯ ПАЦИЕНТОВ С COVID-19

Приложение 5

СПИСОК ВОЗМОЖНЫХ К НАЗНАЧЕНИЮ ЛЕКАРСТВЕННЫХ СРЕДСТВ ДЛЯ ЛЕЧЕНИЯ COVID-19 У ВЗРОСЛЫХ

Препарат (МНН) Механизм действия Формы выпуска Схемы назначения Противопоказания, особые указания, побочные эффекты
Фавипиравир Ингибирует РНК-зависимую РНК-полимеразу вируса SARS-CoV-2 Таблетки С массой < 75 кг: по 1600 мг 2 р/сут в 1-й день и далее по 600 мг 2 р/сут в 2 - 10-й дни. - Повышенная чувствительность к фавипиравиру;
- Тяжелая печеночная недостаточность;
- СКФ < 30 мл/мин;
- Беременность или планирование беременности во время приема препарата и в течение 7 дней после его окончания (женщинам и мужчинам необходимо использовать наиболее эффективные методы контрацепции при половых контактах, например, презерватив со спермицидом);
- Период грудного вскармливания;
- Детский возраст до 18 лет.
С осторожностью:
У пациентов с подагрой и гиперурикемией в анамнезе, у пожилых пациентов, пациентов с печеночной недостаточностью легкой и средней степени тяжести, пациентов с почечной недостаточностью средней степени тяжести (СКФ < 60 мл/мин и > 30 мл/мин).
Может применяться как в амбулаторной практике, так и в стационаре.
С массой тела 75 кг и более: по 1800 мг 2 раза/сут в 1-й день, далее по 800 мг 2 раза/сут со 2 по 10 день.
Ремдесивир Активный метаболит выступает в качестве аналога аденозинтрифосфата (АТФ) и конкурирует с природным АТФ-субстратом за включение в формирующиеся РНК-цепи с помощью РНК-зависимой РНК-полимеразы SARS-CoV-2 Лиофилизат Лиофилизат разбавляют в 0,9% растворе натрия хлорида (до общего объема 100 или 250 мл) и вводят в/в в течение 30 - 120 мин.
1-й день: 200 мг однократно в/в.
Со 2-го дня: 100 мг в/в 1 р/сут.
Общий курс не более 10 дней.
Противопоказан:
- детям (до 18 лет);
- пациентам с СКФ < 30 мл/мин;
- при АЛТ 5 ВГН;
- при беременности и грудном вскармливании.
Запрещено вводить внутримышечно.
Иммуноглобулин человека против COVID-19 Противовирусное действие обусловлено связыванием вируса специфическими антителами к SARS-CoV-2 класса IgG Раствор для инфузий Внутривенно капельно в дозе 4 мл/кг массы тела. Начальная скорость введения - от 0,01 до 0,02 мл/кг массы тела в минуту в течение 30 минут.
Если препарат хорошо переносится, скорость введения можно постепенно увеличивать максимально до 0,12 мл/кг массы тела в минуту.
- Повышенная чувствительность к иммуноглобулину человека, особенно в редко встречающихся случаях дефицита в крови иммуноглобулина класса A (igA) и наличия антител против igA;
- Повышенная чувствительность к компонентам препарата;
- Наличие в анамнезе аллергических реакций на препараты крови человека;
- Возраст до 18 лет и старше 60 лет (в связи с отсутствием данных об эффективности и безопасности);
- Беременность и период грудного вскармливания;
- Аутоиммунные заболевания.
ИФН Обладает местным иммуномодулирующим, противовоспалительным и противовирусным действием. Интраназальные формы: спрей, капли, раствор, лиофилизат для приготовления раствора, гель или мазь В соответствии с инструкцией по применению препарата Беременным назначают только рекомбинантный ИФН-2b
Умифеновир Относится к ингибиторам слияния (фузии), взаимодействует с гемагглютинином вируса и препятствует слиянию липидной оболочки вируса и клеточных мембран. Капсулы по 200 мг 4 р/сут в течение 5 - 7 дней Противопоказан при беременности.

Приложение 6

ПРЕПАРАТЫ УПРЕЖДАЮЩЕЙ ПРОТИВОВОСПАЛИТЕЛЬНОЙ ТЕРАПИИ COVID-19 У ВЗРОСЛЫХ

Препарат (МНН) Механизм действия Формы выпуска Схемы назначения Противопоказания
Барицитиниб     4 мг 1 р/сут в течение 7 - 14 дней - Сепсис, подтвержденный патогенами, отличными от COVID-19
- Лимфопения < 0,5 * 109/л,
- Нейтропения < 1 * 109/л,
- Гемоглобин < 8 г/дл,
- Клиренс креатинина < 30 мл/мин,
- Тяжелая печеночная недостаточность/если есть подозрение на лекарственное повреждение печени,
- Активный гепатит B и/или C,
- Активный туберкулез,
- ТВГ/ТЭЛА в анамнезе
С осторожностью:
возраст старше 75 лет, прием ЦОГ-2 ингибиторов
Тофацитиниб Является селективным ингибитором JAK1 и JAK2 киназ, применяется для лечения ревматоидного артрита. При лечении COVID-19 предназначен для пациентов со средним и среднетяжелым течением в качестве дополнительной терапии Таблетки 10 мг 2 р/сут в течение 7 - 14 дней
Нетакимаб Рекомбинантные гуманизированные моноклональные антитела, ингибирующие интерлейкин-17А (ИЛ-17А) Раствор для подкожного введения 120 мг в виде двух подкожных инъекций по 1 мл (60 мг) препарата каждая. Препарат вводится 1 раз в неделю на неделях 0, 1 и 2 - Гиперчувствительность к нетакимабу, а также к любому из вспомогательных веществ препарата.
- Клинически значимые инфекционные заболевания в острой фазе, включая туберкулез.
- Детский и подростковый возраст до 18 лет.
Беременность, грудное вскармливание.
Олокизумаб Гуманизированные моноклональные антитела изотипа иммуноглобулина G4/каппа, разработанные в качестве антагониста ИЛ-6   160 мг/мл - 0,8 мл (2 флакона).
360 мг/мл (два шприца) разводят в 100 мл 0,9% раствора NaCl, вводят внутривенно капельно в течение 60 минут.
- Сепсис, подтвержденный патогенами, отличными от COVID-19;
- Гиперчувствительность к любому компоненту препарата;
- Вирусный гепатит B;
Левилимаб Моноклональные антитела, ингибируют рецепторы ИЛ-6. Применяются для лечения юношеского артрита с системным началом и ревматоидного артрита.
При лечении COVID-19 предназначены для пациентов со среднетяжелым и тяжелым течением: с острым респираторным дистресс-синдромом, тяжелым жизнеугрожающим синдромом высвобождения цитокинов.
Раствор для подкожного введения 324 мг (два преднаполненных шприца по 162 мг/0,9 мл) подкожно однократно. Эскалационная доза - 648 мг в сочетании с ГКС.
Четыре преднаполненных шприца (162 мг/0,9 мл) разводят в 100 мл 0,9% раствора NaCl, вводят внутривенно капельно в течение 60 минут.
- Сопутствующие заболевания, связанные с неблагоприятным прогнозом;
- Иммуносупрессивная терапия при трансплантации органов;
- Нейтропения составляет < 0,5 * 109/л;
- Повышение активности АСТ или АЛТ более чем в 5 раз;
- Тромбоцитопения < 50 * 109/л.
При беременности и лактации нежелательны.
Тоцилизумаб Концентрат для приготовления раствора для инфузий 4 - 8 мг/кг/введение в сочетании с ГКС. 400 мг разводят в 100 мл 0,9% раствора NaCl, вводят внутривенно капельно в течение 60 минут.
Вводить не более 800 мг.
При недостаточном эффекте повторить введение через 12 ч <*>.
Сарилумаб Раствор в шприц-ручке 200 мг или 400 мг в сочетании с ГКС. Предварительно заполненную шприц-ручку в дозировке 200 мг (1 или 2 шприца в зависимости от дозы)) развести в 100 мл 0,9% раствора NaCl, вводить в/в капельно в течение 60 минут.
При недостаточном эффекте повторить введение через 12 ч.
Канакинумаб Моноклональные антитела, ингибируют рецепторы ИЛ-1 Применяется для лечения юношеского артрита с системным началом, аутовоспалительных синдромов, подагры. При лечении COVID-19 предназначен для пациентов со среднетяжелым и тяжелым течением. Лиофилизат Канакинумаб 4 - 8 мг/кг в/в в сочетании с ГКС. Назначается при невозможности использования или неэффективности тоцилизумаба или сарилумаба.
150 мг лиофилизата растворяют в 1 мл воды для инъекций. Приготовленный концентрат вводят во флакон с 250 мл 5% раствора глюкозы. Не встряхивают.
Доза канакинумаба (объем концентрата для приготовления раствора (150 мг/мл)
300 мг - 2 мл
150 мг - 1 мл
 
Метилпреднизолон Относятся к глюкокортикостероидам, обладают иммуновоспалительным, иммунодепрессивным, противошоковым фармакологическим действием. Влияют на все фазы воспаления. Раствор 1 мг/кг на введение в/в каждые 12 ч в течение 3-х суток, с постепенным снижением дозы на 20 - 25% на введение каждые 1 - 2 суток в течение 3 - 4 суток, далее на 50% каждые 1 - 2 суток до полной отмены.
При нарастании ферритина, СРБ, цитопении применяется по схеме 125 мг/введение/в/в каждые 6 - 8 ч с последующим постепенным снижением дозы. Снижение дозы начинается при условии снижения уровня ферритина сыворотки крови не менее чем на 15%.
Применять с осторожностью при:
- Сахарном диабете,
- Гипертонической болезни,
- Язвенной болезни желудка и 12-перстной кишки,
- Ожирении,
- Признаках активной бактериальной инфекции,
- Тромботических нарушениях.
Таблетки 6 - 12 мг - однократно утром, после приема пищи, за 12 ч до начала снижения дозы метилпреднизолона для в/в введения, в течение 7 дней, с 8 дня постепенное снижение дозы на 2 мг в сутки.
Дексаметазон Раствор 8 - 20 мг/сутки внутривенно в зависимости от тяжести состояния пациента за 1 - 2 введения.
При нарастании ферритина, СРБ, цитопении применяется по схеме 20 мг/внутривенно в два введения в течение не менее 3 дней с последующим постепенным снижением дозы. Снижение дозы начинается при условии снижения уровня ферритина сыворотки крови не менее чем на 15%.
Гидрокортизон Раствор Внутривенное (болюсное) введение в дозе 50 - 100 мг, с последующим медленным, внутривенным введением в течение часа в дозе 200 мг в сутки только при развитии надпочечниковой недостаточности
Будесонид Относится к глюкокортикостероидам, обладает противовоспалительным действием. Влияет на все фазы воспаления. Дозированный порошковый ингалятор По 800 мкг 2 раза в сутки - Детский возраст до 6 лет;
- Повышенная чувствительность к будесониду.
С осторожностью: (требуется более тщательное наблюдение за больными) следует назначать препарат пациентам с активной формой туберкулеза легких, грибковыми, вирусными, бактериальными инфекциями органов дыхания, циррозом печени. При назначении следует принимать во внимание возможное проявление системного действия ГКС.

<*> Дополнительное назначение ингибиторов ИЛ-6 в той же дозе через 12 ч:

- отсутствие или недостаточный клинический эффект (не купировалась лихорадка).

Приложение 7-1

АНТИКОАГУЛЯНТЫ ДЛЯ ЛЕЧЕНИЯ COVID-19 У ВЗРОСЛЫХ

Препарат Профилактическая доза Промежуточная доза <2> Лечебная доза
Антикоагулянты для парентерального введения
Нефракционированный гепарин Подкожно 5000 ЕД 2 - 3 раза/сут Подкожно 7500 ЕД 2 - 3 раза/сут В/в инфузия оптимально под контролем анти-Xa активности (АЧТВ может повышаться при COVID-19, поэтому может быть ненадежным). Начальная доза при венозных тромбоэмболических осложнениях - внутривенно болюсом 80 ЕД/кг (максимально 5000 ЕД) и инфузия с начальной скоростью 18 ЕД/кг/ч.
Далтепарин натрия <1> Подкожно 5000 анти-Xa МЕ 1 раз/сут. Подкожно 5000 анти-Xa МЕ 2 раза/сут Подкожно 100 анти-Xa МЕ/кг 2 раза/сут
Надропарин кальция <1> Подкожно 3800 анти-Xa МЕ (0,4 мл) 1 раз/сут при массе тела 70 кг или 5700 анти-Xa МЕ (0,6 мл) 1 раз/сут при массе тела > 70 кг Подкожно 5700 анти-Xa МЕ (0,6 мл) 2 раза/сут Подкожно 86 анти-Xa МЕ/кг 2 раза/сут
Эноксапарин натрия <1> Подкожно 4000 анти-Xa МЕ (40 мг) 1 раз/сут Подкожно 4000 анти-Xa МЕ (40 мг) 2 раза/сут; возможно увеличение до 50 МЕ (0,5 мг)/кг 2 раза/сут Подкожно 100 анти-Xa МЕ (1 мг)/кг 2 раза/сут, при клиренсе креатинина 15 - 30 мл/мин 100 анти-Xa МЕ (1 мг)/кг 1 раз/сут
Парнапарин натрия <1> Подкожно 0,3 мл (3200 анти-Xa МЕ) или 0,4 мг (4250 анти-Xa МЕ) 1 раз/сут Подкожно 0,3 мл (3200 анти-Xa МЕ) 2 раза/сут Подкожно 0,6 мл (6400 анти-Xa МЕ) 2 раза/сут
Бемипарин натрия <1> Подкожно 2500 анти-Xa МЕ 1 раз/сут Подкожно 3500 анти-Xa МЕ 1 раз/сут  
Фондапаринукс натрия <1> Подкожно 2,5 мг 1 раз/сут. При клиренсе креатинина 20 - 50 мл/мин - 1,5 мг 1 раз/сут   Лечение ТГВ/ТЭЛА: 5 мг 1 раз/сут при массе тела до 50 кг;
7,5 мг 1 раз/сут при массе тела 50 - 100 кг; 10 мг 1 раз/сут при массе тела выше 100 кг
Пероральные антикоагулянты <3>
Ривароксабан 10 мг 1 раз/сут   Лечение ТГВ/ТЭЛА: 15 мг 2 раза/сут 21 сутки, затем 20 мг 1 раз/сут не менее 3 месяцев
Апиксабан 2,5 мг 2 раза/сут   Лечение ТГВ/ТЭЛА: 10 мг 2 раза/сут 7 суток, затем 5 мг 2 раза/сут как минимум 3 месяца
Дабигатрана этексилат <4> 110 мг 2 раза/сут;
75 мг 2 раза/сут у больных с клиренсом креатинина 30 - 49 мл/мин
  Лечение ТГВ/ТЭЛА: после как минимум 5 суток введения лечебных доз парентеральных антикоагулянтов 150 мг 2 раза/сут не менее 3 месяцев

Примечания:

1 - при выраженной почечной недостаточности противопоказаны (см. инструкцию к препаратам);

2 - единого определения промежуточных доз антикоагулянтов нет;

3 - при отсутствии антикоагулянтов для парентерального введения;

4 - эффективность дабигатрана этексилата в профилактике ТГВ/ТЭЛА изучена только при крупных ортопедических вмешательствах.

Рутинное мониторирование анти-Xa активности в крови при подкожном введении антикоагулянтов не требуется. Однако, если возможно, его целесообразно использовать для подбора дозы у больных с очень низкой или высокой массой тела, выраженным нарушением функции почек, высоким риском кровотечений, при беременности. Целевые значения для профилактического применения 0,2 - 0,6 анти-Xa ЕД/мл, для лечебных доз 0,6 - 1,0 анти-Xa ЕД/мл. При применении НМГ кровь для определения анти-Xa активности берется через 4 - 6 ч после введения препарата (оптимально после 3 - 4-х инъекций), при подкожном введении промежуточных доз НФГ - посередине между инъекциями, при внутривенной инфузии НФГ - через 6 часов после каждого изменения дозы.

Приложение 7-2

АЛГОРИТМ ПРИМЕНЕНИЯ АНТИКОАГУЛЯНТОВ ДЛЯ ЛЕЧЕНИЯ COVID-19 У ВЗРОСЛЫХ ПАЦИЕНТОВ В УСЛОВИЯХ СТАЦИОНАРА

Приложение N 7-3

АЛГОРИТМ ПРИМЕНЕНИЯ АНТИКОАГУЛЯНТОВ ДЛЯ ЛЕЧЕНИЯ COVID-19 У ВЗРОСЛЫХ ПАЦИЕНТОВ В АМБУЛАТОРНЫХ УСЛОВИЯХ

Приложение 8-1

РЕКОМЕНДОВАННЫЕ СХЕМЫ ЛЕЧЕНИЯ В АМБУЛАТОРНЫХ УСЛОВИЯХ

N Препарат Режим дозирования
  Легкое течение
Схема 1
(приоритетная)
1 Фавипиравир Для пациентов с массой тела < 75 кг:
по 1600 мг 2 р/сут в 1-й день и далее по 600 мг 2 р/сут со 2 по 10 дни.
Для пациентов с массой тела 75 кг и более:
по 1800 мг 2 раза/сут в 1-й день, далее по 800 мг 2 раза/сут со 2 по 10 день.
2 ИФН-, интраназальные формы В соответствии с инструкцией по применению препарата (спрей, капли, раствор, лиофилизат для приготовления раствора, гель или мазь)
3 Парацетамол 1 - 2 табл. (500 - 1000 мг) 2 - 3 р/сут, не более 4 г в сутки (при температуре тела > 38,0 °C)
Схема 2 1 Умифеновир 200 мг 4 р/сут в течение 5 - 7 дней
2 ИФН-, интраназальные формы В соответствии с инструкцией по применению препарата (спрей, капли, раствор, лиофилизат для приготовления раствора, гель или мазь)
3 Парацетамол 1 - 2 табл. (500 - 1000 мг) 2 - 3 р/сут, не более 4 г в сутки (при температуре тела > 38,0 °C)
  Среднетяжелое течение
Схема 1 1 Фавипиравир Для пациентов с массой тела < 75 кг:
по 1600 мг 2 р/сут в 1-й день и далее по 600 мг 2 р/сут со 2 по 10 день.
Для пациентов с массой тела 75 кг и более:
по 1800 мг 2 раза/сут в 1-й день, далее по 800 мг 2 раза/сут со 2 по 10 день.
2 ИФН-, интраназальные формы В соответствии с инструкцией по применению препарата (спрей, капли, раствор, лиофилизат для приготовления раствора, гель или мазь)
3 Парацетамол 1 - 2 табл. (500 - 1000 мг) 2 - 3 р/сут, не более 4 г в сутки (при температуре тела > 38,0 °C)
4 <1> Ривароксабан 10 мг 1 р/сут вплоть до 30 дней
или
Апиксабан 2,5 мг 2 р/сут вплоть до 30 дней
или  
Дабигатрана этексилат <2> 110 мг 2 раза/сут; 75 мг 2 раза/сут у больных с клиренсом креатинина 30 - 49 мл/мин вплоть до 30 дней

Антибактериальная терапия длительностью 3 - 7 дней назначается в соответствии с разделом 5.4 только при наличии убедительных признаков присоединения бактериальной инфекции, включая лейкоцитоз > 12 x 109/л (при отсутствии предшествующего применения глюкокортикоидов), палочкоядерный сдвиг 10%, появление гнойной мокроты, повышение уровня прокальцитонина (при уровне прокальцитонина 0,1 нг/мл вероятность бактериальной инфекции является низкой, при уровне 0,5 нг/мл вероятность бактериальной инфекции является высокой)

1 - при наличии факторов риска тромбообразования (пациентам с сильно ограниченной подвижностью, наличием ТГВ/ТЭЛА в анамнезе, активным злокачественным новообразованием, крупной операцией или травмой в предшествующий месяц, носителям ряда тромбофилий (дефициты антитромбина, протеинов C или S, антифиосфолипидный синдром, фактор V Лейден, мутация гена протромбина G-20210A), а также при сочетании дополнительных факторов риска ТГВ/ТЭЛА: возраст старше 70 лет, сердечная/дыхательная недостаточность, ожирение, системное заболевания соединительной ткани, гормональная заместительная терапия/прием оральных контрацептивов);

2 - эффективность дабигатрана этексилата в профилактике ТГВ/ТЭЛА изучена только при крупных ортопедических вмешательствах.

Приложение 8-2

РЕКОМЕНДОВАННЫЕ СХЕМЫ ЛЕЧЕНИЯ В УСЛОВИЯХ СТАЦИОНАРА

N Препарат Режим дозирования
  Легкое течение <1>
Схема 1 1 Фавипиравир Для пациентов с массой тела < 75 кг:
по 1600 мг 2 р/сут в 1-й день и далее по 600 мг 2 р/сут со 2 по 10 день.
Для пациентов с массой тела 75 кг и более:
по 1800 мг 2 раза/сут в 1-й день, далее по 800 мг 2 раза/сут со 2 по 10 день.
2 ИФН-, интраназальные формы В соответствии с инструкцией по применению препарата (спрей, капли, раствор, лиофилизат для приготовления раствора, гель или мазь)
3 Антикоагулянтный препарат для парентерального введения в профилактической дозе, см. Приложение 7-1
4 НПВП по показаниям
Схема 2 1 Умифеновир 200 мг 4 р/сут в течение 5 - 7 дней
2 ИФН-, интраназальные формы В соответствии с инструкцией по применению препарата (спрей, капли, раствор, лиофилизат для приготовления раствора, гель или мазь)
3 Антикоагулянтный препарат для парентерального введения в профилактической дозе, см. Приложение 7-1
4 НПВП по показаниям
  Среднетяжелое течение <1>
Схема 1 1 Фавипиравир Для пациентов с массой тела < 75 кг:
по 1600 мг 2 р/сут в 1-й день и далее по 600 мг 2 р/сут со 2 по 10 день.
Для пациентов с массой тела 75 кг и более:
по 1800 мг 2 раза/сут в 1-й день, далее по 800 мг 2 раза/сут со 2 по 10 день.
2 Барицитиниб 4 мг 1 р/сут в течение 7 - 14 дней
или
Тофацитиниб 10 мг 2 р/сут в течение 7 - 14 дней
или
Нетакимаб 120 мг в виде двух подкожных инъекций по 1 мл (60 мг) препарата каждая.
Вводится 1 раз в неделю на неделях 0, 1 и 2
3 Антикоагулянтный препарат для парентерального введения, см. Приложение 7-1
4 НПВП по показаниям
Схема 2 1 Ремдесивир 1-й день: 200 мг (в 0,9% растворе натрия хлорида) однократно в/в.
Со 2-го дня: 100 мг в/в 1 р/сут.
Общий курс не более 10 дней.
2 Барицитиниб 4 мг 1 р/сут в течение 7 - 14 дней
или
Нетакимаб 120 мг в виде двух подкожных инъекций по 1 мл (60 мг) препарата каждая.
Вводится 1 раз в неделю на неделях 0, 1 и 2
3 Антикоагулянтный препарат для парентерального введения, см. Приложение 7-1
4 НПВП по показаниям
Схема 3 1 Фавипиравир Для пациентов массой тела менее 75 кг:
по 1600 мг 2 р/сут в День 1 и далее по 600 мг 2 раза в сутки в Дни 2 - 10.
Для пациентов массой тела от 75 кг:
по 1800 мг 2 р/сут в День 1 и далее по 800 мг 2 раза в сутки в Дни 2 - 10
2 Олокизумаб 160 мг/мл - 0,4 мл подкожно/0,8 мл внутривенно однократно
или
Левилимаб 324 мг (два преднаполненных шприца по 162 мг/0,9 мл) подкожно/внутривенно однократно
3 Антикоагулянтный препарат для парентерального введения, см. Приложение 7-1
4 НПВП по показаниям
Схема 4 1 Ремдесивир 1-й день: 200 мг (в 0,9% растворе натрия хлорида) однократно в/в.
Со 2-го дня: 100 мг в/в 1 р/сут.
Общий курс не более 10 дней.
2 Олокизумаб 160 мг/мл - 0,4 мл подкожно/0,8 мл внутривенно однократно
или
Левилимаб 324 мг (два преднаполненных шприца по 162 мг/0,9 мл) подкожно/внутривенно однократно
3 Антикоагулянтный препарат для парентерального введения, см. Приложение 7-1
4 НПВП по показаниям
  5 При лихорадке (t > 38,0 °C) более 3 дней при среднетяжелом течении в схемах 1 - 6 назначается антибактериальная терапия по показаниям <2>
  Тяжелые формы (пневмония с ДН, ОРДС) <1>
Схема 1 1 Фавипиравир Для пациентов с массой тела < 75 кг:
по 1600 мг 2 р/сут в 1-й день и далее по 600 мг 2 р/сут со 2 по 10 день.
Для пациентов с массой тела 75 кг и более:
по 1800 мг 2 раза/сут в 1-й день, далее по 800 мг 2 раза/сут со 2 по 10 день.
2 Тоцилизумаб 4 - 8 мг/кг/введение
400 мг разводят в 100 мл 0,9% раствора NaCl, вводят в/в капельно.
Вводить не более 800 мг.
При недостаточном эффекте (не купировалась фебрильная лихорадка) повторить введение через 12 ч.
  или
  Сарилумаб 200 мг или 400 мг подкожно/внутривенно (предварительно заполненную шприц-ручку 200 мг) развести в 100 мл 0,9% раствора NaCl, вводить в/в, при недостаточном эффекте повторить введение через 12 ч.
3 Антикоагулянтный препарат для парентерального введения, см. Приложение 7-1
4 НПВП по показаниям
Схема 2 1 Ремдесивир 1-й день: 200 мг (в 0,9% растворе натрия хлорида) однократно в/в.
Со 2-го дня: 100 мг в/в 1 р/сут.
Общий курс не более 10 дней.
2 Тоцилизумаб 4 - 8 мг/кг/введение
400 мг разводят в 100 мл 0,9% раствора NaCl, вводят в/в капельно.
Вводить не более 800 мг.
При недостаточном эффекте (не купировалась фебрильная лихорадка) повторить введение через 12 ч.
или
Сарилумаб 200 мг или 400 мг подкожно/внутривенно (предварительно заполненную шприц-ручку 200 мг) развести в 100 мл 0,9% раствора NaCl, вводить в/в, при недостаточном эффекте повторить введение через 12 ч.
3 Антикоагулянтный препарат для парентерального введения, см. Приложение 7-1
4 НПВП по показаниям
5 При лихорадке (t > 38,0 °C) более 3 дней при среднетяжелом течении в схему 1 и 2 назначается антибактериальная терапия по показаниям <2>
  Цитокиновый шторм <1>
Схема 1 1 Метилпреднизолон 1 мг/кг на введение в/в каждые 12 ч в течение 3-х суток, с постепенным снижением дозы на 20 - 25% на введение каждые 1 - 2 суток в течение 3 - 4 суток, далее на 50% каждые 1 - 2 суток до полной отмены.
При прогрессировании: 120 - 125 мг/введение/в/в каждые 6 - 8 ч.
2 Тоцилизумаб 4 - 8 мг/кг/введение
400 мг разводят в 100 мл 0,9% раствора NaCl, вводят в/в капельно.
Вводить не более 800 мг.
При недостаточном эффекте (не купировалась фебрильная лихорадка) повторить введение через 12 ч.
или
Сарилумаб 200 мг или 400 мг (предварительно заполненную шприц-ручку 200 мг) развести в 100 мл 0,9% раствора NaCl, вводить в/в, при недостаточном эффекте повторить введение через 12 ч.
  3 Антикоагулянтный препарат для парентерального введения, см. Приложение 7-1
Схема 2 1 Дексаметазон 20 мг/сутки (по 10 мг 2 раза в сутки) в/в в течение 3-х суток с постепенным снижением дозы на 20 - 25% на введение каждые 1 - 2 суток, в течение 3 - 4 суток, далее на 50% каждые 1 - 2 суток до полной отмены
2 Тоцилизумаб 4 - 8 мг/кг/введение
400 мг разводят в 100 мл 0,9% раствора NaCl, вводят в/в капельно.
Вводить не более 800 мг.
При недостаточном эффекте (не купировалась фебрильная лихорадка) повторить введение через 12 ч.
или
Сарилумаб 200 мг или 400 мг (предварительно заполненную шприц-ручку 200 мг) развести в 100 мл 0,9% раствора NaCl, вводить в/в. при недостаточном эффекте повторить введение через 12 ч.
  3 Антикоагулянтный препарат для парентерального введения, см. Приложение 7-1
Схема 3 1 Метилпреднизолон 1 мг/кг на введение в/в каждые 12 ч в течение 3-х суток, с постепенным снижением дозы на 20 - 25% на введение каждые 1 - 2 суток в течение 3 - 4 суток, далее на 50% каждые 1 - 2 суток до полной отмены.
При прогрессировании: 120 - 125 мг/введение/в/в каждые 6 - 8 ч.
2 Канакинумаб 4 - 8 мг/кг.
150 мг в 1 мл воды для инъекций, далее вводят во флакон с 250 мл 5% раствора глюкозы.
  3 Антикоагулянтный препарат для парентерального введения, см. Приложение 7-1
Схема 4 1 Дексаметазон 20 мг/сутки в/в в течение 3-х суток (по 10 мг X 2 раза в сутки) в/в с постепенным снижением дозы на 20 - 25% на введение каждые 1 - 2 суток, в течение 3 - 4 суток, далее на 50% каждые 1 - 2 суток до полной отмены
2 Канакинумаб 4 - 8 мг/кг.
150 мг в 1 мл воды для инъекций, далее вводят во флакон с 250 мл 5% раствора глюкозы.
  3 Антикоагулянтный препарат для парентерального введения, см. Приложение 7-1
Схема 5 <3> 1 Метилпреднизолон 1 мг/кг на введение в/в каждые 12 ч в течение 3-х суток, с постепенным снижением дозы на 20 - 25% на введение каждые 1 - 2 суток в течение 3 - 4 суток, далее на 50% каждые 1 - 2 суток до полной отмены.
При прогрессировании: 120 - 125 мг/введение/в/в каждые 6 - 8 ч.
или
Дексаметазон 20 мг/сутки в/в в течение 3-х суток 2 (по 10 мг X 2 раза в сутки) в/в с постепенным снижением дозы на 20 - 25% на введение каждые 1 - 2 суток, в течение 3 - 4 суток, далее на 50% каждые 1 - 2 суток по полной отмены
  2 Антикоагулянтный препарат для парентерального введения, см. Приложение 7-1
Схема 6 <4> 1 Тоцилизумаб 4 - 8 мг/кг/введение
400 мг разводят в 100 мл 0,9% раствора NaCl, вводят в/в капельно.
Вводить не более 800 мг.
При недостаточном эффекте (не купировалась фебрильная лихорадка) повторить введение через 12 ч.
или
Сарилумаб 200 мг или 400 мг (предварительно заполненную шприц-ручку 200 мг) развести в 100 мл 0,9% раствора NaCl, вводить в/в, при недостаточном эффекте повторить введение через 12 ч.
или
Канакинумаб 4 - 8 мг/кг.
150 мг в 1 мл воды для инъекций, далее вводят во флакон с 250 мл 5% раствора глюкозы.
  2 Антикоагулянтный препарат для парентерального введения, см. Приложение 7-1
Схема 7 <5> 1 Метилпреднизолон 1 мг/кг на введение в/в каждые 12 ч в течение 3-х суток, с постепенным снижением дозы на 20 - 25% на введение каждые 1 - 2 суток в течение 3 - 4 суток, далее на 50% каждые 1 - 2 суток до полной отмены.
При прогрессировании: 120 - 125 мг/введение/в/в каждые 6 - 8 ч.
Левилимаб 162 мг x 4 однократно внутривенно
2 Антикоагулянтный препарат для парентерального введения, см. Приложение 7-1
Схема 8 <5> 1 Дексаметазон 20 мг/сутки в/в в течение 3-х суток 2 (по 10 мг X 2 раза в сутки) в/в с постепенным снижением дозы на 20 - 25% на введение каждые 1 - 2 суток, в течение 3 - 4 суток, далее на 50% каждые 1 - 2 суток до полной отмены
Левилимаб 162 мг x 4 однократно внутривенно
  2 Антикоагулянтный препарат для парентерального введения, см. Приложение 7-1

<1> Иммуноглобулин человека против COVID-19 может использоваться как компонент любой из схем. Не допускается смешивание препарата с другими лекарственными средствами в одном флаконе (раздел 5.1).

<2> В соответствии с разделом 5.4.

<3> При наличии противопоказаний к применению генно-инженерных биологических препаратов.

<4> При наличии противопоказаний к применению глюкокортикостероидов.

<5> При отсутствии возможности применения тоцилизумаба/сарилумаба/канакинумаба.

Приложение 9

РЕКОМЕНДОВАННЫЕ СХЕМЫ МЕДИКАМЕНТОЗНОЙ ПРОФИЛАКТИКИ COVID-19

Группа Рекомендованная схема <*>
Здоровые лица и лица из группы риска (старше 60 лет или с сопутствующими хроническими заболеваниями) ИФН- (интраназальные формы) <**>
в соответствии с инструкцией по применению препарата (спрей, капли, раствор, лиофилизат для приготовления раствора, гель или мазь)
ИЛИ
Умифеновир по 200 мг 2 раза в неделю в течение 3 недель
Постконтактная профилактика у лиц при единичном контакте с подтвержденным случаем COVID-19, включая медицинских работников ИФН- (интраназальные формы) <**>
в соответствии с инструкцией по применению препарата (спрей, капли, раствор, лиофилизат для приготовления раствора, гель или мазь)
+
Умифеновир по 200 мг 1 раз в день в течение 10 - 14 дней

<*> При необходимости профилактические курсы повторяют.

<**> Беременным назначают только рекомбинантный ИФН-2b.

Приложение 10

ИНСТРУКЦИЯ ПО СОБЛЮДЕНИЮ МЕР ИНФЕКЦИОННОЙ БЕЗОПАСНОСТИ ДЛЯ ВЫЕЗДНЫХ БРИГАД СКОРОЙ МЕДИЦИНСКОЙ ПОМОЩИ

1. Медицинские работники выездной бригады скорой медицинской помощи (СМП), выполняющей вызов к пациенту с подозрением на COVID-19, непосредственно перед выездом надевают СИЗ. Средства индивидуальной защиты меняются после каждого больного.

2. Водитель выездной бригады СМП также обеспечивается СИЗ.

3. В процессе медицинской эвакуации пациента с подозрением на COVID-19 дезинфекция воздуха в салоне автомобиля СМП обеспечивается бактерицидными облучателями закрытого типа (рециркуляторами) и (или) другими устройствами для обеззараживания воздуха и (или) поверхностей. Все перевозимые лица обеспечиваются медицинской маской.

4. В случае загрязнения салона биологическим материалом от пациента с подозрением COVID-19 места загрязнения незамедлительно подвергают обеззараживанию.

5. Водитель и медицинские работники выездных бригад СМП обязаны продезинфицировать обувь, СИЗ рук в отведенных местах после передачи пациента в медицинскую организацию, оказывающую медицинскую помощь в стационарных условиях, специально созданную для данного контингента пациентов (далее - специальная медицинская организация).

6. После завершения медицинской эвакуации пациента с подозрением на COVID-19 в специальную медицинскую организацию автомобиль СМП и предметы, использованные при медицинской эвакуации, обеззараживаются силами дезинфекторов на территории специальной медицинской организации на специально оборудованной площадке со стоком и ямой.

7. При невозможности проведения дезинфекции салона автомобиля СМП силами дезинфекторов на территории специальной медицинской организации дезинфекция проводится водителем и медицинскими работниками выездной бригады СМП.

8. Дезинфекции в салоне автомобиля СМП подвергают все поверхности в салоне, в том числе поверхности медицинских изделий.

9. Обработка поверхностей проводится способом протирания ветошью, смоченной дезинфицирующим раствором, или способом орошения путем распыления дезинфицирующего раствора.

10. После экспозиции дезинфицирующий раствор смывают чистой водой, протирают сухой ветошью с последующим проветриванием до исчезновения запаха дезинфектанта.

11. СИЗ, использовавшиеся при оказании медицинской помощи, уборочную ветошь собирают в пакеты и сбрасывают в специальные контейнеры для отходов класса В на территории специальной медицинской организации.

12. После проведения дезинфекции в салоне автомобиля СМП при возвращении выездной бригады СМП на станцию (подстанцию, отделение) СМП проводится обеззараживание воздуха и поверхностей салона автомобиля СМП ультрафиолетовыми бактерицидными облучателями открытого типа с обеспечением УФ-дозы не менее 25 мДж/см2 и суммарным бактерицидным потоком излучения не ниже 100 Вт в течение 10 минут.

13. Водитель и медицинские работники выездной бригады СМП после выполнения вызова обязаны пройти санитарную обработку, включающую протирание открытых участков тела кожным антисептиком.

Приложение 11

АЛГОРИТМ ДЕЙСТВИЙ МЕДИЦИНСКИХ РАБОТНИКОВ, ОКАЗЫВАЮЩИХ МЕДИЦИНСКУЮ ПОМОЩЬ В АМБУЛАТОРНЫХ УСЛОВИЯХ, В ТОМ ЧИСЛЕ НА ДОМУ, ПАЦИЕНТАМ С ОРВИ

Типовые случаи Тактика ведения
  Контактный Оформление листка нетрудоспособности на 14 дней;
- Изоляция на дому на 14 дней;
- В случае появления симптомов ОРВИ или других заболеваний пациент вызывает врача на дом;
- Забор мазка из носо- и ротоглотки в день обращения с первичным осмотром врача (в кратчайшие сроки), при появлении клинических симптомов ОРВИ - немедленно.
1. Был контакт с пациентом с установленным диагнозом COVID-19.
Симптомы ОРВИ отсутствуют.
  ОРВИ легкого течения
(за исключением ОРВИ легкого течения у пациента из группы риска).
- Забор мазка из носо- и ротоглотки в день обращения для проведения лабораторного исследования на COVID-19 с первичным осмотром врача;
- Оформление листка нетрудоспособности не менее чем на 14 дней;
- Изоляция на дому на 14 дней;
- Ежедневный аудиоконтроль состояния, в случае выявления ухудшения состояния посещение пациента врачом на дому или вызов специализированной выездной бригады скорой медицинской помощи;
- Выписка при выздоровлении без проведения лабораторного исследования на COVID-19;
- При получении положительного результата теста на COVID-19 - тактика ведения пациента определяется в соответствии с Приложением N 8 к приказу Министерства здравоохранения Российской Федерации от 19 марта 2020 г. N 198н (в ред. от 23.03.2021 N 232н)
2. Наличие 2-х критериев:
- SpO2 95% (обязательный критерий);
- T < 38 °C;
- ЧДД 22.
3. ОРВИ легкого течения у пациента, относящегося к группе риска <*> Госпитализация специализированной выездной бригадой СМП.
4. ОРВИ среднетяжелого или тяжелого течения - Госпитализация выездной бригадой СМП (допускается лечение пациентов с ОРВИ среднетяжелого течения на дому при наличии условий) в медицинскую организацию, осуществляющую медицинскую помощь в стационарных условиях, определенную для данного контингента пациентов, исключив возможность госпитализации в терапевтические, пульмонологические отделения и отделения анестезиологии и реанимации иных медицинских организаций.
- При отказе пациента от госпитализации:
- забор мазка из носо- и ротоглотки в день обращения для проведения лабораторного исследования на COVID-19 с первичным осмотром врача;
- оформление листка нетрудоспособности не менее чем на 14 дней;
- изоляция на дому на 14 дней;
- ежедневный аудиоконтроль состояния, в случае выявления ухудшения состояния, посещение пациента врачом на дому или вызов на дом бригады скорой медицинской помощи;
- выписка при выздоровлении без проведения лабораторного исследования на COVID-19;
- при получении положительного результата теста на COVID-19 - тактика ведения пациента определяется в соответствии с Приложением N 8 к приказу Министерства здравоохранения Российской Федерации от 19 марта 2020 г. N 198н (в ред. от 23.03.2021 N 232н)
Наличие 2-х критериев:
- SpO2 < 95% (обязательный критерий);
- T > 38 °C;
- ЧДД > 22.

<*> Лица старше 65 лет; лица с наличием хронических заболеваний бронхолегочной, сердечно-сосудистой, эндокринной системы; системными заболеваниями соединительной ткани; хронической болезнью почек; онкологическими заболеваниями; иммунодефицитами; болезнями двигательного нейрона; циррозом печени; хроническими воспалительными заболеваниями кишечника.

Приложение 12

СПИСОК ВРЕМЕННЫХ МЕТОДИЧЕСКИХ РЕКОМЕНДАЦИЙ ДЛЯ ВРАЧЕЙ

1) Особенности клинических проявлений и лечения заболевания, вызванного новой коронавирусной инфекцией (COVID-19) у детей

2) Организация оказания медицинской помощи беременным, роженицам, родильницам и новорожденным при новой коронавирусной инфекции COVID-19

3) Медицинская реабилитация при новой коронавирусной инфекции (COVID-19)

4) Лекарственная терапия острых респираторных вирусных инфекций (ОРВИ в амбулаторной практике в период эпидемии COVID-19

5) Методические рекомендации по организации проведения профилактических медицинских осмотров и диспансеризации в условиях сохранения рисков распространения новой коронавирусной инфекции (COVID-19)

6) Методические рекомендации по кодированию и выбору основного состояния в статистике заболеваемости и первоначальной причины в статистике смертности, связанных с COVID-19

7) Клинические рекомендации Федерации анестезиологов-реаниматологов "Применение неинвазивной вентиляции легких"

8) Клинические рекомендации Федерации анестезиологов-реаниматологов "Диагностика и интенсивная терапия острого респираторного дистресс-синдрома"

9) Методические рекомендации Федерации анестезиологов-реаниматологов по анестезиолого-реанимационному ведению больных COVID-19

10) Рекомендации по психологическому сопровождению деятельности руководителей медицинских организаций и их структурных подразделений в условиях оказания медицинской помощи пациентам с COVID-19

11) Рекомендации по предупреждению психологического неблагополучия у медицинских работников в период пандемии COVID-19

12) Рекомендации для медицинских работников по совладению со стрессом в условиях пандемии COVID-19

СПИСОК ИСПОЛЬЗОВАННЫХ СОКРАЩЕНИЙ

АПФ - ангиотензин-превращающий фермент

АТФ - аденозинтрифосфат

АЧТВ - активированное частичное тромбопластиновое время

БПВП - базисный противовоспалительный препарат

в/в - внутривенно

ВГН - верхняя граница нормы

ВОЗ - Всемирная организация здравоохранения

ГИБП - генно-инженерный биологический препарат

ГКС - глюкокортикостероиды

ГЛГ - гемофагоцитарный лимфогистоцитоз

ДН - дыхательная недостаточность

ЖКТ - желудочно-кишечный тракт

ИВЛ - искусственная вентиляция легких

ИВРЗ - иммуновоспалительные ревматические заболевания

ИФН - интерферон

КНР - Китайская Народная Республика

КТ - компьютерная томография

МАНК - метод амплификации нуклеиновых кислот

МЕ - международные единицы измерения

МНО - международное нормализованное отношение

МП - метипреднизолон

НИВЛ - неинвазивная вентиляция легких

НПВП - нестероидный противовоспалительный препарат

НМГ - низкомолекулярный гепарин

НФГ - нефракционированный гепарин

ОГК - органы грудной клетки

ОДН - острая дыхательная недостаточность

ОРВИ - острая респираторная вирусная инфекция

ОРИ - острая респираторная инфекция

ОРДС - острый респираторный дистресс-синдром

ОРИТ - отделение реанимации и интенсивной терапии

ПОАК - пероральные антикоагулянты

ПЦР - полимеразная цепная реакция

ПЭП - пероральное энтеральное питание

РНК - рибонуклеиновая кислота

САМ - синдром активации макрофагов

СЗП - свежезамороженная донорская плазма

СИЗ - средства индивидуальной защиты

СИЗОД - средства индивидуальной защиты органов дыхания

СКФ - скорость клубочковой фильтрации

СМП - скорая медицинская помощь

СОЭ - скорость оседания эритроцитов

СРБ - С-реактивный белок

СШ - септический шок

ТГВ - тромбоз глубоких вен

ТИБ - транспортировочный изолирующий бокс

ТОРИ - тяжелая острая респираторная инфекция

ТОРС (SARS) - тяжелый острый респираторный синдром

ТЭЛА - тромбоэмболия легочной артерии

УФБИ - ультрафиолетовое бактерицидное излучение

ФНО-а - фактор некроза опухолей альфа

ХБП - хроническая болезнь почек

ХОБЛ - хроническая обструктивная болезнь легких

ЭКГ - электрокардиография

ЭКМО - экстракорпоральная мембранная оксигенация ЭИ - энтеральное питание

COVID-19 - инфекция, вызванная новым коронавирусом SARS-CoV-2

CPAP - режим искусственной вентиляции легких постоянным положительным давлением

FiO2 - концентрация кислорода в дыхательной смеси

IgM - иммуноглобулины класса M

IgG - иммуноглобулины класса G

IgA - иммуноглобулины класса A

MDR - штаммы с множественной резистентностью

MERS - Ближневосточный респираторный синдром

MERS-CoV - коронавирус, вызвавший вспышку Ближневосточного респираторного синдрома

MRSA - метициллин-резистентный золотистый стафилококк

NT-proBNP - мозговой натрий-уретический пептид

PaCO2 - парциальное давление в крови углекислого газа

PaO2 - парциальное давление в крови кислорода

PEEP - постоянно положительное давление в дыхательных путях (Positive End Expiratory Pressure)

PvO2 - напряжение кислорода в венозной крови

SARS (ТОРС) - тяжелый острый респираторный синдром

SARS-CoV - коронавирус, вызвавший вспышку тяжелого острого респираторного синдрома

SARS-CoV-2 - новый коронавирус, вызвавший вспышку инфекции в 2019 - 2020 гг.

SOFA - шкала SOFA (Sequential Organ Failure Assessment) для оценки органной недостаточности, риска смертности и сепсиса

SpO2 - уровень насыщенности крови кислородом (сатурация)

T - температура тела

Vt - дыхательный объем (мл)/масса тела (кг) пациента

XDR - штаммы с экстремальной резистентностью

АВТОРСКИЙ КОЛЛЕКТИВ

Авдеев Сергей Николаевич - главный внештатный специалист пульмонолог, заведующий кафедрой пульмонологии федерального государственного автономного образовательного учреждения высшего образования Первый Московский государственный медицинский университет имени И.М. Сеченова Минздрава России (Сеченовский Университет), заместитель директора Федерального государственного бюджетного учреждения "Научно-исследовательский институт пульмонологии Федерального медико-биологического агентства"

Адамян Лейла Владимировна - главный внештатный специалист по акушерству и гинекологии, заместитель директора по научной работе Федерального государственного бюджетного учреждения "Национальный медицинский исследовательский центр акушерства, гинекологии и перинатологии имени академика В.И. Кулакова" Минздрава России

Алексеева Екатерина Иосифовна - главный внештатный детский специалист ревматолог, заведующая ревматологическим отделением ФГАУ "НМИЦ здоровья детей" Минздрава России, директор Клинического института детского здоровья им. Н.Ф. Филатова федерального государственного автономного образовательного учреждения высшего образования Первый Московский государственный медицинский университет имени И.М. Сеченова Минздрава России (Сеченовский Университет)

Багненко Сергей Федорович - ректор федерального государственного бюджетного образовательного учреждения высшего образования "Первый Санкт-Петербургский государственный медицинский университет имени академика И.П. Павлова" Минздрава России, главный внештатный специалист по скорой медицинской помощи Минздрава России

Баранов Александр Александрович - главный внештатный специалист педиатр, научный руководитель Федерального государственного автономного научного учреждения "Национальный медицинский исследовательский центр здоровья детей" Минздрава России

Баранова Наталья Николаевна - главный врач Центра медицинской эвакуации и экстренной медицинской помощи Федерального государственного бюджетного учреждения "Всероссийский центр медицины катастроф "Защита" ФМБА России

Белевский Андрей Станиславович - заведующий кафедрой пульмонологии Федерального государственного автономного образовательного учреждения высшего образования "Российский национальный исследовательский медицинский университет имени Н.И. Пирогова" Минздрава России, главный внештатный специалист пульмонолог Департамента здравоохранения Москвы

Белкин Андрей Августович - главный внештатный специалист по медицинской реабилитации Минздрава России в Уральском федеральном округе, профессор кафедры физической и реабилитационной медицины федерального государственного бюджетного образовательного учреждения высшего образования "Уральский государственный медицинский университет" Министерства здравоохранения Российской Федерации, директор ООО "Клинический институт мозга"

Белобородов Владимир Борисович - заведующий кафедрой инфекционных болезней Федерального государственного бюджетного образовательного учреждения дополнительного профессионального образования "Российская медицинская академия непрерывного профессионального образования" Минздрава России

Бодрова Резеда Ахметовна - заведующая кафедрой реабилитологии и спортивной медицины Казанской государственной медицинской академией, филиала Федерального государственного бюджетного образовательного учреждения дополнительного профессионального образования "Российская медицинская академия последипломного образования" Министерства здравоохранения Российской Федерации

Буйлова Татьяна Валентиновна - главный внештатный специалист по медицинской реабилитации Минздрава России в Приволжском федеральном округе, директор Института реабилитации и здоровья человека Федерального государственного автономного образовательного учреждения высшего образования "Национальный исследовательский Нижегородский государственный университет им. Н.И. Лобачевского"

Бойко Елена Алексеевна - начальник отдела координационно-аналитического центра по обеспечению химической и биологической безопасности Федерального государственного бюджетного учреждения "Центр стратегического планирования и управления медико-биологическими рисками здоровью" Минздрава России

Брико Николай Иванович - главный внештатный специалист эпидемиолог, заведующий кафедрой эпидемиологии и доказательной медицины Федерального государственного автономного образовательного учреждения высшего образования Первый Московский государственный медицинский университет имени И.М. Сеченова Минздрава России (Сеченовский Университет)

Брусина Елена Борисовна - главный эпидемиолог Кемеровской области, заведующая кафедрой эпидемиологии, инфекционных болезней и дерматовенерологии Федерального государственного бюджетного образовательного учреждения высшего образования "Кемеровский государственный медицинский университет" Минздрава России

Вавилова Татьяна Владимировна - главный внештатный специалист по клинической лабораторной диагностике Минздрава России, заведующая кафедрой лабораторной медицины и генетики института медицинского образования Федерального государственного бюджетного учреждения "Национальный медицинский исследовательский центр имени В.А. Алмазова" Минздрава России

Васильева Елена Юрьевна - главный врач государственного бюджетного учреждения здравоохранения г. Москвы "Городская клиническая больница имени И.В. Давыдовского Департамента здравоохранения города Москвы", главный внештатный кардиолог города Москвы

Васильева Ирина Анатольевна - главный внештатный специалист фтизиатр Минздрава России, директор Федерального государственного бюджетного учреждения "Национальный медицинский исследовательский центр фтизиопульмонологии и инфекционных заболеваний" Минздрава России

Веселова Елена Игоревна - научный сотрудник отдела инфекционной патологии Федерального государственного бюджетного учреждения "Национальный медицинский исследовательский центр фтизиопульмонологии и инфекционных заболеваний" Минздрава России

Вишнева Елена Александровна - заместитель руководителя по науке Научно-исследовательского института педиатрии и охраны здоровья Федерального государственного бюджетного учреждения здравоохранения Центральной клинической больницы РАН

Волчкова Елена Васильевна - заведующая кафедрой инфекционных болезней Федерального государственного автономного образовательного учреждения высшего образования Первый Московский государственный медицинский университет имени И.М. Сеченова Минздрава России (Сеченовский Университет)

Волченков Григорий Васильевич - главный врач государственного бюджетного учреждения здравоохранения Владимирской области Центр специализированной фтизиопульмонологической помощи

Гапонова Татьяна Владимировна - главный внештатный специалист трансфузиолог Минздрава России, заместитель генерального директора по трансфузиологии Федерального государственного бюджетного учреждения "Национальный медицинский исследовательский центр гематологии" Минздрава России

Годков Михаил Андреевич - заведующий отделом лабораторной диагностики государственного бюджетного учреждения здравоохранения "Научно-исследовательский институт скорой помощи имени Н.В. Склифосовского" Департамента здравоохранения города Москвы

Гончаров Сергей Федорович - главный внештатный специалист по медицине катастроф Минздрава России, директор Федерального государственного бюджетного учреждения "Всероссийский центр медицины катастроф "Защита" ФМБА России

Готье Сергей Владимирович - главный внештатный трансплантолог Минздрава России, директор ФГБУ "НМИЦ ТИО им. ак. В.И. Шумакова" Минздрава России, заведующий кафедрой трансплантологии и искусственных органов Первого Московского государственного медицинского университета им. И.М. Сеченова

Гречко Андрей Вячеславович - директор Федерального государственного бюджетного научного учреждения "Федеральный научно-клинический центр реаниматологии и реабилитологии"

Дайхес Николай Аркадьевич - главный внештатный оториноларинголог Минздрава России, директор Национального медицинского исследовательского центра оториноларингологии ФМБА России

Даниленко Дарья Михайловна - заместитель директора по научной работе Федерального государственного бюджетного учреждения "Научно-исследовательский институт гриппа им. А.А. Смородинцева" Минздрава России

Дмитриев Александр Сергеевич - врач-инфекционист группы анализа оказания медицинской помощи при инфекционных болезнях Федерального государственного бюджетного учреждения "Национальный медицинский исследовательский центр фтизиопульмонологии и инфекционных заболеваний" Минздрава России

Драпкина Оксана Михайловна - главный внештатный специалист по терапии и общей врачебной профилактике, директор Федерального государственного учреждения "Национальный медицинский исследовательский центр профилактической медицины" Минздрава России

Дягтярев Дмитрий Николаевич - заместитель директора по научной работе Федерального государственного бюджетного учреждения "Национальный медицинский исследовательский центр акушерства, гинекологии и перинатологии имени академика В.И. Кулакова" Минздрава России

Жукова Ольга Валентиновна - главный внештатный специалист по дерматовенерологии и косметологии Минздрава России в Центральном федеральном округе, главный врач Государственного бюджетного учреждения здравоохранения "Московский научно-практический центр дерматовенерологии и косметологии Департамента здравоохранения города Москвы", и.о. заведующей кафедрой кожных и венерических болезней Федерального государственного автономного образовательного учреждения высшего образования "Российский университет дружбы народов" Минобрнауки России

Заболотских Игорь Борисович - заведующий кафедрой анестезиологии, реаниматологии и трансфузиологии Федерального государственного бюджетного образовательного учреждения высшего образования "Кубанский государственный медицинский университет" Минздрава России

Загребнева Алена Игоревна - доцент кафедры общей терапии ФУВ Федерального государственного автономного образовательного учреждения высшего образования "Российский национальный исследовательский медицинский университет имени Н.И. Пирогова" Минздрава России, главный внештатный ревматолог Департамента здравоохранения г. Москвы

Зайратьянц Олег Вадимович - главный внештатный специалист патологоанатом Департамента здравоохранения города Москвы, главный внештатный специалист-эксперт патологоанатом Росздравнадзора по Центральному федеральному округу, заведующий кафедрой патологической анатомии Федерального государственного бюджетного научного учреждения "МГМСУ им. А.И. Евдокимова" Минздрава России, вице-президент Российского общества патологоанатомов, председатель Московского общества патологоанатомов

Зайцев Андрей Алексеевич - главный пульмонолог Министерства обороны Российской Федерации, главный пульмонолог Федерального государственного бюджетного учреждения "Главный военный клинический госпиталь имени академика Н.Н. Бурденко" Министерства обороны Российской Федерации

Зюзя Юлия Рашидовна - врач-патологоанатом Федерального государственного бюджетного учреждения "Национальный медицинский исследовательский центр фтизиопульмонологии и инфекционных заболеваний" Минздрава России

Иванов Дмитрий Олегович - главный внештатный специалист неонатолог Минздрава России, ректор ФГБУ ВО Санкт-Петербургского государственного педиатрического медицинского университета

Иванов Сергей Анатольевич - директор МРНЦ им. А.Ф. Цыба - филиал Федерального государственного бюджетного учреждения "НМИЦ радиологии" Минздрава России, главный внештатный специалист-онколог Минздрава России по Центральному федеральному округу

Иванова Галина Евгеньевна - главный внештатный специалист по медицинской реабилитации Минздрава России, заведующая кафедрой медицинской реабилитации факультета дополнительного профессионального образования Федерального государственного автономного образовательного учреждения высшего образования "Российский национальный исследовательский медицинский университет имени Н.И. Пирогова" Минздрава России, заведующая Отделом медицинской реабилитации Федерального государственного бюджетного учреждения ФЦМН ФМБА России

Ивашкин Владимир Трофимович - главный внештатный гастроэнтеролог Минздрава России, заведующий кафедрой пропедевтики внутренних болезней, гастроэнтерологии и гепатологии Института клинической медицины им. Н.В. Склифосовского, директор клиники пропедевтики внутренних болезней, гастроэнтерологии и гепатологии им. В.Х. Василенко Федерального государственного автономного образовательного учреждения высшего образования Первый Московский государственный медицинский университет имени И.М. Сеченова Минздрава России (Сеченовский Университет)

Исаева Ирина Владимировна - заместитель начальника Штаба Всероссийской службы медицины катастроф Федерального государственного бюджетного учреждения "Всероссийский центр медицины катастроф "Защита" ФМБА России

Каминский Григорий Дмитриевич - руководитель отдела инфекционной патологии Федерального государственного бюджетного учреждения "Национальный медицинский исследовательский центр фтизиопульмонологии и инфекционных заболеваний" Минздрава России

Каприн Андрей Дмитриевич - генеральный директор Федерального государственного бюджетного учреждения "Национальный медицинский исследовательский центр радиологии" Минздрава России, главный внештатный специалист-онколог Минздрава России по Центральному, Приволжскому и Северо-Кавказскому федеральным округам

Карпов Олег Эдуардович - генеральный директор Федерального государственного бюджетного учреждения "Национальный медико-хирургический Центр имени Н.И. Пирогова" Минздрава России

Качанова Наталья Александровна - заведующая отделением организационно-методической работы Центра медицинской эвакуации и экстренной медицинской помощи Федерального государственного бюджетного учреждения "Всероссийский центр медицины катастроф "Защита" ФМБА России

Киров Михаил Юрьевич - заведующий кафедрой анестезиологии и реаниматологии Федерального государственного бюджетного образовательного учреждения высшего образования "Северный государственный медицинский университет" Минздрава России

Климов Владимир Анатольевич - руководитель службы организации медицинской помощи Федерального государственного бюджетного учреждения "Национальный медицинский исследовательский центр акушерства, гинекологии и перинатологии имени академика В.И. Кулакова" Минздрава России

Клюев Олег Игоревич - заведующий отделением анестезиологии и реанимации с палатами реанимации и интенсивной терапии Федерального государственного бюджетного учреждения "Национальный медицинский исследовательский центр фтизиопульмонологии и инфекционных заболеваний" Минздрава России

Ковалишена Ольга Васильевна - главный эпидемиолог Приволжского федерального округа, заведующая кафедрой эпидемиологии, микробиологии и доказательной медицины Федерального государственного бюджетного образовательного учреждения высшего образования "Приволжский исследовательский медицинский университет" Минздрава России

Козлов Роман Сергеевич - ректор Федерального государственного бюджетного образовательного учреждения высшего образования "Смоленский государственный медицинский университет", главный внештатный специалист по клинической микробиологии и антимикробной резистентности Минздрава России

Крылов Владимир Викторович - главный внештатный нейрохирург Минздрава, директор Университетской клиники МГМСУ им. А.И. Евдокимова, заведующий кафедрой нейрохирургии и нейрореанимации МГМСУ им. А.И. Евдокимова, главный научный сотрудник отделения нейрохирургии государственного бюджетного учреждения здравоохранения "Научно-исследовательский институт скорой помощи имени Н.В. Склифосовского" Департамента здравоохранения города Москвы

Кузовлев Артем Николаевич - заместитель директора - руководитель НИИ общей реаниматологии им. В.А. Неговского Федерального государственного бюджетного научного учреждения "Федеральный научно-клинический центр реаниматологии и реабилитологии"

Лебединский Константин Михайлович - заведующий кафедрой анестезиологии и реаниматологии имени В.Л. Ваневского Федерального государственного бюджетного образовательного учреждения высшего образования "Северо-Западный государственный медицинский университет им. И.И. Мечникова" Минздрава России

Лиознов Дмитрий Анатольевич - исполняющий обязанности директора Федерального государственного бюджетного учреждения "Научно-исследовательский институт гриппа им. А.А. Смородинцева" Минздрава России

Лобзин Юрий Владимирович - главный внештатный специалист Минздрава России и ФМБА России по инфекционным болезням у детей, президент Федерального государственного бюджетного учреждения "Детский научно-клинический центр инфекционных болезней Федерального медико-биологического агентства"

Ломакин Никита Валерьевич - заведующий отделением неотложной кардиологии Федерального государственного бюджетного учреждения "Центральная клиническая больница с поликлиникой" Управления делами Президента РФ, главный кардиолог Управления делами Президента РФ

Лукина Галина Викторовна - заведующий научно-исследовательским отделом ревматологии, руководитель Московского городского ревматологического центра Государственного бюджетного учреждения здравоохранения "Московский клинический научный центр им. А.С. Логинова" департамента здравоохранения г. Москвы, ведущий научный сотрудник лаборатории изучения коморбидных инфекций и мониторинга безопасности лекарственной терапии Федерального государственного бюджетного научного учреждения "Научно-исследовательский институт ревматологии им. В.А. Насоновой"

Лысенко Марьяна Анатольевна - главный врач государственного бюджетного учреждения здравоохранения "Городская клиническая больница N 52 Департамента здравоохранения города Москвы"

Мазус Алексей Израилевич - главный внештатный специалист по проблемам диагностики и лечения ВИЧ-инфекции Минздрава России и Департамента здравоохранения города Москвы, руководитель Московского городского центра профилактики и борьбы со СПИДом Департамента здравоохранения города Москвы

Малеев Виктор Васильевич - советник директора по научной работе Федерального бюджетного учреждения науки Центральный научно-исследовательский институт эпидемиологии Федеральной службы по надзору в сфере защиты прав потребителей и благополучия человека

Малинникова Елена Юрьевна - заведующая кафедрой вирусологии Федерального государственного бюджетного образовательного учреждения дополнительного профессионального образования "Российская медицинская академия непрерывного профессионального образования" Минздрава России

Мамонова Нина Алексеевна - научный сотрудник лаборатории генетических технологий и трансляционных исследований Федерального государственного бюджетного учреждения "Национальный медицинский исследовательский центр фтизиопульмонологии и инфекционных заболеваний" Минздрава России

Мельникова Елена Валентиновна - главный внештатный специалист по медицинской реабилитации Минздрава России в Северо-Западном федеральном округе, заместитель главного врача - руководитель регионального сосудистого центра Санкт-Петербургского государственного бюджетного учреждения здравоохранения "Городская больница N 26", профессор кафедры физических методов лечения и спортивной медицины факультета послевузовского образования федерального государственного бюджетного образовательного учреждения высшего образования "Первый Санкт-Петербургский государственный медицинский университет имени академика И.П. Павлова"

Митьков Владимир Вячеславович - заведующий кафедрой ультразвуковой диагностики Федерального государственного бюджетного образовательного учреждения дополнительного профессионального образования "Российская медицинская академия непрерывного профессионального образования" Минздрава России

Мишина Ирина Евгеньевна - проректор по учебной работе, заведующая кафедрой терапии Федерального государственного бюджетного учреждения здравоохранения "Ивановская государственная медицинская академия" Минздрава России

Мокрышева Наталья Георгиевна - директор Федерального государственного бюджетного учреждения "Национальный медицинский исследовательский центр эндокринологии" Минздрава России

Молчанов Игорь Владимирович - главный внештатный специалист Минздрава России по анестезиологии-реаниматологии, заведующий кафедрой анестезиологии и реаниматологии Федерального государственного бюджетного образовательного учреждения дополнительного профессионального образования "Российская медицинская академия непрерывного профессионального образования" Минздрава России

Морозов Дмитрий Анатольевич - заведующий кафедрой детской хирургии и урологии-андрологии им. профессора Л.П. Александрова Федерального государственного автономного образовательного учреждения высшего образования Первый Московский государственный медицинский университет имени И.М. Сеченова Минздрава России (Сеченовский Университет)

Морозов Сергей Павлович - главный внештатный специалист по лучевой и инструментальной диагностике Минздрава России по Центральному федеральному округу Российской Федерации, директор государственного бюджетного учреждения здравоохранения "Научно-практический клинический центр диагностики и телемедицинских технологий Департамента здравоохранения Москвы"

Насонов Евгений Львович - главный внештатный специалист ревматолог, научный руководитель Федерального государственного бюджетного научного учреждения "Научно-исследовательский институт ревматологии им. В.А. Насоновой" Минздрава России

Никитин Игорь Геннадиевич - заведующий кафедрой госпитальной терапии N 2 лечебного факультета Федерального государственного автономного образовательного учреждения высшего образования "Российский национальный исследовательский медицинский университет имени Н.И. Пирогова", директор Федерального государственного автономного учреждения "Лечебно-реабилитационный центр" Минздрава России

Никифоров Владимир Владимирович - заведующий кафедрой инфекционных болезней и эпидемиологии Федерального государственного автономного образовательного учреждения высшего образования "Российский национальный исследовательский медицинский университет имени Н.И. Пирогова" Минздрава России

Николаева Анастасия Владимировна - главный врач Федерального государственного бюджетного учреждения "Национальный медицинский исследовательский центр акушерства, гинекологии и перинатологии имени академика В.И. Кулакова" Минздрава России

Омельяновский Виталий Владимирович - генеральный директор Федерального государственного бюджетного учреждения "Центр экспертизы и контроля качества медицинской помощи" Минздрава России

Панченко Елизавета Павловна - руководитель отдела клинических проблем атеротромбоза Института кардиологии им. А.Л. Мясникова Федерального государственного бюджетного учреждения "Национальный медицинский исследовательский центр кардиологии" Минздрава России

Панова Анна Евгеньевна - заведующая отделением лабораторной диагностики Федерального государственного бюджетного учреждения "Национальный медицинский исследовательский центр фтизиопульмонологии и инфекционных заболеваний" Минздрава России

Пырегов Алексей Викторович - заведующий отделением анестезиологии и реаниматологии Федерального государственного бюджетного учреждения "Национальный медицинский исследовательский центр акушерства, гинекологии и перинатологии имени академика В.И. Кулакова" Минздрава России

Петрова Марина Владимировна - заместитель директора по научно-клинической деятельности Федерального государственного бюджетного научного учреждения "Федеральный научно-клинический центр реаниматологии и реабилитологии"

Петров Владимир Александрович - заведующий научно-образовательным отделом МРНЦ им. А.Ф. Цыба - филиал ФГБУ "НМИЦ радиологии" Минздрава России, заведующий кафедрой инфекционных болезней, общественного здоровья и здравоохранения Обнинского института атомной энергетики - филиал федерального государственного автономного образовательного учреждения высшего образования "Национальный исследовательский ядерный университет "МИФИ"

Пименов Николай Николаевич - заведующий лабораторией эпидемиологии инфекционных болезней Федерального государственного бюджетного учреждения "Национальный медицинский исследовательский центр фтизиопульмонологии и инфекционных заболеваний" Минздрава России

Плоскирева Антонина Александровна - заместитель директора по клинической работе Федерального бюджетного учреждения науки Центральный научно-исследовательский институт эпидемиологии Федеральной службы по надзору в сфере защиты прав потребителей и благополучия человека

Полуэктова Елена Александровна - профессор кафедры пропедевтики внутренних болезней, гастроэнтерологии и гепатологии Института клинической медицины им. Н.В. Склифосовского Федерального государственного автономного образовательного учреждения высшего образования Первый Московский государственный медицинский университет имени И.М. Сеченова Минздрава России (Сеченовский Университет)

Потекаев Николай Николаевич - главный внештатный специалист по дерматовенерологии и косметологии Минздрава России и Департамента здравоохранения Москвы, директор Государственного бюджетного учреждения здравоохранения "Московский научно-практический центр дерматовенерологии и косметологии Департамента здравоохранения города Москвы", заведующий кафедрой кожных болезней и косметологии Факультета дополнительного профессионального образования Федерального государственного автономного образовательного учреждения высшего образования "Российский национальный исследовательский медицинский университет имени Н.И. Пирогова" Минздрава России

Проценко Денис Николаевич - главный внештатный специалист по анестезиологии-реаниматологии Департамента здравоохранения города Москвы, Главный врач ГБУЗ Городская клиническая больница N 40 ДЗМ, доцент кафедры анестезиологии и реаниматологии Федерального государственного автономного образовательного учреждения высшего образования "Российский национальный исследовательский медицинский университет имени Н.И. Пирогова" Минздрава России

Пушкарь Дмитрий Юрьевич - главный внештатный уролог Минздрава России, главный уролог Департамента здравоохранения города Москвы, заведующий кафедрой урологии Московского государственного медико-стоматологического университета им. А.И. Евдокимова

Пшеничная Наталья Юрьевна - заместитель директора по клинико-аналитической работе Федерального бюджетного учреждения науки Центральный научно-исследовательский институт эпидемиологии Федеральной службы по надзору в сфере защиты прав потребителей и благополучия человека

Ревишвили Амиран Шотаевич - главный внештатный хирург Минздрава России, директор Федерального государственного бюджетного учреждения "Национальный медицинский исследовательский центр хирургии им. А.В. Вишневского" Минздрава России

Родин Александр Анатольевич - заведующий отделением лучевой диагностики Федерального государственного бюджетного учреждения "Национальный медицинский исследовательский центр фтизиопульмонологии и инфекционных заболеваний" Минздрава России

Романов Владимир Васильевич - заместитель руководителя Федерального медико-биологического агентства

Рошаль Леонид Михайлович - Президент ГБУЗ г. Москвы "Научно-исследовательский институт неотложной детской хирургии и травматологии" Департамента здравоохранения г. Москвы; Президент Национальной медицинской палаты.

Русских Анастасия Евгеньевна - научный сотрудник отдела дифференциальной диагностики и лечения туберкулеза и сочетанных инфекций Федерального государственного бюджетного учреждения "Национальный медицинский исследовательский центр фтизиопульмонологии и инфекционных заболеваний" Минздрава России

Савченко Валерий Григорьевич - главный внештатный специалист гематолог Минздрава России, генеральный директор Федерального государственного бюджетного учреждения "Национальный медицинский исследовательский центр гематологии" Минздрава России

Самойлова Анастасия Геннадьевна - первый заместитель директора Федерального государственного бюджетного учреждения "Национальный медицинский исследовательский центр фтизиопульмонологии и инфекционных заболеваний" Минздрава России

Синицын Валентин Евгеньевич - заведующий курсом лучевой диагностики и лучевой терапии факультета фундаментальной медицины Московского государственного университета имени М.В. Ломоносова, профессор кафедры рентгенологии и радиологии Федерального государственного бюджетного образовательного учреждения дополнительного профессионального образования "Российская медицинская академия непрерывного профессионального образования" Минздрава России

Степаненко Сергей Михайлович - главный внештатный детский специалист анестезиолог-реаниматолог, профессор кафедры детской хирургии педиатрического факультета Федерального государственного автономного образовательного учреждения высшего образования "Российский национальный исследовательский медицинский имени Н.И. Пирогова" Минздрава России

Суранова Татьяна Григорьевна - заместитель начальника управления организации медицинской защиты населения от экстремальных факторов Штаба ВСМК Федерального государственного бюджетного учреждения "Всероссийский центр медицины катастроф "Защита" ФМБА России

Сухоруких Ольга Александровна - начальник отдела медицинского обеспечения стандартизации Федерального государственного бюджетного учреждения "Центр экспертизы и контроля качества медицинской помощи" Минздрава России

Сычев Дмитрий Алексеевич - заведующий кафедрой клинической фармакологии и терапии имени академика Б.Е. Вотчала ФГБОУ ДПО "Российская медицинская академия непрерывного профессионального образования" Минздрава России

Ткачева Ольга Николаевна - главный внештатный специалист гериатр Минздрава России, директор обособленного структурного подразделения "Российский геронтологический научно-клинический центр" Федерального государственного автономного образовательного учреждения высшего образования "Российский национальный исследовательский медицинский имени Н.И. Пирогова" Минздрава России

Трагира Ирина Николаевна - руководитель центра инфекционных болезней Федерального государственного бюджетного учреждения "Национальный медицинский исследовательский центр фтизиопульмонологии и инфекционных заболеваний" Минздрава России

Тюрин Игорь Евгеньевич - главный внештатный специалист по лучевой и инструментальной диагностике, заведующий кафедрой рентгенологии и радиологии Федерального государственного бюджетного образовательного учреждения дополнительного профессионального образования "Российская медицинская академия непрерывного профессионального образования" Минздрава России

Уртиков Александр Валерьевич - научный сотрудник лаборатории эпидемиологии инфекционных болезней Федерального государственного бюджетного учреждения "Национальный медицинский исследовательский центр фтизиопульмонологии и инфекционных заболеваний" Минздрава России

Усков Александр Николаевич - директор Федерального государственного бюджетного учреждения "Детский научно-клинический центр инфекционных болезней Федерального медико-биологического агентства"

Фалалеева Наталья Александровна - заведующий Отдела лекарственного лечения злокачественных новообразований МРНЦ им. А.Ф. Цыба - филиал ФГБУ "НМИЦ радиологии" Минздрава России

Фомичева Анастасия Александровна - врач-эпидемиолог центра инфекционных болезней, младший научный сотрудник лаборатории эпидемиологии инфекционных болезней Федерального государственного бюджетного учреждения "Национальный медицинский исследовательский центр фтизиопульмонологии и инфекционных заболеваний" Минздрава России

Фомина Дарья Сергеевна - главный внештатный аллерголог-иммунолог Департамента здравоохранения города Москвы, руководитель Центра аллергологии и иммунологии Государственного бюджетного учреждения здравоохранения города Москвы "Городская клиническая больница N 52 Департамента здравоохранения города Москвы"

Франк Георгий Авраамович - главный патологоанатом Минздрава России, заведующий кафедрой патологической анатомии Федерального государственного бюджетного образовательного учреждения дополнительного профессионального образования "Российская медицинская академия непрерывного профессионального образования" Минздрава России

Хайлова Жанна Владимировна - заместитель директора по организационно-методической работе МРНЦ им. А.Ф. Цыба - филиал ФГБУ "НМИЦ радиологии" Минздрава России, руководитель Центра координации деятельности учреждений регионов в области онкологии и радиологии ФГБУ "НМИЦ радиологии" Минздрава России

Царенко Сергей Василевич - заместитель главного врача по анестезиологии и реаниматологии Государственного бюджетного учреждения здравоохранения города Москвы "Городская клиническая больница N 52 Департамента здравоохранения города Москвы"

Цинзерлинг Всеволод Александрович - заведующий НИО патоморфологии Федерального государственного бюджетного учреждения "Национальный медицинский исследовательский центр имени В.А. Алмазова" Минздрава России

Цыкунов Михаил Борисович - заведующий отделением медицинской реабилитации федерального государственного бюджетного учреждения "Национальный медицинский исследовательский центр травматологии и ортопедии имени Н.Н. Приорова" Министерства здравоохранения Российской Федерации, профессор кафедры медицинской реабилитации факультета дополнительного профессионального образования Федерального государственного автономного образовательного учреждения высшего образования "Российский национальный исследовательский медицинский университет имени Н.И. Пирогова" Минздрава России

Ченцов Владимир Борисович - заведующий отделением реанимации и интенсивной терапии государственного бюджетного учреждения здравоохранения города Москвы "Инфекционная клиническая больница N 2 Департамента здравоохранения города Москвы"

Чуланов Владимир Петрович - главный внештатный специалист по инфекционным болезням Минздрава России, заместитель директора по научной работе и инновационному развитию Федерального государственного бюджетного учреждения "Национальный медицинский исследовательский центр фтизиопульмонологии и инфекционных заболеваний" Минздрава России

Шелыгин Юрий Анатольевич - главный внештатный колопроктолог Минздрава России, главный колопроктолог Департамента здравоохранения города Москвы, директор Государственного научного центра колопроктологии им. А.Н. Рыжих Минздрава России

Шестакова Марина Владимировна - заместитель директора Федерального государственного бюджетного учреждения "Национальный медицинский исследовательский центр эндокринологии" Минздрава России, директор Института диабета Федерального государственного бюджетного учреждения "Национальный медицинский исследовательский центр эндокринологии" Минздрава России

Шипулин Герман Александрович - заместитель директора Федерального государственного бюджетного учреждения "Центр стратегического планирования и управления медико-биологическими рисками здоровью" Минздрава России

Шлемская Валерия Вадимовна - заместитель директора Федерального государственного бюджетного учреждения "Всероссийский центр медицины катастроф "Защита" ФМБА России

Шульгина Марина Владимировна - советник директора по науке Федерального государственного бюджетного учреждения "Национальный медицинский исследовательский центр фтизиопульмонологии и инфекционных заболеваний" Минздрава России

Явелов Игорь Семенович - руководитель отдела фундаментальных и клинических проблем тромбоза при неинфекционных заболеваниях ФГБУ "Национальный медицинский исследовательский центр терапии и профилактической медицины" Минздрава России

Ярошецкий Андрей Игоревич - профессор кафедры пульмонологии ФГАОУ ВО "Первый МГМУ им. И.М. Сеченова" (Сеченовский Университет) Минздрава России, зав. отделом анестезиологии и реаниматологии НИИ Клинической хирургии ФГАОУ ВО "Российский национальный исследовательский медицинский университет им. Н.И. Пирогова" Минздрава России, Председатель Комитета Федерации Анестезиологов и Реаниматологов по Респираторной и метаболической поддержке